Shear Wave Elastography in Diagnosing Secondary Hyperparathyroidism
Abstract
1. Introduction
2. Materials and Methods
2.1. Inclusion Criteria
2.2. Exclusion Criteria
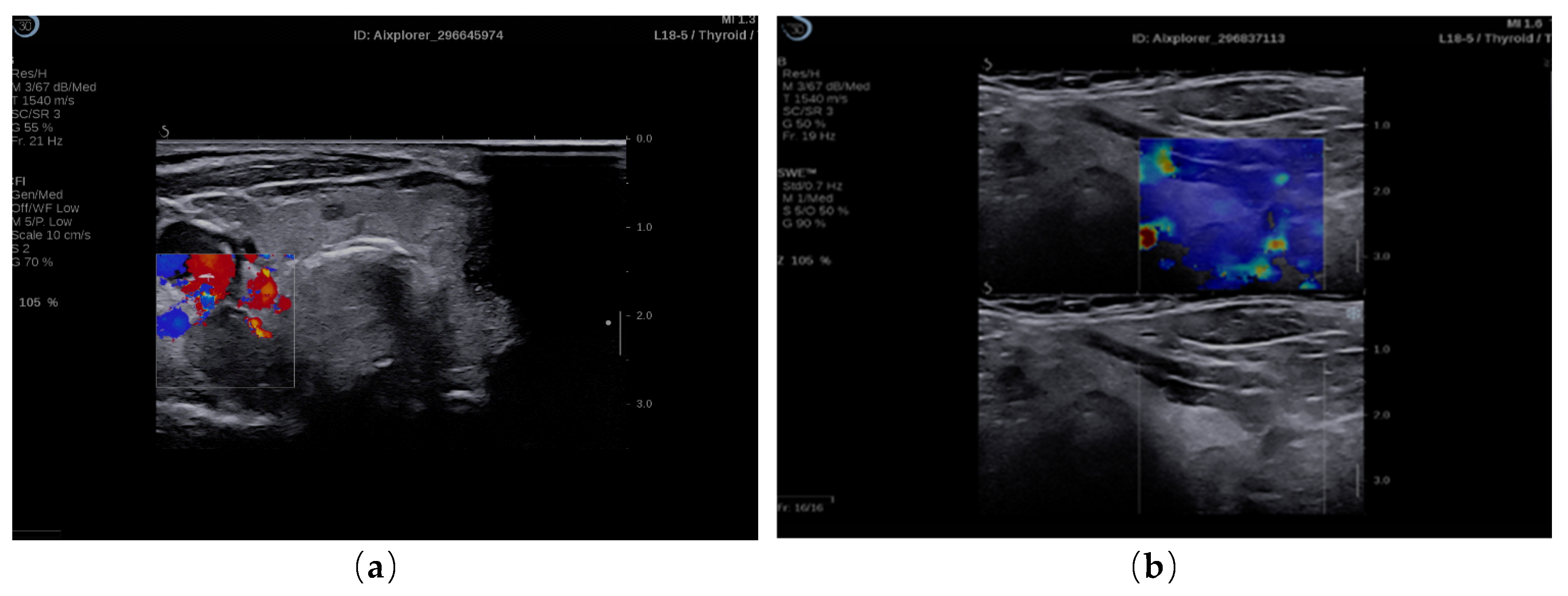
2.3. Conventional Ultrasound
2.4. Elastography Exam
2.5. External Observer Evaluation
2.6. Biochemical Assay
2.7. Technetium-99 Sestamibi Scintigraphy Scan
2.8. Statistical Analysis
3. Results
3.1. SWE Results
3.2. Correlation between Shear Wave Elastography and Biochemical Assay
4. Discussion
5. Conclusions
Author Contributions
Conflicts of Interest
Abbreviations
| ARFI | acoustic radiation force impulse |
| CKD | chronic kidney disease |
| CKD-MBD | chronic kidney disease–mineral bone disorder |
| EI | elasticity index |
| ESRD | end-stage renal disease |
| KDIGO | Kidney Disease: Improving Global Outcomes Guidelines |
| PTH | parathormone |
| Q-box | quantification box |
| ROI | region of interest |
| RRT | renal replacement therapy |
| sHPT | secondary hyperparathyroidism |
| SWE | shear wave elastography |
| SWE-max | maximum stiffness value |
| SWE-mean | mean stiffness value |
| SWE-min | minimum stiffness value |
| SWR | shear wave ratio |
References
- Yuen, N.K.; Ananthakrishnan, S.; Campbell, M.J. Hyperparathyroidism of Renal Disease. Perm. J. 2016, 20, 78–83. [Google Scholar] [CrossRef] [PubMed]
- Jean, G.; Lafage-Proust, M.H.; Souberbielle, J.C.; Lechevallier, S.; Deleaval, P.; Lorriaux, C.; Hurot, J.M.; Mayor, B.; Mehdi, M.; Chazot, C. Severe secondary hyperparathyroidism in patients on haemodialysis is associated with a high initial serum parathyroid hormone and beta-CrossLaps level: Results from an incident cohort. PLoS One 2018, 13, 1–15. [Google Scholar] [CrossRef] [PubMed]
- Kramer, A.; Pippias, M.; Noordzij, M.; Stel, V.S.; Afentakis, N.; Ambühl, P.M.; Andrusev, A.M.; Fuster, E.A.; Arribas Monzón, F.E.; Åsberg, A.; et al. The European Renal Association – European Dialysis and Transplant Association (ERA-EDTA) Registry Annual Report 2015: A summary. Clin. Kidney, J. 2018, 11, 108–122. [Google Scholar] [CrossRef] [PubMed]
- Saran, R.; Robinson, B.; Abbott, K.C.; Agodoa, L.Y.C.; Bragg-Gresham, J.; Balkrishnan, R.; Bhave, N.; Dietrich, X.; Ding, Z.; Eggers, P.W.; et al. US Renal Data System 2018 Annual Data Report: Epidemiology of Kidney Disease in the United States. Am. J. Kidney Dis. 2019, 73, A7–A8. [Google Scholar] [CrossRef]
- Oltmann, S.C.; Madkhali, T.M.; Sippel, R.S.; Chen, H.; Schneider, D.F. Kidney Disease Improving Global Outcomes guidelines and parathyroidectomy for renal hyperparathyroidism. J. Surg. Res. 2015, 199, 115–120. [Google Scholar] [CrossRef]
- Hedgeman, E.; Lipworth, L.; Lowe, K.; Saran, R.; Do, T.; Fryzek, J. International burden of chronic kidney disease and secondary hyperparathyroidism: A systematic review of the literature and available data. Int. J. Nephrol. 2015. [Google Scholar] [CrossRef]
