Is There a Relationship Between the Histopathological Features and Anatomical Locations of Thrombi Obtained During Endovascular Thrombectomy in Acute Ischemic Stroke and Its Comorbid Diseases?
Abstract
1. Introduction
2. Materials and Methods
2.1. Trial Design
2.2. Participants and Eligibility Criteria
2.3. Parameters Evaluated
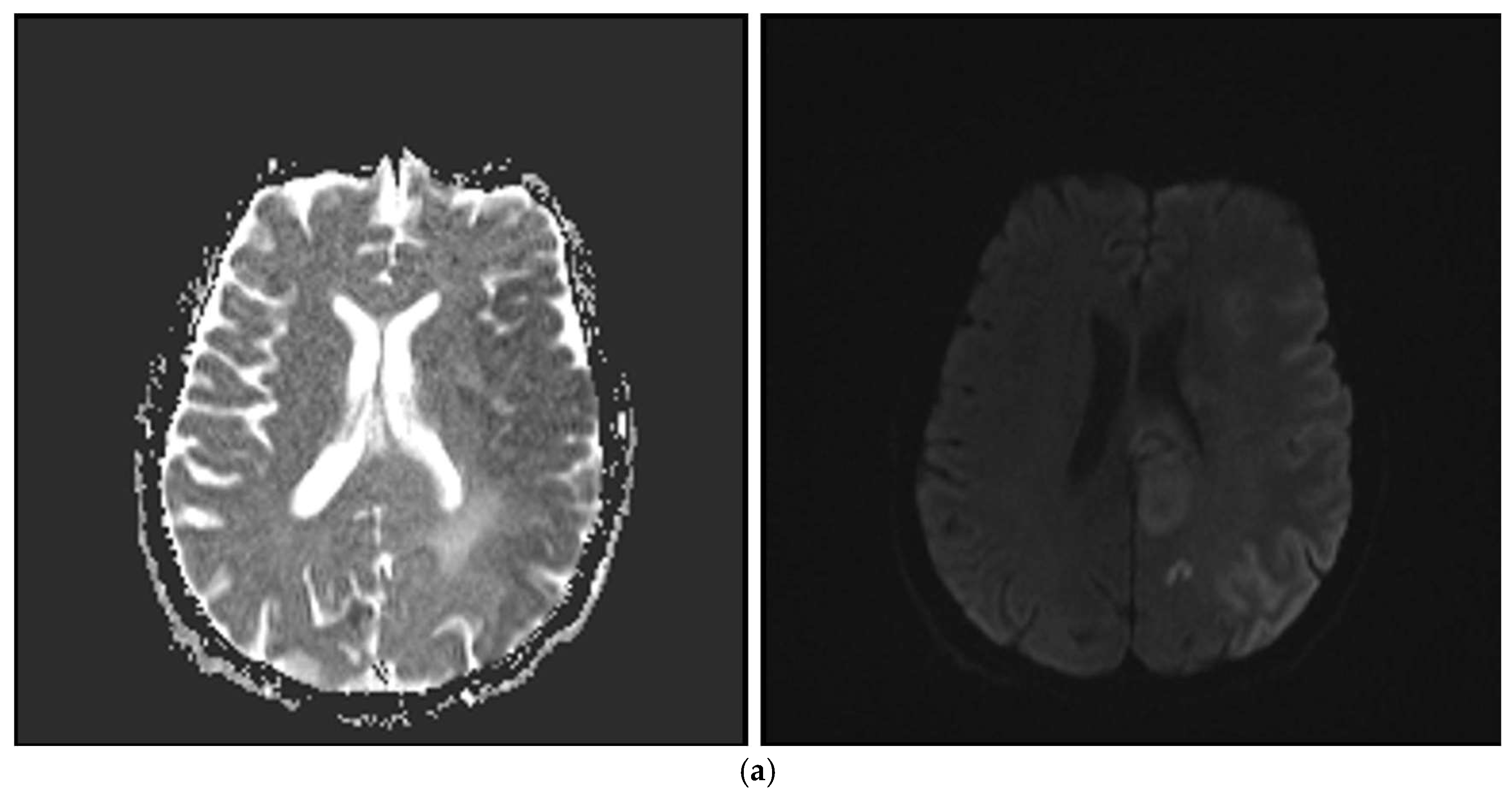
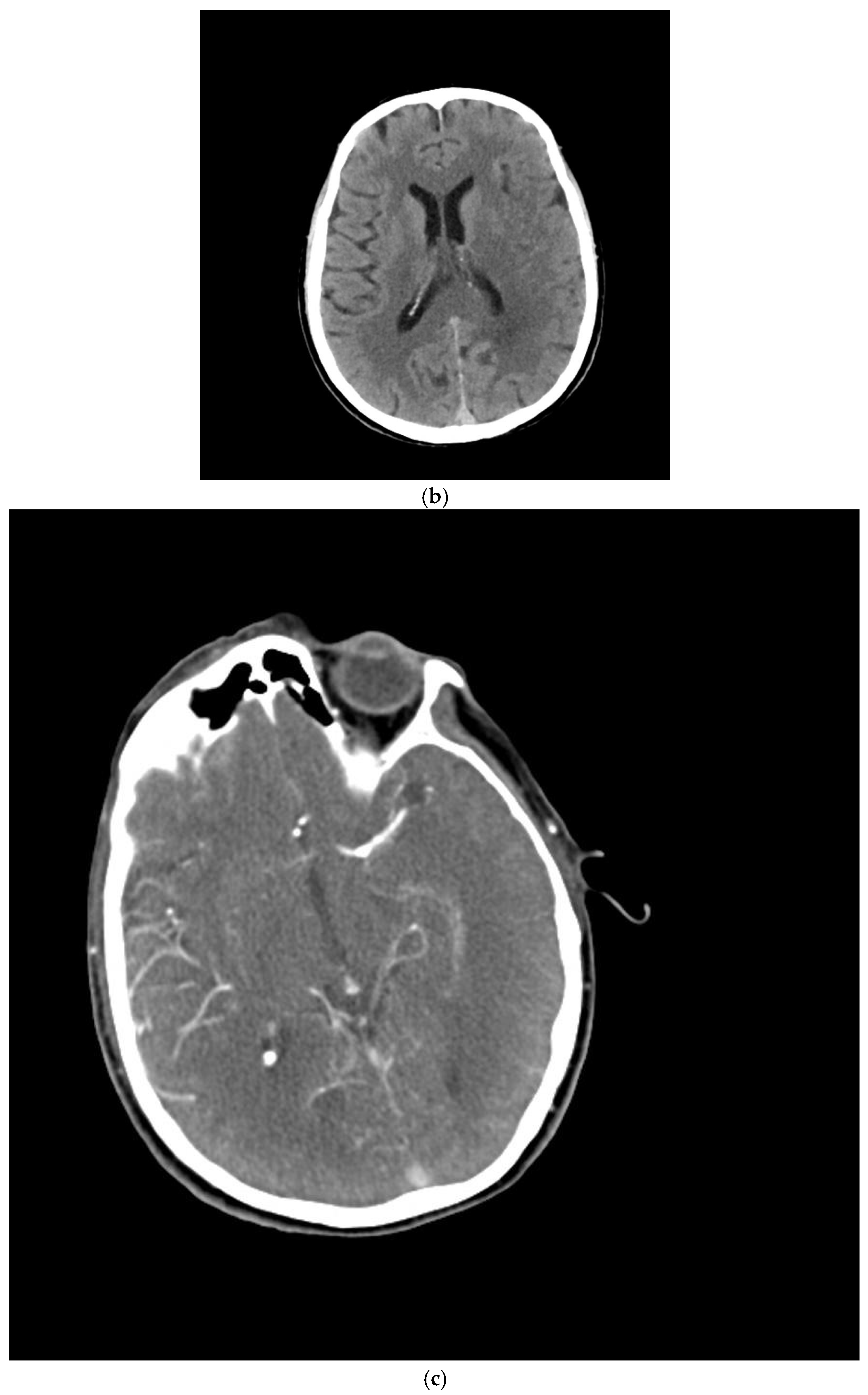
2.4. Imaging Protocol
2.5. Endovascular Thrombectomy Technique
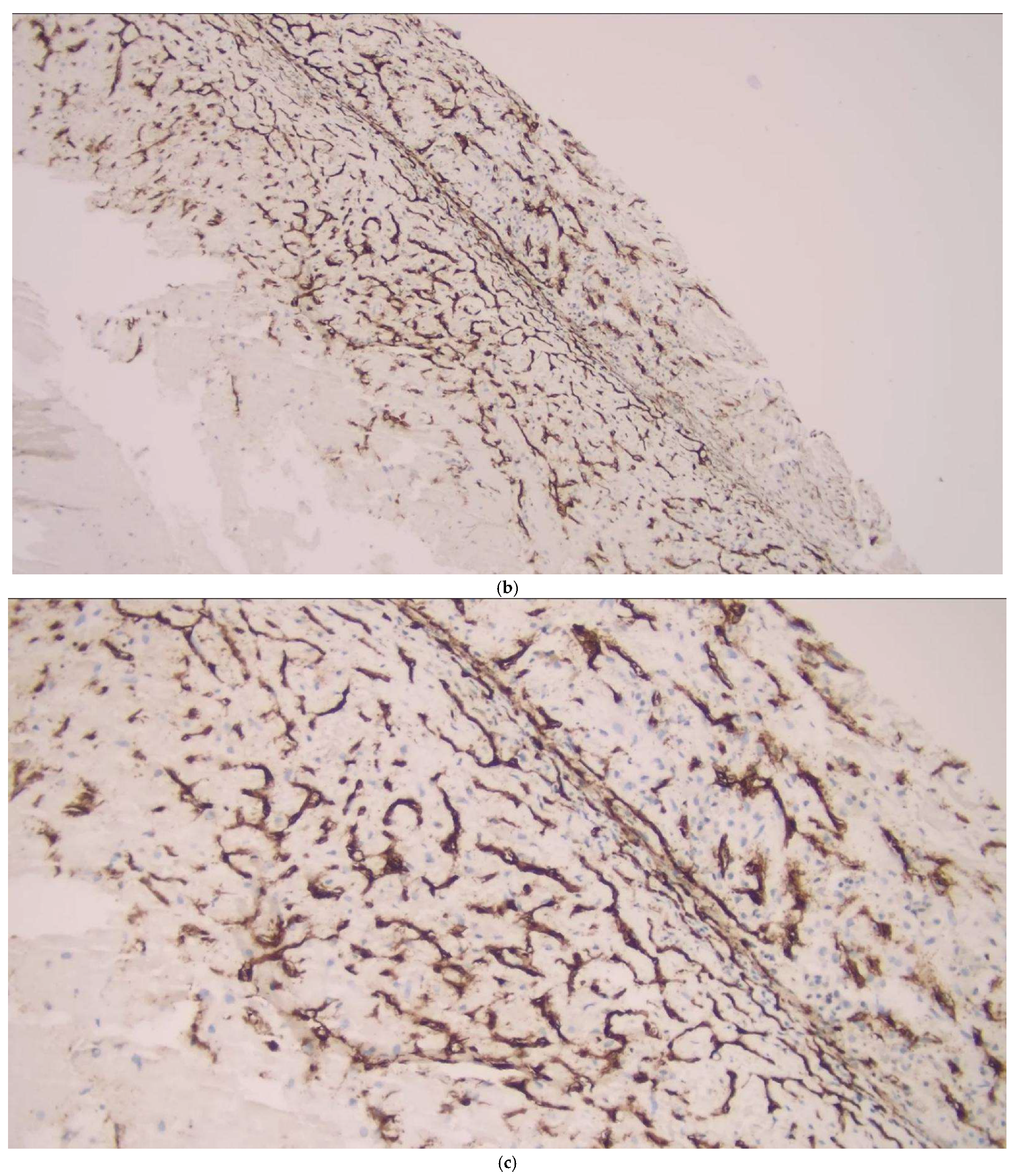
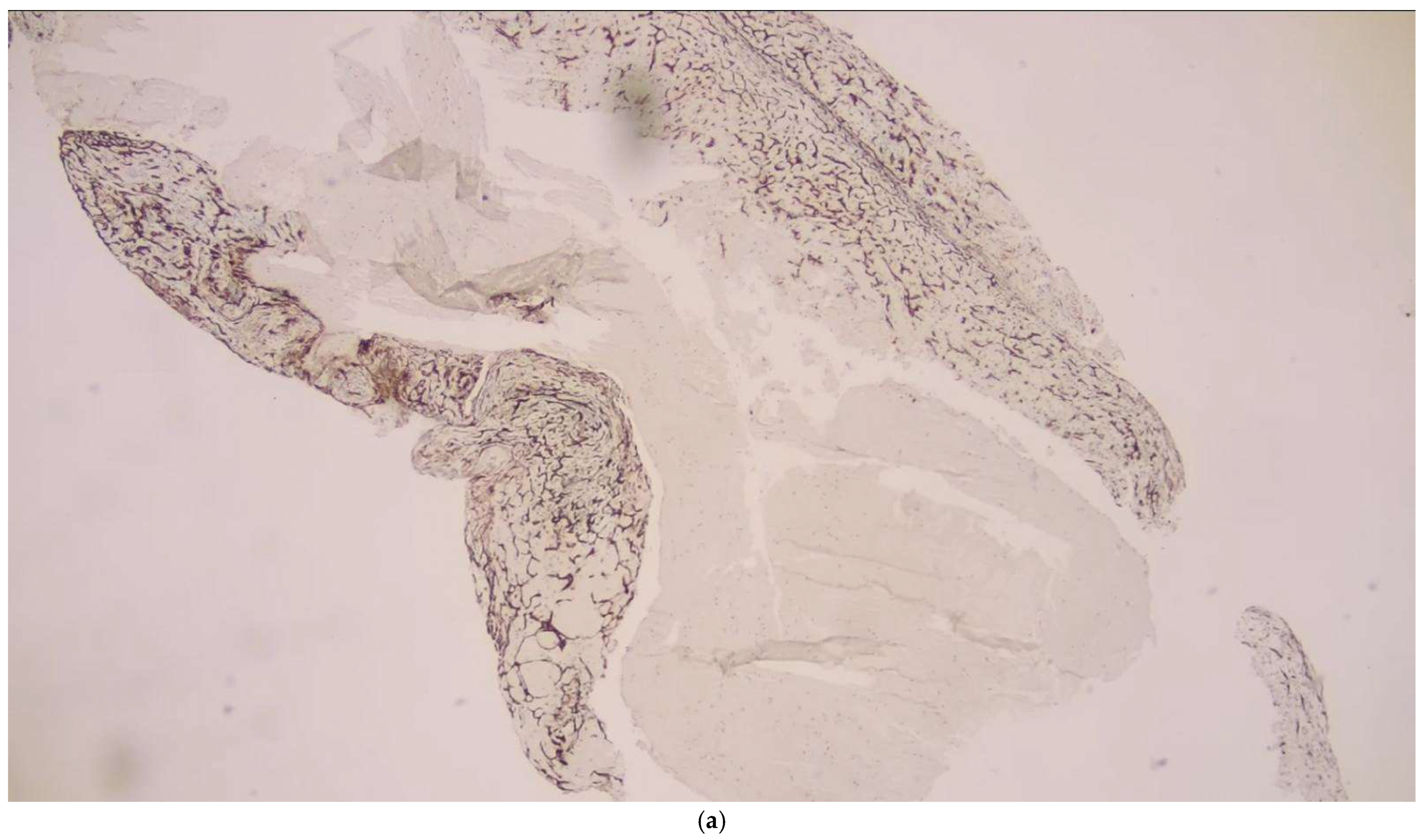
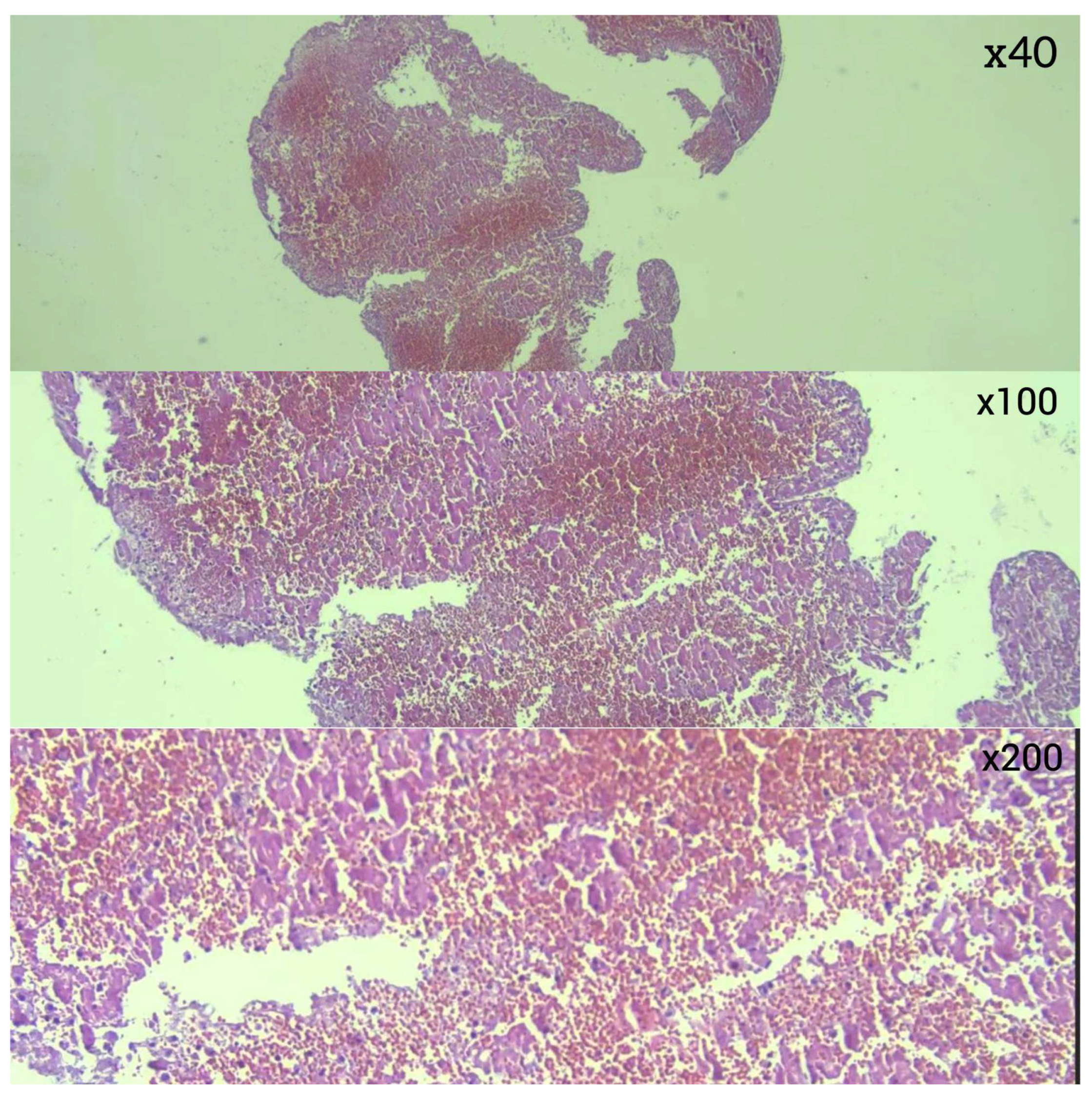
2.6. Histopathological Examination
2.7. Statistical Analysis
3. Results
4. Discussion
Author Contributions
Funding
Institutional Review Board Statement
Informed Consent Statement
Data Availability Statement
Acknowledgments
Conflicts of Interest
References
- Boodt, N.; Snouckaert van Schauburg, P.R.W.; Hund, H.M.; Fereidoonnezhad, B.; McGarry, J.P.; Akyildiz, A.C.; van Es, A.C.; De Meyer, S.F.; Dippel, D.W.; Lingsma, H.F.; et al. Mechanical Characterization of Thrombi Retrieved With Endovascular Thrombectomy in Patients With Acute Ischemic Stroke. Stroke 2021, 52, 2510–2517. [Google Scholar] [CrossRef] [PubMed]
- Shimizu, H.; Hatakeyama, K.; Saito, K.; Shobatake, R.; Takahashi, N.; Deguchi, J.; Tokunaga, H.; Shimada, K.; Nakagawa, I.; Myochin, K.; et al. Age and composition of the thrombus retrieved by mechanical thrombectomy from patients with acute ischemic stroke are associated with revascularization and clinical outcomes. Thromb. Res. 2022, 219, 60–69. [Google Scholar] [CrossRef] [PubMed]
