Pituitary Enlargement and Hypopituitarism in Patients Treated with Immune Checkpoint Inhibitors: Two Sides of the Same Coin?
Abstract
1. Introduction
2. Materials and Methods
- diagnosis of IIH;
- age of 18 years or older;
- availability of serum collected at the time of the IIH diagnosis.
2.1. Diagnosis of IIH and ICI Induced Hypopituitarism
2.2. Endocrine Assessment
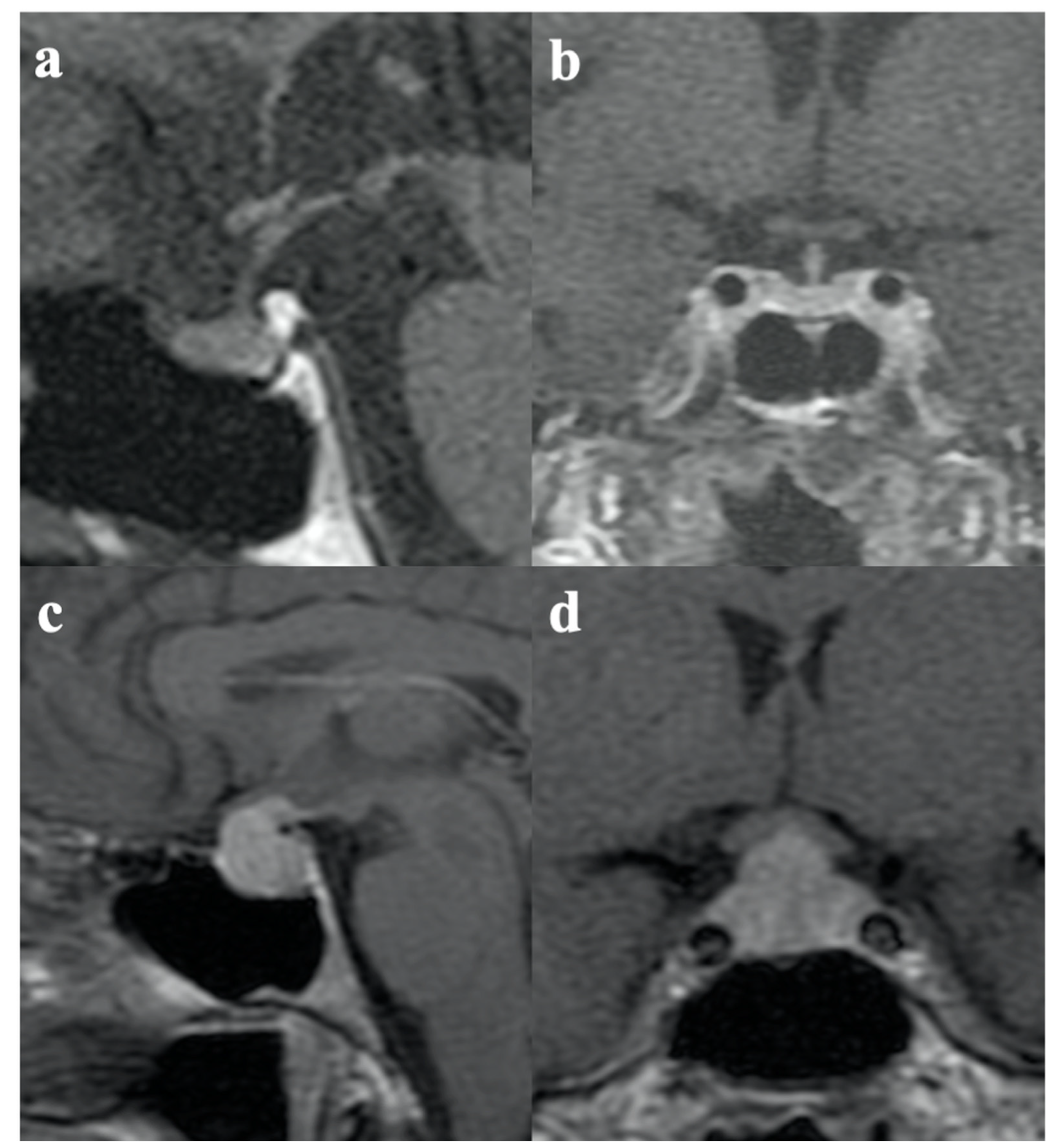
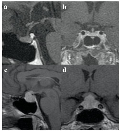
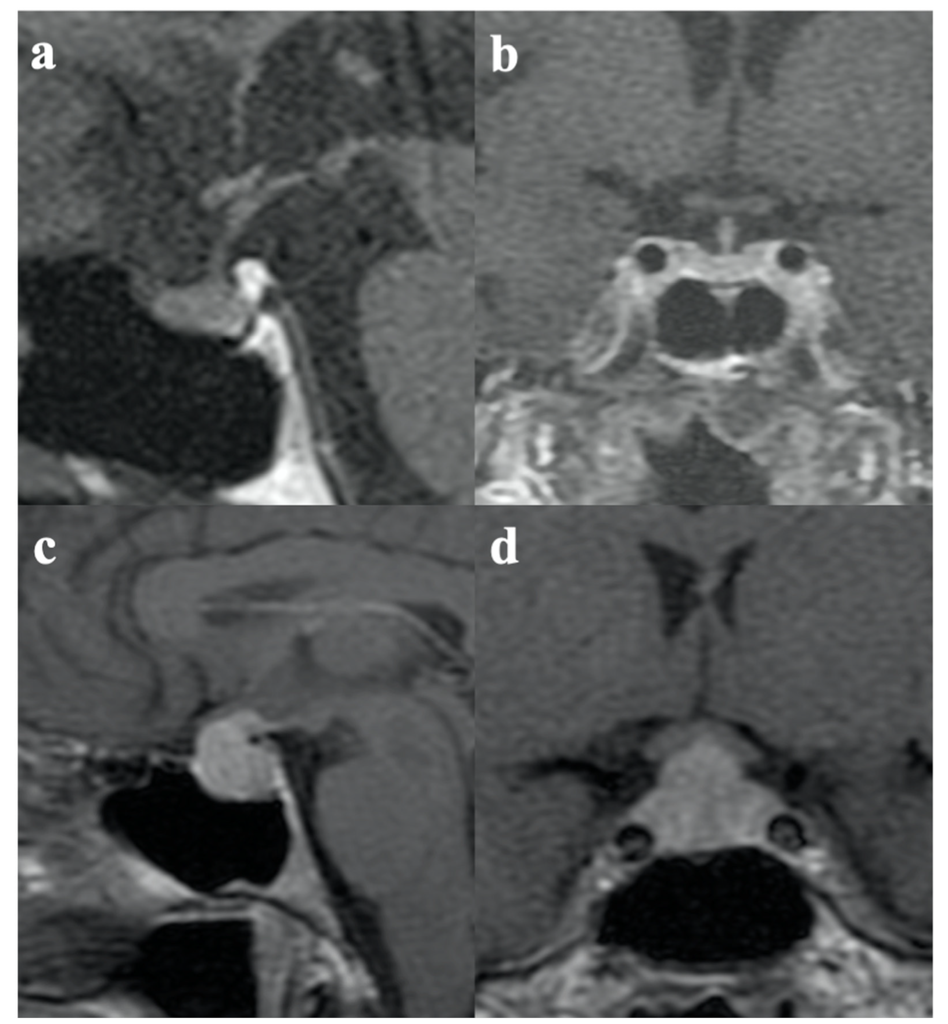
2.3. Neuroradiological Assessments
- Adenohypophysitis (AH) in cases with involvement of the anterior pituitary (pituitary enlargement) and without signs of involvement of the posterior pituitary.
- Infundibulo-neurohypophysitis (INH) in cases with signs of infundibulum, pituitary stalk, and posterior pituitary involvement (thickness of the pituitary stalk and absence of the posterior pituitary bright spot on T1w images) without involvement of the adeno-pituitary.
- Panhypophysitis (PH) in cases with involvement of the anterior pituitary, posterior pituitary, pituitary stalk, and infundibulum.
