Adaptation to Hot and Humid Climates in the Silkworm: Energy Reallocation and Cuticle Transpiration
Abstract
Simple Summary
Abstract
1. Introduction
2. Materials and Methods
2.1. Insect Rearing
2.2. Exposure of Silkworms to Different Temperatures and Humidities
2.3. Measuring CTmax
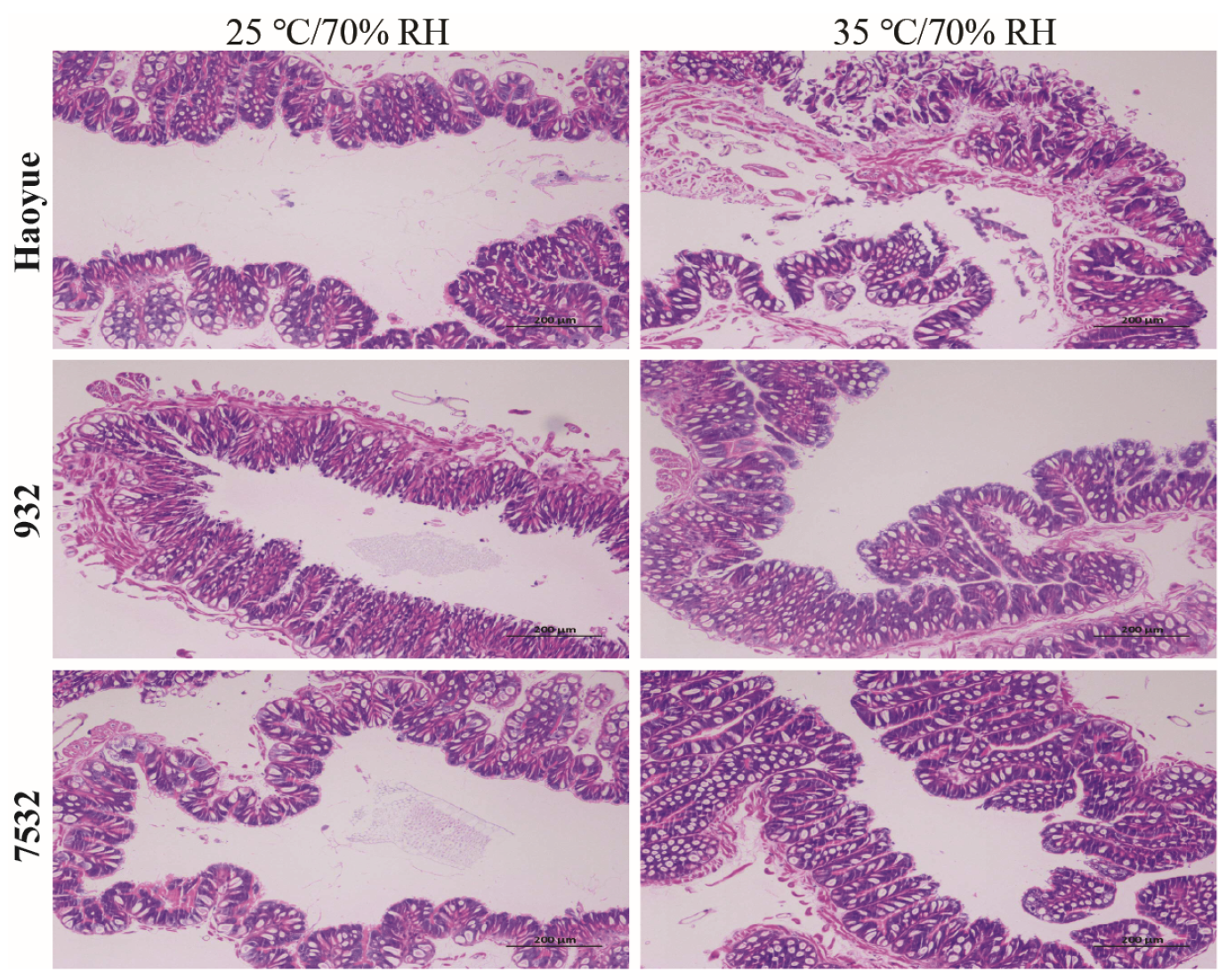
2.4. Histological Analysis
2.5. RNA-Sequencing and Analyzing DEGs
2.6. Functional Annotation
2.7. Gene Co-Expression Network Analysis
2.8. Mfuzz Clustering
2.9. Transcriptional Regulatory Network Analysis
2.10. Tissue Enrichment Analysis
2.11. Analyzing Nucleotide Divergence of Genes and Cis-Regulatory Regions
2.12. Statistical Analysis
3. Results
3.1. Thermal Tolerance Assessment and Physiological Experiments
3.2. Overview of Transcriptome Experiment
3.3. Specific Thermoplastic Genes of the Resistant Silkworms Adapted to a High Temperature Environment
3.4. Pervasive Thermal Response Mechanisms Shared by Resistant and Sensitive Silkworms
3.5. Evolved Humid-Plastic Genes in the Resistant Silkworms
3.6. Evolved Non-Plastic Genes (Evo_non-PG) Improve Thermal Tolerance in Resistant Silkworms
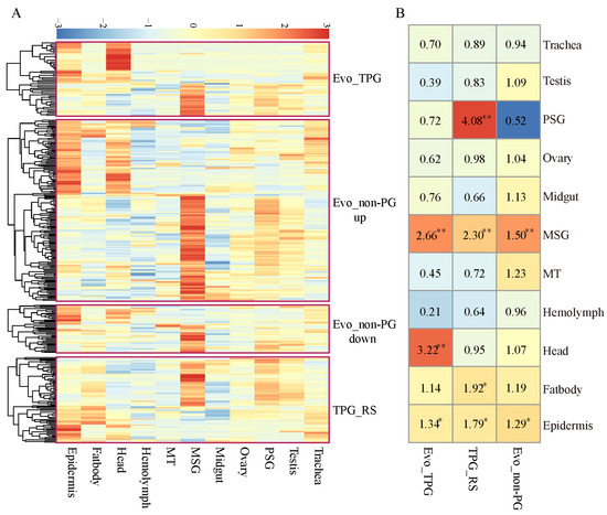
3.7. Tissue Enrichment Expression of the Evolved and Thermoplastic Genes
3.8. Nucleotide Divergence of the Evolved and Thermoplastic Genes
4. Discussion
5. Conclusions
Supplementary Materials
Author Contributions
Funding
Data Availability Statement
Conflicts of Interest
References
- Bale, J.S.; Masters, G.J.; Hodkinson, I.D.; Awmack, C.; Bezemer, T.M.; Brown, V.K.; Butterfield, J.; Buse, A.; Coulson, J.C.; Farrar, J. Herbivory in global climate change research: Direct effects of rising temperature on insect herbivores. Glob. Change Biol. 2002, 8, 1–16. [Google Scholar] [CrossRef]
- Easterling, D.R.; Meehl, G.A.; Parmesan, C.; Changnon, S.A.; Karl, T.R.; Mearns, L.O. Climate extremes: Observations, modeling, and impacts. Science 2000, 289, 2068–2074. [Google Scholar] [CrossRef]
- Burkle, L.A.; Marlin, J.C.; Knight, T.M. Plant-pollinator interactions over 120 years: Loss of species, co-occurrence, and function. Science 2013, 339, 1611–1615. [Google Scholar] [CrossRef] [PubMed]
- González-Tokman, D.; Córdoba-Aguilar, A.; Dáttilo, W.; Lira-Noriega, A.; Sánchez-Guillén, R.A.; Villalobos, F. Insect responses to heat: Physiological mechanisms, evolution and ecological implications in a warming world. Biol. Rev. Camb. Philos. Soc. 2020, 95, 802–821. [Google Scholar] [CrossRef]
- Sánchez-Bayo, F.; Wyckhuys, K. Worldwide decline of the entomofauna: A review of its drivers. Biol. Conserv. 2019, 232, 8–27. [Google Scholar] [CrossRef]
