Exercise Influences the Brain’s Metabolic Response to Chronic Cocaine Exposure in Male Rats
Abstract
1. Introduction
2. Materials and Methods
2.1. Animals
2.2. Exercise
2.3. Chronic Cocaine Treatment
2.4. PET Imaging
2.5. PET Image Analysis
3. Results
Statistics
4. Discussion
5. Conclusions
Author Contributions
Funding
Institutional Review Board Statement
Informed Consent Statement
Data Availability Statement
Conflicts of Interest
References
- Butler, A.J.; Rehm, J.; Fischer, B. Health outcomes associated with crack-cocaine use: Systematic review and meta-analyses. Drug Alcohol. Depend. 2017, 180, 401–416. [Google Scholar] [CrossRef] [PubMed]
- Kampman, K.M. The treatment of cocaine use disorder. Sci. Adv. 2019, 5, eaax1532. [Google Scholar] [CrossRef] [PubMed]
- Blum, K.; Gondré-Lewis, M.C.; Baron, D.; Thanos, P.K.; Braverman, E.R.; Neary, J.; Elman, I.; Badgaiyan, R.D. Introducing Precision Addiction Management of Reward Deficiency Syndrome, the Construct That Underpins All Addictive Behaviors. Front. Psychiatry 2018, 9, 548. [Google Scholar] [CrossRef] [PubMed]
- Thanos, P.K.; Stamos, J.; Robison, L.S.; Heyman, G.; Tucci, A.; Wang, G.J.; Robinson, J.K.; Anderson, B.J.; Volkow, N.D. Daily treadmill exercise attenuates cocaine cue-induced reinstatement and cocaine induced locomotor response but increases cocaine-primed reinstatement. Behav. Brain Res. 2013, 239, 8–14. [Google Scholar] [CrossRef]
- Thanos, P.K.; Tucci, A.; Stamos, J.; Robison, L.; Wang, G.J.; Anderson, B.J.; Volkow, N.D. Chronic forced exercise during adolescence decreases cocaine conditioned place preference in Lewis rats. Behav. Brain Res. 2010, 215, 77–82. [Google Scholar] [CrossRef]
- Hanna, C.; Hamilton, J.; Arnavut, E.; Blum, K.; Thanos, P.K. Brain Mapping the Effects of Chronic Aerobic Exercise in the Rat Brain Using FDG PET. J. Pers. Med. 2022, 12, 860. [Google Scholar] [CrossRef]
- Hanna, C.; Hamilton, J.; Blum, K.; Badgaiyan, R.D.; Thanos, P.K. Exercise Modulates Brain Glucose Utilization Response to Acute Cocaine. J. Pers. Med. 2022, 12, 1976. [Google Scholar] [CrossRef]
- Hanna, C.; Yao, R.; Sajjad, M.; Gold, M.; Blum, K.; Thanos, P.K. Exercise Modifies the Brain Metabolic Response to Chronic Cocaine Exposure Inhibiting the Stria Terminalis. Brain Sci. 2023, 13, 1705. [Google Scholar] [CrossRef] [PubMed]
- Noble, E.P.; Gottschalk, L.A.; Fallon, J.H.; Ritchie, T.L.; Wu, J.C. D2 dopamine receptor polymorphism and brain regional glucose metabolism. Am. J. Med. Genet. 1997, 74, 162–166. [Google Scholar] [CrossRef]
- Dietrich, A. Transient hypofrontality as a mechanism for the psychological effects of exercise. Psychiatry Res. 2006, 145, 79–83. [Google Scholar] [CrossRef]
- Fukuyama, H.; Ouchi, Y.; Matsuzaki, S.; Nagahama, Y.; Yamauchi, H.; Ogawa, M.; Kimura, J.; Shibasaki, H. Brain functional activity during gait in normal subjects: A SPECT study. Neurosci. Lett. 1997, 228, 183–186. [Google Scholar] [CrossRef]
- Henry, P.K.; Murnane, K.S.; Votaw, J.R.; Howell, L.L. Acute brain metabolic effects of cocaine in rhesus monkeys with a history of cocaine use. Brain Imaging Behav. 2010, 4, 212–219. [Google Scholar] [CrossRef]
- Volkow, N.D.; Hitzemann, R.; Wang, G.J.; Fowler, J.S.; Wolf, A.P.; Dewey, S.L.; Handlesman, L. Long-term frontal brain metabolic changes in cocaine abusers. Synapse 1992, 11, 184–190. [Google Scholar] [CrossRef]
