Bone Cement Implantation Syndrome: A Rare Disaster Following Cemented Hip Arthroplasties—Clinical Considerations Supported by Case Studies
Abstract
:1. Introduction
2. Clinical Cases
2.1. Case 1
2.2. Case 2
2.3. Case 3
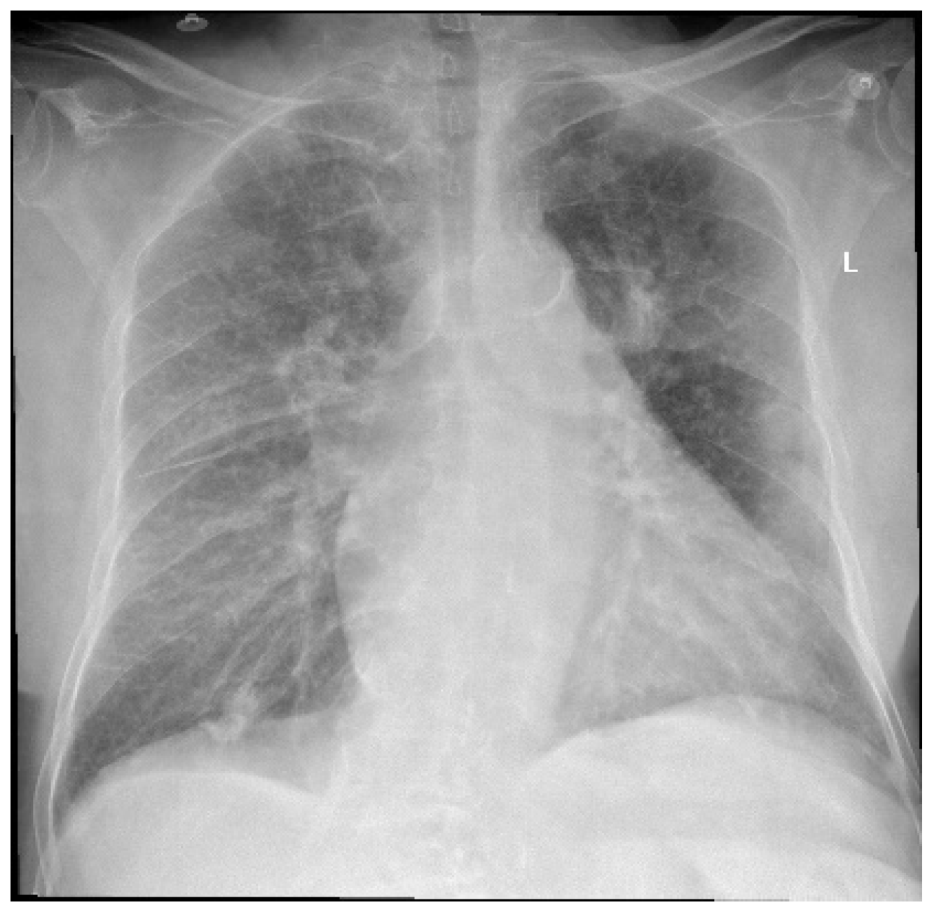
2.4. Case 4
2.5. Case 5
2.6. Case 6
3. Discussion
4. Conclusions
Funding
Institutional Review Board Statement
Informed Consent Statement
Data Availability Statement
Acknowledgments
Conflicts of Interest
References
- Learmonth, I.D.; Young, C.; Rorabeck, C. The operation of the century: Total hip replacement. Lancet 2007, 370, 1508–1519. [Google Scholar] [CrossRef]
- Holzwarth, U.; Cotogno, G. Total Hip Arthroplasty: State of the Art, Prospects and Challenges; Publications Office of the European Union: Luxembourg, 2012; pp. 7–8. [Google Scholar]
- Patel, I.; Nham, F.; Zalikha, A.K.; El-Othmani, M.M. Epidemiology of total hip arthroplasty: Demographics, comorbidities and outcomes. Arthroplasty 2023, 5, 2. [Google Scholar] [CrossRef]
- Moldovan, F.; Moldovan, L.; Bataga, T. A Comprehensive Research on the Prevalence and Evolution Trend of Orthopedic Surgeries in Romania. Healthcare 2023, 11, 1866. [Google Scholar] [CrossRef] [PubMed]
- Singh, J.A. Epidemiology of knee and hip arthroplasty: A systematic review. Open Orthop. J. 2011, 5, 80–85. [Google Scholar] [CrossRef] [PubMed]
- Metcalfe, D. The pathophysiology of osteoporotic hip fracture. Mcgill J. Med. 2008, 11, 51–57. [Google Scholar] [CrossRef]
- Hagino, H.; Furukawa, K.; Fujiwara, S.; Okano, T.; Katagiri, H.; Yamamoto, K.; Teshima, R. Recent trends in the incidence and lifetime risk of hip fracture in Tottori. Jpn. Osteoporos. Int. 2009, 20, 543–548. [Google Scholar] [CrossRef] [PubMed]
- Dhanwal, D.K.; Dennison, E.M.; Harvey, N.C.; Cooper, C. Epidemiology of hip fracture: Worldwide geographic variation. Indian J. Orthop. 2011, 45, 15–22. [Google Scholar] [CrossRef]
- Guzon-Illescas, O.; Perez Fernandez, E.; Crespí Villarias, N.; Quirós Donate, F.J.; Peña, M.; Alonso-Blas, C.; García-Vadillo, A.; Mazzucchelli, R. Mortality after osteoporotic hip fracture: Incidence, trends, and associated factors. J. Orthop. Surg. Res. 2019, 14, 203. [Google Scholar] [CrossRef]
- Chammout, G.; Kelly-Pettersson, P.; Hedbeck, C.J.; Bodén, H.; Stark, A.; Mukka, S.; Sköldenberg, O. Primary hemiarthroplasty for the elderly patient with cognitive dysfunction and a displaced femoral neck fracture: A prospective, observational cohort study. Aging Clin. Exp. Res. 2021, 33, 1275–1283. [Google Scholar] [CrossRef]
- Tol, M.C.; van den Bekerom, M.P.; Sierevelt, I.N.; Hilverdink, E.F.; Raaymakers, E.L.; Goslings, J.C. Hemiarthroplasty or total hip arthroplasty for the treatment of a displaced intracapsular fracture in active elderly patients: 12-year follow-up of randomised trial. Bone Jt. J. 2017, 99-B, 250–254. [Google Scholar] [CrossRef]
