An Anatomy-Guided, Stepwise Microsurgical Reconstruction of a Posteriorly Projecting ICA–PCoA Aneurysm Beneath the Optic Apparatus: A Detailed Operative Sequence
Abstract
1. Introduction
2. Case Presentation
2.1. Clinical Presentation and Emergency Stabilization
2.2. Neurological Examination
2.3. Laboratory and Cardioneural Correlation
2.4. Risk Mitigation in the Acute Phase and ICU Protocol
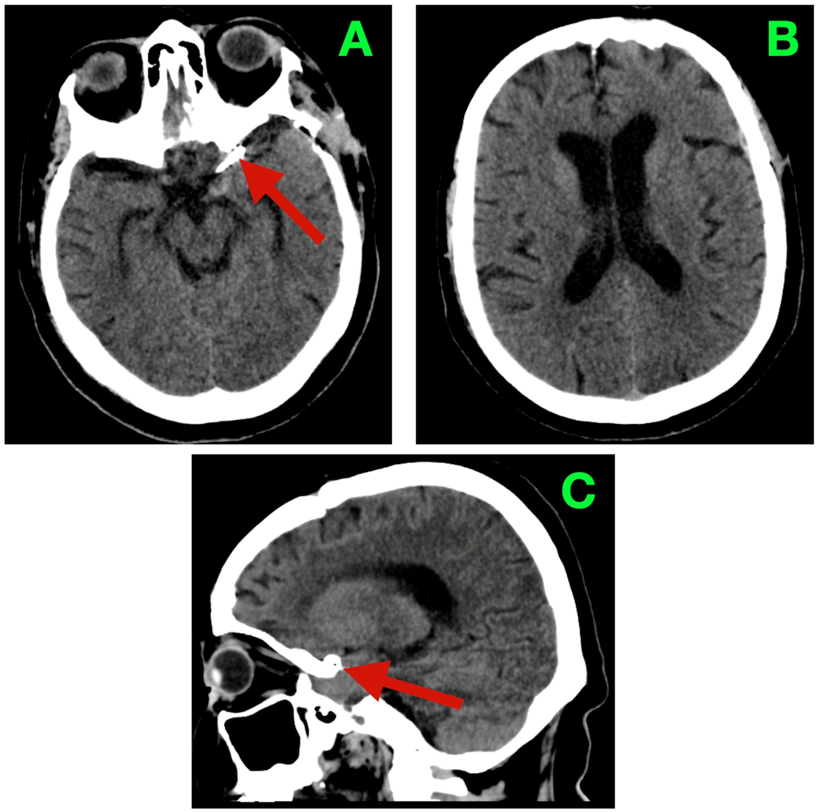
2.5. Imaging Findings and Morphometric Analysis
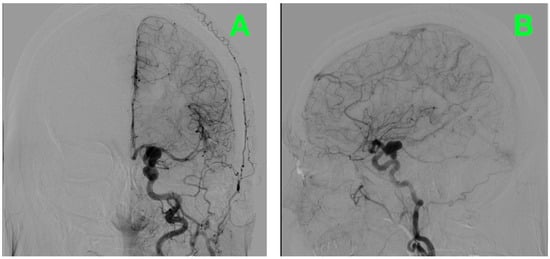
