Evaluation of Harmonic Structure Obtained in Mechanically Milled Powders and Pulse Plasma Sintered Compacts of Austenitic Steel
Abstract
1. Introduction
2. Materials and Methods
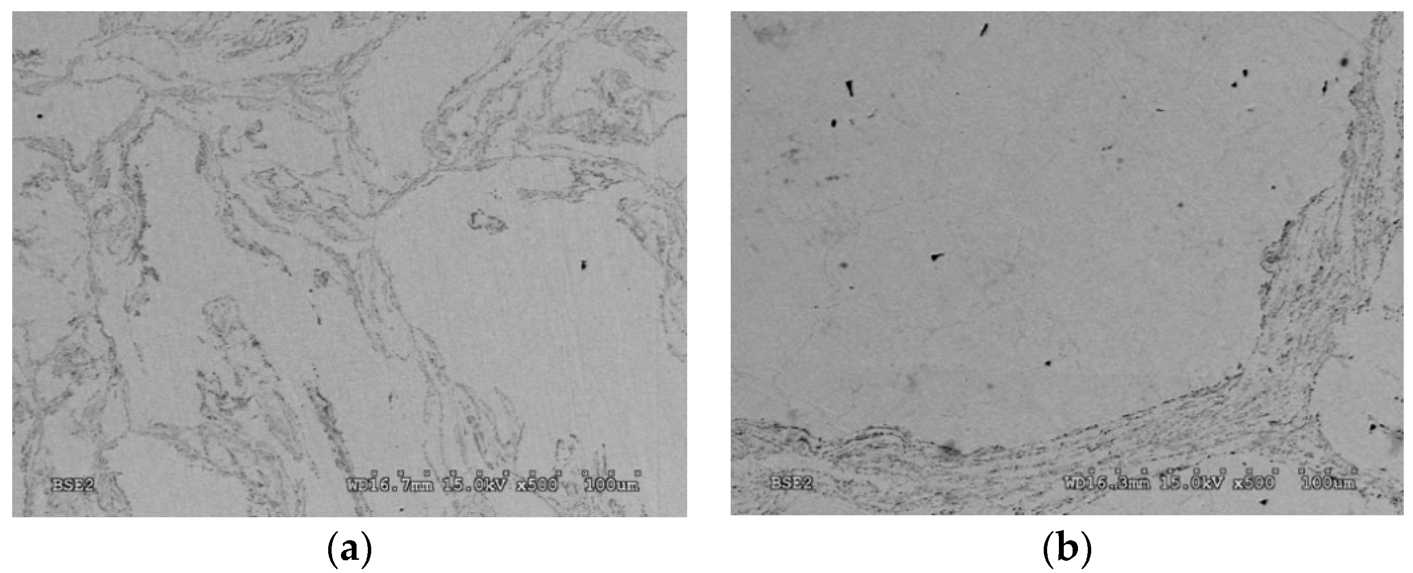
3. Results
4. Discussion
5. Conclusions
- -
- soft mechanical milling conditions applied, resulted in the formation of harmonic structure in the processed powders, i.e., plastically deformed and refined (crystallite size around 30 nm) layers were formed (shell),
- -
- additionally, phase transformation of austenite into ferrite was observed due to strain introduced during milling,
- -
- the harmonic structure was preserved in the sintered samples, thus the final structure consisted of microcrystalline cores embedded in the nanocrystalline matrix,
- -
- the influence of the applied sintering temperature manifested in density and hardness increase rather than in phase composition,
- -
- sintering processes restored the phase composition existing before milling, i.e., austenite with some contribution of ferrite.
Author Contributions
Funding
Institutional Review Board Statement
Informed Consent Statement
Data Availability Statement
Acknowledgments
Conflicts of Interest
References
- Suryanarayana, C. Mechanical alloying and milling. Prog. Mater. Sci. 2001, 46, 1–184. [Google Scholar] [CrossRef]
- Sekiguchi, T.; Ono, K.; Fujiwara, H.; Ameyama, K. New microstructure design for commercially pure titanium with outstanding mechanical properties by mechanical milling and hot roll sintering. Mater. Trans. 2010, 51, 39–45. [Google Scholar] [CrossRef]
- Vajpai, S.K.; Ota, M.; Zhang, Z.; Ameyama, K. Three-dimensionally gradient harmonic structure design: An integrated approach for high performance structural materials. Mater. Res. Lett. 2016, 4, 191–197. [Google Scholar] [CrossRef]
- Sawangrat, C.; Kato, S.; Orlov, D.; Ameyama, K. Harmonic-structured copper: Performance and proof of fabrication concept based on severe plastic deformation of powders. J. Mater. Sci. 2014, 49, 6579–6585. [Google Scholar] [CrossRef]
- Vajpai, S.K.; Sawangrat, C.; Yamaguchi, O.; Ciuca, O.P.; Ameyama, K. Effect of bimodal harmonic structure design on the deformation behaviour and mechanical properties of Co-Cr-Mo alloy. Mater. Sci. Eng. C 2016, 58, 1008–1015. [Google Scholar] [CrossRef]
- Vajpai, S.K.; Choncharoen, S.; Ameyama, K. Harmonic structure design of Co-Cr-Mo alloy with outstanding mechanical properties. Adv. Mater. Res. 2013, 939, 60–67. [Google Scholar]
- Ota, M.; Shimojo, K.; Okada, S.; Vajpai, S.K.; Ameyama, K. Harmonic structure design and mechanical properties of pure Ni compacts. J. Powder Metall. Min. 2014, 3, 122. [Google Scholar]
- Zhang, Z.; Orlov, D.; Vajpai, S.K.; Tong, B.; Ameyama, K. Importance of bimodal structure topology in the control of mechanical properties of a stainless steel. Adv. Eng. Mater. 2015, 17, 791–795. [Google Scholar] [CrossRef]
- Zhang, Z.; Vajpai, S.K.; Orlov, D.; Ameyama, K. Improvement of mechanical properties in SUS304L steel through the control of bimodal microstructure characteristics. Mater. Sci. Eng. A 2014, 598, 106–113. [Google Scholar] [CrossRef]
- Fujiwara, H.; Kawabata, T.; Miyamoto, H.; Ameyama, K. Mechanical properties of harmonic structured composite with pure titanium and Ti-48at%Al by MM/SPS process. Mater. Trans. 2013, 54, 1619–1623. [Google Scholar] [CrossRef]
