Synchronous Colon Adenocarcinoma and Renal Cell Carcinoma: Diagnostic Challenges and Simultaneous Laparoscopic Management in Two Cases
Abstract
1. Introduction
2. Materials and Methods
3. Case Presentation
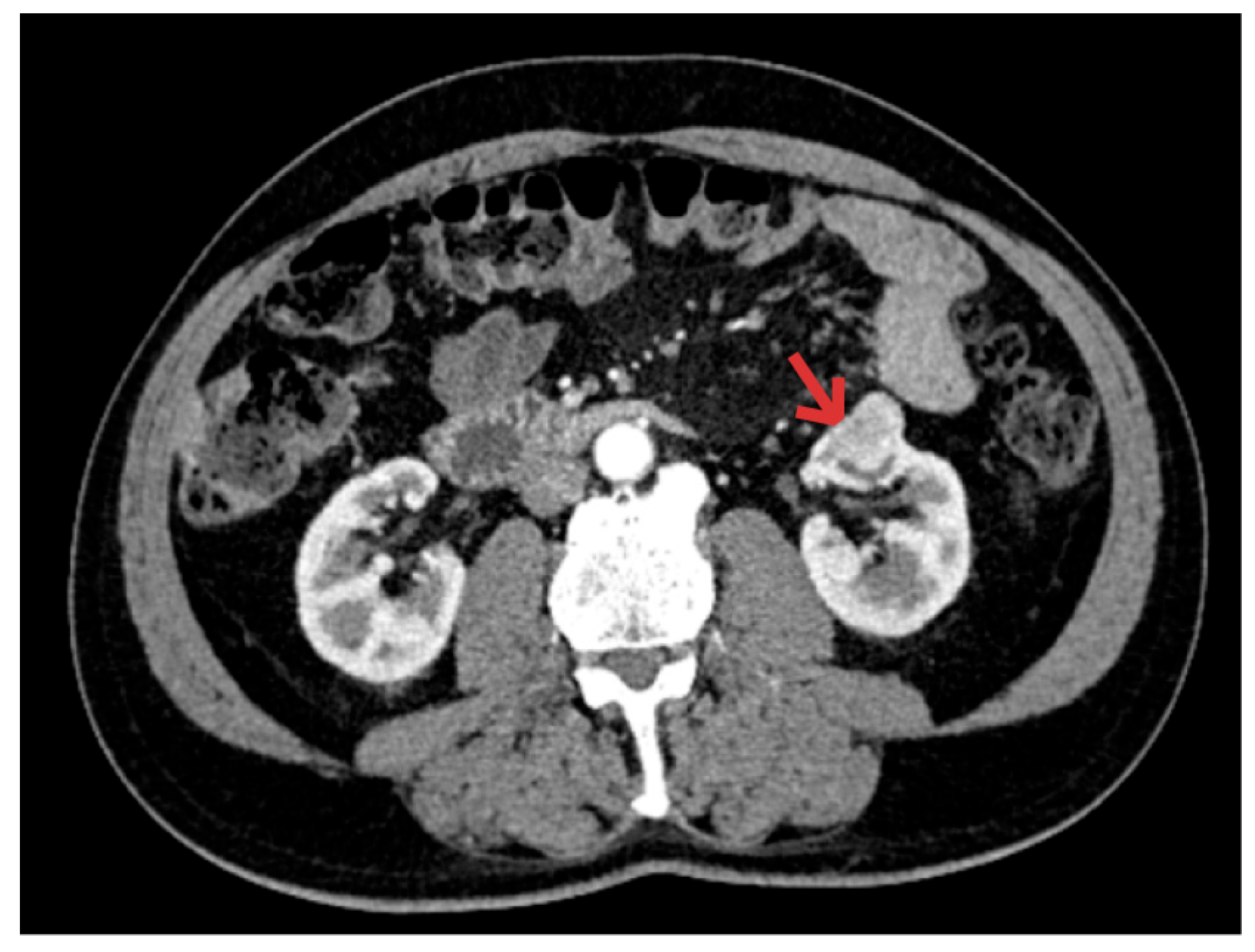
3.1. Case 1
3.2. Case 2
4. Discussion
- -
- The second synchronous tumor is usually a renal tumor, found during additional preoperative tests for colon tumor staging. This underscores the value of imaging not only for metastatic assessment but also for identifying additional primary malignancies. Our study confirms this frequent finding in the literature.
- -
- We did not find any studies where the first diagnosed tumor was renal, followed by a colonic tumor.
