Advancements in Diagnosis and Management of Distal Radioulnar Joint Instability: A Comprehensive Review Including a New Classification for DRUJ Injuries
Abstract
1. Introduction
2. Anatomy of the Distal Radioulnar Joint
3. Biomechanics of the Distal Radioulnar Joint (DRUJ)
4. Clinical Evaluation
5. Imaging of the DRUJ
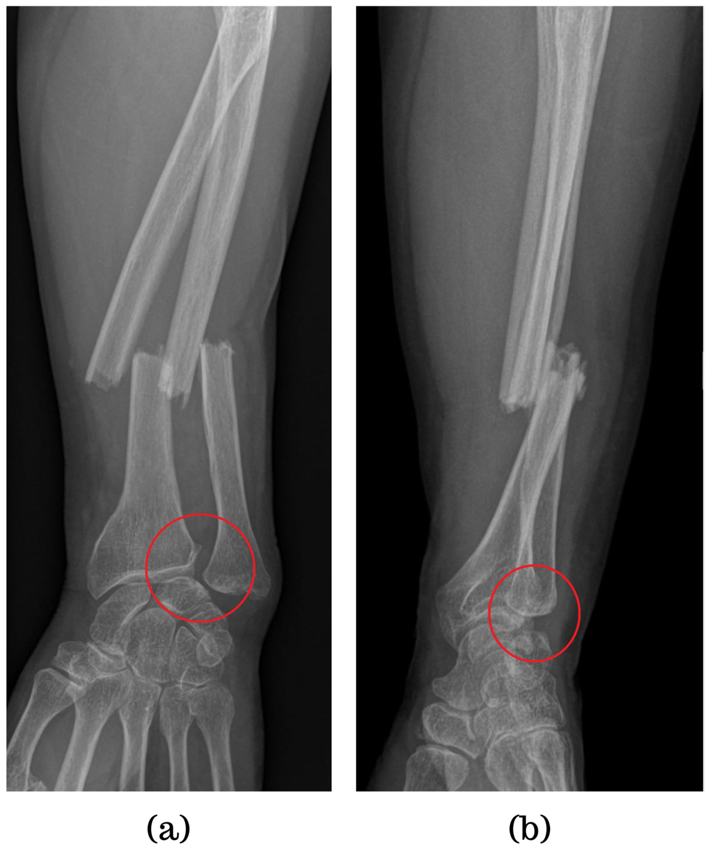
5.1. Conventional Radiography
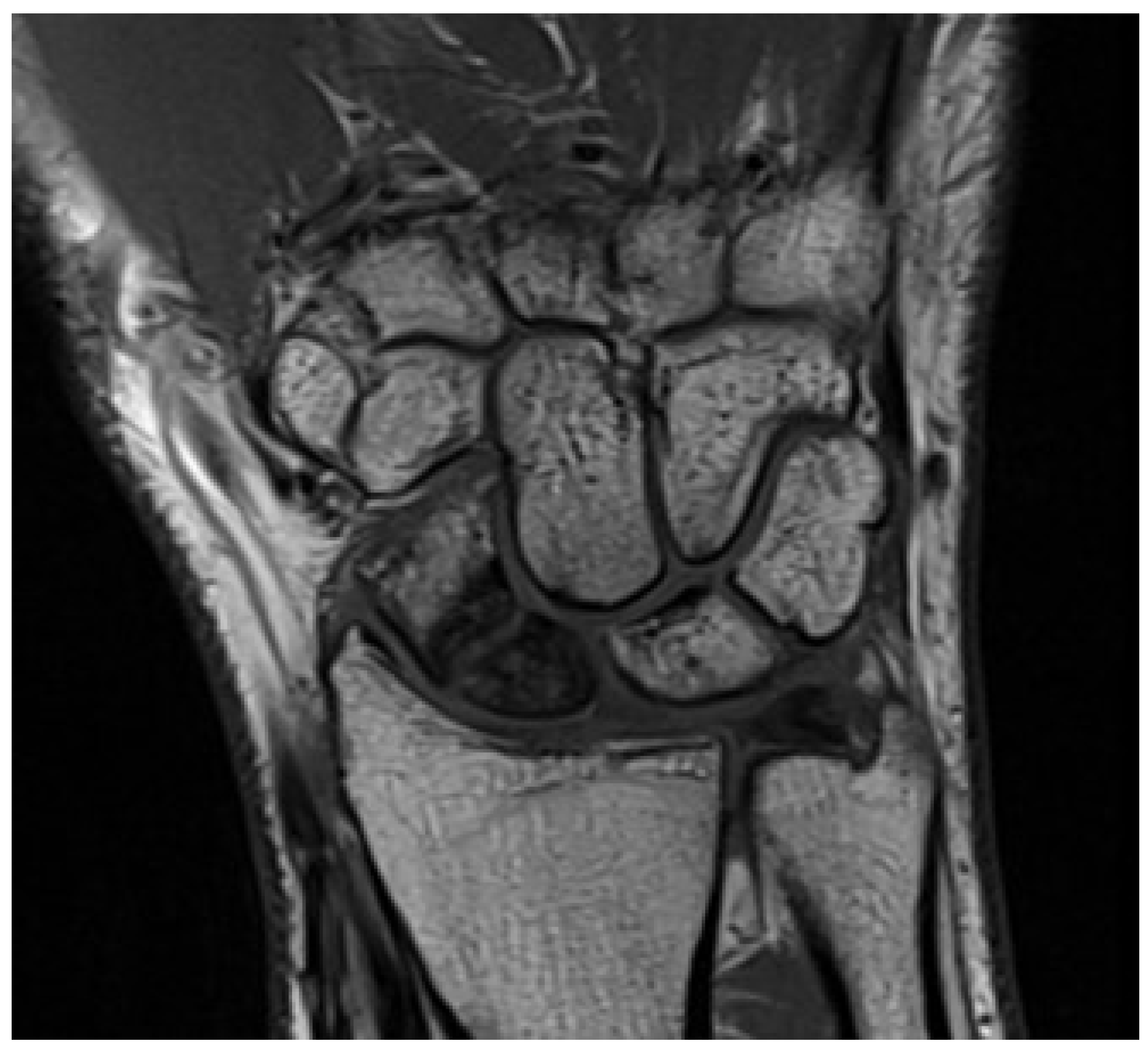
5.2. Magnetic Resonance Imaging (MRI)
5.3. Ultrasound Imaging (USI)
5.4. Dynamic Imaging Techniques (Stress Radiography and 4D-CT)
5.5. Dual Fluoroscopic and Computed Tomography (DFIS-CT)
6. Diverse Injuries Associated with the Distal Radioulnar Joint (DRUJ)
6.1. Isolated DRUJ Dislocation
6.2. TFCC Injuries
6.3. Ulnar Styloid Fractures
6.4. Ulnar Impaction Syndrome
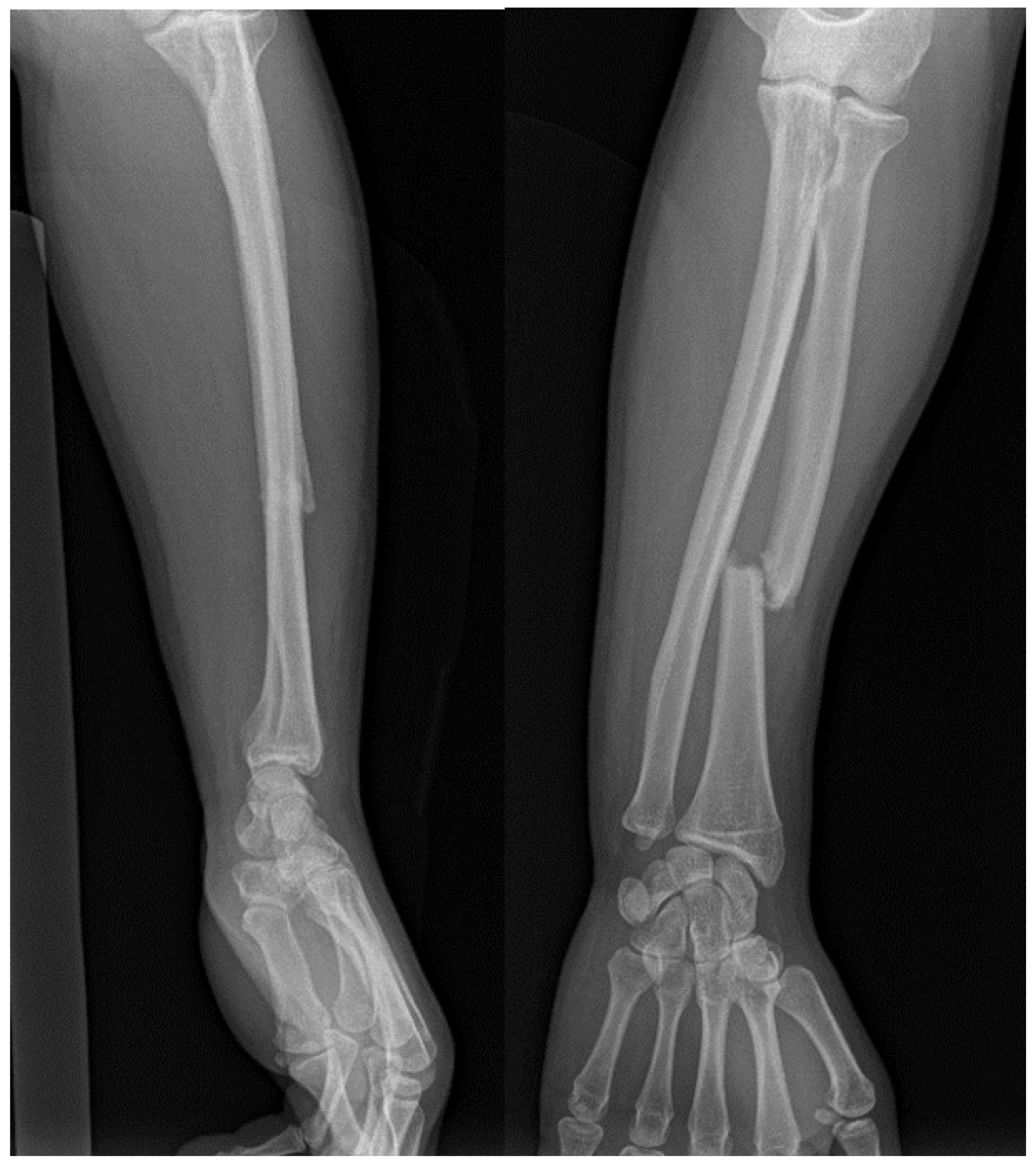
6.5. Distal Radius Fractures
6.6. Essex–Lopresti Injuries
6.7. Galeazzi Fractures
6.8. Criss-Cross Injury
6.9. Chronic Instabilities and DRUJ Arthritis
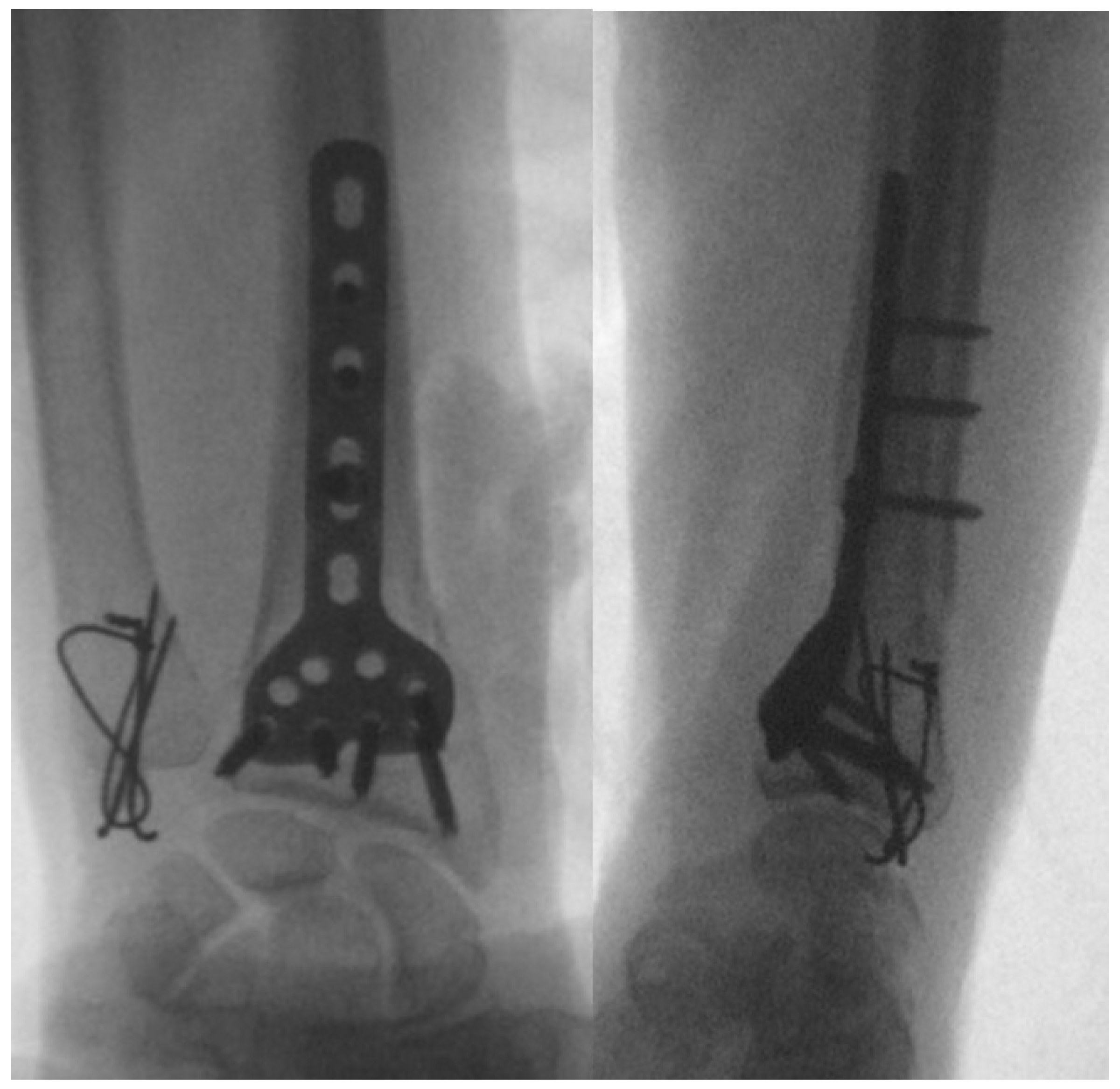
7. Treatment
8. Suggested New Classification of DRUJ Instability by the Authors
9. Discussion and Future Stances
10. Conclusions
Author Contributions
Funding
Institutional Review Board Statement
Data Availability Statement
Conflicts of Interest
References
- Poppler, L.H.; Moran, S.L. Acute Distal Radioulnar Joint Instability: Evaluation and Treatment. Hand Clin. 2020, 36, 429–441. [Google Scholar] [CrossRef]
- Haugstvedt, J.R.; Langer, M.F.; Berger, R.A. Distal Radioulnar Joint: Functional Anatomy, Including Pathomechanics. J. Hand Surg. Eur. Vol. 2017, 42, 338–345. [Google Scholar] [CrossRef] [PubMed]
- Faucher, G.K.; Zimmerman, R.M.; Zimmerman, N.B. Instability and Arthritis of the Distal Radioulnar Joint: A Critical Analysis Review. JBJS Rev. 2016, 4, e3. [Google Scholar] [CrossRef]
- Huang, J.I.; Hanel, D.P. Anatomy and Biomechanics of the Distal Radioulnar Joint. Hand Clin. 2012, 28, 157–163. [Google Scholar] [CrossRef] [PubMed]
- Marès, O. Distal Radioulnar Joint Instability. Hand Surg. Rehabil. 2017, 36, 305–313. [Google Scholar] [CrossRef] [PubMed]
