Ultrastructure of the Spermiogenesis in Halyomorpha halys (Hemiptera: Pentatomidae): X-Irradiation and New Insights on the Centriolar Region Organization
Abstract
Simple Summary
Abstract
1. Introduction
2. Materials and Methods
2.1. Origin and Rearing of the Insect
2.2. Light Microscopy
2.3. Immunofluorescence Preparations
2.4. Transmission Electron Microscopy (TEM)
2.5. X-Irradiation
2.6. Statistical Analysis
3. Results
3.1. Male Genital Apparatus
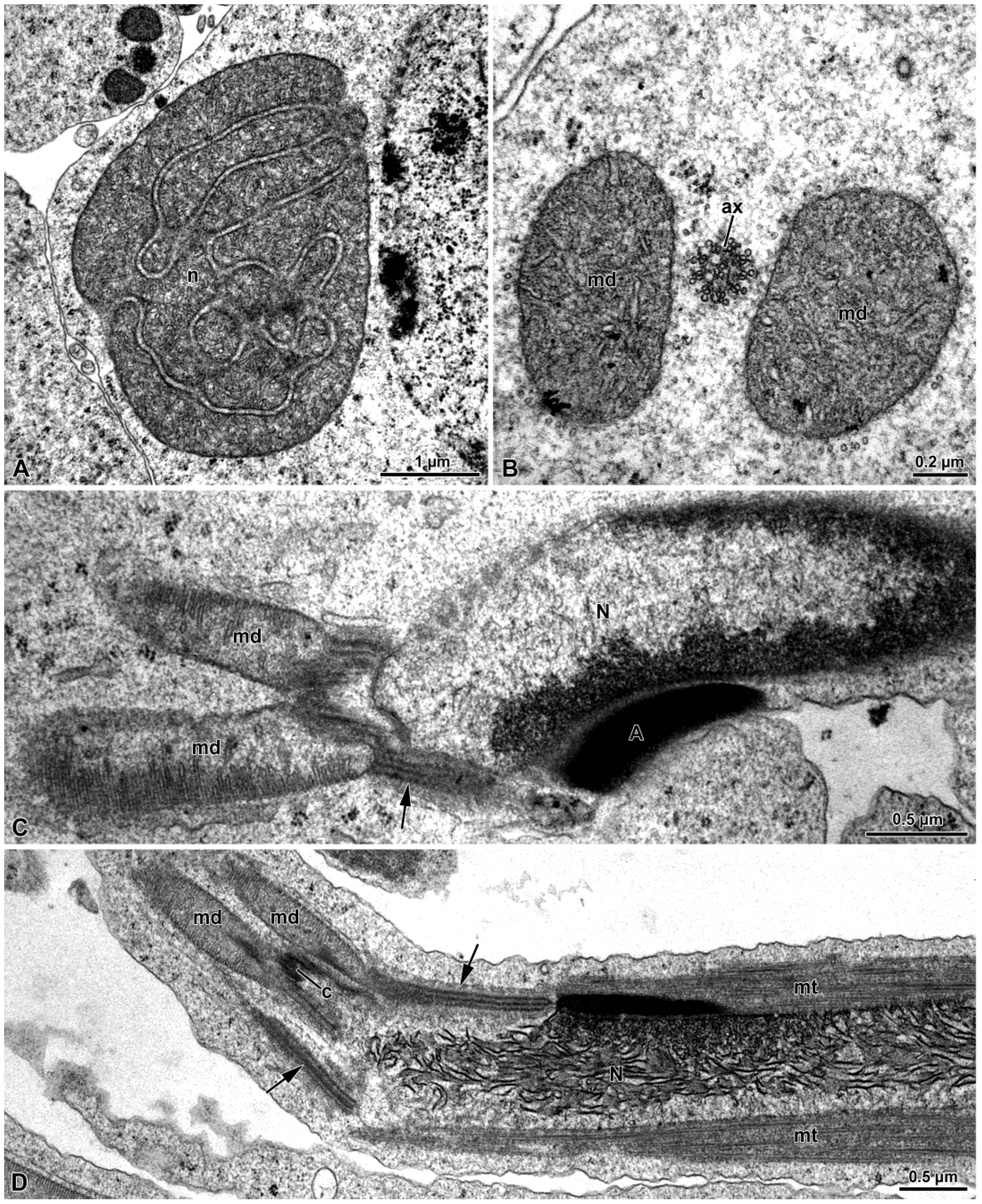
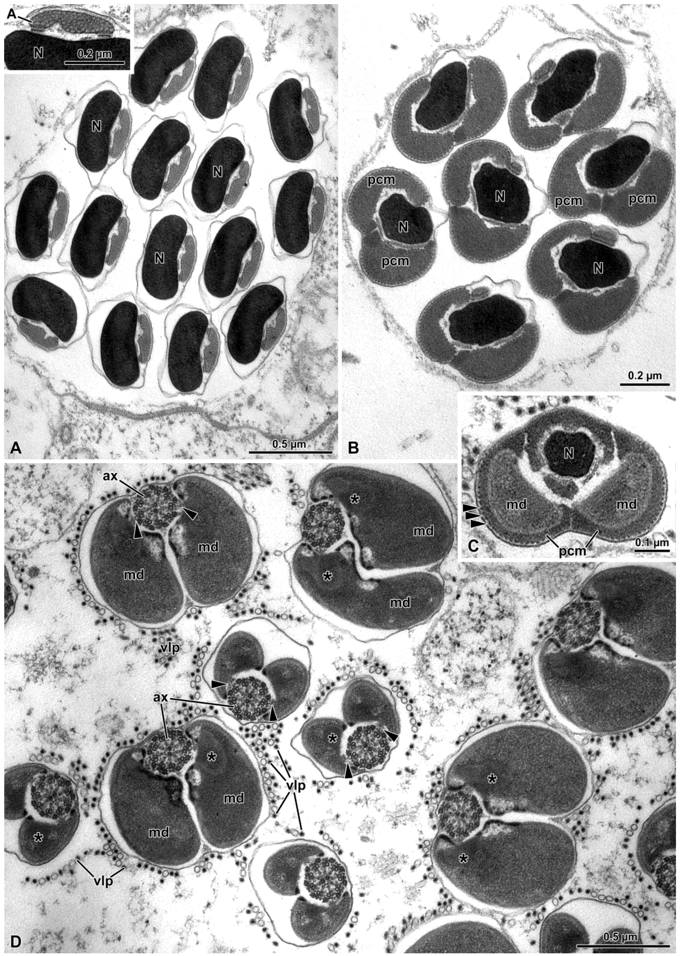
3.2. Spermiogenesis
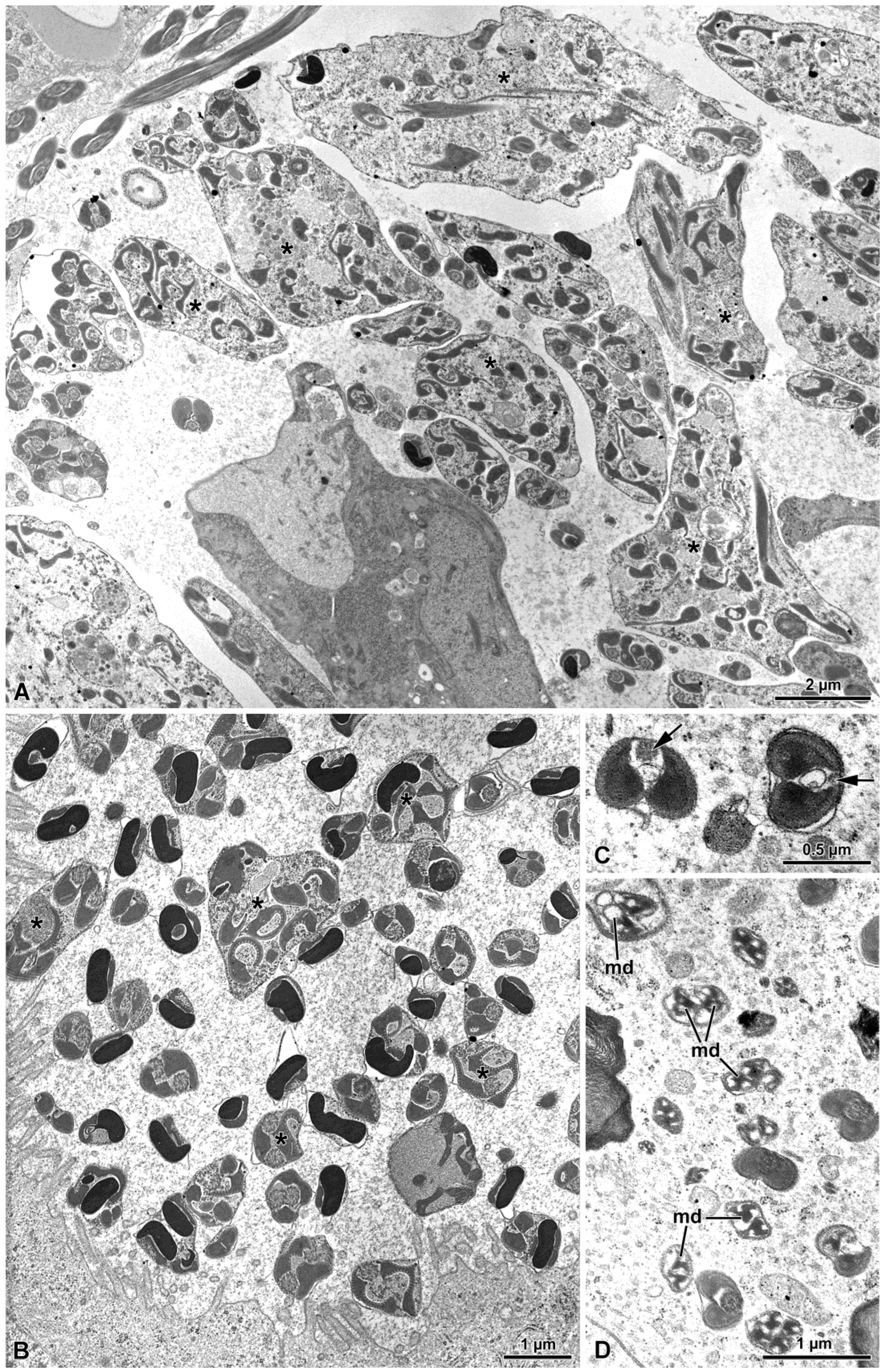
3.3. Γ-Irradiation
3.4. Virus-Like Particles
4. Discussion
Author Contributions
Funding
Data Availability Statement
Acknowledgments
Conflicts of Interest
References
- Nielsen, A.L.; Hamilton, G.C. Seasonal occurrence and impact of Halyomorpha halys (Hemiptera: Pentatomidae) in tree fruit. J. Econ. Entomol. 2009, 102, 1133–1140. [Google Scholar] [CrossRef]
- Nielsen, A.L.; Hamilton, G.C.; Shearer, P.W. Seasonal phenology and monitoring of the non-native Halyomorpha halys (Hemiptera: Pentatomidae) in soybean. Environ. Entomol. 2011, 40, 231–238. [Google Scholar] [CrossRef]
- Leskey, T.C.; Hamilton, G.C.; Nielsen, A.L.; Polk, D.; Rodriguez-Saona, C.; Bergh, J.C.; Herbert, D.A.; Kuhar, T.; Pfeiffer, D.; Dively, G.; et al. Pest status of the brown marmorated stink bug, Halyomorpha halys (Stål) in the USA. Outlooks Pest. Manag. 2012, 23, 218–226. [Google Scholar] [CrossRef]
- Owens, D.R.; Herbert, D.A., Jr.; Dively, G.P.; Reisig, D.D.; Kuhar, T.P. Does feeding by Halyomorpha halys (Hemiptera: Pentatomidae) reduce soybean seed quality and yield? J. Econ. Entomol. 2013, 106, 1317–1323. [Google Scholar] [CrossRef]
- Bariselli, M.; Bugiani, R.; Maistrello, L. Distribution and damage caused by Halyomorpha halys in Italy. Eppo Bull. 2016, 46, 332–334. [Google Scholar] [CrossRef]
- Leskey, T.C.; Lee, D.H.; Short, B.D.; Wright, S.E. Impact of insecticides on the invasive Halyomorpha halys (Hemiptera: Pentatomidae): Analysis of insecticide lethality. J. Econ. Entomol. 2012, 105, 1726–1735. [Google Scholar] [CrossRef]
