Ocular Manifestations and Complications of Patent Foramen Ovale: A Narrative Review
Abstract
1. Introduction
2. Materials and Methods
3. Results
3.1. Patent Foramen Ovale: Pathophysiology, Diagnosis and Screening
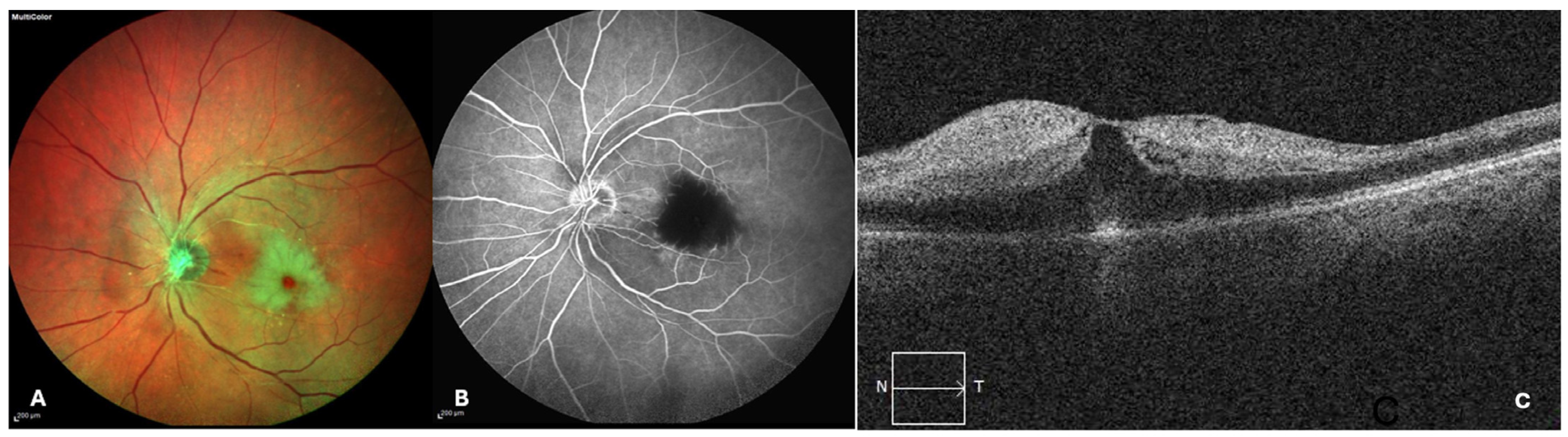
3.2. PFO and Acute Retinal Ischemic Events
3.3. PFO and Migraine with Aura
3.4. PFO and Impaired Eye Movement
3.5. PFO and Endogenous Eye Infections
4. Discussion
5. Conclusions
6. Future Directions
Author Contributions
Funding
Conflicts of Interest
References
- Homma, S.; Messé, S.R.; Rundek, T.; Sun, Y.-P.; Franke, J.; Davidson, K.; Sievert, H.; Sacco, R.L.; Di Tullio, M.R. Patent foramen ovale. Nat. Rev. Dis. Prim. 2016, 2, 15086. [Google Scholar] [CrossRef] [PubMed]
- Meissner, I.; Khandheria, B.K.; Heit, J.A.; Petty, G.W.; Sheps, S.G.; Schwartz, G.L.; Whisnant, J.P.; Wiebers, D.O.; Covalt, J.L.; Petterson, T.M.; et al. Patent foramen ovale: Innocent or guilty? Evidence from a prospective population-based study. J. Am. Coll. Cardiol. 2006, 47, 440–445. [Google Scholar] [CrossRef]
- Koutroulou, I.; Tsivgoulis, G.; Tsalikakis, D.; Karacostas, D.; Grigoriadis, N.; Karapanayiotides, T. Epidemiology of Patent Foramen Ovale in General Population and in Stroke Patients: A Narrative Review. Front. Neurol. 2020, 11, 281. [Google Scholar] [CrossRef] [PubMed] [PubMed Central]
- Hagen, P.T.; Scholz, D.G.; Edwards, W.D. Incidence and size of patent foramen ovale during the first 10 decades of life: An autopsy study of 965 normal hearts. Mayo Clin. Proc. 1984, 59, 17–20. [Google Scholar] [CrossRef] [PubMed]
- Homma, S.; Sacco, R.L. Patent foramen ovale and stroke. Circulation 2005, 112, 1063–1072. [Google Scholar] [CrossRef] [PubMed]
- Serena, J.; Marti-Fàbregas, J.; Santamarina, E.; Rodríguez, J.J.; Perez-Ayuso, M.J.; Masjuan, J.; Segura, T.; Gállego, J.; Dávalos, A. Recurrent stroke and massive right-to-left shunt: Results from the prospective Spanish multicenter (CODICIA) study. Stroke 2008, 39, 3131–3136. [Google Scholar] [CrossRef] [PubMed]
- Alsheikh-Ali, A.A.; Thaler, D.E.; Kent, D.M. Patent foramen ovale in cryptogenic stroke: Incidental or pathogenic? Stroke 2009, 40, 2349–2355. [Google Scholar] [CrossRef] [PubMed] [PubMed Central]
- Katsanos, A.H.; Bhole, R.; Frogoudaki, A.; Giannopoulos, S.; Goyal, N.; Vrettou, A.R.; Ikonomidis, I.; Paraskevaidis, I.; Pappas, K.; Parissis, J.; et al. The value of transesophageal echocardiography for embolic strokes of undetermined source. Neurology 2016, 87, 988–995. [Google Scholar] [CrossRef] [PubMed] [PubMed Central]
- Dagra, A.; Lucke-Wold, B.; McGrath, K.; Mehkri, I.; Mehkri, Y.; Davidson, C.G.; Gilberstadt, N.; Douglas, B.W.; Hoh, B. Central Retinal Artery Occlusion: A Review of Pathophysiological Features and Management. Stroke Vasc. Interv. Neurol. 2024, 4, e000977. [Google Scholar] [CrossRef]
- Schwedt, T.J.; Demaerschalk, B.M.; Dodick, D.W. Patent foramen ovale and migraine: A quantitative systematic review. Cephalalgia 2008, 28, 531–540. [Google Scholar] [CrossRef]
- Collado, F.M.S.; Poulin, M.F.; Murphy, J.J.; Jneid, H.; Kavinsky, C.J. Patent Foramen Ovale Closure for Stroke Prevention and Other Disorders. J. Am. Heart Assoc. 2018, 7, e007146. [Google Scholar] [CrossRef] [PubMed]
- Homma, S.; Di Tullio, M.R.; Sacco, R.L.; Mihalatos, D.; Li Mandri, G.; Mohr, J.P. Characteristics of patent foramen ovale associated with cryptogenic stroke. A biplane transesophageal echocardiographic study. Stroke 1994, 25, 582–586. [Google Scholar] [CrossRef] [PubMed]
- Goel, S.S.; Tuzcu, E.M.; Shishehbor, M.H.; de Oliveira, E.I.; Borek, P.P.; Krasuski, R.A.; Rodriguez, L.L.; Kapadia, S.R. Morphology of the patent foramen ovale in asymptomatic versus symptomatic (stroke or transient ischemic attack) patients. Am. J. Cardiol. 2009, 103, 124–129. [Google Scholar] [CrossRef] [PubMed]
- Clarke, N.R.A.; Timperley, J.; Kelion, A.D.; Banning, A.P. Transthoracic echocardiography using second harmonic imaging with Valsalva manoeuvre for the detection of right to left shunts. Eur. J. Echocardiogr. J. Work. Gr. Echocardiogr. Eur. Soc. Cardiol. 2004, 5, 176–181. [Google Scholar] [CrossRef] [PubMed]
- Daniëls, C.; Weytjens, C.; Cosyns, B.; Schoors, D.; Desutter, J.; Paelinck, B.; Muyldermans, L.; Vancamp, G. Second harmonic transthoracic echocardiography: The new reference screening method for the detection of patent foramen ovale. Eur. J. Echocardiogr. J. Work. Gr. Echocardiogr. Eur. Soc. Cardiol. 2004, 5, 449–452. [Google Scholar] [CrossRef] [PubMed]
- Takaya, Y.; Nakayama, R.; Akagi, T.; Yokohama, F.; Miki, T.; Nakagawa, K.; Toh, N.; Ito, H. Importance of saline contrast transthoracic echocardiography for evaluating large right-to-left shunt in patent foramen ovale associated with cryptogenic stroke. Int. J. Cardiovasc. Imaging 2022, 38, 515–520. [Google Scholar] [CrossRef] [PubMed] [PubMed Central]
- Schneider, B.; Zienkiewicz, T.; Jansen, V.; Hofmann, T.; Noltenius, H.; Meinertz, T. Diagnosis of patent foramen ovale by transesophageal echocardiography and correlation with autopsy findings. Am. J. Cardiol. 1996, 77, 1202–1209. [Google Scholar] [CrossRef] [PubMed]
