Identification and Expression Profiling of the 5-HT Receptor Gene in Harmonia axyridis
Abstract
Simple Summary
Abstract
1. Introduction
2. Materials and Methods
2.1. Insects
2.2. The mRNA Isolation and cDNA Synthesis
2.3. Cloning of the Serotonin Receptor Gene from H. axyridis
2.4. Multiple Sequence Alignment and Phylogenetic Analysis
2.5. Quantitative Real-Time PCR (qRT-PCR)
2.6. Statistical Analysis
3. Results
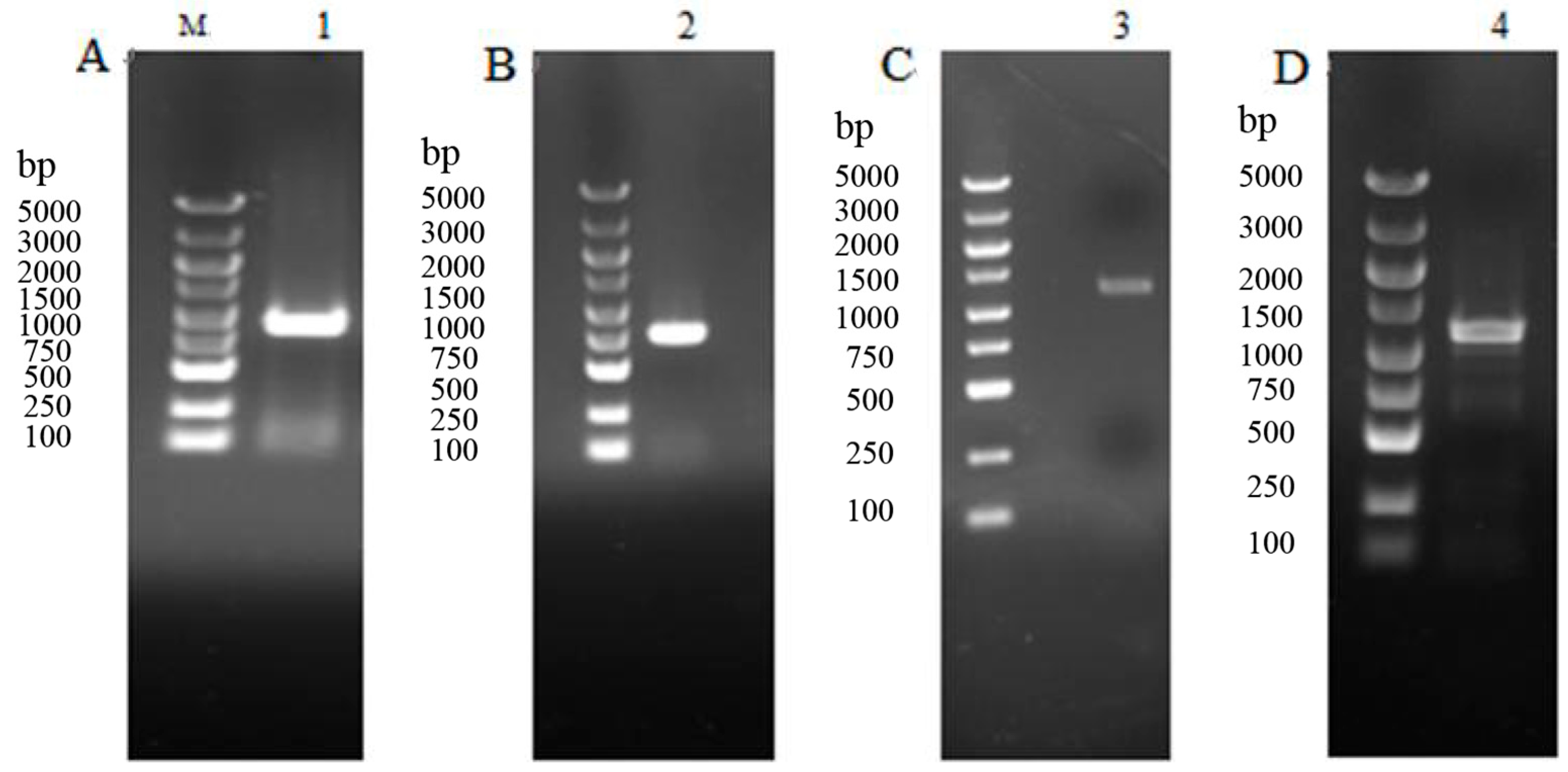
3.1. Cloning of the 5-HT Receptor Gene
3.2. Multiple Sequence Analysis of 5-HT Receptor Genes
3.3. Expression Pattern of 5-HT Receptor Genes in Different Developmental Stages in H. axyridis
3.4. The Expression Pattern of 5-HT Receptor Genes in Different Tissues in H. axyridis
4. Discussion
Author Contributions
Funding
Data Availability Statement
Acknowledgments
Conflicts of Interest
References
- Nichols, D.E.; Nichols, C.D. Serotonin receptors. Chem. Rev. 2008, 108, 1614–1641. [Google Scholar] [CrossRef] [PubMed]
- Lange, A.B. A neurohormonal role for serotonin in the control of locust oviducts. Arch. Insect Biochem. Physiol. 2004, 56, 179–190. [Google Scholar] [CrossRef] [PubMed]
- Neckameyer, W.S. A trophic role for serotonin in the development of a simple feeding circuit. Dev. Neurosci. 2010, 32, 217–237. [Google Scholar] [CrossRef] [PubMed]
- Liu, S.S.; Li, A.Y.; Witt, C.M.; Pérez de León, A.A. Effects of reserpine on reproduction and serotonin immunoreactivity in the stable fly Stomoxys calcitrans (L.). J. Insect Physiol. 2013, 59, 974–982. [Google Scholar] [CrossRef]
- Ling, L.; Raikhel, A.S. Serotonin signaling regulates insulin-like peptides for growth, reproduction, and metabolism in the disease vector Aedes aegypti. Proc. Natl. Acad. Sci. USA 2018, 115, E9822–E9831. [Google Scholar] [CrossRef]
- Wang, Q.; Mohamed, A.A.M.; Takeda, M. Serotonin receptor B may lock the gate of PTTH release/synthesis in the Chinese silk moth, Antheraea pernyi; A diapause initiation/maintenance mechanism? PLoS ONE 2013, 8, e79381. [Google Scholar] [CrossRef]
- Liscia, A.; Solari, P.; Gibbons, S.T.; Gelperin, A.; Stoffolano, J.G., Jr. Effect of serotonin and calcium on the supercontractile muscles of the adult blowfly crop. J. Insect Physiol. 2012, 58, 356–366. [Google Scholar] [CrossRef]
- French, A.S.; Simcock, K.L.; Rolke, D.; Gartside, S.E.; Blenau, W.; Wright, G.A. The role of serotonin in feeding and gut contractions in the honeybee. J. Insect Physiol. 2014, 61, 8–15. [Google Scholar] [CrossRef]
- Wright, G.A. The role of dopamine and serotonin in conditioned food aversion learning in the honeybee. Commun. Integr. Biol. 2011, 4, 318–320. [Google Scholar] [CrossRef]
- Dierick, H.A.; Greenspan, R.J. Serotonin and neuropeptide F have opposite modulatory effects on fly aggression. Nat. Genet. 2007, 39, 678–682. [Google Scholar] [CrossRef]
