Precision in Complexity: A Protocol-Driven Quantitative Anatomic Strategy for Giant Olfactory Groove Meningioma Resection in a High-Risk Geriatric Patient
Abstract
1. Introduction
2. Case Report and Results
2.1. Clinical Presentation
2.2. Perioperative Optimization
2.3. Clinical Examination and Admission Laboratory Findings
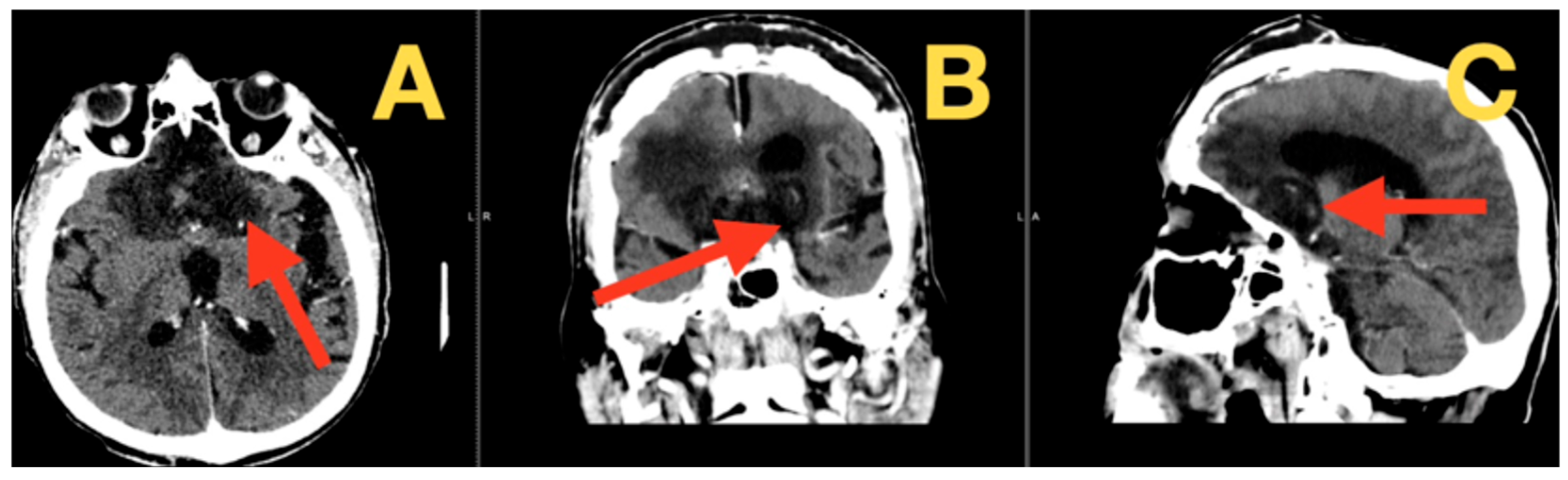
2.4. Preoperative Imaging and Quantitative Metrics
2.5. Surgical Procedure
2.6. Postoperative Outcomes and Follow-Up
3. Discussion
3.1. Case-Specific Rationale and Surgical Strategy
3.2. Contribution of Quantitative Indices to Operative Decision-Making
3.3. Geriatric Risk Stratification as a Parallel Framework
3.4. Therapeutic Alternatives and Adjuvant Considerations in Context
3.5. Future Directions: Technologies That Could Refine and Validate the Proposed Metrics
3.6. Limitations and Validation Priorities
4. Conclusions
Author Contributions
Funding
Institutional Review Board Statement
Informed Consent Statement
Data Availability Statement
Conflicts of Interest
References
- Candy, N.G.; Hinder, D.; Jukes, A.K.; Wormald, P.-J.; Psaltis, A.J. Olfaction Preservation in Olfactory Groove Meningiomas: A Systematic Review. Neurosurg. Rev. 2023, 46, 186. [Google Scholar] [CrossRef]
- Kasper, E.M.; Mirza, F.A.; Kaya, S.; Walker, R.; Starnoni, D.; Daniel, R.T.; Nair, R.; Lam, F.C. Surgical Morbidity in Relation to the Surgical Approach for Olfactory Groove Meningiomas—A Pooled Analysis of 1016 Patients and Proposal of a New Reporting System. Brain Sci. 2023, 13, 896. [Google Scholar] [CrossRef]
- Shalan, M.E.; Soliman, A.Y.; Nassar, I.A.; Alarabawy, R.A. Surgical Planning in Patients with Brain Glioma Using Diffusion Tensor MR Imaging and Tractography. Egypt. J. Radiol. Nucl. Med. 2021, 52, 110. [Google Scholar] [CrossRef]
- Beilstein, C.M.; Krutkyte, G.; Vetsch, T.; Eser, P.; Wilhelm, M.; Stanga, Z.; Bally, L.; Verra, M.; Huber, M.; Wuethrich, P.Y.; et al. Multimodal Prehabilitation for Major Surgery in Elderly Patients to Lower Complications: Protocol of a Randomised, Prospective, Multicentre, Multidisciplinary Trial (PREHABIL Trial). BMJ Open 2023, 13, e070253. [Google Scholar] [CrossRef]
- Gan, C.; Yuan, Y.; Shen, H.; Gao, J.; Kong, X.; Che, Z.; Guo, Y.; Wang, H.; Dong, E.; Xiao, J. Liver Diseases: Epidemiology, Causes, Trends and Predictions. Signal Transduct. Target. Ther. 2025, 10, 33. [Google Scholar] [CrossRef]
- Bozic, D.; Mamic, B.; Peric, I.; Bozic, I.; Zaja, I.; Ivanovic, T.; Gugic Ratkovic, A.; Grgurevic, I. Assessment of Sarcopenia in Patients with Liver Cirrhosis—A Literature Review. Nutrients 2025, 17, 2589. [Google Scholar] [CrossRef]