- Prange, H.D. Temperature regulation by respiratory evaporation in grasshoppers. J. Exp. Biol. 1990, 154, 463–474. [Google Scholar] [CrossRef]
- Colinet, H.; Sinclair, B.J.; Vernon, P.; Renault, D. Insects in fluctuating thermal environments. Annu. Rev. Entomol. 2015, 60, 123–140. [Google Scholar] [CrossRef]
- Xiong, S.; Yu, K.; Lin, H.; Ye, X.; Xiao, S.; Yang, Y.; Stanley, D.W.; Song, Q.; Fang, Q.; Ye, G. Regulatory network in heat stress response in parasitoid wasp focusing on Xap5 heat stress regulator. iScience 2024, 27, 108622. [Google Scholar] [CrossRef]
- Kellermann, V.; Sgro, C.M. Evidence for lower plasticity in CTMAX at warmer developmental temperatures. J. Evol. Biol. 2018, 31, 1300–1312. [Google Scholar] [CrossRef]
- Gunderson, A.R.; Stillman, J.H. Plasticity in thermal tolerance has limited potential to buffer ectotherms from global warming. Proc. Biol. Sci. 2015, 282, 20150401. [Google Scholar] [CrossRef]
- Kingsolver, J.G.; MacLean, H.J.; Goddin, S.B.; Augustine, K.E. Plasticity of upper thermal limits to acute and chronic temperature variation in Manduca sexta larvae. J. Exp. Biol. 2016, 219, 1290–1294. [Google Scholar] [CrossRef]
- Buckley, L.B.; Huey, R.B. How extreme temperatures impact organisms and the evolution of their thermal tolerance. Integr. Comp. Biol. 2016, 56, 98–109. [Google Scholar] [CrossRef]
- Hoffmann, A.A.; Willi, Y. Detecting genetic responses to environmental change. Nat. Rev. Genet. 2008, 9, 421–432. [Google Scholar] [CrossRef]
- Waldvogel, A.M.; Wieser, A.; Schell, T.; Patel, S.; Schmidt, H.; Hankeln, T.; Feldmeyer, B.; Pfenninger, M. The genomic footprint of climate adaptation in Chironomus riparius. Mol. Ecol. 2018, 27, 1439–1456. [Google Scholar] [CrossRef]
- Barghi, N.; Tobler, R.; Nolte, V.; Jaksic, A.M.; Mallard, F.; Otte, K.A.; Dolezal, M.; Taus, T.; Kofler, R.; Schlotterer, C. Genetic redundancy fuels polygenic adaptation in Drosophila. PLoS Biol. 2019, 17, e3000128. [Google Scholar] [CrossRef] [PubMed]
- Takahashi, K.H.; Okada, Y.; Teramura, K. Genome-wide deficiency screen for the genomic regions responsible for heat resistance in Drosophila melanogaster. BMC Genet. 2011, 12, 57. [Google Scholar] [CrossRef]
- Shelford, V.E. A comparison of the responses of animals in gradients of environmental factors with particular reference to the method of reaction of representatives of the various groups from protozoa to mammals. Science 1918, 48, 225–230. [Google Scholar] [CrossRef]
- Enjin, A. Humidity sensing in insects-from ecology to neural processing. Curr. Opin. Insect Sci. 2017, 24, 1–6. [Google Scholar] [CrossRef] [PubMed]