- Moncalvo, V.; Campos, A.R. Role of serotonergic neurons in the Drosophila larval response to light. BMC Neurosci. 2009, 10, 66. [Google Scholar]
- Thamm, M.; Balfanz, S.; Scheiner, R.; Baumann, A.; Blenau, W. Characterization of the 5-HT1A receptor of the honeybee (Apis mellifera) and involvement of serotonin in phototactic behavior. Cell. Mol. Life Sci. 2010, 67, 2467–2479. [Google Scholar] [CrossRef] [PubMed]
- Kloppenburg, P.; Mercer, A.R. Serotonin modulation of moth central olfactory neurons. Annu. Rev. Entomol. 2008, 53, 179–190. [Google Scholar] [CrossRef] [PubMed]
- Tomioka, K.; Ikeda, M.; Nagao, T.; Tamotsu, S. Involvement of serotonin in the circadian rhythm of an insect visual system. Naturwissenschaften 1993, 80, 137–139. [Google Scholar] [CrossRef]
- Yuan, Q.; Lin, F.; Zheng, X.; Sehgal, A. Serotonin modulates circadian entrainment in Drosophila. Neuron 2005, 47, 115–127. [Google Scholar] [CrossRef] [PubMed]
- Yuan, Q.; Joiner, W.J.; Sehgal, A. A sleep-promoting role for the Drosophila serotonin receptor 1A. Curr. Biol. 2006, 16, 1051–1062. [Google Scholar] [CrossRef]
- Kim, G.S.; Kim, Y. Up-regulation of circulating hemocyte population in response to bacterial challenge is mediated by octopamine and 5-hydroxytryptamine via rac1 signal in Sodoptera exigua. J. Insect Physiol. 2010, 56, 559–566. [Google Scholar] [CrossRef]
- Silva, B.; Goles, N.I.; Varas, R.; Campusano, J.M. Serotonin receptors expressed in Drosophila mushroom bodies differentially modulate larval locomotion. PLoS ONE 2014, 9, e89641. [Google Scholar] [CrossRef]
- Majeed, Z.R.; Stacy, A.; Cooper, R.L. Pharmacological and genetic identification of serotonin receptor subtypes on Drosophila larval heart and aorta. J. Comp. Physiol. 2014, 184, 205–219. [Google Scholar] [CrossRef]
- Anstey, M.L.; Rogers, S.M.; Ott, S.R.; Burrows, M.; Simpson, S.J. Serotonin mediates behavioral gregarization underlying swarm formation in desert locusts. Science 2009, 323, 62730. [Google Scholar] [CrossRef]
- Peroutka, S.J.; Howell, T.A. The molecular evolution of G protein-coupled receptors: Focus on 5-hydroxytryptamine receptors. Neuropharmacology 1994, 33, 319–324. [Google Scholar] [CrossRef]
- Vleugels, R.; Velinden, H.; Broeckj, V. Serotonin, serotonin receptors and their actions in insects. Neurotransimitter 2015, 2, e314. [Google Scholar]
- Ji, T.H.; Grossmann, M.; Ji, I. G protein-coupled receptors. I. Diversity of receptor-ligand interactions. J. Biol. Chem. 1998, 273, 17299–17302. [Google Scholar] [CrossRef] [PubMed]
- Hill, C.A.; Fox, A.N.; Pitts, R.J.; Kent, L.B.; Tan, P.L.; Chrystal, M.A.; Cravchik, A.; Collins, F.H.; Robertson, H.M.; Zwiebel, L.J. G protein-coupled receptors in Anopheles gambiae. Science 2002, 298, 176–178. [Google Scholar] [CrossRef] [PubMed]