- Tolat, A.R.; Stanley, J.K.; Trail, I.A. A Cadaveric Study of the Anatomy and Stability of the Distal Radioulnar Joint in the Coronal and Transverse Planes. J. Hand Surg. Br. 1996, 21, 587–594. [Google Scholar] [CrossRef] [PubMed]
- Nakamura, T.; Sato, K.; Okazaki, M.; Toyama, Y.; Ikegami, H. Repair of Foveal Detachment of the Triangular Fibrocartilage Complex: Open and Arthroscopic Transosseous Techniques. Hand Clin. 2011, 27, 281–290. [Google Scholar] [CrossRef]
- Nypaver, C.; Bozentka, D.J. Distal Radius Fracture and the Distal Radioulnar Joint. Hand Clin. 2021, 37, 293–307. [Google Scholar] [CrossRef]
- Thiru, R.G.; Ferlic, D.C.; Clayton, M.L.; McClure, D.C. Arterial Anatomy of the Triangular Fibrocartilage of the Wrist and Its Surgical Significance. J. Hand Surg. Am. 1986, 11, 258–263. [Google Scholar] [CrossRef]
- Soubeyrand, M.; Lafont, C.; Oberlin, C.; France, W.; Maulat, I.; Degeorges, R. The “Muscular Hernia Sign”: An Original Ultrasonographic Sign to Detect Lesions of the Forearm’s Interosseous Membrane. Surg. Radiol. Anat. 2006, 28, 372–378. [Google Scholar] [CrossRef]
- Artiaco, S.; Fusini, F.; Sard, A.; Dutto, E.; Massè, A.; Battiston, B. Fracture-dislocations of the forearm joint: A systematic review of the literature and a comprehensive locker-based classification system. J. Orthop. Traumatol. 2020, 21, 21. [Google Scholar] [CrossRef] [PubMed] [PubMed Central]
- Oldfield, C.E.; Boland, M.R.; Greybe, D.; Hing, W. Ultrasound Imaging of the Distal Radioulnar Joint: A New Method to Assess Ulnar Radial Translation in Forearm Rotation. J. Hand Surg. Eur. Vol. 2017, 42, 389–394. [Google Scholar] [CrossRef] [PubMed]
- Hojo, J.; Omokawa, S.; Iida, A.; Ono, H.; Moritomo, H.; Tanaka, Y. Three-Dimensional Kinematic Analysis of the Distal Radioulnar Joint in the Axial-Loaded Extended Wrist Position. J. Hand Surg. Am. 2019, 44, 336.e1–336.e6. [Google Scholar] [CrossRef] [PubMed]
- Schuind, F.; An, K.N.; Berglund, L.; Rey, R.; Cooney, W.P., 3rd; Linscheid, R.L.; Chao, E.Y. The Distal Radioulnar Ligaments: A Biomechanical Study. J. Hand Surg. Am. 1991, 16, 1106–1114. [Google Scholar] [CrossRef]
