Nontrombotic Pulmonary Embolism: Different Etiology, Same Significant Consequences
Abstract
1. Introduction
2. Gas Pulmonary Embolism
2.1. Etiology
2.2. Pathophysiology
2.3. Diagnosis
2.4. Treatment
3. Fat Embolism
3.1. Incidence
3.2. Etiology
3.3. Pathogenesis
3.4. Clinical Findings
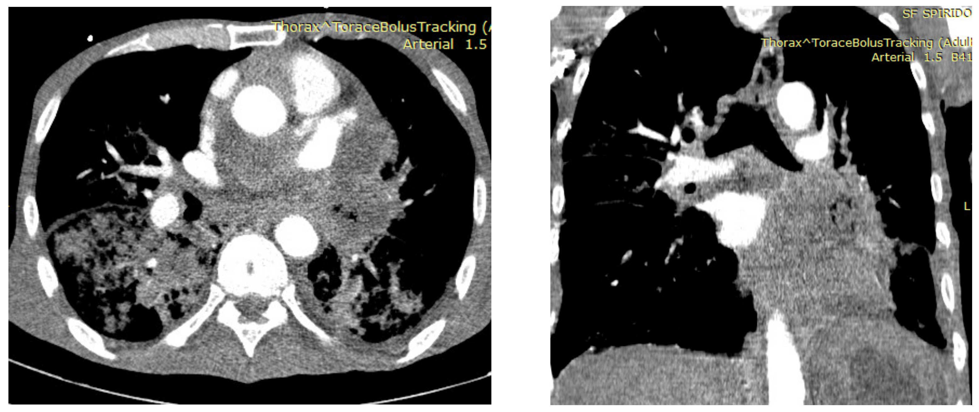
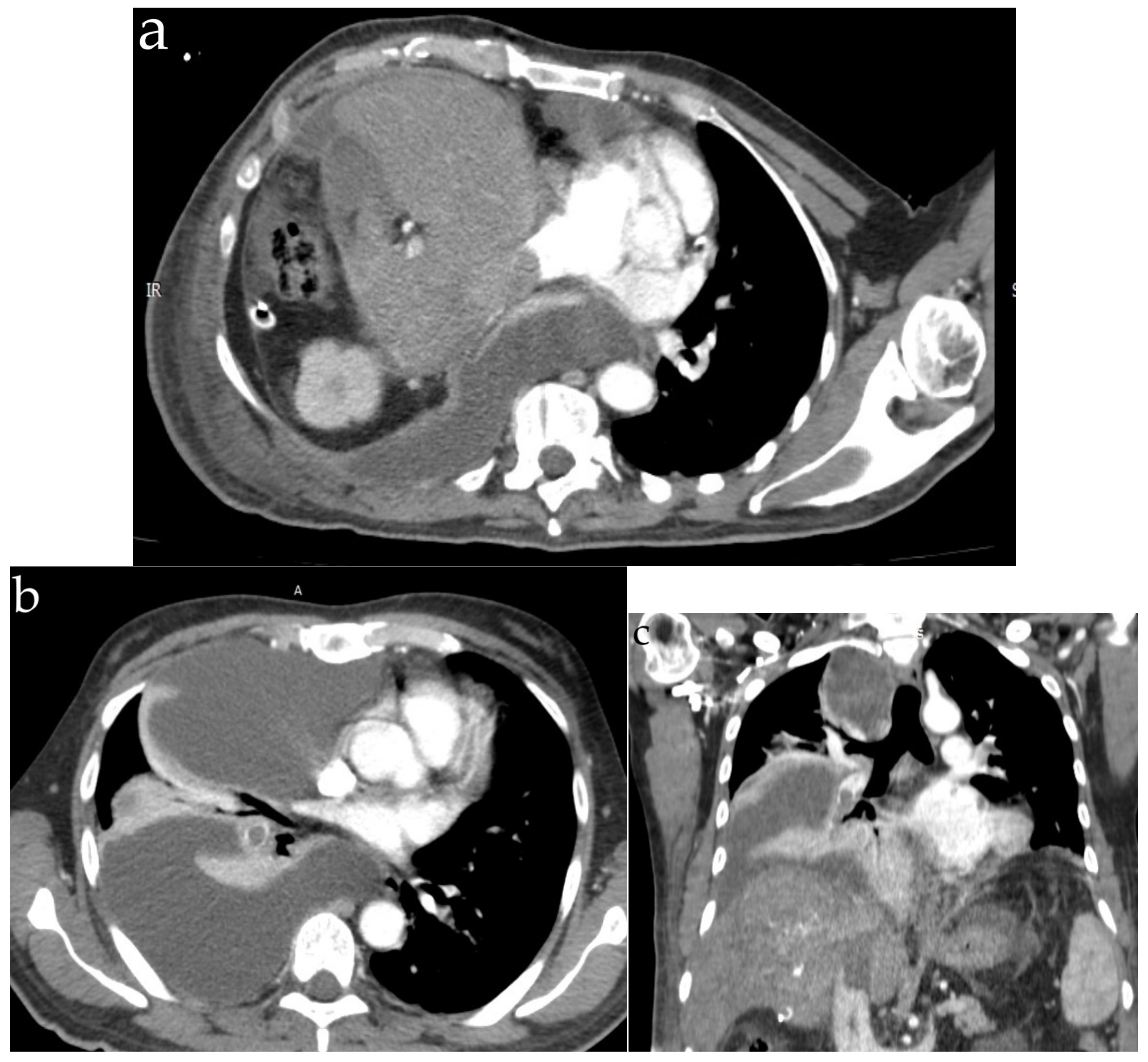
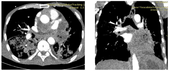
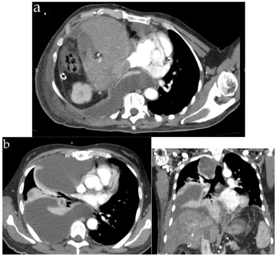
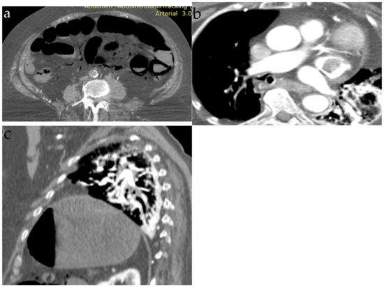
3.5. Imaging Findings
3.6. Treatment
4. Amniotic Fluid Embolism
- -
- Cesarean delivery with rates between 20–60% [71];
- -
- Rupture of the membrane in 78% of the women in a United States registry, with early onset of symptoms [72];
- -
- Maternal age around 33 years old [73];
- -
- Black race [74];
- -
- Multiparity;
- -
- Medical induction of labor [75];
- -
- Preexisting pathological conditions: placental abruption, placenta previa, eclampsia, uterine rupture, cervical lacerations [76];
- -
- Forceps or vacuum delivery [74]
4.1. Physiopathology
4.2. Diagnosis
4.3. Treatment
5. Septic Embolism
5.1. Etiology
5.2. Diagnosis
5.3. Treatment
6. Tumor Embolism
- -
- Type I also, called “true” tumor embolism, represents the embolization of the tumor through hematologic sending without invasions of the vessel walls;
- -
- Type II results from a tumor developing into the pulmonary artery;
- -
7. Other Forms of Pulmonary Embolism
- -
- Catheter fragments, stents, guide wires;
- -
- Dermal filler with silicone, hyaluronic acid or polyalkylimide [9];
- -
- Cyanoacrylate and lipiodol used for gastric varices embolization [12];
- -
- Polymethyl methacrylate cement from vertebroplasty or kyphoplasty;
- -
- Talc, cellulose or starch injected intravenously by drug users;
- -
- Mercury used very rarely in suicide attempts;
- -
- Iodized oil embolization—patients who have undergone lymphangiography or transcatheter chemoembolization with iodized oil (alternative treatment of hepatocellular carcinoma);
- -
- Liquid silicone used in cosmetic procedures;
- -
- Radioactive pills used in the treatment of prostate cancer;
- -
- Biosensors, devices implanted subcutaneously, used to generate, transmit and process biological signals, such as blood pressure, heart rate, respiratory signals or blood glucose levels [14].
8. Conclusions
Author Contributions
Funding
Institutional Review Board Statement
Informed Consent Statement
Data Availability Statement
Conflicts of Interest
References
- McCabe, B.E.; Veselis, C.A.; Goykhman, I.; Hochhold, J.; Eisenberg, D.; Son, H. Beyond pulmonary embolism; nonthrombotic pulmonary embolism as diagnostic challenges. Curr. Probl. Diagn. Radiol. 2019, 48, 387–392. [Google Scholar] [PubMed]
- Khashper, A.; Discepola, F.; Kosiuk, J.; Qanadli, S.D.; Mesurolle, B. Nonthrombotic pulmonary embolism. AJR Am. J. Roentgenol. 2012, 198, W152–W159. [Google Scholar] [CrossRef]
- Montagnana, M.; Cervellin, G.; Franchini, M.; Lippi, G. Pathophysiology, clinics and diagnostics of non-thrombotic pulmonary embolism. J. Thromb. Thrombolysis 2011, 31, 436–444. [Google Scholar] [CrossRef] [PubMed]
- Bach, A.G.; Restrepo, C.S.; Abbas, J.; Villanueva, A.; Lorenzo Dus, M.J.; Schöpf, R.; Imanaka, H.; Lehmkuhl, L.; Tsang, F.H.; Saad, F.F.; et al. Imaging of nonthrombotic pulmonary embolism: Biological materials, nonbiological materials, and foreign bodies. Eur. J. Radiol. 2013, 82, e120–e141. [Google Scholar] [PubMed]
- Ufuk, F.; Kaya, F.; Sagtas, E.; Kupeli, A. Non-thrombotic pulmonary embolism in emergency CT. Emerg Radiol. 2020, 27, 343–350. [Google Scholar]
