The Arterial Axis Lesions in Proximal Humeral Fractures—Case Report and Literature Review
Abstract
:1. Introduction
2. Case Report
2.1. Clinical Data Collection
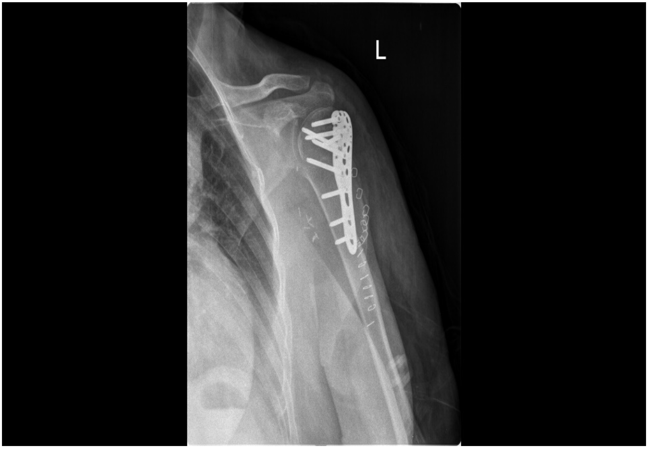
2.2. Imaging Studies
2.3. Diagnostic Criteria
2.4. Treatment Modalities
2.5. Follow-Up
2.6. Statistical Analysis
2.7. Ethical Considerations
- -
- Bed rest for 30 days with limited arm abduction movements up to 90°;
- -
- Sterile dressing with iodine every 2–3 days;
- -
- Suture removal after 14 days postoperatively;
- -
- Anticoagulant treatment with Clexane 0.6 mL two times a day for 14 days, followed by continuation with Aspenter 75 mg once daily;
- -
- Treatment with Arcoxia 60 mg tablets twice daily and Milagamma N (benfotiamină 40 mg, clorhidrat de piridoxină 90 mg şi cianocobalamină 0.250 mg.) 100 mg/g three times a day;
- -
- Reevaluation after 30 days;
- -
- Bed rest for 30 days with limited arm abduction movements up to 90°. (With the thumb facing up and outwards, move the arm in a big arc out to the side. With the elbow by your side, rotate forearm outwards, keeping the elbow at about 90 degrees in flexion. We repeated all of these 3 exercises 10 times each, 4–5 times a day.);
- -
- Sterile dressing with iodine every 2–3 days;
- -
- Suture removal after 14 days postoperatively;
- -
- Anticoagulant treatment with Clexane 0.6 mL 2 times a day for 14 days, followed by continuation with Aspenter 25 mg once daily;
- -
- Treatment with Arcoxia 60 mg tablets (etoricoxib) twice daily and Milgamma N.
3. Discussion
4. Conclusions
Author Contributions
Funding
Institutional Review Board Statement
Informed Consent Statement
Data Availability Statement
Conflicts of Interest
References
- Krasney, L.C.; Rennie, C.; Brustein, J.; Naylor, B. Rare finding of axillary artery dissection secondary to a proximal humerus fracture-dislocation: A case report. Trauma Case Rep. 2023, 45, 100828. [Google Scholar] [CrossRef] [PubMed]
- Razaeian, S.; Rustum, S.; Sonnow, L.; Meller, R.; Krettek, C.; Hawi, N. Axillary Artery Dissection and Thrombosis after Closed Proximal Humerus Fracture—A Rare Interdisciplinary Challenge. Z. Orthop. Unfall. 2020, 158, 406–413. [Google Scholar] [CrossRef] [PubMed]
- Mahmuti, A.; Kaya Şimşek, E.; Haberal, B. The medial cortical ratio as a risk factor for failure after surgical fixation of proximal humerus fractures in elderly patients. Jt. Dis. Relat. Surg. 2023, 34, 432–438. [Google Scholar] [CrossRef] [PubMed]
- Schumaier, A.; Grawe, B. Proximal humerus fractures: Evaluation and management in the elderly patient. Geriatr. Orthop. Surg. Rehabil. 2018, 9. [Google Scholar] [CrossRef] [PubMed]
- Panagiotopoulou, V.C.; Varga, P.; Richards, R.G.; Gueorguiev, B.; Giannoudis, P.V. Late screw-related complications in locking plating of proximal humerus fractures: A systematic review. Injury 2019, 50, 2176–2195. [Google Scholar] [CrossRef] [PubMed]
- Wallace, M.J.; Bledsoe, G.; Moed, B.R.; Israel, H.A.; Kaar, S.G. Relationship of cortical thickness of the proximal humerus and pullout strength of a locked plate and screw construct. J. Orthop. Trauma 2012, 26, 222–225. [Google Scholar] [CrossRef] [PubMed]
- Peters, R.M.; Menendez, M.E.; Mellema, J.J.; Ring, D.; Smith, R.M. Axillary Artery Injury Associated with Proximal Humerus Fracture: A Report of 6 Cases. Arch. Bone Jt. Surg. 2017, 5, 52–57. [Google Scholar] [PubMed]