- Hohenberger, G.M.; Schwarz, A.M.; Weiglein, A.H.; Krassnig, R.; Kuchling, S.; Plecko, M. Prevalence of the Distal Oblique Bundle of the Interosseous Membrane of the Forearm: An Anatomical Study. J. Hand Surg. Eur. Vol. 2018, 43, 426–430. [Google Scholar] [CrossRef]
- Moritomo, H. The Distal Interosseous Membrane: Current Concepts in Wrist Anatomy and Biomechanics. J. Hand Surg. Am. 2012, 37, 1501–1507. [Google Scholar] [CrossRef]
- Orbay, J.L.; Cambo, R.A. Biomechanical Factors in Stability of the Forearm. Hand Clin. 2020, 36, 407–415. [Google Scholar] [CrossRef]
- Pang, E.Q.; Yao, J. Ulnar-Sided Wrist Pain in the Athlete (TFCC/DRUJ/ECU). Curr. Rev. Musculoskelet. Med. 2017, 10, 53–61. [Google Scholar] [CrossRef]
- Qazi, S.; Graham, D.; Regal, S.; Tang, P.; Hammarstedt, J.E. Distal Radioulnar Joint Instability and Associated Injuries: A Literature Review. J. Hand Microsurg. 2021, 13, 123–131. [Google Scholar] [CrossRef]
- Nagashima, M.; Omokawa, S.; Hasegawa, H.; Nakanishi, Y.; Kawamura, K.; Tanaka, Y. Reliability and Validity Analysis of the Distal Radioulnar Joint Ballottement Test. J. Hand Surg. Am. 2024, 49, 15–22. [Google Scholar] [CrossRef] [PubMed]
- Pickering, G.T.; Fine, N.F.; Knapper, T.D.; Giddins, G.E.B. The Reliability of Clinical Assessment of Distal Radioulnar Joint Instability. J. Hand Surg. Eur. Vol. 2022, 47, 375–378. [Google Scholar] [CrossRef]
- Jawed, A.; Ansari, M.T.; Gupta, V. TFCC Injuries: How We Treat? J. Clin. Orthop. Trauma 2020, 11, 570–579. [Google Scholar] [CrossRef] [PubMed]
- Spies, C.K.; Langer, M.; Müller, L.P.; Oppermann, J.; Unglaub, F. Distal Radioulnar Joint Instability: Current Concepts of Treatment. Arch. Orthop. Trauma. Surg. 2020, 140, 639–650. [Google Scholar] [CrossRef] [PubMed]
- Quadlbauer, S.; Pezzei, C.; Hintringer, W.; Hausner, T.; Leixnering, M. Clinical examination of the distal radioulnar joint. Orthopade 2018, 47, 628–636. [Google Scholar] [CrossRef] [PubMed]