- Brody, T.; Cravchik, A. Drosophila melanogaster G protein–coupled receptors. J. Cell Biol. 2000, 150, 83–88. [Google Scholar] [CrossRef] [PubMed]
- Röser, C.; Jordan, N.; Balfanz, S.; Baumann, A.; Walz, B.; Baumann, O.; Blenau, W. Molecular and pharmacological characterization of serotonin 5-HT2α and 5-HT7 receptors in the salivary glands of the blowfly Calliphora vicina. PLoS ONE 2012, 7, e49459. [Google Scholar] [CrossRef]
- Qi, Y.X.; Jin, M.; Ni, X.Y.; Ye, G.Y.; Lee, Y.; Huang, J. Characterization of three serotonin receptors from the small white butterfly, Pieris rapae. Insect Biochem. Mol. Bology 2017, 87, 107–116. [Google Scholar] [CrossRef]
- Qi, Y.X.; Xia, R.Y.; Wu, Y.S.; Stanley, D.; Huang, J.; Ye, G.Y. Larvae of the small white butterfly, Pieris rapae, express a novel serotonin receptor. J. Neurochem. 2014, 131, 767–777. [Google Scholar] [CrossRef]
- Li, M.Z.; Li, Y.X.; Chen, J.; Zhang, L.; Liao, C.H.; Han, Q. Bioinformatics analysis of the Aedes aegypti 5-HT receptor family and construction of spatial and temporal expression profiles. J. South China Univ. Trop. Agric. 2021, 12, 347–355+403. [Google Scholar]
- Wang, S.; Zhang, R.Z.; Zhang, F. Research progress on biology and ecology of Hamonia axyridis Pallas (Coleoptera: Coccinellidae). Chin. J. Appl. Ecol. 2007, 18, 2117–2126. [Google Scholar]
- Tamura, K.; Peterson, D.; Peterson, N.; Stecher, G.; Nei, M.; Kumar, S. MEGA5: Molecular evolutionary genetics analysis using maximum likelihood, evolutionary distance, and maximum parsimony methods. Mol. Biol. Evol. 2011, 28, 2731–2739. [Google Scholar] [CrossRef] [PubMed]
- Livak, K.J.; Schmittgen, T. Analysis of relative gene expression data using real-time quantitative PCR and the 2−∆∆CT method. Methods 2001, 25, 402–408. [Google Scholar] [CrossRef]
- Wang, H.X.; Chen, S.T.; Wang, K.; Gao, X.Y.; Xie, G.Y.; Chen, W.P.; Zhao, X.C. Cloning and expression analysis of the 5-HT1 and 5-HT2 genes in Helicoverpa armigera. Plant Prot. 2023, 49, 147–156+163. [Google Scholar]
- Zhao, T.X.; Yuan, M.L. Biological and ecological characteristics of Harmonia axyridis in China. Pratacultural Sci. 2017, 34, 614–629. [Google Scholar]
- Yu, H.X. Effects of Photoperiod on Biological and Physiological Characteristics and Predation of Harmonia axyridis (Pallas) under Low Temperature. Master’s Thesis, Qingdao Agricultural University, Qingdao, China, 2022. [Google Scholar]
- Vanhoenacker, P.; Haegeman, G.; Leysen, J.E. 5-HT7 receptors: Current knowledge and future prospects. Trends Pharmacol. Sci. 2000, 21, 70–77. [Google Scholar] [CrossRef] [PubMed]
- Osborne, R.H.; Banner, S.E.; Wood, S.J. The Pharmacology of the gut of the desert locust Schhistocerca gregaria and other Insects. Comp. Biochem. Physiol. 1990, 96, 1–9. [Google Scholar]