- Knipling, E.F. Possibilities of insect control or eradication through the use of sexually sterile males. J. Econ. Entomol. 1955, 48, 459–462. [Google Scholar] [CrossRef]
- Klassen, W.; Curtis, C.F.; Hendrichs, J. History of the sterile insect technique. In Sterile Insect Technique: Principles and Practice in Area-Wide Integrated Pest Management, 2nd ed.; Dyck, V.A., Hendrichs, J., Robinson, A.S., Eds.; CRC Press: Boca Raton, FL, USA, 2021; pp. 1–44. [Google Scholar] [CrossRef]
- Lance, D.R.; McInnis, D.O. Biological basis of the sterile insect technique. In Sterile Insect Technique: Principles and Practice in Area-Wide Integrated Pest Management, 2nd ed.; Dyck, V.A., Hendrichs, J., Robinson, A.S., Eds.; CRC Press: Boca Raton, FL, USA, 2021; pp. 113–142. [Google Scholar] [CrossRef]
- Suckling, D.M.; Cristofaro, M.; Roselli, G.; Levy, M.C.; Cemmi, A.; Mazzoni, V.; Stringer, L.D.; Zeni, V.; Ioriatti, C.; Anfora, G. The competitive mating of irradiated brown marmorated stink bugs, Halyomorpha halys, for the sterile insect technique. Insects 2019, 10, 411. [Google Scholar] [CrossRef]
- Yang, S.Y.; Zhan, H.X.; Zhang, F.; Babendreier, D.; Zhong, Y.Z.; Lou, Q.Z.; Zhong, Y.; Zhang, J.P. Development and fecundity of Trissolcus japonicus on fertilized and unfertilized eggs of the brown marmorated stink bug, Halyomorpha halys. J. Pest. Sci. 2018, 91, 1335–1343. [Google Scholar] [CrossRef]
- Cornelius, M.L.; Dieckhoff, C.; Hoelmer, K.A.; Olsen, R.T.; Weber, D.C.; Herlihy, M.V.; Talamas, E.J.; Vinyard, B.T.; Greenstone, M.H. Biological control of sentinel egg masses of the exotic invasive stink bug Halyomorpha halys (Stål) in Mid-Atlantic USA ornamental landscapes. Biol. Control 2016, 103, 11–20. [Google Scholar] [CrossRef]
- Stahl, J.; Tortorici, F.; Pontini, M.; Bon, M.C.; Hoelmer, K.A.; Marazzi, C.; Tavella, L.; Haye, T. First discovery of adventive populations of Trissolcus japonicus in Europe. J. Pest. Sci. 2019, 92, 371–379. [Google Scholar] [CrossRef]
- Horrocks, K.J.; Avila, G.A.; Holwell, G.I.; Suckling, D.M. Integrating sterile insect technique with the release of sterile classical biocontrol agents for eradication: Is the Kamikaze Wasp Technique feasible? BioControl 2020, 65, 257–271. [Google Scholar] [CrossRef]
