Renoprotective Effect of Vardenafil and Avanafil in Contrast-Induced Nephropathy: Emerging Evidence from an Animal Model
Abstract
:1. Introduction
2. Materials and Methods
2.1. Animals
2.2. Experimental Design
2.3. Biochemical Analyses
2.4. Organ Collection and Preparation of Kidney Samples for ELISA Determinations
2.5. Determination of MMP-9 (Matrix Metalloproteinase 9/Gelatinase B), MMP-2 (Matrix Metalloproteinase 2/Gelatinase A), KIM-1 (Kidney Injury Molecule 1) and Cys-C (Cystatin-C) in Kidney Homogenates by ELISA
2.6. Kidney Histopathological Evaluation
2.7. Data Analysis
2.8. Ethical Statement
3. Results
3.1. Biochemical Evaluation
3.2. MMP-9 Evaluation
3.3. MMP-2 Evaluation
3.4. KIM-1 Evaluation
3.5. Cystatin-C Evaluation
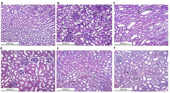
3.6. Histopathological Evaluation
4. Discussion
5. Conclusions
Author Contributions
Funding
Institutional Review Board Statement
Informed Consent Statement
Data Availability Statement
Acknowledgments
Conflicts of Interest
Abbreviations
References
- ACR Committee on Drugs and Contrast Media. In ACR Manual on Contrast Media; American College of Radiology: Washington, DC, USA, 2021; ISBN 978-1-55903-012-0.
- Van der Molen, A.J.; Reimer, P.; Dekkers, I.A.; Bongartz, G.; Bellin, M.F.; Bertolotto, M.; Clement, O.; Heinz-Peer, G.; Stacul, F.; Webb, J.A.W.; et al. Post-contrast acute kidney injury-Part 1: Definition, clinical features, incidence, role of contrast medium and risk factors: Recommendations for updated ESUR Contrast Medium Safety Committee guidelines. Eur. Radiol. 2018, 28, 2845–2855. [Google Scholar] [CrossRef] [PubMed] [Green Version]
- Mamoulakis, C.; Tsarouhas, K.; Fragkiadoulaki, E.; Heretis, I.; Wilks, M.F.; Spandidos, D.; Tsitsimpikou, C.; Tsatsakis, A. Contrast-induced nephropathy: Basic concepts, pathophysiological implications and prevention strategies. Pharmacol. Ther. 2017, 180, 99–112. [Google Scholar] [CrossRef] [PubMed]
- Tsarouhas, K.; Tsitsimpikou, C.; Papantoni, X.; Lazaridou, D.; Koutouzis, M.; Mazzaris, S.; Rezaee, R.; Mamoulakis, C.; Georgoulias, P.; Nepka, C.; et al. Oxidative stress and kidney injury in trans-radial catheterization. Biomed. Rep. 2018, 8, 417–425. [Google Scholar] [CrossRef] [PubMed] [Green Version]
- Mamoulakis, C.; Fragkiadoulaki, I.; Karkala, P.; Georgiadis, G.; Zisis, I.-E.; Stivaktakis, P.; Kalogeraki, A.; Tsiaoussis, I.; Burykina, T.; Lazopoulos, G.; et al. Contrast-induced nephropathy in an animal model: Evaluation of novel biomarkers in blood and tissue samples. Toxicol. Rep. 2019, 6, 395–400. [Google Scholar] [CrossRef] [PubMed]
- Van der Molen, A.J.; Reimer, P.; Dekkers, I.A.; Bongartz, G.; Bellin, M.F.; Bertolotto, M.; Clement, O.; Heinz-Peer, G.; Stacul, F.; Webb, J.A.W.; et al. Post-contrast acute kidney injury. Part 2: Risk stratification, role of hydration and other prophylactic measures, patients taking metformin and chronic dialysis patients: Recommendations for updated ESUR Contrast Medium Safety Committee guidelines. Eur. Radiol. 2018, 28, 2856–2869. [Google Scholar] [CrossRef] [PubMed] [Green Version]
- Weisbord, S.D.; Gallagher, M.; Jneid, H.; Garcia, S.; Cass, A.; Thwin, S.-S.; Conner, T.A.; Chertow, G.M.; Bhatt, D.L.; Shunk, K.; et al. Outcomes after Angiography with Sodium Bicarbonate and Acetylcysteine. N. Engl. J. Med. 2018, 378, 603–614. [Google Scholar] [CrossRef]