- Bhalla, S.; Lopez-Costa, I. MDCT of acute thrombotic and nonthrombotic pulmonary emboli. Eur. J. Radiol. 2007, 64, 54–64. [Google Scholar]
- Asah, D.; Raju, S.; Ghosh, S.; Mukhopadhyay, S.; Mehta, A.C. Nonthrombotic Pulmonary Embolism from Inorganic Particulate Matter and Foreign Bodies. Chest 2018, 153, 1249–1265. [Google Scholar] [CrossRef]
- Patel, Z.; Sangani, R.; Lombard, C. Cement pulmonary embolism after percutaneous kyphoplasty: An unusual culprit for non-thrombotic pulmonary embolism. Radiol. Case Rep. 2021, 16, 3520–3525. [Google Scholar] [CrossRef]
- Boylan, P.M.; Santibañez, M.; Lounsbury, N.; Eltaki, S.M. A nonthrombotic pulmonary embolus caused by polyalkylimide dermal filler: A case report and literature review of medication management. J. Am. Pharm. Assoc. 2021, 61, e324–e331. [Google Scholar] [CrossRef]
- Marschke, G.; Haber, L.; Feinberg, M. Pulmonary talc embolization. Chest 1975, 68, 824–826. [Google Scholar]
- Vernet, O.; Rilliet, B. Late complications of ventriculoatrial or ventriculoperitoneal shunts. Lancet 2001, 358, 1569–1570. [Google Scholar] [CrossRef] [PubMed]
- Amin, P.; Pannu, T.; Mohamed, R.; Watson, K. Nonthrombotic pulmonary embolism secondary to cyanoacrylate embolization of gastric varices. CMAJ 2022, 194, E336–E337. [Google Scholar] [CrossRef] [PubMed]
- Michael, P.G.; Antoniades, G.; Staicu, A.; Seedat, S. Pulmonary Glue Embolism: An unusual complication following endoscopic sclerotherapy for gastric varices. Sultan Qaboos Univ. Med. J. 2018, 18, e231–e235. [Google Scholar] [PubMed]
- Carreira Villamor, J.M.; Flores Ríos, E.; Varela Ponte, R. Iatrogenic Pulmonary Embolism. New Aspects. Arch. Bronconeumol. 2022, 58, 303–304. [Google Scholar] [CrossRef]
- Kay, J.M.; Wilkins, R.A. Cotton fibre embolism during angiography. Clin. Radiol. 1969, 20, 410–413. [Google Scholar]
- Fernandez-Ranvier, G.G.; Mehta, P.; Zaid, U.; Singh, K.; Barry, M.; Mahmoud, A. Pulmonary artery bullet embolism-Case report and review. Int. J. Surg. Case Rep. 2013, 4, 521–523. [Google Scholar] [CrossRef]
- Shi, W.; Jiao, Y. Disseminated pulmonary emboli caused by mercury: A rare consequence of Munchausen’s syndrome. Clin. Case Rep. 2020, 8, 3634–3635. [Google Scholar] [CrossRef]
- Jorens, P.G.; Van Marck, E.; Snoeckx, A.; Parizel, P.M. Nonthrombotic pulmonary embolism. Eur. Respir. J. 2009, 34, 452–474. [Google Scholar]
- Aili, A.; Peng, L.; Zhang, J.; Liu, Y.; Peng, L.; Yi, Q.; Zhou, H. Hydatid Pulmonary Embolism: A Case Report and Literature Review. Am. J. Case Rep. 2021, 22, e934157. [Google Scholar]
- Brull, S.J.; Prielipp, R.C. Vascular air embolism: A silent hazard to patient safety. J. Crit. Care 2017, 42, 255–263. [Google Scholar]
- Cueto-Robledo, G.; Roldan-Valadez, E.; Mendoza-Lopez, A.C.; Palacios-Moguel, P.; Heredia-Arroyo, A.L.; Torres-Lopez, I.D.; Garcia-Cesar, M.; Torres-Rojas, M.B. Air and Thrombotic Venous Embolism in a Department of Emergency Medicine. A Literature Review. Curr. Probl. Cardiol. 2022, 101248. [Google Scholar] [CrossRef] [PubMed]
- Rossi, S.E.; Goodman, P.C.; Franquet, T. Nonthrombotic pulmonary emboli. AJR Am. J. Roentgenol. 2000, 174, 1499–1508. [Google Scholar] [PubMed]
- Lanfranco, J.; Romero Legro, I.; Freire, A.X.; Nearing, K.; Ratnakant, S. Pulmonary Air Embolism: An Infrequent Complication in the Radiology Suite. Am. J. Case Rep. 2017, 18, 80–84. [Google Scholar]
- Wong, S.S.; Kwaan, H.C.; Ing, T.S. Venous air embolism related to the use of central catheters revisited: With emphasis on dialysis catheters. Clin. Kidney J. 2017, 10, 797–803. [Google Scholar] [PubMed]
