Elevated Monocyte to Lymphocyte Ratio and Increased Mortality among Patients with Chronic Kidney Disease Hospitalized for COVID-19
Abstract
1. Introduction
2. Materials and Methods
2.1. Measurements and Definition
2.2. Data Collection and Variables
2.3. Laboratory Data and Imaging Studies
2.4. Statistical Analysis
3. Results
4. Discussion
5. Conclusions
Author Contributions
Funding
Institutional Review Board Statement
Informed Consent Statement
Data Availability Statement
Conflicts of Interest
References
- Cummings, M.J.; Baldwin, M.R.; Abrams, D.; Jacobson, S.D.; Meyer, B.J.; Balough, E.M.; Aaron, J.G.; Claassen, J.E.; Rabbani, L.; Hastie, J.; et al. Epidemiology, clinical course, and outcomes of critically ill adults with COVID-19 in New York City: A prospective cohort study. Lancet 2020, 395, 1763–1770. [Google Scholar] [CrossRef]
- Kim, L.; Garg, S.; O’Halloran, A.; Whitaker, M.; Pham, H.; Anderson, E.J.; Armistead, I.; Bennett, N.M.; Billing, L.; Como-Sabetti, K.; et al. Risk Factors for Intensive Care Unit Admission and In-hospital Mortality among Hospitalized Adults Identified through the U.S. Coronavirus Disease 2019 (COVID-19)-Associated Hospitalization Surveillance Network (COVID-NET). Clin. Infect. Dis. 2020. [Google Scholar] [CrossRef]
- Takahashi, T.; Ellingson, M.K.; Wong, P.; Israelow, B.; Lucas, C.; Klein, J.; Silva, J.; Mao, T.; Oh, J.E.; Tokuyama, M.; et al. Sex differences in immune responses that underlie COVID-19 disease outcomes. Nature 2020, 1–9. [Google Scholar] [CrossRef] [PubMed]
- Mikami, T.; Miyashita, H.; Yamada, T.; Harrington, M.; Steinberg, D.; Dunn, A.; Siau, E. Risk Factors for Mortality in Patients with COVID-19 in New York City. J. Gen. Intern. Med. 2020. [Google Scholar] [CrossRef]
- Carney, E.F. The impact of chronic kidney disease on global health. Nat. Rev. Nephrol. 2020, 16, 251. [Google Scholar] [CrossRef]
- Collaboration, G.C.K.D. Global, regional, and national burden of chronic kidney disease, 1990–2017: A systematic analysis for the Global Burden of Disease Study 2017. Lancet 2020, 395, 709–733. [Google Scholar] [CrossRef]
- Chen, T.K.; Knicely, D.H.; Grams, M.E. Chronic Kidney Disease Diagnosis and Management. JAMA 2019, 322, 1294–1304. [Google Scholar] [CrossRef] [PubMed]
- Lin, C.-H.; Hung, P.-H.; Liu, W.-S.; Hu, H.-Y.; Chung, C.-J.; Chen, T.-H. Infections and risk of end-stage renal disease in patients with nephrotic syndrome: A nationwide population-based case-control study. Ann. Transl. Med. 2020, 8, 228. [Google Scholar] [CrossRef] [PubMed]