2.4. Immunofluorescence Technique for Anti-Pituitary and Anti-Hypothalamus Antibodies Detection
3. Results
4. Discussion
5. Conclusions
Author Contributions
Funding
Institutional Review Board Statement
Informed Consent Statement
Data Availability Statement
Conflicts of Interest
References
- Albarel, F.; Gaudy, C.; Castinetti, F.; Carré, T.; Morange, I.; Conte-Devolx, B.; Grob, J.-J.; Brue, T. Long-term follow-up of ipilimumab-induced hypophysitis, a common adverse event of the anti-CTLA-4 antibody in melanoma. Eur. J. Endocrinol. 2015, 172, 195–204. [Google Scholar] [CrossRef] [PubMed]
- Faje, A.T.; Sullivan, R.; Lawrence, D.; Tritos, N.A.; Fadden, R.; Klibanski, A.; Nachtigall, L. Ipilimumab-Induced Hypophysitis: A Detailed Longitudinal Analysis in a Large Cohort of Patients with Metastatic Melanoma. J. Clin. Endocrinol. Metab. 2014, 99, 4078–4085. [Google Scholar] [CrossRef] [PubMed]
- Chang, L.-S.; Barroso-Sousa, R.; Tolaney, S.M.; Hodi, F.S.; Kaiser, U.B.; Min, L. Endocrine Toxicity of Cancer Immunotherapy Targeting Immune Checkpoints. Endocr. Rev. 2019, 40, 17–65. [Google Scholar] [CrossRef] [PubMed]
- Takahashi, Y. Onco-immuno-endocrinology: An emerging concept that links tumor, autoimmunity, and endocrine disease. Best Pract. Res. Clin. Endocrinol. Metab. 2022, 36, 101666. [Google Scholar] [CrossRef] [PubMed]
- Dillard, T.; Yedinak, C.G.; Alumkal, J.; Fleseriu, M. Anti-CTLA-4 antibody therapy associated autoimmune hypophysitis: Serious immune related adverse events across a spectrum of cancer subtypes. Pituitary 2010, 13, 29–38. [Google Scholar] [CrossRef]
- Di Dalmazi, G.; Ippolito, S.; Lupi, I.; Caturegli, P. Hypophysitis induced by immune checkpoint inhibitors: A 10-year assessment. Expert Rev. Endocrinol. Metab. 2019, 14, 381–398. [Google Scholar] [CrossRef]
- Iwama, S.; De Remigis, A.; Callahan, M.K.; Slovin, S.F.; Wolchok, J.D.; Caturegli, P. Pituitary Expression of CTLA-4 Mediates Hypophysitis Secondary to Administration of CTLA-4 Blocking Antibody. Sci. Transl. Med. 2014, 6, 230ra45. [Google Scholar] [CrossRef]
- Wright, J.J.; Johnson, D.B. Approach to the Patient with Immune Checkpoint Inhibitor—Associated Endocrine Dysfunction. J. Clin. Endocrinol. Metab. 2022. [Google Scholar] [CrossRef]
- Jessel, S.; Weiss, S.A.; Austin, M.; Mahajan, A.; Etts, K.; Zhang, L.; Aizenbud, L.; Perdigoto, A.L.; Hurwitz, M.; Sznol, M.; et al. Immune Checkpoint Inhibitor-Induced Hypophysitis and Patterns of Loss of Pituitary Function. Front. Oncol. 2022, 12, 836859. [Google Scholar] [CrossRef]
- Langlois, F.; Varlamov, E.V.; Fleseriu, M. Hypophysitis, the Growing Spectrum of a Rare Pituitary Disease. J. Clin. Endocrinol. Metab. 2022, 107, 10–28. [Google Scholar] [CrossRef]
- Snyders, T.; Chakos, D.; Swami, U.; Latour, E.; Chen, Y.; Fleseriu, M.; Milhem, M.; Zakharia, Y.; Zahr, R. Ipilimumab-induced hypophysitis, a single academic center experience. Pituitary 2019, 22, 488–496. [Google Scholar] [CrossRef] [PubMed]
