Meningioma-Related Epilepsy: A Happy Ending?
Abstract
1. Introduction
2. Materials and Methods
2.1. Study Population
- age ≥ 18 years;
- newly diagnosed meningioma cases and non-previous treatments;
- confirmed histological diagnosis of meningioma according to the updated 2016 World Health Organization (WHO) guidelines [10];
- pre- and post-operative brain Magnetic Resonance Imaging (MRI) that were either performed at our Institution or available on the picture archiving and communication system (PACS) for review.
2.2. Clinical Data
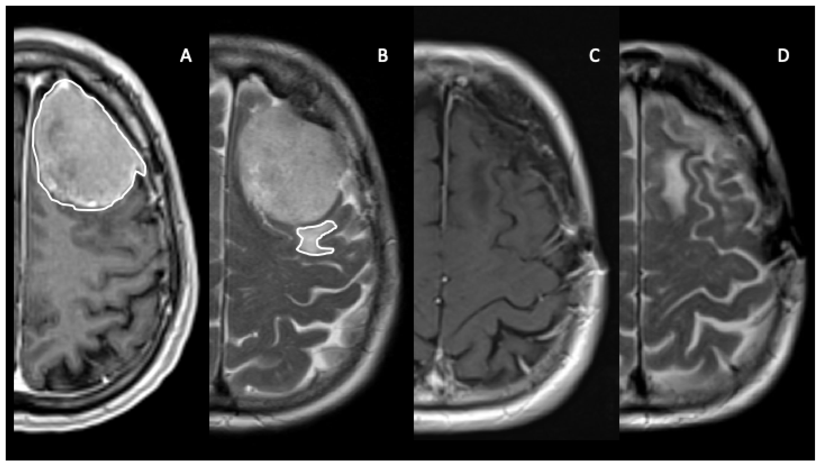
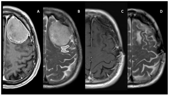
2.3. Imaging Analysis and Region of Interest (ROI)-Drawing Process
2.4. Surgery
2.5. Statistical Analysis
3. Results
3.1. Study Population and Characteristics of Meningioma-Related Epilepsy
3.2. Post-Surgery Seizure Outcome
4. Discussion
| Author (year) | Gadot et al. (2021) [35] | Baumgarten et al. (2021) [41] | Schneider et al. (2019) [25] | Hwang et al. (2019) [20] | Seyedi et al. (2018) [26] | Wirsching et al. (2016) [21] | Zheng et al. (2013) [42] |
| Number of patients | 57 | 420 | 187 | 303 | 295 | 661 * | 97 |
| Female (n, %) | 29/57 (51%) | 282 (67%) | 121 (65%) | 215 (71%) | 197 (66.8%) | 532 (80.5%) | 59 (60.8%) |
| Location | - Non-Skull Base: 42/57 (73.7%) - Skull Base: 15/57 (26.3%) | - Non-Skull Base: 273/420 (65%) - Skull Base: 147/420 (35%) | - Non-Skull Base: 134/187 (71.6%) - Skull Base: 53/187 (28.4%) | - Non-Skull Base: 199/303 (65.7%) - Skull Base: 104/303 (34.3%) | - Non-Skull Base: 208/295 (70.5%) - Skull Base: 87/295 (29.5%) | - Non-Skull Base: 320/661 (48.4%) - Skull Base: 341/661 (51.6%) | - Non-Skull Base: 81/97 (83.5%) - Skull Base: 16/97 (16.5%) |
| Pathology | - WHO I: 40/57 (70.2%) - WHO II: 14/57 (24.6%) - WHO III: 3/57 (5.2%) | - WHO I: 244/420 (58%) - WHO II: 164/420 (39%) - WHO III 7/420 (1.7%) - Unknown: 5/420 (1.3%) | - WHO I: 140/187 (75%) - WHO II–III: 47/187 (25%) | - WHO I: 251/303 (82.8%) - WHO II: 44/303 (14.5%) - WHO III: 8 (2.6%) | - WHO I: 268/295 (90.8%) - WHO II-III: 27/295 (9.2%) | - WHO I: 638/779 (81.9%) - WHO II: 119/779 (15.3%) - WHO III: 22/779 (2.8%) | - WHO I: 90/97 (92.8%) - WHO II: 6 (6.2%) - WHO III: 1 (1.0%) |
| Pre-operative seizure (n, %) | 57/57 (100%) | 87/420 (20.7%) | 187 (100%) | 49 (16.2%) | 72/295 (24.4%) | 244/779 (31.3%) | 97/97 (100%) |
| Seizure type | - Focal: 30/57 (52.6%) - Focal to bilateral tonic-clonic evolution: 25/57 (43.9%) - Unknown: 2/57 (3.5%) | Unknown | - Focal: 63/187 (34%) - Focal to bilateral tonic-clonic evolution: 124/187 (66%) | Unknown | Unknown | Available in 237 patients - Focal: 114/237 (48.1%) - Focal to bilateral tonic-clonic evolution: 123/237 (51.9%) | - Focal: 45/97 (46.4%) - Focal to bilateral tonic-clonic evolution: 52/97 (53.6%) |
| Seizure Outcome | Seizure-free: 42/57 (73.7%) | Pre-operative seizures (n = 87): seizure-free 24/87 (72.4%) | Seizure-free: 169/187 (90%) | Pre-operative seizures (n = 49): seizure-free 33/49 (67.3%) | Pre-operative seizures (n = 72): seizure-free 46/72 (63.8%) | Pre-operative seizures (n = 244): seizure-free 144/244 (59%) | Seizure-free: 50/97 (51.5%) |