- Xie, W.; Liang, X.; Lin, Z.; Liu, M.; Ling, Z. Latest Clinical Evidence about Effect of Acetylcysteine on Preventing Contrast-Induced Nephropathy in Patients Undergoing Angiography: A Meta-Analysis. Angiology 2021, 72, 105–121. [Google Scholar] [CrossRef]
- Guideline Updates Team. National Institute for Health and Care Excellence: Clinical Guidelines. Acute Kidney Injury: Prevention, Detection and Management; National Institute for Health and Care Excellence (UK): London, UK, 2019. [Google Scholar]
- Tepel, M.; Van Der Giet, M.; Schwarzfeld, C.; Laufer, U.; Liermann, D.; Zidek, W. Prevention of Radiographic-Contrast-Agent–Induced Reductions in Renal Function by Acetylcysteine. N. Engl. J. Med. 2000, 343, 180–184. [Google Scholar] [CrossRef] [Green Version]
- Sochman, J.; Peregrin, J.H.; Bürgelová, M.; Kopkan, L.; Kramer, H.J.; Červenka, L. N-acetylcysteine attenuates iodine contrast agent-induced nephropathy in 5/6-nephrectomized rats. Kidney Blood Press. Res. 2010, 33, 149–156. [Google Scholar] [CrossRef]
- Xing, Y.; Wei, R.-B.; Tang, L.; Yang, Y.; Zheng, X.-Y.; Wang, Z.-C.; Gao, Y.-W. Protective effect of salidroside on contrast-induced nephropathy in comparison with N-acetylcysteine and its underlying mechanism. Chin. J. Integr. Med. 2015, 21, 266–273. [Google Scholar] [CrossRef]
- Baykara, M.; Silici, S.; Özçelik, M.; Güler, O.; Erdogan, N.; Bilgen, M. In vivo nephroprotective efficacy of propolis against contrast-induced nephropathy. Diagn. Interv. Radiol. 2015, 21, 317–321. [Google Scholar] [CrossRef] [PubMed]
- Gong, X.; Duan, Y.; Zheng, J.; Wang, Y.; Wang, G.; Norgren, S.; Hei, T.K. Nephroprotective Effects of N-Acetylcysteine Amide against Contrast-Induced Nephropathy through Upregulating Thioredoxin-1, Inhibiting ASK1/p38MAPK Pathway, and Suppressing Oxidative Stress and Apoptosis in Rats. Oxidative Med. Cell. Longev. 2016, 2016, 8715185. [Google Scholar] [CrossRef] [PubMed]
- Xia, Q.; Liu, C.; Zheng, X. N-acetylcysteine ameliorates contrast induced kidney injury in rats with unilateral hydronephrosis. Mol. Med. Rep. 2018, 17, 2203–2210. [Google Scholar] [CrossRef] [PubMed] [Green Version]
- Ozturk, O.; Eroglu, H.A.; Ustebay, S.; Kuzucu, M.; Adali, Y. An experimental study on the preventive effects of N-acetyl cysteine and ozone treatment against contrast-induced nephropathy. Acta Cir. Bras. 2018, 33, 508–517. [Google Scholar] [CrossRef] [PubMed] [Green Version]
- Altintop, I.; Tatli, M.; Karakukcu, C.; Sarica, Z.S.; Yay, A.H.; Balcioglu, E.; Ozturk, A. Serum and Tissue HIF-2 Alpha Expression in CIN, N-Acetyl Cysteine, and Sildenafil-Treated Rat Models: An Experimental Study. Medicina 2018, 54, 54. [Google Scholar] [CrossRef] [PubMed] [Green Version]
- Santos, V.D.S.; Peters, B.; Côco, L.Z.; Alves, G.M.; de Assis, A.L.E.M.; Nogueira, B.V.; Meyrelles, S.S.; Porto, M.L.; Vasquez, E.C.; Campagnaro, B.P.; et al. Silymarin protects against radiocontrast-induced nephropathy in mice. Life Sci. 2019, 228, 305–315. [Google Scholar] [CrossRef]
- Kalogirou, T.E.; Meditskou, S.; Davidopoulou, S.; Savvas, I.; Pitoulias, A.G.; Pitoulias, G.A. Investigating the Possible Protective Role of Direct Intra-arterial Administration of Mannitol and N-Acetylcysteine and Per Os Administration of Simvastatin against Contrast-Induced Nephropathy: An Experimental Study in a Rabbit Model. Cardiovasc. Interv. Radiol. 2019, 42, 1777–1785. [Google Scholar] [CrossRef]