- Falibene, A.; Rössler, W.; Josens, R. Serotonin depresses feeding behaviour in ants. J. Insect Physiol. 2012, 58, 7–17. [Google Scholar] [CrossRef] [PubMed]
- Molaei, G.; Lange, A.B. The association of serotonin with the alimentary canal of the African migratory locust, Locusta migratoria: Distribution, physiology and pharmacological profile. J. Insect Physiol. 2003, 49, 1073–1082. [Google Scholar] [CrossRef]
- Watanabe, T.; Sadamoto, H.; Aonuma, H. Identification and expression analysis of the genes involved in serotonin biosynthesis and transduction in the field cricket Gryllus bimaculatus. Insect Mol. Biol. 2011, 20, 619–635. [Google Scholar] [CrossRef] [PubMed]
- Li, H.Y.; Li, Y.; Chen, X.; Chen, P. Gene cloning and expression analysis of 5-HT receptors in silkworm (Bombyx mori). Sci. Agric. Sin. 2015, 48, 987–1001. [Google Scholar]
- Huang, G.Y. Cloning and Expression Analysis of 5-HT7 and DA2 in Several Physiological Processes of Eriocheir sinensis. Master’s Thesis, Shanghai Ocean University, Shanghai, China, 2018. [Google Scholar]





| Gene | Primer Name | Primer Sequence (5′-3′) | Annealing Temperature/°C |
|---|---|---|---|
| Haxy019702.1 | 02F | AGGTACATTGTTGAGTTGCAGC | 52 |
| 02R | TAAATGGAGGAGGCAGTAGAGA | ||
| Haxy019754 | 54F | CACGAAAAAGGGTAGCCAGCA | 55 |
| 54R | CGCACTCCCACCAGAAGAAGC | ||
| Haxy004670.1 | 70F | AAAGGCAACCAACAAACTACAAA | 50 |
| 70R | CCAAGAGAGAGAAGAAAGAGACG | ||
| Haxy005697.1 | 97F | GAGGGCTGCCAACAGACCACGAA | 52 |
| 97R | CGCTGACTCAAAGAAGGAACGGA |
| Receptor | Name | Species | Accession Number |
|---|---|---|---|
| 5-HT1 | Drosophila 5-HT1A | Drosophila melanogaster | NP_476802 |
| Antheraea 5-HT1A | Antheraea pernyi | ABY85410 | |
| Tribolium 5-HT1A | Tribolium castaneum | XP_967449 | |
| Periplaneta 5-HT1A | Periplaneta americana | CAX65666 | |
| Drosophila 5-HT1B | Drosophila melanogaster | NP_523789 | |
| Antheraea 5-HT1B | Antheraea pernyi | ABY85411 | |
| Tribolium 5-HT1B | Tribolium castaneum | XP_972856 | |
| Procambarus 5-HT1 | Procambarus clarkii | ABX10973 | |
| Penaeus 5-HT1 | Penaeus monodon | AAV48573 | |
| Caenorhabditis Ser-4 | Caenorhabditis elegans | NP_497452 | |
| Haemonchus 5-HT1 | Haemonchus contortus | AAO45883 | |
| Aplysia 5-HTap1 | Aplysia californica | AAC28786 | |
| Mizuhopecten 5-HT1 | Mizuhopecten yessoensis | BAE72141 | |
| Mus 5-HT1A | Mus musculus | NP_032334 | |
| Danio 5-HT1A | Danio rerio | NP_001116793 | |
| 5-HT2 | Drosophila 5-HT2A | Drosophila melanogaster | NP_730859 |
| Apis 5-HT2A | Apis mellifera | NP_001189389 | |
| Tribolium 5-HT2A | Tribolium castaneum | XP_972327 | |
| Drosophila 5-HT2B | Drosophila melanogaster | NP_649806 | |
| Apis 5-HT2B | Apis mellifera | NP_001191178 | |