5. Conclusions
Author Contributions
Funding
Institutional Review Board Statement
Informed Consent Statement
Data Availability Statement
Conflicts of Interest
Abbreviations
| MPMTs | multiple primary malignant tumors |
| Hb | hemoglobin |
| TNM | tumor node metastasis |
| CA 19 9 | carbohydrate antigen 19-9 |
| CT | computed tomography |
| G3, G2 | tumor grading 2 or 3 |
| FOLFOX | chemotherapy with folinic acid, fluorouracil, and oxaliplatin |
References
- Siegel, R.L.; Miller, K.D.; Wagle, N.S.; Jemal, A. Cancer statistics, 2023. CA Cancer J. Clin. 2023, 73, 17–48. [Google Scholar] [CrossRef] [PubMed]
- Reimer, G.; Billroth, T. Die Allgemeine chirurgische pathologie und therapie. In 51 Vorlesungen-Ein Handbuch fur Studierende und Artze, 14th ed.; Reimer, G., Ed.; De Gruyter: Berlin, Germany, 1889; p. 908. [Google Scholar]
- Warren, S. Multiple malignant tumors. A survey of the literature and statistical study. Am. J. Cancer. 1932, 16, 1358–1414. [Google Scholar]
- Capra, F.; Scintu, F.; Zorcolo, L.; Marongiu, L.; Casula, G. Synchronous colorectal and renal carcinomas. Is it a definite clinical entity? Chir. Ital. 2003, 55, 903–906. [Google Scholar] [PubMed]
- Halak, M.; Hazzan, D.; Kovacs, Z.; Shiloni, E. Synchronous colorectal and renal carcinomas: A noteworthy clinical entity. Report of five cases. Dis. Colon Rectum 2000, 43, 1314–1315. [Google Scholar] [CrossRef] [PubMed]
- Beisland, C.; Talleraas, O.; Bakke, A.; Norstein, J. Multiple primary malignancies in patients with renal cell carcinoma: A national population-based cohort study. BJU Int. 2006, 97, 698–702. [Google Scholar] [CrossRef] [PubMed]
- Yang, X.B.; Zhang, L.H.; Xue, J.N.; Wang, Y.C.; Yang, X.; Zhang, N.; Liu, D.; Wang, Y.Y.; Xun, Z.Y.; Li, Y.R.; et al. High incidence combination of multiple primary malignant tumors of the digestive system. World J. Gastroenterol. 2022, 28, 5982–5992. [Google Scholar] [CrossRef] [PubMed] [PubMed Central]
- Cochetti, G.; Tiezzi, A.; Spizzirri, A.; Giuliani, D.; Rossi de Vermandois, J.A.; Maiolino, G.; Coccetta, M.; Napolitano, V.; Pennetti Pennella, F.; Francesconi, S.; et al. Simultaneous totally robotic rectal resection and partial nephrectomy: Case report and review of literature. World J. Surg. Oncol. 2020, 18, 86. [Google Scholar] [CrossRef] [PubMed] [PubMed Central]
- Pan, S.-Y.; Huang, C.-P.; Chen, W.-C. Synchronous/Metachronous Multiple Primary Malignancies: Review of Associated Risk Factors. Diagnostics 2022, 12, 1940. [Google Scholar] [CrossRef] [PubMed]
- Kozokic, A.; Surlin, V.; Petrovic, B.; Petrovic, V.; Prvanovic, G.; Beraru, I.; Cheregi, S. Considerations upon a case of synchronous primary malignancies: Adenocarcinoma of the sigmoid and clear cell carcinoma of the right kidney. Rom. J. Morphol. Embryol. 2011, 52, 509–511. [Google Scholar] [PubMed]
- AlBaqmi, K.H.; AlMudaiheem, F.A.; Boghdadly, S.; AlHussaini, K.A.; Shokor, N.; AlOudah, N. Multiple Primary Malignancies of the Colon, Stomach, and Kidney in a Patient with Bowel Obstruction Requiring Emergency Surgery: A Case Report. Am. J. Case Rep. 2020, 21, e926472. [Google Scholar] [CrossRef] [PubMed] [PubMed Central]
- O’Sullivan, M.; Kearney, D.E.; Giri, S.K.; Coffey, J.C. Combined laparoscopic-assisted nephrectomy and complete mesocolic excision for synchronous renal and colon cancers. BMJ Case Rep. 2015, 2015, bcr2015211681. [Google Scholar] [CrossRef] [PubMed] [PubMed Central]