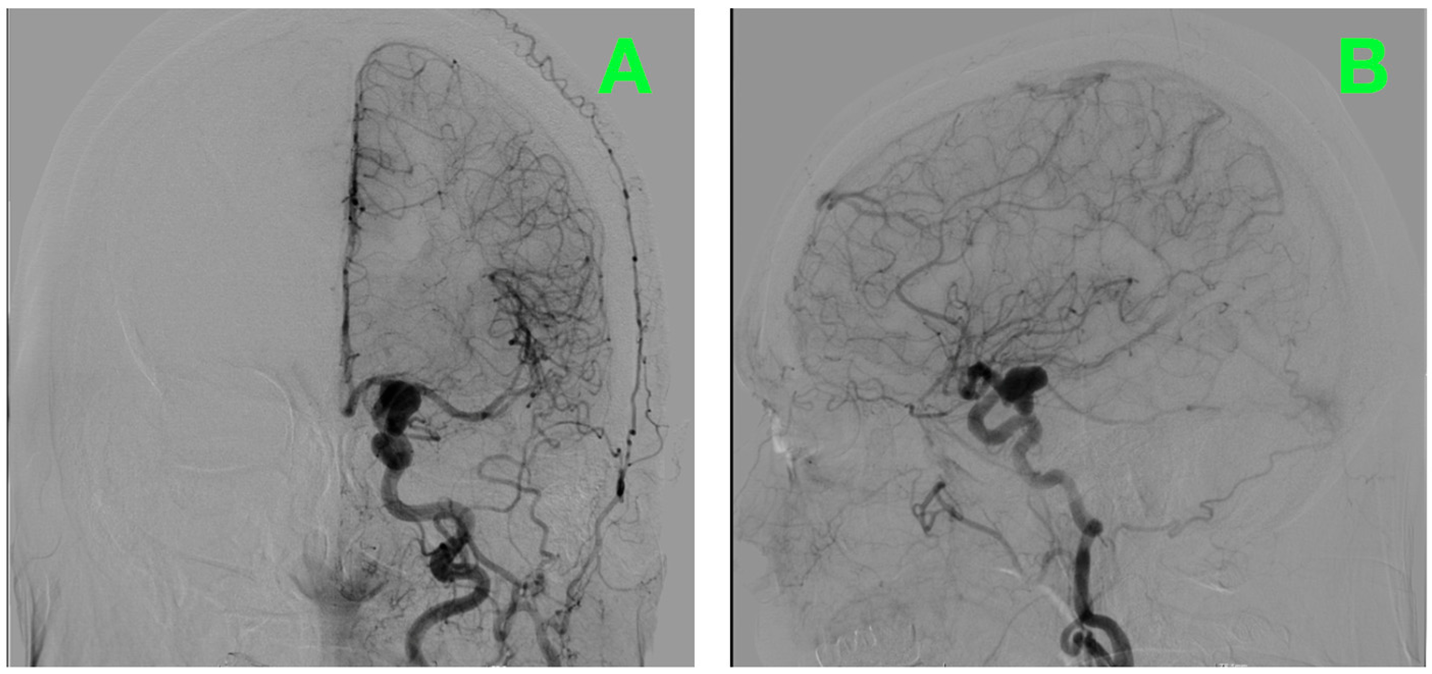
2.6. Preoperative Angiographic Findings
2.7. Operative Positioning and Surgical Exposure
- A subfrontal corridor was developed to visualize the supraclinoid ICA and to identify the optic nerve. Arachnoid adhesions were dissected to widen the carotid–optic window to approximately 6–8 mm.
- A limited sylvian fissure splitting procedure was developed to provide additional vertical exposure. This procedure involved sequential dissection of the sylvian fissure to preserve superficial sylvian veins.