- Chang, C.-H.; Fan, P.-C.; Kuo, G.; Lin, Y.-S.; Tsai, T.-Y.; Chang, S.-W.; Tian, Y.-C.; Lee, C.-C. Infection in Advanced Chronic Kidney Disease and Subsequent Adverse Outcomes after Dialysis Initiation: A Nationwide Cohort Study. Sci. Rep. 2020, 10, 1–10. [Google Scholar] [CrossRef] [PubMed]
- Cohen, G. Immune Dysfunction in Uremia 2020. Toxins 2020, 12, 439. [Google Scholar] [CrossRef] [PubMed]
- Betjes, M.G.; Litjens, N.H. Chronic Kidney Disease and Premature Ageing of the Adaptive Immune Response. Curr. Urol. Rep. 2014, 16, 471. [Google Scholar] [CrossRef]
- Bao, X.; Borné, Y.; Muhammad, I.F.; Schulz, C.-A.; Persson, M.; Orho-Melander, M.; Niu, K.; Christensson, A.; Engström, G. Complement C3 and incident hospitalization due to chronic kidney disease: A population-based cohort study. BMC Nephrol. 2019, 20, 1–9. [Google Scholar] [CrossRef] [PubMed]
- Adapa, S.; Chenna, A.; Balla, M.; Merugu, G.P.; Koduri, N.M.; Daggubati, S.R.; Gayam, V.; Naramala, S.; Konala, V.M. COVID-19 Pandemic Causing Acute Kidney Injury and Impact on Patients with Chronic Kidney Disease and Renal Transplantation. J. Clin. Med. Res. 2020, 12, 352–361. [Google Scholar] [CrossRef] [PubMed]
- Bajwa, H.; Riaz, Y.; Ammar, M.; Farooq, S.; Yousaf, A. The Dilemma of Renal Involvement in COVID-19: A Systematic Review. Cureus 2020, 12, e8632. [Google Scholar] [CrossRef]
- Coca, A.; Burballa, C.; Centellas-Pérez, F.J.; Pérez-Sáez, M.J.; Bustamante-Munguira, E.; Ortega, A.; Dueñas, C.; Arenas, M.D.; Pérez-Martínez, J.; Ruiz, G.; et al. Outcomes of COVID-19 among Hospitalized Patients with Non-dialysis CKD. Front. Med. 2020, 7, 615312. [Google Scholar] [CrossRef]
- Knight, S.R.; Ho, A.; Pius, R.; Buchan, I.; Carson, G.; Drake, T.M.; Dunning, J.; Fairfield, C.J.; Gamble, C.A.; Green, C.; et al. Risk stratification of patients admitted to hospital with covid-19 using the ISARIC WHO Clinical Characterisation Protocol: Development and validation of the 4C Mortality Score. BMJ 2020, 370, m3339. [Google Scholar] [CrossRef] [PubMed]
- Wynants, L.; Van Calster, B.; Collins, G.S.; Riley, R.D.; Heinze, G.; Schuit, E.; Bonten, M.M.J.; Dahly, D.L.A.; Damen, J.A.; Debray, T.P.; et al. Prediction models for diagnosis and prognosis of covid-19: Systematic review and critical appraisal. BMJ 2020, 369, m1328. [Google Scholar] [CrossRef] [PubMed]
- Zhao, Q.; Meng, M.; Kumar, R.; Wu, Y.; Huang, J.; Deng, Y.; Weng, Z.; Yang, L. Lymphopenia is associated with severe coronavirus disease 2019 (COVID-19) infections: A systemic review and meta-analysis. Int. J. Infect. Dis. 2020, 96, 131–135. [Google Scholar] [CrossRef]