- Blum, K.; Braverman, E.R.; Holder, J.M.; Lubar, J.F.; Monastra, V.J.; Miller, D.; Lubar, J.O.; Chen, T.J.; Comings, D.E. The Reward Deficiency Syndrome: A Biogenetic Model for the Diagnosis and Treatment of Impulsive, Addictive and Compulsive Behaviors. J. Psychoact. Drugs 2000, 32 (Suppl. S1), 1–112. [Google Scholar] [CrossRef] [PubMed]
- Blum, K.; Gold, M.S.; Cadet, J.L.; Baron, D.; Bowirrat, A.; Thanos, P.K.; Brewer, R.; Badgaiyan, R.D.; Gondré-Lewis, M.C. Dopaminylation in Psychostimulant Use Disorder Protects Against Psychostimulant Seeking Behavior by Normalizing Nucleus Accumbens (NAc) Dopamine Expression. Curr. Psychopharmacol. 2022, 11, 11–17. [Google Scholar] [CrossRef]
- Klein, S.R.; Blum, K.; Gold, M.S.; Thanos, P.K. Chronic Methylphenidate Effects on Brain Gene Expression: An Exploratory Review. Psychol. Res. Behav. Manag. 2024, 17, 577–592. [Google Scholar] [CrossRef]
- Ahmed, R.; Blum, K.; Thanos, P.K. Epigenetic Effects of Psychoactive Drugs. Curr. Pharm. Des. 2023, 29, 2124–2139. [Google Scholar] [CrossRef]
- Kohut, S.J.; Mintzopoulos, D.; Kangas, B.D.; Shields, H.; Brown, K.; Gillis, T.E.; Rohan, M.L.; Bergman, J.; Kaufman, M.J. Effects of long-term cocaine self-administration on brain resting-state functional connectivity in nonhuman primates. Transl. Psychiatry 2020, 10, 420. [Google Scholar] [CrossRef] [PubMed]
- Schultz, W. Reward Functions of the Basal Ganglia. J. Neural Transm. 2016, 123, 679–693. [Google Scholar] [CrossRef] [PubMed]
- Hu, M.; Crombag, H.S.; Robinson, T.E.; Becker, J.B. Biological basis of sex differences in the propensity to self-administer cocaine. Neuropsychopharmacology 2004, 29, 81–85. [Google Scholar] [CrossRef]
- Knouse, M.C.; Briand, L.A. Behavioral sex differences in cocaine and opioid use disorders: The role of gonadal hormones. Neurosci. Biobehav. Rev. 2021, 128, 358–366. [Google Scholar] [CrossRef]
- Jackson, L.R.; Robinson, T.E.; Becker, J.B. Sex Differences and Hormonal Influences on Acquisition of Cocaine Self-Administration in Rats. Neuropsychopharmacology 2006, 31, 129–138. [Google Scholar] [CrossRef]
- Abdel Malek, G.S.; Goudriaan, A.E.; Kaag, A.M. The relationship between craving and insular morphometry in regular cocaine users: Does sex matter? Addict. Biol. 2022, 27, e13157. [Google Scholar] [CrossRef]
- Zlebnik, N.E.; Anker, J.J.; Carroll, M.E. Exercise to reduce the escalation of cocaine self-administration in adolescent and adult rats. Psychopharmacology 2012, 224, 387–400. [Google Scholar] [CrossRef]
- Smith, M.A.; Pitts, E.G. Access to a running wheel inhibits the acquisition of cocaine self-administration. Pharmacol. Biochem. Behav. 2011, 100, 237–243. [Google Scholar] [CrossRef]
- Leasure, J.L.; Nixon, K. Exercise neuroprotection in a rat model of binge alcohol consumption. . Alcohol. Clin. Exp. Res. 2010, 34, 404–414. [Google Scholar] [CrossRef]
- Ehringer, M.A.; Hoft, N.R.; Zunhammer, M. Reduced alcohol consumption in mice with access to a running wheel. Alcohol 2009, 43, 443–452. [Google Scholar] [CrossRef]
- Miller, M.L.; Vaillancourt, B.D.; Wright, M.J., Jr.; Aarde, S.M.; Vandewater, S.A.; Creehan, K.M.; Taffe, M.A. Reciprocal inhibitory effects of intravenous d-methamphetamine self-administration and wheel activity in rats. Drug Alcohol. Depend. 2012, 121, 90–96. [Google Scholar] [CrossRef][Green Version]
- Lynch, W.J.; Peterson, A.B.; Sanchez, V.; Abel, J.; Smith, M.A. Exercise as a novel treatment for drug addiction: A neurobiological and stage-dependent hypothesis. Neurosci. Biobehav. Rev. 2013, 37, 1622–1644. [Google Scholar] [CrossRef]
- Zhang, W.; Bruno, R.M. High-order thalamic inputs to primary somatosensory cortex are stronger and longer lasting than cortical inputs. eLife 2019, 8, e44158. [Google Scholar] [CrossRef]