| ASM prophylaxis | 54/57 (94.7%) | Unknown | Unknown | 294/303 (97%) | 57/72 (79.2%) | Unknown | 58/97 (60%) |
| Tumor recurrence/progression (n, %) | - Residual disease: 13/57 (22.8%) - Recurrent disease: 10/57 (17.5%) | Tumor recurrence: 44/420 (10.5%) | Tumor progression: 18/187 (9.6%) | 48 (15.84) | - Tumor progression: 70/295 (23.7%) - Unknown: 22/295 (7.5%) | 203/779 (26.1%) | 2/97 (2.1%) |
| Prognostic factors related to pre-operative seizures | / | - Temporal location - Pre-operative edema | / | - Vasogenic edema - Falx/parasagittal tumor location - Absence of pre-operative neurologic deficit | - Peritumoral edema | / | / |
| Prognostic factors related to epileptological outcome | - Postresection ischemia and recurrent disease: independent predictors of worse seizure outcome. - WHO grade I tumor status: independent categorical predictor of improved Engel class outcome. - MIB-1 index: independent linear predictor of Engel class outcome. | - Tumor volume, sensomotory deficit and sphenoid wing location: independently associated with the occurrence of post-operative seizures. - Post-operative status epilepticus: independently associated with pre-operative seizures, sphenoid wing location and tumor volume. | - Peritumoral edema, high WHO grade, lower EOR: independent predictors of worse epileptological outcome. | - Pre-operative seizures, larger tumor size and continuation of ASMs: significantly associated with late post-operative seizures. | - Tumors located on left: predictor of post-operative seizures, - no post-operative complications and tumor location in the convexity/parasagittal/falx: lower risks of developing post-operative seizures. | - Younger age, tumor progression, and pre-operative epilepsy: predictors of post-operative epilepsy. - Risk factors for acute symptomatic seizures were radiographic gross total resection and surgical complications. | - Tumor progression and new permanent post-operative neurological deficit: significantly associated with late post-operative seizure. |
5. Conclusions
Author Contributions
Funding
Institutional Review Board Statement
Informed Consent Statement
Data Availability Statement
Conflicts of Interest
References
- Ostrom, Q.T.; Cioffi, G.; Waite, K.; Kruchko, C. CBTRUS Statistical Report: Primary Brain and Other Central Nervous System Tumors Diagnosed in the United States in 2014–2018. Neuro-Oncology 2021, 23, iii1–iii105. [Google Scholar] [CrossRef]
- Xue, H.; Svenisson, O.; Tomson, T.; Mathiesen, T. Intracranial meningiomas and seizures: A review of the literature. Acta Neurochir. 2015, 157, 1542–1548. [Google Scholar] [CrossRef]
- Xue, H.; Svenisson, O.; Bartek, J., Jr.; Forander, P.; Skyrman, S.; Kihlstrom, L.; Shafiei, R.; Mathiesen, T.; Tomson, T. Long-term control and predictors of seizures in intracranial meningioma surgery: A population-based study. Acta Neurochir. 2018, 160, 589–596. [Google Scholar] [CrossRef] [PubMed]
