Prostate Artery Embolization via Distal Transradial Artery Access in a 100-Year-Old Patient
Abstract
:1. Introduction
2. Methods
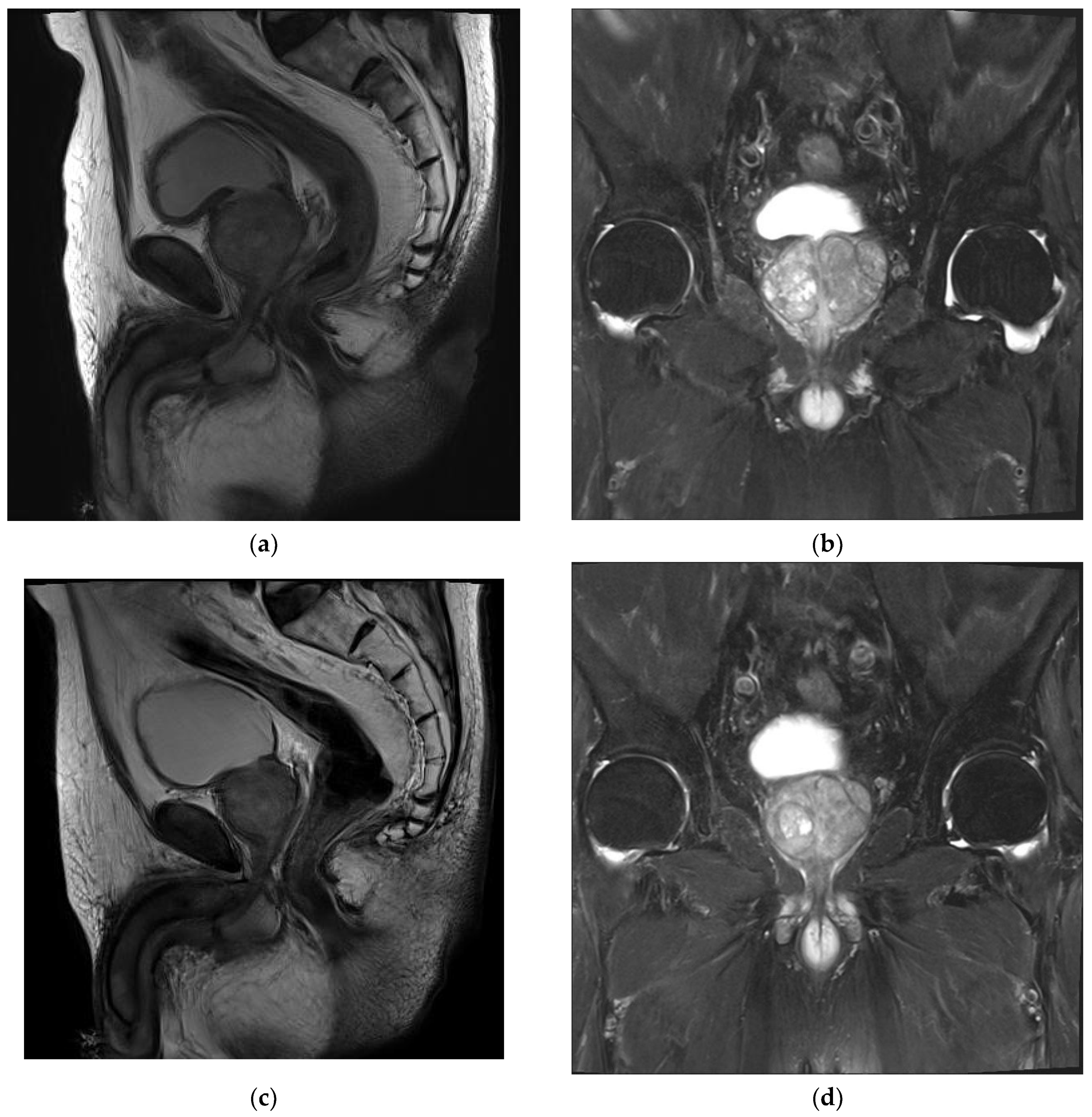
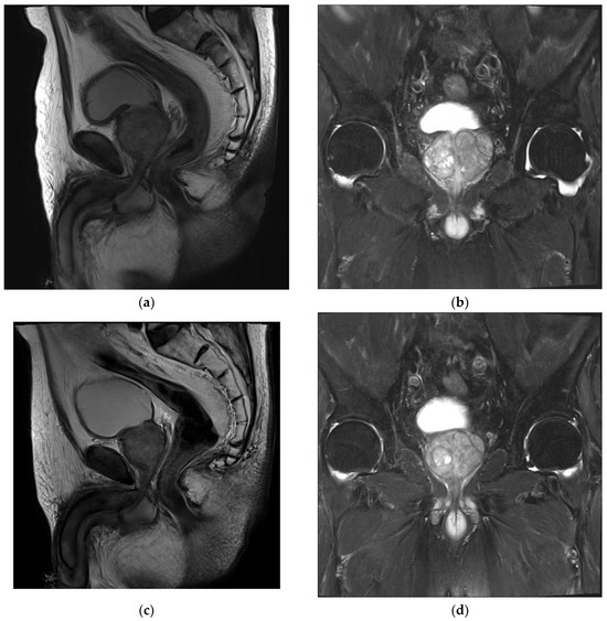
3. Results
4. Discussion
5. Conclusions
Author Contributions
Funding
Institutional Review Board Statement
Informed Consent Statement
Data Availability Statement
Acknowledgments
Conflicts of Interest
References
- Berry, S.J.; Coffey, D.S.; Walsh, P.C.; Ewing, L.L. The development of human benign prostatic hyperplasia with age. J. Urol. 1984, 132, 474–479. [Google Scholar] [CrossRef] [PubMed]
- Shvero, A.; Calio, B.; Humphreys, M.R.; Das, A.K. HoLEP: The new gold standard for surgical treatment of benign prostatic hyperplasia. Can. J. Urol. 2021, 28, 6–10. [Google Scholar] [PubMed]
- Bhatia, S.; Harward, S.H.; Sinha, V.K.; Narayanan, G. Prostate Artery Embolization via Transradial or Transulnar versus Transfemoral Arterial Access: Technical Results. J. Vasc. Interv. Radiol. 2017, 28, 898–905. [Google Scholar] [CrossRef] [PubMed]
- Ontario Health (Quality). Prostatic Artery Embolization for Benign Prostatic Hyperplasia: A Health Technology Assessment. Ont. Health Technol. Assess. Ser. 2021, 21, 1–139. [Google Scholar]
- Thakor, A.S.; Alshammari, M.T.; Liu, D.M.; Chung, J.; Ho, S.G.; Legiehn, G.M.; Machan, L.; Fischman, A.M.; Patel, R.S.; Klass, D. Transradial Access for Interventional Radiology: Single-Centre Procedural and Clinical Outcome Analysis. Can. Assoc. Radiol. J. 2017, 68, 318–327. [Google Scholar] [CrossRef] [PubMed]
- Xu, C.; Zhang, G.; Wang, J.J.; Zhou, C.X.; Jiang, M.J. Safety and efficacy of prostatic artery embolization for large benign prostatic hyperplasia in elderly patients. J. Int. Med. Res. 2021, 49, 0300060520986284. [Google Scholar] [CrossRef] [PubMed]
- Carnevale, F.C.; Moreira, A.M.; de Assis, A.M.; Antunes, A.A.; de Paula Rodrigues, A.C.; Srougi, M.; Cerri, G.G. Prostatic Artery Embolization for the Treatment of Lower Urinary Tract Symptoms Due to Benign Prostatic Hyperplasia: 10 Years’ Experience. Radiology 2020, 2, 191249. [Google Scholar] [CrossRef] [PubMed]
