Role of Receptor Profiling for Personalized Therapy in a Patient with a Growth Hormone-Secreting Macroadenoma Resistant to First-Generation Somatostatin Analogues
Abstract
1. Introduction
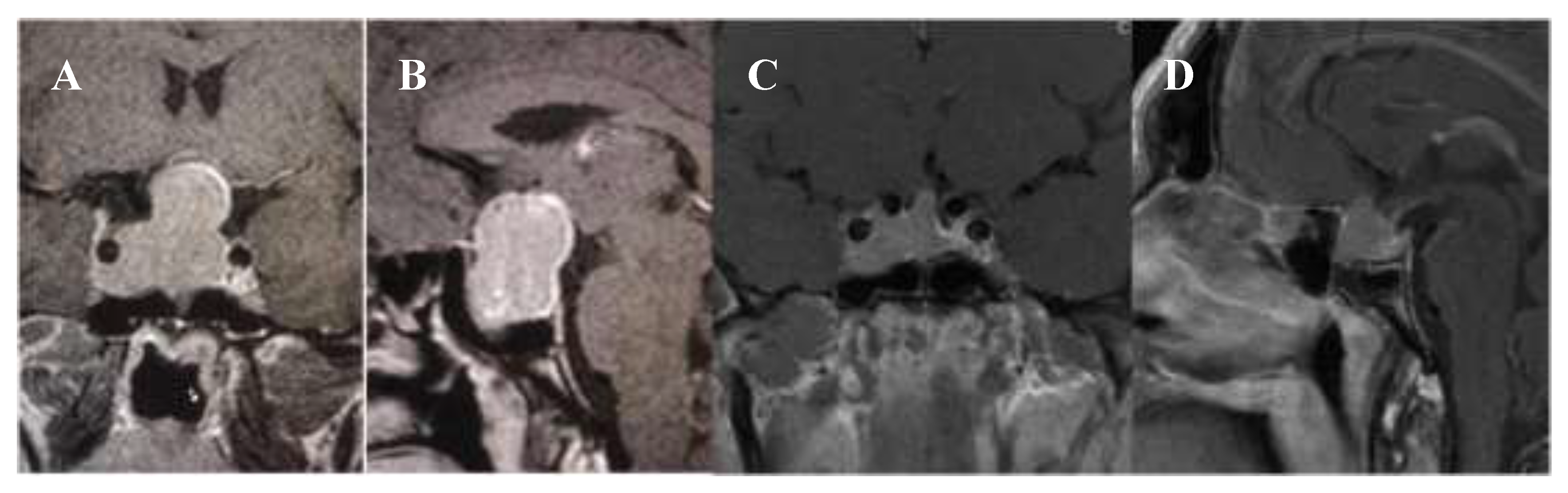
2. Case Presentation
3. Discussion
4. Conclusions
Author Contributions
Funding
Conflicts of Interest
References
- Melmed, S. Medical progress: Acromegaly. N. Engl. J. Med. 2006, 355, 2558–2573. [Google Scholar] [CrossRef]
- Holdaway, I.M.; Bolland, M.J.; Gamble, G.D. A meta-analysis of the effect of lowering serum levels of GH and IGF-I on mortality in acromegaly. Eur. J. Endocrinol. 2008, 159, 89–95. [Google Scholar] [CrossRef]
- Varadhan, L.; Reulen, R.C.; Brown, M.; Clayton, R.N. The role of cumulative growth hormone exposure in determining mortality and morbidity in acromegaly: A single centre study. Pituitary 2016, 19, 251–261. [Google Scholar] [CrossRef]
- Dal, J.; Leisner, M.Z.; Hermansen, K.; Farkas, D.K.; Bengtsen, M.; Kistorp, C.; Nielsen, E.H.; Andersen, M.; Feldt-Rasmussen, U.; Dekkers, O.M.; et al. Cancer Incidence in Patients with Acromegaly: A Cohort Study and Meta-Analysis of the Literature. J. Clin. Endocrinol. Metab. 2018, 103, 2182–2188. [Google Scholar] [CrossRef]
- French Acromegaly Registry Group; Maione, L.; Brue, T.; Beckers, A.; Delemer, B.; Petrossians, P.; Borson-Chazot, F.; Chabre, O.; François, P.; Bertherat, J.; et al. Changes in the management and comorbidities of acromegaly over three decades: The French Acromegaly Registry. Eur. J. Endocrinol. 2017, 176, 645–655. [Google Scholar]
- Melmed, S.; Bronstein, M.D.; Chanson, P.; Klibanski, A.; Casanueva, F.F.; Wass, J.A.H.; Strasburger, C.J.; Luger, A.; Clemmons, D.R.; Giustina, A. A Consensus Statement on acromegaly therapeutic outcomes. Nat. Rev. Endocrinol. 2018, 14, 552–561. [Google Scholar] [CrossRef] [PubMed]
- Carmichael, J.D.; Bonert, V.S.; Mirocha, J.M.; Melmed, S. The utility of oral glucose tolerance testing for diagnosis and assessment of treatment outcomes in 166 patients with aromegaly. J. Clin. Endocrinol. Metab. 2009, 94, 523–527. [Google Scholar] [CrossRef] [PubMed]
- Katznelson, L.; Atkinson, J.L.; Cook, D.M.; Ezzat, S.Z.; Hamrahian, A.H.; Miller, K.K.; American Association of Clinical Endocrinologists. American Association of Clinical Endocrinologists medical guidelines for clinical practice for the diagnosis and treatment of acromegaly–2011 update. Endocr. Pract. 2011, 17 (Suppl. 4), 1–44. [Google Scholar] [CrossRef] [PubMed]
- Katznelson, L.; Laws, E.R., Jr.; Melmed, S.; Molitch, M.E.; Murad, M.H.; Utz, A.; Wass, J.A.; Endocrine Society. Acromegaly: An endocrine society clinical practice guideline. J. Clin. Endocrinol. Metab. 2014, 99, 3933–3951. [Google Scholar] [CrossRef] [PubMed]