- Li, X.; Liu, C.; Mao, Z.; Xiao, M.; Wang, L.; Qi, S.; Zhou, F. Predictive values of neutrophil-to-lymphocyte ratio on disease severity and mortality in COVID-19 patients: A systematic review and meta-analysis. Crit. Care 2020, 24, 1–10. [Google Scholar] [CrossRef]
- Sambataro, G.; Giuffrè, M.; Sambataro, D.; Palermo, A.; Vignigni, G.; Cesareo, R.; Crimi, N.; Torrisi, S.E.; Vancheri, C.; Malatino, L.; et al. The Model for Early COVID-19 Recognition (MECOR) Score: A Proof-of-Concept for a Simple and Low-Cost Tool to Recognize a Possible Viral Etiology in Community-Acquired Pneumonia Patients during COVID-19 Outbreak. Diagnostic 2020, 10, 619. [Google Scholar] [CrossRef]
- Levey, A.S.; Eckardt, K.-U.; Dorman, N.M.; Christiansen, S.L.; Hoorn, E.J.; Ingelfinger, J.R.; Inker, L.A.; Levin, A.; Mehrotra, R.; Palevsky, P.M.; et al. Nomenclature for kidney function and disease: Report of a Kidney Disease: Improving Global Outcomes (KDIGO) Consensus Conference. Kidney Int. 2020, 97, 1117–1129. [Google Scholar] [CrossRef] [PubMed]
- Agarwal, R. Defining end-stage renal disease in clinical trials: A framework for adjudication: Table 1. Nephrol. Dial. Transpl. 2015, 31, 864–867. [Google Scholar] [CrossRef] [PubMed]
- Targońska-Stępniak, B.; Zwolak, R.; Piotrowski, M.; Grzechnik, K.; Majdan, M. The Relationship between Hematological Markers of Systemic Inflammation (Neutrophil-To-Lymphocyte, Platelet-To-Lymphocyte, Lymphocyte-To-Monocyte Ratios) and Ultrasound Disease Activity Parameters in Patients with Rheumatoid Arthritis. J. Clin. Med. 2020, 9, 2760. [Google Scholar] [CrossRef] [PubMed]
- López-Verdugo, F.; Furuzawa-Carballeda, J.; Romero-Hernández, F.; Coss-Adame, E.; Valdovinos, M.A.; Priego-Ranero, A.; Olvera-Prado, H.; Narváez-Chavez, S.; Peralta-Figueroa, J.; Torres-Villalobos, G. Hematological indices as indicators of silent inflammation in achalasia patients. Medicine 2020, 99, e19326. [Google Scholar] [CrossRef]
- Naranbhai, V.; Kim, S.; Fletcher, H.; Cotton, M.F.; Violari, A.; Mitchell, C.; Nachman, S.; McSherry, G.; McShane, H.; Hill, A.V.; et al. The association between the ratio of monocytes: Lymphocytes at age 3 months and risk of tuberculosis (TB) in the first two years of life. BMC Med. 2014, 12, 120. [Google Scholar] [CrossRef] [PubMed]
- Wang, J.-L.; Lu, X.-Y.; Xu, X.-H.; Zhang, K.-J.; Gong, H.; Lv, D.; Ni, Z.-A.; Zhu, C.-Q. Predictive role of monocyte-to-lymphocyte ratio in patients with Klebsiella pneumonia infection. Medicine 2019, 98, e17215. [Google Scholar] [CrossRef] [PubMed]