- Evenepoel, P.; Meijers, B.; Viaene, L.; Bammens, B.; Claes, K.; Kuypers, D.; Vanderschueren, D.; Vanrenterghem, Y. Fibroblast growth factor-23 in early chronic kidney disease: Additional support in favor of a phosphate-centric paradigm for the pathogenesis of secondary hyperparathyroidism. Clin. J. Am. Soc. Nephrol. 2010, 5, 1268–1276. [Google Scholar] [CrossRef]
- Russo, D.; Battaglia, Y. Clinical Significance of FGF-23 in Patients with CKD. Int. J. Nephrol. 2011. [Google Scholar] [CrossRef]
- Korosi, A. Practice guidelines for chronic kidney disease. Ann. Intern. Med. 2004, 140, 934–935. [Google Scholar] [CrossRef]
- Ketteler, M.; Block, G.A.; Evenepoel, P.; Fukagawa, M.; Herzog, C.A.; McCann, L.; Moe, S.M.; Shroff, R.; Tonelli, M.A.; Toussaint, N.D.; et al. Diagnosis, evaluation, prevention, and treatment of chronic kidney disease-mineral and bone disorder: Synopsis of the kidney disease: Improving global outcomes 2017 clinical practice guideline update. Ann. Intern Med. 2018, 168, 422–430. [Google Scholar] [CrossRef]
- Beto, J.; Bhatt, N.; Gerbeling, T.; Patel, C.; Drayer, D. Overview of the 2017 KDIGO CKD-MBD Update: Practice Implications for Adult Hemodialysis Patients. J. Ren. Nutr. 2019, 29, 2–15. [Google Scholar] [CrossRef] [PubMed]
- Ketteler, M.; Block, G.A.; Evenepoel, P.; Fukagawa, M.; Herzog, C.A.; McCann, L.; Moe, S.M.; Shroff, R.; Tonelli, M.A.; Toussaint, N.D.; et al. Executive summary of the 2017 KDIGO Chronic Kidney Disease–Mineral and Bone Disorder (CKD-MBD) Guideline Update: what’s changed and why it matters. Kidney Int. 2017, 92, 26–36. [Google Scholar] [CrossRef] [PubMed]
- Lorenz, K.; Bartsch, D.K.; Sancho, J.J.; Guigard, S.; Triponez, F. Surgical management of secondary hyperparathyroidism in chronic kidney disease—a consensus report of the European Society of Endocrine Surgeons. Langenbeck’s Arch. Surg. 2015, 400, 907–927. [Google Scholar] [CrossRef] [PubMed]
- Aloia, J.F.; Feuerman, M.; Yeh, J.K. Reference range for serum parathyroid hormone. Endocr. Pract. 2006, 12, 137–144. [Google Scholar] [CrossRef]
- Chapter 1: Introduction and definition of CKD–MBD and the development of the guideline statements. Kidney Int. 2009, 76, S3–S8. [CrossRef]
- National Kidney Foundation K-DOQI. Clinical practice guidelines for bone metabolism and disease in chronic kidney disease. Clin. Rev. Bone Miner. Metab. 2007, 5, 53–67. [Google Scholar] [CrossRef]
- Varcus, F.; Peix, J.L.; Berger, N.; Bordos, D. La scintigraphie thyroïdienne: Quelle place dans le bilan préopératoire des nodules thyroïdiens? Ann. Chir. 2002, 127, 685–689. [Google Scholar] [CrossRef]
- Fuster, D.; Ybarra, J.; Torregrosa, J.-V.; Setoain, X.; Pons, F. Role of Preoperative Diagnostic Imaging Procedures in Secondary Hyperparathyroidism. Curr. Med. Imaging Rev. 2005, 1, 199–207. [Google Scholar] [CrossRef]
- Vulpio, C.; Bossola, M.; Magalini, S.C.; Silvestri, P.; Fadda, G.; Ciliberti, M.; D’Andrea, M.L.; Maresca, G. Ecografia delle paratiroidi nella valutazione clinica e terapeutica dell’iperparatiroidismo secondario renale. Radiol. Medica 2013, 118, 707–722. [Google Scholar] [CrossRef]
