Relationship Between Ocular Trauma Score and Computed Tomography Findings in Eyes with Penetrating Globe Injuries: A Preliminary Study
Abstract
1. Introduction
2. Materials and Methods
Statistical Analysis and Power Assessment
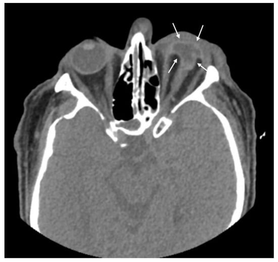
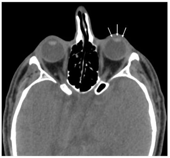
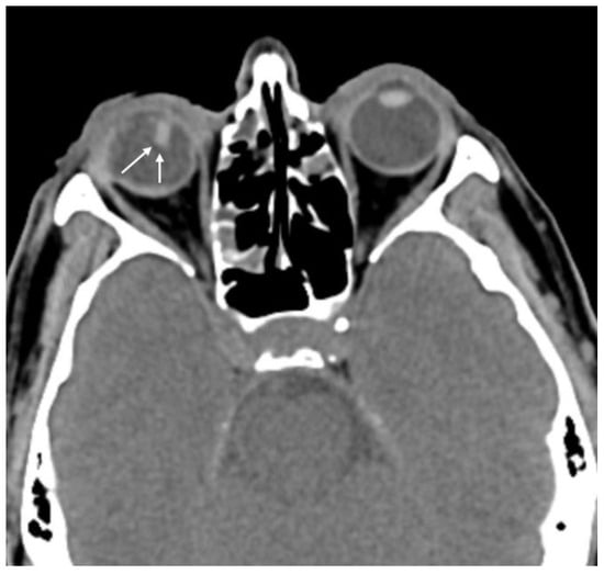
3. Results
4. Discussion
5. Conclusions
Author Contributions
Funding
Institutional Review Board Statement
Informed Consent Statement
Data Availability Statement
Conflicts of Interest
Abbreviations
| CT | Computed tomography |
| OTS | Ocular trauma score |
| ACD | Anterior chamber depth |
| OGI | Open globe injury |
| BETT | Birmingham Eye Trauma Terminology |
| BCVA | Best corrected visual acuity |
| RAPD | Relative afferent pupillary defect |
| LogMAR | Logarithm of the minimum angle of resolution |
References
- Kuhn, F.; Morris, R.; Witherspoon, C.D.; Mester, V. The Birmingham Eye Trauma Terminology system (BETT). J. Fr. Ophtalmol. 2004, 27, 206–210. [Google Scholar] [CrossRef] [PubMed]
- Zhou, Y.; DiSclafani, M.; Jeang, L.; Shah, A.A. Open Globe Injuries: Review of Evaluation, Management, and Surgical Pearls. Clin. Ophthalmol. 2022, 16, 2545–2559. [Google Scholar] [CrossRef]
- Kuhn, F.; Morris, R.; Witherspoon, C.D. Birmingham Eye Trauma Terminology (BETT): Terminology and classification of mechanical eye injuries. Ophthalmol. Clin. N. Am. 2002, 15, 139–143. [Google Scholar] [CrossRef]
- Lee, H.J.; Jilani, M.; Frohman, L.; Baker, S. CT of orbital trauma. Emerg. Radiol. 2004, 10, 168–172. [Google Scholar] [CrossRef] [PubMed]
- Crowell, E.L.; Koduri, V.A.; Supsupin, E.P.; Klinglesmith, R.E.; Chuang, A.Z.; Kim, G.; Baker, L.A.; Feldman, R.M.; Blieden, L.S. Accuracy of Computed Tomography Imaging Criteria in the Diagnosis of Adult Open Globe Injuries by Neuroradiology and Ophthalmology. Acad. Emerg. Med. 2017, 24, 1072–1079. [Google Scholar] [CrossRef]
- Yuan, W.H.; Hsu, H.C.; Cheng, H.C.; Guo, W.Y.; Teng, M.M.H.; Chen, S.J.; Lin, T.C. CT of globe rupture: Analysis and frequency of findings. AJR Am. J. Roentgenol. 2014, 202, 1100–1107. [Google Scholar] [CrossRef] [PubMed]
- Joseph, D.P.; Pieramici, D.J.; Beauchamp, N.J. Computed tomography in the diagnosis and prognosis of open-globe injuries. Ophthalmology 2000, 107, 1899–1906. [Google Scholar] [CrossRef]
- Arey, M.L.; Mootha, V.V.; Whittemore, A.R.; Chason, D.P.; Blomquist, P.H. Computed tomography in the diagnosis of occult open-globe injuries. Ophthalmology 2007, 114, 1448–1452. [Google Scholar] [CrossRef]
- Arabi, A.; Shahraki, T.; Nezam-slami, R.; Esfandiari, H.; Tavakoli, M.; Nikkhah, H. Axial or coronal CT scan; which is more accurate in detection of open globe injury? Injury 2021, 52, 2611–2615. [Google Scholar] [CrossRef]