- Bilhim, T.; Pisco, J.; Rio Tinto, H.; Fernandes, L.; Campos Pinheiro, L.; Duarte, M.; Pereira, J.A.; Oliveira, A.G.; O’Neill, J. Unilateral Versus Bilateral Prostatic Arterial Embolization for Lower Urinary Tract Symptoms in Patients with Prostate Enlargement. Cardiovasc. Interv. Radiol. 2013, 36, 403–411. [Google Scholar] [CrossRef] [PubMed]
- Amouyal, G.; Tournier, L.; de Margerie-Mellon, C.; Bouda, D.; Pachev, A.; Assouline, J.; de Bazelaire, C.; Marques, F.; Le Strat, S.; Desgrandchamps, F.; et al. Feasibility of Outpatient Transradial Prostatic Artery Embolization and Safety of a Shortened Deflation Protocol for Hemostasis. J. Pers. Med. 2022, 12, 1138. [Google Scholar] [CrossRef] [PubMed]
- Boeken, B.; Gautier, A.; Moussa, N.; Del Giudice, C.; Abed, A.; Dean, C.; Pellerin, O.; Sapoval, M. Impact of anatomy type of prostatic artery on the number of catheters needed for prostatic artery embolization. Diagn. Interv. Imaging 2021, 102, 147–152. [Google Scholar] [CrossRef] [PubMed]
- Garden, E.B.; Shukla, D.; Ravivarapu, K.T.; Kaplan, S.A.; Reddy, A.K.; Small, A.C.; Palese, M.A. Rezum therapy for patients with large prostates (≥80 g): Initial clinical experience and postoperative outcomes. World J. Urol. 2021, 39, 3041–3048. [Google Scholar] [CrossRef] [PubMed]
- Choi, J.B.; Min, S.K. Complicated urinary tract infection in patients with benign prostatic hyperplasia. J. Infect. Chemother. 2021, 27, 1284–1287. [Google Scholar] [CrossRef] [PubMed]
- Yu, S.C.H.; Cho, C.; Hung, E.; Wang, D.; Chiu, P.; Yee, C.H.; Ng, A. Case-Control Study of Intraarterial Verapamil for Intraprostatic Anastomoses to Extraprostatic Arteries in Prostatic Artery Embo-lization for Benign Prostatic Hypertrophy. J. Vasc. Interv. Radiol. 2017, 28, 1167–1176. [Google Scholar] [CrossRef] [PubMed]
- Isaacson, A.J.; Hartman, T.S.; Bagla, S.; Burke, C.T. Initial Experience with Balloon-Occlusion Prostatic Artery Embolization. J. Vasc. Interv. Radiol. 2018, 29, 85–89. [Google Scholar] [CrossRef] [PubMed]
- Chiarito, M.; Cao, D.; Nicolas, J.; Roumeliotis, A.; Power, D.; Chandiramani, R.; Sartori, S.; Camaj, A.; Goel, R.; Claessen, B.E.; et al. Radial versus femoral access for coronary interventions: An updated systematic review and meta-analysis of randomized trials. Catheter. Cardiovasc. Interv. 2021, 97, 1387–1396. [Google Scholar] [CrossRef] [PubMed]