- Van Breemen, M.S.M.; Wilms, E.B.; Vecht, C.J. Seizure Control in Brain Tumors. Handb. Clin. Neurol. 2012, 104, 381–389. [Google Scholar] [CrossRef]
- Maschio, M.; Aguglia, U.; Avanzini, G.; Banfi, P.; Buttinelli, C.; Capovilla, G.; Casazza, M.M.L.; Colicchio, G.; Coppola, A.; Costa, C.; et al. Management of epilepsy in brain tumors. Neurol. Sci. 2019, 40, 2217–2234. [Google Scholar] [CrossRef]
- Sheth, R.D. Epilepsy surgery. Presurgical evaluation. Neurol. Clin. 2002, 20, 1195–1215. [Google Scholar] [CrossRef]
- Chen, W.C.; Magill, S.T.; Englot, D.J.; Baal, J.D.; Wagle, S.; Rick, J.W.; McDermott, M.W. Factors associated with pre- and post-operative seizures in 1033 patients undergoing supratentorial meningioma resection. Neurosurgery 2017, 81, 297–306. [Google Scholar] [CrossRef] [PubMed]
- Skardelly, M.; Rother, C.; Noell, S.; Behling, F.; Wuttke, T.V.; Schittenhelm, J.; Bisdas, S.; Meisner, C.; Rona, S.; Tabatabai, G. Risk Factors of Preoperative and Early Postoperative Seizures in Patients with Meningioma: A Retrospective Single-Center Cohort Study. World Neurosurg. 2017, 97, 538–546. [Google Scholar] [CrossRef]
- Li, X.; Wang, C.; Lin, Z.; Zhao, M.; Ren, X.; Zhang, X.; Jiang, Z. Risk factors and control of seizures in 778 Chinese patients undergoing initial resection of supratentorial meningiomas. Neurosurg. Rev. 2020, 43, 597–608. [Google Scholar] [CrossRef]
- Louis, D.N.; Perry, A.; Reifenberger, G.; von Deimling, A.; Figarella-Branger, D.; Cavenee, W.K.; Ohgaki, H.; Wiesterl, O.D.; Kleihues, P.; Ellison, D.W. The 2016 World Health Organization Classification of Tumors of the Central Nervous System: A summary. Acta Neuropathol. 2016, 131, 803–820. [Google Scholar] [CrossRef] [PubMed]
- Fisher, R.S.; Acevedo, C.; Arzimanoglou, A.; Bogacz, A.; Cross, J.H.; Elger, C.E.; Engel, J., Jr.; Forsgren, L.; French, J.A.; Glynn, M.; et al. ILAE Officila Report: A Practical, Clinical Definition of Epilepsy. Epilepsia 2014, 55, 475–482. [Google Scholar] [CrossRef] [PubMed]
- Engel, J., Jr.; Burchfiel, J.; Ebersole, J.; Gates, J.; Gotman, J.; Homan, R.; Ives, J.; King, D.; Lieb, J.; Sato, S.; et al. Long-term monitoring for epilepsy. Report of an IFCN committee. Electroencephalogr. Clin. Neurophysiol. 1993, 87, 437–458. [Google Scholar] [CrossRef]
- Simpson, D. The recurrence of intracranial meningiomas after surgical treatment. J. Neurol. Neurosurg. Psychiatry 1957, 20, 22–39. [Google Scholar] [CrossRef] [PubMed]
- Fisher, R.S.; Cross, J.H.; French, J.A.; Higurashi, N.; Hirsch, E.; Jansen, F.E.; Lagae, L.; Moshé, S.L.; Peltola, J.; Roulet, P.E.; et al. Operational classification of seizure types by the International League Against Epilepsy: Position Paper of the ILAE Commission for Classification and Terminology. Epilepsia 2017, 58, 522–530. [Google Scholar] [CrossRef]