- Barroso-Sousa, R.; Barry, W.T.; Garrido-Castro, A.C.; Hodi, F.S.; Min, L.; Krop, I.E.; Tolaney, S.M. Incidence of Endocrine Dysfunction Following the Use of Different Immune Checkpoint Inhibitor Regimens. JAMA Oncol. 2018, 4, 173–182. [Google Scholar] [CrossRef] [PubMed]
- Angelousi, A.; Chatzellis, E.; Kaltsas, G. New Molecular, Biological, and Immunological Agents Inducing Hypophysitis. Neuroendocrinology 2018, 106, 89–100. [Google Scholar] [CrossRef] [PubMed]
- Abdel-Rahman, O.; El Halawani, H.; Fouad, M. Risk of endocrine complications in cancer patients treated with immune check point inhibitors: A meta-analysis. Future Oncol. 2016, 12, 413–425. [Google Scholar] [CrossRef]
- Park, B.C.; Jung, S.; Wright, J.J.; Johnson, D.B. Recurrence of Hypophysitis After Immune Checkpoint Inhibitor Rechallenge. Oncologist 2022, 27, e967–e969. [Google Scholar] [CrossRef]
- Johnson, D.B.; Nebhan, C.A.; Moslehi, J.J.; Balko, J.M. Immune-checkpoint inhibitors: Long-term implications of toxicity. Nat. Rev. Clin. Oncol. 2022, 19, 254–267. [Google Scholar] [CrossRef]
- Caturegli, P.; Newschaffer, C.; Olivi, A.; Pomper, M.G.; Burger, P.C.; Rose, N.R. Autoimmune Hypophysitis. Endocr. Rev. 2005, 26, 599–614. [Google Scholar] [CrossRef]
- Chiloiro, S.; Capoluongo, E.D.; Tartaglione, T.; Giampietro, A.; Bianchi, A.; Giustina, A.; Pontecorvi, A.; De Marinis, L. The Changing Clinical Spectrum of Hypophysitis. Trends Endocrinol. Metab. 2019, 30, 590–602. [Google Scholar] [CrossRef]
- Fleseriu, M.; Hashim, I.A.; Karavitaki, N.; Melmed, S.; Murad, M.H.; Salvatori, R.; Samuels, M.H. Hormonal Replacement in Hypopituitarism in Adults: An Endocrine Society Clinical Practice Guideline. J. Clin. Endocrinol. Metab. 2016, 101, 3888–3921. [Google Scholar] [CrossRef]
- Tartaglione, T.; Chiloiro, S.; Laino, M.E.; Giampietro, A.; Gaudino, S.; Zoli, A.; Bianchi, A.; Pontecorvi, A.; Colosimo, C.; De Marinis, L. Neuro-radiological features can predict hypopituitarism in primary autoimmune hypophysitis. Pituitary 2018, 21, 414–424. [Google Scholar] [CrossRef]
- Chiloiro, S.; Tartaglione, T.; Angelini, F.; Bianchi, A.; Arena, V.; Giampietro, A.; Mormando, M.; Sciandra, M.; Laino, M.E.; De Marinis, L. An Overview of Diagnosis of Primary Autoimmune Hypophysitis in a Prospective Single-Center Experience. Neuroendocrinology 2017, 104, 280–290. [Google Scholar] [CrossRef] [PubMed]
- Chiloiro, S.; Giampietro, A.; Angelini, F.; Arena, V.; Stigliano, E.; Tartaglione, T.; Mattogno, P.P.; D’Alessandris, Q.G.; Lauretti, L.; Pontecorvi, A.; et al. Markers of humoral and cell-mediated immune response in primary autoimmune hypophysitis: A pilot study. Endocrine 2021, 73, 308–315. [Google Scholar] [CrossRef] [PubMed]
- Goudie, R.B.; Pinkerton, P.H. Anterior hypophysitis and hashimoto’s disease in a young woman. J. Pathol. Bacteriol. 1962, 83, 584–585. [Google Scholar] [CrossRef] [PubMed]