- HEALTH Investigators; Bhandari, M.; Einhorn, T.A.; Guyatt, G.; Schemitsch, E.H.; Zura, R.D.; Sprague, S.; Frihagen, F.; Guerra-Farfán, E.; Kleinlugtenbelt, Y.V.; et al. Total Hip Arthroplasty or Hemiarthroplasty for Hip Fracture. N. Engl. J. Med. 2019, 381, 2199–2208. [Google Scholar] [PubMed]
- Yang, C.; Han, X.; Wang, J.; Yuan, Z.; Wang, T.; Zhao, M.; Han, G. Cemented versus uncemented femoral component total hip arthroplasty in elderly patients with primary osteoporosis: Retrospective analysis with 5-year follow-up. J. Int. Med. Res. 2019, 47, 1610–1619. [Google Scholar] [CrossRef] [PubMed]
- Fernandez, M.A.; Achten, J.; Parsons, N.; Griffin, X.L.; Png, M.E.; Gould, J.; McGibbon, A.; Costa, M.L.; WHiTE 5 Investigators. Cemented or Uncemented Hemiarthroplasty for Intracapsular Hip Fracture. N. Engl. J. Med. 2022, 386, 521–530. [Google Scholar] [CrossRef]
- Veldman, H.D.; de Bot, R.T.A.L.; Heyligers, I.C.; Boymans, T.A.E.J.; Hiligsmann, M. Cost-effectiveness analyses comparing cemented, cementless, hybrid and reverse hybrid fixation in total hip arthroplasty: A systematic overview and critical appraisal of the current evidence. Exp. Rev. Pharmacoecon. Outcomes Res. 2021, 21, 579–593. [Google Scholar] [CrossRef] [PubMed]
- Maggs, J.; Wilson, M. The Relative Merits of Cemented and Uncemented Prostheses in Total Hip Arthroplasty. Indian J. Orthop. 2017, 51, 377–385. [Google Scholar] [CrossRef]
- Vaishya, R.; Chauhan, M.; Vaish, A. Bone cement. J. Clin. Orthop. Trauma 2013, 4, 157–163. [Google Scholar] [CrossRef] [PubMed]
- Dunne, N. Mechanical properties of bone cements. In Biomaterials, Orthopaedic Bone Cements; Sanjukta, D., Ed.; Woodhead Publishing: Sawston, UK, 2008; pp. 233–264. [Google Scholar]
- Dunne, N.; Clements, J.; Wang, J.-S. Acrylic cements for bone fixation in joint replacement. In Joint Replacement Technology, 2nd ed.; Revell, P.A., Ed.; Woodhead Publishing: Sawston, UK, 2014; pp. 212–256. [Google Scholar]
- Wong, T.M.; Lau, T.W.; Li, X.; Fang, C.; Yeung, K.; Leung, F. Masquelet technique for treatment of posttraumatic bone defects. Sci. World J. 2014, 2014, 710302. [Google Scholar] [CrossRef]
- McCall, T.; Cole, C.; Dailey, A. Vertebroplasty and kyphoplasty: A comparative review of efficacy and adverse events. Curr. Rev. Musculoskelet. Med. 2008, 1, 17–23. [Google Scholar] [CrossRef]
- Arora, M.; Chan, E.K.; Gupta, S.; Diwan, A.D. Polymethylmethacrylate bone cements and additives: A review of the literature. World J. Orthop. 2013, 4, 67–74. [Google Scholar] [CrossRef]
- Robu, A.; Antoniac, A.; Grosu, E.; Vasile, E.; Raiciu, A.D.; Iordache, F.; Antoniac, V.I.; Rau, J.V.; Yankova, V.G.; Ditu, L.M.; et al. Additives Imparting Antimicrobial Properties to Acrylic Bone Cements. Materials 2021, 14, 7031. [Google Scholar] [CrossRef]