- Ius, T.; Tel, A.; Minniti, G.; Somma, T.; Solari, D.; Longhi, M.; De Bonis, P.; Scerrati, A.; Caccese, M.; Barresi, V.; et al. Advances in Multidisciplinary Management of Skull Base Meningiomas. Cancers 2021, 13, 2664. [Google Scholar] [CrossRef] [PubMed]
- Oyama, H.; Noda, S.; Negoro, M.; Kinomoto, T.; Miyachi, S.; Kuwayama, N.; Kajita, Y. Giant meningioma fed by the anterior choroidal artery: Successful removal following embolization—Case report. Neurol. Med.-Chir. 1992, 32, 839–841. [Google Scholar] [CrossRef]
- Gajbhiye, S.; Gosal, J.S.; Pandey, S.; Das, K.K. Apoplexy Inside a Giant Medial Sphenoid Wing Meningothelial (Grade I) Meningioma: An Extremely Rare but a Potentially Dangerous Complication. Asian. J. Neurosurg. 2019, 14, 961–963. [Google Scholar] [CrossRef]
- Englot, D.J.; Magill, S.T.; Han, S.J.; Chang, E.F.; Berger, M.S.; McDermott, M.W. Seizures in supratentorial meningioma: A systematic review and meta-analysis. J. Neurosurg. 2016, 124, 1552–1561. [Google Scholar] [CrossRef]
- Bogdanovic, I.; Ristic, A.; Ilic, R.; Bascarevic, V.; Bukumiric, Z.; Miljkovic, A.; Milisavljevic, F.; Stepanovic, A.; Lazic, I.; Grujicic, D. Factors associated with preoperative and early and late postoperative seizures in patients with supratentorial meningiomas. Epileptic Disord. 2023, 25, 244–254. [Google Scholar] [CrossRef]
- Hwang, K.; Joo, J.D.; Kim, Y.H.; Han, J.H.; Oh, C.W.; Yun, C.H.; Park, S.H.; Kim, C.Y. Risk factors for preoperative and late postoperative seizures in primary supratentorial meningiomas. Clin. Neurol. Neurosurg. 2019, 180, 34–39. [Google Scholar] [CrossRef]
- Wirsching, H.G.; Morel, C.; Gmür, C.; Neidert, M.C.; Baumann, C.R.; Valavanis, A.; Rushing, E.J.; Krayenbuhl, N.; Weller, M. Predicting outcome of epilepsy after meningioma resection. Neuro-Oncology 2016, 18, 1002–1010. [Google Scholar] [CrossRef]
- Chamberlain, M.C.; Blumenthal, D.T. Intracranial meningiomas: Diagnosis and treatment. Expert. Rev. Neurother. 2004, 4, 641–648. [Google Scholar] [CrossRef]
- Fathi, A.R.; Roelcke, U. Meningioma. Curr. Neurol. Neurosci. Rep. 2013, 13, 337. [Google Scholar] [CrossRef] [PubMed]
- Harward, S.C.; Rolston, J.D.; Englot, D.J. Seizures in meningioma. Handb. Clin. Neurol. 2020, 170, 187–200. [Google Scholar] [CrossRef] [PubMed]
- Schneider, M.; Güresir, A.; Borger, V.; Hamed, M.; Rácz, A.; Vatter, H.; Güresir, E.; Schuss, P. Preoperative tumor-associated epilepsy in patients with supratentorial meningioma: Factors influencing seizure outcome after meningioma surgery. J. Neurosurg. 2019, 11, 1–7. [Google Scholar] [CrossRef]
- Seyedi, J.F.; Pedersen, C.B.; Poulsen, F.R. Risk of seizures before and after neurosurgical treatment of intracranial meningiomas. Clin. Neurol. Neurosurg. 2018, 165, 60–66. [Google Scholar] [CrossRef]
- Baumgarten, P.; Sarlak, M.; Baumgarten, G.; Marquardt, G.; Seifert, V.; Strzelczyk, A.; Rosenow, F.; Freiman, T.M. Focused review on seizures caused by meningiomas. Epilepsy Behav. 2018, 88, 146–151. [Google Scholar] [CrossRef]