- Rabelo, Í.E.C.; Figueiredo, A.R.; Rodriguez, J.E.R.; Galvão, R.D.S.; Saint’Clair, J.P.G.; Dorgam Maués, C.A.; Barbosa, D.A.; Figueiredo, H.F.; Souza, G.M. Synchronous colorectal and renal cancers: Case report and literature review. Ann. Med. Surg. 2021, 73, 103187. [Google Scholar] [CrossRef] [PubMed] [PubMed Central]
- O’Boyle, K.P.; Kemeny, N. Synchronous colon and renal cancers: Six cases of a clinical entity. Am. J. Med. 1989, 87, 691–693. [Google Scholar] [CrossRef] [PubMed]
- Veenstra, G.M.; Fossion, L.M.; de Laet, K.; Luijten, A.A. Synchronous Laparoscopic Radical Nephrectomy Left and Contralateral Right Hemicolectomy during the Same Endoscopic Procedure. ISRN Surg. 2011, 2011, 179456. [Google Scholar] [CrossRef] [PubMed] [PubMed Central]
- Ng, S.S.; Yiu, R.Y.; Li, J.C.; Chan, C.K.; Ng, C.F.; Lau, J.Y. Endolaparoscopic left hemicolectomy and synchronous laparoscopic radical nephrectomy for obstructive carcinoma of the descending colon and renal cell carcinoma. J. Laparoendosc. Adv. Surg. Tech. A 2006, 16, 297–300. [Google Scholar] [CrossRef] [PubMed]
- Martin Arnau, A.B.; Ochoa Vargas, C.; Peña Gonzalez, J.A.; Targarona Soler, E.M. Simultaneous colectomy and nephectomy in synchronic tumours. Cir. Esp. 2015, 93, 266–268, (In English and Spanish). [Google Scholar] [CrossRef] [PubMed]
- Kim, S.H.; Park, J.Y.; Joh, Y.G.; Hoe, H.E. Simultaneous laparoscopic radical nephrectomy and laparoscopic sigmoidectomy for synchronous renal cell carcinoma and colonic adenocarcinoma. J. Laparoendosc. Adv. Surg. Tech. A 2004, 14, 179–181. [Google Scholar] [CrossRef] [PubMed]
- Napolitano, C.; Santoro, G.A.; Valvano, L.; Salvati, V.; Martorano, M. Simultaneous totally laparoscopic radical nephrectomy and laparoscopic left hemicolectomy for synchronous renal and sigmoid colon carcinoma: Report of a case. Int. J. Colorectal Dis. 2006, 21, 92–93. [Google Scholar] [CrossRef] [PubMed]
- Nishiyama, N.; Yamamoto, S.; Matsuoka, N.; Fujimoto, H.; Moriya, Y. Simultaneous laparoscopic descending colectomy and nephroureterectomy for descending colon carcinoma and left ureteral carcinoma: Report of a case. Surg. Today 2009, 39, 728–732. [Google Scholar] [CrossRef] [PubMed]
- Campanati, L.; Coccolini, F.; Lotti, M.; Deho, F.; Deiana, G.; Lazzareschi, D.; Poiasina, E.; Pisano, M.; Magnone, S.; Colaianni, N.; et al. Simultaneous laparoscopic nephrectomy and colectomy for synchronous primary malignancies: Surgical techniques and the results of two cases. Univ. J. Clin. Med. 2013, 1, 35–38. [Google Scholar]
- Fazzin, M.; Dellachiesa, L.; Resta, G.; Bandi, M.; Marino, S.; Anania, G. One-stage laparoscopic procedure for a patient with bilateral colorectal tumours and renal carcinoma. G. Chir. 2013, 34, 132–134. [Google Scholar] [PubMed] [PubMed Central]
- Takahashi, M.; Ichikawa, R.; Honjo, K.; Aoki, J.; Okazawa, Y.; Kojima, Y.; Ichikawa, J.; Shimizu, F.; Horie, S.; Sakamoto, K. Simultaneous Laparoscopic Colectomy and Nephrectomy for Synchronous Ascending Colon Cancer and Right Kidney Cancer: Report of a Case. JMJ 2014, 60, 345–348. [Google Scholar] [CrossRef]
- Lee, S.; Lee, S.H.; Kim, T.; Baek, S.; Ahn, B.; Chung, J.; Kim, E. Simultaneous laparoscopic-assisted colorectal resection and nephrectomy. J. Minim. Invasive Surg. 2017, 20, 46–48. [Google Scholar] [CrossRef]
- Mendez, L.E.; Atlass, J. Triple synchronous primary malignancies of the colon, endometrium and kidney in a patient with Lynch syndrome treated via minimally invasive techniques. Gynecol. Oncol. Rep. 2016, 17, 29–32. [Google Scholar] [CrossRef] [PubMed] [PubMed Central][Green Version]