- Kapranas, A.; Collatz, J.; Michaelakis, A.; Milonas, P. Review of the role of sterile insect technique within biologically-based pest control–An appraisal of existing regulatory frameworks. Entomol. Exp. Appl. 2022, 170, 385–393. [Google Scholar] [CrossRef]
- Cristofaro, M.; Sforza, R.F.H.; Roselli, G.; Paolini, A.; Cemmi, A.; Musmeci, S.; Anfora, G.; Mazzoni, V.; Grodowitz, M. Effects of gamma irradiation on the fecundity, fertility, and longevity of the invasive stink bug pest Bagrada hilaris (Burmeister) (Hemiptera: Pentatomidae). Insects 2022, 13, 787. [Google Scholar] [CrossRef] [PubMed]
- Roselli, G.; Anfora, G.; Sasso, R.; Zapponi, L.; Musmeci, S.; Cemmi, A.; Suckling, D.M.; Hoelmer, K.A.; Ioriatti, C.; Cristofaro, M. Combining irradiation and biological control against brown marmorated stink bug: Are sterile eggs a suitable substrate for the egg parasitoid Trissolcus japonicus? Insects 2023, 14, 654. [Google Scholar] [CrossRef] [PubMed]
- Dallai, R.; Afzelius, B.A. Characteristics of the sperm structure in Heteroptera (Hemiptera, Insecta). J. Morphol. 1980, 164, 301–309. [Google Scholar] [CrossRef]
- Godula, J. Studies of the spermatogenesis in the firebug, Pyrrhocoris apterus L. (Heteroptera). I. A unique basal body-associated plaque carrying a Microtubule Organizing Center (MTOC) in spermatids. J. Ultrastruct. Res. 1979, 68, 209–219. [Google Scholar] [CrossRef] [PubMed]
- Danilova, L.V.; Gaber, E.S.; Shinyaeva, L.I. Spermiogenesis and the ultrastructure of mature sperm in Eurygaster intergriceps. Gamete Res. 1984, 9, 75–86. [Google Scholar] [CrossRef]
- Dias, G.; Lino-Neto, J.; Mercati, D.; Dallai, R. The sperm structure and spermiogenesis of the heteropteran Coptosoma scutellatum (Geoffroy) with emphasis on the development of the centriole adjunct. Micron 2016, 82, 33–40. [Google Scholar] [CrossRef]
- Swallow, J.G.; Wilkinson, G.S. The long and short of sperm polymorphisms in insects. Biol. Rev. 2002, 77, 153–182. [Google Scholar] [CrossRef]