2.8. Microsurgical Dissection and Aneurysm Reconstruction
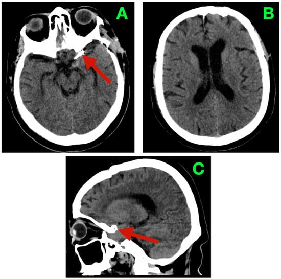
2.9. Closure and Postoperative Verification
2.10. Outcome and Follow-Up
3. Discussion
4. Conclusions
Author Contributions
Funding
Institutional Review Board Statement
Informed Consent Statement
Data Availability Statement
Conflicts of Interest
References
- Ma, Q.; Liu, L.; Song, Z.; Wen, H.; Li, K.; Chen, J.; Zhang, W.; Huang, T.; Xu, Y.; Li, H.; et al. A Mathematical Model to Predict “Low-Lying” Posterior Communicating Artery Aneurysms in Neurosurgical Practice. Neurosurg. Rev. 2024, 47, 384. [Google Scholar] [CrossRef]
- Han, K.; Nahm, M.; Ko, S.-W.; Yi, H.-J.; Chun, H.-J.; Lee, Y.-J.; Lee, S.H.; Ryu, J.; Song, S.; Choi, K.-S. Influence of Fetal-Type Posterior Cerebral Artery on Morphological Characteristics and Rupture Risk of Posterior Communicating Artery Aneurysms: A Radiomics Approach. J. Clin. Med. 2025, 14, 3682. [Google Scholar] [CrossRef]
- MacRaild, M.; Sarrami-Foroushani, A.; Song, S.; Liu, Q.; Kelly, C.; Ravikumar, N.; Patankar, T.; Lassila, T.; Taylor, Z.A.; Frangi, A.F. Off-Label in-Silico Flow Diverter Performance Assessment in Posterior Communicating Artery Aneurysms. J. NeuroInterv. Surg. 2024, 17, 1160–1167. [Google Scholar] [CrossRef] [PubMed]
- Akdağ, R.; Soylu, U.; Uçkun, Ö.M.; Polat, Ö.; Gürpınar, İ.; Dağlıoğlu, E. Aneurysm Formation at the Internal Carotid Artery Bifurcation Is Related to the Vascular Geometry of the Bifurcation. Brain Sci. 2024, 14, 1247. [Google Scholar] [CrossRef] [PubMed]
- Lan, J.; Huang, X.; Liu, Y.; Zhang, T.; Chen, J.; Li, Z. Subtemporal Approach for Posterior Communicating Artery Aneurysms. Front. Neurol. 2024, 15, 1518117. [Google Scholar] [CrossRef] [PubMed]
- Haverkamp, C.; Vagkopoulos, K.; Kaier, K.; Shah, M.J.; von Zur Mühlen, C.; Beck, J.; Urbach, H.; Meckel, S. Volume-Outcome Trends in Ruptured Intracranial Aneurysm Treatment: German Healthcare Data from 2013 to 2022. J. Neurointerv. Surg. 2025. [Google Scholar] [CrossRef]
- Sun, Z.; Xue, F.; Wang, K.; Zhang, D.; Dong, M.; Zhang, J. A Nomogram Model for Predicting Postoperative Prognosis in Patients with Aneurysmal Subarachnoid Hemorrhage Using Preoperative Biochemical Indices. BMC Neurol. 2024, 24, 270. [Google Scholar] [CrossRef]
- Chu, L.; Cao, K.; Jiang, K.; Lu, Y.; Qi, M.; Wu, D. Predicting Early Functional Outcomes in Aneurysmal Subarachnoid Hemorrhage in Endovascular Coiling and Surgical Clipping. Front. Neurol. 2025, 16, 1466188. [Google Scholar] [CrossRef]
- Network (TERN), T.T.E.R. Subarachnoid Haemorrhage in the Emergency Department (SHED): A Prospective, Observational, Multicentre Cohort Study. Emerg. Med. J. 2024, 41, 719–727. [Google Scholar] [CrossRef]
- D’Oria, M.; Ascione, M.; Spath, P.; Piffaretti, G.; Gallitto, E.; Mansour, W.; Logiacco, A.M.; Badalamenti, G.; Cappiello, A.; Moretti, G.; et al. Narrative and Pictorial Review on State-of-the-Art Endovascular Treatment for Focal Non-Infected Lesions of the Abdominal Aorta: Anatomical Challenges, Technical Solutions, and Clinical Outcomes. J. Clin. Med. 2025, 14, 4798. [Google Scholar] [CrossRef]
- Rolf-Pissarczyk, M.; Schussnig, R.; Fries, T.-P.; Fleischmann, D.; Elefteriades, J.A.; Humphrey, J.D.; Holzapfel, G.A. Mechanisms of Aortic Dissection: From Pathological Changes to Experimental and in Silico Models. Prog. Mater. Sci. 2025, 150, 101363. [Google Scholar] [CrossRef]
