Spontaneous Rectal Perforation in a Patient with SARS–CoV-2 Infection
Abstract
1. Introduction
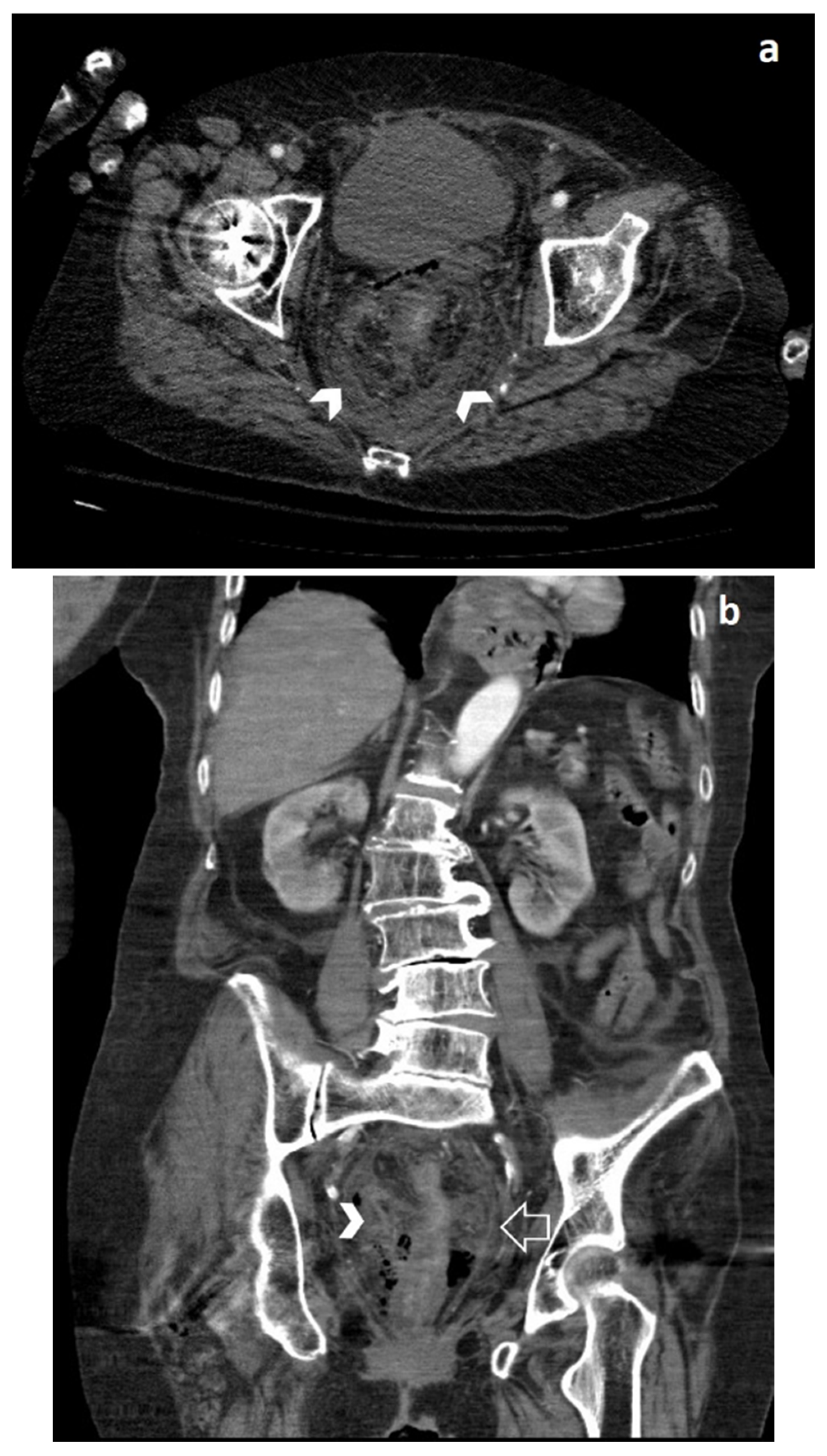
2. Case Report
3. Discussion
Author Contributions
Funding
Conflicts of Interest
References
- Sambataro, G.; Giuffrè, M.; Sambataro, D.; Palermo, A.; Vignigni, G.; Cesareo, R.; Crimi, N.; Torrisi, S.E.; Vancheri, C.; Malatino, L.; et al. The Model for Early COvid-19 Recognition (MECOR) Score: A Proof-of-Concept for a Simple and Low-Cost Tool to Recognize a Possible Viral Etiology in Community-Acquired Pneumonia Patients during COVID-19 Outbreak. Diagnostics 2020, 10, 619. [Google Scholar] [CrossRef] [PubMed]
- Cabas, P.; Di Bella, S.; Giuffrè, M.; Rizzo, M.; Trombetta, C.; Luzzati, R.; Antonello, R.M.; Parenzan, K.; Liguori, G. Community pharmacists’ exposure to COVID-19. Res. Soc. Adm. Pharm. 2020. [Google Scholar] [CrossRef] [PubMed]
- Baratella, E.; Crivelli, P.; Marrocchio, C.; Bozzato, A.M.; De Vito, A.; Madeddu, G.; Saderi, L.; Confalonieri, M.; Tenaglia, L.; Cova, M.A. Severity of lung involvement on chest X-rays in SARS-coronavirus-2 infected patients as a possible tool to predict clinical progression: An observational retrospective analysis of the relationship between radiological, clinical, and laboratory data. J. Bras. Pneumol. 2020, 46, 1–8. [Google Scholar] [CrossRef]
- Liang, W.; Feng, Z.; Rao, S.; Xiao, C.; Xue, X.; Lin, Z.; Zhang, Q.; Qi, W. Diarrhoea may be underestimated: A missing link in 2019 novel coronavirus. Gut 2020, 69, 1141–1143. [Google Scholar] [CrossRef] [PubMed]
- El Moheb, M.; Naar, L.; Christensen, M.A.; Kapoen, C.; Maurer, L.R.; Farhat, M.; Kaafarani, H.M.A. Gastrointestinal Complications in Critically Ill Patients With and Without COVID-19. JAMA 2020. [Google Scholar] [CrossRef] [PubMed]
- Xiao, F.; Tang, M.; Zheng, X.; Liu, Y.; Li, X.; Shan, H. Evidence for Gastrointestinal Infection of SARS-CoV-2. Gastroenterology 2020, 158, 1831–1833. [Google Scholar] [CrossRef] [PubMed]
- Lin, L.; Jiang, X.; Zhang, Z.; Huang, S.; Zhang, Z.; Fang, Z.; Gu, Z.; Gao, L.; Shi, H.; Mai, L.; et al. Gastrointestinal symptoms of 95 cases with SARS-CoV-2 infection. Gut 2020, 69, 997–1001. [Google Scholar] [CrossRef] [PubMed]