- Schulze-Bonsel, K.; Feltgen, N.; Burau, H.; Hansen, L.; Bach, M. Visual acuities “hand motion” and “counting fingers” can be quantified with the freiburg visual acuity test. Investig. Ophthalmol. Vis. Sci. 2006, 47, 1236–1240. [Google Scholar] [CrossRef]
- Moussa, G.; Bassilious, K.; Mathews, N. A novel excel sheet conversion tool from Snellen fraction to LogMAR including “counting fingers”, “hand movement”, “light perception” and “no light perception” and focused review of literature of low visual acuity reference values. Acta Ophthalmol. 2021, 99, e963–e965. [Google Scholar] [CrossRef]
- Pieramici, D.J.; Sternberg, P., Jr.; Aaberg, T.M., Sr.; Bridges, W.Z., Jr.; Capone, A., Jr.; Cardillo, J.A.; De Juan, E.U.G.E.N.E., Jr.; Kuhn, F.; Meredith, T.A.; Mieler, W.F.; et al. A system for classifying mechanical injuries of the eye (globe). The Ocular Trauma Classification Group. Am. J. Ophthalmol. 1997, 123, 820–831. [Google Scholar] [CrossRef]
- Kuhn, F.; Maisiak, R.; Mann, L.R.; Mester, V.; Morris, R.; Witherspoon, C.D. The Ocular Trauma Score (OTS). Ophthalmol. Clin. N. Am. 2002, 15, 163–165. [Google Scholar] [CrossRef]
- Tan, S.I.; Hoskin, A.K.; Khatri, A.; Dave, V.P.; Bhalerao, S.; Romero, J.; Agrawal, R. Prognostic factors of open-globe injuries: A review. Indian J. Ophthalmol. 2023, 71, 3587–3594. [Google Scholar] [CrossRef]
- Hoffstetter, P.; Schreyer, A.G.; Schreyer, C.I.; Jung, E.M.; Heiss, P.; Zorger, N.; Framme, C. Multidetector CT (MD-CT) in the diagnosis of uncertain open globe injuries. In RöFo-Fortschritte auf dem Gebiet der Röntgenstrahlen und der bildgebenden Verfahren; Georg Thieme Verlag KG Stuttgart: New York, NY, USA, 2010; Volume 182, pp. 151–154. [Google Scholar] [CrossRef]
- Ameli, K.; Arabi, A.; Shahraki, T.; Markatia, Z.; Mashouf, P.; Shahraki, T.; Yazdanjou, F.; Baradaran-Rafii, A.; Bayaraa, E.; Lee, W. The Association Between Computerized Tomography Findings and Ocular Trauma Score in Open Globe Injury: The Prognostic Value of Imaging. Ophthal. Plast. Reconstr. Surg. 2023, 39, 136–140. [Google Scholar] [CrossRef]
- Pirhan, D.; Subasi, S.; Kurt Musaoğlu, B.; Alparslan, B.; Karabaş, L. The relationship between computed tomography findings and ocular trauma and pediatric ocular trauma scores in pediatric globe injuries: Does imaging have prognostic and diagnostic value? Turk. J. Trauma Emerg. Surg. 2023, 29, 1280–1287. [Google Scholar] [CrossRef]
- Weissman, J.L.; Beatty, R.L.; Hirsch, W.L.; Curtin, H.D. Enlarged anterior chamber: CT finding of a ruptured globe. AJNR Am. J. Neuroradiol. 1995, 16, 936. [Google Scholar] [PubMed]
- Kim, S.Y.; Lee, J.H.; Lee, Y.J.; Choi, B.S.; Choi, J.W.; In, H.S.; Kim, S.M.; Baek, J.H. Diagnostic value of the anterior chamber depth of a globe on CT for detecting open-globe injury. Eur. Radiol. 2010, 20, 1079–1084. [Google Scholar] [CrossRef]