- Araújo, V.A.; Lino-Neto, J.; de Sousa Ramalho, F.; Zanuncio, J.C.; Serrão, J.E. Ultrastructure and heteromorphism of spermatozoa in five species of bugs (Pentatomidae: Heteroptera). Micron 2011, 42, 560–567. [Google Scholar] [CrossRef]
- Mercati, D.; Dallai, R. A peculiar new virus-spermatozoon association in the bug Raphigaster nebulosa (Poda) (Heteroptera-Insecta). Arthropod Struct. Dev. 2016, 45, 64–68. [Google Scholar] [CrossRef]
- Fernandez, A.D.P.; Báo, S.N. Immunoelectron microscopical detection of tubulins during spermiogenesis in phytophagous bugs (Hemiptera: Pentatomidae). Invertebr. Reprod. Dev. 2001, 40, 163–170. [Google Scholar] [CrossRef]
- Mayer, M.S.; Brazzel, J.R. Laboratory studies to sterilize the boll weevil with radiation. Ann. Entomol. Soc. Am. 1966, 59, 284–290. [Google Scholar] [CrossRef]
- Mainardi, C.E.; Peccerillo, C.; Paolini, A.; Cemmi, A.; Sforza, R.F.; Musmeci, S.; Porretta, D.; Cristofaro, M. Using gamma irradiation to predict sperm competition mechanism in Bagrada hilaris (Burmeister) (Hemiptera: Pentatomidae): Insights for a Future Management Strategy. Insects 2023, 14, 681. [Google Scholar] [CrossRef]
- Roselli, G.; Anfora, G.; Suckling, D.M.; Mazzoni, V.; Vanoni, V.; Menegotti, L.; Fellin, L.; Rossi Stacconi, M.V.; Ioratti, C.; Cristofaro, M. Effects of irradiation on biology and mating behaviour of wild males of brown marmorated stink bug using a 6 MV Medical Linear Accelerator. Insects 2023, 14, 460. [Google Scholar] [CrossRef]
- Fuller, M.T. Spermatogenesis. In The Development of Drosophila Melanogaster; Bate, M., Martinez Arias, A., Eds.; Cold Spring Harbor Laboratory Press: Cold Spring Harbor, NY, USA, 1993; pp. 71–147. [Google Scholar]
- González, C.; Tavosanis, G.; Mollinari, C. Centrosomes and microtubule organisation during Drosophila development. J. Cell Sci. 1998, 111, 2697–2706. [Google Scholar] [CrossRef] [PubMed]
- Callaini, G.; Riparbelli, M.G.; Dallai, R. Centrosome inheritance in insects: Fertilization and parthenogenesis. Biol. Cell 1999, 91, 355–366. [Google Scholar] [CrossRef]
- Dallai, R.; Paoli, F.; Mercati, D.; Lupetti, P. The centriole adjunct of insects: Need to update the definition. Tissue Cell 2016, 48, 104–113. [Google Scholar] [CrossRef] [PubMed]