- Alshogran, O.Y.; Nusair, S.D.; El-Elimat, T.; Alzoubi, K.H.; Obeidat, A.; Sweidan, M. Evaluation of coenzyme Q10 combined with or without N-acetyl cysteine or atorvastatin for preventing contrast-induced kidney injury in diabetic rats. Naunyn-Schmiedebergs Arch. Pharmakol. 2021, 394, 1403–1410. [Google Scholar] [CrossRef]
- Iordache, A.M.; Docea, A.O.; Buga, A.M.; Zlatian, O.; Ciurea, M.E.; Rogoveanu, O.C.; Calina, D. Sildenafil and tadalafil reduce the risk of contrast-induced nephropathy by modulating the oxidant/antioxidant balance in a murine model. Food Chem. Toxicol. 2020, 135, 111038. [Google Scholar] [CrossRef]
- Iordache, A.M.; Buga, A.M.; Albulescu, D.; Vasile, R.C.; Mitrut, R.; Georgiadis, G.; Zisis, I.-E.; Mamoulakis, C.; Tsatsakis, A.; Docea, A.O.; et al. Phosphodiesterase-5 inhibitors ameliorate structural kidney damage in a rat model of contrast-induced nephropathy. Food Chem. Toxicol. 2020, 143, 111535. [Google Scholar] [CrossRef]
- Tenório, M.C.d.S.; Graciliano, N.G.; Moura, F.; de Oliveira, A.C.M.; Goulart, M.O.F. N-Acetylcysteine (NAC): Impacts on Human Health. Antioxidants 2021, 10, 967. [Google Scholar] [CrossRef] [PubMed]
- Sunman, W.; Hughes, A.; Sever, P. Anaphylactoid response to intravenous acetylcysteine. Lancet 1992, 339, 1231–1232. [Google Scholar] [CrossRef]
- Salonia, A.; Bettocchi, C.; Carvalho, J.; Corona, G.; Jones, T.H.; Kadioglu, A.; Martinez-Salamanca, J.I.; Minhas, S.; Serefoglu, E.C.; Verze, P. EAU Guidelines on Sexual and Reproductive Health. Edn. Presented at the EAU Annual Congress Amsterdam 2022; EAU Guidelines Office: Arnhem, The Netherlands, 2020; ISBN 978-94-92671-16-5. [Google Scholar]
- Gravas, S.; Cornu, J.N.; Gacci, M.; Gratzke, C.; Herrmann, T.R.W.; Mamoulakis, C.; Rieken, M.; Speakman, M.J.; Tikkinen, K.A.O. EAU Guidelines on Management of Non-Neurogenic Male Lower Urinary Tract Symptoms (LUTS), incl. Benign Prostatic Obstruction (BPO). Edn. Presented at the EAU Annual Congress Amsterdam 2022; EAU Guidelines Office: Arnhem, The Netherlands, 2022; ISBN 978-94-92671-16-5. [Google Scholar]
- Tzoumas, N.; Farrah, T.E.; Dhaun, N.; Webb, D.J. Established and emerging therapeutic uses of PDE type 5 inhibitors in cardiovascular disease. J. Cereb. Blood Flow Metab. 2020, 177, 5467–5488. [Google Scholar] [CrossRef] [Green Version]
- Georgiadis, G.; Zisis, I.-E.; Docea, A.O.; Tsarouhas, K.; Fragkiadoulaki, I.; Mavridis, C.; Karavitakis, M.; Stratakis, S.; Stylianou, K.; Tsitsimpikou, C.; et al. Current Concepts on the Reno-Protective Effects of Phosphodiesterase 5 Inhibitors in Acute Kidney Injury: Systematic Search and Review. J. Clin. Med. 2020, 9, 1284. [Google Scholar] [CrossRef]
- Oelke, M.; Weiss, J.P.; Mamoulakis, C.; Cox, D.; Ruff, D.; Viktrup, L. Effects of tadalafil on nighttime voiding (nocturia) in men with lower urinary tract symptoms suggestive of benign prostatic hyperplasia: A post hoc analysis of pooled data from four randomized, placebo-controlled clinical studies. World J. Urol. 2014, 32, 1127–1132. [Google Scholar] [CrossRef]