- Sakata, K.; Komaki, S.; Takeshige, N.; Negoto, T.; Kikuchi, J.; Kajiwara, S.; Orito, K.; Nakamura, H.; Hirohata, M.; Morioka, M. Visual Outcomes and Surgical Approach Selection Focusing on Active Optic Canal Decompression and Maximum Safe Resection for Suprasellar Meningiomas. Neurol. Med. Chir. 2023, 63, 381–392. [Google Scholar] [CrossRef]
- Kim, S.-O.; Kim, Y.-C. Effects of Path-Finding Algorithms on the Labeling of the Centerlines of Circle of Willis Arteries. Tomography 2023, 9, 1423–1433. [Google Scholar] [CrossRef] [PubMed]
- Xia, C.; Hu, M.; Zhu, X.; Wen, Y.; Wu, J.; Hou, C. Macroscopic-Level Collaborative Optimization Framework for IADS: Multiple-Route Terminal Maneuvering Area Scheduling Problem. Aerospace 2025, 12, 639. [Google Scholar] [CrossRef]
- Palmieri, M.; Pesce, A.; Capobianco, M.; Corsini, M.; Iovannitti, G.; Aloj, F.; Zancana, G.; Esposito, V.; Salvati, M.; Santoro, A.; et al. Safety and Efficacy Evaluation of Ultrasound Aspirators in Intramedullary Spinal Cord Tumors Surgery: An Experimental Study on a Swine Model. Brain Sci. 2025, 15, 670. [Google Scholar] [CrossRef]
- Darche, M.; Verschueren, A.; Belle, M.; Boucherit, L.; Fouquet, S.; Sahel, J.A.; Chédotal, A.; Cascone, I.; Paques, M. Three-Dimensional Characterization of Developing and Adult Ocular Vasculature in Mice Using in Toto Clearing. Commun. Biol. 2022, 5, 1135. [Google Scholar] [CrossRef]
- Rajashekar, D.; Lavrador, J.P.; Ghimire, P.; Keeble, H.; Harris, L.; Pereira, N.; Patel, S.; Beyh, A.; Gullan, R.; Ashkan, K.; et al. Simultaneous Motor and Visual Intraoperative Neuromonitoring in Asleep Parietal Lobe Surgery: Dual Strip Technique. J. Pers. Med. 2022, 12, 1478. [Google Scholar] [CrossRef]
- Mastantuoni, C.; Cavallo, L.M.; Esposito, F.; d’Avella, E.; de Divitiis, O.; Somma, T.; Bocchino, A.; Fabozzi, G.L.; Cappabianca, P.; Solari, D. Midline Skull Base Meningiomas: Transcranial and Endonasal Perspectives. Cancers 2022, 14, 2878. [Google Scholar] [CrossRef]
- Waltenberger, M.; Bernhardt, D.; Diehl, C.; Gempt, J.; Meyer, B.; Straube, C.; Wiestler, B.; Wilkens, J.J.; Zimmer, C.; Combs, S.E. Hypofractionated Stereotactic Radiotherapy (HFSRT) versus Single Fraction Stereotactic Radiosurgery (SRS) to the Resection Cavity of Brain Metastases after Surgical Resection (SATURNUS): Study Protocol for a Randomized Phase III Trial. BMC Cancer 2023, 23, 709. [Google Scholar] [CrossRef] [PubMed]
- Sienna, J.; Kahalley, L.S.; Mabbott, D.; Grosshans, D.; Santiago, A.T.; Paulino, A.D.C.; Merchant, T.E.; Manzar, G.S.; Dama, H.; Hodgson, D.C.; et al. Proton Therapy Mediates Dose Reductions to Brain Structures Associated with Cognition in Children with Medulloblastoma. Int. J. Radiat. Oncol. Biol. Phys. 2024, 119, 200–207. [Google Scholar] [CrossRef]
- Valdes, E.; Fang, T.; Boffa, M.; Frontera, J.A. Optimal Dosing of Levetiracetam for Seizure Prophylaxis in Critically Ill Patients: A Prospective Observational Study. Crit. Care Med. 2024, 52, e1–e10. [Google Scholar] [CrossRef]