- Gomez-Pinilla, F.; Zhuang, Y.; Feng, J.; Ying, Z.; Fan, G. Exercise impacts brain-derived neurotrophic factor plasticity by engaging mechanisms of epigenetic regulation. Eur. J. Neurosci. 2011, 33, 383–390. [Google Scholar] [CrossRef] [PubMed]
- Vassoler, F.M.; White, S.L.; Schmidt, H.D.; Sadri-Vakili, G.; Pierce, R.C. Epigenetic inheritance of a cocaine-resistance phenotype. Nat. Neurosci. 2013, 16, 42–47. [Google Scholar] [CrossRef] [PubMed]
- Kumar, A.; Choi, K.H.; Renthal, W.; Tsankova, N.M.; Theobald, D.E.; Truong, H.T.; Russo, S.J.; LaPlant, Q.; Sasaki, T.S.; Whistler, K.N.; et al. Chromatin Remodeling Is a Key Mechanism Underlying Cocaine-Induced Plasticity in Striatum. Neuron 2005, 48, 303–314. [Google Scholar] [CrossRef] [PubMed]
- Blum, K.; Febo, M.; Fried, L.; Li, M.; Dushaj, K.; Braverman, E.R.; McLaughlin, T.; Steinberg, B.; Badgaiyan, R. Hypothesizing That Neuropharmacological and Neuroimaging Studies of Glutaminergic-Dopaminergic Optimization Complex (KB220Z) Are Associated With “Dopamine Homeostasis” in Reward Deficiency Syndrome (RDS). Subst. Use Misuse 2017, 52, 535–547. [Google Scholar] [CrossRef] [PubMed][Green Version]
- Biedermann, S.; Fuss, J.; Zheng, L.; Sartorius, A.; Falfán-Melgoza, C.; Demirakca, T.; Gass, P.; Ende, G.; Weber-Fahr, W. In vivo voxel based morphometry: Detection of increased hippocampal volume and decreased glutamate levels in exercising mice. NeuroImage 2012, 61, 1206–1212. [Google Scholar] [CrossRef] [PubMed]
- Guezennec, C.Y.; Abdelmalki, A.; Serrurier, B.; Merino, D.; Bigard, X.; Berthelot, M.; Pierard, C.; Peres, M. Effects of prolonged exercise on brain ammonia and amino acids. Int. J. Sport. Med. 1998, 19, 323–327. [Google Scholar] [CrossRef] [PubMed]
- Greenwood, B.N.; Foley, T.E.; Le, T.V.; Strong, P.V.; Loughridge, A.B.; Day, H.E.; Fleshner, M. Long-term voluntary wheel running is rewarding and produces plasticity in the mesolimbic reward pathway. Behav. Brain Res. 2011, 217, 354–362. [Google Scholar] [CrossRef] [PubMed]
- Eisenstein, S.A.; Holmes, P.V. Chronic and voluntary exercise enhances learning of conditioned place preference to morphine in rats. Pharmacol. Biochem. Behav. 2007, 86, 607–615. [Google Scholar] [CrossRef]
- Mustroph, M.L.; Stobaugh, D.J.; Miller, D.S.; DeYoung, E.K.; Rhodes, J.S. Wheel running can accelerate or delay extinction of conditioned place preference for cocaine in male C57BL/6J mice, depending on timing of wheel access. Eur. J. Neurosci. 2011, 34, 1161–1169. [Google Scholar] [CrossRef]
- Diana, M. The dopamine hypothesis of drug addiction and its potential therapeutic value. Front. Psychiatry 2011, 2, 64. [Google Scholar] [CrossRef]
- Paulson, P.E.; Camp, D.M.; Robinson, T.E. Time course of transient behavioral depression and persistent behavioral sensitization in relation to regional brain monoamine concentrations during amphetamine withdrawal in rats. Psychopharmacology 1991, 103, 480–492. [Google Scholar] [CrossRef]
- Dackis, C.A.; Gold, M.S. New concepts in cocaine addiction: The dopamine depletion hypothesis. Neurosci. Biobehav. Rev. 1985, 9, 469–477. [Google Scholar] [CrossRef]
- Martinez, D.; Greene, K.; Broft, A.; Kumar, D.; Liu, F.; Narendran, R.; Slifstein, M.; Van Heertum, R.; Kleberk, H.D. Lower level of endogenous dopamine in patients with cocaine dependence: Findings from PET imaging of D(2)/D(3) receptors following acute dopamine depletion. Am. J. Psychiatry 2009, 166, 1170–1177. [Google Scholar] [CrossRef]