- Buckridge, N.; Frisch, S.; Sinert, R. Iatrogenic Pulmonary Air Embolism with Rapid Resolution: A Case Report. J. Emerg. Med. 2021, 61, 172–173. [Google Scholar] [CrossRef] [PubMed]
- Xiao, P.X.; Hu, Z.Y.; Zhang, H.; Pan, C.; Duan, B.X.; Chen, S.L. Massive pulmonary air embolism during the implantation of pacemaker, case reports and literature analysis. Eur. Rev. Med. Pharmacol. Sci. 2013, 17, 3157–3163. [Google Scholar]
- Maqsood, M.H.; Mirza, N.; Hanif, M.A.; Hanif, H.; Saleem, M.; Maqsood, M.A.; Fatima, I.; Tahir, M.M. Clinical Presentation, Diagnosis, and Management of Air Embolism During Endoscopic Retrograde Cholangiopancreatography. Gastroenterol. Res. 2019, 12, 283–287. [Google Scholar]
- Uysal, E.; Alkan, N.; Cam, B. A life-threatening condition: The pulmonary artery air embolism. Turk. J. Emerg. Med. 2019, 19, 157–159. [Google Scholar] [PubMed]
- Pena, E.; Dennie, C.; Franquet, T.; Milroy, C. Nonthrombotic Pulmonary Embolism: A Radiological Perspective. Semin. Ultrasound CT MRI 2012, 33, 522–534. [Google Scholar]
- Schafer, S.T.; Lindemann, J.; Brendt, P.; Kaiser, G.; Peters, J. Intracardiac transvenous echocardiography is superior to both precordial Doppler and transesophageal echocardiography techniques for detecting venous air embolism and catheter-guided air aspiration. Anesth. Analg. 2008, 106, 45–54. [Google Scholar]
- Tovar, E.A.; Del Campo, C.; Borsari, A.; Webb, R.P.; Dell, J.R.; Weinstein, P.B. Postoperative management of cerebral air embolism: Gas physiology for surgeons. Ann. Thorac. Surg. 1995, 60, 1138–1142. [Google Scholar]
- Malik, N.; Claus, P.L.; Illman, J.E.; Kligerman, S.J.; Moynagh, M.R.; Levin, D.L.; Woodrum, D.A.; Arani, A.; Arunachalam, S.P.; Araoz, P.A. Air embolism: Diagnosis and management. Future Cardiol. 2017, 13, 365–378. [Google Scholar] [PubMed]
- Milroy, C.M.; Parai, J.L. Fat Embolism, Fat embolism syndrome and the autopsy. Acad. Forensic. Pathol. 2019, 9, 136–154. [Google Scholar] [PubMed]
- Gresham, G.A. Fat embolism. Forensic Sci. Int. 1986, 31, 175–180. [Google Scholar] [CrossRef]
- Kontakis, G.M.; Tossounidis, T.; Weiss, K.; Pape, H.C.; Giannoudis, P.V. Fat embolism: Special situations bilateral femoral fractures and pathologic femoral fractures. Injury 2006, 37 (Suppl. S4), S19–S24. [Google Scholar] [PubMed]
- Gittens, J.T.; Semionov, A.; Pressacco, J. Imaging of Pulmonary Embolus: Thrombotic, Nonthrombotic and Mimickers. Can. Assoc. Radiol. J. 2018, 69, 328–337. [Google Scholar]
- Koessler, M.J.; Fabiani, R.; Hamer, H.; Pitto, R.P. The clinical relevance of embolic events detected by transesophageal echocardiography during cemented total hip arthroplasty: A randomized clinical trial. Anesth. Analg. 2001, 92, 49–55. [Google Scholar] [CrossRef]
- Unal, E.; Balci, S.; Atceken, Z.; Akpinar, E.; Ariyurek, O.M. Nonthrombotic Pulmonary Artery Embolism: Imaging Findings and Review of the Literature. Am. J. Roentgenol. 2017, 208, 505–516. [Google Scholar] [CrossRef]
- Tsitsikas, D.A.; Bristowe, J.; Abukar, J. Fat Embolism Syndrome in Sickle Cell Disease. J. Clin. Med. 2020, 9, 3601. [Google Scholar] [CrossRef]
- Hogel, F.; Gerlach, U.V.; Sudkamp, N.P.; Muller, C.A. Pulmonary fat embolism after reamed and unreamed nailing of femoral fractures. Inj. Int. J. Care Inj. 2010, 41, 1317–1322. [Google Scholar]
- Castiglioni, C.; Carminati, A.; Fracasso, T. Fat embolism after intraosseous catheters in pediatric forensic autopsies. Int. J. Legal Med. 2022. [Google Scholar] [CrossRef] [PubMed]
