Induction of Micronuclei in Cervical Cancer Treated with Radiotherapy
Abstract
1. Introduction
2. Materials and Methods
2.1. Patients
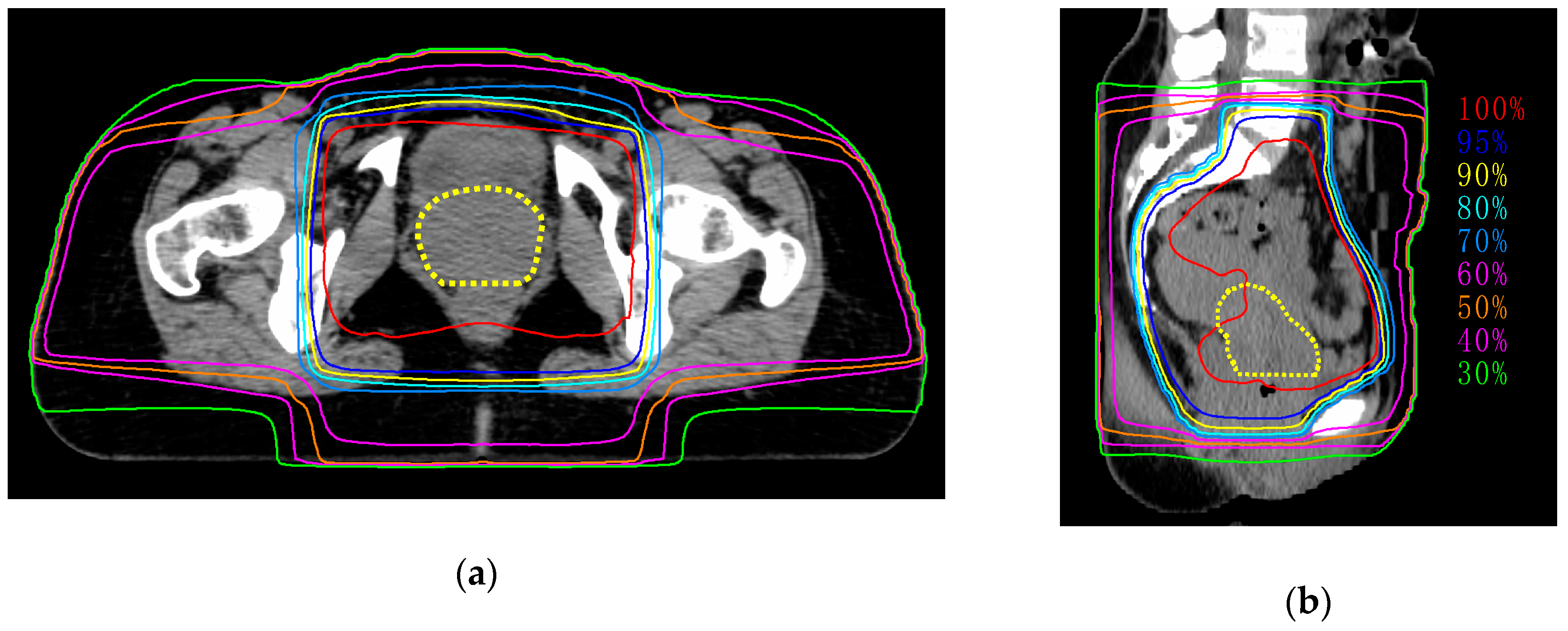
2.2. Treatment
2.3. Sample Collection and Nuclear Morphology Assessment
2.4. Statistical Analysis
3. Results
4. Discussion
5. Conclusions
Author Contributions
Funding
Conflicts of Interest
Abbreviations
| CCRT | Concurrent chemoradiotherapy |
| cGAS | Cyclic GMP-AMP synthase |
| DAPI | 4′,6-diamidino-2-phenylindole, dihydrochloride |
| EBRT | External beam radiotherapy |
| IGBT | Image-guided brachytherapy |
| IMRT | Intensity modulated radiotherapy |
| MN | Micronuclei |
| PBS | Phosphate buffer saline |
| PD-L1 | Programmed cell death-ligand 1 |
| RT | Radiotherapy |
| STING | Stimulator of interferon genes |
References
- Nardone, V.; Pastina, P.; Giannicola, R.; Agostino, R.; Croci, S.; Tini, P.; Pirtoli, L.; Giordano, A.; Tagliaferri, P.; Correale, P. How to increase the efficacy of immunotherapy in NSCLC and HNSCC: Role of radiation therapy, chemotherapy, and other strategies. Front. Immunol. 2018, 9, 2941. [Google Scholar] [CrossRef]
- Whiteside, T.L.; Demaria, S.; Rodriguez-Ruiz, M.E.; Zarour, H.M.; Melero, I. emerging opportunities and challenges in cancer immunotherapy. Clin. Cancer Res. 2016, 22, 1845–1855. [Google Scholar] [CrossRef]
- Fenech, M. Cytokinesis-block micronucleus cytome assay. Nat. Protoc. 2007, 2, 1084–1104. [Google Scholar] [CrossRef]
- Utani, K.; Kohno, Y.; Okamoto, A.; Shimizu, N. Emergence of micronuclei and their effects on the fate of cells under replication stress. PLoS ONE 2010, 5, e10089. [Google Scholar] [CrossRef]
- Gao, D.; Li, T.; Li, X.D.; Chen, X.; Li, Q.Z.; Wight-Carter, M.; Chen, Z.J. Activation of cyclic GMP-AMP synthase by self-DNA causes autoimmune diseases. Proc. Natl. Acad. Sci. USA 2015, 112, E5699–E5705. [Google Scholar] [CrossRef]
- Zhang, X.; Shi, H.; Wu, J.; Zhang, X.; Sun, L.; Chen, C.; Chen, Z.J. Cyclic GMP-AMP containing mixed phosphodiester linkages is an endogenous high-affinity ligand for STING. Mol. Cell. 2013, 51, 226–235. [Google Scholar] [CrossRef]
- Harding, S.M.; Benci, J.L.; Irianto, J.; Discher, D.E.; Minn, A.J.; Greenberg, R.A. Mitotic progression following DNA damage enables pattern recognition within micronuclei. Nature 2017, 548, 466–470. [Google Scholar] [CrossRef]
- Mackenzie, K.J.; Carroll, P.; Martin, C.A.; Murina, O.; Fluteau, A.; Simpson, D.J.; Olova, N.; Sutcliffe, H.; Rainger, J.K.; Leitch, A.; et al. cGAS surveillance of micronuclei links genome instability to innate immunity. Nature 2017, 548, 461–465. [Google Scholar] [CrossRef]