- Zanette, E.M.; Mancini, G.; De Castro, S.; Solaro, M.; Cartoni, D.; Chiarotti, F. Patent foramen ovale and transcranial Doppler: Comparison of different procedures. Stroke 1996, 27, 2251–2255. [Google Scholar] [CrossRef] [PubMed]
- Job, F.P.; Ringelstein, E.; Grafen, Y.; Flachskampf, F.A.; Doherty, C.; Stockmanns, A.; Hanrath, P. Comparison of transcranial contrast Doppler sonography and transesophageal contrast echocardiography for the detection of patent foramen ovale in young stroke patients. Am. J. Cardiol. 1994, 74, 381–384. [Google Scholar] [CrossRef]
- Klötzsch, C.; Janssen, G.; Berlit, P. Transesophageal echocardiography and contrast-TCD in the detection of a patent foramen ovale: Experiences with 111 patients. Neurology 1994, 44, 1603–1606. [Google Scholar] [CrossRef]
- Mojadidi, M.K.; Roberts, S.C.; Winoker, J.S.; Romero, J.; Goodman-Meza, D.; Gevorgyan, R.; Tobis, J.M. Accuracy of transcranial Doppler for the diagnosis of intracardiac right-to-left shunt: A bivariate meta-analysis of prospective studies. JACC Cardiovasc. Imaging 2014, 7, 236–250. [Google Scholar] [CrossRef] [PubMed]
- Van, H.; Poommipanit, P.; Shalaby, M.; Gevorgyan, R.; Tseng, C.H.; Tobis, J. Sensitivity of transcranial Doppler versus intracardiac echocardiography in the detection of right-to-left shunt. JACC Cardiovasc. Imaging 2010, 3, 343–348. [Google Scholar] [CrossRef]
- Hayreh, S.S. Ocular vascular occlusive disorders: Natural history of visual outcome. Prog. Retin. Eye Res. 2014, 41, 1–25. [Google Scholar] [CrossRef] [PubMed]
- Kvickström, P.; Lindblom, B.; Bergström, G.; Zetterberg, M. Amaurosis fugax: Risk factors and prevalence of significant carotid stenosis. Clin. Ophthalmol. 2016, 10, 2165–2170. [Google Scholar] [CrossRef] [PubMed]
- Sverdlichenko, I.; Donaldson, L.; Margolin, E. Yield of Investigations in Young Patients Presenting With Transient Monocular Vision Loss: A Prospective Study. Am. J. Ophthalmol. 2024, 257, 137–142. [Google Scholar] [CrossRef] [PubMed]
- Clifford, L.; Sievers, R.; Salmon, A.; Newsom, R.S.B. Central retinal artery occlusion: Association with patent foramen ovale. Eye 2006, 20, 736–738. [Google Scholar] [CrossRef] [PubMed]
- Chang, Y.S.; Ho, C.H.; Chu, C.C.; Wang, J.J.; Tseng, S.H.; Jan, R.L. Risk of retinal artery occlusion in patients with diabetes mellitus: A retrospective large-scale cohort study. PLoS ONE 2018, 13, e0201627. [Google Scholar] [CrossRef] [PubMed]
- Fekri, S.; Mahmoudimehr, P.; Jafari Fesharaki, M.; Hosseinjani, E.; Abtahi, S.H.; Nouri, H. Retinal arterial occlusion and patent foramen ovale: A case study-based review. J. Fr. Ophtalmol. 2024, 47, 104021. [Google Scholar] [CrossRef] [PubMed]
- Schneider, M.; Molnar, A.; Angeli, O.; Szabo, D.; Bernath, F.; Hajdu, D.; Gombocz, E.; Mate, B.; Jiling, B.; Nagy, B.V.; et al. Prevalence of Cilioretinal Arteries: A systematic review and a prospective cross-sectional observational study. Acta Ophthalmol. 2021, 99, e310–e318. [Google Scholar] [CrossRef]
- Draper, E.M.; Malloy, K.A. Case Report: Retinal Artery Occlusion Associated with Patent Foramen Ovale. Clin. Insights Eyecare 2023, 1, 1–9. [Google Scholar]
- Jürgens, L.; Yaici, R.; Schnitzler, C.M.; Fleitmann, A.K.; Roth, M.; Schröder, K.; Guthoff, R. Retinal vascular occlusion in pregnancy: Three case reports and a review of the literature. J. Med. Case Rep. 2022, 16, 167. [Google Scholar] [CrossRef] [PubMed]
- Wieder, M.S.; Blace, N.; Szlechter, M.M.; Shulman, E.; Thankenchen, J.; Mbekeani, J.N. Central retinal artery occlusion associated with patent foramen ovale: A case report and literature review. Arq. Bras. Oftalmol. 2021, 84, 494–498. [Google Scholar] [CrossRef]
- Chatziralli, I.P.; Parikakis, E.A.; Mitropoulos, P.G. Undiagnosed patent foramen ovale as a rare cause for branch retinal artery occlusion. Eur. J. Ophthalmol. 2015, 25, e88–e90. [Google Scholar] [CrossRef]
- Biousse, V.; Nahab, F.; Newman, N.J. Management of Acute Retinal Ischemia: Follow the Guidelines! Ophthalmology 2018, 125, 1597–1607. [Google Scholar] [CrossRef] [PubMed]
- Sharma, S.; Sharma, S.M.; Cruess, A.F.; Brown, G.C. Transthoracic echocardiography in young patients with acute retinal arterial obstruction. RECO Study Group. Retinal Emboli of Cardiac Origin Group. Can. J. Ophthalmol. 1997, 32, 38–41. [Google Scholar]
- Inatomi, Y.; Hino, H.; Hashimoto, Y.; Furuyoshi, N.; Misumi, I.; Uchino, M. Transesophageal echocardiography for detection of cardiac diseases in patients with retinal artery occlusion. Intern. Med. 2001, 40, 475–478. [Google Scholar] [CrossRef]
- Tayyab, H.; Aamir, F.B.; Kirmani, S. Central retinal artery occlusion as a result of symptomatic patent foramen ovale. Rom. J. Ophthalmol. 2023, 67, 69–72. [Google Scholar] [CrossRef]
- Ho, I.V.; Spaide, R. Central retinal artery occlusion associated with a patent foramen ovale. Retina 2007, 27, 259–260. [Google Scholar] [CrossRef] [PubMed]
- Gabrielian, A.; Mieler, W.F.; Hariprasad, S.M. Retinal artery occlusion associated with a patent foramen ovale. Eye 2010, 24, 396–397. [Google Scholar] [CrossRef]
- Nakagawa, T.; Hirata, A.; Inoue, N.; Hashimoto, Y.; Tanihara, H. A case of bilateral central retinal artery obstruction with patent foramen ovale. Acta Ophthalmol. Scand. 2004, 82, 111–112. [Google Scholar] [CrossRef]
