JAK3 Staining and CD68+ Macrophage Counts Are Increased in Patients with IgA Nephropathy
Abstract
1. Introduction
2. Materials and Methods
2.1. Participants
2.2. Inclusion and Exclusion Criteria
2.3. Histological Study
2.4. Immunohistochemistry
2.5. Image Analysis
2.6. Statistical Analysis
3. Results
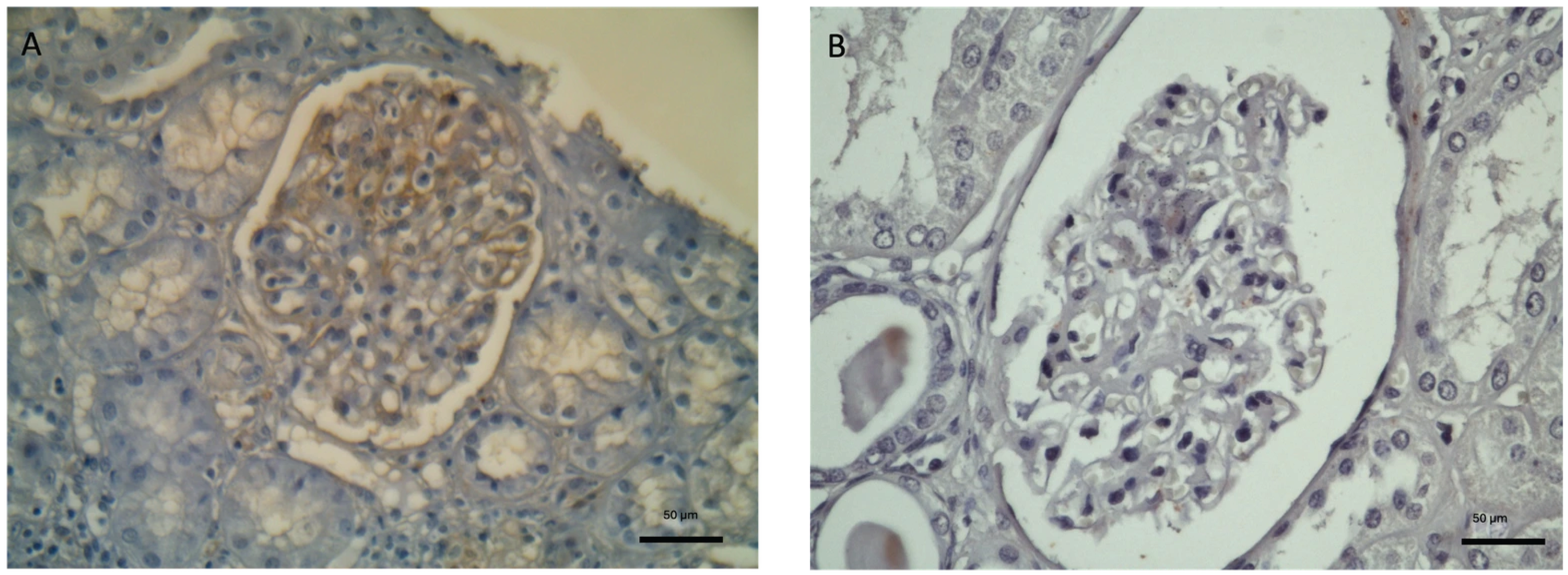
3.1. Immunohistochemical Staining for JAK3 and MAPK/ERK
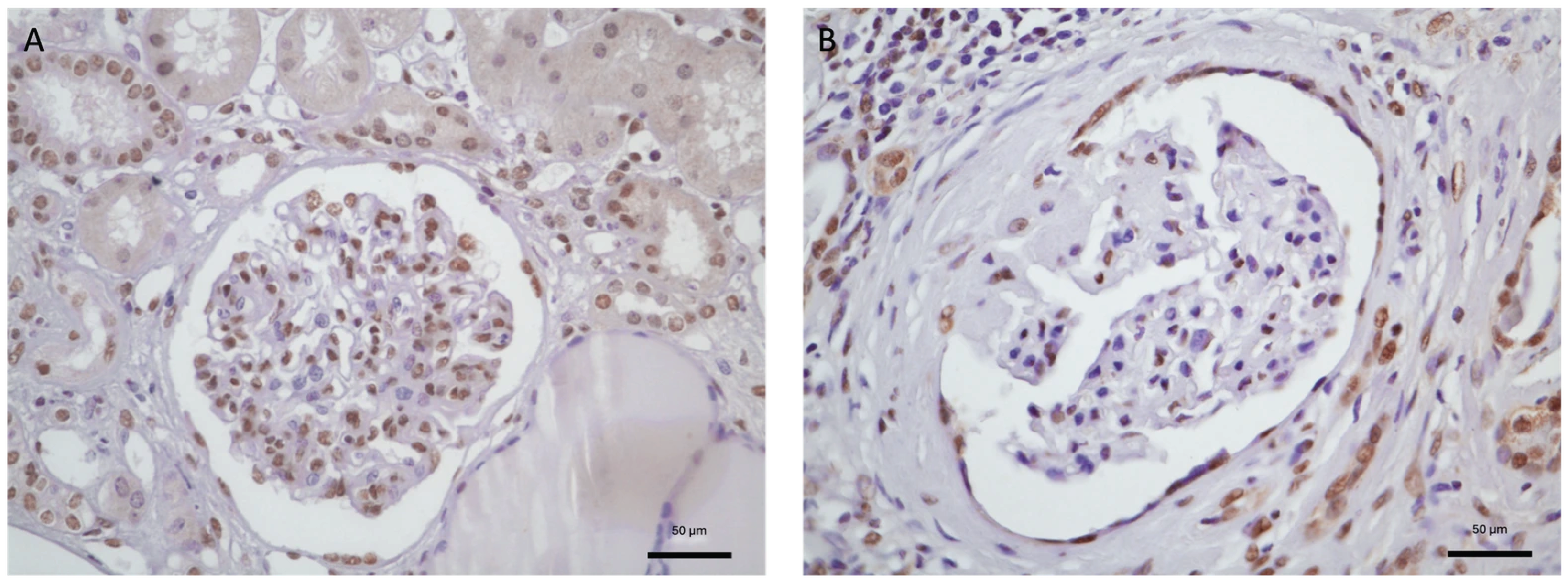
3.2. Immunohistochemical Staining for CD68
4. Discussion
Author Contributions
Funding
Institutional Review Board Statement
Informed Consent Statement
Data Availability Statement
Acknowledgments
Conflicts of Interest
Abbreviations
| CD68 | Cluster of Differentiation 68 |
| ESRD | End-stage renal disease |
| IgAN | IgA nephropathy |
| JAK/STAT | Janus kinase/signal transducer and activator of transcription |
| JAK2 | Janus kinase 2 |
| JAK3 | Janus kinase 3 |
| STAT3 | Signal transducer and activator of transcription 3 |
| pSTAT3 | Phosphorylated signal transducer and activator of transcription 3 |
| eGFR | Estimated glomerular filtration rate |
| MEST-C | Mesangial hypercellularity, endocapillary hypercellularity, segmental glomerulosclerosis, tubular atrophy/interstitial fibrosis and crescents |
| MAPK/ERK | Mitogen-activated protein kinase/extracellular signal-regulated kinase |
| M1 | Mesangial hypercellularity |
| E1 | Endocapillary hypercellularity |
| S1 | Segmental glomerulosclerosis |
| T1/T2 | Tubular atrophy/iintersticial fibrosis grades |
| C1/C2 | Crescent grades |
References
- Wyatt, R.J.; Julian, B.A. IgA nephropathy. N. Engl. J. Med. 2013, 368, 2402–2414. [Google Scholar] [CrossRef] [PubMed]
- Coppo, R.; D’Arrigo, G.; Tripepi, G.; Russo, M.L.; Roberts, I.S.D.; Bellur, S.; Cattran, D.; Cook, T.H.; Feehally, J.; Tesar, V.; et al. Is there long-term value of pathology scoring in immunoglobulin A nephropathy? A validation study of the Oxford Classification for IgA Nephropathy (VALIGA) update. Nephrol. Dial. Transplant. 2020, 35, 1002–1009. [Google Scholar] [CrossRef]
- Monteiro, R.C. Recent advances in the physiopathology of IgA nephropathy. Nephrol Ther. 2018, 14, S1–S8. [Google Scholar] [CrossRef] [PubMed]