- Grüter, B.E.; Catalano, K.; Anon, J.; Gruber, P.; Thanabalasingam, A.; Andereggen, L.; Schubert, G.A.; Remonda, L.; Marbacher, S. Intra-Aneurysmal Contrast Agent Stasis during Intraoperative Digital Subtraction Angiography May Predict Long-Term Occlusion after Clipping. Acta Neurochir. 2024, 166, 309. [Google Scholar] [CrossRef] [PubMed]
- Hendrix, P.; Hemmer, S.; Chopra, A.; Goren, O.; Weiner, G.M.; Schirmer, C.M.; Oliver, J.D. Intraoperative Cerebral Angiography Reveals Microsurgically Occult Sequelae of Temporary Clip Application during Elective Cerebral Aneurysm Surgery. J. NeuroInterv. Surg. 2024, 17, 1011–1018. [Google Scholar] [CrossRef]
- Menéndez-Girón, S.; González-Crespo, A.; Blanco Ibáñez de Opacua, A.; García-Armengol, R.; Dominguez, C.J.; Rodríguez-Hernández, A. Image Control after Aneurysm Clipping: Is 3D Computed Tomogram Angiography Enough? Neurocir. Engl. Ed. 2025, 36, 500677. [Google Scholar] [CrossRef]
- Chen, L.; Wang, X.; Wang, S.; Zhao, X.; Yan, Y.; Yuan, M.; Sun, S. Development of a Non-Contrast CT-Based Radiomics Nomogram for Early Prediction of Delayed Cerebral Ischemia in Aneurysmal Subarachnoid Hemorrhage. BMC Med. Imaging 2025, 25, 182. [Google Scholar] [CrossRef]
- Ban, Q.; Zhang, H.; Wang, W.; Du, Y.; Zhao, Y.; Peng, A.; Qu, H. Integrating Clinical Data and Radiomics and Deep Learning Features for End-to-End Delayed Cerebral Ischemia Prediction on Noncontrast CT. Am. J. Neuroradiol. 2024, 45, 1260–1268. [Google Scholar] [CrossRef] [PubMed]
- Goulart, T.O.; Marazzi, T.B.M.; Monteiro, R.A.; Perdoná, G.d.S.C.; Camilo, M.R.; Pontes-Neto, O.M. Nationwide Epidemiological Study of Subarachnoid Hemorrhage: Trends in Admissions, Mortality, Seasonality, Costs, Clipping, Embolization, and the Impact of COVID-19. Front. Neurol. 2025, 16, 1630224. [Google Scholar] [CrossRef]
- Snow, R.; Shamshad, A.; Helliwell, A.; Wendell, L.C.; Thompson, B.B.; Furie, K.L.; Reznik, M.E.; Mahta, A. Predictors of Hospital Length of Stay and Long-Term Care Facility Placement in Aneurysmal Subarachnoid Hemorrhage. World Neurosurg. X 2024, 22, 100320. [Google Scholar] [CrossRef]
- Chung, C.Y.; Shapiro, M.; Nossek, E.; Sharashidze, V.; Rutledge, C.; Raz, E. Follow-up Imaging in Treated and Untreated Cerebral Aneurysms. Neuroimaging Clin. 2025, 35, 397–410. [Google Scholar] [CrossRef] [PubMed]
- De Beukelaer, F.; Wuyts, L.; De Beukelaer, S.; Van Hedent, S.; Nikoubashman, O.; Wiesmann, M.; Veldeman, M.; Pjontek, R.; Höllig, A.; Ridwan, H.; et al. Photon-Counting CT-Angiography in Comparison to Digital Subtraction Angiography for Assessing Intracranial Aneurysms after Coiling or Clipping. Neuroradiology 2025, 67, 2021–2030. [Google Scholar] [CrossRef]
- Sidler, R.; Andereggen, L.; Schubert, G.A.; Grüter, B.E.; Marbacher, S. Diagnostic Yield of Different Imaging Modalities in the Detection Rate of Intracranial Aneurysm Remnants after Microsurgical Clipping—A Systematic Review and Meta-Analysis. Brain Hemorrhages 2024, 5, 243–247. [Google Scholar] [CrossRef]
- Chen, C.G.; Wang, J.W.; Li, J.F.; Li, C.H.; Gao, B.L. Factors Affecting Resolution of Oculomotor Nerve Palsy Following Endovascular Embolization of Posterior Communicating Artery Aneurysms. Neurol. Engl. Ed. 2024, 39, 315–320. [Google Scholar] [CrossRef]
- Post, R.; Germans, M.R.; Tjerkstra, M.A.; Vergouwen, M.D.I.; Jellema, K.; Koot, R.W.; Kruyt, N.D.; Willems, P.W.A.; Wolfs, J.F.C.; de Beer, F.C.; et al. Ultra-Early Tranexamic Acid after Subarachnoid Haemorrhage (ULTRA): A Randomised Controlled Trial. Lancet 2021, 397, 112–118. [Google Scholar] [CrossRef]