- Hines, C.B. Understanding Bone Cement Implantation Syndrome. AANA J. 2018, 86, 433–441. [Google Scholar]
- Qin, Z.; Deng, Y.; Li, X.; Li, M. Bone cement implantation syndrome induced by antibiotic-loaded bone cement covering the infected bone surface: A case report. Int. J. Surg. Case Rep. 2021, 89, 106627. [Google Scholar] [CrossRef]
- Tan, Q.C.; Jiang, X.S.; Chen, L.; Huang, J.F.; Zhou, Q.X.; Wang, J.; Zhao, Y.; Zhang, B.; Sun, Y.N.; Wei, M.; et al. Bioactive graphene oxide-functionalized self-expandable hydrophilic and osteogenic nanocomposite for orthopaedic applications. Mater. Today Bio 2022, 18, 100500. [Google Scholar] [CrossRef]
- Sierra, R.J.; Timperley, J.A.; Gie, G.A. Contemporary cementing technique and mortality during and after Exeter total hip arthroplasty. J. Arthroplast. 2009, 24, 325–332. [Google Scholar] [CrossRef] [PubMed]
- Dahl, O.E.; Pripp, A.H. Does the Risk of Death Within 48 Hours of Hip Hemiarthroplasty Differ Between Patients Treated with Cemented and Cementless Implants? A Meta-analysis of Large, National Registries. Clin. Orthop. Relat. Res. 2022, 480, 343–350. [Google Scholar] [CrossRef] [PubMed]
- Moldovan, F.; Bataga, T. Torque Control during Bone Insertion of Cortical Screws. Procedia Manuf. 2020, 46, 484–490. [Google Scholar] [CrossRef]
- Donaldson, A.J.; Thomson, H.E.; Harper, N.J.; Kenny, N.W. Bone cement implantation syndrome. Br. J. Anaesth. 2009, 102, 12–22. [Google Scholar] [CrossRef] [PubMed]
- Olsen, F.; Kotyra, M.; Houltz, E.; Ricksten, S.E. Bone cement implantation syndrome in cemented hemiarthroplasty for femoral neck fracture: Incidence, risk factors, and effect on outcome. Br. J. Anaesth. 2014, 113, 800–806. [Google Scholar] [CrossRef] [PubMed]
- Rassir, R.; Schuiling, M.; Sierevelt, I.N.; van der Hoeven, C.W.P.; Nolte, P.A. What Arethe Frequency, Related Mortality, and Factors Associated with Bone Cement Implantation Syndrome in Arthroplasty Surgery? Clin. Orthop. Relat. Res. 2021, 479, 755–763. [Google Scholar] [CrossRef]
- Bonfait, H.; Delaunay, C.; De Thomasson, E.; Tracol, P.; Werther, J.R.; Orthorisq. Bone cement implantation syndrome in hip arthroplasty: Frequency, severity and prevention. Orthop. Traumatol. Surg. Res. 2022, 108, 103139. [Google Scholar] [CrossRef]
- Stierlen, A.; Greive, S.J.; Bacri, L.; Manivet, P.; Cressiot, B.; Pelta, J. Nanopore Discrimination of Coagulation Biomarker Derivatives and Characterization of a Post-Translational Modification. ACS Cent. Sci. 2023, 9, 228–238. [Google Scholar] [CrossRef] [PubMed]
- Senejoux, F.; Girard-Thernier, C.; Berthelot, A.; Bévalot, F.; Demougeot, C. New insights into the mechanisms of the vasorelaxant effects of apocynin in rat thoracic aorta. Fundam. Clin. Pharmacol. 2013, 27, 262–270. [Google Scholar] [CrossRef] [PubMed]