- Thanos, P.K.; Volkow, N.D.; Freimuth, P.; Umegaki, H.; Ikari, H.; Roth, G.; Ingram, D.K.; Hitzemann, R. Overexpression of dopamine D2 receptors reduces alcohol self-administration. J. Neurochem. 2001, 78, 1094–1103. [Google Scholar] [CrossRef]
- Thanos, P.K.; Taintor, N.B.; Rivera, S.N.; Umegaki, H.; Ikari, H.; Roth, G.; Ingram, D.K.; Hitzemannm, R.; Fowlerm, J.S.; Gatleym, S.; et al. DRD2 Gene Transfer Into the Nucleus Accumbens Core of the Alcohol Preferring and Nonpreferring Rats Attenuates Alcohol Drinking. Alcohol. Clin. Exp. Res. 2004, 28, 720–728. [Google Scholar] [CrossRef]
- Robison, L.S.; Alessi, L.; Thanos, P.K. Chronic forced exercise inhibits stress-induced reinstatement of cocaine conditioned place preference. Behav. Brain Res. 2018, 353, 176–184. [Google Scholar] [CrossRef]
- Robison, L.S.; Swenson, S.; Hamilton, J.; Thanos, P.K. Exercise Reduces Dopamine D1R and Increases D2R in Rats: Implications for Addiction. Med. Sci. Sport. Exerc. 2018, 50, 1596–1602. [Google Scholar] [CrossRef]
- Letchworth, S.R.; Daunais, J.B.; Hedgecock, A.A.; Porrino, L.J. Effects of chronic cocaine administration on dopamine transporter mRNA and protein in the rat. Brain Res. 1997, 750, 214–222. [Google Scholar] [CrossRef]
- Arnavut, E.; Hamilton, J.; Yao, R.; Sajjad, M.; Hadjiargyrou, M.; Komatsu, D.; Thanos, P.K. Abstinence following intermittent methylphenidate exposure dose-dependently modifies brain glucose metabolism in the rat brain. Synapse 2022, 76, 17–30. [Google Scholar] [CrossRef]
- McGregor, M.; Richer, K.; Ananth, M.; Thanos, P.K. The functional networks of a novel environment: Neural activity mapping in awake unrestrained rats using positron emission tomography. Brain Behav. 2020, 10, e01646. [Google Scholar] [CrossRef]
- Paxinos, G.; Watson, C. The Rat. Brain in Stereotaxic Coordinates; Elsevier: Amsterdam, The Netherlands, 2007. [Google Scholar]
- Hirokawa, J.; Bosch, M.; Sakata, S.; Sakurai, Y.; Yamamori, T. Functional role of the secondary visual cortex in multisensory facilitation in rats. Neuroscience 2008, 153, 1402–1417. [Google Scholar] [CrossRef] [PubMed]
- Wang, L.; Zhang, Z.; Chen, J.; Manyande, A.; Haddad, R.; Liu, Q.; Xu, F. Cell-Type-Specific Whole-Brain Direct Inputs to the Anterior and Posterior Piriform Cortex. Front. Neural Circuits 2020, 14, 4. [Google Scholar] [CrossRef] [PubMed]
- Deshmukh, S.S.; Johnson, J.L.; Knierim, J.J. Perirhinal cortex represents nonspatial, but not spatial, information in rats foraging in the presence of objects: Comparison with lateral entorhinal cortex. Hippocampus 2012, 22, 2045–2058. [Google Scholar] [CrossRef] [PubMed]
- Santiago, A.C.; Shammah-Lagnado, S.J. Afferent connections of the amygdalopiriform transition area in the rat. J. Comp. Neurol. 2005, 489, 349–371. [Google Scholar] [CrossRef]
- McDonald, A.J. Functional neuroanatomy of the basolateral amygdala: Neurons, neurotransmitters, and circuits. Handb. Behav. Neurosci. 2020, 26, 1–38. [Google Scholar] [PubMed]
- Henssen, D.J.H.A.; Kurt, E.; Kozicz, T.; van Dongen, R.; Bartels, R.H.; van Cappellen van Walsum, A.M. New Insights in Trigeminal Anatomy: A Double Orofacial Tract for Nociceptive Input. Front. Neuroanat. 2016, 10, 53. [Google Scholar] [CrossRef] [PubMed]
- Shankland, W.E., 2nd. The trigeminal nerve. Part IV: The mandibular division. Cranio 2001, 19, 153–161. [Google Scholar] [CrossRef] [PubMed]