| Tribolium 5-HT2B | Tribolium castaneum | EFA04642 | |
| Procambarus 5-HT2 | Procambarus clarkii | ABX10972 | |
| Caenorhabditis 5-HT2 | Caenorhabditis elegans | NP_001024728 | |
| Mus 5-HT2A | Mus musculus | NP_766400 | |
| Mus 5-HT2B | Mus musculus | NP_032337 | |
| Danio 5-HT2A | Danio rerio | CAQ15355 | |
| Danio 5-HT2B | Danio rerio | NP_001038208 | |
| Pr 5-HT2C | Pieris rapae | XP_022122944.2 | |
| Pn 5-HT2C | Pieris napi | XP_047521401.1 | |
| Bm5-HT2B | Bombyx mori | XP_021208983.1 | |
| Danio 5-HT2C | Danio rerio | NP_001123365 | |
| Ap 5-HT2A | Agrilus planipennis | XP_018318891.1 | |
| Lymnaea 5-HT2 | Lymnaea stagnalis | AAC16969 | |
| 5-HT7 | Drosophila 5-HT7 | Drosophila melanogaster | NP_524599 |
| Aedes 5-HT7 | Aedes aegypti | AF296125 | |
| Apis 5-HT7 | Apis mellifera | NP_001071289 | |
| Caenorhabditis (Ser-7) | Caenorhabditis elegans | NP_741730 |
| Gene | Primer Name | Primer Sequence (5′-3′) | Annealing Temperature/°C |
|---|---|---|---|
| Haxy019702.1 | 02F | AGGTACATTGTTGAGTTGCAGC | 55 |
| 02R | TAAATGGAGGAGGCAGTAGAGA | ||
| Haxy019754 | 54F | CACGAAAAAGGGTAGCCAGCA | 60 |
| 54R | CGCACTCCCACCAGAAGAAGC | ||
| Haxy004670.1 | 70F | AAAGGCAACCAACAAACTACAAA | 55 |
| 70R | CCAAGAGAGAGAAGAAAGAGACG | ||
| Haxy005697.1 | 97F | GAGGGCTGCCAACAGACCACGAA | 55 |
| 97R | CGCTGACTCAAAGAAGGAACGGA |
Disclaimer/Publisher’s Note: The statements, opinions and data contained in all publications are solely those of the individual author(s) and contributor(s) and not of MDPI and/or the editor(s). MDPI and/or the editor(s) disclaim responsibility for any injury to people or property resulting from any ideas, methods, instructions or products referred to in the content. |
© 2023 by the authors. Licensee MDPI, Basel, Switzerland. This article is an open access article distributed under the terms and conditions of the Creative Commons Attribution (CC BY) license (https://creativecommons.org/licenses/by/4.0/).
Share and Cite
Zhang, Q.; Chang, Y.; Zheng, C.; Sun, L. Identification and Expression Profiling of the 5-HT Receptor Gene in Harmonia axyridis. Insects 2023, 14, 508. https://doi.org/10.3390/insects14060508
Zhang Q, Chang Y, Zheng C, Sun L. Identification and Expression Profiling of the 5-HT Receptor Gene in Harmonia axyridis. Insects. 2023; 14(6):508. https://doi.org/10.3390/insects14060508
Chicago/Turabian StyleZhang, Qiqi, Yifang Chang, Changying Zheng, and Lijuan Sun. 2023. "Identification and Expression Profiling of the 5-HT Receptor Gene in Harmonia axyridis" Insects 14, no. 6: 508. https://doi.org/10.3390/insects14060508
APA StyleZhang, Q., Chang, Y., Zheng, C., & Sun, L. (2023). Identification and Expression Profiling of the 5-HT Receptor Gene in Harmonia axyridis. Insects, 14(6), 508. https://doi.org/10.3390/insects14060508