- Ascuitto, M.; Guertin, D.; Weaver, K. Acute unilateral vision loss from central retinal artery occlusion associated with an atrial septal aneurysm and a patent foramen ovale: A case report. Fam. Pract. 2021, 38, 834–836. [Google Scholar] [CrossRef] [PubMed]
- Shoeibi, N.; Poorzand, H.; Abrishami, M. Branch retinal artery occlusion in a patient with patent foramen ovale. J. Ophthalmic Vis. Res. 2013, 8, 58–61. [Google Scholar] [PubMed]
- Wisotsky, B.J.; Engel, H.M. Transesophageal echocardiography in the diagnosis of branch retinal artery obstruction. Am. J. Ophthalmol. 1993, 115, 653–656. [Google Scholar] [CrossRef] [PubMed]
- Liu, X.; Calvert, P.A.; Arif, S.; Keane, P.A.; Denniston, A.K. Patent foramen ovale presenting as visual loss. JRSM Open 2016, 8, 2054270416669302. [Google Scholar] [CrossRef] [PubMed]
- Grudzińska, E.; Nowacka, B.; Bania, B.; Lubiński, W.; Zaborski, D.; Modrzejewska, M. Patent foramen ovale as a cause of acute vision loss. Int. J. Ophthalmol. 2021, 14, 1125–1126. [Google Scholar] [CrossRef] [PubMed]
- Sheth, H.G.; Laverde-Konig, T.; Raina, J. Undiagnosed patent foramen ovale presenting as retinal artery occlusion-an emerging association. J. Ophthalmol. 2009, 2009, 248269. [Google Scholar] [CrossRef] [PubMed]
- Sabanis, N.; Zagkotsis, G.; Krikos, V.D.; Paschou, E.; Tapanlis, A. Central Retinal Artery Occlusion Secondary to Patent Foramen Ovale: The Unexpected Journey of a Paradoxical Embolus. Cureus 2020, 12, e9496. [Google Scholar] [CrossRef] [PubMed]
- Kramer, M.; Goldenberg-Cohen, N.; Shapira, Y.; Axer-Siegel, R.; Shmuely, H.; Adler, Y.; Weinberger, D.; Sagie, A. Role of transesophageal echocardiography in the evaluation of patients with retinal artery occlusion. Ophthalmology 2001, 108, 1461–1464. [Google Scholar] [CrossRef]
- Zhu, L.; Xu, N.; Li, Y. Monocular central retinal artery occlusion caused by bilateral internal carotid artery hypoplasia complicated with patent foramen ovale: A case report and review of literature. Eur. J. Med. Res. 2021, 26, 55. [Google Scholar] [CrossRef]
- Si, M.; Wang, H. Retinal artery occlusion after facial filler injection in a patient with patent foramen ovale: A case report and literature review. J. Int. Med. Res. 2023, 51, 3000605231194514. [Google Scholar] [CrossRef]
- Pipolo, G.R.; Neto, C.A.M.; Ishida, P.; Pereira, R.; Torres, R.; Barreto, G.; Moreira, C.A.M., Jr. OCT Angiography Use in Pregnancy: Branch Retinal Artery Occlusion Associated with Patent Foramen Ovale—A Case Report and Multimodal Analysis. Case Rep. Ophthalmol. 2023, 14, 29–33. [Google Scholar] [CrossRef] [PubMed]
- Kapoor, K.M.; Kapoor, P.; Heydenrych, I.; Bertossi, D. Vision Loss Associated with Hyaluronic Acid Fillers: A Systematic Review of Literature. Aesthetic Plast. Surg. 2020, 44, 929–944. [Google Scholar] [CrossRef] [PubMed]
- Kanwar, S.M.; Noheria, A.; DeSimone, C.V.; Rabinstein, A.A.; Asirvatham, S.J. Coincidental Impact of Transcatheter Patent Foramen Ovale Closure on Migraine with and without Aura—A Comprehensive Meta-Analysis. Clin. trials Regul. Sci. Cardiol. 2016, 15, 7–13. [Google Scholar] [CrossRef][Green Version]
- Lipton, R.B.; Stewart, W.F.; Diamond, S.; Diamond, M.L.; Reed, M. Prevalence and burden of migraine in the United States: Data from the American Migraine Study II. Headache 2001, 41, 646–657. [Google Scholar] [CrossRef] [PubMed]
- Del Sette, M.; Dinia, L.; Bonzano, L.; Roccatagliata, L.; Finocchi, C.; Parodi, R.; Sivori, G.; Gandolfo, C. White matter lesions in migraine and right-to-left shunt: A conventional and diffusion MRI study. Cephalalgia 2008, 28, 376–382. [Google Scholar] [CrossRef] [PubMed]
- Liu, K.; Wang, B.Z.; Hao, Y.; Song, S.; Pan, M. The Correlation Between Migraine and Patent Foramen Ovale. Front. Neurol. 2020, 11, 543485. [Google Scholar] [CrossRef] [PubMed]
- Wilmshurst, P.T. Migraine with aura and persistent foramen ovale. Eye 2018, 32, 184–188. [Google Scholar] [CrossRef] [PubMed]
- Dowson, A.; Mullen, M.J.; Peatfield, R.; Muir, K.; Khan, A.A.; Wells, C.; Lipscombe, S.L.; Rees, T.; De Giovanni, J.V.; Morrison, W.L.; et al. Migraine Intervention With STARFlex Technology (MIST) trial: A prospective, multicenter, double-blind, sham-controlled trial to evaluate the effectiveness of patent foramen ovale closure with STARFlex septal repair implant to resolve refractory migraine. Circulation 2008, 117, 1397–1404. [Google Scholar] [CrossRef]
- Mattle, H.P.; Evers, S.; Hildick-Smith, D.; Becker, W.J.; Baumgartner, H.; Chataway, J.; Gawel, M.; Göbel, H.; Heinze, A.; Horlick, E.; et al. Percutaneous closure of patent foramen ovale in migraine with aura, a randomized controlled trial. Eur. Heart J. 2016, 37, 2029–2036. [Google Scholar] [CrossRef]
- Tobis, J.M.; Charles, A.; Silberstein, S.D.; Sorensen, S.; Maini, B.; Horwitz, P.A.; Gurley, J.C. Percutaneous Closure of Patent Foramen Ovale in Patients With Migraine: The PREMIUM Trial. J. Am. Coll. Cardiol. 2017, 70, 2766–2774. [Google Scholar] [CrossRef]