- Simons, N.; Mitchell, P.; Dowling, R.; Gonzales, M.; Yan, B. Thrombus composition in acute ischemic stroke: A histopathological study of thrombus extracted by endovascular retrieval. J. Neuroradiol. 2015, 42, 86–92. [Google Scholar] [CrossRef] [PubMed]
- Mereuta, O.M.; Abbasi, M.; Fitzgerald, S.; Dai, D.; Kadirvel, R.; Hanel, R.A.; Yoo, A.J.; A Almekhlafi, M.; Layton, K.F.; Almandoz, J.E.D.; et al. Histological evaluation of acute ischemic stroke thrombi may indicate the occurrence of vessel wall injury during mechanical thrombectomy. J. Neurointerv Surg. 2022, 14, 356–361. [Google Scholar] [CrossRef]
- Schuhmann, M.K.; Gunreben, I.; Kleinschnitz, C.; Kraft, P. Immunohistochemical Analysis of Cerebral Thrombi Retrieved by Mechanical Thrombectomy from Patients with Acute Ischemic Stroke. Int. J. Mol. Sci. 2016, 17, 298. [Google Scholar] [CrossRef]
- Marder, V.J.; Chute, D.J.; Starkman, S.; Abolian, A.M.; Kidwell, C.; Liebeskind, D.; Ovbiagele, B.; Vinuela, F.; Duckwiler, G.; Jahan, R.; et al. Analysis of thrombi retrieved from cerebral arteries of patients with acute ischemic stroke. Stroke 2006, 37, 2086–2093. [Google Scholar] [CrossRef]
- Manisha, K.Y.; Poyuran, R.; Narasimhaiah, D.; Kumar Paramasivan, N.; Ramachandran, H.; Erat Sreedharan, S.; Er, J.; Kumar, S.; Thulaseedharan, J.V.; Sylaja, P. Thrombus histology does not predict stroke etiological subtype but influences recanalization. J Clin Neurosci. 2024, 124, 54–59. [Google Scholar] [CrossRef]
- Ye, G.; Gao, Q.; Qi, P.; Wang, J.; Hu, S.; Chen, K.; Tan, T.; Lu, J.; Wang, D. The role of diabetes mellitus on the thrombus composition in patients with acute ischemic stroke. Interv. Neuroradiol. 2020, 26, 329–336. [Google Scholar] [CrossRef]