- Yamada, T.; Mikami, T.; Chopra, N.; Miyashita, H.; Chernyavsky, S.; Miyashita, S. Patients with chronic kidney disease have a poorer prognosis of coronavirus disease 2019 (COVID-19): An experience in New York City. Int. Urol. Nephrol. 2020, 52, 1405–1406. [Google Scholar] [CrossRef] [PubMed]
- Ishigami, J.; Matsushita, K. Clinical epidemiology of infectious disease among patients with chronic kidney disease. Clin. Exp. Nephrol. 2019, 23, 437–447. [Google Scholar] [CrossRef]
- Dalrymple, L.S.; Go, A.S. Epidemiology of Acute Infections among Patients with Chronic Kidney Disease: Figure 1. Clin. J. Am. Soc. Nephrol. 2008, 3, 1487–1493. [Google Scholar] [CrossRef] [PubMed]
- Tonelli, M.; Wiebe, N.; Culleton, B.; House, A.; Rabbat, C.; Fok, M.; McAlister, F.; Garg, A.X. Chronic Kidney Disease and Mortality Risk: A Systematic Review. J. Am. Soc. Nephrol. 2006, 17, 2034–2047. [Google Scholar] [CrossRef]
- Chonchol, M.; Greene, T.; Zhang, Y.; Hoofnagle, A.N.; Cheung, A.K. Low Vitamin D and High Fibroblast Growth Factor 23 Serum Levels Associate with Infectious and Cardiac Deaths in the HEMO Study. J. Am. Soc. Nephrol. 2015, 27, 227–237. [Google Scholar] [CrossRef] [PubMed]
- Martineau, A.R.; Jolliffe, D.A.; Hooper, R.L.; Greenberg, L.; Aloia, J.F.; Bergman, P.; Dubnov-Raz, G.; Esposito, S.; Ganmaa, D.; Ginde, A.A.; et al. Vitamin D supplementation to prevent acute respiratory tract infections: Systematic review and meta-analysis of individual participant data. BMJ 2017, 356, i6583. [Google Scholar] [CrossRef]
- Jean, G.; Souberbielle, J.C.; Chazot, C. Vitamin D in Chronic Kidney Disease and Dialysis Patients. Nutrients 2017, 9, 328. [Google Scholar] [CrossRef] [PubMed]
- Jain, A.; Chaurasia, R.; Sengar, N.S.; Singh, M.; Mahor, S.; Narain, S. Analysis of vitamin D level among asymptomatic and critically ill COVID-19 patients and its correlation with inflammatory markers. Sci. Rep. 2020, 10, 20191. [Google Scholar] [CrossRef] [PubMed]
- Du, J.; Chen, S.; Shi, J.; Zhu, X.; Ying, H.; Zhang, Y.; Chen, S.; Shen, B.; Li, J. The association between the lymphocyte-monocyte ratio and disease activity in rheumatoid arthritis. Clin. Rheumatol. 2017, 36, 2689–2695. [Google Scholar] [CrossRef] [PubMed]
- Zhang, T.-Y.; Zhao, Q.; Liu, Z.-S.; Zhang, C.-Y.; Yang, J.; Meng, K. Relationship between monocyte/lymphocyte ratio and non-culprit plaque vulnerability in patients with acute coronary syndrome. Medicine 2020, 99, e21562. [Google Scholar] [CrossRef] [PubMed]