- Niyonzima, Y.B.; Strandberg, E.; Hirwa, C.D.; Manzi, M.; Ntawubizi, M.; Rydhmer, L. The effect of high temperature and humidity on milk yield in Ankole and crossbred cows. Trop. Anim. Health Prod. 2022, 54, 85. [Google Scholar] [CrossRef] [PubMed]
- Asmarasari, S.A.; Azizah, N.; Sutikno, S.; Puastuti, W.; Amir, A.; Praharani, L.; Rusdiana, S.; Hidayat, C.; Hafid, A.; Kusumaningrum, D.A.; et al. A review of dairy cattle heat stress mitigation in Indonesia. Vet. World 2023, 16, 1098–1108. [Google Scholar] [CrossRef]
- Coffel, E.D.; Horton, R.M.; de Sherbinin, A. Temperature and humidity based projections of a rapid rise in global heat stress exposure during the 21(st) century. Environ. Res. Lett. 2018, 13, 014001. [Google Scholar] [CrossRef]
- Mellanby, K. The influence of athmospheric humidity on the thermal death point of a number of insects. J. Exp. Biol. 1932, 9, 222–231. [Google Scholar] [CrossRef]
- Xiao, W.; Chen, P.; Xiao, J.; Wang, L.; Liu, T.; Wu, Y.; Dong, F.; Jiang, Y.; Pan, M.; Zhang, Y.; et al. Comparative transcriptome profiling of a thermal resistant vs. sensitive silkworm strain in response to high temperature under stressful humidity condition. PLoS ONE 2017, 12, e0177641. [Google Scholar] [CrossRef]
- Ma, W.; Li, X.; Shen, J.; Du, Y.; Xu, K.; Jiang, Y. Transcriptomic analysis reveals Apis mellifera adaptations to high temperature and high humidity. Ecotoxicol. Environ. Saf. 2019, 184, 109599. [Google Scholar] [CrossRef]
- Li, X.; Ma, W.; Jiang, Y. Honeybees (Hymenoptera: Apidae) adapt to the shock of high temperature and high humidity through changes in sugars and polyols and free amino acids. J. Insect Sci. 2023, 23, 4. [Google Scholar] [CrossRef] [PubMed]
- Chown, S.L.; Sørensen, J.G.; Terblanche, J.S. Water loss in insects: An environmental change perspective. J. Insect Physiol. 2011, 57, 1070–1084. [Google Scholar] [CrossRef] [PubMed]
- Loeschcke, V.; Krebs, R.A.; Dahlgaard, J.; Michalak, P. High-temperature stress and the evolution of thermal resistance in Drosophila. EXS 1997, 83, 175–190. [Google Scholar]
- Tong, X.; Han, M.J.; Lu, K.; Tai, S.; Liang, S.; Liu, Y.; Hu, H.; Shen, J.; Long, A.; Zhan, C.; et al. High-resolution silkworm pan-genome provides genetic insights into artificial selection and ecological adaptation. Nat. Commun. 2022, 13, 5619. [Google Scholar] [CrossRef]
- Li, Q.R.; Xiao, Y.; Wu, F.Q.; Ye, M.Q.; Luo, G.Q.; Xing, D.X.; Li, L.; Yang, Q. Analysis of midgut gene expression profiles from different silkworm varieties after exposure to high temperature. Gene 2014, 549, 85–96. [Google Scholar] [CrossRef]
- Wang, H.; Fang, Y.; Wang, L.P.; Zhu, W.J.; Ji, H.P.; Wang, H.Y.; Xu, S.Q.; Sima, Y. Transcriptome analysis of the Bombyx mori fat body after constant high temperature treatment shows differences between the sexes. Mol. Biol. Rep. 2014, 41, 6039–6049. [Google Scholar] [CrossRef]