- Carmichael, J.D.; Bonert, V.S.; Nuno, M.; Ly, D.; Melmed, S. Acromegaly clinical trial methodology impact on reported biochemical efficacy rates of somatostatin receptor ligand treatments: A metaanalysis. J. Clin. Endocrinol. Metab. 2014, 99, 1825–1833. [Google Scholar] [CrossRef]
- Colao, A.; Auriemma, R.S.; Pivonello, R.; Kasuki, L.; Gadelha, M.R. Interpreting biochemical control response rates with first-generation somatostatin analogues in acromegaly. Pituitary 2016, 19, 235–247. [Google Scholar] [CrossRef] [PubMed]
- Giustina, A.; Mazziotti, G.; Torri, V.; Spinello, M.; Floriani, I.; Melmed, S. Meta- analysis on the effects of octreotide on tumor mass in acromegaly. PLoS ONE 2012, 7, e36411. [Google Scholar] [CrossRef] [PubMed]
- Marazuela, M.; Ramos-Leví, A.M.; de Borges Souza, P.; Zatelli, M.C. Is receptor profiling useful for predicting pituitary therapy? Eur. J. Endocrinol. 2018, 179, D15–D25. [Google Scholar] [CrossRef] [PubMed]
- Kasuki, L.; Wildemberg, L.E.; Gadelha, M.R. Management of endocrine disease: Personalized medicine in the treatment of acromegaly. Eur. J. Endocrinol. 2018, 178, R89–R100. [Google Scholar] [CrossRef]
- Howlett, T.A.; Willis, D.; Walker, G.; Wass, J.A.; Trainer, P.J.; UK Acromegaly Register Study Group (UKAR-3). Control of growth hormone and IGF1 in patients with acromegaly in the UK: Responses to medical treatment with somatostatin analogues and dopamine agonists. Clin. Endocrinol. 2013, 79, 689–699. [Google Scholar]
- Schöfl, C.; Franz, H.; Grussendorf, M.; Honegger, J.; Jaursch-Hancke, C.; Mayr, B.; Schopohl, J.; Participants of the German Acromegaly Register. Long-term outcome in patients with acromegaly: Analysis of 1344 patients from the German Acromegaly Register. Eur. J. Endocrinol. 2012, 168, 39–47. [Google Scholar] [CrossRef]
- Colao, A.; Bronstein, M.D.; Freda, P.; Gu, F.; Shen, C.C.; Gadelha, M.; Fleseriu, M.; van der Lely, A.J.; Farrall, A.J.; Hermosillo Reséndiz, K.; et al. Pasireotide C2305 Study Group. Pasireotide versus octreotide in acromegaly: A head-to-head superiority study. J. Clin. Endocrinol. Metab. 2014, 99, 791–799. [Google Scholar] [CrossRef]
- Venegas-Moreno, E.; Flores-Martinez, A.; Dios, E.; Vazquez-Borrego, M.C.; Ibañez-Costa, A.; Madrazo-Atutxa, A.; Japón, M.A.; Castaño, J.P.; Luque, R.M.; Cano, D.A.; et al. E-cadherin expression is associated with the response to somatostatin analogues in patients with acromegaly. J. Cell Mol. Med. 2019, 23, 3088–3096. [Google Scholar] [CrossRef]
- Gould, V.E.; Gould, K.A. E-cadherin as tumor differentiation marker and as architectural determinant. Hum. Pathol. 1999, 30, 1273–1275. [Google Scholar] [CrossRef]
- Shiozaki, H.; Oka, H.; Inoue, M.; Tamura, S.; Monden, M. E-cadherin mediated adhesion system in cancer cells. Cancer 1996, 77 (Suppl. 8), 1605–1613. [Google Scholar] [CrossRef]