- Torres, D.; Costa, N.V.; Pisco, J.; Pinheiro, L.C.; Oliveira, A.G.; Bilhim, T. Prostatic Artery Embolization for Benign Prostatic Hyperplasia: Prospective Randomized Trial of 100–300 μm versus 300–500 μm versus 100- to 300-μm + 300- to 500-μm Embospheres. J. Vasc. Interv. Radiol. 2019, 30, 638–644. [Google Scholar] [CrossRef] [PubMed]


| Baseline | 1-Week | 1-Month | 6-Month | 12-Month | 24-Month | |
|---|---|---|---|---|---|---|
| IPSS | 23 | 15 | 8 | 7 | 5 | 5 |
| Prostate Volume | 89.39 cm3 | NA | NA | NA | 63.78 cm3 | 66.05 cm3 |
| Post-void residual volume | 155 mL | NA | NA | NA | 87.6 mL | NA |
| Quality of Life | 5 | 1 | 1 | 1 | 1 | 1 |
| Complication | NA | 0 | 0 | 0 | 0 | 0 |
| Severe Complication | NA | 0 | 0 | 0 | 0 | 0 |
| Clinical Success | NA | Yes | Yes | Yes | Yes | Yes |
Disclaimer/Publisher’s Note: The statements, opinions and data contained in all publications are solely those of the individual author(s) and contributor(s) and not of MDPI and/or the editor(s). MDPI and/or the editor(s) disclaim responsibility for any injury to people or property resulting from any ideas, methods, instructions or products referred to in the content. |
© 2023 by the authors. Licensee MDPI, Basel, Switzerland. This article is an open access article distributed under the terms and conditions of the Creative Commons Attribution (CC BY) license (https://creativecommons.org/licenses/by/4.0/).
Share and Cite
Yeh, S.-D.; Weng, Y.-S.; Lin, C.-Y. Prostate Artery Embolization via Distal Transradial Artery Access in a 100-Year-Old Patient. J. Pers. Med. 2024, 14, 11. https://doi.org/10.3390/jpm14010011
Yeh S-D, Weng Y-S, Lin C-Y. Prostate Artery Embolization via Distal Transradial Artery Access in a 100-Year-Old Patient. Journal of Personalized Medicine. 2024; 14(1):11. https://doi.org/10.3390/jpm14010011
Chicago/Turabian StyleYeh, Shauh-Der, Yu-Shiou Weng, and Chun-Yu Lin. 2024. "Prostate Artery Embolization via Distal Transradial Artery Access in a 100-Year-Old Patient" Journal of Personalized Medicine 14, no. 1: 11. https://doi.org/10.3390/jpm14010011
APA StyleYeh, S.-D., Weng, Y.-S., & Lin, C.-Y. (2024). Prostate Artery Embolization via Distal Transradial Artery Access in a 100-Year-Old Patient. Journal of Personalized Medicine, 14(1), 11. https://doi.org/10.3390/jpm14010011