- Sirol, M.; Fuster, V.; Badimon, J.J.; Fallon, J.T.; Moreno, P.R.; Toussaint, J.F.; Fayad, Z.A. Chronic thrombus detection with in vivo magnetic resonance imaging and a fibrin-targeted contrast agent. Circulation 2005, 112, 1594–1600. [Google Scholar] [CrossRef]
- Pusztaszeri, M.P.; Seelentag, W.; Bosman, F.T. Immunohistochemical expression of endothelial markers CD31, CD34, von Willebrand factor, and Fli-1 in normal human tissues. J. Histochem. Cytochem. 2006, 54, 385–395. [Google Scholar] [CrossRef]
- Müller, A.M.; Hermanns, M.I.; Skrzynski, C.; Nesslinger, M.; Müller, K.M.; Kirkpatrick, C.J. Expression of the endothelial markers PECAM-1, vWf, and CD34 in vivo and in vitro. Exp. Mol. Pathol. 2002, 72, 221–229. [Google Scholar] [CrossRef]
- Yuki, I.; Kan, I.; Vinters, H.V.; Kim, R.H.; Golshan, A.; Vinuela, F.A.; Sayre, J.W.; Murayama, Y.; Vinuela, F. The impact of thromboemboli histology on the performance of a mechanical thrombectomy device. AJNR Am. J. Neuroradiol. 2012, 33, 643–648. [Google Scholar] [CrossRef] [PubMed]
- Shin, J.W.; Jeong, H.S.; Kwon, H.J.; Song, K.S.; Kim, J. High red blood cell composition in clots is associated with successful recanalization during intra-arterial thrombectomy. PLoS ONE 2018, 13, e0197492. [Google Scholar] [CrossRef] [PubMed]
- Maekawa, K.; Shibata, M.; Nakajima, H.; Mizutani, A.; Kitano, Y.; Seguchi, M.; Yamasaki, M.; Kobayashi, K.; Sano, T.; Mori, G.; et al. Erythrocyte-Rich Thrombus Is Associated with Reduced Number of Maneuvers and Procedure Time in Patients with Acute Ischemic Stroke Undergoing Mechanical Thrombectomy. Cerebrovasc. Dis. Extra 2018, 8, 39–49. [Google Scholar] [CrossRef]
- Jolugbo, P.; Ariëns, R.A.S. Thrombus Composition and Efficacy of Thrombolysis and Thrombectomy in Acute Ischemic Stroke. Stroke 2021, 52, 1131–1142. [Google Scholar] [CrossRef] [PubMed]