- Suzuki, H.; Kiryluk, K.; Novak, J.; Moldoveanu, Z.; Herr, A.B.; Renfrow, M.B.; Wyatt Robert, J.; Francesco, S.; Jiri, M.; Ali, G.G. The pathophysiology of IgA nephropathy. J. Am. Soc. Nephrol. 2011, 22, 1795–1803. [Google Scholar] [CrossRef] [PubMed]
- Banerjee, S.; Biehl, A.; Gadina, M.; Hasni, S.; Schwartz, D.M. JAK-STAT Signaling as a Target for Inflammatory and Autoimmune Diseases: Current and Future Prospects. Drugs 2017, 77, 521–546. [Google Scholar] [CrossRef]
- Xin, P.; Xu, X.; Deng, C.; Liu, S.; Wang, Y.; Zhou, X.; Ma, H.; Wei, D.; Sun, S. The role of JAK/STAT signaling pathway and its inhibitors in diseases. Int. Immunopharmacol. 2020, 80, 106210. [Google Scholar] [CrossRef]
- Yuan, Q.; Tang, B.; Zhang, C. Signaling pathways of chronic kidney diseases, implications for therapeutics. Signal Transduct. Target. Ther. 2022, 7, 182. [Google Scholar] [CrossRef]
- Brosius, F.C.; He, J.C. JAK inhibition and progressive kidney disease. Curr. Opin. Nephrol. Hypertens. 2015, 24, 88–95. [Google Scholar] [CrossRef]
- Tao, J.; Mariani, L.; Eddy, S.; Maecker, H.; Kambham, N.; Mehta, K.; Hartman, J.; Wang, W.; Kretzler, M.; Lafayette, R.A. JAK-STAT Activity in Peripheral Blood Cells and Kidney Tissue in IgA Nephropathy. Clin. J. Am. Soc. Nephrol. 2020, 15, 973–982. [Google Scholar] [CrossRef]
- Tao, J.; Mariani, L.; Eddy, S.; Maecker, H.; Kambham, N.; Mehta, K.; Hartman, J.; Wang, W.; Kretzler, M.; Lafayette, R.A. JAK-STAT signaling is activated in the kidney and peripheral blood cells of patients with focal segmental glomerulosclerosis. Kidney Int. 2018, 94, 795–808. [Google Scholar] [CrossRef]
- Liu, Y.; Wang, W.; Zhang, J.; Gao, S.; Xu, T.; Yin, Y. JAK/STAT signaling in diabetic kidney disease. Front. Cell Dev. Biol. 2023, 11, 1233259. [Google Scholar] [CrossRef]
- Shen, C.L.; Richardson, A.; Martin-Fernandez, M.; Malle, L.; Buta, S.; Patel, A.; Rosberger, H.; Lim, J.; Horesh, M.; Saland, J.; et al. Cytokine-Driven Janus Kinase Signal Transducer and Activator of Transcription (JAK/STAT) Pathway Hyperactivity Predicts Disease Severity in Pediatric Focal Segmental Glomerulosclerosis. Kidney360 2025. Online ahead of print. [Google Scholar] [CrossRef]