- Deng, L.; Liang, H.; Xu, M.; Yang, X.; Burnette, B.; Arina, A.; Li, X.D.; Mauceri, H.; Beckett, M.; Darga, T.; et al. STING-dependent cytosolic DNA sensing promotes radiation-induced type I interferon-dependent antitumor immunity in immunogenic tumors. Immunity 2014, 41, 843–852. [Google Scholar] [CrossRef]
- Gekara, N.O. DNA damage-induced immune response: Micronuclei provide key platform. J. Cell Biol. 2017, 216, 2999–3001. [Google Scholar] [CrossRef]
- Vanpouille-Box, C.; Alard, A.; Aryankalayil, M.J.; Sarfraz, Y.; Diamond, J.M.; Schneider, R.J.; Inghirami, G.; Coleman, C.N.; Formenti, S.C.; Demaria, S. DNA exonuclease Trex1 regulates radiotherapy-induced tumour immunogenicity. Nat. Commun. 2017, 8, 15618. [Google Scholar] [CrossRef]
- Lee, T.K.; O’Brien, K.F.; Naves, J.L.; Christie, K.I.; Arastu, H.H.; Eaves, G.S.; Wiley, A.L., Jr.; Karlsson, U.L.; Salehpour, M.R. Micronuclei in lymphocytes of prostate cancer patients undergoing radiation therapy. Mutat. Res. 2000, 469, 63–70. [Google Scholar] [CrossRef]
- Tichy, A.; Kabacik, S.; O’Brien, G.; Pejchal, J.; Sinkorova, Z.; Kmochova, A.; Sirak, I.; Malkova, A.; Beltran, C.G.; Gonzalez, J.R.; et al. The first in vivo multiparametric comparison of different radiation exposure biomarkers in human blood. PLoS ONE 2018, 13, e0193412. [Google Scholar] [CrossRef]
- Unal, D.; Kiraz, A.; Avci, D.; Tasdemir, A.; Unal, T.D.; Cagli, S.; Eroglu, C.; Yuce, I.; Ozcan, I.; Kaplan, B. Cytogenetic damage of radiotherapy in long-term head and neck cancer survivors. Int. J. Radiat. Biol. 2016, 92, 364–370. [Google Scholar] [CrossRef]
- Werbrouck, J.; Ost, P.; Fonteyne, V.; De Meerleer, G.; De Neve, W.; Bogaert, E.; Beels, L.; Bacher, K.; Vral, A.; Thierens, H. Early biomarkers related to secondary primary cancer risk in radiotherapy treated prostate cancer patients: IMRT versus IMAT. Radiother. Oncol. 2013, 107, 377–381. [Google Scholar] [CrossRef]
- Ohno, T.; Noda, S.E.; Okonogi, N.; Murata, K.; Shibuya, K.; Kiyohara, H.; Tamaki, T.; Ando, K.; Oike, T.; Ohkubo, Y.; et al. In-room computed tomography-based brachytherapy for uterine cervical cancer: Results of a 5-year retrospective study. J. Radiat. Res. 2017, 58, 543–551. [Google Scholar] [CrossRef]
- Kobayashi, D.; Shibata, A.; Oike, T.; Nakano, T. One-step protocol for evaluation of the mode of radiation-induced clonogenic cell death by fluorescence microscopy. J. Vis. Exp. 2017, 56338. [Google Scholar] [CrossRef]
- Amornwichet, N.; Oike, T.; Shibata, A.; Ogiwara, H.; Tsuchiya, N.; Yamauchi, M.; Saitoh, Y.; Sekine, R.; Isono, M.; Yoshida, Y.; et al. Carbon-ion beam irradiation kills X-ray-resistant p53-null cancer cells by inducing mitotic catastrophe. PLoS ONE 2014, 9, e115121. [Google Scholar] [CrossRef]