- Alhazzani, W.; Guyatt, G.; Alshahrani, M.; Deane, A.M.; Marshall, J.C.; Hall, R.; Muscedere, J.; English, S.W.; Lauzier, F.; Thabane, L.; et al. Withholding Pantoprazole for Stress Ulcer Prophylaxis in Critically Ill Patients: A Pilot Randomized Clinical Trial and Meta-Analysis. Crit. Care Med. 2017, 45, 1121–1129. [Google Scholar] [CrossRef] [PubMed]
- Romašovs, A.; Stāka, A.; Ivanova, J.; Puķītis, A. Thromboelastography-Guided Assessment of Coagulation in Decompensated Liver Cirrhosis for the Evaluation of Blood Component Transfusions. Clin. Exp. Hepatol. 2025, 11, 147–151. [Google Scholar] [CrossRef]
- Svedung Wettervik, T.; Howells, T.; Lewén, A.; Enblad, P. Blood Pressure Variability and Optimal Cerebral Perfusion Pressure-New Therapeutic Targets in Traumatic Brain Injury. Neurosurgery 2020, 86, E300–E309. [Google Scholar] [CrossRef]
- Li, S.; Wang, C.; Chen, J.; Lan, Y.; Zhang, W.; Kang, Z.; Zheng, Y.; Zhang, R.; Yu, J.; Li, W. Signaling Pathways in Brain Tumors and Therapeutic Interventions. Signal Transduct. Target. Ther. 2023, 8, 8. [Google Scholar] [CrossRef]
- Morganti, S.; Parsons, H.A.; Lin, N.U.; Grinshpun, A. Liquid Biopsy for Brain Metastases and Leptomeningeal Disease in Patients with Breast Cancer. npj Breast Cancer 2023, 9, 43. [Google Scholar] [CrossRef]
- Ott, S.; Lewin, D.; Nersesian, G.; Stein, J.; Just, I.A.; Hommel, M.; Schoenrath, F.; Starck, C.T.; O’Brien, B.; Falk, V.; et al. Improving Survival in Cardiogenic Shock—A Propensity Score-Matched Analysis of the Impact of an Institutional Allocation Protocol to Short-Term Mechanical Circulatory Support. Life 2022, 12, 1931. [Google Scholar] [CrossRef]
- Goto, S.; Maeda, N.; Noda, T.; Ohnuma, K.; Koh, S.; Iehisa, I.; Nishida, K. Comparison of Composite and Segmental Methods for Acquiring Optical Axial Length with Swept-Source Optical Coherence Tomography. Sci. Rep. 2020, 10, 4474. [Google Scholar] [CrossRef]
- Bianconi, A.; Presta, R.; La Cava, P.; De Marco, R.; Zeppa, P.; Lacroce, P.; Castaldo, M.; Bruno, F.; Pellerino, A.; Rudà, R.; et al. A Novel Scoring System Proposal to Guide Surgical Treatment Indications for High Grade Gliomas in Elderly Patients: DAK-75. Neurosurg. Rev. 2024, 47, 823. [Google Scholar] [CrossRef]
- Trakolis, L.; Petridis, A.K. Interdisciplinary Therapeutic Approaches to Atypical and Malignant Meningiomas. Cancers 2023, 15, 4251. [Google Scholar] [CrossRef]
- Porras, J.L.; Rowan, N.R.; Mukherjee, D. Endoscopic Endonasal Skull Base Surgery Complication Avoidance: A Contemporary Review. Brain Sci. 2022, 12, 1685. [Google Scholar] [CrossRef]
- Sreenivasan, S.; Najjar, S.; Ma, D.; Begley, S.L.; Wuu, Y.-R.; Rana, Z.; Gogineni, E.; Schulder, M.; Goenka, A. Exploring the Role of Radiosurgery for Atypical Meningiomas: Addressing Suboptimal Local Control in High-Risk Patients. Adv. Radiat. Oncol. 2025, 10, 101709. [Google Scholar] [CrossRef]