- Vajpai, S.K.; Ota, M.; Watanabe, T.; Maeda, R.; Sekiguchi, T.; Kusaka, T.; Ameyama, K. The development of high performance Ti-6Al-4V alloy via a unique microstructural design with bimodal grain size distribution. Metall. Mater. Trans. 2015, 46A, 903–914. [Google Scholar] [CrossRef]
- Zhou, G.; Ma, H.; Zhang, Z.; Sun, J.; Wang, X.; Zeng, P.; Zheng, R.; Chen, X.; Ameyama, K. Fatigue crack growth behavior in a harmonic structure designed austenitic stainless steel. Mater. Sci. Eng. A 2019, 758, 121–129. [Google Scholar] [CrossRef]
- Nakai, Y.; Kikuchi, S.; Osaki, K.; Kawabata, M.O.; Ameyama, K. Effects of rolling reduction and direction on fatigue crack propagation in commercially pure titanium with harmonic structure. Int. J. Fatigue 2021, 143, 106018. [Google Scholar] [CrossRef]
- Li, G.; Lyu, S.; Zhang, R.; Kawabata, M.O.; Ma, C.; Li, Q.; Ameyama, K. Further optimization of strength and ductility in a harmonic structure designed pure copper via thermomechanical processing. Mater. Sci. Eng. A 2020, 790, 139687. [Google Scholar] [CrossRef]
- Li, G.; Liu, M.; Lyu, S.; Nakatani, M.; Zheng, R.; Ma, C.; Li, Q.; Ameyama, K. Simultaneously enhanced strength and strain hardening capacity in FeMnCoCr high-entropy alloy via harmonic structure design. Scr. Mater. 2021, 191, 196–201. [Google Scholar] [CrossRef]
- Fujiwara, H.; Inomoto, H.; Sanada, R.; Ameyama, K. Nano-ferrite formation and strain-induced-ferrite transformation in an SUS304L austenitic stainless steel. Scr. Mater. 2001, 44, 2039–2042. [Google Scholar] [CrossRef]
- Oleszak, D.; Grabias, A.; Pękała, M.; Świderska-Środa, A.; Kulik, T. Evolution of structure in austenitic steel powders during ball milling and subsequent sintering. J. Alloys Comp. 2007, 434–435, 340–343. [Google Scholar] [CrossRef]





| C | Mn | Si | Ni | Cr | Mo | Cu |
|---|---|---|---|---|---|---|
| 0.01 | 1.8 | 0.9 | 10.5 | 19.9 | 0.15 | 0.10 |
Publisher’s Note: MDPI stays neutral with regard to jurisdictional claims in published maps and institutional affiliations. |
© 2021 by the authors. Licensee MDPI, Basel, Switzerland. This article is an open access article distributed under the terms and conditions of the Creative Commons Attribution (CC BY) license (http://creativecommons.org/licenses/by/4.0/).
Share and Cite
Oleszak, D.; Sadurska, A.; Cieślak, G. Evaluation of Harmonic Structure Obtained in Mechanically Milled Powders and Pulse Plasma Sintered Compacts of Austenitic Steel. Metals 2021, 11, 386. https://doi.org/10.3390/met11030386
Oleszak D, Sadurska A, Cieślak G. Evaluation of Harmonic Structure Obtained in Mechanically Milled Powders and Pulse Plasma Sintered Compacts of Austenitic Steel. Metals. 2021; 11(3):386. https://doi.org/10.3390/met11030386
Chicago/Turabian StyleOleszak, Dariusz, Aleksandra Sadurska, and Grzegorz Cieślak. 2021. "Evaluation of Harmonic Structure Obtained in Mechanically Milled Powders and Pulse Plasma Sintered Compacts of Austenitic Steel" Metals 11, no. 3: 386. https://doi.org/10.3390/met11030386
APA StyleOleszak, D., Sadurska, A., & Cieślak, G. (2021). Evaluation of Harmonic Structure Obtained in Mechanically Milled Powders and Pulse Plasma Sintered Compacts of Austenitic Steel. Metals, 11(3), 386. https://doi.org/10.3390/met11030386