- Sporns, P.B.; Jeibmann, A.; Minnerup, J.; Broocks, G.; Nawabi, J.; Schön, G.; Fiehler, J.; Wildgruber, M.; Heindel, W.; Kemmling, A.; et al. Histological Clot Composition Is Associated With Preinterventional Clot Migration in Acute Stroke Patients. Stroke 2019, 50, 2065–2071. [Google Scholar] [CrossRef]
- Maegerlein, C.; Friedrich, B.; Berndt, M.; Lucia, K.E.; Schirmer, L.; Poppert, H.; Zimmer, C.; Pelisek, J.; Boeckh-Behrens, T.; Kaesmacher, J. Impact of histological thrombus composition on preinterventional thrombus migration in patients with acute occlusions of the middle cerebral artery. Interv. Neuroradiol. 2018, 24, 70–75. [Google Scholar] [CrossRef]
- Kaesmacher, J.; Maegerlein, C.; Kaesmacher, M.; Zimmer, C.; Poppert, H.; Friedrich, B.; Boeckh-Behrens, T.; Kleine, J.F. Thrombus Migration in the Middle Cerebral Artery: Incidence, Imaging Signs, and Impact on Success of Endovascular Thrombectomy. J. Am. Heart Assoc. 2017, 6, e005149. [Google Scholar] [CrossRef]
- Funatsu, N.; Hayakawa, M.; Hashimoto, T.; Yamagami, H.; Satow, T.; Takahashi, J.C.; Koga, M.; Nagatsuka, K.; Ishibashi-Ueda, H.; Iwama, T.; et al. Vascular wall components in thrombi obtained by acute stroke thrombectomy: Clinical significance and related factors. J. Neurointerv Surg. 2019, 11, 232–236. [Google Scholar] [CrossRef]
- Duffy, S.; McCarthy, R.; Farrell, M.; Thomas, S.; Brennan, P.; Power, S.; O’hare, A.; Morris, L.; Rainsford, E.; MacCarthy, E.; et al. Per-Pass Analysis of Thrombus Composition in Patients With Acute Ischemic Stroke Undergoing Mechanical Thrombectomy. Stroke 2019, 50, 1156–1163. [Google Scholar] [CrossRef]