- Panni, R.Z.; Lopez-Aguiar, M.A.G.; Liu, J.; Poultsides, G.A.; Rocha, F.G.; Hawkins, W.G.; Strasberg, S.M.; Trikalinos, N.A.; Maithel, S.; Fields, R.C.; et al. Association of preoperative monocyte-to-lymphocyte and neutrophil-to-lymphocyte ratio with recurrence-free and overall survival after resection of pancreatic neuroendocrine tumors (US-NETSG). J. Surg. Oncol. 2019, 120, 632–638. [Google Scholar] [CrossRef] [PubMed]
- Lagunas-Rangel, F.A. Neutrophil-to-lymphocyte ratio and lymphocyte-to-C-reactive protein ratio in patients with severe coronavirus disease 2019 (COVID-19): A meta-analysis. J. Med. Virol. 2020, 92, 1733–1734. [Google Scholar] [CrossRef] [PubMed]
- Meizlish, M.L.; Pine, A.B.; Bishai, J.D.; Goshua, G.; Nadelmann, E.R.; Simonov, M.; Chang, C.-H.; Zhang, H.; Shallow, M.; Bahel, P.; et al. A neutrophil activation signature predicts critical illness and mortality in COVID-19. Blood Adv. 2021, 5, 1164–1177. [Google Scholar] [CrossRef] [PubMed]
- Martinez, F.O.; Combes, T.W.; Orsenigo, F.; Gordon, S. Monocyte activation in systemic Covid-19 infection: Assay and rationale. EBioMedicine 2020, 59, 102964. [Google Scholar] [CrossRef] [PubMed]
- Fois, A.G.; Paliogiannis, P.; Scano, V.; Cau, S.; Babudieri, S.; Perra, R.; Ruzzittu, G.; Zinellu, E.; Pirina, P.; Carru, C.; et al. The Systemic Inflammation Index on Admission Predicts In-Hospital Mortality in COVID-19 Patients. Molecules 2020, 25, 5725. [Google Scholar] [CrossRef] [PubMed]
- Seyit, M.; Avci, E.; Nar, R.; Senol, H.; Yilmaz, A.; Ozen, M.; Oskay, A.; Aybek, H. Neutrophil to lymphocyte ratio, lymphocyte to monocyte ratio and platelet to lymphocyte ratio to predict the severity of COVID-19. Am. J. Emerg. Med. 2020. [Google Scholar] [CrossRef] [PubMed]
- Rizo-Téllez, S.A.; Méndez-García, L.A.; Flores-Rebollo, C.; Alba-Flores, F.; Alcántara-Suárez, R.; Manjarrez-Reyna, A.N.; Baltazar-López, N.; Hernández-Guzmán, V.A.; León-Pedroza, J.I.; Zapata-Arenas, R.; et al. The Neutrophil-to-Monocyte Ratio and Lymphocyte-to-Neutrophil Ratio at Admission Predict In-Hospital Mortality in Mexican Patients with Severe SARS-CoV-2 Infection (Covid-19). Microorganisms 2020, 8, 1560. [Google Scholar] [CrossRef] [PubMed]
- Huang, I.; Pranata, R.; Lim, M.A.; Oehadian, A.; Alisjahbana, B. C-reactive protein, procalcitonin, D-dimer, and ferritin in severe coronavirus disease-2019: A meta-analysis. Adv. Respir. Dis. 2020, 14. [Google Scholar] [CrossRef] [PubMed]