- Kantor, T.; Mahajan, P.; Murthi, S.; Stegink, C.; Brawn, B.; Varshney, A.; Reddy, R.M. Role of eXtended Reality Use in Medical Imaging Interpretation for Pre-Surgical Planning and Intraoperative Augmentation. J. Med. Imaging 2024, 11, 062607. [Google Scholar] [CrossRef]
- Wang, T.; Li, H.; Pu, T.; Yang, L. Microsurgery Robots: Applications, Design, and Development. Sensors 2023, 23, 8503. [Google Scholar] [CrossRef]
- Flaiban, E.; Orhan, K.; Gonçalves, B.C.; Lopes, S.L.P.d.C.; Costa, A.L.F. Radiomics in Action: Multimodal Synergies for Imaging Biomarkers. Bioengineering 2025, 12, 1139. [Google Scholar] [CrossRef]
- Al-Shami, K.; Almurabi, S.; Pop, A.; Vincent, C.; Popescu, A.; Pop, I.C.; Bader, N.S.; Faour, H.; Barhoush, R.; Karaja, S. Emerging Technologies in Corneal Transplantation: Innovations, Challenges, and Global Implications. Transplant. Rep. 2025, 10, 100180. [Google Scholar] [CrossRef]
- Elbadry, A.; Abdelazeez, A.; Badran, M. Giant Olfactory Groove Meningiomas: A Case Series Demonstrating the Surgical Management and Functional Outcomes. Asian J. Neurosurg. 2025, 20, 52–60. [Google Scholar] [CrossRef]
- Gazzeri, R.; Galarza, M.; Gazzeri, G. Giant Olfactory Groove Meningioma: Ophthalmological and Cognitive Outcome after Bifrontal Microsurgical Approach. Acta Neurochir. 2008, 150, 1117–1126. [Google Scholar] [CrossRef]
- Feng, A.Y.; Wong, S.; Saluja, S.; Jin, M.C.; Thai, A.; Pendharkar, A.V.; Ho, A.L.; Reddy, P.; Efron, A.D. Resection of Olfactory Groove Meningiomas Through Unilateral vs. Bilateral Approaches: A Systematic Review and Meta-Analysis. Front. Oncol. 2020, 10, 560706. [Google Scholar] [CrossRef]




| Decision/Control Layer | Key Technical or Biological Lever | Operational Thresholds/Quantitative Targets | Primary Risk Mitigated | Outcome-Relevant Signal/Metric | References |
|---|---|---|---|---|---|
| Approach Selection Logic | Corridor choice based on morphometrics and vascular topology | Volume >80 cm3; bilateral reach beyond mid-pupillary lines; ACA encasement severity guiding midline exposure need | Incomplete resection from limited lateral/vascular access | Higher gross-total resection probability by maximizing opticocarotid visualization | [8,9] |
| Debulking Phase Control | Ultrasonic aspiration and staged internal decompression | Aspirator amplitude 40–50%; irrigation pressure ~5 mmHg; debulking to 65–75% volume reduction before capsular work | Thermal or traction injury; unsafe capsular mobilization | Safe transition to capsule dissection with reduced wall tension | [10] |
| Optic Apparatus Microdissection | High-magnification pial-preserving peel | 25× magnification; intermittent 30 °C irrigation; dissection along pial vascular planes | Ischemic optic neuropathy; pial vessel avulsion | Preservation of microvascular perfusion despite extreme preop compression | [11] |