- Chaichana, K.L.; Pendleton, C.; Zaidi, H.; Olivi, A.; Weingart, J.D.; Gallia, G.L.; Lim, M.; Brem, H.; Quiñones-Hinojosa, A. Seizure control for patients undergoing meningioma surgery. World. Neurosurg. 2013, 79, 515–524. [Google Scholar] [CrossRef]
- Lee, J.W.; Wen, P.Y.; Hurwitz, S.; Black, P.; Kesari, S.; Drappatz, J.; Golby, A.J.; Wells, W.M., 3rd; Warfield, S.K.; Kikinis, R.; et al. Morphological characteristics of brain tumors causing seizures. Arch. Neurol. 2010, 67, 336–342. [Google Scholar] [CrossRef]
- Lieu, A.S.; Howing, S.L. Intracranial meningiomas and epilepsy: Incidence, prognosis and influencing factors. Epilepsy Res. 2000, 38, 45–52. [Google Scholar] [CrossRef] [PubMed]
- Rohringer, M.; Sutherland, G.R.; Louw, D.F.; Sima, A.A. Incidence and clinicopathological features of meningioma. J. Neurosurg. 1989, 71, 665–672. [Google Scholar] [CrossRef] [PubMed]
- Pistolesi, S.; Fontanini, G.; Camacci, T.; De Ieso, K.; Boldrini, L.; Lupi, G.; Padolecchia, R.; Pingitore, R.; Parenti, G. Meningioma-associated brain oedema: The role of angiogenic factors and pial blood supply. J. Neurooncol. 2002, 60, 159–164. [Google Scholar] [CrossRef]
- Ahmed, R.E.; Tang, H.; Asemota, A.; Huang, L.; Boling, W.; Bannout, F. Meningioma Related Epilepsy- Pathophysiology, Pre/postoperative Seizures Predicators and Treatment. Front. Oncol. 2022, 12, 905976. [Google Scholar] [CrossRef]
- Schaller, B. Brain Tumor and Seizures: Pathophysiology and its Implications for Treatment Revisited (Epilepsia, 2003; 44: 1223–1232). Epilepsia 2006, 47, 661–664. [Google Scholar] [CrossRef] [PubMed]
- Gadot, R.; Khan, A.B.; Patel, R.; Goethe, E.; Shetty, A.; Hadley, C.C.; Bayley, J.C.V.; Harmanci, A.S.; Klisch, T.J.; Yoshor, D.; et al. Predictors of postoperative seizure outcome in supratentorial meningioma. J. Neurosurg. 2021, 10, 515–524. [Google Scholar] [CrossRef] [PubMed]
- Brokinkel, B.; Hinrichs, F.L.; Schipmann, S.; Grauer, O.; Sporns, P.B.; Adeli, A.; Brokinkel, C.; Hess, K.; Paulus, W.; Stummer, W.; et al. Predicting postoperative seizure development in meningiomas—Analyses of clinical, histological and radiological risk factors. Clin. Neurol. Neurosurg. 2021, 200, 106315. [Google Scholar] [CrossRef]
- Hess, K.; Spille, D.C.; Adeli, A.; Sporns, P.B.; Brokinkel, C.; Grauer, O.; Mawrin, C.; Stummer, W.; Paulus, W.; Brokinkel, B. Brain invasion and the risk of seizures in patients with meningioma. J. Neurosurg. 2018, 130, 789–796. [Google Scholar] [CrossRef]
- Maschio, M.; Pauletto, G.; Zarabla, A.; Maialetti, A.; Ius, T.; Villani, V.; Fabi, A.; Koudriavtseva, T.; Giannarelli, D. Perampanel in patients with brain tumor-related epilepsy in real-life clinical practice: A retrospective analysis. Int. J. Neurosci. 2019, 129, 593–597. [Google Scholar] [CrossRef]
- Nilo, A.; Pauletto, G.; Gigli, G.L.; Vogrig, A.; Dolso, P.; Valente, M. Perampanel as add-on therapy in epilepsies with known etiology: A single center experience with long-term follow-up. Epilepsy Behav. Rep. 2020, 15, 100393. [Google Scholar] [CrossRef]