- Lupi, I.; Brancatella, A.; Cosottini, M.; Viola, N.; Lanzolla, G.; Sgrò, D.; Di Dalmazi, G.; Latrofa, F.; Caturegli, P.; Marcocci, C. Clinical heterogeneity of hypophysitis secondary to PD-1/PD-L1 blockade: Insights from four cases. Endocrinol. Diabetes Metab. Case Rep. 2019, 2019, 19–0102. [Google Scholar] [CrossRef]
- Faje, A.T.; Lawrence, D.; Flaherty, K.; Rn, C.F.; Fadden, R.; Rubin, K.; Cohen, J.; Sullivan, R.J. High-dose glucocorticoids for the treatment of ipilimumab-induced hypophysitis is associated with reduced survival in patients with melanoma. Cancer 2018, 124, 3706–3714. [Google Scholar] [CrossRef]
- Min, L.; Hodi, F.S.; Giobbie-Hurder, A.; Ott, P.A.; Luke, J.J.; Donahue, H.; Davis, M.; Carroll, R.S.; Kaiser, U.B. Systemic high-dose corticosteroid treatment does not improve the outcome of ipilimumab-related hypophysitis: A retrospective cohort study. Cancer Res. Commun. 2015, 21, 740–755. [Google Scholar] [CrossRef] [PubMed]
- Husebye, E.S.; Castinetti, F.; Criseno, S.; Curigliano, G.; Decallonne, B.; Fleseriu, M.; Higham, C.E.; Lupi, I.; Paschou, S.A.; Toth, M.; et al. Endocrine-related adverse conditions in patients receiving immune checkpoint inhibition: An ESE clinical practice guideline. Eur. J. Endocrinol. 2022, 187, G1–G21. [Google Scholar] [CrossRef]
- Siewe, N.; Friedman, A. Optimal timing of steroid initiation in response to CTLA-4 antibody in metastatic cancer: A mathematical model. PLoS ONE 2022, 17, e0277248. [Google Scholar] [CrossRef]
- Byun, D.J.; Wolchok, J.D.; Rosenberg, L.M.; Girotra, M. Cancer immunotherapy—Immune checkpoint blockade and associated endocrinopathies. Nat. Rev. Endocrinol. 2017, 13, 195–207. [Google Scholar] [CrossRef]
- Faje, A.T. Immunotherapy and hypophysitis: Clinical presentation, treatment, and biologic insights. Pituitary 2016, 19, 82–92. [Google Scholar] [CrossRef]
- Amereller, F.; Deutschbein, T.; Joshi, M.; Schopohl, J.; Schilbach, K.; Detomas, M.; Duffy, L.; Carroll, P.; Papa, S.; Störmann, S. Differences between immunotherapy-induced and primary hypophysitis—A multicenter retrospective study. Pituitary 2022, 25, 152–158. [Google Scholar] [CrossRef] [PubMed]
- Ryder, M.; Callahan, M.; Postow, M.A.; Wolchok, J.; Fagin, J.A. Endocrine-related adverse events following ipilimumab in patients with advanced melanoma: A comprehensive retrospective review from a single institution. Endocr.-Relat. Cancer 2014, 21, 371–381. [Google Scholar] [CrossRef] [PubMed]
- Labadzhyan, A.; Wentzel, K.; Hamid, O.; Chow, K.; Kim, S.; Piro, L.; Melmed, S. Endocrine Autoantibodies Determine Immune Checkpoint Inhibitor-induced Endocrinopathy: A Prospective Study. J. Clin. Endocrinol. Metab. 2022, 107, 1976–1982. [Google Scholar] [CrossRef] [PubMed]
- Kotwal, A.; Rouleau, S.G.; Dasari, S.; Kottschade, L.; Ryder, M.; Kudva, Y.C.; Markovic, S.; Erickson, D. Immune checkpoint inhibitor-induced hypophysitis: Lessons learnt from a large cancer cohort. J. Investig. Med. 2022, 70, 939–946. [Google Scholar] [CrossRef]
- Slovin, S. Emerging treatments in management of prostate cancer: Biomarker validation and endpoints for immunotherapy clinical trial design. ImmunoTargets Ther. 2013, 3, 1–8. [Google Scholar] [CrossRef]