- Chen, W.; Volkow, N.D.; Li, J.; Pan, Y.; Du, C. Cocaine Decreases Spontaneous Neuronal Activity and Increases Low-Frequency Neuronal and Hemodynamic Cortical Oscillations. Cereb. Cortex 2019, 29, 1594–1606. [Google Scholar] [CrossRef] [PubMed]
- Popovich, C.; Staines, W.R. Acute aerobic exercise enhances attentional modulation of somatosensory event-related potentials during a tactile discrimination task. Behav. Brain Res. 2015, 281, 267–275. [Google Scholar]
- Sentürk, U.K.; Aktekin, B.; Kuru, O.; Gündüz, F.; Demir, N.; Aktekin, M.R. Effect of long-term swimming exercise on somatosensory evoked potentials in rats. Brain Res. 2000, 887, 199–202. [Google Scholar] [CrossRef]
- Iwadate, M.; Mori, A.; Ashizuka, T.; Takayose, M.; Ozawa, T. Long-term physical exercise and somatosensory event-related potentials. Exp. Brain Res. 2005, 160, 528–532. [Google Scholar] [CrossRef] [PubMed]
- Sharp, B.M. Basolateral amygdala and stress-induced hyperexcitability affect motivated behaviors and addiction. Transl. Psychiatry 2017, 7, e1194. [Google Scholar] [CrossRef]
- Gardner, E.L. Addiction and brain reward and antireward pathways. Adv. Psychosom. Med. 2011, 30, 22–60. [Google Scholar]
- Vorel, S.R.; Liu, X.; Hayes, R.J.; Spector, J.A.; Gardner, E.L. Relapse to cocaine-seeking after hippocampal theta burst stimulation. Science 2001, 292, 1175–1178. [Google Scholar] [CrossRef] [PubMed]
- Hayes, R.J.; Vorel, S.R.; Spector, J.; Liu, X.; Gardner, E. Electrical and chemical stimulation of the basolateral complex of the amygdala reinstates cocaine-seeking behavior in the rat. Psychopharmacology 2003, 168, 75–83. [Google Scholar] [CrossRef]
- Schmidt, H.D.; Pierce, R.C. Cocaine-induced neuroadaptations in glutamate transmission: Potential therapeutic targets for craving and addiction. Ann. N. Y Acad. Sci. 2010, 1187, 35–75. [Google Scholar] [CrossRef]
- Crunelle, C.L.; Kaag, A.M.; van den Munkhof, H.E.; Reneman, L.; Homberg, J.R.; Sabbe, B.; van den Brink, W.; van Wingen, G. Dysfunctional amygdala activation and connectivity with the prefrontal cortex in current cocaine users. Hum. Brain Mapp. 2015, 36, 4222–4230. [Google Scholar] [CrossRef] [PubMed]
- Mashhoon, Y.; Wells, A.M.; Kantak, K.M. Interaction of the rostral basolateral amygdala and prelimbic prefrontal cortex in regulating reinstatement of cocaine-seeking behavior. Pharmacol. Biochem. Behav. 2010, 96, 347–353. [Google Scholar] [CrossRef]
- Kalivas, P.W. Addiction as a pathology in prefrontal cortical regulation of corticostriatal habit circuitry. Neurotox. Res. 2008, 14, 185–189. [Google Scholar] [CrossRef]
- Lin, T.W.; Chen, S.J.; Huang, T.Y.; Chang, C.Y.; Chuang, J.I.; Wu, F.S.; Kuo, Y.M.; Jen, C.J. Different types of exercise induce differential effects on neuronal adaptations and memory performance. Neurobiol. Learn. Mem. 2012, 97, 140–147. [Google Scholar] [CrossRef]
- Lin, T.W.; Tsai, S.F.; Kuo, Y.M. Physical Exercise Enhances Neuroplasticity and Delays Alzheimer’s Disease. Brain Plast. 2018, 4, 95–110. [Google Scholar] [CrossRef] [PubMed]
- Dackis, C.A.; Lynch, K.G.; Yu, E.; Samaha, F.F.; Kampman, K.M.; Cornish, J.W.; Rowan, A.; Poole, S.; White, L.; O’Brien, C.P. Modafinil and cocaine: A double-blind, placebo-controlled drug interaction study. Drug Alcohol. Depend. 2003, 70, 29–37. [Google Scholar] [CrossRef] [PubMed]
- Hart, C.L.; Haney, M.; Vosburg, S.K.; Rubin, E.; Foltin, R.W. Smoked cocaine self-administration is decreased by modafinil. Neuropsychopharmacology 2008, 33, 761–768. [Google Scholar] [CrossRef] [PubMed]