- Giardini, A.; Donti, A.; Formigari, R.; Salomone, L.; Palareti, G.; Guidetti, D.; Picchio, F.M. Long-term efficacy of transcatheter patent foramen ovale closure on migraine headache with aura and recurrent stroke. Catheter. Cardiovasc. Interv. Off. J. Soc. Card. Angiogr. Interv. 2006, 67, 625–629. [Google Scholar] [CrossRef]
- Yan, S.; Wang, N.; Liu, H.; Wei, Y.; Liu, X.; Wang, L.; Huang, Y.; Lin, M. Patent Foramen Ovale Closure for Migraineurs with Massive Right-to-Left Shunt and White Matter Lesions: An Exploration on Curative Effects. Altern. Ther. Health Med. 2024, AT9388, ahead of print. [Google Scholar] [PubMed]
- Elbadawi, A.; Barssoum, K.; Abuzaid, A.S.; Rezq, A.; Biniwale, N.; Alotaki, E.; Mohamed, A.H.; Vuyyala, S.; O Ogunbayo, G.; Saad, M. Meta-analysis of randomized trials on percutaneous patent foramen ovale closure for prevention of migraine. Acta Cardiol. 2019, 74, 124–129. [Google Scholar] [CrossRef] [PubMed]
- Shi, Y.-J.; Lv, J.; Han, X.-T.; Luo, G.-G. Migraine and percutaneous patent foramen ovale closure: A systematic review and meta-analysis. BMC Cardiovasc. Disord. 2017, 17, 203. [Google Scholar] [CrossRef] [PubMed]
- Zhang, Y.; Wang, H.; Liu, L. Patent Foramen Ovale Closure for Treating Migraine: A Meta-Analysis. J. Interv. Cardiol. 2022, 2022, 6456272. [Google Scholar] [CrossRef]
- Zhang, Q.-Q.; Lu, J.-J.; Yan, M.-Y.; Hu, X.-W.; Qin, Y.-R.; Wang, D.-P.; Jiang, J.-H.; Fang, Q.; Zhao, H.-R. The Efficacy of Percutaneous Patent Foramen Ovale Closure on Migraine: A Meta-Analysis of Randomized Controlled Trials and Observational Studies. Biomed. Res. Int. 2021, 2021, 6643266. [Google Scholar] [CrossRef]
- Arunagiri, G.; Santhi, S. Migraine: An ophthalmologist’s perspective. Curr. Opin. Ophthalmol. 2003, 14, 344–352. [Google Scholar] [CrossRef] [PubMed]
- Ciuffreda, K.J.; Kapoor, N.; Rutner, D.; Suchoff, I.B.; Han, M.E.; Craig, S. Occurrence of oculomotor dysfunctions in acquired brain injury: A retrospective analysis. Optometry 2007, 78, 155–161. [Google Scholar] [CrossRef] [PubMed]
- Xie, D.N.; Sun, Q. Bilateral ptosis caused by patent foramen ovale-associated stroke. QJM An. Int. J. Med. 2022, 115, 853–854. [Google Scholar] [CrossRef]
- Mazurkiewicz-Bełdzińska, M.; Szmuda, M.; Zawadzka, M. Internuclear opthalmoplegia as a symptom of ischemic stroke in a girl with patent foramen ovale. Pediatr. Neurol. 2015, 52, 466–467. [Google Scholar] [CrossRef]
- Zhuang, S.; Xie, W.; Mao, C. Bilateral facial colliculus syndrome caused by pontine tegmentum infarction: A case report. BMC Neurol. 2021, 21, 492. [Google Scholar] [CrossRef] [PubMed]
- Takahashi, C. A Case of Progressive Stroke on Posterior Circulation with Transient Bilateral Oculomotor Palsy. Case Rep. Neurol. Med. 2018, 2018, 1579426. [Google Scholar] [CrossRef] [PubMed]
- Khan, A.O. Pupil-sparing complete third nerve palsy from cryptogenic midbrain stroke in an otherwise-healthy young adult with patent foramen ovale. Middle East. Afr. J. Ophthalmol. 2012, 19, 237–239. [Google Scholar] [CrossRef] [PubMed]
- Durand, M.L. Endophthalmitis. Clin. Microbiol. Infect. Off. Publ. Eur. Soc. Clin. Microbiol. Infect. Dis. 2013, 19, 227–234. [Google Scholar] [CrossRef] [PubMed]
- Sadiq, M.A.; Hassan, M.; Agarwal, A.; Sarwar, S.; Toufeeq, S.; Soliman, M.K.; Hanout, M.; Sepah, Y.J.; Do, D.V.; Nguyen, Q.D. Endogenous endophthalmitis: Diagnosis, management, and prognosis. J. Ophthalmic Inflamm. Infect. 2015, 5, 32. [Google Scholar] [CrossRef] [PubMed]
- Rodrigues, A.C.; Ogawa, A.; Mota, J.; Carbone, A.; Arruda, A.L.; Furtado, M.; Pinheiro, J.; Andrade, J.L. Endophthalmitis as a first manifestation of right-sided endocarditis in a patient with patent foramen ovale. J. Echocardiogr. 2012, 10, 67–68. [Google Scholar] [CrossRef] [PubMed]
- Nii, T.; Yoshikawa, H.; Okabe, T.; Tachibana, I. Septic pulmonary and systemic embolism in tricuspid endocarditis. BMJ Case Rep. 2014, 2014, 206569. [Google Scholar] [CrossRef] [PubMed]
- Flaxel, C.J.; Adelman, R.A.; Bailey, S.T.; Fawzi, A.; Lim, J.I.; Vemulakonda, G.A.; Ying, G.-S. Retinal and Ophthalmic Artery Occlusions Preferred Practice Pattern®. Ophthalmology 2020, 127, P259–P287. [Google Scholar] [CrossRef] [PubMed]
- Endophthalmitis Study Group, European Society of Cataract & Refractive Surgeons. Prophylaxis of postoperative endophthalmitis following cataract surgery: Results of the ESCRS multicenter study and identification of risk factors. J. Cataract. Refract. Surg. 2007, 33, 978–988. [Google Scholar] [CrossRef] [PubMed]
- Vukadinović, D.; Schirmer, S.H.; Vukadinović, A.N.; Ukena, C.; Scheller, B.; Mahfoud, F.; Böhm, M. Interventional closure vs. medical therapy of patent foramen ovale for secondary prevention of stroke: Updated meta-analysis. Clin. Res. Cardiol. 2019, 108, 157–166. [Google Scholar] [CrossRef]
- Turc, G.; Calvet, D.; Guérin, P.; Sroussi, M.; Chatellier, G.; Mas, J.L. Closure, Anticoagulation, or Antiplatelet Therapy for Cryptogenic Stroke With Patent Foramen Ovale: Systematic Review of Randomized Trials, Sequential Meta-Analysis, and New Insights from the CLOSE Study. J. Am. Heart Assoc. 2018, 7, e008356. [Google Scholar] [CrossRef] [PubMed]
- Liu, Y.; Wu, Y.; Xiong, L. Surgical vs. drug therapy in patients with patent foramen ovale and cryptogenic stroke. Herz 2021, 46, 250–254. [Google Scholar] [CrossRef] [PubMed]