- Parlak, S.; Çıvgın, E. Analysis and Frequency of Computed Tomography Findings in Traumatic Globe Injuries: Are the Anterior Chamber Depth and Optic Nerve Sheath Diameter Affected in Globe Injuries? Akdeniz Med. J. 2021, 7, 103–110. [Google Scholar] [CrossRef]
- Gad, K.; Singman, E.L.; Nadgir, R.N.; Yousem, D.M.; Pillai, J.J. CT in the Evaluation of Acute Injuries of the Anterior Eye Segment. AJR Am. J. Roentgenol. 2017, 209, 1353–1359. [Google Scholar] [CrossRef]
- Kubal, W.S. Imaging of orbital trauma. Radiographics 2008, 28, 1729–1739. [Google Scholar] [CrossRef] [PubMed]
- Aljuhani, G.; Aljuhani, N. Computed tomography accuracy and features in detecting open globe injuries in patients with ocular trauma: A systematic review and meta-analysis. J. Med. Life 2025, 18, 20–28. [Google Scholar] [CrossRef]
- Allon, G.; Beiran, I.; Seider, N.; Blumenthal, E.Z. The role of computed tomography in the immediate workup of open globe injury. Eur. J. Ophthalmol. 2016, 26, 503–504. [Google Scholar] [CrossRef]
- Chen, H.; Jin, X.; Zhou, Z.; Zhang, X.; Han, J.; Wang, L. Characteristics and scoring method of computed tomography in open-globe injuries. BMC Ophthalmol. 2024, 24, 2. [Google Scholar] [CrossRef]
- Scott, R. The Ocular Trauma Score. Community Eye Health 2015, 28, 44–45. [Google Scholar]
- Guzmán-Almagro, E.; Fernandez-Sanz, G.; Herrero-Escudero, D.; Contreras, I.; González Martín-Moro, J. Open-globe-injury: A single center Spanish retrospective 5-year cohort study. Eur. J. Ophthalmol. 2021, 31, 2710–2716. [Google Scholar] [CrossRef]
- Bruce, C.N.; Beal, C.J.; Zou, B. Visual Outcomes and Prognostic Factors for Pediatric Open Globe Injuries. Pediatr. Emerg. Care 2022, 38, e439–e442. [Google Scholar] [CrossRef]
- Shir Yen, W.; Siu Wan, F.; Che Hamzah, J.; Khoo Kah Luen, K. Epidemiology and Visual Outcome of Open Globe Injury Cases in Hospital Pulau Pinang. Cureus 2021, 13, e19648. [Google Scholar] [CrossRef] [PubMed]
- Erkan Pota, Ç.; Çetinkaya Yaprak, A.; İlhan, H.D. Evaluation of Ocular Trauma Score and risk factors to predict evisceration or enucleation in open globe injuries. J. Fr. Ophtalmol. 2024, 47, 104259. [Google Scholar] [CrossRef]
- Dulz, S.; Dimopoulos, V.; Katz, T.; Kromer, R.; Bigdon, E.; Spitzer, M.S.; Skevas, C. Reliability of the ocular trauma score for the predictability of traumatic and post-traumatic retinal detachment after open globe injury. Int. J. Ophthalmol. 2021, 14, 1589–1594. [Google Scholar] [CrossRef]






| Clinical Characteristics (n = 30) | |
|---|---|
| Age (years) | 49.4 ± 20.0 |
| Gender (F/M), n (%) | 26 (86.7)/4 (13.3) |
| Injury Zone, n (%) | |
| Zone I | 20 (66.7) |
| Zone II | 7 (23.3) |
| Zone III | 3 (10.0) |
| Object of Injury, n (%) | |
| Metal | 13 (43.3) |
| Glass | 8 (26.7) |
| Wood | 7 (23.3) |
| Horn | 2 (6.7) |
| Visual Acuity (logMAR) (Mean ± SD) | 2.05 ± 0.74 |
| Wound Size (mm) (Mean ± SD) | 4.7 ± 2.7 |
| OTS Category | |
| I (0–44) | 0 |