- Knosp, E.; Steiner, E.; Kitz, K.; Matula, C. Pituitary adenomas with invasion of the cavernous sinus space: A magnetic resonance imaging classification compared with surgical findings. Neurosurgery 1993, 33, 610–617. [Google Scholar] [CrossRef] [PubMed]
- Buhk, J.H.; Jung, S.; Psychogios, M.N.; Göricke, S.; Hartz, S.; Schulz-Heise, S.; Klingebiel, R.; Forsting, M.; Brückmann, H.; Dörfler, A.; et al. Tumor volume of growth hormone secreting pituitary adenomas during treatment with pegvisomant: A prospective multicenter study. J. Clin. Endocrinol. Metab. 2010, 95, 552–558. [Google Scholar] [CrossRef] [PubMed]
- Marazuela, M.; Paniagua, A.E.; Gahete, M.D.; Lucas, T.; Alvarez-Escolá, C.; Manzanares, R.; Cameselle-Teijeiro, J.; Luque-Ramirez, M.; Luque, R.M.; Fernandez-Rodriguez, E.; et al. Somatotroph tumor progression during pegvisomant therapy: A clinical and molecular study. J. Clin. Endocrinol. Metab. 2011, 96, E251–E259. [Google Scholar] [CrossRef] [PubMed]
- Breitschaft, A.; Hu, K.; Hermosillo Resendiz, K.; Darstein, C.; Golor, G. Management of hyperglycemia associated with pasireotide (SOM230): Healthy volunteer study. Diabetes Res. Clin. Pract. 2014, 103, 458–465. [Google Scholar] [CrossRef] [PubMed]
- Pokrajac, A.; Frystyk, J.; Flyvbjerg, A.; Trainer, P.J. Pituitary-independent effect of octreotide on IGF1 generation. Eur. J. Endocrinol. 2009, 160, 543–548. [Google Scholar] [CrossRef] [PubMed]
- Murray, R.D.; Kim, K.; Ren, S.G.; Chelly, M.; Umehara, Y.; Melmed, S. Central and peripheral actions of somatostatin on the growth hormone-IGF-I axis. J. Clin. Investig. 2004, 114, 349–356. [Google Scholar] [CrossRef]
- Gadelha, M.; Kasuki, L.; Korbonits, M. Novel pathway for somatostatin analogs in patients with acromegaly. Trends Endocrinol. Metab. 2013, 24, 238–246. [Google Scholar] [CrossRef]
- Gadelha, M.; Bronstein, M.D.; Brue, T.; Coculescu, M.; Fleseriu, M.; Guitelman, M.; Pronin, V.; Raverot, G.; Shimon, I.; Lievre, K.K.; et al. Pasireotide C2402 Study Group. Pasireotide versus continued treatment with octreotide or lanreotide in patients with inadequately controlled acromegaly (PAOLA): A randomised, phase 3 trial. Lancet Diabetes Endocrinol. 2014, 2, 875–884. [Google Scholar] [CrossRef]
- Schöfl, C.; Colao, A.M.; Neggers, S.J.C.M.M.; Feldt-Rasmussen, U.; Venegas-Moreno, E.; Feldt-Rasmussen, U.; Venegas Moreno, E.M.; Enderle, G.; Mesenska, D.; Andry, P.; et al. European observational study in patients with uncontrolled acromegaly who are being treated with long acting pasireotide: First interim analysis. In Proceedings of the Program of 20th European Congress of Endocrinology, Barcelona, Spain, 19–22 May 2018; Volume 56. GP8 (Abstract). [Google Scholar]