- Gunning, G.M.; McArdle, K.; Mirza, M.; Duffy, S.; Gilvarry, M.; Brouwer, P.A. Clot friction variation with fibrin content; implications for resistance to thrombectomy. J. Neurointerv Surg. 2018, 10, 34–38. [Google Scholar] [CrossRef]
- Gersh, K.C.; Nagaswami, C.; Weisel, J.W. Fibrin network structure and clot mechanical properties are altered by incorporation of erythrocytes. Thromb. Haemost. 2009, 102, 1169–1175. [Google Scholar] [CrossRef]
- Weafer, F.M.; Duffy, S.; Machado, I.; Gunning, G.; Mordasini, P.; Roche, E.; E McHugh, P.; Gilvarry, M. Characterization of strut indentation during mechanical thrombectomy in acute ischemic stroke clot analogs. J. Neurointerv Surg. 2019, 11, 891–897. [Google Scholar] [CrossRef]
- Martinez de Lizarrondo, S.; Gakuba, C.; Herbig, B.A.; Repessé, Y.; Ali, C.; Denis, C.V.; Lenting, P.J.; Touzé, E.; Diamond, S.L.; Vivien, D.; et al. Potent Thrombolytic Effect of N-Acetylcysteine on Arterial Thrombi. Circulation 2017, 136, 646–660. [Google Scholar] [CrossRef]












| Characteristic | n = 57 |
|---|---|
| Age | 65.2 (±15.3) |
| Gender (Male/Female) | 27/30 |
| Chronic Diseases (CD) | |
| Diabetes Mellitus | 11 (19.3%) |
| Atrial Fibrillation | 7 (12.3%) |
| Stroke | 6 (10.5%) |
| Coronary Artery Disease | 14 (24.6%) |
| Hypertension | 18 (31.6%) |
| Any CD | 36 (63.1%) |
| Characteristic | n = 57 |
|---|---|
| NIHSS scores | 11.1 (±4.7) |
| mRS scores | 4 (2–5) |
| Occlusion Location | |
| MCA M1 | 37 (64.9%) |
| ICA terminal | 11 (19.3%) |
| ICA proximal | 17 (29.8%) |
| ACA | 5 (8.8%) |
| Basilar artery | 2 (3.5%) |
| Embolectomy Technique | |
| Aspiration | 22 (39.6%) |
| Aspiration and stent implantation | 35 (61.4%) |
