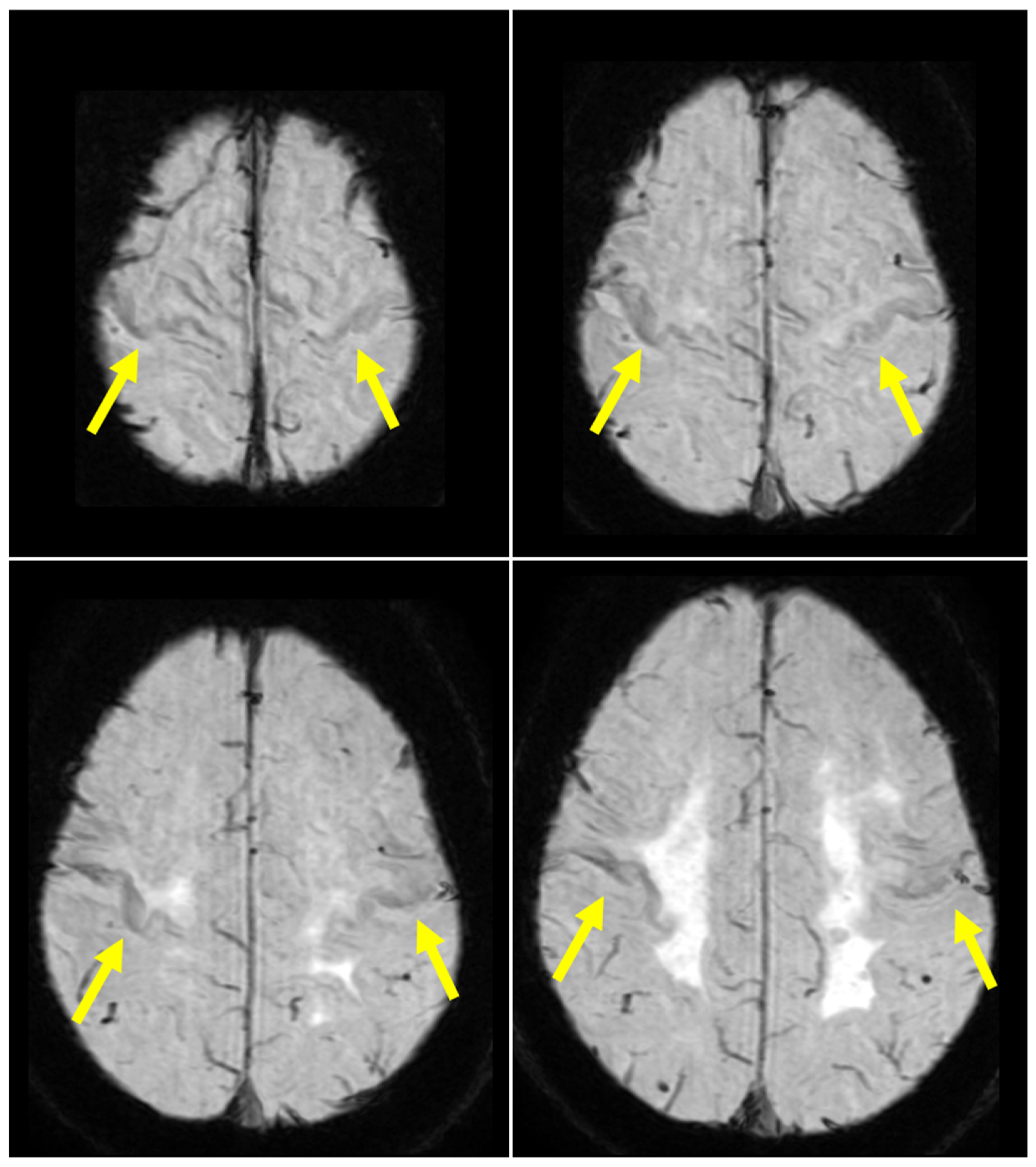
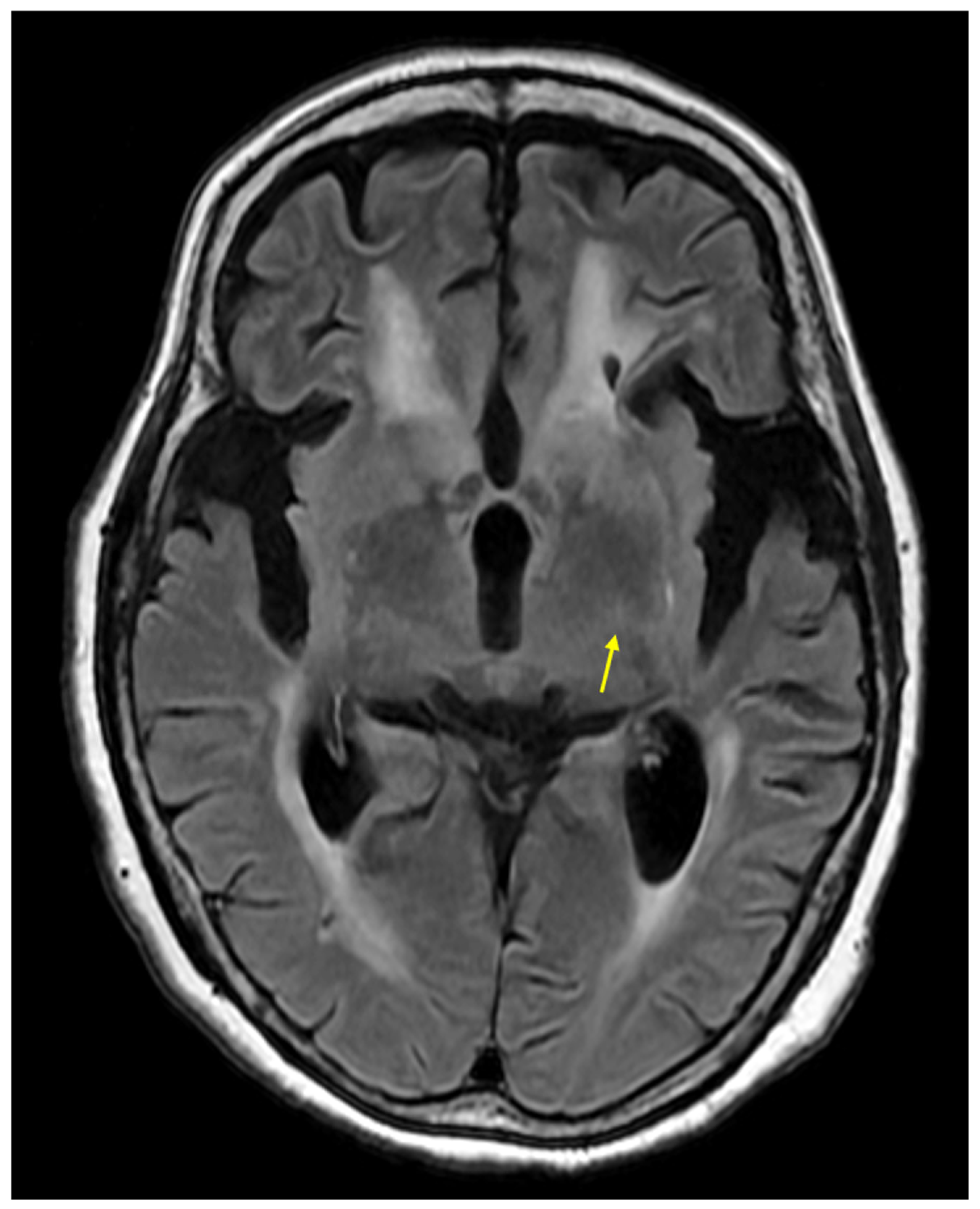
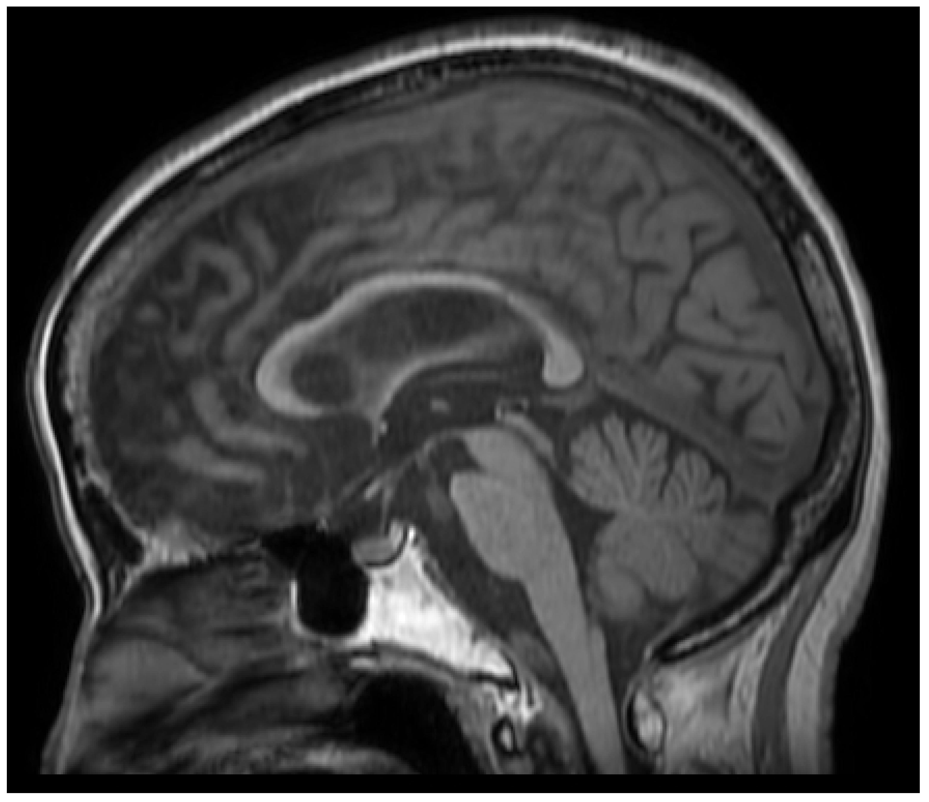
Motor Neuron Disease with Guillain-Barré Syndrome? Motor Band Sign with Anti-GQ1b Antibodies
Abstract




Author Contributions
Funding
Institutional Review Board Statement
Informed Consent Statement
Data Availability Statement
Acknowledgments
Conflicts of Interest
References
- Zejlon, C.; Sennfält, S.; Finnsson, J.; Connolly, B.; Petersson, S.; Granberg, T.; Ingre, C. Motor band sign is specific for amyotrophic lateral sclerosis and corresponds to motor symptoms. Ann. Clin. Transl. Neurol. 2024, 11, 1280–1289. [Google Scholar] [CrossRef] [PubMed]
- Mohammadi, S.; Ghaderi, S. Motor band sign in motor neuron diseases using magnetic resonance imaging: A systematic review. Acta Neurol. Scand. 2023, 2023, e6677967. [Google Scholar] [CrossRef]
- Ghaderi, S.; Mohammadi, S. Motor band sign or biomarker. iRADIOLOGY 2023, 1, 378–380. [Google Scholar] [CrossRef]
- Chung, H.S.; Melkus, G.; Bourque, P.; Chakraborty, S. Motor Band Sign in Motor Neuron Disease: A Marker for Upper Motor Neuron Involvement. Can. J. Neurol. Sci. 2023, 50, 373–379. [Google Scholar] [CrossRef] [PubMed]
- Kollewe, K.; Wurster, U.; Sinzenich, T.; Körner, S.; Dengler, R.; Mohammadi, B.; Petri, S. Anti-ganglioside antibodies in amyotrophic lateral sclerosis revisited. PLoS ONE 2015, 10, e0125339. [Google Scholar] [CrossRef] [PubMed]