- Kobayashi, D.; Oike, T.; Shibata, A.; Niimi, A.; Kubota, Y.; Sakai, M.; Amornwhichet, N.; Yoshimoto, Y.; Hagiwara, Y.; Kimura, Y.; et al. Mitotic catastrophe is a putative mechanism underlying the weak correlation between sensitivity to carbon ions and cisplatin. Sci. Rep. 2017, 7, 40588. [Google Scholar] [CrossRef] [PubMed]
- Eom, Y.W.; Kim, M.A.; Park, S.S.; Goo, M.J.; Kwon, H.J.; Sohn, S.; Kim, W.H.; Yoon, G.; Choi, K.S. Two distinct modes of cell death induced by doxorubicin: Apoptosis and cell death through mitotic catastrophe accompanied by senescence-like phenotype. Oncogene 2005, 24, 4765–4777. [Google Scholar] [CrossRef]
- Gascoigne, K.E.; Taylor, S.S. How do anti-mitotic drugs kill cancer cells? J. Cell Sci. 2009, 122, 2579–2585. [Google Scholar] [CrossRef] [PubMed]
- Roninson, I.B.; Broude, E.V.; Chang, B.D. If not apoptosis, then what? Treatment-induced senescence and mitotic catastrophe in tumor cells. Drug Resist. Updat. 2001, 4, 303–313. [Google Scholar] [CrossRef] [PubMed]
- Ramondetta, L. What is the appropriate approach to treating women with incurable cervical cancer? J. Natl. Compr. Cancer Netw. 2013, 11, 348–355. [Google Scholar] [CrossRef] [PubMed]
- McLachlan, J.; Boussios, S.; Okines, A.; Glaessgen, D.; Bodlar, S.; Kalaitzaki, R.; Taylor, A.; Lalondrelle, S.; Gore, M.; Kaye, S.; et al. The impact of systemic therapy beyond first-line treatment for advanced cervical cancer. Clin. Oncol. 2017, 29, 153–160. [Google Scholar] [CrossRef] [PubMed]
- Gillison, M.L.; Chaturvedi, A.K.; Lowy, D.R. HPV prophylactic vaccines and the potential prevention of noncervical cancers in both men and women. Cancer 2008, 113, 3036–3046. [Google Scholar] [CrossRef]
- Otter, S.J.; Chatterjee, J.; Stewart, A.J.; Michael, A. The role of biomarkers for the prediction of response to checkpoint immunotherapy and the rationale for the use of checkpoint immunotherapy in cervical cancer. Clin. Oncol. 2019, 31, 834–843. [Google Scholar] [CrossRef]
- Reddy, O.L.; Shintaku, P.I.; Moatamed, N.A. Programmed death-ligand 1 (PD-L1) is expressed in a significant number of the uterine cervical carcinomas. Diagn. Pathol. 2017, 12, 45. [Google Scholar] [CrossRef]
- Boussios, S.; Seraj, E.; Zarkavelis, G.; Petrakis, D.; Kollas, A.; Kafantari, A.; Assi, A.; Tatsi, K.; Pavlidis, N.; Pentheroudakis, G. Management of patients with recurrent/advanced cervical cancer beyond first line platinum regimens: Where do we stand? A literature review. Crit. Rev. Oncol. Hematol. 2016, 108, 164–174. [Google Scholar] [CrossRef]