- Blachon, S.; Cai, X.; Roberts, K.A.; Yang, K.; Polyanovsky, A.; Church, A.; Avidor-Reiss, T. A proximal centriole-like structure is present in Drosophila spermatids and can serve as a model to study centriole duplication. Genetics 2009, 182, 133–144. [Google Scholar] [CrossRef] [PubMed]
- Avidor-Reiss, T.; Khire, A.; Fishman, E.L.; Jo, K.H. Atypical centrioles during sexual reproduction. Front. Cell Dev. Biol. 2015, 3, 21. [Google Scholar] [CrossRef]
- Paoli, F.; Roversi, P.F.; Benassai, D.; Squarcini, M.; Mercati, D.; Dallai, R. The sperm of Matsucoccus feytaudi (Insecta, Coccoidea): Can the microtubular bundle be considered as a true flagellum? Arthropod Struct. Dev. 2015, 44, 142–156. [Google Scholar] [CrossRef]
- Paoli, F.; Roversi, P.F.; Gottardo, M.; Callaini, G.; Mercati, D.; Dallai, R. A microtubule organizing centre (MTOC) is responsible for the production of the sperm flagellum in Matsucoccus feytaudi (Hemiptera: Coccoidea). Arthropod Struct. Dev. 2015, 44, 237–242. [Google Scholar] [CrossRef]
- Fuller, M.T. Genetic control of cell proliferation and differentiation in Drosophila spermatogenesis. Semin. Cell Dev. Biol. 1998, 9, 433–444. [Google Scholar] [CrossRef] [PubMed]
- Giovannini, L.; Mazza, G.; Chitarra, W.; Sabbatini-Peverieri, G.; Sonnati, C.; Roversi, P.F.; Nerva, L. New insights from the virome of Halyomorpha halys (Stål, 1855). Virus Res. 2022, 316, 198802. [Google Scholar] [CrossRef] [PubMed]
- Afzelius, B.A.; Alberti, G.; Dallai, R.; Godula, J.; Witalinski, W. Virus-Rickettsia-Infected sperm cells in Arthropods. J. Invert. Pathol. 1989, 53, 365–377. [Google Scholar] [CrossRef]









| Length | SE | ||
|---|---|---|---|
| Acrosome | Small | 4.53 | 0.35 |
| Medium | 3.54 | 0.39 | |
| Large | 3.48 | 0.30 | |
| Nucleus | Small | 25.59 | 0.68 |
| Medium | 22.69 | 0.66 | |
| Large | 25.83 | 0.47 | |
| Flagellum | Small | 113.71 | 0.74 |
| Medium | 151.71 | 2.87 | |
| Large | 249.32 | 2.85 | |
| Total length | Small | 142.83 | 0.94 |
| Medium | 177.94 | 2.92 | |
| Large | 277.90 | 2.92 |