| Intraoperative Neurophysiology Guardrails | Continuous sensory/brainstem monitoring as live safety envelope | BAEP latency drift ≤0.8 ms; SSEP amplitude ≥50% baseline | Silent brainstem/tract injury during deep manipulation | Real-time functional stability predicting favorable neurologic outcome | [12] |
| Comparator Technique Boundary Conditions | Endonasal/endoscopic limits in giant lesions | Lateral reach limit ~30° from midline; CSF leak 12–18% vs. 3–5% transcranial; vascular encasement handling constraints | Inadequate lateral control; high leak burden; vascular compromise | Defines selection ceiling for minimally invasive routes | [13] |
| Adjuvant Radiotherapeutic Optimization | Fractionated vs. hypofractionated stereotactic dosing | FSRT: 5-year PFS ~95% (WHO I); HFRT: 25–30 Gy/5 fx, local control 88–92%; optic dose cap 8–10 Gy | Recurrence progression while protecting optic pathways | Durable control in residual/recurrent disease with optic safety | [14] |
| Proton Dosimetry Advantage Window | Integral dose reduction for complex skull-base geometry | Integral brain dose ↓ 50–60% relative to photons | Cognitive/vascular late-effects from unnecessary dose | Preferential for irregular targets near eloquent structures | [15] |
| Edema and Seizure Pharmacoprotection | Steroid taper + brief antiepileptic prophylaxis | Dexamethasone 16 mg/day, taper 14 days; levetiracetam 500 mg BID ×7 days | Edema-driven neurological decline; periop seizures; extended AED cognitive burden | Balanced physiological stabilization with minimized adverse profile | [16] |
| Stress Ulcer and Systemic Safety Net | GI prophylaxis allied to prolonged cranial surgery | Pantoprazole coverage for high-stress surgical physiology | Hemorrhagic GI complications | Protection against stress ulcer incidence in extended procedures | [17] |
| Hepatic Risk Coagulation Governance | TEG-guided transfusion and conservative plasma use | Platelets >50 k/µL; fibrinogen >150 mg/dL; FFP only if INR >1.8 | Venous bleeding or overcorrection thrombosis in liver impairment | Hemostasis precision under non-standard coagulation biology | [18] |
| Cardiopulmonary Equilibrium Maintenance | Tight BP/HR variability control to preserve perfusion | SBP within ±20% baseline; HR variability within ~15% optimal band | Hypoperfusion, hyperemia, or cardiac destabilization | Stable cerebral perfusion across long operative periods | [19] |
| Genotype-Linked Behavior Forecasting | Driver mutations and epigenetic subtyping | AKT1(E17K) 8–15%; NF2 loss 40–60%; methylation classes 6 groups; H3K27me3 loss and TERT-p mutations 6–8% | Underestimated recurrence risk in “benign” histology | Molecular stratification refines recurrence surveillance intensity | [20] |