- Muhammad, A.; van der Lely, A.J.; Delhanty, P.J.; Dallenga, A.H.; Haitsma, I.K.; Janssen, J.A.; Neggers, S.J. Efficacy and Safety of Switching to Pasireotide in Patients With Acromegaly Controlled With Pegvisomant and First-Generation Somatostatin Analogues (PAPE Study). J. Clin. Endocrinol. Metab. 2018, 103, 586–595. [Google Scholar] [CrossRef]
- Chiloiro, S.; Giampietro, A.; Bianchi, A.; Tartaglione, T.; Bima, C.; Piacentini, S.; Mirra, F.; Donfrancesco, F.; Lauretti, L.; Anile, C.; et al. Efficacy of pasireotide lar in first line somatostatin analogue resistant acromegaly patients: Experience from a large and single centre Italian cohort. In Proceedings of the Program of 20th European Congress of Endocrinology, Barcelona, Spain, 19–22 May 2018; Volume 56. P875 (Abstract). [Google Scholar]
- Sandret, L.; Maison, P.; Chanson, P. Place of cabergoline in acromegaly: A meta-analysis. J. Clin. Endocrinol. Metab. 2011, 96, 1327–1335. [Google Scholar] [CrossRef]
- Fleseriu, M.; Rusch, E.; Geer, E.B.; ACCESS Study Investigators. Safety and tolerability of pasireotide long-acting release in acromegaly-results from the acromegaly, open-label, multicenter, safety monitoring program for treating patients who have a need to receive medical therapy (ACCESS) study. Endocrine 2017, 55, 247–255. [Google Scholar] [PubMed]
- Henry, R.R.; Ciaraldi, T.P.; Armstrong, D.; Burke, P.; Ligueros-Saylan, M.; Mudaliar, S. Hyperglycemia associated with pasireotide: Results from a mechanistic study in healthy volunteers. J. Clin. Endocrinol. Metab. 2013, 98, 3446–3453. [Google Scholar] [CrossRef] [PubMed]
- Feola, T.; Cozzolino, A.; Simonelli, I.; Sbardella, E.; Pozza, C.; Giannetta, E.; Gianfrilli, D.; Pasqualetti, P.; Lenzi, A.; Isidori, A.M. Pegvisomant Improves Glucose Metabolism in Acromegaly: A Meta-Analysis of Prospective Interventional Studies. J. Clin. Endocrinol. Metab. 2019, 104, 2892–2902. [Google Scholar] [CrossRef] [PubMed]
- Luque, R.M.; Ibáñez-Costa, A.; Sánchez-Tejada, L.; Rivero-Cortés, E.; Robledo, M.; Madrazo-Atutxa, A.; Mora, M.; Álvarez, C.V.; Lucas-Morante, T.; Álvarez-Escolá, C.; et al. investigadores del REMAH. The Molecular Registry of Pituitary Adenomas (REMAH): A bet of Spanish Endocrinology for the future of individualized medicine and translational research. Endocrinol. Nutr. 2016, 63, 274–284. [Google Scholar] [CrossRef] [PubMed]
- Puig-Domingo, M.; Gil, J.; Sampedro, M.; Webb, S.M.; Serra, G.; Salinas, I.; Blanco, A.; MarquesPamies, M.; Pico, A.; Garcia-Martinez, A.; et al. Molecural profiling for assistance to pharmacological treatment of acromegaly. In Proceedings of the Program of 20th European Congress of Endocrinology, Barcelona, Spain, 19–22 May 2018; Volume 56. OC13.3 (Abstract). [Google Scholar]