- Yende, S.; Tuomanen, E.I.; Wunderink, R.; Kanaya, A.; Newman, A.B.; Harris, T.; De Rekeneire, N.; Kritchevsky, S.B. Preinfection Systemic Inflammatory Markers and Risk of Hospitalization Due to Pneumonia. Am. J. Respir. Crit. Care Med. 2005, 172, 1440–1446. [Google Scholar] [CrossRef] [PubMed]
- Berenguer, J.; Ryan, P.; Rodríguez-Baño, J.; Jarrín, I.; Carratalà, J.; Pachón, J.; Yllescas, M.; Arriba, J.R.; Muñoz, E.A.; Gil Divasson, P.; et al. Characteristics and predictors of death among 4035 consecutively hospitalized patients with COVID-19 in Spain. Clin. Microbiol. Infect. 2020, 26, 1525–1536. [Google Scholar] [CrossRef]


| CKD | Non-CKD | p | |
|---|---|---|---|
| Gender n (%) | |||
| Male | 24 (65.7) | 46 (64.8) | 0.93 |
| Female | 13 (34.3) | 24 (35.2) | |
| Age, years, mean (SD) | 58.3 ± 14.1 | 57.5 ± 13.7 | 0.94 |
| Number of comorbidities n (%) | |||
| 0 | 2 (5.4) | 21 (30) | 0.003 |
| 1 | 14 (37.9) | 29 (41.4) | 0.71 |
| 2 | 17 (45.9) | 18 (25.7) | 0.03 |
| ≥3 | 4 (10.8) | 2 (2.9) | 0.08 |
| Types of comorbidities n (%) | |||
| Diabetes | 21 (67.5) | 28 (40) | 0.09 |
| Arterial hypertension | 33 (89.1) | 35 (50) | 0.00006 |
| Heart failure | 5 (13.5) | 1 (1.4) | 0.009 |
| Asthma | 1 (2.7) | 2 (2.8) | 0.9 |
| Others | 3 (8.1) | 5 (7.1) | 0.85 |
| Survived n (%) | 14 (37.8) | 50 (71.4) | |
| Died n (%) | 23 (62.2) | 20 (28.6) | 0.001 |
| Total | 37 | 70 |
| Variable | CKD | Non-CKD | p |
|---|---|---|---|
| Dyspnea n (%) | 23 (62.1) | 53 (75.7) | 0.14 |
| Fatigue n (%) | 17 (45.9) | 39 (55.7) | 0.33 |
| Cough n (%) | 10 (24) | 28 (40) | 0.18 |
| Fever n (%) | 14 (21.6) | 18 (25.7) | 0.63 |
| Diarrhea/vomiting n (%) | 12 (32.4) | 8 (11.4) | 0.008 |
| Headache n (%) | 5 (13.5) | 10 (14.2) | 0.91 |
| Other n (%) | 5 (13.5) | 9 (12.8) | 0.92 |
| Median (IQR) hosp. time | 5 (3–8) | 6 (3–11) | 0.52 |
| Resp. rate Median (IQR) | 22 (21–25) | 24 (22–26) | 0.13 |
| Heart rate, beat/min. Median (IQR) | 88 (79–96) | 90 (82–103) | 0.13 |
| Temp. Median (IQR) | 36.4 (36.2–36.9) | 36.7 (36–37.2) | 0.64 |
| Pulse oximetry %. Median (IQR) | 94 (90–96) | 94 (89–97) | 0.55 |
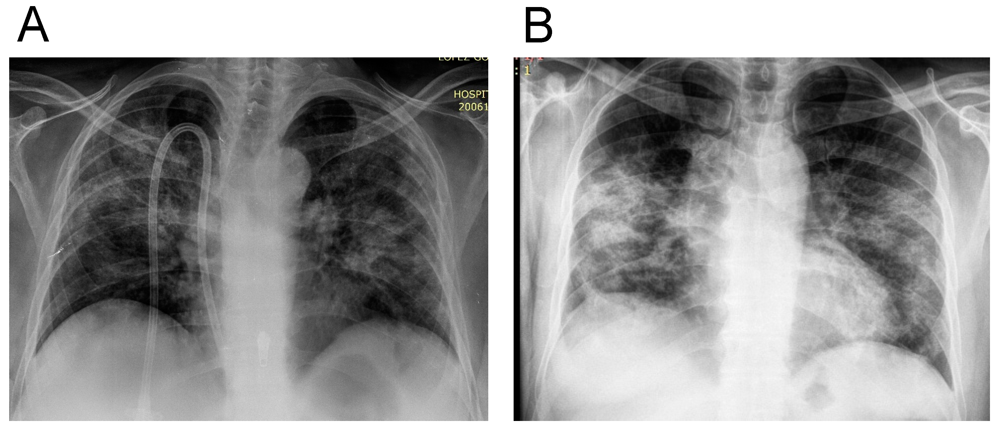
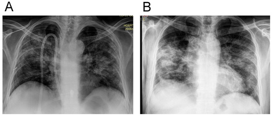
| Bilateral pneumonia n (%) | 35 (94.5) | 65 (92.8) | 0.72 |
| Analyte | CKD | Non-CKD | p | Reference Values |
|---|---|---|---|---|
| WBC (/µL) median IQR | 7250 (6925–14,175) | 10,100 (8925–16,800) | 0.33 | 4500–10,800 |
| Neutrophils (/µL) median IQR | 8256 (5742–12,250) | 8658 (6604–13,941) | 0.59 | |
| Lymphocytes (/µL) median IQR | 1022 (728–1409) | 1227 (967–1697) | 0.35 | |