- Sakalis, V.; Karavitakis, M.; Bedretdinova, D.; Bach, T.; Bosch, J.R.; Gacci, M.; Gratzke, C.; Herrmann, T.R.; Madersbacher, S.; Mamoulakis, C.; et al. Medical Treatment of Nocturia in Men with Lower Urinary Tract Symptoms: Systematic Review by the European Association of Urology Guidelines Panel for Male Lower Urinary Tract Symptoms. Eur. Urol. 2017, 72, 757–769. [Google Scholar] [CrossRef] [Green Version]
- Tzortzis, V.; Mitrakas, L.; Gravas, S.; Mamoulakis, C.; Meissner, A.; Kyriakou, D.; Melekos, M.D. Oral Phosphodiesterase Type 5 Inhibitors Alleviate Recurrent Priapism Complicating Thalassemia Intermedia: A Case Report. J. Sex. Med. 2009, 6, 2068–2071. [Google Scholar] [CrossRef]
- Sofikitis, N.; Kaltsas, A.; Dimitriadis, F.; Rassweiler, J.; Grivas, N.; Zachariou, A.; Kaponis, A.; Tsounapi, P.; Paterakis, N.; Karagiannis, A.; et al. The Effect of PDE5 Inhibitors on the Male Reproductive Tract. Curr. Pharm. Des. 2021, 27, 2697–2713. [Google Scholar] [CrossRef]
- Dhaliwal, A.; Gupta, M. PDE5 Inhibitor, in StatPearls. 2020. Available online: https://pubmed.ncbi.nlm.nih.gov/31751033/ (accessed on 18 April 2022).
- Sengupta, P. The Laboratory Rat: Relating Its Age with Human’s. Int. J. Prev. Med. 2013, 4, 624–630. [Google Scholar]
- De Sousa, R.C.; Neto, A.A.M.; Capelozzi, V.L.; Ab’Saber, A.M.; Rodrigues, O.R. Effects of vardenafil on the kidney of Wistar rats submitted to acute ischemia and reperfusion. Acta Cir. Bras. 2015, 30, 339–344. [Google Scholar] [CrossRef] [PubMed] [Green Version]
- Available online: https://www.ema.europa.eu/en/documents/assessment-report/spedra-epar-public-assessment-report_en.pdf (accessed on 18 April 2022).
- Faul, F.; Erdfelder, E.; Buchner, A.; Lang, A.-G. Statistical power analyses using G*Power 3.1: Tests for correlation and regression analyses. Behav. Res. Methods 2009, 41, 1149–1160. [Google Scholar] [CrossRef] [PubMed] [Green Version]
- Agmon, Y.; Peleg, H.; Greenfeld, Z.; Rosen, S.; Brezis, M. Nitric oxide and prostanoids protect the renal outer medulla from radiocontrast toxicity in the rat. J. Clin. Investig. 1994, 94, 1069–1075. [Google Scholar] [CrossRef] [PubMed]
- Georgiadis, G.; Docea, A.O.; Daniela, C.; Aristidis, T.; Charalampos, M. Contrast-induced nephropathy (CIN) and biomarkers. In Biomarkers in Disease: Methods, Discoveries and Applications; Patel, V.B., Preedy, V.R., Eds.; Springer: Berlin/Heidelberg, Germany, 2022. [Google Scholar]
- Ozbek, K.; Ceyhan, K.; Koc, F.; Sogut, E.; Altunkas, F.; Karayakali, M.; Celik, A.; Kadi, H.; Koseoglu, R.D.; Onalan, O. The protective effect of single dose tadalafil in contrast-induced nephropathy: An experimental study. Anatol. J. Cardiol. 2015, 15, 306–310. [Google Scholar] [CrossRef]
- Lauver, D.; Carey, E.G.; Bergin, I.L.; Lucchesi, B.R.; Gurm, H. Sildenafil Citrate for Prophylaxis of Nephropathy in an Animal Model of Contrast-Induced Acute Kidney Injury. PLoS ONE 2014, 9, e113598. [Google Scholar] [CrossRef] [Green Version]
- Almeida, L.S.; Barboza, J.R.; Freitas, F.P.; Porto, M.L.; Vasquez, E.C.; Meyrelles, S.S.; Gava, A.L.; Pereira, T.M. Sildenafil prevents renal dysfunction in contrast media-induced nephropathy in Wistar rats. Hum. Exp. Toxicol. 2016, 35, 1194–1202. [Google Scholar] [CrossRef]
- van Timmeren, M.; Heuvel, M.V.D.; Bailly, V.; Bakker, S.; van Goor, H.; Stegeman, C. Tubular kidney injury molecule-1 (KIM-1) in human renal disease. J. Pathol. 2007, 212, 209–217. [Google Scholar] [CrossRef]