- Dafashy, T.J.; Ghaffary, C.K.; Keyes, K.T.; Sonstein, J. Synchronous Renal Cell Carcinoma and Gastrointestinal Malignancies. Case Rep. Urol. 2016, 2016, 7329463. [Google Scholar] [CrossRef] [PubMed] [PubMed Central]
- Chen, J.; Huang, H.Y.; Zhou, H.C.; Liu, L.X.; Kong, C.F.; Zhou, Q.; Fei, J.M.; Zhu, Y.M.; Liu, H.; Tang, Y.C.; et al. Three cancers in the renal pelvis, bladder, and colon: A case report. World J. Clin. Cases 2024, 12, 392–398. [Google Scholar] [CrossRef] [PubMed] [PubMed Central]
- Papalampros, A.E.; Petrou, A.S.; Mantonakis, E.I.; Evangelou, K.I.; Giannopoulos, L.A.; Marinos, G.G.; Giannopoulos, A.L. Coexistence of a colon carcinoma with two distinct renal cell carcinomas: A case report. J. Med. Case Rep. 2011, 5, 134. [Google Scholar] [CrossRef] [PubMed] [PubMed Central]
- Amoroso, A.; Del Porto, F.; Garzia, P.; Ilardi, M.; Clemenzia, C.; D’Amato, A.; Montesani, C.; Rossi Fanelli, F. The infrequent association of synchronous renal and colonic malignancies. Eur. Rev. Med. Pharmacol. Sci. 1999, 3, 111–114. [Google Scholar] [PubMed]
- Strâmbu, V.; Garofil, D.; Pop, F.; Radu, P.; Brătucu, M.; Iorga, C.; Iorga, R.; Pasnicu, C.; Ion, A.; Popa, F. Microsatellite instability in the management of stage II colorectal patients. Chirurgia 2013, 108, 816–821. [Google Scholar] [PubMed]
- Nikolova, P.; Hadzhiyska, V.; Gramatikov, Y.; Veneva, S.; Gaydarov, G.; Raycheva, E.; Ilcheva, M. A Rare Case of Triple Primary Malignant Neoplasms (RCC and Colon Cancer) Detected by 18F-FDG PET/CT. Mol. Imaging Radionucl. Ther. 2025, 34, 55–57. [Google Scholar] [CrossRef] [PubMed] [PubMed Central]
- Maeda, C.; Endo, S.; Mori, Y.; Mukai, S.; Hidaka, E.; Ishida, F.; Kudo, S.E. The ability of positron emission tomography/computed tomography to detect synchronous colonic cancers in patients with obstructive colorectal cancer. Mol. Clin. Oncol. 2019, 10, 425–429. [Google Scholar] [CrossRef] [PubMed] [PubMed Central]
- Babu, M.C.S.; Asati, V.; Babu, K.G.; Suma, M.N.; Rajeev, L.K.; Lokesh, K.N. Synchronous primary cancers: Renal cell carcinoma and rectal cancer. J. Cancer Res. Ther. 2019, 15, 250–251. [Google Scholar] [CrossRef] [PubMed]
- Perrin, H.; Ortega, J.C.; Armando, G.; Brunner, P.; Hastier, P.; Dumas, R.; Ferrari, C. Totally robotic combined right hemicolectomy and nephrectomy. J. Robot. Surg. 2015, 9, 153–156. [Google Scholar] [CrossRef] [PubMed]
- Ishida, M.; Yamada, T.; Takeuchi, R.; Jin, Y.; Katsumata, K.; Saito, T.; Arai, M.; Sanjo, T.; Anno, T.; Egawa, T. Simultaneous robotic hemicolectomy and robotic partial nephrectomy via a posterior approach. IJU Case Rep. 2024, 7, 510–513. [Google Scholar] [CrossRef] [PubMed] [PubMed Central]
- Naik, M.D.; Shinde, R.S.; Thammaiah, P.; Rampurwala, J.; Bansal, R. Synchronous Locally Advanced Renal and Colonic Carcinoma-Case Report with Review of Literature. Indian. J. Surg. Oncol. 2020, 11, 138–142. [Google Scholar] [CrossRef] [PubMed] [PubMed Central]
- Sato, S.; Shinohara, N.; Suzuki, S.; Harabayashi, T.; Koyanagi, T. Multiple primary malignancies in Japanese patients with renal cell carcinoma. Int. J. Urol. 2004, 11, 269–275. [Google Scholar] [CrossRef] [PubMed]
- Enciu, O.; Avino, A.; Calu, V.; Toma, E.A.; Tulin, A.; Tulin, R.; Slavu, I.; Răducu, L.; Balcangiu-Stroescu, A.E.; Gheoca Mutu, D.E.; et al. Laparoscopic vs. open resection for colon cancer-quality of oncologic resection evaluation in a medium volume center. Exp. Ther. Med. 2022, 24, 455. [Google Scholar] [CrossRef] [PubMed] [PubMed Central]