- Rim, T.H.; Lee, C.J.; Tham, Y.C.; Cheung, N.; Yu, M.; Lee, G.; Kim, Y.; Ting, D.S.W.; Chong, C.C.Y.; Choi, Y.S.; et al. Deep-learning-based cardiovascular risk stratification using coronary artery calcium scores predicted from retinal photographs. Lancet Digit. Health 2021, 3, e306–e316. [Google Scholar] [CrossRef] [PubMed]
- Wagner, S.K.; Fu, D.J.; Faes, L.; Liu, X.; Huemer, J.; Khalid, H.; Ferraz, D.; Korot, E.; Kelly, C.; Balaskas, K.; et al. Insights into Systemic Disease through Retinal Imaging-Based Oculomics. Transl. Vis. Sci. Technol. 2020, 9, 6, Erratum in Transl. Vis. Sci. Technol. 2021, 10, 13. https://doi.org/10.1167/tvst.10.8.13. [Google Scholar] [CrossRef] [PubMed]




| Author (Year) | Reference | Type of Study | Population | Outcomes |
|---|---|---|---|---|
| Sverdlichenko et al. (2024) | [25] | Prospective cohort study | 20 cases under 45 years of age with TMVL (4 men and 16 women) | All patients included were referred for neuroimaging and cardiac investigations. Two of the thirteen patients who completed echocardiography had PFO (15%). |
| Fekri et al. (2024) | [28] | Case-study-based review | 23 cases of CRAO (n = 10), BRAO (n = 10) and CILRAO (n = 3) with PFO | A total of 78.3% of the cases were under 50 years of age. A high RoPE score (≥7, suggestive of paradoxical embolism via PFO) was estimated for 71.4% of patients. TEE exhibited higher sensitivity than TTE in diagnosing the underlying cardiac disease (71.4% versus 28.6%). Approximately half of the patients underwent percutaneous closure of the PFO with no complications. |
| Jurgens et al. (2022) | [31] | Review and case report | 1 case | A pregnant woman developed cilioretinal artery occlusion of thromboembolic origin associated with PFO. OCTA enabled risk-free imaging of retinal vessel perfusion during pregnancy. |
| Wieder et al. (2021) | [32] | Review and case report | 1 case | A 43- year-old man presented with CRAO in the setting of PFO. TEE appeared more sensitive than TTE in diagnosing PFO (85.7% versus 14.3%). |
| Chatziralli et al. (2015) | [33] | Case report | 1 case | A 35-year-old man presented with a left inferior BRAO. Cardiologic examination with TEE revealed a right-to-left shunt across PFO. The patient developed no other embolic event at the 9-month follow-up, having undergone an operation for PFO repair. |
| Inatomi et al. (2001) | [36] | Retrospective study | 22 cases | A total of 22 patients with retinal artery occlusion (RAO) were analyzed. TEE findings were abnormal in 13 (59%) of the 22 patients. PFO was observed in 9% of patients. |
| Tayyab et al. (2023) | [37] | Case report | 1 case | A teenage girl presented with CRAO in the right eye, which was accompanied by frontal headaches and vertigo. Investigations to rule out hematologic, vascular and cardiac causes were performed. TEE revealed PFO as the cause of this cryptogenic stroke. |
| Ho and Spaide (2007) | [38] | Case report | 1 case | A healthy 15-year-old boy developed a CRAO with cilioretinal artery sparing after a fractured clavicle. Initially, no abnormalities were found after extensive systemic examinations. Subsequently, PFO was revealed by TEE, and the patient was scheduled for cardiac surgery. |
| Gabrielian et al. (2009) | [39] | Case report | 1 case | A healthy 17-year-old male presented with sudden, painless loss of vision in his right eye while playing basketball. Fundus examination and fluorescein angiography confirmed a retinal artery occlusion. The hematological/infectious work-up, including TTE, was negative. However, TEE showed PFO. The patient underwent a successful percutaneous femoral catheterization to close the defect. |
| Nakagawa et al. (2004) | [40] | Case report | 1 case | A 43-year-old woman presented a bilateral CRAO within one month. The patient was treated with urokinase and with an anticoagulant. The corrected VA recovered completely in the right eye and partially in the left eye. After extensive examination, TEE revealed a right-to-left shunt through PFO. The patient was treated with anticoagulants and has suffered no recurrence of CRAO. |
| Ascuitto et al. (2021) | [41] | Case report | 1 case | A patient presented with painless, sudden visual loss in his left eye. He was diagnosed with CRAO, likely from a paradoxical embolus associated with an atrial septal aneurysm containing PFO. The patient underwent successful percutaneous closure of the PFO without complication. |
| Shoeibi et al. (2013) | [42] | Case report | 1 case | A 29-year-old female patient presented a BRAO. The patient was treated with oral acetazolamide, topical timolol, ocular massage and anterior chamber paracentesis. The visual field defect partially recovered. After an extensive work-up, a small-sized PFO was detected by TEE. Low-dose aspirin therapy was initiated, and over the subsequent two years, no other embolic event occurred. |
| Wisotsky et al. (1993) | [43] | Case report | 2 cases | A 28-year-old man and a 19-year-old woman presented BRAO. In each patient, PFO was demonstrated via transesophageal echocardiography after a transthoracic study disclosed no abnormalities. |