- Chen, D.; Liu, Y.; Chen, J.; Lin, H.; Guo, H.; Wu, Y.; Xu, Y.; Zhou, Y.; Zhou, W.; Lu, R.; et al. JAK/STAT pathway promotes the progression of diabetic kidney disease via autophagy in podocytes. Eur. J. Pharmacol. 2021, 902, 174121. [Google Scholar] [CrossRef]
- Brosius, F.C.; Tuttle, K.R.; Kretzler, M. JAK inhibition in the treatment of diabetic kidney disease. Diabetologia 2016, 59, 1624–1627. [Google Scholar] [CrossRef]
- Yamada, K.; Huang, Z.Q.; Reily, C.; Green, T.J.; Suzuki, H.; Novak, J.; Suzuki, Y. LIF/JAK2/STAT1 Signaling Enhances Production of Galactose-Deficient IgA1 by IgA1-Producing Cell Lines Derived From Tonsils of Patients With IgA Nephropathy. Kidney Int. Rep. 2024, 9, 423–435. [Google Scholar] [CrossRef] [PubMed]
- Ripoll, È.; de Ramon, L.; Draibe Bordignon, J.; Merino, A.; Bolaños, N.; Goma, M.; Cruzado, J.M.; Grinyó, J.M.; Torras, J. JAK3-STAT pathway blocking benefits in experimental lupus nephritis. Arthritis Res. Ther. 2016, 18, 134. [Google Scholar] [CrossRef] [PubMed]
- Tang, S.C.W.; Yiu, W.H. Innate immunity in diabetic kidney disease. Nat. Rev. Nephrol. 2020, 16, 206–222. [Google Scholar] [CrossRef] [PubMed]
- Zhang, H.; Nair, V.; Saha, J.; Atkins, K.B.; Hodgin, J.B.; Saunders, T.L.; Myers, M.G.; Werner, T.; Kretzler, M.; Brosius, F.C. Podocyte-specific JAK2 overexpression worsens diabetic kidney disease in mice. Kidney Int. 2017, 92, 909–921. [Google Scholar] [CrossRef]
- Liu, Y.; Gong, Y.; Xu, G. The role of mononuclear phagocyte system in IgA nephropathy: Pathogenesis and prognosis. Front. Immunol. 2023, 14, 1192941. [Google Scholar] [CrossRef]
- Roccatello, D.; Coppo, R.; Piccoli, G. Monocyte-macrophage system function in primary IgA nephropathy. Contrib. Nephrol. 1984, 40, 130–136. [Google Scholar]
- Silva, G.E.; Costa, R.S.; Ravinal, R.C.; Ramalho, L.N.; Reis, M.A.; Moyses-Neto, M.; Romao, E.A.; Coimbra, T.M.; Dantas, M. Renal macrophage infiltration is associated with a poor outcome in IgA nephropathy. Clinics 2012, 67, 697–703. [Google Scholar] [CrossRef]
- Ikezumi, Y.; Suzuki, T.; Karasawa, T.; Hasegawa, H.; Yamada, T.; Imai, N.; Narita, I.; Kawachi, H.; Polkinghorne, K.R.; Nikolic-Paterson, D.J.; et al. Identification of alternatively activated macrophages in new-onset paediatric and adult immunoglobulin A nephropathy: Potential role in mesangial matrix expansion. Histopathology 2011, 58, 198–210. [Google Scholar] [CrossRef]