| Platelets (µL) median IQR | 237,000 (137,000–330,500) | 238,000 (196,750–311,500) | 0.10 | 150,000–450,000 |
| Monocytes (µL) median IQR | 521 (388–727) | 580 (443–818) | 0.29 | |
| Hematocrit % (mean ± SD) | 34.85 ± 5.9 | 42.75 ± 6.3 | 0.0001 | |
| Hemoglobin g/dL (mean ± SD) | 11.3 (9.4–12.6) | 13.5 (12.5–14.8) | 0.00001 | |
| NLR (median IQR) | 7.64 (5.4–12.7) | 7.69 (4.5–12.3) | 0.50 | |
| PLR (median IQR) | 205.6 (158–265) | 212.5 (126–304) | 0.97 | |
| MLR (median IQR) | 0.56 (0.29–0.88) | 0.52 (0.34–0.71) | 0.71 | |
| C reactive protein mg/L (median IQR) | 160 (79–284) | 177 (99–278) | 0.53 | 0–10 |
| D-Dimer (ng/mL) median (IQR) Missing (%) | 1575 (598–2510) 19 (51) | 565 (264–1069) 36 (52) | 0.005 | Up to 500 |
| Ferritin (ng/mL) median (IQR) Missing (%) | 2065 (598–2510) 23 (62) | 866 (563–1450) 43 (61) | 0.04 | 28–365 |
| Procalcitonin (ng/mL) median (IQR) Missing (%) | 1.35 (0.53–5.71) 16 (43) | 0.2 (0.1–0.33) 25 (35.7) | 0.0001 | 0–0.5 |
| Variable | Unadjusted OR | 95% CI | p-Value | Adjusted OR * | 95% CI | p-Value |
|---|---|---|---|---|---|---|
| Age (>60 years) | 1.03 | 1.2–1.7 | 0.020 | 1.04 | 1.03–1.7 | 0.047 |
| Gender | 1.16 | 0.5–2.6 | 0.71 | - | - | - |
| CKD | 4.10 | 1.7–9.5 | 0.001 | 5.6 | 2.1–15.7 | 0.001 |
| Diabetes | 1.22 | 0.5–2.6 | 0.60 | - | - | - |
| HTA | 2.26 | 0.9–5.2 | 0.05 | 1.1 | 0.9–3.3 | 0.8 |
| comorbidities | 2.3 | 0.8–6.1 | 0.08 | - | - | - |
| WBC | 0.62 | 0.9–1.0 | 0.80 | - | - | - |
| Lymph. | 1.00 | 0.9–1.0 | 0.20 | - | - | - |
| Neut. | 1.01 | 0.9–1.0 | 0.70 | - | - | - |
| Monoc. | 1.52 | 0.5–4.9 | 0.48 | - | - | - |
| Plt. | 0.99 | 0.9–0.1 | 0.32 | - | - | - |
| Hto. | 0.95 | 0.9–1.0 | 0.18 | - | - | - |
| NLR | 1.06 | 0.9–1.0 | 0.58 | - | - | - |
| PLR | 0.99 | 0.9–1.0 | 0.96 | - | - | - |
| MLR | 3.01 | 0.7–12.1 | 0.10 | - | - | - |
| CRP | 1.01 | 0.9–0.1 | 0.20 | - | - | - |
| Urea (mg/dL) | 1.11 | 1.1–1.2 | 0.001 | - | - | - |
| Hypoxia | 4.24 | 1.8–9.6 | 0.001 | 5.2 | 2.0–13.5 | 0.001 |
| Low Hb | 3.75 | 1.4–9.8 | 0.008 | 3.01 | 0.8–10.1 | 0.075 |
| Non-CKD | CKD | |||||||||||
|---|---|---|---|---|---|---|---|---|---|---|---|---|
| Variable | Unadjusted OR | 95% CI | p-Value | Adjusted OR | 95% CI | p-Value | Unadjusted OR | 95% CI | p-Value | Adjusted OR | 95% CI | p-Value |
| Age | 1.06 | 1.1–1.2 | 0.011 | 1.04 | 1.0–1.4 | 0.062 | 0.9 | 0.9–1.0 | 0.65 | 0.94 | 0.9–1.2 | 0.31 |
| Gender | 1.3 | 0.4–4.1 | 0.6 | - | - | - | 1.04 | 0.2–4.1 | 0.95 | - | - | - |
| Diabetes | 0.7 | 0.2–2.2 | 0.56 | - | - | - | 0.97 | 0.2–3.7 | 0.97 | - | - | - |