- Scott, E.S.; Long, G.V.; Guminski, A.; Clifton-Bligh, R.J.; Menzies, A.M.; Tsang, V.H. The spectrum, incidence, kinetics and management of endocrinopathies with immune checkpoint inhibitors for metastatic melanoma. Eur. J. Endocrinol. 2018, 178, 173–180. [Google Scholar] [CrossRef]
- Caturegli, P.; Di Dalmazi, G.; Lombardi, M.; Grosso, F.; Larman, H.B.; Larman, T.; Taverna, G.; Cosottini, M.; Lupi, I. Hypophysitis Secondary to Cytotoxic T-Lymphocyte–Associated Protein 4 Blockade. Am. J. Pathol. 2016, 186, 3225–3235. [Google Scholar] [CrossRef]
- Chye, A.; Allen, I.; Barnet, M.; Burnett, D.L. Insights into the Host Contribution of Endocrine Associated Immune-Related Adverse Events to Immune Checkpoint Inhibition Therapy. Front. Oncol. 2022, 12, 894015. [Google Scholar] [CrossRef]
- Kobayashi, T.; Iwama, S.; Sugiyama, D.; Yasuda, Y.; Okuji, T.; Ito, M.; Ito, S.; Sugiyama, M.; Onoue, T.; Takagi, H.; et al. Anti-pituitary antibodies and susceptible human leukocyte antigen alleles as predictive biomarkers for pituitary dysfunction induced by immune checkpoint inhibitors. J. Immunother. Cancer 2021, 9, e002493. [Google Scholar] [CrossRef]
- Kanie, K.; Iguchi, G.; Bando, H.; Urai, S.; Shichi, H.; Fujita, Y.; Matsumoto, R.; Suda, K.; Yamamoto, M.; Fukuoka, H.; et al. Mechanistic insights into immune checkpoint inhibitor-related hypophysitis: A form of paraneoplastic syndrome. Cancer Immunol. Immunother. 2021, 70, 3669–3677. [Google Scholar] [CrossRef]
- Bando, H.; Kanie, K.; Takahashi, Y. Paraneoplastic autoimmune hypophysitis: An emerging concept. Best Pract. Res. Clin. Endocrinol. Metab. 2022, 36, 101601. [Google Scholar] [CrossRef] [PubMed]
- Takahashi, Y. The novel concept of “Onco-Immuno-Endocrinology” led to the discovery of new clinical entity “paraneoplastic autoimmune hypophysitis”. Best Pract. Res. Clin. Endocrinol. Metab. 2022, 36, 101663. [Google Scholar] [CrossRef] [PubMed]
- Lin, S.-H.; Zhang, A.; Li, L.-Z.; Zhao, L.-C.; Wu, L.-X.; Fang, C.-T. Isolated adrenocorticotropic hormone deficiency associated with sintilimab therapy in a patient with advanced lung adenocarcinoma: A case report and literature review. BMC Endocr. Disord. 2022, 22, 239. [Google Scholar] [CrossRef] [PubMed]
- Yamamoto, M.; Iguchi, G.; Bando, H.; Kanie, K.; Hidaka-Takeno, R.; Fukuoka, H.; Takahashi, Y. Autoimmune Pituitary Disease: New Concepts with Clinical Implications. Endocr. Rev. 2020, 41, 261–272. [Google Scholar] [CrossRef] [PubMed]



| Tumor | TNM | Immunotherapy | Adverse Events/Grade | Pituitary Dysfunction | Pituitary MRI | Management/ Prescription | |
|---|---|---|---|---|---|---|---|
| Pt1 | Melanoma | T3bN3M1a | Ipilimumab 3 mg/kg | Asthenia (G1) Diarrhoea (G2) | Central hypoadrenalism | Hypophysitis | Oral hydrocortisone |
| Pt2 | Melanoma | T4bN1bM1b | Ipilimumab 3 mg/kg | Asthenia (G1) Fever (G3) | Central hypoadrenalism | Hypophysitis | Oral hydrocortisone |