- Shetty, G.S.; Bhalla, P.; Desai, S.M.; Wagle, P.K.; Mehta, H.S. Synchronous hepatocellular carcinoma with renal cell carcinoma: A case report and review of literature of multiple synchronous primary malignancies. Indian J. Surg. 2013, 75, 290–292. [Google Scholar] [CrossRef] [PubMed] [PubMed Central][Green Version]
- Li, J.; Zou, Y.; Wang, B.; Meng, X.; Sun, X. Concomitant occurrence of primary renal non-Hodgkin lymphoma and a colon cancer: A rare case report. Medicine 2019, 98, e14802. [Google Scholar] [CrossRef] [PubMed] [PubMed Central]
- Ljungberg, B.; Albiges, L.; Abu-Ghanem, Y.; Bedke, J.; Capitanio, U.; Dabestani, S.; Fernández-Pello, S.; Giles, R.H.; Hofmann, F.; Hora, M.; et al. European Association of Urology Guidelines on Renal Cell Carcinoma: The 2022 Update. Eur Urol. 2022, 82, 399–410. [Google Scholar] [CrossRef] [PubMed]
- Constantin, V.D.; Silaghi, A.; Epistatu, D.; Dumitriu, A.S.; Paunica, S.; Bălan, D.G.; Socea, B. Diagnosis and Management of Colon Cancer Patients Presenting in Advanced Stages of Complications. J. Mind Med. Sci. 2023, 10, 51–65. [Google Scholar] [CrossRef]
- Ágoston, E.I.; Somorácz, Á.; Madaras, L.; Zaránd, A.; Szentmártoni, G.; Orosz, Z.; Dank, M.; Baranyai, Z. Successful treatment of three synchronous primary malignant tumours-reflection on surgical, pathological and oncological aspects and decision making. J. Surg. Case Rep. 2018, 2018, rjy041. [Google Scholar] [CrossRef] [PubMed] [PubMed Central]
- Iorga, C.; Iorga, C.R.; Grigorescu, A.; Bengulescu, I.; Constantin, T.; Strambu, V. Synchronous Breast and Colorectal Malignant Tumors-A Systematic Review. Life 2024, 14, 1008. [Google Scholar] [CrossRef] [PubMed] [PubMed Central]



Disclaimer/Publisher’s Note: The statements, opinions and data contained in all publications are solely those of the individual author(s) and contributor(s) and not of MDPI and/or the editor(s). MDPI and/or the editor(s) disclaim responsibility for any injury to people or property resulting from any ideas, methods, instructions or products referred to in the content. |
© 2026 by the authors. Licensee MDPI, Basel, Switzerland. This article is an open access article distributed under the terms and conditions of the Creative Commons Attribution (CC BY) license.
Share and Cite
Iorga, C.; Iorga, C.R.; Strambu, V. Synchronous Colon Adenocarcinoma and Renal Cell Carcinoma: Diagnostic Challenges and Simultaneous Laparoscopic Management in Two Cases. Diagnostics 2026, 16, 287. https://doi.org/10.3390/diagnostics16020287
Iorga C, Iorga CR, Strambu V. Synchronous Colon Adenocarcinoma and Renal Cell Carcinoma: Diagnostic Challenges and Simultaneous Laparoscopic Management in Two Cases. Diagnostics. 2026; 16(2):287. https://doi.org/10.3390/diagnostics16020287
Chicago/Turabian StyleIorga, Cristian, Cristina Raluca Iorga, and Victor Strambu. 2026. "Synchronous Colon Adenocarcinoma and Renal Cell Carcinoma: Diagnostic Challenges and Simultaneous Laparoscopic Management in Two Cases" Diagnostics 16, no. 2: 287. https://doi.org/10.3390/diagnostics16020287
APA StyleIorga, C., Iorga, C. R., & Strambu, V. (2026). Synchronous Colon Adenocarcinoma and Renal Cell Carcinoma: Diagnostic Challenges and Simultaneous Laparoscopic Management in Two Cases. Diagnostics, 16(2), 287. https://doi.org/10.3390/diagnostics16020287