- Pan, Y.; Zhang, D.; Yang, P.; Poon, L.L.M.; Wang, Q. Viral load of SARS-CoV-2 in clinical samples. Lancet Infect. Dis. 2020, 20, 411–412. [Google Scholar] [CrossRef]
- Giuffrè, M.; Di Bella, S.; Sambataro, G.; Zerbato, V.; Cavallaro, M.; Occhipinti, A.A.; Palermo, A.; Crescenti, A.; Monica, F.; Luzzati, R.; et al. COVID-19-induced Thrombosis in Patients without Gastrointestinal Symptoms and Elevated Fecal Calprotectin: Hypothesis regarding Mechanism of Intestinal Damage Associated with COVID-19. Trop. Med. Infect. Dis. 2020, 5, 147. [Google Scholar] [CrossRef] [PubMed]
- Effenberger, M.; Grabherr, F.; Mayr, L.; Schwaerzler, J.; Nairz, M.; Seifert, M.; Hilbe, R.; Seiwald, S.; Scholl-Buergi, S.; Fritsche, G.; et al. Faecal calprotectin indicates intestinal inflammation in COVID-19. Gut 2020, 69, 1543–1544. [Google Scholar] [CrossRef] [PubMed]
- Bhayana, R.; Som, A.; Li, M.D.; Carey, D.E.; Anderson, M.A.; Blake, M.A.; Catalano, O.; Gee, M.S.; Hahn, P.F.; Harisinghani, M.; et al. Abdominal Imaging Findings in COVID-19: Preliminary Observations. Radiology 2020, 297, E207–E215. [Google Scholar] [CrossRef] [PubMed]
- De Nardi, P.; Parolini, D.C.; Ripa, M.; Racca, S.; Rosati, R. Bowel perforation in a Covid-19 patient: Case report. Int. J. Colorectal Dis. 2020, 35, 1797–1800. [Google Scholar] [CrossRef] [PubMed]
- Gartland, R.M.; Velmahos, G.C. Bowel Necrosis in the Setting of COVID-19. J. Gastrointest. Surg. 2020, 1–2. [Google Scholar] [CrossRef] [PubMed]
- Bielecki, K.; Kamiński, P.; Klukowski, M. Large bowel perforation: Morbidity and mortality. Tech. Coloproctol. 2002, 6, 177–182. [Google Scholar] [CrossRef] [PubMed]
- Pouli, S.; Kozana, A.; Papakitsou, I.; Daskalogiannaki, M.; Raissaki, M. Gastrointestinal perforation: Clinical and MDCT clues for identification of aetiology. Insights Imaging 2020, 11, 1–9. [Google Scholar] [CrossRef] [PubMed]
- Borofsky, S.; Taffel, M.; Khati, N.; Zeman, R.; Hill, M. The emergency room diagnosis of gastrointestinal tract perforation: The role of CT. Emerg. Radiol. 2015, 22, 315–327. [Google Scholar] [CrossRef] [PubMed]
