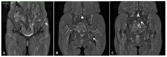
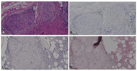
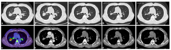
Non-Articular Osseous Sarcoidosis: A Rare Case of Active Sarcoidosis with Progressive Lung Lesions and Normal Inflammation Biomarkers
Abstract




Author Contributions
Funding
Institutional Review Board Statement
Informed Consent Statement
Data Availability Statement
Conflicts of Interest
References
- Vorselaars, A.D.; van Moorsel, C.H.; Zanen, P.; Ruven, H.J.; Claessen, A.M.; van Velzen-Blad, H.; Grutters, J.C. ACE and sIL-2R correlate with lung function improvement in sarcoidosis during methotrexate therapy. Respir. Med. 2015, 109, 279–285. [Google Scholar] [CrossRef]
- Gupta, R.; Judson, M.A.; Baughman, R.P. Management of Advanced Pulmonary Sarcoidosis. Am. J. Respir. Crit. Care Med. 2022, 205, 495–506. [Google Scholar] [CrossRef] [PubMed]
- Smedslund, G.; Kotar, A.M.; Uhlig, T. Sarcoidosis with musculoskeletal manifestations: Systematic review of non-pharmacological and pharmacological treatments. Rheumatol. Int. 2022, 42, 2109–2124. [Google Scholar] [CrossRef] [PubMed]
- Patt, Y.S.; Ben-Shabat, N.; Sharif, K.; Patt, C.; Elizur, Y.; Arow, M.; Cohen, A.D.; Watad, A.; McGonagle, D.; Amital, H.; et al. The Association Between Sarcoidosis and Malignancy: A Comprehensive Population-Based Cohort Study. J. Clin. Med. 2024, 13, 7045. [Google Scholar] [CrossRef] [PubMed]
- Brito-Zerón, P.; Flores-Chávez, A.; González-de-Paz, L.; Feijoo-Massó, C.; de Escalante, B.; González-García, A.; Gómez-de-la-Torre, R.; Policarpo-Torres, G.; Alguacil, A.; García-Morillo, J.S.; et al. Temporal relationship between sarcoidosis malignancies in a nationwide cohort of 1942 patients. Postgrad. Med. J. 2024, 100, 898–907. [Google Scholar] [CrossRef]
- Alzghoul, B.N.; Zayed, Y.; Obeidat, A.; Alzghoul, B.; Naser, A.; Shilbayeh, A.R.; Innabi, A.; Al-Hakim, T.; Buchanan, M.; Mehrad, B.; et al. Clinical Characteristics of Sarcoidosis Patients with Self-Reported Lymphoma: A US Nationwide Registry Study. Lung 2021, 199, 611–618. [Google Scholar] [CrossRef]
- Matsuo, T.; Tanaka, T.; Omote, R.; Okada, T.; Notohara, K.; Okada, K. Diffuse large B-cell lymphoma in the course of systemic sarcoidosis: A case report and review of 30 Japanese patients with sarcoidosis-lymphoma syndrome. J. Clin. Exp. Hematop. 2022, 62, 226–237. [Google Scholar] [CrossRef] [PubMed]
- Bennett, D.; Bargagli, E.; Refini, R.M.; Rottoli, P. New concepts in the pathogenesis of sarcoidosis. Expert. Rev. Respir. Med. 2019, 13, 981–991. [Google Scholar] [CrossRef] [PubMed]
- Silva, M.; Nunes, H.; Valeyre, D.; Sverzellati, N. Imaging of Sarcoidosis. Clin. Rev. Allergy Immunol. 2015, 49, 45–53. [Google Scholar] [CrossRef] [PubMed]
- Azoulay, L.D.; Mei, X.; Fauveau, V.; Liu, Z.; Robson, P.; Levi, S.; Devesa, A.; Trivieri, M.G.; Fayad, Z. Deep learning approaches to predict late gadolinium enhancement and clinical outcomes in suspected cardiac sarcoidosis. Sarcoidosis Vasc. Diffuse Lung Dis. 2025, 42, 15378. [Google Scholar]
Disclaimer/Publisher’s Note: The statements, opinions and data contained in all publications are solely those of the individual author(s) and contributor(s) and not of MDPI and/or the editor(s). MDPI and/or the editor(s) disclaim responsibility for any injury to people or property resulting from any ideas, methods, instructions or products referred to in the content. |
© 2025 by the authors. Licensee MDPI, Basel, Switzerland. This article is an open access article distributed under the terms and conditions of the Creative Commons Attribution (CC BY) license (https://creativecommons.org/licenses/by/4.0/).
Share and Cite
Zhang, J.; Hu, Y.; Dong, P.; Guo, H.; Huang, L.; Chen, L.; Zhou, Y. Non-Articular Osseous Sarcoidosis: A Rare Case of Active Sarcoidosis with Progressive Lung Lesions and Normal Inflammation Biomarkers. Diagnostics 2025, 15, 1135. https://doi.org/10.3390/diagnostics15091135
Zhang J, Hu Y, Dong P, Guo H, Huang L, Chen L, Zhou Y. Non-Articular Osseous Sarcoidosis: A Rare Case of Active Sarcoidosis with Progressive Lung Lesions and Normal Inflammation Biomarkers. Diagnostics. 2025; 15(9):1135. https://doi.org/10.3390/diagnostics15091135
Chicago/Turabian StyleZhang, Jing, Yu Hu, Peixin Dong, Hefang Guo, Lixia Huang, Lili Chen, and Yanbin Zhou. 2025. "Non-Articular Osseous Sarcoidosis: A Rare Case of Active Sarcoidosis with Progressive Lung Lesions and Normal Inflammation Biomarkers" Diagnostics 15, no. 9: 1135. https://doi.org/10.3390/diagnostics15091135
APA StyleZhang, J., Hu, Y., Dong, P., Guo, H., Huang, L., Chen, L., & Zhou, Y. (2025). Non-Articular Osseous Sarcoidosis: A Rare Case of Active Sarcoidosis with Progressive Lung Lesions and Normal Inflammation Biomarkers. Diagnostics, 15(9), 1135. https://doi.org/10.3390/diagnostics15091135