| Pt3 | Melanoma | T2bN1acMx | Ipilimumab 3 mg/kg | Asthenia (G1) Hypovolemic shock (G3) | Central hypoadrenalism | Normal | I.V. hydrocortisone ICI withdrawn |
| Pt4 | Melanoma | T3bN2bM1a | Nivolumab (240 mg every 15 days) | Asthenia (G1) | Central hypoadrenalism | Normal | Oral hydrocortisone |
| Pt5 | Melanoma | T3bN2bM1b | Nivolumab (240 mg every 15 days) | Asthenia (G1) Hypotension (G3) | Central hypoadrenalism | Normal | I.V. hydrocortisone ICI withdrawn |
| Pt6 | Lung adenocarcinoma | T3N3M1c | Nivolumab (240 mg every 15 days) | Asthenia (G1) | Central hypoadrenalism | Normal | Oral hydrocortisone |
| Pt7 | Kidney adenocarcinoma | T4N1Mo | Nivolumab (240 mg every 15 days) | Asthenia (G1) | Central hypoadrenalism | Normal | Oral hydrocortisone |
| Central Hypoadrenalism | |||
|---|---|---|---|
| with Pituitary Enlargement on MRI | with Normal MRI | p-Value | |
| Gender Female n, (%) Male n, (%) | 2 (66.7%) 0 | 1 (33.3%) 4 (100%) | 0.05 |
| Mean age at tumor diagnosis (SD) | 58 (22.6) | 62 (18.7) | 0.826 |
| Tumor type Melanoma n, (%) Kidney n, (%) Lung n, (%) | 2 (40%) 00 | 3 (60%) 1 (100%) 1 (100%) | 0.571 |
| Previous treatments None n, (%) Vemurafenib n, (%) | 0 (0%) 1 (50%) | 4 (100%) 1 (50%) | 0.333 |
| Type of immunotherapy Nivolumab n, (%) Ipililumab n, (%) | 2 (100%) | 5 (100%) 0 | 0.04 |
| Mean number of ICI administration (SD) | 3 (1) | 9 (7) | 0.394 |
| Mean age at central hypoadrenalism diagnosis (SD) | 58.5 (23.3) | 63.7 (18.3) | 0.774 |
| APA Positive n, (%) Negative n, (%) | 2 (50%) 0 (0%) | 2 (50%) 3 (100%) | 0.286 |
| AHA Positive n, (%) Negative n, (%) | 2 (33.3%) 0 (0%) | 4 (66.7%) 1 (100%) | 0.714 |
| Mean neutrophil count (SD) × 103/mcgL | 4.6 (3) | 5 (0.1) | 0.873 |
| Mean lymphocytic count (SD) × 103/mcgL | 1.96 (1.5) | 2.28 (0.7) | 0.808 |
| Mean neutrophil/lymphocytes ratio (SD) | 4.1 (4.7) | 2.3 (0.8) | 0.647 |
| Authors (Ref) | Gender | IIH-Diagnosed on MRI | IIH Diagnosed with Hypopituitarism | p-Value |
|---|---|---|---|---|
| Albarel et al. [1] | M | 8 (47%) | 9 (53%) | 0.613 |
| F | 4 (44.4%) | 5 (55.6%) | ||
| Faje et al. [2] | M | 15 (50%) | 15 (50%) | 0.999 |
| F | 2 (50%) | 2 (50%) | ||
| Min et al. [23] | M | 10 (34.5%) | 19 (65.5%) | 0.387 |
| F | 5 (45.4%) | 6 (54.6%) | ||
| Ryder et al. [32] | M | 5 (31.2%) | 11 (68.8%) | 0.873 |
| F | 4 (33.3%) | 8 (66.7%) | ||
| Study cohort | M | 0 | 4 (100%) | 0.05 |
| F | 2 (66.7%) | 1 (33.3%) | ||
| Whole cohort of patients | M | 43 (68.3%) | 68 (71.6%) | 0.392 |
| F | 20 (31.7%) | 27 (28.4%) |
| Authors (Ref.) | Year | Diagnosis | Number of Recruitment Centers | Study Duration (Months) | Immunotherapy Class | Number of Patients Enrolled | Number of IIH Diagnosed at MRI | Number of IIH Diagnosed Only with Hypopituitarism |
|---|---|---|---|---|---|---|---|---|
| Albarel et al. [1] | 2015 | Melanoma | 1 | 74 | anti-CTLA-4 | 131 | 12 (9%) | 14 (10.7%) |
| Faje et al. [2] | 2014 | Melanoma | 1 | 69 | anti-CTLA-4 | 144 | 17 (11.8%) | 17 (11.8%) |