- Germans, M.R.; Tjerkstra, M.A.; Post, R.; Brenner, A.; Vergouwen, M.D.; Rinkel, G.J.; Roos, Y.B.; van den Berg, R.; Coert, B.A.; Vandertop, W.P.; et al. Impact of Time to Start of Tranexamic Acid Treatment on Rebleed Risk and Outcome in Aneurysmal Subarachnoid Hemorrhage. Eur. Stroke J. 2024, 9, 658–666. [Google Scholar] [CrossRef]
- Liu, J.; Hu, S.; Wang, S.; Luan, T.; Duan, Y.; Zhou, J.; Jia, L.; An, N.; Mao, Y. Phase Angle as a Predictor of Prolonged Length of Hospital Stay and Adverse Outcomes in Elderly Medical Inpatients: A Retrospective Cohort Study. Front. Nutr. 2025, 12, 1623983. [Google Scholar] [CrossRef] [PubMed]
- Shen, D.; Cai, M.; Luo, Y.; Li, Z.; Zhang, P.; Wang, Y.; Fan, W.; Wu, H.; Yu, Y.; Gong, X.; et al. Sex Disparities in the Risk of Intracranial Aneurysm Rupture: A Case–Control Study. Front. Neurol. 2024, 15, 1483679. [Google Scholar] [CrossRef] [PubMed]




| Domain and Question | Study and Year | Design and n | Key Anatomic or Physiologic Signal | Modality or Context | Principal Finding | Practical Translation for ICA–PCoA Cases Like Ours |
|---|---|---|---|---|---|---|
| Can we preflag difficult “low-lying” PCoA aneurysms on preop DSA rather than discovering them at arachnoid opening? | Ma et al., 2024, Neurosurgical Review [1] | Retrospective derivation with internal validation, n = 89 clipped PCoA aneurysms | Two simple 3D-DSA measures—a standard plane across both anterior clinoid tips and an ICA tortuosity angle—predict when the anterior petroclinoid fold and clinoid overhang the proximal neck | Microsurgical clipping only | A two-parameter DSA model accurately identified low-lying configurations and anticipated the need for APF fenestration or clinoid work to obtain proximal control and a posterior-neck sightline | Measure the overhang and tortuosity before incision; if low lying is predicted, plan early cisternal decompression and be ready for skull-base maneuvers to earn a direct posteromedial neck view. |
| When the pterional line of sight cannot show the posteromedial neck, does a subtemporal corridor rescue visualization and branch preservation? | Lan et al., 2024, Frontiers in Neurology [5] | Single-center original series of true or posteriorly projecting PCoA aneurysms | Direct lateral line provides early view of PCoA origin and perforators when retrocarotid sightline is blocked | Microsurgical clipping via subtemporal route | Reported complete clip occlusion with preservation of related branches in a small but focused cohort; authors emphasize selection for cases with constrained pterional sightlines | Treat approach as a line-of-sight problem; if the pterional window cannot expose the posteromedial neck safely, move laterally to protect perforators rather than force a blind closure. |
| Does fetal-type PCA alter PCoA aneurysm morphology and rupture risk in a way we can quantify preoperatively? | Han et al., 2025, Journal of Clinical Medicine [2] | Single-center radiomics cohort, n = 87 PCoA aneurysms | Presence of fPCA associates with shape irregularity and rupture status; combined radiomic–morphometric features outperform classic ratios | Mixed treated cohort; analysis at baseline imaging | Radiomics features plus fPCA status yielded better discrimination of rupture than size-based indices alone | When fPCA is present, assume altered neck inflow/outflow geometry and a higher likelihood of irregular domes; insist on direct posteromedial visualization before committing a clip line. |