- Fougner, S.L.; Lekva, T.; Borota, O.C.; Hald, J.K.; Bollerslev, J.; Berg, J.P. The expression of E-cadherin in somatotroph pituitary adenomas is related to tumor size, invasiveness, and somatostatin analog response. J. Clin. Endocrinol. Metab. 2010, 95, 2334–2342. [Google Scholar] [CrossRef]
- Mantovani, G. Cytoskeleton, pharmacologic resistance and clinical aggressiveness in pituitary tumours. In Proceedings of the Program of 20th European Congress of Endocrinology, Barcelona, Spain, 19–22 May 2018; Volume 56. S19.1 (Abstract). [Google Scholar]
- Peverelli, E.; Catalano, R.; Giardino, E.; Mangili, F.; Treppiedi, D.; Arosio, M.; Spada, A.; Mantovani, G.; Filamin, A. (FLNA) phosphorylation inhibits SSTR2 signal transduction in GH-secreting pituitary tumor cells. In Proceedings of the Program of 20th European Congress of Endocrinology, Barcelona, Spain, 19–22 May 2018; Volume 56. GP195 (Abstract). [Google Scholar]
- Mestron, A.; Webb, S.M.; Astorga, R.; Benito, P.; Catala, M.; Gaztambide, S.; Gomez, J.M.; Halperin, I.; Lucas-Morante, T.; Moreno, B.; et al. Epidemiology, clinical characteristics, outcome, morbidity and mortality in acromegaly based on the Spanish Acromegaly Registry (Registro Espanol de Acromegalia, REA). Eur. J. Endocrinol. 2004, 151, 439–446. [Google Scholar] [CrossRef]
- Bex, M.; Abs, R.; T’Sjoen, G.; Mockel, J.; Velkeniers, B.; Muermans, K.; Maiter, D. AcroBel—The Belgian registry on acromegaly: A survey of the ‘real-life’ outcome in 418 acromegalic subjects. Eur. J. Endocrinol. 2007, 157, 399–409. [Google Scholar] [CrossRef]
- Melmed, S.; Popovic, V.; Bidlingmaier, M.; Mercado, M.; van der Lely, A.J.; Biermasz, N.; Bolanowski, M.; Coculescu, M.; Schopohl, J.; Racz, K.; et al. Safety and efficacy of oral octreotide in acromegaly: Results of a multicenter phase III trial. J. Clin. Endocrinol. Metab. 2015, 100, 1699–1708. [Google Scholar] [CrossRef]
- Chieffo, C.; Cook, D.; Xiang, Q.; Frohman, L.A. Efficacy and safety of an octreotide implant in the treatment of patients with acromegaly. Randomized controlled trial. J. Clin. Endocrinol. Metab. 2013, 98, 4047–4054. [Google Scholar] [CrossRef]
- Trainer, P.J.; Newell-Price, J.D.C.; Ayuk, J.; Aylwin, S.J.B.; Rees, A.; Drake, W.; Chanson, P.; Brue, T.; Webb, S.M.; Fajardo, C.; et al. A randomised, open-label, parallel group phase 2 study of antisense oligonucleotide therapy in acromegaly. Eur. J. Endocrinol. 2018, 179, 97–108. [Google Scholar] [CrossRef]




| Related to SSA Therapies | ||
|---|---|---|
| Agents | ||
| Octreotide LAR |
| EMA/FDA approved |
| Lanreotide autogel |
| EMA/FDA approved |
| Pasireotide LAR |
| EMA/FDA approved |
| Octreotide capsules | 20 mg per os daily = 0.1 mg octreotide SC three times daily (Avoid food and PPI) | Under completion of phase III trials. FDA not approved. |