- Hamal, P.K.; Poudel, P.R.; Singh, J. Grade III bone cement implantation syndrome in malignant lung cancer patient: A case report. BMC Anesthesiol. 2018, 18, 28. [Google Scholar] [CrossRef]
- Harper, K.D.; Navo, P.; Ramsey, F.; Jallow, S.; Rehman, S. "Hidden" Preoperative Blood Loss with Extracapsular Versus Intracapsular Hip Fractures: What Is the Difference? Geriatr. Orthop. Surg. Rehabil. 2017, 8, 202–207. [Google Scholar] [CrossRef]
- Moldovan, F.; Ivanescu, A.D.; Fodor, P.; Moldovan, L.; Bataga, T. Correlation between Inflammatory Systemic Biomarkers and Surgical Trauma in Elderly Patients with Hip Fractures. J. Clin. Med. 2023, 12, 5147. [Google Scholar] [CrossRef] [PubMed]
- Schwarzkopf, E.; Sachdev, R.; Flynn, J.; Boddapati, V.; Padilla, R.E.; Prince, D.E. Occurrence, risk factors, and outcomes of bone cement implantation syndrome after hemi and total hip arthroplasty in cancer patients. J. Surg. Oncol. 2019, 120, 1008–1015. [Google Scholar] [CrossRef]
- Karlsson, J.; Wendling, W.; Chen, D.; Zelinsky, J.; Jeevanandam, V.; Hellman, S.; Carlsson, C. Methylmethacrylate monomer produces direct relaxation of vascular smooth muscle in vitro. Acta Anaesthesiol. Scand. 1995, 39, 685–689. [Google Scholar] [CrossRef] [PubMed]
- Govil, P.; Kakar, P.N.; Arora, D.; Das, S.; Gupta, N.; Govil, D.; Gupta, S.; Malohtra, A. Bone cement implantation syndrome: A report of four cases. Indian J. Anaesth. 2009, 53, 214–218. [Google Scholar]
- Al-Husinat, L.; Jouryyeh, B.; Al Sharie, S.; Al Modanat, Z.; Jurieh, A.; Al Hseinat, L.; Varrassi, G. Bone Cement and Its Anesthetic Complications: A Narrative Review. J. Clin. Med. 2023, 12, 2105. [Google Scholar] [CrossRef]
- Cnudde, P.H.; Kärrholm, J.; Rolfson, O.; Timperley, A.J.; Mohaddes, M. Cement-in-cement revision of the femoral stem: Analysis of 1179 first-time revisions in the Swedish Hip Arthroplasty Register. Bone Jt. J. 2017, 99-B (4 Suppl. B), 27–32. [Google Scholar] [CrossRef]
- Kumbasar, U.; Bonde, P. Delayed presentation of bone cement implantation syndrome requiring extracorporeal membrane oxygenation support. Turk. Gogus Kalp Damar Cerrahisi Derg. 2021, 29, 412–414. [Google Scholar] [CrossRef] [PubMed]
- Khanna, G.; Cernovsky, J. Bone cement and the implications for anaesthesia. Contin. Educ. Anaesth. Crit. Care Pain. 2012, 12, 213–216. [Google Scholar] [CrossRef]
- Konan, S.; Abdel, M.P.; Haddad, F.S. Cemented versus uncemented hip implant fixation: Should there be age thresholds? Bone Jt. Res. 2020, 8, 604–607. [Google Scholar] [CrossRef]
- Herrenbruck, T.; Erickson, E.W.; Damron, T.A.; Heiner, J. Adverse clinical events during cemented long-stem femoral arthroplasty. Clin. Orthop. Relat. Res. 2002, 395, 154–163. [Google Scholar] [CrossRef]