- Ondruschka, B.; Baier, C.; Bernhard, M.; Buschmann, C.; Dredler, J.; Schote, J.; Zwirner, J.; Hammer, N. Frequency and intensity of pulmonary bone marrow and fat embolism due to manual or automated chest compressions during cardiopulmonary resuscitation. Forensic Sci. Med. Pathol. 2019, 15, 48–55. [Google Scholar] [CrossRef] [PubMed]
- Currie, I.; Drutz, H.P.; Deck, J.; Oxorn, D. Adipose tissue and lipid droplet embolism following periurethral injection of autologous fat: Case report and review of the literature. Int. Urogynecol. J. Pelvic Floor Dysfunct. 1997, 8, 377–380. [Google Scholar] [CrossRef]
- Schrufer-Poland, T.; Singh, P.; Jodicke, C.; Reynolds, S.; Maulik, D. Nontraumatic fat embolism found following maternal death after Cesarean delivery. Am. J. Perinatol. Rep. 2015, 5, e1–e5. [Google Scholar]
- Baselga, J.; Reich, L.; Doherty, M.; Gulati, S. Fat embolism syndrome following bone marrow harvesting. Bone Marrow Transpl. 1991, 7, 485–486. [Google Scholar]
- Sakashita, M.; Sakashita, S.; Sakata, A.; Uesugi, N.; Ishige, K.; Hyodo, I.; Nouguchi, M. An autopsy case of non-traumatic fat embolism syndrome. Pathol. Int. 2017, 67, 477–482. [Google Scholar] [CrossRef]
- Schulz, F.; Trubner, K.; Hilderbrand, E. Fatal fat embolism in acute hepatic necrosis with associated fatty liver. Am. J. Forensic Med. Pathol. 1996, 17, 264–268. [Google Scholar] [CrossRef]
- Guardia, S.N.; Bilbao, J.M.; Murray, D.; Warren, R.E.; Sweet, J. Fat embolism in acute pancreatitis. Arch. Pathol. Lab. Med. 1989, 1113, 503–506. [Google Scholar]
- Cantu, C.A.; Pavlisko, E.N. Liposuction-Induced Fat Embolism Syndrome: A Brief Review and Postmortem Diagnostic Approach. Arch. Pathol. Lab. Med. 2018, 142, 871–875. [Google Scholar] [CrossRef]
- Pena, W.; Cardenas-Camarena, L.; Bayter-Marin, J.E.; McCormick, M.; Duran, H.; Ramos-Gallardo, G.; Robles-Cervantes, J.A.; Macias, A.A. Macro Fat Embolism After Gluteal Augmentation with Fat: First Survival Case Report. Aesthet. Surg. J. 2019, 39, NP380–NP383. [Google Scholar] [CrossRef]
- Zilg, B.; Rasten-Almqvist, P. Fatal Fat Embolism After Penis Enlargement by Autologous Fat Transfer: A Case Report and Review of the Literature. J. Forensic Sci. 2017, 62, 1383–1385. [Google Scholar] [CrossRef] [PubMed]
- Yunle, M.; Zhang, M.; Ling, H.; Huang, S.; Miao, Q.; Yu, Y.; Zhang, F.; Qiu, P.; Li, D. Nontraumatic Multiple-Organ Fat Embolism An Autopsy Case and Review of Literature. Am. J. Forensic Med. Pathol. 2020, 41, 131–134. [Google Scholar]
- Baker, P.L.; Pazell, J.A.; Peltier, L.F. Free fatty acids, catecholamines, and arterial hypoxia in patients with fat embolism. J. Trauma 1971, 11, 1026–1030. [Google Scholar] [CrossRef] [PubMed]
- Mastrangelo, A.M.; Jeitner, T.M.; Eaton, J.W. Oleic acid increases cell surface expression and activity of CD11b on human neutrophils. J. Immunol. 1998, 161, 4268–4275. [Google Scholar] [CrossRef] [PubMed]
- Timon, C.; Keady, C.; Murphy, C.G. Fat Embolism Syndrome—A Qualitative Review of its Incidence, Presentation, Pathogenesis and Management. Malays. Orthop. J. 2021, 15, 1–11. [Google Scholar]
- Luff, D.; Hewson, D.W. Fat embolism syndrome. BJA Educ. 2021, 21, 322–328. [Google Scholar] [CrossRef]
- Rothberg, D.L.; Makarewich, C.A. Fat Embolism and Fat Embolism Syndrome. J. Am. Acad. Orthop. Surg. 2018, 53, 408–416. [Google Scholar] [CrossRef]
- King, M.B.; Harmon, K.R. Unusual forms of pulmonary embolism. Clin. Chest Med. 1994, 15, 561–580. [Google Scholar] [CrossRef]
- Gurd, A.R. Fat embolism: An aid to diagnosis. J. Bone Joint Surg. Br. 1970, 52, 732–737. [Google Scholar] [CrossRef]