- Protogerou, G.; Ralli, S.; Tsougos, I.; Patramani, I.; Hadjigeorgiou, G.; Fezoulidis, I.; Kapsalaki, E.Z. T2 FLAIR increased signal intensity at the posterior limb of the internal capsule: Clinical significance in ALS patients. Neuroradiol. J. 2011, 24, 226–234. [Google Scholar] [CrossRef] [PubMed]
- da Rocha, A.J.; Oliveira, A.S.B.; Fonseca, R.B.; Maia, A.C.M., Jr.; Buainain, R.P.; Lederman, H.M. Detection of corticospinal tract compromise in amyotrophic lateral sclerosis with brain MR imaging: Relevance of the T1-weighted spin-echo magnetization transfer contrast sequence. AJNR Am. J. Neuroradiol. 2004, 25, 1509–1515. [Google Scholar] [PubMed]
- Rajagopalan, V.; Pioro, E.P. Detour ahead: Possible causes of corticospinal tract truncation in upper motor neuron-predominant amyotrophic lateral sclerosis. Brain Commun. 2025, 7, fcaf419. [Google Scholar] [CrossRef] [PubMed]
- Carrara, G.; Carapelli, C.; Venturi, F.; Ferraris, M.M.; Lequio, L.; Chiò, A.; Calvo, A.; Sirgiovanni, S.; Cistaro, A.; Valentini, M.C. A distinct MR imaging phenotype in amyotrophic lateral sclerosis: Correlation between T1 magnetization transfer contrast hyperintensity along the corticospinal tract and diffusion tensor imaging analysis. AJNR Am. J. Neuroradiol. 2012, 33, 733–739. [Google Scholar] [CrossRef] [PubMed]