- Kawasaki, Y. Treatment strategy with multidrug therapy and tonsillectomy pulse therapy for childhood-onset severe IgA nephropathy. Clin. Exp. Nephrol. 2022, 26, 501–511. [Google Scholar] [CrossRef]
- Soares, M.F.; Genitsch, V.; Chakera, A.; Smith, A.; MacEwen, C.; Bellur, S.S.; Alham, N.K.; Roberts, I.S.D. Relationship between renal CD68. Histopathology 2019, 74, 629–637. [Google Scholar] [CrossRef] [PubMed]
- Cattran, D.C.; Coppo, R.; Cook, H.T.; Feehally, J.; Roberts, I.S.; Troyanov, S.; Alpers, C.E.; Amore, A.; Barratt, J. The Oxford classification of IgA nephropathy: Rationale, clinicopathological correlations, and classification. Kidney Int. 2009, 76, 534–545. [Google Scholar] [CrossRef] [PubMed]
- Trimarchi, H.; Barratt, J.; Cattran, D.C.; Cook, H.T.; Coppo, R.; Haas, M.; Liu, Z.-H.; Roberts, I.S.; Yuzawa, Y.; Zhang, H.; et al. Oxford Classification of IgA nephropathy 2016: An update from the IgA Nephropathy Classification Working Group. Kidney Int. 2017, 91, 1014–1021. [Google Scholar] [CrossRef]
- Takahashi, T.; Shirasawa, T.; Miyake, K.; Yahagi, Y.; Matsumura, O.; Abe, A.; Natori, Y.; Yamabe, H.; Utsunomiya, Y.; Maruyama, N.; et al. Jak3 expression in glomerular epithelia of IgA nephropathy (IgA-N) patients. Clin. Exp. Immunol. 1996, 104, 517–524. [Google Scholar] [CrossRef]
- Arakawa, T.; Masaki, T.; Hirai, T.; Doi, S.; Kuratsune, M.; Arihiro, K.; Kohno, N.; Yorioka, N. Activation of signal transducer and activator of transcription 3 correlates with cell proliferation and renal injury in human glomerulonephritis. Nephrol. Dial. Transplant. 2008, 23, 3418–3426. [Google Scholar] [CrossRef] [PubMed]
- Yamada, K.; Huang, Z.Q.; Raska, M.; Reily, C.; Anderson, J.C.; Suzuki, H.; Ueda, H.; Moldoveanu, Z.; Kiryluk, K.; Suzuki, Y.; et al. Inhibition of STAT3 Signaling Reduces IgA1 Autoantigen Production in IgA Nephropathy. Kidney Int. Rep. 2017, 2, 1194–1207. [Google Scholar] [CrossRef]
- Tamouza, H.; Chemouny, J.M.; Raskova Kafkova, L.; Berthelot, L.; Flamant, M.; Demion, M.; Mesnard, L.; Paubelle, E.; Walker, F.; Julian, B.A.; et al. The IgA1 immune complex-mediated activation of the MAPK/ERK kinase pathway in mesangial cells is associated with glomerular damage in IgA nephropathy. Kidney Int. 2012, 82, 1284–1296. [Google Scholar] [CrossRef]