- Paolone, G.; Botreau, F.; Stewart, J. The facilitative effects of D-cycloserine on extinction of a cocaine-induced conditioned place preference can be long lasting and resistant to reinstatement. Psychopharmacology 2009, 202, 403–409. [Google Scholar] [CrossRef] [PubMed]
- Lee, J.L.; Gardner, R.J.; Butler, V.J.; Everitt, B.J. D-cycloserine potentiates the reconsolidation of cocaine-associated memories. Learn. Mem. 2009, 16, 82–85. [Google Scholar] [CrossRef] [PubMed]
- Kami, K.; Tajima, F.; Senba, E. Plastic changes in amygdala subregions by voluntary running contribute to exercise-induced hypoalgesia in neuropathic pain model mice. Mol. Pain. 2020, 16, 1744806920971377. [Google Scholar] [CrossRef] [PubMed]
- Breiter, H.C.; Gollub, R.L.; Weisskoff, R.M.; Kennedy, D.N.; Makris, N.; Berke, J.D.; Goodman, J.M.; Kantor, H.L.; Gastfriend, D.R.; Riorden, J. Acute effects of cocaine on human brain activity and emotion. Neuron 1997, 19, 591–611. [Google Scholar] [CrossRef] [PubMed]
- Meade, C.S.; Bell, R.P.; Towe, S.L.; Hall, S.A. Cocaine-related alterations in fronto-parietal gray matter volume correlate with trait and behavioral impulsivity. Drug Alcohol. Depend. 2020, 206, 107757. [Google Scholar] [CrossRef]
- Susskind, H.; Weber, D.A.; Ivanovic, M.; Wong, C.T.; DeHaan, C.E.; Gavin, P.R. Quantitative 123I IMP and 99mTc HMPAO imaging in the dog following cocaine administration. Nucl. Med. Biol. 1996, 23, 343–352. [Google Scholar] [CrossRef]
- Tomasi, D.; Wang, G.J.; Wang, R.; Caparelli, E.C.; Logan, J.; Volkow, N.D. Overlapping patterns of brain activation to food and cocaine cues in cocaine abusers: Association to striatal D2/D3 receptors. Hum. Brain Mapp. 2015, 36, 120–136. [Google Scholar] [CrossRef]
- Nelissen, K.; Jarraya, B.; Arsenault, J.T.; Rosen, B.R.; Wald, L.L.; Mandeville, J.B.; Marota, J.J.; Vanduffel, W. Neural correlates of the formation and retention of cocaine-induced stimulus-reward associations. Biol. Psychiatry 2012, 72, 422–428. [Google Scholar] [CrossRef] [PubMed]
- Hanlon, C.A.; Dowdle, L.T.; Naselaris, T.; Canterberry, M.; Cortese, B.M. Visual cortex activation to drug cues: A meta-analysis of functional neuroimaging papers in addiction and substance abuse literature. Drug Alcohol. Depend. 2014, 143, 206–212. [Google Scholar] [CrossRef] [PubMed]
- Abuleil, D.; Thompson, B.; Dalton, K. Aerobic Exercise and Human Visual Cortex Neuroplasticity: A Narrative Review. Neural Plast. 2022, 2022, 6771999. [Google Scholar] [CrossRef] [PubMed]
- Rogge, A.K.; Röder, B.; Zech, A.; Hötting, K. Exercise-induced neuroplasticity: Balance training increases cortical thickness in visual and vestibular cortical regions. Neuroimage 2018, 179, 471–479. [Google Scholar] [CrossRef] [PubMed]
- Trusk, T.C.; Stein, E.A. Effects of heroin and cocaine on brain activity in rats using [1-14C]octanoate as a fast functional tracer. Brain Res. 1988, 438, 61–66. [Google Scholar] [CrossRef]
- Galloway, M.P. Regulation of dopamine and serotonin synthesis by acute administration of cocaine. Synapse 1990, 6, 63–72. [Google Scholar] [CrossRef] [PubMed]
- Hammer, R.P., Jr.; Pires, W.S.; Markou, A.; Koob, G.F. Withdrawal following cocaine self-administration decreases regional cerebral metabolic rate in critical brain reward regions. Synapse 1993, 14, 73–80. [Google Scholar] [CrossRef] [PubMed]
- Hiura, M.; Nariai, T.; Sakata, M.; Muta, A.; Ishibashi, K.; Wagatsuma, K.; Tago, T.; Toyohara, J.; Ishii, K.; Maehara, T. Response of Cerebral Blood Flow and Blood Pressure to Dynamic Exercise: A Study Using PET. Int. J. Sport. Med. 2018, 39, 181–188. [Google Scholar] [CrossRef] [PubMed]