- Ng, A.W.H.; Tong, C.S.L.; Hung, E.H.Y.; Griffith, J.F.; Tse, W.L.; Wong, C.W.Y.; Mak, M.C.K.; Ho, P.C. Top-Ten Tips for Imaging the Triangular Fibrocartilaginous Complex. Semin. Musculoskelet. Radiol. 2019, 23, 436–443. [Google Scholar] [CrossRef] [PubMed]
- Amrami, K.K.; Moran, S.L.; Berger, R.A.; Ehman, E.C.; Felmlee, J.P. Imaging the Distal Radioulnar Joint. Hand Clin. 2010, 26, 467–475. [Google Scholar] [CrossRef] [PubMed]
- Roner, S.; Fürnstahl, P.; Scheibler, A.-G.; Sutter, R.; Nagy, L.; Carrillo, F. Three-Dimensional Automated Assessment of the Distal Radioulnar Joint Morphology According to Sigmoid Notch Surface Orientation. J. Hand Surg. Am. 2020, 45, 1083.e1–1083.e11. [Google Scholar] [CrossRef]
- Lo, I.-N.; Chen, K.-J.; Yin, C.-Y.; Huang, H.-K.; Wang, J.-P.; Huang, Y.-C. Comparing the Outcomes of Suture Anchor Repair and Rein-Type Capsular Suture for Triangular Fibrocartilage Complex Foveal Tears with a Minimum 2-Year Follow-Up. J. Hand Surg. Am. 2024, 49, 321–328. [Google Scholar] [CrossRef]
- Williams, D.; Singh, J.; Heidari, N.; Ahmad, M.; Noorani, A.; Di Mascio, L. Assessment of Penetration of Dorsal Screws after Fixation of the Distal Radius Using Ultrasound: Cadaveric Study. Ann. R. Coll. Surg. Engl. 2016, 98, 138–142. [Google Scholar] [CrossRef] [PubMed][Green Version]
- Sabzghabaei, A.; Shojaee, M.; Dolatabadi, A.A.; Manouchehrifar, M.; and Asadi, M. Ultrasound-Guided Reduction of Distal Radius Fractures. Emergency 2016, 4, 132–135. [Google Scholar] [PubMed]
- Oonk, J.G.M.; Dobbe, J.G.G.; Strackee, S.D.; Strijkers, G.J.; Streekstra, G.J. Quantification of the Methodological Error in Kinematic Evaluation of the DRUJ Using Dynamic CT. Sci. Rep. 2023, 13, 3159. [Google Scholar] [CrossRef] [PubMed]
- Harris, E.; Atthakomol, P.; Korteweg, J.; Li, G.; Hosseini, A.; Kachooei, A.; Chen, N.C. Non-invasive 3D fluoroscopic/CT imaging of the Wrist. Orthop. J. Harv. Med. Sch. 2021, 21, 40–48. Available online: https://musculoskeletalkey.com/the-kinematics-and-clinical-implications-of-the-dart-throwing-motion/ (accessed on 6 August 2024).