- Glantz, M.J.; Cole, B.F.; Forsyth, P.A.; Recht, L.D.; Wen, P.Y.; Chamberlain, M.C.; Grossman, S.A.; Cairncross, J.G. Practice parameter: Anticonvulsant prophylaxis in patients with newly diagnosed brain tumors. Report of the Quality Standards Subcommittee of the American Academy of Neurology. Neurology 2000, 54, 1886–1893. [Google Scholar] [CrossRef]
- Baumgarten, P.; Sarlak, M.; Monden, D.; Spyrantis, A.; Bernatz, S.; Gessler, F.; Dubinski, D.; Hattingen, E.; Marquardt, G.; Strzelczyk, A.; et al. Early and Late Postoperative Seizures in Meningioma Patients and Prediction by a Recent Scoring System. Cancers 2021, 13, 450. [Google Scholar] [CrossRef] [PubMed]
- Zheng, Z.; Chen, P.; Fu, W.; Zhu, J.; Zhang, H.; Shi, J.; Zhang, J. Early and late postoperative seizure outcome in 97 patients with supratentorial meningioma and preoperative seizures: A retrospective study. J. Neurooncol. 2013, 114, 101–109. [Google Scholar] [CrossRef] [PubMed]

| Variables | |
| No. of patients | 358 |
| Gender, n (%) Male Female | 115 (32.1) 243 (67.9) |
| Age, (years) Mean (±SD) Range Age subclasses, n (%) 20–29 y 30–39 y 40–49 y 50–59 y 60–69 y 70–79 y ≥80 y | 62.1 (±13.1) 23–90 2 (0.5) 16 (4.5) 46 (12.8) 82 (22.9) 96 (26.8) 92 (25.7) 24 (6.8) |
| Pre-operative KPS, Mean (±SD) | 92.8 (20–100) |
| Onset symptoms, n (%) Seizures Other neurological symptoms No symptoms (incidental meningiomas) | 73 (20.4) 226 (63.1) 59 (16.5) |
| Tumor Side, n (%) Right Left Midline | 159 (44.4) 160 (44.7) 39 (10.9) |
| Tumor Location, n (%) Skull base Non-skull base (convexity) | 148 (41.3) 210 (58.7) |
| Pre-operative tumor volume (T1-weighted MRI images–cm3) Mean Range | 20.7 1–128 |
| Pre-operative peritumoral edema volume (T2-weighted MRI images–cm3) Mean Range | 22.9 1–227 |
| Type of Resection, n (%) Gross Total Resection (I, II) Subtotal Resection (III, IV) | 283 (79.1) 75 (20.9) |
| Histological Grade, n (%) WHO grade I WHO grade II WHO grade III | 302 (84.4) 50 (13.9) 6 (1.7) |
| Molecular aspects Ki67, mean (±SD) Mitotic index, mean (±SD) Brain Invasion, n (%) | 4.7 (±6.2) 1.81 (±4.8) 23 (6.5) |
| Post-operative radiotherapy, n (%) Yes No | 12 (3.3) 346 (96.7) |
| Post-operative neurological deficit 1 week after surgery, n (%) Yes No | 113 (32) 245 (68) |
| Post-operative neurological deficit at 6 months, n (%) Yes No | 41 (11.9) 317 (88.1) |
| Variables | |
| No. of patients | 73 |
| Gender, n (%) Male Female | 30 (41.1) 43 (58.9) |
| Age, (years) Mean (±SD) Range Age subclasses, n (%) 20–29 y 30–39 y 40–49 y 50–59 y 60–69 y 70–79 y >80 y | 56 (±10.1) 39–87 0 (0) 6 (8.2) 13 (17.8) 22 (30.1) 19 (26.1) 10 (13.7) 3 (4.1) |
| Seizure frequency, n (%) Single Multiple | 45 (61.6) 28 (38.4) |
| Seizure onset, n (%) Focal seizures Focal to bilateral tonic–clonic seizures | 28 (38.4) 45 (61.6) |
| Seizure type, n (%) Motor Non-motor Somato-sensitive Cognitive Autonomic Affective | 58 (79.5) 15 (20.5) 10 (13.7) 2 (2.7) 2 (2.7) 1 (1.4) |