- DeVries, Z.C.; Kells, S.A.; Appel, A.G. Estimating the critical thermal maximum (CTmax) of bed bugs, Cimex lectularius: Comparing thermolimit respirometry with traditional visual methods. Comp. Biochem. Physiol. A Mol. Integr. Physiol. 2016, 197, 52–57. [Google Scholar] [CrossRef] [PubMed]
- Bujan, J.; Yanoviak, S.P.; Kaspari, M. Desiccation resistance in tropical insects: Causes and mechanisms underlying variability in a Panama ant community. Ecol. Evol. 2016, 6, 6282–6291. [Google Scholar] [CrossRef]
- Barnes, C.L.; Blay, N.W.; Wilder, S.M. Upper thermal tolerances of different life stages, sexes, and species of widow spiders (Araneae, Theridiidae). J. Insect Physiol. 2019, 114, 10–14. [Google Scholar] [CrossRef]
- Shimomura, M.; Minami, H.; Suetsugu, Y.; Ohyanagi, H.; Satoh, C.; Antonio, B.; Nagamura, Y.; Kadono-Okuda, K.; Kajiwara, H.; Sezutsu, H.; et al. KAIKObase: An integrated silkworm genome database and data mining tool. BMC Genom. 2009, 10, 486. [Google Scholar] [CrossRef]
- Langfelder, P.; Horvath, S. WGCNA: An R package for weighted correlation network analysis. BMC Bioinform. 2008, 9, 559. [Google Scholar] [CrossRef]
- Quinlan, A.R.; Hall, I.M. BEDTools: A flexible suite of utilities for comparing genomic features. Bioinformatics 2010, 26, 841–842. [Google Scholar] [CrossRef]
- Hsu, S.K.; Jakšić, A.M.; Nolte, V.; Lirakis, M.; Kofler, R.; Barghi, N.; Versace, E.; Schlötterer, C. Rapid sex-specific adaptation to high temperature in Drosophila. eLife 2020, 9, e53237. [Google Scholar] [CrossRef]
- Li, H.; Durbin, R. Fast and accurate short read alignment with Burrows-Wheeler transform. Bioinformatics 2009, 25, 1754–1760. [Google Scholar] [CrossRef] [PubMed]
- DePristo, M.A.; Banks, E.; Poplin, R.; Garimella, K.V.; Maguire, J.R.; Hartl, C.; Philippakis, A.A.; Angel, G.D.; Rivas, M.A.; Hanna, M.; et al. A framework for variation discovery and genotyping using next-generation DNA sequencing data. Nat. Genet. 2011, 43, 491–498. [Google Scholar] [CrossRef]
- Li, H.; Handsaker, B.; Wysoker, A.; Fennell, T.; Ruan, J.; Homer, N.; Marth, G.; Abecasis, G.; Durbin, R. The sequence Alignment/Map format and SAMtools. Bioinformatics 2009, 25, 2078–2079. [Google Scholar] [CrossRef] [PubMed]
- Cingolani, P.; Platts, A.; Wang, L.L.; Coon, M.; Nguyen, T.; Wang, L.; Land, S.J.; Lu, X.Y.; Ruden, D.M. A program for annotating and predicting the effects of single nucleotide polymorphisms, SnpEff: SNPs in the genome of Drosophila melanogaster strain w1118; iso-2; iso-3. Fly 2012, 6, 80–92. [Google Scholar] [CrossRef]