| In flow diversion at the PCoA, how does fetal posterior circulation change device performance? | MacRaild et al., 2025, Journal of NeuroInterventional Surgery [3] | Original in silico assessment across many individualized PCoA anatomies | Fetal circulation reduces postdevice velocity suppression and increases device surface shear | Off-label PED scenarios modeled computationally | Predicted less effective hemodynamic quenching and slower endothelialization surrogates in fPCA configurations compared with adult outflow | If robust fPCA outflow persists, be cautious with single-device strategies; consider exact neck reconstruction when branch incorporation and back-wall access permit. |
| After clipping, can 3D-CTA replace DSA to detect clinically important remnants? | Image control after aneurysm-clipping study, 2025, Neurocirugía [14] | Prospective comparative evaluation | Modern 3D-CTA detects many small remnants but has sensitivity limits for tiny or clip-shadowed necks | Early postoperative imaging | DSA remained decisive for indeterminate findings and for small residual necks that inform reintervention decisions | Use 3D-CTA to reduce invasiveness when the construct is unequivocal; reserve DSA as reference when clip angles or branch run-off are even mildly uncertain. |
| Do temporary clips leave parent-vessel changes that are microscopically occult? | Hendrix et al., 2024, Journal of NeuroInterventional Surgery [13] | Hybrid-OR series with intraoperative diagnostic cerebral angiography (ioDCA) | ioDCA reveals vasospasm or luminal irregularity after temporary occlusion not apparent under the microscope | Elective aneurysm clippings with ioDCA | Demonstrated angiographic sequelae attributable to temporary clipping despite unremarkable microscopic appearance | Keep proximal quieting brief and purposeful; if occlusion was anything beyond short and bloodless, verify with angiography before closing. |
| If a pinpoint remnant is seen intraoperatively, can ioDSA flow behavior predict spontaneous thrombosis? | Grüter et al., 2024, Acta Neurochirurgica [12] | Original cohort of clipped aneurysms with ioDSA-detected remnants | Intra-aneurysmal contrast stasis during ioDSA predicts later remnant thrombosis | Microsurgical clipping with ioDSA | Remnants showing contrast stasis were more likely to thrombose without reintervention on follow-up imaging | When ioDSA shows stasis in a minute remnant and branch run-off is pristine, observation can be reasonable instead of risky clip revision. |
| Can we predict DCI at admission using only non-contrast CT features? | Chen et al., 2025, BMC Medical Imaging [15] | Retrospective multicenter radiomics nomogram, n = 377 aSAH | Quantitative NCCT features stratify early DCI risk without contrast or perfusion | Standardized baseline CT | NCCT radiomics nomogram achieved robust early DCI prediction and outperformed clinical scales alone | Use imaging priors to tailor surveillance intensity and imaging cadence while maintaining euvolemia and nimodipine exposure. |
| Do combined clinical, radiomics and deep-learning features improve DCI prediction beyond bedside scores? | AJNR 2024 multicenter model [16] | Original predictive study integrating three data layers | Fusion of clinical data with radiomics and deep neural features improves prediction stability | Development and internal validation | Best-performing models outpaced clinical-only baselines for DCI discrimination and calibration | Consider structured collection of baseline imaging for centers building DCI risk stratification pipelines. |