- Faria, B.; Henriques, C.; Matos, A.C.; Daha, M.R.; Pestana, M.; Seelen, M. Combined C4d and CD3 immunostaining predicts immunoglobulin (Ig)A nephropathy progression. Clin. Exp. Immunol. 2015, 179, 354–361. [Google Scholar] [CrossRef]
- Masaki, T.; Stambe, C.; Hill, P.A.; Dowling, J.; Atkins, R.C.; Nikolic-Paterson, D.J. Activation of the extracellular-signal regulated protein kinase pathway in human glomerulopathies. J. Am. Soc. Nephrol. 2004, 15, 1835–1843. [Google Scholar] [CrossRef] [PubMed]
- Hu, W.; Lin, J.; Lian, X.; Yu, F.; Liu, W.; Wu, Y.; Fang, X.; Liang, X.; Hao, W. M2a and M2b macrophages predominate in kidney tissues and M2 subpopulations were associated with the severity of disease of IgAN patients. Clin. Immunol. 2019, 205, 8–15. [Google Scholar] [CrossRef]
- Caliskan, Y.; Demir, E.; Karatay, E.; Ozluk, Y.; Mirioglu, S.; Dirim, A.B.; Artan, A.S.; Akgul, S.U.; Oto, O.A.; Oguz, F.S.; et al. Oxidative stress and macrophage infiltration in IgA nephropathy. J. Nephrol. 2022, 35, 1101–1111. [Google Scholar] [CrossRef] [PubMed]




| N = 63 | |
|---|---|
| Age (years) | 33.00 (24.50, 46.00) |
| Female sex (n/%) | 35 (55.6) |
| Race | |
| White (n/%) | 46 (73.0) |
| Non White (n/%) | 13 (20.6) |
| East-Asian (n/%) | 4 (6.3) |
| Serum creatinine mg/dL | 1.39 (0.94, 2.21) |
| Proteinuria ≥ 1 g/day (n/%) | 52 (82.5) |
| Proteinuria g/day | 1.60 (1.11, 3.06) |
| eGFR by CKD-EPI (mL/min/1.73 m2) | 58.0 (31.0, 95.0) |
| Hematuria (n/%) | 54 (85.7) |
| Serum albumin g/dL | 3.50 (3.10, 3.77) |
| IgA mg/dL | 368.9 ± 155.3 |
| C3 mg/dL | 125.8 ± 40.7 |
| IgA/C3 | 2.60 (2.26, 3.49) |
| Hemoglobin (g/dL) | 12.80 ± 1.83 |
| Hypertension (n/%) | 39 (61.9) |
| Oxford Classification (n/%) | |
| M1 | 48 (76.2) |
| E1 | 24 (38.1) |
| S1 | 50 (79.4) |
| T1/T2 | 20 (33.3) |
| C1/C2 | 18 (28.5) |
| Classification | Initial eGFR | p-Value | Final eGFR | p-Value |
|---|---|---|---|---|
| M0 | 91.0 (50.5–110.0) | 0.100 | 66.0 (30.0–98.5) | 0.236 |
| M1 | 49.5 (31.0–90.0) | 41.0 (10.5–82.5) | ||
| E0 | 83.0 (38.5–107.5) | 0.050 | 65.0 (34.0–92.0) | 0.014 |