- Bach, D.M.; Holzman, M.A.; Wague, F.; Miranda, J.L.; Lopatkin, A.J.; Mansfield, J.H.; Snow, J.W. Thermal stress induces tissue damage and a broad shift in regenerative signaling pathways in the honey bee digestive tract. J. Exp. Biol. 2021, 224, jeb242262. [Google Scholar] [CrossRef]
- Atkinson, D. Temperature and organism size—A biological law for ectotherms. In Advances in Ecological Research 25; Elsevier: Amsterdam, The Netherlands, 1994. [Google Scholar]
- Mortzfeld, B.M.; Taubenheim, J.; Klimovich, A.V.; Fraune, S.; Rosenstiel, P.; Bosch, T.C.G. Temperature and insulin signaling regulate body size in Hydra by the Wnt and TGF-beta pathways. Nat. Commun. 2019, 10, 3257. [Google Scholar] [CrossRef]
- Kormish, J.D.; Sinner, D.; Zorn, A.M. Interactions between SOX factors and Wnt/beta-catenin signaling in development and disease. Dev. Dyn. 2010, 239, 56–68. [Google Scholar] [CrossRef] [PubMed]
- Chen, Y.; Shi, L.; Zhang, L.; Li, R.; Liang, J.; Yu, W.; Sun, L.; Yang, X.; Wang, Y.; Zhang, Y.; et al. The molecular mechanism governing the oncogenic potential of SOX2 in breast cancer. J. Biol. Chem. 2008, 283, 17969–17978. [Google Scholar] [CrossRef] [PubMed]
- Storey, K.B.; Storey, J.M. Metabolic rate depression in animals: Transcriptional and translational controls. Biol. Rev. Camb. Philos. Soc. 2004, 79, 207–233. [Google Scholar] [CrossRef]
- Mesas, A.; Castaneda, L.E. Evolutionary responses of energy metabolism, development, and reproduction to artificial selection for increasing heat tolerance in Drosophila subobscura. Evolution 2023, 77, 509–518. [Google Scholar] [CrossRef]
- Kuo, Y.; Lu, Y.H.; Lin, Y.H.; Lin, Y.C.; Wu, Y.L. Elevated temperature affects energy metabolism and behavior of bumblebees. Insect Biochem. Mol. Biol. 2023, 155, 103932. [Google Scholar] [CrossRef]
- Picca, A.; Faitg, J.; Auwerx, J.; Ferrucci, L.; D’Amico, D. Mitophagy in human health, ageing and disease. Nat. Metab. 2023, 5, 2047–2061. [Google Scholar] [CrossRef]
- D’Arcy, M.S. Cell death: A review of the major forms of apoptosis, necrosis and autophagy. Cell Biol. Int. 2019, 43, 582–592. [Google Scholar] [CrossRef] [PubMed]
- Myllymaki, H.; Valanne, S.; Ramet, M. The Drosophila imd signaling pathway. J. Immunol. 2014, 192, 3455–3462. [Google Scholar] [CrossRef]
- Sivaloganathan, D.M.; Brynildsen, M.P. Phagosome-bacteria interactions from the bottom up. Annu. Rev. Chem. Biomol. Eng. 2021, 12, 309–331. [Google Scholar] [CrossRef] [PubMed]
- Chapman, R.F. The Insects: Structure and Function, 4th ed.; Cambridge University Press: Cambridge, UK, 1998. [Google Scholar]