- Refahi, S.; Anari, H.; Bashardoust, B.; Pourissa, M. The Diagnostic Accuracy of High Resolution Ultrasound Imaging for Detection of Secondary Hyperparathyroidism in Patients with Chronic Renal Failure. Acta Med. Iran 2011, 49, 527–530. [Google Scholar]
- Yuan, L.L.; Kan, Y.; Ma, D.Q.; Yang, J.G. Combined application of ultrasound and SPECT/CT has incremental value in detecting parathyroid tissue in SHPT patients. Diagn. Interv. Imaging 2016, 97, 219–225. [Google Scholar] [CrossRef] [PubMed]
- Gennisson, J.L.; Deffieux, T.; Fink, M.; Tanter, M. Ultrasound elastography: Principles and techniques. Diagn. Interv. Imaging 2013, 94, 487–495. [Google Scholar] [CrossRef] [PubMed]
- Stoian, D.; Timar, B.; Craina, M.; Bernad, E.; Petre, I.; Craciunescu, M. Qualitative strain elastography-strain ratio evaluation-an important tool in breast cancer diagnostic. Med. Ultrason. 2016, 18, 195–200. [Google Scholar] [CrossRef] [PubMed]
- Sporea, I.; Sirli, R.; Bota, S.; Fierbinteanu-Braticevici, C.; Petrisor, A.; Badea, R.; Lupsor, M.; Popescu, A.; Danila, M. Is ARFI elastography reliable for predicting fibrosis severity in chronic HCV hepatitis? World J. Radiol. 2011, 3, 188–193. [Google Scholar] [CrossRef]
- Sporea, I.; Sirli, R.; Popescu, A.; Danila, M. Acoustic Radiation Force Impulse (ARFI)—A new modality for the evaluation of liver fibrosis. Med. Ultrason. 2010, 12, 26–31. [Google Scholar]
- Stoian, D.; Timar, B.; Derban, M.; Pantea, S.; Varcus, F.; Craina, M.; Craciunescu, M. Thyroid Imaging Reporting and Data System (TI-RADS): The impact of quantitative strain elastography for better stratification of cancer risks. Med. Ultrason. 2015, 17, 327–332. [Google Scholar] [CrossRef]
- Marsaud, A.; Raffaelli, C.; Carpentier, X.; Mentine, N.; Durand, M.; Fontas, E.; Michiels, J.F.; Amiel, J.; Chevallier, D. Elastography shows promise in cancer testicular detection. Eur. Urol. Suppl. 2013, 12, e1059. [Google Scholar] [CrossRef]
- Azizi, G.; Piper, K.; Keller, J.M.; Mayo, M.L.; Puett, D.; Earp, K.M.; Malchoff, C.D. Shear wave elastography and parathyroid adenoma: A new tool for diagnosing parathyroid adenomas. Eur. J. Radiol. 2016, 85, 1586–1593. [Google Scholar] [CrossRef]
- Hattapoǧlu, S.; Göya, C.; Hamidi, C.; Taşdemir, B.; Alan, B.; Durmaz, M.S.; Teke, M.; Ekici, F. Evaluation of parathyroid lesions with point shear wave elastography. J. Ultrasound Med. 2016, 35, 2179–2182. [Google Scholar] [CrossRef]
- Chandramohan, A.; Therese, M.; Abhraham, D.; Paul, T.V.; Mazhuvanchary, P.J. Can ARFI elastography be used to differentiate parathyroid from thyroid lesions? J. Endocrinol. Invest. 2018, 41, 111–119. [Google Scholar] [CrossRef]