- Heeren, A.M.; Punt, S.; Bleeker, M.C.; Gaarenstroom, K.N.; van der Velden, J.; Kenter, G.G.; de Gruijl, T.D.; Jordanova, E.S. Prognostic effect of different PD-L1 expression patterns in squamous cell carcinoma and adenocarcinoma of the cervix. Mod. Pathol. 2016, 29, 753–763. [Google Scholar] [CrossRef]
- Wang, D.; Zhang, X.; Gao, Y.; Cui, X.; Yang, Y.; Mao, W.; Li, M.; Zhang, B.; Yu, J. Research progress and existing problems for abscopal effect. Cancer Manag. Res. 2020, 12, 6695–6706. [Google Scholar] [CrossRef]
- Gamulin, M.; Kopjar, N.; Grgic, M.; Ramic, S.; Bisof, V.; Garaj-Vrhovac, V. Genome damage in oropharyngeal cancer patients treated by radiotherapy. Croat. Med. J. 2008, 49, 515–527. [Google Scholar] [CrossRef] [PubMed]




| Characteristics | Median (Range) |
|---|---|
| Age (years) | 57 (42–82) |
| Age ≤ 50 vs. > 50 | 3 vs. 4 |
| Menstrual status (premenopausal vs. postmenopausal) | 2 vs. 5 |
| Follow-up (months) | 11 (1–21) |
| FIGO stage | |
| IB | 0 |
| II | 4 |
| III | 2 |
| IVA | 1 |
| Histology | |
| Squamous cell carcinoma | 7 |
| Tumor diameter (cm) | 61.3 (41.1–80.1) |
| Serum tumor marker | |
| CEA (ng/mL) | 4.4 (0.9–7.4) |
| SCC (ng/mL) | 8.9 (0.9–28.3) |
| Treatment method | |
| Chemoradiotherapy | 4 |
| Radiotherapy alone | 3 |
| EBRT dose | 55.6 Gy/29 fr. |
| IGBT dose | 24 Gy/4 fr. |
| Interval between first and second biopsy (days) | 7 (4–10) |
| Response at the end of EBRT (absence of gross residual tumor vs. presence of gross residual tumor) | 1 vs. 6 |
© 2020 by the authors. Licensee MDPI, Basel, Switzerland. This article is an open access article distributed under the terms and conditions of the Creative Commons Attribution (CC BY) license (http://creativecommons.org/licenses/by/4.0/).
Share and Cite
Kobayashi, D.; Oike, T.; Murata, K.; Irie, D.; Hirota, Y.; Sato, H.; Shibata, A.; Ohno, T. Induction of Micronuclei in Cervical Cancer Treated with Radiotherapy. J. Pers. Med. 2020, 10, 110. https://doi.org/10.3390/jpm10030110
Kobayashi D, Oike T, Murata K, Irie D, Hirota Y, Sato H, Shibata A, Ohno T. Induction of Micronuclei in Cervical Cancer Treated with Radiotherapy. Journal of Personalized Medicine. 2020; 10(3):110. https://doi.org/10.3390/jpm10030110
Chicago/Turabian StyleKobayashi, Daijiro, Takahiro Oike, Kazutoshi Murata, Daisuke Irie, Yuka Hirota, Hiro Sato, Atsushi Shibata, and Tatsuya Ohno. 2020. "Induction of Micronuclei in Cervical Cancer Treated with Radiotherapy" Journal of Personalized Medicine 10, no. 3: 110. https://doi.org/10.3390/jpm10030110
APA StyleKobayashi, D., Oike, T., Murata, K., Irie, D., Hirota, Y., Sato, H., Shibata, A., & Ohno, T. (2020). Induction of Micronuclei in Cervical Cancer Treated with Radiotherapy. Journal of Personalized Medicine, 10(3), 110. https://doi.org/10.3390/jpm10030110