- Adıyeke, L.; Geçer, A.; Bulut, O. Comparison of effective factors in loss of reduction after locking plate-screw treatment in humerus proximal fractures. Ulus. Travma Acil Cerrahi Derg. 2022, 28, 1008–1015. [Google Scholar] [CrossRef] [PubMed]
- Passaretti, D.; Candela, V.; Sessa, P.; Gumina, S. Epidemiology of proximal humeral fractures: A detailed survey of 711 patients in a metropolitan area. J. Shoulder Elb. Surg. 2017, 26, 2117–2124. [Google Scholar] [CrossRef] [PubMed]
- Sukeik, M.; Vashista, G.; Shaath, N. Axillary artery compromise in a minimally displaced proximal humerus fracture: A case report. Cases J. 2009, 2, 9308–9312. [Google Scholar] [CrossRef] [PubMed]
- Menendez, M.E.; Ring, D.; Heng, M. Proximal humerus fracture with injury to the axillary artery: A population-based study. Injury 2015, 46, 1367–1371. [Google Scholar] [CrossRef] [PubMed]
- Neuhaus, V.; Bot, A.G.; Swellengrebel, C.H.; Jain, N.B.; Warner, J.J.; Ring, D.C. Treatment choice affects inpatient adverse events and mortality in older aged inpatients with an isolated fracture of the proximal humerus. J. Shoulder Elb. Surg. 2014, 23, 800–806. [Google Scholar] [CrossRef] [PubMed]
- Hems, T.E.J.; Mahmood, F. Injuries of the terminal branches of the infraclavicular brachial plexus: Patterns of injury, management and outcome. J. Bone Jt. Surg. Br. Vol. 2012, 94, 799–804. [Google Scholar] [CrossRef] [PubMed]
- Hasan, S.A.; Cordell, C.L.; Rauls, R.B.; Eidt, J.F. Brachial artery injury with a proximal humerus fracture in a 10-year-old girl. Am. J. Orthop. 2009, 38, 462–466. [Google Scholar] [PubMed]








Disclaimer/Publisher’s Note: The statements, opinions and data contained in all publications are solely those of the individual author(s) and contributor(s) and not of MDPI and/or the editor(s). MDPI and/or the editor(s) disclaim responsibility for any injury to people or property resulting from any ideas, methods, instructions or products referred to in the content. |
© 2023 by the authors. Licensee MDPI, Basel, Switzerland. This article is an open access article distributed under the terms and conditions of the Creative Commons Attribution (CC BY) license (https://creativecommons.org/licenses/by/4.0/).
Share and Cite
Faur, C.I.; Nitu, R.; Abu-Awwad, S.-A.; Tudoran, C.; Abu-Awwad, A. The Arterial Axis Lesions in Proximal Humeral Fractures—Case Report and Literature Review. J. Pers. Med. 2023, 13, 1712. https://doi.org/10.3390/jpm13121712
Faur CI, Nitu R, Abu-Awwad S-A, Tudoran C, Abu-Awwad A. The Arterial Axis Lesions in Proximal Humeral Fractures—Case Report and Literature Review. Journal of Personalized Medicine. 2023; 13(12):1712. https://doi.org/10.3390/jpm13121712
Chicago/Turabian StyleFaur, Cosmin Ioan, Razvan Nitu, Simona-Alina Abu-Awwad, Cristina Tudoran, and Ahmed Abu-Awwad. 2023. "The Arterial Axis Lesions in Proximal Humeral Fractures—Case Report and Literature Review" Journal of Personalized Medicine 13, no. 12: 1712. https://doi.org/10.3390/jpm13121712
APA StyleFaur, C. I., Nitu, R., Abu-Awwad, S.-A., Tudoran, C., & Abu-Awwad, A. (2023). The Arterial Axis Lesions in Proximal Humeral Fractures—Case Report and Literature Review. Journal of Personalized Medicine, 13(12), 1712. https://doi.org/10.3390/jpm13121712