- Lindeque, B.G.; Schoeman, H.S.; Dommisse, G.F.; Boeyens, M.C.; Vlok, A.L. Fat embolism and the fat embolism syndrome. Adouble-blind therapeutic study. Br. J. Bone Jt. Surg. 1987, 69, 128–131. [Google Scholar] [CrossRef]
- Mellor, A.; Soni, N. Fat embolism. Anaesthesia 2001, 56, 145–154. [Google Scholar] [CrossRef] [PubMed]
- Ong, S.C.L.; Balasingam, V. Characteristic imaging findings in pulmonary fat embolism syndrome (FES). BMJ Case Rep. 2017, 2017, bcr2017223007. [Google Scholar] [CrossRef]
- Webb, D.P.; McKamie, W.A.; Pietsch, J.B. Resuscitation of fat embolism syndrome with extracorporeal membrane oxygenation. J. Extra Corpor. Technol. 2004, 36, 368–370. [Google Scholar] [PubMed]
- Lari, A.; Abdulshakoor, A.; Zogheib, E.; Assaf, N.; Mojallal, A.; Lari, A.R.; Bauer, C.; Sinna, R. How to save a life from macroscopic fat embolism: A narrative review of treatment options. Aesthet. Surg. J. 2020, 40, 1098–1107. [Google Scholar] [CrossRef] [PubMed]
- Popovich, I.; Singh, V.; Vickery, B. Perioperative support of a patient with fat embolism syndrome with extracorporeal membrane oxygenation. BMJ Case Rep. 2019, 12, e227747. [Google Scholar] [CrossRef]
- Li, S.; Zou, D.; Qin, Z.; Liu, N.; Zhang, J.; Li, Z.; Shao, Y.; Deng, K.; Chen, Y.; Huang, P. Nonfracture-Associated Pulmonary Fat Embolism After Blunt Force Fatality: Case Report and Review of the Literature. Am. J. Forensic Med. Pathol. 2015, 36, 61–65. [Google Scholar] [CrossRef]
- Clark, S.L. Amniotic fluid embolism. Obstet. Gynecol. 2014, 123, 337–348. [Google Scholar] [CrossRef]
- Stafford, I.; Sheffield, J. Amniotic fluid embolism. Obstet. Gynecol. Clin. N. Am. 2007, 34, 545–553. [Google Scholar] [CrossRef]
- Rudra, A.; Chatterjee, S.; Sengupta, S.; Nandi, B.; Mitra, J. Amniotic fluid embolism. Indian J. Crit. Care Med. 2009, 13, 129–135. [Google Scholar] [CrossRef]
- Sultan, P.; Seligman, K.; Carvalho, B. Amniotic fluid embolism: Update and review. Curr. Opin. Anaesthesiol. 2016, 29, 288–296. [Google Scholar] [CrossRef]
- Lau, G.; Chui, P.P. Amniotic fluid embolism: A review of 10 fatal cases. Singap. Med. J. 1994, 35, 180–183. [Google Scholar]
- Clark, S.L.; Hankins, G.D.V.; Dudley, D.A.; Porter, T.F. Amniotic fluid embolism: Analysis of the national registery. Am. J. Obstet. Gynecol. 1995, 172, 1158–1169. [Google Scholar] [CrossRef] [PubMed]
- Gilbert, W.M.; Danielson, B. Amniotic fluid embolism: Decreased mortality in a populationbased study. Obstet. Gynecol. 1999, 93, 973–977. [Google Scholar] [CrossRef]
- Abenhaim, H.A.; Azoulay, L.; Kramer, M.S.; Leduc, L. Incidence and risk factors of amniotic fluid embolisms: A population-based study on 3 million births in the United States. Am. J. Obstet. Gynecol. 2008, 199, 49.e1–49.e8. [Google Scholar] [CrossRef] [PubMed]
- Gei, G.; Hankins, G.D. Amniotic fluid embolism: An update. Contemp. Ob Gyn 2000, 45, 53–62. [Google Scholar]
- Kramer, M.S.; Rouleau, J.; Baskett, T.F.; Joseph, K.S. Amniotic-fluid embolism and medical induction of labour: A retrospective, population-based cohort study. Lancet 2006, 368, 1444–1448. [Google Scholar] [CrossRef]
- Brennan, M.C.; Moore, L.E. Pulmonary embolism and amniotic fluid embolism in pregnancy. Obstet. Gynecol. Clin. N. Am. 2013, 40, 27–35. [Google Scholar] [CrossRef]
- Benson, M.D. Amniotic fluid embolism: The known and not known. Obstet. Med. 2014, 7, 17–21. [Google Scholar] [CrossRef]
- Kaur, K.; Bhardwaj, M.; Kumar, P.; Singhal, S.; Singh, T.; Hooda, S. Amniotic fluid embolism. J. Anaesthesiol. Clin. Pharmacol. 2016, 32, 153–159. [Google Scholar] [CrossRef]
- Pacheco, L.D.; Clark, S.L.; Klassen, M.; Hankins, G.D.V. Amniotic fluid embolism: Principles of early clinical management. Am. J. Obstet. Gynecol. 2020, 222, 48–52. [Google Scholar] [CrossRef]