- Rhee, C.M.; Chen, Y.; You, A.S.; Brunelli, S.M.; Kovesdy, C.P.; Budoff, M.J.; Brent, G.A.; Kalantar-Zadeh, K.; Nguyen, D.V. Thyroid status, quality of life, and mental health in patients on hemodialysis. Clin. J. Am. Soc. Nephrol. 2017, 12, 1274–1283. [Google Scholar] [CrossRef]
- Mohamedali, M.; Reddy Maddika, S.; Vyas, A.; Iyer, V.; Cheriyath, P. Thyroid disorders and chronic kidney disease. Int. J. Nephrol. 2014, 520281, 1–7. [Google Scholar] [CrossRef] [PubMed]
- Basu, G.; Mohapatra, A. Interactions between thyroid disorders and kidney disease. Indian J. Endocrinol. Metab. 2012, 16, 204. [Google Scholar] [CrossRef] [PubMed]
- Iglesias, P.; Díez, J.J. Thyroid dysfunction and kidney disease. Eur. J. Endocrinol. 2009, 160, 503–515. [Google Scholar] [CrossRef]
- Farag SES. Functional and Morphological Thyroid Disorders in Hemodialysis Patients. J Thyroid Disord Ther. 2013, 2, 2–5. [Google Scholar]
- Yoon, J.H.; Ko, K.H.; Jung, H.K.; Lee, J.T. Qualitative pattern classification of shear wave elastography forbreast masses: How it correlates to quantitative measurements. Eur. J. Radiol. 2013, 82, 2199–2204. [Google Scholar] [CrossRef]
- Stoian, D.; Timar, B.; Craina, M.; Craciunescu, M.; Timar, R.; Schiller, A. Elastography: A New Ultrasound Technique in Nodular Thyroid Pathology; IntechOpen: London, UK, 2016. [Google Scholar]
- Borlea, A.; Cotoi, L.; Mozos, I.; Stoian, D. Advanced Ultrasound Techniques in Preoperative Diagnostic of Thyroid Cancers. In Knowledges on Thyroid Cancer; IntechOpen: London, UK, 2019. [Google Scholar]
- Rus, G.; Melchor, J.M.; Faris, I.; Callejas, A.; Riveiro, M.; Molina, F.; Torres, J. Mechanical biomarkers by torsional shear ultrasound for medical diagnosis. J. Acoust. Soc. Am. 2018, 144, 1747. [Google Scholar] [CrossRef]
- Monpeyssen, H.; Tramalloni, J.; Poirée, S.; Hélénon, O.; Correas, J.M. Elastography of the thyroid. Diagn. Interv. Imaging 2013, 94, 535–544. [Google Scholar] [CrossRef][Green Version]
- Cosgrove, D.; Barr, R.; Bojunga, J.; Cantisani, V.; Chammas, M.C.; Dighe, M.; Vinayak, S.; Xu, J.M.; Dietrich, C.F. WFUMB Guidelines and Recommendations on the Clinical Use of Ultrasound Elastography: Part 4. Thyroid. Ultrasound Med. Biol. 2017, 43, 4–26. [Google Scholar] [CrossRef]
- Cotoi, L.; Stoian, D.; Borlea, A.; Varcus, F. Ultrasonographic and Elastographic Diagnostic of Parathyroid Lesions – A Literature Review. Austin J. Endocrinol. Diab. 2019, 6, 1–9. [Google Scholar]
- Polat, A.V.; Ozturk, M.; Akyuz, B.; Celenk, C.; Kefeli, M.; Polat, C. The diagnostic value of shear wave elastography for parathyroid lesions and comparison with cervical lymph nodes. Med. Ultrason. 2017, 19, 386–391. [Google Scholar] [CrossRef] [PubMed]
- Batur, A.; Atmaca, M.; Yavuz, A.; Ozgokce, M.; Bora, A.; Bulut, M.D.; Arslan, H.; Toktas, O.; Alpaslan, M. Ultrasound elastography for distinction between parathyroid adenomas and thyroid nodules. J. Ultrasound Med. 2016, 35, 1277–1282. [Google Scholar] [CrossRef] [PubMed]