- Parrish, A.R. Matrix Metalloproteinases in Kidney Disease: Role in Pathogenesis and Potential as a Therapeutic Target. Prog. Mol. Biol. Transl. Sci. 2017, 148, 31–65. [Google Scholar]
- Malyszko, J.; Bachorzewska-Gajewska, H.; Dobrzycki, S. Biomarkers of Contrast-Induced Nephropathy: Which Ones and What Is Their Clinical Relevance? Interv. Cardiol. Clin. 2014, 3, 379–391. [Google Scholar]
- Huo, W.; Zhang, K.; Nie, Z.; Li, Q.; Jin, F. Kidney injury molecule-1 (KIM-1): A novel kidney-specific injury molecule playing potential double-edged functions in kidney injury. Transplant. Rev. 2010, 24, 143–146. [Google Scholar] [CrossRef]
- Ichimura, T.; Bonventre, J.V.; Bailly, V.; Wei, H.; Hession, C.A.; Cate, R.L.; Sanicola, M. Kidney Injury Molecule-1 (KIM-1), a Putative Epithelial Cell Adhesion Molecule Containing a Novel Immunoglobulin Domain, Is Up-regulated in Renal Cells after Injury. J. Biol. Chem. 1998, 273, 4135–4142. [Google Scholar] [CrossRef] [PubMed] [Green Version]
- Ichimura, T.; Hung, C.C.; Yang, S.A.; Stevens, J.L.; Bonventre, J.V. Kidney injury molecule-1: A tissue and urinary biomarker for nephrotoxicant-induced renal injury. Am. J. Physiol. Physiol. 2004, 286, F552–F563. [Google Scholar] [CrossRef] [PubMed]
- Han, W.K.; Bailly, V.; Abichandani, R.; Thadhani, R.; Bonventre, J.V. Kidney Injury Molecule-1 (KIM-1): A novel biomarker for human renal proximal tubule injury. Kidney Int. 2002, 62, 237–244. [Google Scholar] [CrossRef] [PubMed] [Green Version]
- Hwang, S.; Park, J.; Kim, J.; Jang, H.R.; Kwon, G.Y.; Huh, W.; Kim, Y.-G.; Kim, D.J.; Oh, H.Y.; Lee, J.E. Tissue expression of tubular injury markers is associated with renal function decline in diabetic nephropathy. J. Diabetes Complicat. 2017, 31, 1704–1709. [Google Scholar] [CrossRef]
- Sampieri, C.L.; Orozco-Ortega, R.A. Matrix metalloproteinases and tissue inhibitors of metalloproteinases in chronic kidney disease and acute kidney injury: A systematic review of the literature. Hippokratia 2018, 22, 99–104. [Google Scholar]
- Catania, J.M.; Chen, G.; Parrish, A.R. Role of matrix metalloproteinases in renal pathophysiologies. Am. J. Physiol. Physiol. 2007, 292, F905–F911. [Google Scholar] [CrossRef]
- Novak, K.B.; Le, H.D.; Christison-Lagay, E.R.; Nose, V.; Doiron, R.J.; Moses, M.A.; Puder, M. Effects of Metalloproteinase Inhibition in a Murine Model of Renal Ischemia-Reperfusion Injury. Pediatr. Res. 2010, 67, 257–262. [Google Scholar] [CrossRef] [Green Version]
- Kilari, S.; Yang, B.; Sharma, A.; McCall, D.L.; Misra, S. Increased transforming growth factor beta (TGF-β) and pSMAD3 signaling in a Murine Model for Contrast Induced Kidney Injury. Sci. Rep. 2018, 8, 1–12. [Google Scholar] [CrossRef]
- Nakagawa, T.; Kakizoe, Y.; Iwata, Y.; Miyasato, Y.; Mizumoto, T.; Adachi, M.; Izumi, Y.; Kuwabara, T.; Suenaga, N.; Narita, Y.; et al. Doxycycline attenuates cisplatin-induced acute kidney injury through pleiotropic effects. Am. J. Physiol. Physiol. 2018, 315, F1347–F1357. [Google Scholar] [CrossRef]
- Ersan, S.; Tanrısev, M.; Cavdar, Z.; Celık, A.; Unlu, M.; Kocak, A.; Kose, T. Pretreatment with nebivolol attenuates level and expression of matrix metalloproteinases in a rat model of renal ischaemia-reperfusion injury. Nephrology 2017, 22, 1023–1029. [Google Scholar] [CrossRef]