- Chandran, R.; Williams, L.; Hung, A.; Nowlin, K.; LaJeunesse, D. SEM characterization of anatomical variation in chitin organization in insect and arthropod cuticles. Micron 2016, 82, 74–85. [Google Scholar] [CrossRef] [PubMed]
- Fan, H.Y.; Klein, H.L. Characterization of mutations that suppress the temperature-sensitive growth of the hpr1 delta mutant of Saccharomyces cerevisiae. Genetics 1994, 137, 945–956. [Google Scholar] [CrossRef] [PubMed]
- Fan, H.Y.; Cheng, K.K.; Klein, H.L. Mutations in the RNA polymerase II transcription machinery suppress the hyperrecombination mutant hpr1 delta of Saccharomyces cerevisiae. Genetics 1996, 142, 749–759. [Google Scholar] [CrossRef]
- Xiang, H.; Liu, X.J.; Li, M.W.; Zhu, Y.N.; Wang, L.Z.; Cui, Y.; Liu, L.Y.; Fang, G.Q.; Qian, H.Y.; Xu, A.Y.; et al. The evolutionary road from wild moth to domestic silkworm. Nat. Ecol. Evol. 2018, 2, 1268–1279. [Google Scholar] [CrossRef]










Disclaimer/Publisher’s Note: The statements, opinions and data contained in all publications are solely those of the individual author(s) and contributor(s) and not of MDPI and/or the editor(s). MDPI and/or the editor(s) disclaim responsibility for any injury to people or property resulting from any ideas, methods, instructions or products referred to in the content. |
© 2025 by the authors. Licensee MDPI, Basel, Switzerland. This article is an open access article distributed under the terms and conditions of the Creative Commons Attribution (CC BY) license (https://creativecommons.org/licenses/by/4.0/).
Share and Cite
Zhuo, J.; Zhang, Y.; Gao, X.; Liang, C.; Zhang, G.; Bi, L.; Wei, W.; Fang, S.; Tong, X.; Dai, F.; et al. Adaptation to Hot and Humid Climates in the Silkworm: Energy Reallocation and Cuticle Transpiration. Insects 2025, 16, 962. https://doi.org/10.3390/insects16090962
Zhuo J, Zhang Y, Gao X, Liang C, Zhang G, Bi L, Wei W, Fang S, Tong X, Dai F, et al. Adaptation to Hot and Humid Climates in the Silkworm: Energy Reallocation and Cuticle Transpiration. Insects. 2025; 16(9):962. https://doi.org/10.3390/insects16090962
Chicago/Turabian StyleZhuo, Jiajun, Yuli Zhang, Xing Gao, Cailin Liang, Guizheng Zhang, Lihui Bi, Wei Wei, Shoumin Fang, Xiaoling Tong, Fangyin Dai, and et al. 2025. "Adaptation to Hot and Humid Climates in the Silkworm: Energy Reallocation and Cuticle Transpiration" Insects 16, no. 9: 962. https://doi.org/10.3390/insects16090962
APA StyleZhuo, J., Zhang, Y., Gao, X., Liang, C., Zhang, G., Bi, L., Wei, W., Fang, S., Tong, X., Dai, F., Lu, C., & Yu, Q. (2025). Adaptation to Hot and Humid Climates in the Silkworm: Energy Reallocation and Cuticle Transpiration. Insects, 16(9), 962. https://doi.org/10.3390/insects16090962