| II (45–65) | 14 (46.7) |
| III (66–80) | 9 (30.0) |
| IV (81–91) | 7 (23.3) |
| V (92–100) | 0 |
| CT Findings | n (%) |
|---|---|
| Type of CT Findings | |
| Globe wall irregularity | 16 (53.3) |
| Asymmetric anterior chamber depth | 16 (53.3) |
| Decreased globe volume | 6 (20.0) |
| Chorioretinal layer thickening | 5 (16.7) |
| Abnormal vitreous density | 5 (16.7) |
| Lens dislocation | 3 (10.0) |
| Intraocular air | 3 (10.0) |
| Number of CT Findings | |
| None | 10 (33.3) |
| 1 CT finding | 2 (6.7) |
| 2 CT findings | 9 (30.0) |
| 3 CT findings | 5 (16.7) |
| 4 CT findings | 2 (6.7) |
| ≥ 5 CT findings | 2 (6.7) |
| OTS Category | Globe Wall Irregularity | Asymmetric ACD | Decreased Globe Volume | Chorioretinal Thickening | Abnormal Vitreous Density | Lens Dislocation | Intraocular Air |
|---|---|---|---|---|---|---|---|
| OTS II (n = 14) | 10 (71.4) | 9 (64.3) | 6 (42.9) | 4 (28.6) | 5 (35.7) | 3 (21.4) | 2 (14.3) |
| OTS III (n = 9) | 4 (44.4) | 4 (44.4) | 0 | 0 | 0 | 0 | 1 (11.1) |
| OTS IV (n = 7) | 2 (28.6) | 3 (42.9) | 0 | 1 (14.3) | 0 | 0 | 0 |
Disclaimer/Publisher’s Note: The statements, opinions and data contained in all publications are solely those of the individual author(s) and contributor(s) and not of MDPI and/or the editor(s). MDPI and/or the editor(s) disclaim responsibility for any injury to people or property resulting from any ideas, methods, instructions or products referred to in the content. |
© 2025 by the authors. Licensee MDPI, Basel, Switzerland. This article is an open access article distributed under the terms and conditions of the Creative Commons Attribution (CC BY) license (https://creativecommons.org/licenses/by/4.0/).
Share and Cite
Durmuş Ece, B.Ş.; Yozgat, Z.; İnançlı, Y.; Ece, B.; Aydin, S. Relationship Between Ocular Trauma Score and Computed Tomography Findings in Eyes with Penetrating Globe Injuries: A Preliminary Study. Diagnostics 2025, 15, 830. https://doi.org/10.3390/diagnostics15070830
Durmuş Ece BŞ, Yozgat Z, İnançlı Y, Ece B, Aydin S. Relationship Between Ocular Trauma Score and Computed Tomography Findings in Eyes with Penetrating Globe Injuries: A Preliminary Study. Diagnostics. 2025; 15(7):830. https://doi.org/10.3390/diagnostics15070830
Chicago/Turabian StyleDurmuş Ece, Berire Şeyma, Zübeyir Yozgat, Yusuf İnançlı, Bunyamin Ece, and Sonay Aydin. 2025. "Relationship Between Ocular Trauma Score and Computed Tomography Findings in Eyes with Penetrating Globe Injuries: A Preliminary Study" Diagnostics 15, no. 7: 830. https://doi.org/10.3390/diagnostics15070830
APA StyleDurmuş Ece, B. Ş., Yozgat, Z., İnançlı, Y., Ece, B., & Aydin, S. (2025). Relationship Between Ocular Trauma Score and Computed Tomography Findings in Eyes with Penetrating Globe Injuries: A Preliminary Study. Diagnostics, 15(7), 830. https://doi.org/10.3390/diagnostics15070830