- Zhao, X.; Yu, A.; Zhao, H.; Qiu, Y. Diagnostic Value of MRI in Traumatic Triangular Fibrocartilage Complex Injuries: A Retrospective Study. BMC Musculoskelet. Disord. 2024, 25, 63. [Google Scholar] [CrossRef] [PubMed]
- Squires, J.H.; England, E.; Mehta, K.; Wissman, R.D. The Role of Imaging in Diagnosing Diseases of the Distal Radioulnar Joint, Triangular Fibrocartilage Complex, and Distal Ulna. AJR Am. J. Roentgenol. 2014, 203, 146–153. [Google Scholar] [CrossRef]
- Petsatodis, E.; Pilavaki, M.; Kalogera, A.; Drevelegas, A.; Agathangelidis, F.; Ditsios, K. Comparison between Conventional MRI and MR Arthrography in the Diagnosis of Triangular Fibrocartilage Tears and Correlation with Arthroscopic Findings. Injury 2019, 50, 1464–1469. [Google Scholar] [CrossRef] [PubMed]
- Phillips, R.; Choo, S.; Fletcher, B.; Nuelle, J.A.V. Dry Wrist Arthroscopy: Technique and Rationale. Arthroscopy 2023, 39, 1779–1780. [Google Scholar] [CrossRef]
- Carlsen, B.T.; Dennison, D.G.; Moran, S.L. Acute Dislocations of the Distal Radioulnar Joint and Distal Ulna Fractures. Hand Clin. 2010, 26, 503–516. [Google Scholar] [CrossRef] [PubMed]
- Masouros, P.T.; Apergis, E.P.; Babis, G.C.; Pernientakis, S.S.; Igoumenou, V.G.; Mavrogenis, A.F.; Nikolaou, V.S. Essex-Lopresti Injuries: An Update. EFORT Open Rev. 2019, 4, 143–150. [Google Scholar] [CrossRef]
- Wolfe, S.W.; Pederson, W.C.; Kozin, S.H.; Cohen, M.S. Green’s Operative Hand Surgery E-Book: 2-Volume Set; Elsevier Health Sciences: New York, NY, USA, 2021; ISBN 9780323697941. [Google Scholar]
- Eschweiler, J.; Li, J.; Quack, V.; Rath, B.; Baroncini, A.; Hildebrand, F.; Migliorini, F. Anatomy, Biomechanics, and Loads of the Wrist Joint. Life 2022, 12, 188. [Google Scholar] [CrossRef]
- Moradi, A.; Binava, R.; Vahedi, E.; Ebrahimzadeh, M.H.; Jupiter, J.B. Distal Radioulnar Oint Prosthesis. Arch. Bone Jt. Surg. 2021, 9, 22–32. [Google Scholar]
- Makita, A.; Nakamura, T.; Takayama, S.; Toyama, Y. The Shape of the Triangular Fibrocartilage during Pronation-Supination. J. Hand Surg. Br. 2003, 28, 537–545. [Google Scholar] [CrossRef]
- Zenke, Y.; Sakai, A.; Oshige, T.; Moritani, S.; Nakamura, T. The Effect of an Associated Ulnar Styloid Fracture on the Outcome after Fixation of a Fracture of the Distal Radius. J. Bone Jt. Surg. Br. 2009, 91, 102–107. [Google Scholar] [CrossRef]
- Atzei, A.; Luchetti, R. Foveal TFCC Tear Classification and Treatment. Hand Clin. 2011, 27, 263–272. [Google Scholar] [CrossRef] [PubMed]
- Im, J.; Kang, S.J.; Lee, S.J. A Comparative Study between Conservative and Surgical Treatments of Triangular Fibrocartilage Complex Injury of the Wrist with Distal Radius Fractures. Clin. Orthop. Surg. 2021, 13, 105–109. [Google Scholar] [CrossRef] [PubMed]
- Wijffels, M.; Ring, D. The Influence of Non-Union of the Ulnar Styloid on Pain, Wrist Function and Instability after Distal Radius Fracture. J. Hand Microsurg. 2011, 3, 11–14. [Google Scholar] [CrossRef]
- Logan, A.J.; Lindau, T.R. The Management of Distal Ulnar Fractures in Adults: A Review of the Literature and Recommendations for Treatment. Strateg. Trauma Limb Reconstr. 2008, 3, 49–56. [Google Scholar] [CrossRef] [PubMed]
- Biyani, A.; Simison, A.J.; Klenerman, L. Fractures of the Distal Radius and Ulna. J. Hand Surg. Br. 1995, 20, 357–364. [Google Scholar] [CrossRef] [PubMed]
- Almedghio, S.; Arshad, M.S.; Almari, F.; Chakrabarti, I. Effects of Ulnar Styloid Fractures on Unstable Distal Radius Fracture Outcomes: A Systematic Review of Comparative Studies. J. Wrist Surg. 2018, 7, 172–181. [Google Scholar] [CrossRef]
- Sammer, D.M.; Shah, H.M.; Shauver, M.J.; Chung, K.C. The Effect of Ulnar Styloid Fractures on Patient-Rated Outcomes after Volar Locking Plating of Distal Radius Fractures. J. Hand Surg. Am. 2009, 34, 1595–1602. [Google Scholar] [CrossRef]
- Shi, X.; Pan, T.; Wu, D.; Chen, R.; Lin, Z.; Pan, J. The Impact of Varus Angulation on Proximal Fractures of the Ulna. BMC Musculoskelet. Disord. 2018, 19, 103. [Google Scholar] [CrossRef]
- Chen, A.C.-Y.; Chiu, C.-H.; Weng, C.-J.; Chang, S.-S.; Cheng, C.-Y. Early and Late Fixation of Ulnar Styloid Base Fractures Yields Different Outcomes. J. Orthop. Surg. Res. 2018, 13, 193. [Google Scholar] [CrossRef]
- Meyer, M.A.; Leversedge, F.J. Management of Ulnar Styloid Nonunions. Hand Clin. 2024, 40, 97–103. [Google Scholar] [CrossRef] [PubMed]
- Ozcelik, I.B.; Jusoh, M.H.; Cavit, A. Reverse Wafer Procedure for Ulnar Impaction Syndrome. Tech. Hand Up. Extrem. Surg. 2024, 28, 16–18. [Google Scholar] [CrossRef] [PubMed]
- Ozben, H.; Uludağ, S.; Ataker, Y.; Comert Ece, S.; Gudemez, E. Distal Radius Fractures: What Are the Effects of Ulnar Styloid Fracture and Face-Toface Rehabilitation on the Functional Outcome? Acta Orthop. Traumatol. Turc. 2023, 57, 361–365. [Google Scholar] [CrossRef] [PubMed]
- Mirza, A.; Mirza, J.B.; Zappia, L.C.; Thomas, T.L. Ulnar-Sided Wrist Pain: A Diagnostic Evaluation Guide From 30-Plus Years of Experience. Cureus 2024, 16, e53332. [Google Scholar] [CrossRef]
- Yao, J.; Fogel, N. Arthroscopy in Distal Radius Fractures: Indications and When to Do It. Hand Clin. 2021, 37, 279–291. [Google Scholar] [CrossRef]
- Artiaco, S.; Fusini, F.; Colzani, G.; Massè, A.; Battiston, B. Chronic Essex-Lopresti Injury: A Systematic Review of Current Treatment Options. Int. Orthop. 2019, 43, 1413–1420. [Google Scholar] [CrossRef]
- Ahlfors, R.; Eriksen, M. Essex-Lopresti-Laesion er Hyppigt Overset. Available online: https://ugeskriftet.dk/videnskab/essex-lopresti-laesion-er-hyppigt-overset (accessed on 6 August 2024).