| Jessel et al. [7] | 2022 | 1 | 48 | anti-CTLA-4 plus anti-PD1 Anti-PDL1 Anti-CTLA-4 | 490 | 23 (4.7%) * | 65 (13%) | |
| Min et al. [23] | 2015 | Melanoma | 1 | 66 | anti-CTLA-4 | 187 | 15 (8%) | 25 (13.4%) |
| Kotwal et al. [30] | 2022 | Various Melanoma | 1 | Around 24 | anti-PD1 | 656 | 16 (1.7%) § | 7 (1.1%) |
| anti-CTLA-4 plus anti-PD1 | 50 | 3 (6%) | ||||||
| anti-CTLA-4 | 120 | 8 (6.7%) | ||||||
| anti-CTLA-4 before/after anti-PD1 | 70 | 8 (11.4%) | ||||||
| Slovin et al. [9] | 2013 | Prostate cancer | 9 | 44 | anti-CTLA-4 | 71 | 1 (1.4%) | 3 (4.2%) |
| Scott et al. [31] | 2017 | Melanoma | 1 | 18 | anti-PD1 | 103 | 3 (4%) | 8 (10.8%) |
| anti-CTLA-4 plus anti-PD1 | 59 | |||||||
| anti-CTLA-4 | 15 | |||||||
| Ryder et al. [32] | 2014 | Melanoma | 1 | around 72 | anti-CTLA-4 | 211 | 9 (4.3%) | 19 (9%) |
Disclaimer/Publisher’s Note: The statements, opinions and data contained in all publications are solely those of the individual author(s) and contributor(s) and not of MDPI and/or the editor(s). MDPI and/or the editor(s) disclaim responsibility for any injury to people or property resulting from any ideas, methods, instructions or products referred to in the content. |
© 2023 by the authors. Licensee MDPI, Basel, Switzerland. This article is an open access article distributed under the terms and conditions of the Creative Commons Attribution (CC BY) license (https://creativecommons.org/licenses/by/4.0/).
Share and Cite
Chiloiro, S.; Giampietro, A.; Bianchi, A.; Menotti, S.; Angelini, F.; Tartaglione, T.; Antonini Cappellini, G.C.; De Galitiis, F.; Rossi, E.; Schinzari, G.; et al. Pituitary Enlargement and Hypopituitarism in Patients Treated with Immune Checkpoint Inhibitors: Two Sides of the Same Coin? J. Pers. Med. 2023, 13, 415. https://doi.org/10.3390/jpm13030415
Chiloiro S, Giampietro A, Bianchi A, Menotti S, Angelini F, Tartaglione T, Antonini Cappellini GC, De Galitiis F, Rossi E, Schinzari G, et al. Pituitary Enlargement and Hypopituitarism in Patients Treated with Immune Checkpoint Inhibitors: Two Sides of the Same Coin? Journal of Personalized Medicine. 2023; 13(3):415. https://doi.org/10.3390/jpm13030415
Chicago/Turabian StyleChiloiro, Sabrina, Antonella Giampietro, Antonio Bianchi, Sara Menotti, Flavia Angelini, Tommaso Tartaglione, Gian Carlo Antonini Cappellini, Federica De Galitiis, Ernesto Rossi, Giovanni Schinzari, and et al. 2023. "Pituitary Enlargement and Hypopituitarism in Patients Treated with Immune Checkpoint Inhibitors: Two Sides of the Same Coin?" Journal of Personalized Medicine 13, no. 3: 415. https://doi.org/10.3390/jpm13030415
APA StyleChiloiro, S., Giampietro, A., Bianchi, A., Menotti, S., Angelini, F., Tartaglione, T., Antonini Cappellini, G. C., De Galitiis, F., Rossi, E., Schinzari, G., Scoppola, A., Pontecorvi, A., De Marinis, L., & Fleseriu, M. (2023). Pituitary Enlargement and Hypopituitarism in Patients Treated with Immune Checkpoint Inhibitors: Two Sides of the Same Coin? Journal of Personalized Medicine, 13(3), 415. https://doi.org/10.3390/jpm13030415