- Weingärtner, K.; Störmann, P.; Schramm, D.; Wutzler, S.; Zacharowski, K.; Marzi, I.; Lustenberger, T. Bone cement implantation syndrome in cemented hip hemiarthroplasty-a persistent risk. Eur. J. Trauma Emerg. Surg. 2022, 48, 721–729. [Google Scholar] [CrossRef] [PubMed]
- Chulsomlee, K.; Prukviwat, S.; Tuntiyatorn, P.; Vasaruchapong, S.; Kulachote, N.; Sirisreetreerux, N.; Tanphiriyakun, T.; Chanplakorn, P.; Sa-Ngasoongsong, P. Correlation between shape-closed femoral stem design and bone cement implantation syndrome in osteoporotic elderly femoral neck fracture undergoing cemented hip arthroplasty: A retrospective case-control study in 128 patients. Orthop. Traumatol. Surg. Res. 2023, 109, 103450. [Google Scholar] [CrossRef]
- Hoskins, W.; van Bavel, D.; Lorimer, M.; de Steiger, R.N. Polished Cemented Femoral Stems Have a Lower Rate of Revision Than Matt Finished Cemented Stems in Total Hip Arthroplasty: An Analysis of 96,315 Cemented Femoral Stems. J. Arthroplast. 2018, 33, 1472–1476. [Google Scholar] [CrossRef]
- Mikolajczyk, T.; Moldovan, F.; Ciobanu, I.; Chalupczak, A.; Marin, A.G. Brain Research Using Computer Test. Procedia Technol. 2016, 22, 1113–1120. [Google Scholar] [CrossRef]
- Sevaldsen, K.; Schnell Husby, O.; Lian, Ø.B.; Farran, K.M.; Schnell Husby, V. Is the French Paradox cementing philosophy superior to the standard cementing? A randomized controlled radiostereometric trial and comparative analysis. Bone Jt. J. 2022, 104-B, 19–26. [Google Scholar] [CrossRef]
- O’Dowd-Booth, C.J.; White, J.; Smitham, P.; Khan, W.; Marsh, D.R. Bone cement: Perioperative issues, orthopaedic applications and future developments. J. Perioper. Pract. 2011, 21, 304–308. [Google Scholar] [CrossRef]
- Bjørnarå, B.T.; Gudmundsen, T.E.; Dahl, O.E. Frequency and timing of clinical venous thromboembolism after major joint surgery. J. Bone Jt. Surg. Br. 2006, 88, 386–391. [Google Scholar] [CrossRef] [PubMed]
- Haynes, M.S.; Alder, K.D.; Bellamkonda, K.; Kuzomunhu, L.; Grauer, J.N. Incidence, predictors, and timing of post-operative stroke following elective total hip arthroplasty and total knee arthroplasty. PLoS ONE 2020, 15, e0239239. [Google Scholar] [CrossRef] [PubMed]
- Ten Hagen, A.; Doldersum, P.; van Raaij, T. Anaphylactic shock during cement implantation of a total hip arthroplasty in a patient with underlying mastocytosis: Case report of a rare intraoperative complication. Patient Saf. Surg. 2016, 10, 25. [Google Scholar] [CrossRef] [PubMed]


| Powder Components | Liquid Components |
|---|---|
|
|
|
|
|
|
|
| Grade 1 | Grade 2 | Grade 3 |
|---|---|---|
| Mild hypoxia (SpO2 < 94%) or systemic hypotension with decrease in SBP > 20% | Severe hypoxia (SpO2 < 88%) or systemic hypotension with a decrease in SBP > 40% or unexpected loss of consciousness | Cardiovascular collapse necessitating CPR |