- Verhiel, S.H.W.L.; Özkan, S.; Langhammer, C.G.; Chen, N.C. The Serially-Operated Essex-Lopresti Injury: Long-Term Outcomes in a Retrospective Cohort. J. Hand Microsurg. 2020, 12, 47–55. [Google Scholar] [CrossRef] [PubMed]
- Dabas, V.; Bhatia, N.; Agrawal, G. Both Bone Forearm Fracture with Complex DRUJ Dislocation: What Are the Odds? J. Wrist Surg. 2023, 12, 81–85. [Google Scholar] [CrossRef]
- Garg, R.; Mudgal, C. Galeazzi Injuries. Hand Clin. 2020, 36, 455–462. [Google Scholar] [CrossRef]
- Walsh, H.P.; McLaren, C.A.; Owen, R. Galeazzi Fractures in Children. J. Bone Jt. Surg. Br. 1987, 69, 730–733. [Google Scholar] [CrossRef]
- Rettig, M.E.; Raskin, K.B. Galeazzi Fracture-Dislocation: A New Treatment-Oriented Classification. J. Hand Surg. Am. 2001, 26, 228–235. [Google Scholar] [CrossRef]
- Maculé Beneyto, F.; Arandes Renú, J.M.; Ferreres Claramunt, A.; Ramón Soler, R. Treatment of Galeazzi Fracture-Dislocations. J. Trauma 1994, 36, 352–355. [Google Scholar] [CrossRef] [PubMed]
- Alajmi, T. Galeazzi Fracture Dislocations: An Illustrated Review. Cureus 2020, 12, e9367. [Google Scholar] [CrossRef] [PubMed]
- El Barbari, J.S.; Kohlhas, L.; Franke, J.; Grützner, P.A.; Schnetzke, M.; Swartman, B.J. Analyzing the Reduction Quality of the Distal Radioulnar Joint after Closed K-Wire Transfixation in a Cadaver Model: Is Supination or Neutral Position Superior? Arch. Orthop. Trauma. Surg. 2024, 144, 1603–1609. [Google Scholar] [CrossRef] [PubMed]
- Leung, Y.F.; Ip, S.P.S.; Ip, W.Y.; Kam, W.L.; Wai, Y.L. The Crisscross Injury Mechanism in Forearm Injuries. Arch. Orthop. Trauma. Surg. 2005, 125, 298–303. [Google Scholar] [CrossRef] [PubMed]
- Jin, X.-Y.; Zhao, W.-B.; Dong, Y.-Q.; Huang, Y.-G. Simultaneous Dislocation of the Radial Head and Distal Radio-Ulnar Joint without Fracture in an Adult Patient: A Case Report and Review of Literature. BMC Surg. 2020, 20, 71. [Google Scholar] [CrossRef]
- Tan, J.; Xiong, J.; Zhang, X.; Yang, M.; Li, T.; Gong, M. The Diagnosis and Treatment of Criss-Cross Injury of the Forearm: A Retrospective Analysis. Injury 2024, 55, 111295. [Google Scholar] [CrossRef]
- Fontana, M.; Rotini, M.; Battiston, B.; Artiaco, S.; Dutto, E.; Sard, A.; Colozza, A.; Vicenti, G.; Cavallo, M.; Rotini, R. Unstable Lesions of the Forearm: Terminology, Evaluative Score and Synoptic Table. Injury 2023, 54 (Suppl. S1), S85–S95. [Google Scholar] [CrossRef] [PubMed]
- Carr, L.W.; Adams, B. Chronic Distal Radioulnar Joint Instability. Hand Clin. 2020, 36, 443–453. [Google Scholar] [CrossRef]
- Ajit Singh, V.; Jia, T.Y.; Devi Santharalinggam, R.; Gunasagaran, J. Relationship of Ulna Styloid Fracture to the Distal Radio-Ulnar Joint Stability. A Clinical, Functional, and Radiographic Outcome Study. PLoS ONE 2023, 18, e0279210. [Google Scholar] [CrossRef]
- Shin, S.-H.; Park, T.; Hong, E.; Kwak, D.-S.; Chung, Y.-G. Stabilization of the Distal Radioulnar Joint with or without Triangular Fibrocartilage Complex Tear by an External Wrist Band Brace: A Cadaveric Study. Healthcare 2022, 10, 828. [Google Scholar] [CrossRef]
- Yamamoto, M.; Koh, S.; Tatebe, M.; Shinohara, T.; Shionoya, K.; Hirata, H.; Nakamura, R. Importance of Distal Radioulnar Joint Arthroscopy for Evaluating the Triangular Fibrocartilage Complex. J. Orthop. Sci. 2010, 15, 210–215. [Google Scholar] [CrossRef]
- Khair, Y.; Mustafa, A.; Mestrihi, S.; Azzam, E.; Al-Qasaimeh, M.; Awad, D.; Ovidiu, A. Outcome in TFCC Repair Using Micro Anchor and Trans-osseous Technique. Exp. Ther. Med. 2023, 26, 557. [Google Scholar] [CrossRef]
- Gaspar, M.P.; Kane, P.M.; Pflug, E.M.; Jacoby, S.M.; Osterman, A.L.; Culp, R.W. Interosseous Membrane Reconstruction with a Suture-Button Construct for Treatment of Chronic Forearm Instability. J. Shoulder Elb. Surg. 2016, 25, 1491–1500. [Google Scholar] [CrossRef] [PubMed]
- Andersson, J.K.; Åhlén, M.; Andernord, D. Open versus Arthroscopic Repair of the Triangular Fibrocartilage Complex: A Systematic Review. J. Exp. Orthop. 2018, 5, 6. [Google Scholar] [CrossRef]
- Liu, E.H.; Suen, K.; Tham, S.K.; Ek, E.T. Surgical Repair of Triangular Fibrocartilage Complex Tears: A Systematic Review. J. Wrist Surg. 2021, 10, 70–83. [Google Scholar] [CrossRef] [PubMed]
- Kim, B.; Yoon, H.-K.; Nho, J.-H.; Park, K.H.; Park, S.-Y.; Yoon, J.-H.; Song, H.S. Arthroscopically Assisted Reconstruction of Triangular Fibrocartilage Complex Foveal Avulsion in the Ulnar Variance-Positive Patient. Arthroscopy 2013, 29, 1762–1768. [Google Scholar] [CrossRef]
- Abrams, R.A.; Petersen, M.; Botte, M.J. Arthroscopic Portals of the Wrist: An Anatomic Study. J. Hand Surg. Am. 1994, 19, 940–944. [Google Scholar] [CrossRef] [PubMed]
- Pillukat, T.; Mühldorfer-Fodor, M.; Windolf, J.; van Schoonhoven, J. Arthroscopy of the distal radioulnar joint. Orthopade 2018, 47, 647–654. [Google Scholar] [CrossRef] [PubMed]
- Levina, Y.; Mesa, L.; Hannon, P.J.; Coutelle, N.A.; Hess, A.V.; Garcia, M.J. Retrospective and Prospective Outcomes of Distal Radioulnar Joint Prosthesis Arthroplasty at a Single Center. J. Hand Surg. Glob. Online 2023, 5, 620–623. [Google Scholar] [CrossRef] [PubMed]
- Rockwood, C.A.; Green, D.; Bucholz, R. Rockwood and Green’s Fractures in Adults; Lippincott Williams & Wilkins: Philadelphia, PA, USA, 1991. [Google Scholar]