- Hatani, T.; Takemura, M.; Inoue, D.; Takamatsu, K.; Ishitoko, M.; Itotani, R.; Suzuki, S.; Matsumoto, M.; Sakuramoto, M.; Fukui, M. Septic pulmonary embolism due to periodontal disease: Septic embolism due to periodontitis. Respirology 2013, 18, 308–312. [Google Scholar] [CrossRef] [PubMed]
- Ye, R.; Zhao, L.; Wang, C.; Wu, X.; Yan, H. Clinical characteristics of septic pulmonary embolism in adults: A systematic review. Respir. Med. 2014, 108, 1–8. [Google Scholar] [CrossRef] [PubMed]
- Fred, H.L.; Harle, T.S. Septic Pulmonary Embolism. Dis. Chest 1969, 55, 483–486. [Google Scholar] [CrossRef]
- Tale, S.; Ghosh, S.; Pahel Meitei, S.; Kolli, M.; Garbhapu, A.K. Feeding vessel sign: A radiological sign of septic pulmonary embolism. QJM Int. J. Med. 2021, 114, 213–214. [Google Scholar] [CrossRef] [PubMed]
- Watanabe, T.; Yokoe, M.; Noguchi, Y. Septic pulmonary embolism associated with periodontal disease: A case report and literature review. BMC Infect. Dis. 2019, 19, 74. [Google Scholar] [CrossRef]
- Dejima, A.; Yamamoto, N.; Hasatani, K. Yersinia enterocolitica infection with septic pulmonary embolism and liver and intestinal lymph node abscesses. BMJ Case Rep. 2021, 14, e242524. [Google Scholar] [CrossRef]
- Goswami, U.; Brenes, J.A.; Punjabi, G.V.; LeClaire, M.M.; Williams, D.N. Associations and Outcomes of Septic Pulmonary Embolism. Open Respir. Med. J. 2014, 8, 28–33. [Google Scholar] [CrossRef]
- Jiang, J.; Liang, Q.; Liu, L.; Cai, S.; Du, Z.; Kong, J.; Chen, Y. Septic pulmonary embolism in China: Clinical features and analysis of prognostic factors for mortality in 98 cases. BMC Infect. Dis. 2019, 19, 1082. [Google Scholar] [CrossRef]
- Okuno, D.; Oshima, K.; Miyazaki, T.; Ashizawa, N.; Hirayama, T.; Takazono, T.; Saijo, T.; Yamamoto, K.; Imamura, Y.; Yamaguchi, H.; et al. Duration of antifungal therapy for septic pulmonary embolism caused by Candida albicans from a central venous catheter: A case report. Clin. Case Rep. 2021, 9, 707–710. [Google Scholar] [CrossRef]
- Chou, D.W.; Wu, S.L.; Chung, K.M.; Han, S.C.; Cheung, B.M.H. Septic Pulmonary Embolism Requiring Critical Care: Clinicoradiological Spectrum, Causative Pathogens and Outcomes. Clinics 2016, 71, 562–569. [Google Scholar] [CrossRef]
- Huang, H.K.; Huang, C.H.; Wu, C.C.; Chen, W.J. An unusual cause of acute pulmonary embolism. Int. J. Cardiol. 2011, 149, e88–e89. [Google Scholar] [CrossRef] [PubMed]
- Chan, C.K.; Hutcheon, M.A.; Hyland, R.H.; Smith, G.W.; Patterson, B.J.; Matthay, R.A. Pulmonary tumor embolism: A critical review of clinical, imaging, and hemodynamic features. J. Thorac. Imaging 1987, 2, 4–14. [Google Scholar] [CrossRef] [PubMed]
- Konstantinides, S.V.; Meyer, G.; Becattini, C.; Bueno, H.; Geersing, G.J.; Harjola, V.P.; Huisman, M.V.; Humbert, M.; Jennings, C.S.; Jiménez, D.; et al. ESC Scientific Document Group. 2019 ESC Guidelines for the diagnosis and management of acute pulmonary embolism developed in collaboration with the European Respiratory Society (ERS). Eur. Heart J. 2020, 41, 543–603. [Google Scholar] [CrossRef] [PubMed]
- Rajdev, K.; Madan, U.; McMillan, S.; Wilson, K.; Fisher, K.; Hein, A.; Patil, A.; Bista, S.; Hershberger, D.; Boer, B. Pulmonary Tumor Embolism and Pulmonary Tumor Thrombotic Microangiopathy Causing Rapidly Progressive Respiratory Failure: A Case Series. J. Investig. Med. High Impact. Case Rep. 2022, 10, 23247096221086453. [Google Scholar] [CrossRef]