| Liu et al. (2017) | [44] | Case report | 1 case | A 21-year-old man presented with an eight-day history of a blurry patch of vision in the right eye. A BRAO was diagnosed after fundus and OCT examinations. A TTE bubble contrast study showed a large right-to-left shunt at the atrial level. Percutaneous closure of the PFO was undertaken. Normal visual acuity after 12 months was recovered. |
| Grudzińska et al. (2021) | [45] | Case report | 1 case | A 33-year-old Caucasian man presented a superior nasal loss of visual field and central scotoma in his left eye. A BRAO was diagnosed. The patient underwent standard TTE without any pathological findings. TEE revealed a marked leak through PFO, and cardiologists decided on foramen ovale closure. |
| Sheth et al. (2009) | [46] | Case report | 1 case | An 18-year-old male claimed sudden-onset left visual loss. Ophthalmological examination revealed an afferent pupillary defect secondary to left hemiretinal artery occlusion. A subsequent cardiology review with TEE revealed PFO, which was closed surgically. |
| Sabanis et al. (2020) | [47] | Case report | 1 case | A patient with no significant comorbidities experienced a paradoxical thromboembolic episode of CRAO. After a comprehensive examination, PFO was diagnosed after a bubble contrast TTE. |
| Kramer et al. (2001) | [48] | Retrospective observational case series | 18 cases | A total of 18 patients who were diagnosed with retinal artery occlusion (7 CRAO, 11 BRAO) were analyzed. Cardiac or thoracic aortic pathologic conditions, which were a possible source of the retinal emboli, were detected by TEE in 13 of the 18 patients (72%). They included aortic arch atheroma (n = 7), mitral annulus calcification (n = 4), left atrial appendage thrombus (n = 2), valvular abnormalities (n = 5), left atrial smoke (n = 3) and PFO (n = 3). TEE showed higher sensitivity than TTE in detecting the cardiac emboli source. |
| Zhu et al. (2021) | [49] | Case report | 1 case | A 46-year-old woman presented an amaurosis fugax lasting 20 min and a persistent visual alteration in her left eye. Fundus examination did not reveal significant abnormalities. Fundus fluorescein angiography showed a long arm–retina circulation time. Imaging examinations revealed bilateral internal carotid artery (ICA) hypoplasia and a variation in the circle of Willis. Furthermore, TEE showed the presence of a PFO and a cardiogenic embolic event. Aspirin 100 mg/day was given to the patient, and PFO occlusion surgery was recommended. |
| Si et al. (2023) | [50] | Review and case report | 1 case | A 40-year-old woman reported a gradual decline in visual acuity, with visual field defects that had developed in two stages after HA injection as facial filler into the nasal root. Multiple retinal artery occlusions were diagnosed. PFO was detected by TEE. The patient was treated with intravenous dexamethasone and cobamamide, as well as extracorporeal counterpulsation therapy. Visual acuity improved from counting fingers at 30 cm to 20/133 within 3 days. |
| Pipolo et al. (2023) | [51] | Case report | 1 case | A 28-year-old woman presented at the clinic 20 h after an acute visual field defect in the right eye. At that time, she was 18 weeks pregnant and had no report of complications in her previous pregnancy. After ophthalmological evaluation, BRAO was diagnosed. A transcranial Doppler with contrast indicated a right-to-left intracardiac shunt, confirmed by the presence of PFO at the TEE. Thrombophilic conditions were excluded. Enoxaparin 1 mg/kg was started and kept until the delivery. Then, a surgical closure of PFO was programmed. |
| Author (Year) | Reference | Type of Study | Population | Outcomes |
|---|---|---|---|---|
| Schwedt et al. (2008) | [10] | Systematic review | 18 studies, 1517 patients | The aim of this study was to examine the prevalence of migraine in patients with PFO, the prevalence of PFO in migraineurs and the effect of PFO closure on migraine. The estimated strength of association between PFO and migraine, reflected by summary odds ratios (ORs), was 5.13 [95% confidence interval (CI) 4.67, 5.59], and between PFO and migraine with aura, the OR was 3.21 (95% CI 2.38, 4.17). The association between migraine and PFO was OR 2.54 (95% CI 2.01, 3.08). Six studies on PFO closure suggested improvement in migraine. The low-to-moderate grade of evidence from observational studies supports an apparent association between PFO and migraine. PFO closure seemed to affect migraine patterns favorably. |
| Del Sette et al. (2008) | [55] | Prospective study | 87 patients | The objective of this study was to clarify the relationship between right-to-left shunt (RLS) and white matter lesions (WMLs) in patients with migraine with aura (MA). Among 80 migraineurs with aura, with an average age of 37.24 years, 36 individuals (45%) were found to have a cardiac right-to-left shunt. The comparison of T2-weighted MRI scans revealed no significant difference in the number of lesions or lesion loads between patients with and without RLS. In conclusion, RLS does not increase the likelihood of finding WMLs in migraineurs. |