- Reiner, D.J.; Lofaro, O.M.; Applebey, S.V.; Korah, H.; Venniro, M.; Cifani, C.; Bossert, J.M.; Shaham, Y. Role of Projections between Piriform Cortex and Orbitofrontal Cortex in Relapse to Fentanyl Seeking after Palatable Food Choice-Induced Voluntary Abstinence. J. Neurosci. 2020, 40, 2485–2497. [Google Scholar] [CrossRef]
- Duan, Y.; Tsai, P.J.; Salmeron, B.J.; Hu, Y.; Gu, H.; Lu, H.; Cadet, J.L.; Stein, E.A.; Yang, Y. Compulsive drug-taking is associated with habenula–frontal cortex connectivity. Proc. Natl. Acad. Sci. USA 2022, 119, e2208867119. [Google Scholar] [CrossRef]
- Tsutsumi, Y.; Tachibana, Y.; Sato, F.; Furuta, T.; Ohara, H.; Tomita, A.; Fujita, M.; Moritani, M.; Yoshida, A. Cortical and Subcortical Projections from Granular Insular Cortex Receiving Orofacial Proprioception. Neuroscience 2018, 388, 317–329. [Google Scholar] [CrossRef] [PubMed]
- Morisot, N.; Rouibi, K.; Le Moine, C.; Papaleo, F.; Contarino, A. CRF2 receptor-deficiency reduces recognition memory deficits and vulnerability to stress induced by cocaine withdrawal. Int. J. Neuropsychopharmacol. 2014, 17, 1969–1979. [Google Scholar] [CrossRef] [PubMed]
- Pum, M.; Carey, R.J.; Huston, J.P.; Müller, C.P. Dissociating effects of cocaine and d-amphetamine on dopamine and serotonin in the perirhinal, entorhinal, and prefrontal cortex of freely moving rats. Psychopharmacology 2007, 193, 375–390. [Google Scholar] [CrossRef] [PubMed]
- Wolter, M.; Lapointe, T.; Baidoo, N.; Mitchnick, K.A.; Wideman, C.; Winters, B.D.; Leri, F. Double dissociation of perirhinal nicotinic acetylcholine receptors and dopamine D2 receptors in modulation of object memory consolidation by nicotine, cocaine and their conditioned stimuli. Eur. Neuropsychopharmacol. 2023, 72, 50–59. [Google Scholar] [CrossRef] [PubMed]
- Hashimoto, T.; Kajii, Y.; Nishikawa, T. Psychotomimetic-induction of tissue plasminogen activator mRNA in corticostriatal neurons in rat brain. Eur. J. Neurosci. 1998, 10, 3387–3399. [Google Scholar] [CrossRef] [PubMed]
- Peters, J.; Scofield, M.D.; Reichel, C.M. Chemogenetic activation of the perirhinal cortex reverses methamphetamine-induced memory deficits and reduces relapse. Learn. Mem. 2018, 25, 410–415. [Google Scholar] [CrossRef] [PubMed]
- Peters, J.; Scofield, M.D.; Ghee, S.M.; Heinsbroek, J.A.; Reichel, C.M. Perirhinal Cortex mGlu5 Receptor Activation Reduces Relapse to Methamphetamine Seeking by Restoring Novelty Salience. Neuropsychopharmacology 2016, 41, 1477–1485. [Google Scholar] [CrossRef] [PubMed]
- Hopkins, M.E.; Bucci, D.J. BDNF expression in perirhinal cortex is associated with exercise-induced improvement in object recognition memory. Neurobiol. Learn. Mem. 2010, 94, 278–284. [Google Scholar] [CrossRef] [PubMed]
- Hopkins, M.E.; Nitecki, R.; Bucci, D.J. Physical exercise during adolescence versus adulthood: Differential effects on object recognition memory and brain-derived neurotrophic factor levels. Neuroscience 2011, 194, 84–94. [Google Scholar] [CrossRef]
- Song, L.Y.; Huang, Z.J.; Yang, S.S.; Bu, D.R.; Yi, N.; Zheng, X. Effectiveness of short-term exercise on drug rehabilitation effect for drug abusers: A systematic review and meta-analysis. Int. J. Sport Exerc. Psychol. 2023, 21, 1–26. [Google Scholar] [CrossRef]
- De La Garza, R., 2nd; Yoon, J.H.; Thompson-Lake, D.G.; Haile, C.N.; Eisenhofer, J.D.; Newton, T.F.; Mahoney, J.J., 3rd. Treadmill exercise improves fitness and reduces craving and use of cocaine in individuals with concurrent cocaine and tobacco-use disorder. Psychiatry Res. 2016, 245, 133–140. [Google Scholar] [CrossRef]