- Furukawa, A.; Sakoda, M.; Yamasaki, M.; Kono, N.; Tanaka, T.; Nitta, N.; Kanasaki, S.; Imoto, K.; Takahashi, M.; Murata, K.; et al. Gastrointestinal tract perforation: CT diagnosis of presence, site, and cause. Abdom. Imaging 2005, 30, 524–534. [Google Scholar] [CrossRef] [PubMed]
- Del Gaizo, A.J.; Lall, C.; Allen, B.C.; Leyendecker, J.R. From esophagus to rectum: A comprehensive review of alimentary tract perforations at computed tomography. Abdom. Imaging 2014, 39, 802–823. [Google Scholar] [CrossRef] [PubMed]



© 2020 by the authors. Licensee MDPI, Basel, Switzerland. This article is an open access article distributed under the terms and conditions of the Creative Commons Attribution (CC BY) license (http://creativecommons.org/licenses/by/4.0/).
Share and Cite
Giuffrè, M.; Bozzato, A.M.; Di Bella, S.; Occhipinti, A.A.; Martingano, P.; Cavallaro, M.F.M.; Luzzati, R.; Monica, F.; Cova, M.A.; Crocè, L.S. Spontaneous Rectal Perforation in a Patient with SARS–CoV-2 Infection. J. Pers. Med. 2020, 10, 157. https://doi.org/10.3390/jpm10040157
Giuffrè M, Bozzato AM, Di Bella S, Occhipinti AA, Martingano P, Cavallaro MFM, Luzzati R, Monica F, Cova MA, Crocè LS. Spontaneous Rectal Perforation in a Patient with SARS–CoV-2 Infection. Journal of Personalized Medicine. 2020; 10(4):157. https://doi.org/10.3390/jpm10040157
Chicago/Turabian StyleGiuffrè, Mauro, Alessandro Marco Bozzato, Stefano Di Bella, Alessandro Agostino Occhipinti, Paola Martingano, Marco Francesco Maria Cavallaro, Roberto Luzzati, Fabio Monica, Maria Assunta Cova, and Lory Saveria Crocè. 2020. "Spontaneous Rectal Perforation in a Patient with SARS–CoV-2 Infection" Journal of Personalized Medicine 10, no. 4: 157. https://doi.org/10.3390/jpm10040157
APA StyleGiuffrè, M., Bozzato, A. M., Di Bella, S., Occhipinti, A. A., Martingano, P., Cavallaro, M. F. M., Luzzati, R., Monica, F., Cova, M. A., & Crocè, L. S. (2020). Spontaneous Rectal Perforation in a Patient with SARS–CoV-2 Infection. Journal of Personalized Medicine, 10(4), 157. https://doi.org/10.3390/jpm10040157