- Kakar, S.; Garcia-Elias, M. The “Four-Leaf Clover” Treatment Algorithm: A Practical Approach to Manage Disorders of the Distal Radioulnar Joint. J. Hand Surg. Am. 2016, 41, 551–564. [Google Scholar] [CrossRef] [PubMed]
- Flores, D.V.; Umpire, D.F.; Rakhra, K.S.; Jibri, Z.; Belmar, G.A.S. Distal Radioulnar Joint: Normal Anatomy, Imaging of Common Disorders, and Injury Classification. Radiographics 2023, 43, e220109. [Google Scholar] [CrossRef] [PubMed]
- Hsiao, Y.N.; Chien, C.S.; Wu, T.M. Treatment of acute distal radioulnar joint instability with distal oblique bundle augmentation of the interosseous membrane by suture-button suspension: A case series. Jt. Dis. Relat. Surg. 2022, 33, 658–665. [Google Scholar] [CrossRef] [PubMed] [PubMed Central]
- Hung, C.-Y.; Chang, K.-V.; Özçakar, L. Dynamic and Doppler Ultrasound Imaging for the Diagnosis of Triangular Fibrocartilage Complex Injury and Ulnocarpal Wrist Instability. Am. J. Phys. Med. Rehabil. 2016, 95, e111–e112. [Google Scholar] [CrossRef] [PubMed]
- Pavić, R.; Margetić, P.; Benšić, M.; Hnatešen, D.; Kopljar, M.; Margetić, K. Comparative radiological diagnostics of acute triangular fibrocartilage complex injuries. Acta Clin. Croat. 2022, 61, 129–137. [Google Scholar] [CrossRef]
- Ng, A.W.H.; Griffith, J.F.; Fung, C.S.Y.; Lee, R.K.L.; Tong, C.S.L.; Wong, C.W.Y.; Tse, W.L.; Ho, P.C. MR Imaging of the Traumatic Triangular Fibrocartilaginous Complex Tear. Quant. Imaging Med. Surg. 2017, 7, 443–460. [Google Scholar] [CrossRef]
- Ho, P.-C. Arthroscopic Partial Wrist Fusion. Tech. Hand Up. Extrem. Surg. 2008, 12, 242–265. [Google Scholar] [CrossRef]
- Bain, G.I.; Baker, A.; Whipple, T.L.; Poehling, G.G.; Mathoulin, C.; Ho, P.C. History of Wrist Arthroscopy. J. Wrist Surg. 2022, 11, 96–119. [Google Scholar] [CrossRef] [PubMed] [PubMed Central]










| Imaging Technique | Key Advantages | Applications |
|---|---|---|
| Conventional radiography | High-quality bone imaging; Cost-effective and widely available; Quick acquisition for emergency situations [12]. | Evaluation of fractures, dislocations, and degenerative changes in the DRUJ [12,25]. |
| Magnetic resonance imaging (MRI) | Excellent soft tissue resolution; Differentiation of acute from chronic injuries; Non-invasive and preferred for soft tissue assessment [24]. | Diagnosis of TFCC tears and associated abnormalities; Assessment of structures involved in DRUJ stability; Identification of bone contusions and soft tissue injuries [12,24]. |
| Ultrasound imaging (USI) | Real-time imaging during active movements [12]; Detection of TFCC tears with high sensitivity [27]; Ability to detect screw protrusion post volar plating [30]. | Detection of translational movement in the DRUJ among healthy individuals [27]; Diagnosis of interosseous membrane (IOM) tears [10]; Assessment of tendon disorders, such as tenosynovitis [29]. |
| Dynamic imaging techniques (stress radiography and 4D-CT) | Provides insights during active range-of-motion exercises [24]; Offers real-time assessment of carpal kinematics; Enables comprehensive evaluation of carpal bones and ligaments [25]. | Evaluation of DRUJ instability during active range-of-motion exercises; Identification of subtle abnormalities not visible in static images; Surgical planning and treatment decisions [24,25]. |
| DFIS-CT (dual fluoroscopic and computed tomography) | Captures dynamic fluoroscopic and CT images; Real-time evaluation of carpal kinematics [25,31]. | In vivo assessment of 3D carpal kinematics; Evaluation of SLIL repair failure and other carpal abnormalities; Potential low-dose alternative for wrist kinematics assessment [25,31]. |
| Type of Injury | Mechanism | Diagnosis and Imaging | Treatment | Prevalence/Incidence |
|---|---|---|---|---|
| Isolated DRUJ dislocation | Fall on outstretched hand or direct blow to the wrist | Clinical presentation: dorso-, or volar–ulnar prominence, restricted supination or pronation. Imaging: X-rays, MRI [18,36]. | Closed reduction techniques, immobilization with splint or cast, physical therapy. Surgical options: Kirschner wire insertion, arthroscopic repair of TFCC [18,38]. | Rare; less common than dislocations with fractures [36]. |
| TFCC injuries | Traumatic, degenerative avulsion, ischemic tears | Clinical presentation: wrist pain and dysfunction. Imaging: X-rays, MRI, bone scans. Physical testing maneuvers: ulnocarpal stress test, fovea sign, etc. [7,39]. | Conservative management: rest, immobilization, NSAIDs, physical therapy [21]. Surgical options: arthroscopic or open repair of TFCC [44]. | Incidence: 1–2 per 100,000 people per year [18]. |
| Ulnar styloid fractures | High-energy trauma, falls on outstretched hand | Clinical presentation: forearm rotation and stability affected. Imaging: X-rays, CT scans [45]. | Classification and diagnosis based on location and pattern type [47]. Treatment options: conservative management, surgical fixation, ulnar shortening osteotomy [45,51]. | 21–61% of DRFs have ulnar styloid fractures [46]. |
| Ulnar impaction syndrome | Repetitive wrist joint loading | Imaging: X-rays, MRI. Bone scans may also be used [7,54]. | Conservative management: rest, immobilization, anti-inflammatory medication [7]. Surgical intervention: ulnar shortening osteotomy, wafer procedure [73]. | Common cause of ulnar sided wrist pain [73]. |