| Characteristic | n = 57 | MCA M1 | ICA Terminal | ICA Proximal | ACA | Basilar Artery | p Value |
|---|---|---|---|---|---|---|---|
| Early Stage | 40 (70.2%) | ||||||
| RBC-dominant | 28 (49.1%) | 14 (38.9%) | 3 (8.3%) | 15 (41.7%) | 2 (5.5%) | 2 (5.5%) | <0.001 |
| RBC = Fibrin | 12 (21.1%) | 10 (66.7%) | 4 (2.7% ) | 0 | 1 (6.7%) | 0 | <0.001 |
| Late Stage | 17 (29.8%) | ||||||
| Fibrin-dominant | 11 (19.3%) | 8 (66.7%) | 2 (16.7%) | 1 (8.3%) | 1 (8.3%) | 0 | <0.001 |
| Organized fibrin | 6 (10.5%) | 5 (55.5%) | 2 (22.2%) | 1 (11.1%) | 1 (11.1%) | 0 | <0.001 |
| p Value | 0.15 | 0.25 | <0.001 | 0.89 | - |
| RBC-Dominant | RBC = Fibrin | Fibrin-Dominant | Organized Fibrin | p Value | |
|---|---|---|---|---|---|
| CD 34 | 2 (7.1%) | 1 (8.3%) | 0 | 2 (33.3%) | 0.17 |
| Chronic Diseases | |||||
| Hypertension | 9 (50%) | 5 (27.8%) | 3 (16.7%) | 1 (5.6%) | 0.82 |
| Coronary Artery Disease | 9 (64.3%) | 3 (21.4%) | 1 (7.1%) | 1 (7.1%) | 0.59 |
| Diabetes Mellitus | 6 (54.5%) | 2 (18.2%) | 3 (27.3%) | 0 | 0.67 |
| Atrial Fibrillation | 2 (28.6%) | 1 (14.3%) | 2 (28.6%) | 2 (28.6%) | 0.22 |
| Stroke | 3 (50%) | 0 | 2 (33%) | 1 (16.7%) | 0.39 |
| Embolectomy Technique | 0.54 | ||||
| Aspiration | 12 (54.5%) | 5 (22.7%) | 5 (22.7%) | 0 | |
| Aspiration and stent implantation | 16 (45.7%) | 7 (20%) | 6 (17.1%) | 6 (17.1%) | |
| mTICI Score | 0.39 | ||||
| 3 | 22 (55%) | 8 (20%) | 7 (17.5%) | 3 (7.5%) | |
| 2 | 5 (35.7%) | 4 (28.6%) | 2 (14.3%) | 3 (21.4%) | |
| 1 | 1 (50%) | 0 | 1 (50%) | 0 | |
| 0 | 0 | 0 | 1 (100%) | 0 |
| Early | Late | p Value | |
|---|---|---|---|
| CD 34 | 3 (7.5%) | 2 (11.8%) | 0.63 |
| Occlusion Location | |||
| MCA M1 | 24 (64.8%) | 13 (35.2%) | 0.23 |
| ICA terminal | 7 (63.7%) | 4 (36.3%) | 0.59 |