- Stangierski, A.; Wolinski, K.; Ruchala, M. Shear wave elastography in the diagnostics of parathyroid adenomas–new application of the method. Endocrine 2018, 60, 240–245. [Google Scholar] [CrossRef] [PubMed]
- Fukagawa, M.; Nakanishi, S.; Kazama, J.J. Basic and clinical aspects of parathyroid hyperplasia in chronic kidney disease. Kidney Int. 2006, 102, S3–S7. [Google Scholar] [CrossRef][Green Version]
- Fukagawa, M.; Kitaoka, M.; Yi, H.; Fukuda, N.; Matsumota, T.; Ogata, E.; Kurokawa, K. Serial evaluation of parathyroid size by ultrasonography is another useful marker for the long-term prognosis of calcitriol pulse therapy in chronic dialysis patients. Nephron. 1994, 68, 221–228. [Google Scholar] [CrossRef]
- Meola, M.; Petrucci, I.; Cupisti, A. Ultrasound in clinical setting of secondary hyperparathyroidism. J. Nephrol. 2013, 26, 848–855. [Google Scholar] [CrossRef][Green Version]
- Isidori, A.M.; Cantisani, V.; Giannetta, E.; Diacinti, D.; David, E.; Forte, V.; Elia, D.; De Vito, C.; Sbardella, E.; Gianfrilli, D.; et al. Multiparametric ultrasonography and ultrasound elastography in the differentiation of parathyroid lesions from ectopic thyroid lesions or lymphadenopathies. Endocrine 2017, 57, 335–343. [Google Scholar] [CrossRef]
- Takebayashi, S.; Matsui, K.; Onohara, Y.; Hidai, H. Sonography for early diagnosis of enlarged parathyroid glands in patients with secondary hyperparathyroidism. Am. J. Roentgenol. 1987, 148, 911–914. [Google Scholar] [CrossRef]
- Restrepo Valencia, C.R.; Santacruz Pacheco, D.; Castillo Pinilla, C.E.; Cardona, J.A.C. Ultrasound detection of parathyroid hyperplasia and correlation with clinicial and laboratory findings in patients. Rev. Colomb Radiol. 2011, 22, 3341–3346. [Google Scholar]
- Tominaga, Y.; Tanaka, Y.; Sato, K.; Numano, M.; Uchida, K.; Takagi, H. Surgical treatment of secondary hyperparathyroidism. J. Bone Miner. Metab. 1991, 9, 56–62. [Google Scholar] [CrossRef]
- Tominaga, Y. Surgical treatment of secondary hyperparathyroidism due to chronic kidney disease. Ups J. Med. Sci. 2006, 111, 277–292. [Google Scholar] [CrossRef] [PubMed]
- Jorna, F.H.; Tobé, T.J.M.; Huisman, R.M.; de Jong, P.E.; Plukker, J.T.M.; Stegeman, C.A. Early identification of risk factors for refractory secondary hyperparathyroidism in patients with long-term renal replacement therapy. Nephrol Dial. Transplant. 2004, 19, 1168–1173. [Google Scholar] [CrossRef] [PubMed]
- Schiller, A.; Gadalean, F.; Schiller, O.; Timar, R.; Bob, F.; Munteanu, M.; Stoian, D.; Mihaescu, A.; Timar, B. Vitamin D deficiency–Prognostic marker or mortality risk factor in end stage renal disease patients with diabetes mellitus treated with hemodialysis - A prospective multicenter study. PLoS One 2015, 10, 1–13. [Google Scholar] [CrossRef] [PubMed]









| Characteristics | Study Group | UCL | LCL |
|---|---|---|---|
| Male to female | 27:32 | / | / |
| Dialysis years | 5.94 ± 4.49 | 5.042 | 6.821 |
| Patients with previous parathyroidectomy | 6 | / | / |