| Distal radius fractures | Falls, high-energy trauma | Clinical presentation: wrist pain, reduced range of motion. Imaging: X-rays, CT scans [8]. | Management: proper reduction, immobilization, surgical intervention when necessary [8]. Complications: associated with DRUJ instability and ligamentous injuries [40,56]. | Common injuries: DRUJ instability in 2–37% of cases [40]. |
| Essex–Lopresti injuries | High-energy loads applied axially to the forearm | Imaging: X-rays, MRI scans. Clinical signs: DRUJ widening, radial head migration, subluxation of ulna [7]. | Surgical procedures: radial head replacement, DRUJ stabilization, interosseous ligament repair or reconstruction [7,59], multidisciplinary approach for optimal care [37]. | Estimated prevalence: 1% to possibly as high as 5% [58]. |
| Galeazzi fractures | High-energy trauma | Clinical presentation: forearm swelling, deformity [60]. Imaging: X-rays, CT scans [7]. | Surgical intervention: ORIF, DRUJ stabilization [7,65,66], postoperative care and rehabilitation. Complications may include persistent pain, stiffness, instability [60]. | Comprises approximately 7% of all forearm fractures [61]. |
| Criss-cross injury | Simultaneous dislocation of radial head and DRUJ | Diagnosis: imaging (X-rays, MRI) [68,70]. Classification: types I and II based on displacement direction [67]. | Treatment: closed reduction or surgery, early rehabilitation. Good prognosis with either conservative or surgical treatment [69]. | Extremely rare injury [68]. |
| Chronic DRUJ instabilities | Traumatic injuries, rheumatoid arthritis | Diagnosis: imaging (MRI, arthroscopy). Treatment: conservative management or surgical intervention (arthroplasty, arthroscopy), multidisciplinary approach [17,71]. | Chronic instability can lead to joint degeneration and ulnar impaction syndrome. Treatment aims to preserve joint health and function [71]. | Associated with various conditions [17,71]. |
| Bower’s Procedure | This method includes the removal of a significant part of the ulnar head while keeping the ulnar styloid, TFCC, and ulnar cortical column intact. It ensures continuity between the ulnar column and radius, providing support from the ulnar styloid and TFCC. |
| Sauvé–Kapandji Procedure | This technique preserves stability on the ulnar aspect of the joint by keeping the ulnar head intact and securing it with screws to the ulnar notch of the radius. To restore forearm rotation, a segment of the ulna is removed at the ulnar neck. |
| Darrach’s Procedure | Darrach’s procedure involves removing the distal portion of the ulna. It was initially described by William Darrach in 1912 for the treatment of distal radius pseudarthrosis. The recommended excision site is at the upper end of the ulnar notch. |
| Grade | Imaging Findings | Clinical Presentation | Treatment |
|---|---|---|---|
| Grade 1 |
|
|
|
| Grade 2 |
|
|
|
| Grade 3 |
|
|
|
Disclaimer/Publisher’s Note: The statements, opinions and data contained in all publications are solely those of the individual author(s) and contributor(s) and not of MDPI and/or the editor(s). MDPI and/or the editor(s) disclaim responsibility for any injury to people or property resulting from any ideas, methods, instructions or products referred to in the content. |
© 2024 by the authors. Licensee MDPI, Basel, Switzerland. This article is an open access article distributed under the terms and conditions of the Creative Commons Attribution (CC BY) license (https://creativecommons.org/licenses/by/4.0/).
Share and Cite
Dmour, A.; Tirnovanu, S.-D.; Popescu, D.-C.; Forna, N.; Pinteala, T.; Dmour, B.-A.; Savin, L.; Veliceasa, B.; Filip, A.; Carp, A.C.; et al. Advancements in Diagnosis and Management of Distal Radioulnar Joint Instability: A Comprehensive Review Including a New Classification for DRUJ Injuries. J. Pers. Med. 2024, 14, 943. https://doi.org/10.3390/jpm14090943
Dmour A, Tirnovanu S-D, Popescu D-C, Forna N, Pinteala T, Dmour B-A, Savin L, Veliceasa B, Filip A, Carp AC, et al. Advancements in Diagnosis and Management of Distal Radioulnar Joint Instability: A Comprehensive Review Including a New Classification for DRUJ Injuries. Journal of Personalized Medicine. 2024; 14(9):943. https://doi.org/10.3390/jpm14090943
Chicago/Turabian StyleDmour, Awad, Stefan-Dragos Tirnovanu, Dragos-Cristian Popescu, Norin Forna, Tudor Pinteala, Bianca-Ana Dmour, Liliana Savin, Bogdan Veliceasa, Alexandru Filip, Adrian Claudiu Carp, and et al. 2024. "Advancements in Diagnosis and Management of Distal Radioulnar Joint Instability: A Comprehensive Review Including a New Classification for DRUJ Injuries" Journal of Personalized Medicine 14, no. 9: 943. https://doi.org/10.3390/jpm14090943
APA StyleDmour, A., Tirnovanu, S.-D., Popescu, D.-C., Forna, N., Pinteala, T., Dmour, B.-A., Savin, L., Veliceasa, B., Filip, A., Carp, A. C., Sirbu, P. D., & Alexa, O. (2024). Advancements in Diagnosis and Management of Distal Radioulnar Joint Instability: A Comprehensive Review Including a New Classification for DRUJ Injuries. Journal of Personalized Medicine, 14(9), 943. https://doi.org/10.3390/jpm14090943