- He, X.; Anthony, D.C.; Catoni, Z.; Cao, W. Pulmonary tumor embolism: A retrospective study over a 30-year period. PLoS ONE 2021, 16, e0255917. [Google Scholar] [CrossRef] [PubMed]



| Cause | Biologic Products | Non-Biologic Material | Foreign Body |
|---|---|---|---|
| Iatrogenic (includes the effect of legal and illicit medical procedures) | Gas | Lost intravascular objects (catheters, stent, guide wire) [7] | |
| Cement [8] | Intraoperative materials [7] | ||
| Dermal filler [9] | Radioactive seeds [10] | ||
| Iodinated oil [7] | Ventriculoperitoneal shunts [11] | ||
| Cyanoacrylate and lipiodol [12] | Yttrium-90 microsphere [7] | ||
| Glue [13] | Biosensors [14] | ||
| Other (includes the following causes: trauma, pregnancy, infections, cancers, drug abuse, suicide) | Fat | Cotton [15] | Bullets [16] |
| Amniotic fluid | Mercury [17] | ||
| Septic (bacteria, fungi) | Talc [10] | ||
| Tumor | |||
| Trophoblastic material [18] | |||
| Tissue (bone) [4] | |||
| Hydatid cyst [19] |
| Type of NTPE | Gas | Fat | Amniotic Fluid | Septic | Tumor |
|---|---|---|---|---|---|
| Clinical features | Respiratory distress in the context of a risk factor; any sudden respiratory, cardiovascular or neurologic symptoms after high-risk procedures | Respiratory distress (dyspnea, hypoxemia, tachypnea, hypoxia); neurological manifestations (confusion, agitation, delirium, stupor, hemiplegia, blindness, coma); petechial rash (on the mucous membranes, the axillae, the head, neck and thorax); | Respiratory distress; cardiovascular collapse; coagulopathy or disseminated intravascular coagulation; seizures or coma | Fever, hemoptysis, cough, shortness of breath in patients with an extra-pulmonary source of infection | Progressive dyspnea, cough, hemoptysis, pleuritic chest pain, fatigue and weight loss; signs of right-sided ventricular overload and pulmonary hypertension |
| Lab tests | Sudden decrease in end tidal CO2 | Anemia, thrombocytopenia, elevated erythrocyte sedimentation rate, fat globules in urine or sputum, increased inflammatory markers, hypocalcemia, decrease in free albumin | Hypoxemia, prolonged prothrombin time, low fibrinogen levels, increased cardiac enzymes, low levels of complement (C3 and C4); the presence of fetal squamous cells in the pulmonary circulation | Blood cultures for detection of the primary infectious site | Hypoxia, hypocapnia or increased alveolar–arterial oxygen gradient |
| Chest radiography | Hyerlucency on pulmonary artery, right heart and systemic veins | Non-specific bilateral infiltrates | Non-specific acute pulmonary edema | Hemidiaphragm non-specific elevation at the site of pulmonary artery occlusion, expansion of the central pulmonary artery, peripheral radiolucency due to diminished vascularity, pleural based wedged-shaped areas of opacity due to infarction | |
| Echocardiography | Intracardiac air detection | Non-specific | Elevated pulmonary artery pressure, right ventricular dysfunction, tricuspid regurgitation | Vegetation on the heart valve | Non-specific |
| Computer tomography | Small amount of air in the main pulmonary artery, on the right heart or systemic veins; in severe cases, pulmonary hypertension and right heart strain are found | Ground-glass opacities, interlobar septal thickening with the pattern of “crazy paving” | Diffuse bilateral ground-glass opacities | Bilateral lung nodules, located mainly in the peripheral lung areas and in the lower lobes, mediastinal or hilar lymphadenopathy, a dilated pulmonary branch (mycotic aneurysm) and feeding vessel sign | The classic finding (affected centrilobular arteries) is an image of “tree-in-bud”; in cases where the main arteries are affected, the findings are filling defects that resemble acute or chronic pulmonary emboli |