- Constantinides, V.C.; Paraskevas, G.P.; Velonakis, G.; Toulas, P.; Stamboulis, E.; Kapaki, E. MRI planimetry and Magnetic Resonance Parkinsonism Index in the differential diagnosis of patients with parkinsonism. AJNR Am. J. Neuroradiol. 2018, 39, 1047–1051. [Google Scholar] [CrossRef] [PubMed]
- Morelli, M.; Arabia, G.; Salsone, M.; Novellino, F.; Giofrè, L.; Paletta, R.; Messina, D.; Nicoletti, G.; Condino, F.; Gallo, O.; et al. Accuracy of magnetic resonance parkinsonism index for differentiation of progressive supranuclear palsy from probable or possible Parkinson disease. Mov. Disord. 2011, 26, 527–533. [Google Scholar] [CrossRef] [PubMed]
- de Carvalho, M.; Dengler, R.; Eisen, A.; England, J.D.; Kaji, R.; Kimura, J.; Mills, K.; Mitsumoto, H.; Nodera, H.; Shefner, J.; et al. Electrodiagnostic criteria for diagnosis of ALS. Clin. Neurophysiol. 2008, 119, 497–503. [Google Scholar] [CrossRef] [PubMed]
- Kuzuhara, S.; Kokubo, Y. Atypical parkinsonism of Japan: Amyotrophic lateral sclerosis-parkinsonism-dementia complex of the Kii peninsula of Japan (Muro disease): An update. Mov. Disord. 2005, 20, S108–S113. [Google Scholar] [CrossRef] [PubMed]
Disclaimer/Publisher’s Note: The statements, opinions and data contained in all publications are solely those of the individual author(s) and contributor(s) and not of MDPI and/or the editor(s). MDPI and/or the editor(s) disclaim responsibility for any injury to people or property resulting from any ideas, methods, instructions or products referred to in the content. |