| Liu et al. (2020) | [56] | Narrative review | 99 articles | In this article, the potential pathophysiological mechanisms of migraine, the clinical symptoms of migraine with PFO and the clinical features of PFO with migraine were described. The incidence of PFO in migraine patients is higher than that in the general population, suggesting that PFO and migraine may be risk factors for each other, but more research is needed to confirm this speculation. An increasing number of studies have found that migraines with aura are more closely associated with PFO, and the presence of right-to-left shunt (RLS) increased the likelihood of aura attacks. The evidence supports a “dose–response” relationship between migraine and PFO, although more work needs to be conducted in terms of patient selection as well as the inclusion of an antiplatelet control group for PFO closure interventions to uncover possible beneficial results in clinical trials. |
| Wilmshurst (2018) | [57] | Randomized controlled trial | 147 patients | The Migraine Intervention with STARFlex Technology (MIST) trial was a randomized double-blind trial in patients with severe intractable migraine with aura and moderate–large PFO that compared the implantation of STARFlex devices with the intention of closing their PFO versus a sham procedure. The results showed no significant difference in migraine outcomes between those receiving the STARFlex implant and those in the sham group. |
| Dowson et al. (2008) | [58] | Randomized controlled trial | 432 patients | The aim of this study was to investigate whether closing patent foramen ovale (PFO) could effectively treat migraine with aura. Patients were randomly assigned to transcatheter PFO closure with the STARFlex implant or to a sham procedure. No significant difference was observed in the primary endpoint of migraine headache cessation between the implant and sham groups. |
| Mattle et al. (2016) | [59] | Randomized controlled trial | 107 patients | The Percutaneous Closure of Patent Foramen Ovale In Migraine with Aura (PRIMA) study aimed to evaluate the efficacy of percutaneous patent foramen ovale (PFO) closure in reducing migraine symptoms in patients diagnosed with migraine with aura. Patients were divided in two groups and treated with a PFO closure or medical treatment. Despite the safety of the procedure, PFO closure did not reduce overall monthly migraine days. |
| Tobis et al. (2017) | [60] | Randomized controlled trial | 230 patients | The Prospective, Randomized Investigation to Evaluate Incidence of Headache Reduction in Subjects With Migraine and PFO Using the AMPLATZER PFO Occluder to Medical Management (PREMIUM) study investigated migraine reduction in subjects with persistent migraines and PFO. It compared medical therapy alone to therapy combined with PFO closure using the Amplatzer device. The trial found no superior reduction in migraine attacks with PFO closure compared to sham control. However, it did show a significant decrease in headache days among subjects with or without aura following PFO closure. |
| Giardini et al. (2006) | [61] | Prospective study | 38 patients | This study evaluated the long-term outcomes of transcatheter patent foramen ovale (PFO) closure on migraine headache with aura (MHA) and recurrent stroke risk. Among 38 patients followed for at least 3 years after the procedure, 92% reported complete resolution of MHA after an average of 4.9 years. Recurrent stroke occurred in 5.3% of cases within 5 years, predominantly within the first 15 months after the procedure. Overall, the MIDAS scores significantly decreased (from 38.6 ± 26.3 to 4.4 ± 5.1, p < 0.0001) following intervention. |
| Yan et al. (2024) | [62] | Retrospective study | 78 patients | This study aimed to investigate the therapeutic efficacy of patent foramen ovale (PFO) closure in migraine patients with a massive right-to-left shunt (RLS). The study included 51 patients without white matter lesions (WMLs) (control group, CG) and 27 patients with white matter lesions (WMLs) (observation group, OG). PFO closure proved effective and safe in treating migraine patients with RLS. However, for those with WMLs, clinical attention should be directed toward the treatment of WMLs. |
| Elbadawi et al. (2018) | [63] | Meta-analysis | 3 studies, 484 patients | The analysis included three key studies: the MIST, PRIMA and PREMIUM trials. The primary outcome demonstrated a significant reduction in monthly migraine attacks, favoring PFO closure over control groups (p = 0.01). Although complete resolution of migraine attacks showed a trend favoring PFO closure, the difference did not achieve statistical significance. In patients with predominant aura migraine attacks, PFO closure demonstrated a significant reduction in migraine attacks. No significant differences in responders’ rate between PFO closure and control groups were found. |