| Liquid Biopsy Signal Layer | CSF vs. plasma ctDNA sensitivity windows | CSF tumor DNA sensitivity ~89%; plasma ctDNA recurrence signal ~73%, lead time 6–12 mo | Delayed detection of molecular recurrence | Early, minimally invasive relapse forecasting | [21] |
| Technique-Bound Risk Envelope | Exposure benefit traded for approach-specific morbidity | Anosmia~100%; frontal retraction injury 8–12%; SSS sacrifice-related venous infarct 5–8% | Functional loss and venous complications intrinsic to wide corridors | Defines consent-critical risk profile of bifrontal route | [22] |
| Limitations/Validation Horizon | Novel indices need cohort-scale confirmation | Optic angulation 47.3°; traction-stretch index 1.93; validation target >200 pts | Premature generalization of single-center metrics | Identifies parameters requiring multi-center calibration | [23] |
Disclaimer/Publisher’s Note: The statements, opinions and data contained in all publications are solely those of the individual author(s) and contributor(s) and not of MDPI and/or the editor(s). MDPI and/or the editor(s) disclaim responsibility for any injury to people or property resulting from any ideas, methods, instructions or products referred to in the content. |
© 2026 by the authors. Licensee MDPI, Basel, Switzerland. This article is an open access article distributed under the terms and conditions of the Creative Commons Attribution (CC BY) license.
Share and Cite
Grigorean, V.T.; Pantu, C.; Breazu, A.; Pariza, G.; Munteanu, O.; Radoi, M.P.; Dumitru, A.V. Precision in Complexity: A Protocol-Driven Quantitative Anatomic Strategy for Giant Olfactory Groove Meningioma Resection in a High-Risk Geriatric Patient. Diagnostics 2026, 16, 127. https://doi.org/10.3390/diagnostics16010127
Grigorean VT, Pantu C, Breazu A, Pariza G, Munteanu O, Radoi MP, Dumitru AV. Precision in Complexity: A Protocol-Driven Quantitative Anatomic Strategy for Giant Olfactory Groove Meningioma Resection in a High-Risk Geriatric Patient. Diagnostics. 2026; 16(1):127. https://doi.org/10.3390/diagnostics16010127
Chicago/Turabian StyleGrigorean, Valentin Titus, Cosmin Pantu, Alexandru Breazu, George Pariza, Octavian Munteanu, Mugurel Petrinel Radoi, and Adrian Vasile Dumitru. 2026. "Precision in Complexity: A Protocol-Driven Quantitative Anatomic Strategy for Giant Olfactory Groove Meningioma Resection in a High-Risk Geriatric Patient" Diagnostics 16, no. 1: 127. https://doi.org/10.3390/diagnostics16010127
APA StyleGrigorean, V. T., Pantu, C., Breazu, A., Pariza, G., Munteanu, O., Radoi, M. P., & Dumitru, A. V. (2026). Precision in Complexity: A Protocol-Driven Quantitative Anatomic Strategy for Giant Olfactory Groove Meningioma Resection in a High-Risk Geriatric Patient. Diagnostics, 16(1), 127. https://doi.org/10.3390/diagnostics16010127