| Patient 1 | Patient 2 | Patient 3 | Patient 4 | Patient 5 | Patient 6 | |
|---|---|---|---|---|---|---|
| Baseline characteristics | ||||||
| Age | 49 | 89 | 83 | 86 | 70 | 86 |
| Sex | Female | Female | Female | Male | Female | Female |
| BMI | 19.2 | 28.9 | 21.6 | 23.9 | 23.4 | 25.0 |
| Surgery related data | ||||||
| Type of anesthesia | Intraspinal | Intraspinal | Intraspinal | Intraspinal | Intraspinal | General |
| ASA score | III | III | IV | IV | II | IV |
| Preoperative stay (days) | 17 | 9 | 14 | 3 | 6 | 1 |
| Duration of surgery (minutes) | 80 | 55 | 43 | 85 | 67 | 45 |
| Implant characteristics | ||||||
| Type of prothesis | cTHA | cBHA | cBHA | cTHA | cTHA | cBHA |
| Type of stem | Taperloc Biomet, 7.5 × 135 mm | Exacta Plus Permedica, Size 6 (145 mm) | PAVI Goupe Lepine, Size 14 | Logica Standard Limacorporate Size 4 (156 mm) | Taperloc Biomet, 12.5 × 145 mm | PAVI Goupe Lepine, Size 13 |
| Type of cement | Simplex P Stryker | Surgival with Gentamicin | Surgival with Gentamicin | Simplex P Stryker | Palamed with Gentamicin | Surgival with Gentamicin |
Disclaimer/Publisher’s Note: The statements, opinions and data contained in all publications are solely those of the individual author(s) and contributor(s) and not of MDPI and/or the editor(s). MDPI and/or the editor(s) disclaim responsibility for any injury to people or property resulting from any ideas, methods, instructions or products referred to in the content. |
© 2023 by the author. Licensee MDPI, Basel, Switzerland. This article is an open access article distributed under the terms and conditions of the Creative Commons Attribution (CC BY) license (https://creativecommons.org/licenses/by/4.0/).
Share and Cite
Moldovan, F. Bone Cement Implantation Syndrome: A Rare Disaster Following Cemented Hip Arthroplasties—Clinical Considerations Supported by Case Studies. J. Pers. Med. 2023, 13, 1381. https://doi.org/10.3390/jpm13091381
Moldovan F. Bone Cement Implantation Syndrome: A Rare Disaster Following Cemented Hip Arthroplasties—Clinical Considerations Supported by Case Studies. Journal of Personalized Medicine. 2023; 13(9):1381. https://doi.org/10.3390/jpm13091381
Chicago/Turabian StyleMoldovan, Flaviu. 2023. "Bone Cement Implantation Syndrome: A Rare Disaster Following Cemented Hip Arthroplasties—Clinical Considerations Supported by Case Studies" Journal of Personalized Medicine 13, no. 9: 1381. https://doi.org/10.3390/jpm13091381
APA StyleMoldovan, F. (2023). Bone Cement Implantation Syndrome: A Rare Disaster Following Cemented Hip Arthroplasties—Clinical Considerations Supported by Case Studies. Journal of Personalized Medicine, 13(9), 1381. https://doi.org/10.3390/jpm13091381