| Shi et al. (2017) | [64] | Meta-analysis and systematic review | 8 articles, 546 patients | The study investigated how the closure of patent foramen ovale (PFO) affected migraine in 546 patients, distinguishing between those with migraine with aura (MA) and migraine without aura (MwoA). Following PFO closure, migraine symptoms improved in 81% of MA patients and 63% of MwoA patients. The benefits of PFO closure were significantly greater for patients with MA compared to patients with MwoA (p = 0.03). |
| Zhang et al. (2022) | [65] | Meta-analysis | 3 RCTs, 1 pooled study, 8 case series, 1165 patients | The aim of the study was to evaluate the impact of patent foramen ovale (PFO) closure on migraine. The findings revealed a statistically significant reduction in both monthly migraine attacks and migraine days, along with a substantial decrease in migraine frequency and severity in patients undergoing PFO closure, particularly those with migraines accompanied by aura (MA). The meta-analysis supports PFO closure as a potentially effective and safe therapeutic option for reducing the migraine burden, particularly in patients with MA. |
| Zhang et al. (2021) | [66] | Meta-analysis | 3 RCTs, 4 observation studies, 887 patients | The meta-analysis findings indicate that PFO closure leads to a substantial reduction in both monthly migraine attacks and migraine days per month compared to control groups. This effect was particularly pronounced in patients with migraine accompanied by aura, where there was a notable increase in the rate of complete cessation of migraine attacks following the procedure. These results underscore the potential of PFO closure as an effective therapeutic option for managing migraine, especially in cases where traditional treatments have been insufficient. |
| Author (Year) | Reference | Type of Study | Population | Outcomes |
|---|---|---|---|---|
| Xie et al. (2022) | [69] | Case report | 1 case | A 39-year-old woman presented with sudden bilateral ptosis and diplopia exacerbated by leftward gaze, persisting for 3 days. Neurological examination and MRI confirmed acute midbrain infarction. The tests excluded other stroke causes but confirmed a large right-to-left shunt via PFO. She underwent PFO closure and received aspirin. |
| Mazurkiewicz-Bełdzińska et al. (2015) | [70] | Case report | 1 case | A healthy 16-year-old girl had sudden diplopia and dizziness following a headache. MRI confirmed left midbrain ischemia with left internuclear ophthalmoplegia. PFO was discovered by TTE and TEE. Medical treatment led to full recovery of neurological deficits in two weeks. Six months after aspirin therapy and PFO closure, her cerebral lesions and her eye movements were restored. |
| Zhuang et al. (2021) | [71] | Case report | 1 case | A 55-year-old man presented with sudden bilateral gaze palsy, upbeat nystagmus and facial paralysis. MRI revealed new pontine infarctions linked to PFO with significant shunt. He was treated with rivaroxaban and underwent PFO closure, resolving his symptoms. A follow-up MRI at 6 months showed no new lesions. |
| Takahashi et al. (2018) | [72] | Case report | 1 case | A 61-year-old heavy smoker presented with sudden vision distortion and left leg weakness, revealing multiple brain infarctions correlated with PFO. Treatment included anticoagulants and antiplatelets, but severe residual deficits persisted after 12 weeks. |
| Khan (2012) | [73] | Case report | 1 case | A healthy 23-year-old woman experienced sudden right third nerve palsy and facial weakness. MRI showed midbrain infarction linked to a large PFO. Surgical closure resolved the symptoms; strabismus surgery corrected residual right hypotropia, ensuring stable vision postoperatively. |
Disclaimer/Publisher’s Note: The statements, opinions and data contained in all publications are solely those of the individual author(s) and contributor(s) and not of MDPI and/or the editor(s). MDPI and/or the editor(s) disclaim responsibility for any injury to people or property resulting from any ideas, methods, instructions or products referred to in the content. |
© 2024 by the authors. Licensee MDPI, Basel, Switzerland. This article is an open access article distributed under the terms and conditions of the Creative Commons Attribution (CC BY) license (https://creativecommons.org/licenses/by/4.0/).
Share and Cite
Lixi, F.; Fazzini, L.; Cannas, C.; Montisci, R.; Giannaccare, G. Ocular Manifestations and Complications of Patent Foramen Ovale: A Narrative Review. J. Pers. Med. 2024, 14, 695. https://doi.org/10.3390/jpm14070695
Lixi F, Fazzini L, Cannas C, Montisci R, Giannaccare G. Ocular Manifestations and Complications of Patent Foramen Ovale: A Narrative Review. Journal of Personalized Medicine. 2024; 14(7):695. https://doi.org/10.3390/jpm14070695
Chicago/Turabian StyleLixi, Filippo, Luca Fazzini, Claudia Cannas, Roberta Montisci, and Giuseppe Giannaccare. 2024. "Ocular Manifestations and Complications of Patent Foramen Ovale: A Narrative Review" Journal of Personalized Medicine 14, no. 7: 695. https://doi.org/10.3390/jpm14070695
APA StyleLixi, F., Fazzini, L., Cannas, C., Montisci, R., & Giannaccare, G. (2024). Ocular Manifestations and Complications of Patent Foramen Ovale: A Narrative Review. Journal of Personalized Medicine, 14(7), 695. https://doi.org/10.3390/jpm14070695