| E1 | 45.5 (26.7–63.2) | 22.5 (8.7–49.2) | ||
| S0 | 103.0 (43.0–112.0) | 0.034 | 70.0 (40.0–101.0) | 0.031 |
| S1 | 53.5 (31.0–89.7) | 38.5 (9.0–81.7) | ||
| T0 | 83.0 (49.0–105.5) | <0.001 | 61.0 (34.5–92.5) | <0.001 |
| T1/T2 | 31.0 (25.0–40.0) | 12.0 (6.6–30.0) | ||
| C0 | 66.0 (37.0–104.0) | 0.064 | 59.3 (16.4–87.7) | 0.145 |
| C1/C2 | 45.5 (29.5–62.7) | 29.0 (8.0–60.0) |
| ESRD | p-Value | ||
|---|---|---|---|
| No (45) | Yes (16) | ||
| Age (years) | 40.0 (28.0; 50.0) | 27.0 (22.0; 2.5) | 0.007 |
| Female (n/%) | 28 (62.2) | 5 (31.2) | 0.065 |
| White (n/%) | 34 (75.6) | 10 (62.5) | |
| Non-White (n/%) | 8 (17.8) | 5 (31.2) | 0.525 |
| Asian (n/%) | 3 (6.7) | 1 (6.2) | |
| Hemoglobin (g/dL) | 12.87 ± 1.87 | 12.74 ± 1.85 | 0.801 |
| Creatinine (mg/dL) | 1.14 (0.90; 1.54) | 2.60 (1.62; 3.06) | 0.001 |
| eGFR by CKD-EPI (mL/min/1.73 m2) | 64.0 (41.0; 94.0) | 29.5 (22.0; 41.5) | 0.001 |
| ΔeGFR (mL/min/1.73 m2/year) | −0.62 (−1.79; 0.47) | −9.04 (6.5; 103.0) | 0.001 |
| Albumin (g/dL) | 3.5 (3.0; 3.73) | 3.55 (3.18; 3.80) | 0.750 |
| IgA (mg/dL) | 359.1 (275.7; 423.2) | 268.0 (233.0; 377.0) | 0.599 |
| C3 (mg/dL) | 133.6 ± 42.1 | 110.0 ± 32.2 | 0.048 |
| IgA/C3 | 2.94 (2.26; 3.50) | 2.60 (1.99; 2.77) | 0.666 |
| Proteinuria (g/day) | 1.42 (0.96; 2.80) | 2.44 (1.35; 3.42) | 0.108 |
| Hematuria (n/%) | 24 (84.4) | 15 (93.8) | 0.606 |
| Hypertension (n/%) | 24 (53.3) | 14 (87.5) | 0.034 |
| M1 (n/%) | 33 (73.3) | 13 (81.2) | 0.769 |
| E1 (n/%) | 16 (35.6) | 8 (50.0) | 0.473 |
| S1 (n/%) | 32 (71.1) | 16 (100.0) | 0.039 |
| T1/T2 (n/%) | 8 (17.8) | 11 (68.8) | 0.001 |
| C1/C2 (n/%) | 10 (23.3) | 5 (33.3) | 0.671 |
| Follow-up (years) | 10.64 (6.25; 12.93) | 1.47 (0.55; 8.56) | 0.001 |
| Final hematuria (n/%) | 12 (26.7) | 12 (85.7) | 0.001 |
| Glomerular CD68+ Cells | p-Value | Interstitial CD68+ Cells | p-Value | |
|---|---|---|---|---|
| Initial Serum Creatinine | r = 0.09 | 0.4701 | r = 0.43 | 0.0004 |
| Initial eGFR | r = −0.11 | 0.3943 | r = −0.46 | 0.0002 |
| Final eGFR | r = −0.16 | 0.2000 | r = −0.39 | 0.0014 |
| Initial Proteinuria | r = 0.07 | 0.5736 | r = 0.32 | 0.0101 |
| Interstitial Fibrosis | r = 0.20 | 0.1213 | r = 0.59 | <0.001 |
| Glomerular CD68+ Cells | p-Value | Interstitial CD68+ Cells | p-Value | |