| Total number of parathyroid glands | 97 | / | / |
| Age (years) | 56.95 ± 10.92 | 54.95 | 58.97 |
| Parathyroid volume (mL) | 0.2199 ± 0.2654 | 0.1705 | 0.2764 |
| Parathormone (pg/mL) | 1161.86 ± 797.66 | 979.520 | 1301.35 |
| Total serum calcium (mg/dL) | 8.73 ± 0.76 | 8.575 | 8.898 |
| 25-OH Vitamin D (ng/mL) | 33.57 ± 13.30 | 30.962 | 36.076 |
| Kt/v ratio | 1.363 ± 0.123 | 1.3395 | 1.3865 |
| Phosphorus (mg/dl) | 6.313 ± 1.723 | 5.972 | 6.664 |
| Mean SWE (kPa) | 95% Confidence Interval | Min SWE (kPa) | Max SWE (kPa) | ||
|---|---|---|---|---|---|
| Lower Bound | Upper Bound | ||||
| Parathyroid gland | 7.835 ± 2.944 | 7.296 | 8.374 | 4.630 ± 2.272 | 12.956 ± 6.126 |
| Thyroid tissue | 13.780 ± 4.039 | 13.112 | 14.449 | 9.438 ± 3.606 | 20.349 ± 7.509 |
| Muscle tissue | 15.788 ± 4.409 | 11.921 | 13.014 | 13.851 ± 4.024 | 23.181 ± 10.493 |
| SWE-min PTX/T | SWE-mean PTX/T | SWE-max PTX/T | SWE-min PTX/M | SWE-mean PTX/M | SWE-max PTX/M | |
|---|---|---|---|---|---|---|
| Area under curve (AUC) value | 0.943 | 0.940 | 0.858 | 0.957 | 0.949 | 0.882 |
| Specificity | 86.6% | 90.7% | 75.3% | 95.9% | 90.7% | 84.5% |
| Sensitivity | 94.8% | 94.8% | 83.5% | 86.6% | 93.8% | 78.4% |
| PPV | 87.6% | 91.1% | 77.1% | 95.9% | 91% | 83.5% |
| NPV | 94.4% | 94.6% | 82.0% | 87.7% | 93.6% | 79.6% |
| Accuracy | 90.7% | 92.26% | 79.4% | 91.2% | 91.75% | 81.45% |
| Cut-off value | <6.02 kPa | <9.74 kPa | <15.3 kPa | <7.94 kPa | <9.98 kPa | <17.3 kPa |
| SWE Ratio | Mean | Min | Max |
|---|---|---|---|
| Parathyroid/thyroid ratio | 0.599 ± 0.250 | 0.1 | 1.7 |
| Parathyroid/muscle ratio | 0.535 ± 0.273 | 0.11 | 1.9 |
© 2019 by the authors. Licensee MDPI, Basel, Switzerland. This article is an open access article distributed under the terms and conditions of the Creative Commons Attribution (CC BY) license (http://creativecommons.org/licenses/by/4.0/).
Share and Cite
Cotoi, L.; Borcan, F.; Sporea, I.; Amzar, D.; Schiller, O.; Schiller, A.; Dehelean, C.A.; Pop, G.N.; Stoian, D. Shear Wave Elastography in Diagnosing Secondary Hyperparathyroidism. Diagnostics 2019, 9, 213. https://doi.org/10.3390/diagnostics9040213
Cotoi L, Borcan F, Sporea I, Amzar D, Schiller O, Schiller A, Dehelean CA, Pop GN, Stoian D. Shear Wave Elastography in Diagnosing Secondary Hyperparathyroidism. Diagnostics. 2019; 9(4):213. https://doi.org/10.3390/diagnostics9040213
Chicago/Turabian StyleCotoi, Laura, Florin Borcan, Ioan Sporea, Dana Amzar, Oana Schiller, Adalbert Schiller, Cristina Adriana Dehelean, Gheorghe Nicusor Pop, and Dana Stoian. 2019. "Shear Wave Elastography in Diagnosing Secondary Hyperparathyroidism" Diagnostics 9, no. 4: 213. https://doi.org/10.3390/diagnostics9040213
APA StyleCotoi, L., Borcan, F., Sporea, I., Amzar, D., Schiller, O., Schiller, A., Dehelean, C. A., Pop, G. N., & Stoian, D. (2019). Shear Wave Elastography in Diagnosing Secondary Hyperparathyroidism. Diagnostics, 9(4), 213. https://doi.org/10.3390/diagnostics9040213