| ICA proximal | 15 (88.2%) | 2 (11.8%) | 0.052 |
| ACA | 3 (60%) | 2 (40%) | 0.63 |
| Basilar artery | 2 (100%) | 0 | - |
| Chronic Diseases | |||
| Hypertension | 14 (77.8%) | 4 (22.2%) | 0.54 |
| Coronary Artery Disease | 12 (85.7%) | 2 (14.3%) | 0.19 |
| Diabetes Mellitus | 8 (72.7%) | 3 (27.3%) | 0.84 |
| Atrial Fibrillation | 3 (42.9%) | 4 (57.1%) | 0.18 |
| Stroke | 3 (50%) | 3 (50%) | 0.35 |
| Embolectomy Technique | 0.35 | ||
| Aspiration | 17 (77.3%) | 5 (22.7%) | |
| Aspiration and stent implantation | 23 (65.7%) | 12 (34.3%) | |
| mTICI Score | 0.26 | ||
| 3 | 30 (75%) | 10 (25%) | |
| 2 | 9 (64.3%) | 5 (25.7%) | |
| 1 | 1 (50%) | 1 (50%) | |
| 0 | 0 | 1 (100%) |
| TOAST Etiology | RBC-Dominant | RBC = Fibrin | Fibrin-Dominant | Organized Fibrin | Total (n) |
|---|---|---|---|---|---|
| TOAST 1—Large artery atherosclerosis | 8 (47%) | 5 (29%) | 3 (18%) | 1 (6%) | 17 |
| TOAST 2—Cardioembolic | 6 (46%) | 1 (8%) | 4 (31%) | 2 (15%) | 13 |
| TOAST 4—Other determined | 4 (80%) | 1 (20%) | 0 (0%) | 0 (0%) | 5 |
| TOAST 5—Undetermined | 10 (45%) | 5 (23%) | 4 (18%) | 3 (14%) | 22 |
| TOAST Etiology | mTICI 0 | mTICI 1 | mTICI 2 | mTICI 3 | Total (n) |
|---|---|---|---|---|---|
| TOAST 1—Large artery atherosclerosis | 0 (0%) | 1 (6%) | 4 (24%) | 12 (71%) | 17 |
| TOAST 2—Cardioembolic | 0 (0%) | 0 (0%) | 3 (23%) | 10 (77%) | 13 |
| TOAST 4—Other determined | 0 (0%) | 0 (0%) | 0 (0%) | 5 (100%) | 5 |
| TOAST 5—Undetermined | 1 (5%) | 1 (5%) | 7 (32%) | 13 (59%) | 22 |
Disclaimer/Publisher’s Note: The statements, opinions and data contained in all publications are solely those of the individual author(s) and contributor(s) and not of MDPI and/or the editor(s). MDPI and/or the editor(s) disclaim responsibility for any injury to people or property resulting from any ideas, methods, instructions or products referred to in the content. |