|---|---|---|---|---|
| M1 | r = 0.18 | 0.151 | r = 0.21 | 0.088 |
| E1 | r = 0.20 | 0.119 | r = 0.21 | 0.095 |
| S1 | r = 0.10 | 0.441 | r = 0.25 | 0.047 |
| T1/T2 | r = 0.13 | 0.303 | r = 0.53 | <0.0001 |
| C1/C2 | r = 0.15 | 0.240 | r = 0.39 | 0.0012 |
Disclaimer/Publisher’s Note: The statements, opinions and data contained in all publications are solely those of the individual author(s) and contributor(s) and not of MDPI and/or the editor(s). MDPI and/or the editor(s) disclaim responsibility for any injury to people or property resulting from any ideas, methods, instructions or products referred to in the content. |
© 2026 by the authors. Licensee MDPI, Basel, Switzerland. This article is an open access article distributed under the terms and conditions of the Creative Commons Attribution (CC BY) license.
Share and Cite
Luvizotto, M.J.; de Menezes Neves, P.D.M.; Dias, C.B.; Jorge, L.B.; Yu, L.; Menezes-Silva, L.; Andrade-Silva, M.; Monteiro, R.C.; Câmara, N.O.S.; Woronik, V. JAK3 Staining and CD68+ Macrophage Counts Are Increased in Patients with IgA Nephropathy. Diagnostics 2026, 16, 437. https://doi.org/10.3390/diagnostics16030437
Luvizotto MJ, de Menezes Neves PDM, Dias CB, Jorge LB, Yu L, Menezes-Silva L, Andrade-Silva M, Monteiro RC, Câmara NOS, Woronik V. JAK3 Staining and CD68+ Macrophage Counts Are Increased in Patients with IgA Nephropathy. Diagnostics. 2026; 16(3):437. https://doi.org/10.3390/diagnostics16030437
Chicago/Turabian StyleLuvizotto, Mateus Justi, Precil Diego Miranda de Menezes Neves, Cristiane Bitencourt Dias, Lecticia Barbosa Jorge, Luis Yu, Luísa Menezes-Silva, Magaiver Andrade-Silva, Renato C. Monteiro, Niels Olsen Saraiva Câmara, and Viktoria Woronik. 2026. "JAK3 Staining and CD68+ Macrophage Counts Are Increased in Patients with IgA Nephropathy" Diagnostics 16, no. 3: 437. https://doi.org/10.3390/diagnostics16030437
APA StyleLuvizotto, M. J., de Menezes Neves, P. D. M., Dias, C. B., Jorge, L. B., Yu, L., Menezes-Silva, L., Andrade-Silva, M., Monteiro, R. C., Câmara, N. O. S., & Woronik, V. (2026). JAK3 Staining and CD68+ Macrophage Counts Are Increased in Patients with IgA Nephropathy. Diagnostics, 16(3), 437. https://doi.org/10.3390/diagnostics16030437