Disclaimer/Publisher’s Note: The statements, opinions and data contained in all publications are solely those of the individual author(s) and contributor(s) and not of MDPI and/or the editor(s). MDPI and/or the editor(s) disclaim responsibility for any injury to people or property resulting from any ideas, methods, instructions or products referred to in the content. |
© 2024 by the authors. Licensee MDPI, Basel, Switzerland. This article is an open access article distributed under the terms and conditions of the Creative Commons Attribution (CC BY) license (https://creativecommons.org/licenses/by/4.0/).
Share and Cite
Paoli, F.; Cristofaro, M.; Roselli, G.; Sasso, R.; Musmeci, S.; Barbieri, F.; Sciandra, C.; Vanoni, V.; Menegotti, L.; Roversi, P.F.; et al. Ultrastructure of the Spermiogenesis in Halyomorpha halys (Hemiptera: Pentatomidae): X-Irradiation and New Insights on the Centriolar Region Organization. Insects 2024, 15, 505. https://doi.org/10.3390/insects15070505
Paoli F, Cristofaro M, Roselli G, Sasso R, Musmeci S, Barbieri F, Sciandra C, Vanoni V, Menegotti L, Roversi PF, et al. Ultrastructure of the Spermiogenesis in Halyomorpha halys (Hemiptera: Pentatomidae): X-Irradiation and New Insights on the Centriolar Region Organization. Insects. 2024; 15(7):505. https://doi.org/10.3390/insects15070505
Chicago/Turabian StylePaoli, Francesco, Massimo Cristofaro, Gerardo Roselli, Raffaele Sasso, Sergio Musmeci, Francesco Barbieri, Chiara Sciandra, Valentina Vanoni, Loris Menegotti, Pio Federico Roversi, and et al. 2024. "Ultrastructure of the Spermiogenesis in Halyomorpha halys (Hemiptera: Pentatomidae): X-Irradiation and New Insights on the Centriolar Region Organization" Insects 15, no. 7: 505. https://doi.org/10.3390/insects15070505
APA StylePaoli, F., Cristofaro, M., Roselli, G., Sasso, R., Musmeci, S., Barbieri, F., Sciandra, C., Vanoni, V., Menegotti, L., Roversi, P. F., Anfora, G., Mercati, D., & Dallai, R. (2024). Ultrastructure of the Spermiogenesis in Halyomorpha halys (Hemiptera: Pentatomidae): X-Irradiation and New Insights on the Centriolar Region Organization. Insects, 15(7), 505. https://doi.org/10.3390/insects15070505