© 2025 by the authors. Licensee MDPI, Basel, Switzerland. This article is an open access article distributed under the terms and conditions of the Creative Commons Attribution (CC BY) license.
Share and Cite
Türkoğlu, S.; Akdeniz, H.; Günsoy, E.; Yalınkılıç, F.A. Is There a Relationship Between the Histopathological Features and Anatomical Locations of Thrombi Obtained During Endovascular Thrombectomy in Acute Ischemic Stroke and Its Comorbid Diseases? Diagnostics 2026, 16, 63. https://doi.org/10.3390/diagnostics16010063
Türkoğlu S, Akdeniz H, Günsoy E, Yalınkılıç FA. Is There a Relationship Between the Histopathological Features and Anatomical Locations of Thrombi Obtained During Endovascular Thrombectomy in Acute Ischemic Stroke and Its Comorbid Diseases? Diagnostics. 2026; 16(1):63. https://doi.org/10.3390/diagnostics16010063
Chicago/Turabian StyleTürkoğlu, Saim, Hüseyin Akdeniz, Ertuğ Günsoy, and Fatma Ayaz Yalınkılıç. 2026. "Is There a Relationship Between the Histopathological Features and Anatomical Locations of Thrombi Obtained During Endovascular Thrombectomy in Acute Ischemic Stroke and Its Comorbid Diseases?" Diagnostics 16, no. 1: 63. https://doi.org/10.3390/diagnostics16010063
APA StyleTürkoğlu, S., Akdeniz, H., Günsoy, E., & Yalınkılıç, F. A. (2026). Is There a Relationship Between the Histopathological Features and Anatomical Locations of Thrombi Obtained During Endovascular Thrombectomy in Acute Ischemic Stroke and Its Comorbid Diseases? Diagnostics, 16(1), 63. https://doi.org/10.3390/diagnostics16010063