| Pre-operative EEG features, n (%) Normal activity Slow activity Epileptiform activity | 36 (49.4) 21 (28.7) 16 (21.9) |
| ASMs regimen, n (%) Monotherapy Polytherapy | 67 (91.7) 6 (8.3) |
| ASMs, n (%) Levetiracetam Carbamazepine Valproic acid Perampanel | 55 (82.1) 7 (10.4) 5 (7.5) 6 (8.3) |
| Variables | Onset without Seizures | Onset with Seizures | p-Value |
|---|---|---|---|
| n = 285 | n = 73 | ||
| Age, median (IQR) | 66 (53–74) | 56 (49–67) | 0.001 |
| Female, n (%) Male, n (%) | 200 (70.2) 85 (29.8) | 43 (58.9) 30 (41.1) | 0.07 |
| Pre-operative KPS, median (IQR) | 100 (90–100) | 90 (90–100) | 0.002 |
| Post-operative KPS at 6 months, median (IQR) | 100 (90–100) | 100 (90–100) | 0.89 |
| Tumor Side, n (%) Right Left Midline | 123 (43.5) 129 (45.6) 31 (10.9) | 36 (49.3) 31 (42.5) 6 (8.2) | 0.61 |
| Tumor Location, n (%) Non-skull base (convexity) Skull base | 157 (55.1) 128 (44.9) | 53 (72.6) 20 (27.4) | <0.001 |
| Simpson Grade, n (%) Grade 1–2 Grade 3–4 | 218 (76.5) 67 (23.5) | 65 (89.0) 8 (11.0) | 0.02 |
| Pre-operative neurological deficit, n (%) | 152 (53.3) | 27 (37.0) | 0.01 |
| Post-operative neurological deficit (6 months), n (%) | 83 (32.1) | 21 (28.7) | 0.91 |
| Histological grade, n (%) WHO grade I WHO grade II WHO grade III | 246 (86.3) 33 (11.6) 6 (2.1) | 56 (76.7) 16 (21.9) 1 (1.4) | 0.06 |
| Molecular aspects Ki67, median (IQR) Mitotic index, median (IQR) Brain invasion, n (%) | 3 (2–5) 1 (0–2) 17 (6.0) | 3 (2–5) 1 (0–2) 6 (8.2) | 0.82 0.59 0.43 |
| Pre-operative tumor volume, median (T1) (IQR) | 20.6 (9.1–39.7) | 20.8 (9.1–45.3) | 0.70 |
| Peri-tumoral Edema (T2), n (%) | 122/271 (42.8) | 56/71 (76.7) | <0.001 |
| Disease progression, n (%) | 23 (8.1) | 6 (8.2) | 0.97 |
| Variable | Univariate Analysis | Multivariate Analysis | ||||
|---|---|---|---|---|---|---|
| OR | 95% CI | p-Value | OR | 95% CI | p-Value | |
| Female | 0.61 | 0.36–1.04 | 0.067 | |||
| Age | 0.97 | 0.95–0.99 | 0.003 | 0.95 | 0.93–0.97 | <0.001 |
| Pre-operative KPS | 0.98 | 0.96–1.00 | 0.109 | |||
| Tumor Side Left vs. Right | 0.82 | 0.48, 1.41 | 0.474 | |||
| Tumor Location Skull-base vs. convexity MCF vs. PCF | 0.06 29.57 | 0.01–0.48 3.44–254.08 | 0.007 0.002 | 0.08 17.05 | 0.01–0.62 1.86–155.94 | 0.016 0.012 |
| Simpson Grade 3 + 4 vs. 1 + 2 | 0.40 | 0.18–0.88 | 0.022 | |||
| WHO Grade Grade II vs. Grade I | 2.17 | 1.12–4.22 | 0.022 | |||
| Pre-operative tumor volume | 1.00 | 0.99–1.01 | 0.814 | |||
| Pre-operative peritumoral Edema | 4.56 | 2.46–8.46 | <0.001 | 5.28 | 2.62–10.61 | <0.001 |
| Pre-operative neurological deficit | 0.51 | 0.30–0.87 | 0.014 | 0.75 | 0.42–1.37 | 0.352 |
| Variables | At 12 Months | At 24 Months | ||||
|---|---|---|---|---|---|---|
| Engel Class Ia (n = 64) | Engel Class > Ia (n = 9) | p-Value | Engel Class Ia (n = 60) | Engel Class > Ia (n = 8) | p-Value | |
| Female, n (%) Male, n (%) | 38 (59.3) 26 (40.7) | 5 (55.5) 4 (44.5) | 0.96 | 36 (60.0) 24 (40.0) | 5 (62.5) 3 (37.5) | 0.98 |