| What are the system-level economics and trends in aSAH care in a middle-income country? | Frontiers Neurology 2025, Brazil nationwide study 2017–2022 [17] | National database time-series, >61,000 aSAH admissions | Costs and procedure patterns during and after the pandemic | Real-world health-system analysis | In-hospital mortality ~20% and rising absolute costs with ICU days and procedures as primary drivers | Planning for modality and timing must account for ICU capacity and cost; standardized pathways reduce delays and waste. |
| Does center volume still track outcomes for ruptured aneurysms in a mature EVT era? | JNIS 2025, Germany national analysis [6] | Nationwide real-world cohort across hospitals | Annual center volume as an outcome modifier | Clipping and EVT for ruptured IAs | Higher-volume centers achieved better survival and independence after adjustment for case-mix | Regionalize complex microsurgery and ensure rapid transfer when ICA–PCoA geometry mandates clip-based reconstruction. |
| Which variables prolong length of stay and drive disposition after aSAH? | Neurocirugía 2024, LOS and LTCF predictors [18] | Original cohort analysis | Neurological grade, complications and social factors dominate LOS and discharge destination | Mixed modality aSAH care | Modality per se contributed less to LOS than complications and initial grade | Highest cost is in days in care; preventing hydrocephalus, DCI and infections often matters more economically than the index technique. |
Disclaimer/Publisher’s Note: The statements, opinions and data contained in all publications are solely those of the individual author(s) and contributor(s) and not of MDPI and/or the editor(s). MDPI and/or the editor(s) disclaim responsibility for any injury to people or property resulting from any ideas, methods, instructions or products referred to in the content. |
© 2026 by the authors. Licensee MDPI, Basel, Switzerland. This article is an open access article distributed under the terms and conditions of the Creative Commons Attribution (CC BY) license.
Share and Cite
Șerban, M.; Toader, C.; Covache-Busuioc, R.-A. An Anatomy-Guided, Stepwise Microsurgical Reconstruction of a Posteriorly Projecting ICA–PCoA Aneurysm Beneath the Optic Apparatus: A Detailed Operative Sequence. Diagnostics 2026, 16, 124. https://doi.org/10.3390/diagnostics16010124
Șerban M, Toader C, Covache-Busuioc R-A. An Anatomy-Guided, Stepwise Microsurgical Reconstruction of a Posteriorly Projecting ICA–PCoA Aneurysm Beneath the Optic Apparatus: A Detailed Operative Sequence. Diagnostics. 2026; 16(1):124. https://doi.org/10.3390/diagnostics16010124
Chicago/Turabian StyleȘerban, Matei, Corneliu Toader, and Răzvan-Adrian Covache-Busuioc. 2026. "An Anatomy-Guided, Stepwise Microsurgical Reconstruction of a Posteriorly Projecting ICA–PCoA Aneurysm Beneath the Optic Apparatus: A Detailed Operative Sequence" Diagnostics 16, no. 1: 124. https://doi.org/10.3390/diagnostics16010124
APA StyleȘerban, M., Toader, C., & Covache-Busuioc, R.-A. (2026). An Anatomy-Guided, Stepwise Microsurgical Reconstruction of a Posteriorly Projecting ICA–PCoA Aneurysm Beneath the Optic Apparatus: A Detailed Operative Sequence. Diagnostics, 16(1), 124. https://doi.org/10.3390/diagnostics16010124