© 2026 by the authors. Licensee MDPI, Basel, Switzerland. This article is an open access article distributed under the terms and conditions of the Creative Commons Attribution (CC BY) license.
Share and Cite
Hayashi, K.; Suzuki, A.; Sato, M.; Nakaya, Y.; Uchida, T.; Yamaguchi, T.; Miura, T.; Hayashi, H.; Hayashi, K.; Kobayashi, Y. Motor Neuron Disease with Guillain-Barré Syndrome? Motor Band Sign with Anti-GQ1b Antibodies. Diagnostics 2026, 16, 676. https://doi.org/10.3390/diagnostics16050676
Hayashi K, Suzuki A, Sato M, Nakaya Y, Uchida T, Yamaguchi T, Miura T, Hayashi H, Hayashi K, Kobayashi Y. Motor Neuron Disease with Guillain-Barré Syndrome? Motor Band Sign with Anti-GQ1b Antibodies. Diagnostics. 2026; 16(5):676. https://doi.org/10.3390/diagnostics16050676
Chicago/Turabian StyleHayashi, Koji, Asuka Suzuki, Mamiko Sato, Yuka Nakaya, Taibo Uchida, Tomohisa Yamaguchi, Toyoaki Miura, Hiromi Hayashi, Kouji Hayashi, and Yasutaka Kobayashi. 2026. "Motor Neuron Disease with Guillain-Barré Syndrome? Motor Band Sign with Anti-GQ1b Antibodies" Diagnostics 16, no. 5: 676. https://doi.org/10.3390/diagnostics16050676
APA StyleHayashi, K., Suzuki, A., Sato, M., Nakaya, Y., Uchida, T., Yamaguchi, T., Miura, T., Hayashi, H., Hayashi, K., & Kobayashi, Y. (2026). Motor Neuron Disease with Guillain-Barré Syndrome? Motor Band Sign with Anti-GQ1b Antibodies. Diagnostics, 16(5), 676. https://doi.org/10.3390/diagnostics16050676