| Age, median (IQR) | 57 (48–68) | 56 (50–66) | 0.77 | 56 (47.5–66.5) | 56 (50–69) | 0.79 |
| Tumor Side, n (%) Right Left Midline | 33 (51.5) 27 (42.3) 4 (6.2) | 4 (44.4) 2 (22.2) 3 (33.3) | 0.05 | 30 (50.0) 27 (45.0) 3 (5.0) | 4 (50.0) 2 (25.0) 2 (25.0) | 0.05 |
| Tumor Location Non-skull base (Convexity) Skull base | 48 (75.0) 16 (25.0) | 4 (44.4) 5 (55.6) | 0.04 | 45 (75.0) 15 (25.0) | 4 (50.0) 4 (50.0) | 0.04 |
| Simpson Grade Grade 1–2 Grade 3–4 | 59 (92.2) 5 (7.8) | 6 (66.7) 3 (33.3) | 0.06 | 55 (91.7) 5 (8.3) | 6 (75.0) 2 (25.0) | 0.06 |
| Pre-operative tumor volume, median (IQR) | 21.4 (9.1–34.9) | 25.1 (10.2–63.3) | 0.66 | 20.8 (9.0–44.8) | 33.5 (15.0–45.4) | 0.35 |
| Seizure type, n (%) Focal seizures Focal to bilateral tonic-clonic seizures | 25 (39.1) 39 (60.9) | 4 (44.4) 5 (55.6) | 1.00 | 23 (38.3) 37 (61.7) | 3 (37.5) 5 (62.5) | 1.00 |
| Seizure frequency, n (%) Single seizure Multiple seizures | 40 (62.5) 24 (37.5) | 4 (44.4) 5 (55.6) | 0.30 | 37 (61.7) 23 (38.3) | 5 (62.5) 3 (37.5) | 1.00 |
| Motor seizures, n (%) | 52 (81.2) | 6 (66.7) | 0.39 | 48 (80.0) | 5 (62.5) | 0.36 |
| ASMs regimen, n (%) Monotherapy Polytherapy | 63 (98.4) 1 (1.6%) | 7 (77.8) 2 (22.2) | 0.03 | 59 (98.3) 1 (1.7) | 1 (12.5) 7 (87.5) | 0.04 |
Disclaimer/Publisher’s Note: The statements, opinions and data contained in all publications are solely those of the individual author(s) and contributor(s) and not of MDPI and/or the editor(s). MDPI and/or the editor(s) disclaim responsibility for any injury to people or property resulting from any ideas, methods, instructions or products referred to in the content. |
© 2023 by the authors. Licensee MDPI, Basel, Switzerland. This article is an open access article distributed under the terms and conditions of the Creative Commons Attribution (CC BY) license (https://creativecommons.org/licenses/by/4.0/).
Share and Cite
Pauletto, G.; Nilo, A.; Pez, S.; Zonta, M.E.; Bagatto, D.; Isola, M.; Verriello, L.; Valente, M.; Skrap, M.; Ius, T. Meningioma-Related Epilepsy: A Happy Ending? J. Pers. Med. 2023, 13, 1124. https://doi.org/10.3390/jpm13071124
Pauletto G, Nilo A, Pez S, Zonta ME, Bagatto D, Isola M, Verriello L, Valente M, Skrap M, Ius T. Meningioma-Related Epilepsy: A Happy Ending? Journal of Personalized Medicine. 2023; 13(7):1124. https://doi.org/10.3390/jpm13071124
Chicago/Turabian StylePauletto, Giada, Annacarmen Nilo, Sara Pez, Maria Elisa Zonta, Daniele Bagatto, Miriam Isola, Lorenzo Verriello, Mariarosaria Valente, Miran Skrap, and Tamara Ius. 2023. "Meningioma-Related Epilepsy: A Happy Ending?" Journal of Personalized Medicine 13, no. 7: 1124. https://doi.org/10.3390/jpm13071124
APA StylePauletto, G., Nilo, A., Pez, S., Zonta, M. E., Bagatto, D., Isola, M., Verriello, L., Valente, M., Skrap, M., & Ius, T. (2023). Meningioma-Related Epilepsy: A Happy Ending? Journal of Personalized Medicine, 13(7), 1124. https://doi.org/10.3390/jpm13071124