- Sanchez, K.; Greer, T.L.; Walker, R.; Carmody, T.; Rethorst, C.D.; Trivedi, M.H. Racial and ethnic differences in treatment outcomes among adults with stimulant use disorders after a dosed exercise intervention. J. Ethn. Subst. Abus. 2017, 16, 495–510. [Google Scholar] [CrossRef] [PubMed]
- Smelson, D.; Chen, K.W.; Ziedonis, D.; Andes, K.; Lennox, A.; Callahan, L.; Rodrigues, S.; Eisenberg, D. A pilot study of Qigong for reducing cocaine craving early in recovery. J. Altern. Complement. Med. 2013, 19, 97–101. [Google Scholar] [CrossRef] [PubMed]
- Simmler, L.D.; Anacker, A.M.J.; Levin, M.H.; Vaswani, N.M.; Gresch, P.J.; Nackenoff, A.G.; Anastasio, N.C.; Stutz, S.J.; Cunningham, K.A.; Wang, J. Blockade of the 5-HT transporter contributes to the behavioural, neuronal and molecular effects of cocaine. Br. J. Pharmacol. 2017, 174, 2716–2738. [Google Scholar] [CrossRef] [PubMed]
- Lyles, T. Here’s how Eminem used exercise to overcome a drug addiction. In Buisness Insider; Insider Inc.: New York, NY, USA, 2015. [Google Scholar]



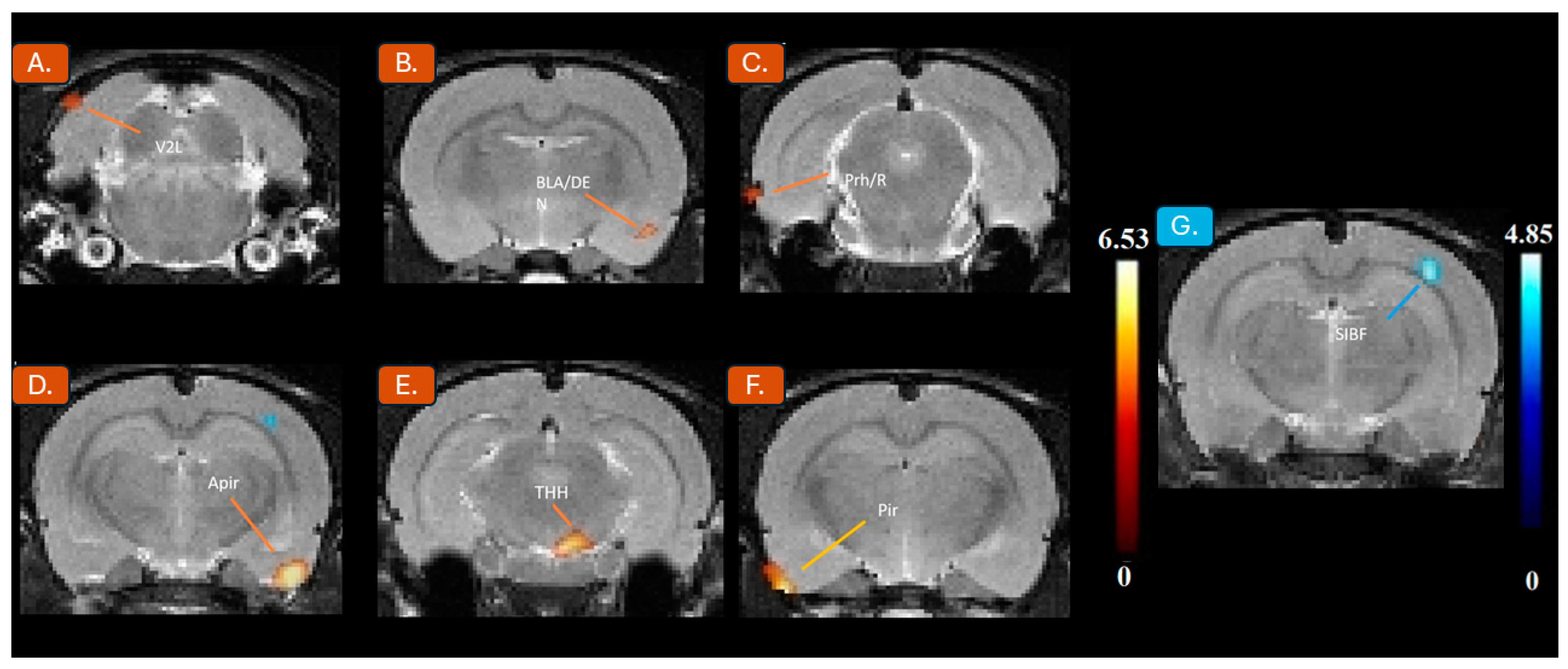
| Brain Region (s) | Activated or Inhibited | ML (mm) | DV (mm) | AP (mm) | t Value | z-Score | KE |
|---|---|---|---|---|---|---|---|
| Primary somatosensory cortex (SIBF) | Inhibited | 44 | 26 | −44 | 4.85 | 3.32 | 99 |
| Piriform cortex (Pir) | Activated | −58 | 104 | −28 | 6.53 | 3.87 | 94 |
| Piriform cortex | Activated | −58 | 104 | −28 | 6.53 | 3.87 | 94 |
| Amygdalopiriform transition (Apir) | Activated | 56 | 100 | −42 | 6.39 | 3.83 | 244 |
| Trigeminothalamic tract (TTH) | Activated | 10 | 84 | −60 | 5.57 | 3.58 | 178 |
| Basolateral amygdaloid nucleus, dorsal (BLA/DEN) | Activated | 52 | 90 | −20 | 4.56 | 3.2 | 67 |
Disclaimer/Publisher’s Note: The statements, opinions and data contained in all publications are solely those of the individual author(s) and contributor(s) and not of MDPI and/or the editor(s). MDPI and/or the editor(s) disclaim responsibility for any injury to people or property resulting from any ideas, methods, instructions or products referred to in the content. |
© 2024 by the authors. Licensee MDPI, Basel, Switzerland. This article is an open access article distributed under the terms and conditions of the Creative Commons Attribution (CC BY) license (https://creativecommons.org/licenses/by/4.0/).
Share and Cite
Powell, A.; Hanna, C.; Sajjad, M.; Yao, R.; Blum, K.; Gold, M.S.; Quattrin, T.; Thanos, P.K. Exercise Influences the Brain’s Metabolic Response to Chronic Cocaine Exposure in Male Rats. J. Pers. Med. 2024, 14, 500. https://doi.org/10.3390/jpm14050500
Powell A, Hanna C, Sajjad M, Yao R, Blum K, Gold MS, Quattrin T, Thanos PK. Exercise Influences the Brain’s Metabolic Response to Chronic Cocaine Exposure in Male Rats. Journal of Personalized Medicine. 2024; 14(5):500. https://doi.org/10.3390/jpm14050500
Chicago/Turabian StylePowell, Aidan, Colin Hanna, Munawwar Sajjad, Rutao Yao, Kenneth Blum, Mark S. Gold, Teresa Quattrin, and Panayotis K. Thanos. 2024. "Exercise Influences the Brain’s Metabolic Response to Chronic Cocaine Exposure in Male Rats" Journal of Personalized Medicine 14, no. 5: 500. https://doi.org/10.3390/jpm14050500
APA StylePowell, A., Hanna, C., Sajjad, M., Yao, R., Blum, K., Gold, M. S., Quattrin, T., & Thanos, P. K. (2024). Exercise Influences the Brain’s Metabolic Response to Chronic Cocaine Exposure in Male Rats. Journal of Personalized Medicine, 14(5), 500. https://doi.org/10.3390/jpm14050500