| HTA | 1.5 | 0.5–4.5 | 0.3 | - | - | - | 1.75 | 0.2–14.0 | 0.59 | - | - | - |
| comorbidities | 0.4 | 0.2–2.5 | 0.59 | - | - | - | 1.69 | 0.09–29.4 | 0.71 | - | - | - |
| NLR | 1.0 | 0.9–1.0 | 0.9 | - | - | 1.08 | 0.9–1.2 | 0.17 | - | - | - | |
| PLR | 0.9 | 0.9–1.0 | 0.5 | - | - | 1.0 | 0.9–1.0 | 0.13 | - | - | - | |
| MLR | 1.7 | 0.4–12.6 | 0.5 | - | - | - | 24.9 | 1.34–46.7 | 0.031 | 36.8 | 1.5–88.3 | 0.026 |
| CRP | 1.0 | 0.9–1.0 | 0.13 | - | - | 1.0 | 0.9–1.0 | 0.27 | - | - | - | |
| Urea (mg/dL) | 1.3 | 1.1–1.6 | 0.008 | 1.2 | 1.1–1.5 | 0.031 | 1.0 | 0.9–1.0 | 0.56 | - | - | - |
| Hypoxia | 7.76 | 2.2–26.8 | 0.001 | 6.2 | 1.7–23.12 | 0.006 | 1.9 | 0.5–7.5 | 0.33 | - | - | - |
| Low Hb | 2.76 | 0.5–15.0 | 0.23 | - | - | - | 1.3 | 0.9–1.75 | 0.21 | - | - | - |
| creatinine | 2.03 | 0.7–5.2 | 0.14 | - | - | - | 1.04 | 0.9–1.1 | 0.52 | - | - | - |
Publisher’s Note: MDPI stays neutral with regard to jurisdictional claims in published maps and institutional affiliations. |
© 2021 by the authors. Licensee MDPI, Basel, Switzerland. This article is an open access article distributed under the terms and conditions of the Creative Commons Attribution (CC BY) license (http://creativecommons.org/licenses/by/4.0/).
Share and Cite
Dávila-Collado, R.; Jarquín-Durán, O.; Solís-Vallejo, A.; Nguyen, M.A.; Espinoza, J.L. Elevated Monocyte to Lymphocyte Ratio and Increased Mortality among Patients with Chronic Kidney Disease Hospitalized for COVID-19. J. Pers. Med. 2021, 11, 224. https://doi.org/10.3390/jpm11030224
Dávila-Collado R, Jarquín-Durán O, Solís-Vallejo A, Nguyen MA, Espinoza JL. Elevated Monocyte to Lymphocyte Ratio and Increased Mortality among Patients with Chronic Kidney Disease Hospitalized for COVID-19. Journal of Personalized Medicine. 2021; 11(3):224. https://doi.org/10.3390/jpm11030224
Chicago/Turabian StyleDávila-Collado, Ramsés, Oscar Jarquín-Durán, Andrés Solís-Vallejo, Mai Anh Nguyen, and J. Luis Espinoza. 2021. "Elevated Monocyte to Lymphocyte Ratio and Increased Mortality among Patients with Chronic Kidney Disease Hospitalized for COVID-19" Journal of Personalized Medicine 11, no. 3: 224. https://doi.org/10.3390/jpm11030224
APA StyleDávila-Collado, R., Jarquín-Durán, O., Solís-Vallejo, A., Nguyen, M. A., & Espinoza, J. L. (2021). Elevated Monocyte to Lymphocyte Ratio and Increased Mortality among Patients with Chronic Kidney Disease Hospitalized for COVID-19. Journal of Personalized Medicine, 11(3), 224. https://doi.org/10.3390/jpm11030224