| Causes of Gas Embolism | Causes of Fat Embolism | Causes of Septic Embolism |
|---|---|---|
| Invasive procedures: placement, use and removal of catheter, contrast injection, pacemaker implantation, insufflation of air during endoscopy or endoscopic retrograde cholangiopancreatography, intra-aortic balloon rupture | Trauma: bone fractures, soft tissue injury, burns, cardiopulmonary resuscitation, decompression | Infectious diseases: tricuspid valve endocarditis, skin infections, osteomyelitis, infected central venous catheters, septic thrombophlebitis, post-anginal septicemia, periodontal disease, liver abscess, Lemierre syndrome |
| Surgical interventions: gynecological interventions, lung biopsy, laparoscopic abdominal insufflation, arthroscopy, prostatectomy, arthroscopy, carotid endarterectomy, intraoperative use of hydrogen peroxide, fibrinolytic pleural lavage | Secondary to other diseases: septicemia, sickle cell disease, hepatocellular cancer, fatty liver disease, acute pancreatitis, carbon tetrachloride poisoning, liquefying hematoma | Diseases that predispose the patient to septic embolism: immunocompromised state, alcoholism, intravenous drug abuse, hemodialysis, pacemakers |
| Trauma: chest trauma, barotrauma, ventilation-induced lung trauma | Iatrogenic: intraosseous catheter bulking agents injection, bone marrow harvest, cesarean delivery, intramedullary nail fixation, liposuction, gluteal augmentation, penile enlargement | |
| Physiological conditions: labor, delivery |
Disclaimer/Publisher’s Note: The statements, opinions and data contained in all publications are solely those of the individual author(s) and contributor(s) and not of MDPI and/or the editor(s). MDPI and/or the editor(s) disclaim responsibility for any injury to people or property resulting from any ideas, methods, instructions or products referred to in the content. |
© 2023 by the authors. Licensee MDPI, Basel, Switzerland. This article is an open access article distributed under the terms and conditions of the Creative Commons Attribution (CC BY) license (https://creativecommons.org/licenses/by/4.0/).
Share and Cite
Sirbu, O.; Sorodoc, V.; Floria, M.; Statescu, C.; Sascau, R.; Lionte, C.; Petris, O.R.; Haliga, R.E.; Morariu, P.C.; Tirnoveanu, A.; et al. Nontrombotic Pulmonary Embolism: Different Etiology, Same Significant Consequences. J. Pers. Med. 2023, 13, 202. https://doi.org/10.3390/jpm13020202
Sirbu O, Sorodoc V, Floria M, Statescu C, Sascau R, Lionte C, Petris OR, Haliga RE, Morariu PC, Tirnoveanu A, et al. Nontrombotic Pulmonary Embolism: Different Etiology, Same Significant Consequences. Journal of Personalized Medicine. 2023; 13(2):202. https://doi.org/10.3390/jpm13020202
Chicago/Turabian StyleSirbu, Oana, Victorita Sorodoc, Mariana Floria, Cristian Statescu, Radu Sascau, Catalina Lionte, Ovidiu Rusalim Petris, Raluca Ecaterina Haliga, Paula Cristina Morariu, Andreea Tirnoveanu, and et al. 2023. "Nontrombotic Pulmonary Embolism: Different Etiology, Same Significant Consequences" Journal of Personalized Medicine 13, no. 2: 202. https://doi.org/10.3390/jpm13020202
APA StyleSirbu, O., Sorodoc, V., Floria, M., Statescu, C., Sascau, R., Lionte, C., Petris, O. R., Haliga, R. E., Morariu, P. C., Tirnoveanu, A., Burduloi, V. M., Ursulescu, C., & Sorodoc, L. (2023). Nontrombotic Pulmonary Embolism: Different Etiology, Same Significant Consequences. Journal of Personalized Medicine, 13(2), 202. https://doi.org/10.3390/jpm13020202