- Lee, S.-Y.; Hörbelt, M.; Mang, H.E.; Knipe, N.L.; Bacallao, R.L.; Sado, Y.; Sutton, T.A. MMP-9 gene deletion mitigates microvascular loss in a model of ischemic acute kidney injury. Am. J. Physiol. Physiol. 2011, 301, F101–F109. [Google Scholar] [CrossRef] [PubMed] [Green Version]
- He, Y.; Deng, Y.; Zhuang, K.; Li, S.; Xi, J.; Chen, J. Predictive value of cystatin C and neutrophil gelatinase-associated lipocalin in contrast-induced nephropathy: A meta-analysis. PLoS ONE 2020, 15, e0230934. [Google Scholar] [CrossRef] [PubMed]
- Wang, M.; Zhang, L.; Yue, R.; You, G.; Zeng, R. Significance of Cystatin C for Early Diagnosis of Contrast-Induced Nephropathy in Patients Undergoing Coronary Angiography. Med. Sci. Monit. 2016, 22, 2956–2961. [Google Scholar] [CrossRef] [Green Version]
- Dharnidharka, V.R.; Kwon, C.; Stevens, G. Serum cystatin C is superior to serum creatinine as a marker of kidney function: A meta-analysis. Am. J. Kidney Dis. 2002, 40, 221–226. [Google Scholar] [CrossRef] [PubMed]
- Zhang, W.; Zhang, T.; Ding, D.; Sun, S.; Wang, X.; Chu, S.; Shen, L.; He, B. Use of Both Serum Cystatin C and Creatinine as Diagnostic Criteria for Contrast-Induced Acute Kidney Injury and Its Clinical Implications. J. Am. Heart Assoc. 2017, 6, e004747. [Google Scholar] [CrossRef] [PubMed] [Green Version]









Publisher’s Note: MDPI stays neutral with regard to jurisdictional claims in published maps and institutional affiliations. |
© 2022 by the authors. Licensee MDPI, Basel, Switzerland. This article is an open access article distributed under the terms and conditions of the Creative Commons Attribution (CC BY) license (https://creativecommons.org/licenses/by/4.0/).
Share and Cite
Zisis, I.-E.; Georgiadis, G.; Docea, A.O.; Calina, D.; Cercelaru, L.; Tsiaoussis, J.; Lazopoulos, G.; Sofikitis, N.; Tsatsakis, A.; Mamoulakis, C. Renoprotective Effect of Vardenafil and Avanafil in Contrast-Induced Nephropathy: Emerging Evidence from an Animal Model. J. Pers. Med. 2022, 12, 670. https://doi.org/10.3390/jpm12050670
Zisis I-E, Georgiadis G, Docea AO, Calina D, Cercelaru L, Tsiaoussis J, Lazopoulos G, Sofikitis N, Tsatsakis A, Mamoulakis C. Renoprotective Effect of Vardenafil and Avanafil in Contrast-Induced Nephropathy: Emerging Evidence from an Animal Model. Journal of Personalized Medicine. 2022; 12(5):670. https://doi.org/10.3390/jpm12050670
Chicago/Turabian StyleZisis, Ioannis-Erineos, Georgios Georgiadis, Anca Oana Docea, Daniela Calina, Liliana Cercelaru, John Tsiaoussis, Georgios Lazopoulos, Nikolaos Sofikitis, Aristidis Tsatsakis, and Charalampos Mamoulakis. 2022. "Renoprotective Effect of Vardenafil and Avanafil in Contrast-Induced Nephropathy: Emerging Evidence from an Animal Model" Journal of Personalized Medicine 12, no. 5: 670. https://doi.org/10.3390/jpm12050670
APA StyleZisis, I.-E., Georgiadis, G., Docea, A. O., Calina, D., Cercelaru, L., Tsiaoussis, J., Lazopoulos, G., Sofikitis, N., Tsatsakis, A., & Mamoulakis, C. (2022). Renoprotective Effect of Vardenafil and Avanafil in Contrast-Induced Nephropathy: Emerging Evidence from an Animal Model. Journal of Personalized Medicine, 12(5), 670. https://doi.org/10.3390/jpm12050670