| Octreotide implant | Stable dosing more than three months | Under phase II trials |
| Factor CAM2029 |
| Phase II trials completed FDA approved to begin phase III trials |
| Factor PTR 3173 (Somatoprim) |
| Phase II trial: more selective and effective GH inhibition without effect on insulin secretion compared to octreotide; better response of sparsely granulated adenomas |
| Unrelated to SSA Therapies | ||
| Pegvisomant |
| EMA/FDA approved |
| Factor ALT1103 |
| Under phase II trials |
| Dopastatin (BIM-23A760/BIM-065) |
| Under phase II trials |
| Τemozolomide | 150 mg/m2 (5 days) every 28 days Chemotherapy agent | EMA/FDA approved for glioblastoma multiforme |
| Botulinum toxin molecule | Chimeric molecule that binds to cells expressing GHRH receptors to induce GH inhibition | No current trial |
© 2019 by the authors. Licensee MDPI, Basel, Switzerland. This article is an open access article distributed under the terms and conditions of the Creative Commons Attribution (CC BY) license (http://creativecommons.org/licenses/by/4.0/).
Share and Cite
Alexandraki, K.I.; Papadimitriou, E.; Mavroeidi, V.; Kyriakopoulos, G.; Xydakis, A.; Papaioannou, T.G.; Kolomodi, D.; Kaltsas, G.A.; Grossman, A.B. Role of Receptor Profiling for Personalized Therapy in a Patient with a Growth Hormone-Secreting Macroadenoma Resistant to First-Generation Somatostatin Analogues. J. Pers. Med. 2019, 9, 48. https://doi.org/10.3390/jpm9040048
Alexandraki KI, Papadimitriou E, Mavroeidi V, Kyriakopoulos G, Xydakis A, Papaioannou TG, Kolomodi D, Kaltsas GA, Grossman AB. Role of Receptor Profiling for Personalized Therapy in a Patient with a Growth Hormone-Secreting Macroadenoma Resistant to First-Generation Somatostatin Analogues. Journal of Personalized Medicine. 2019; 9(4):48. https://doi.org/10.3390/jpm9040048
Chicago/Turabian StyleAlexandraki, Krystallenia I., Eirini Papadimitriou, Vasiliki Mavroeidi, Georgios Kyriakopoulos, Antonios Xydakis, Theodoros G. Papaioannou, Denise Kolomodi, Gregory A. Kaltsas, and Ashley B. Grossman. 2019. "Role of Receptor Profiling for Personalized Therapy in a Patient with a Growth Hormone-Secreting Macroadenoma Resistant to First-Generation Somatostatin Analogues" Journal of Personalized Medicine 9, no. 4: 48. https://doi.org/10.3390/jpm9040048
APA StyleAlexandraki, K. I., Papadimitriou, E., Mavroeidi, V., Kyriakopoulos, G., Xydakis, A., Papaioannou, T. G., Kolomodi, D., Kaltsas, G. A., & Grossman, A. B. (2019). Role of Receptor Profiling for Personalized Therapy in a Patient with a Growth Hormone-Secreting Macroadenoma Resistant to First-Generation Somatostatin Analogues. Journal of Personalized Medicine, 9(4), 48. https://doi.org/10.3390/jpm9040048

