Assessing Image Quality in Multiplexed Sensitivity-Encoding Diffusion-Weighted Imaging with Deep Learning-Based Reconstruction in Bladder MRI
Abstract
1. Introduction
2. Materials and Methods
2.1. Patients
2.2. MRI Data Acquisition
2.3. Deep Learning Reconstruction Algorithm
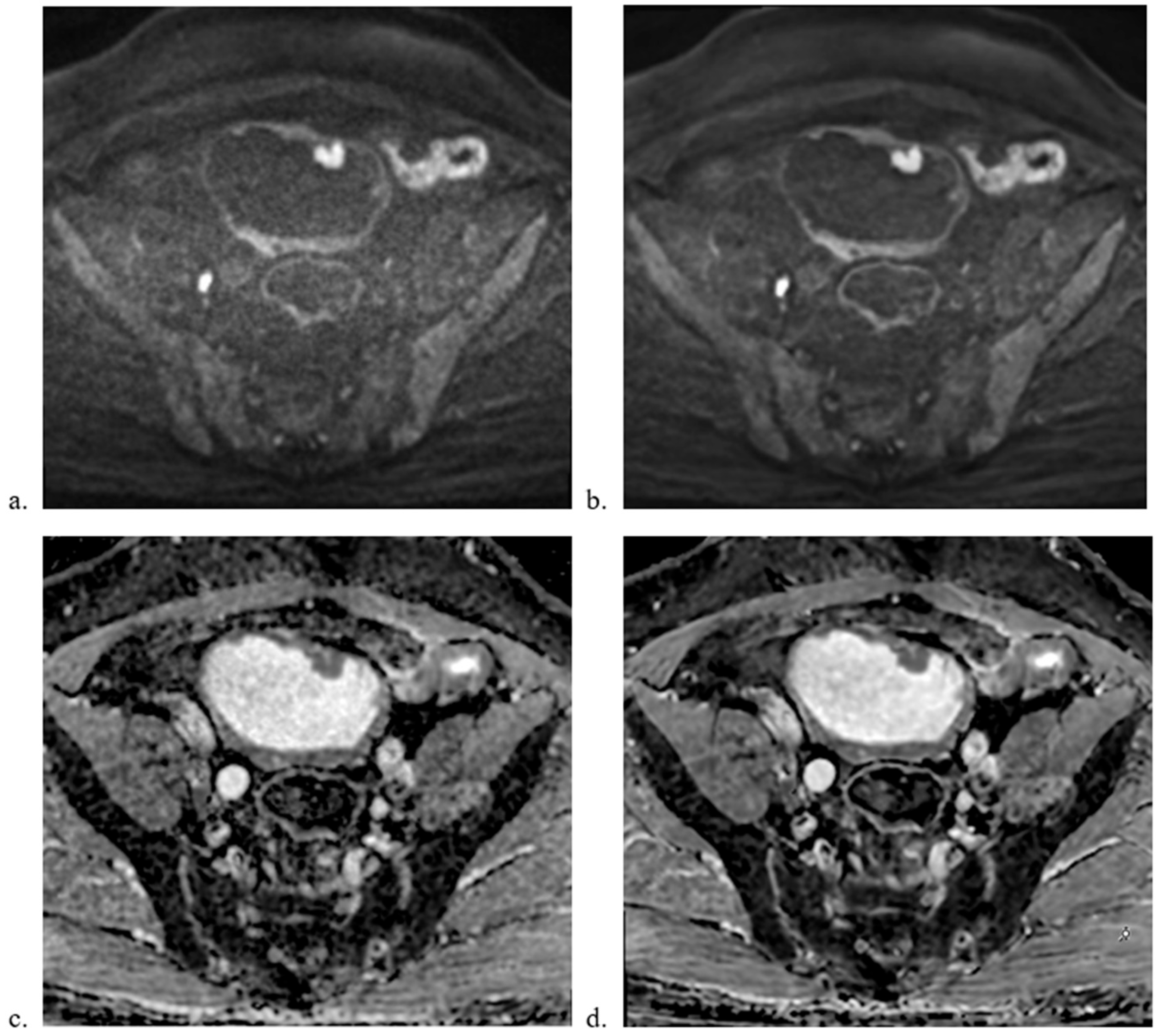
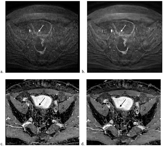
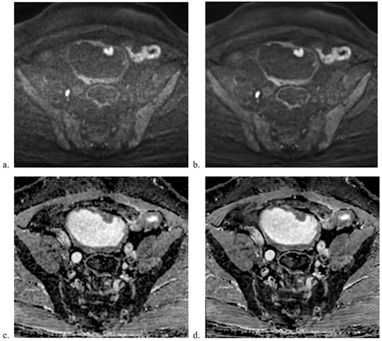
2.4. Qualitative Image Analysis
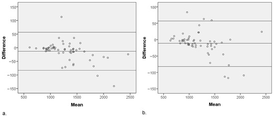
2.5. Quantitative Image Analysis
2.6. Statistical Analysis
3. Results
3.1. Clinical Characteristics
3.2. Qualitative Image Analysis
3.3. Quantitative Image Analysis
4. Discussion
5. Conclusions
Author Contributions
Funding
Institutional Review Board Statement
Informed Consent Statement
Data Availability Statement
Acknowledgments
Conflicts of Interest
References
- Bray, F.; Laversanne, M.; Sung, H.; Ferlay, J.; Siegel, R.L.; Soerjomataram, I.; Jemal, A. Global Cancer Statistics 2022: GLOBOCAN Estimates of Incidence and Mortality Worldwide for 36 Cancers in 185 Countries. CA Cancer J. Clin. 2024, 74, 229–263. [Google Scholar] [CrossRef] [PubMed]
- Lenis, A.T.; Lec, P.M.; Chamie, K.; MSHS, M. Bladder Cancer: A Review. JAMA 2020, 324, 1980–1991. [Google Scholar] [CrossRef]
- Eusebi, L.; Masino, F.; Gifuni, R.; Fierro, D.; Bertolotto, M.; Cova, M.A.; Guglielmi, G. Role of Multiparametric-MRI in Bladder Cancer. Curr. Radiol. Rep. 2023, 11, 69–80. [Google Scholar] [CrossRef]
- dos Santos, J.F.P.; Ghezzi, C.L.A.; Pedrollo, I.M.; Cruz, Í.R.; Orozco, O.F.G.; Zapparoli, M.; Schuch, A.; Muglia, V.F. Practical Guide to VI-RADS: MRI Protocols, Lesion Characterization, and Pitfalls. RadioGraphics 2024, 44, e230149. [Google Scholar] [CrossRef]
- Yoshida, S.; Koga, F.; Masuda, H.; Fujii, Y.; Kihara, K. Role of Diffusion-Weighted Magnetic Resonance Imaging as an Imaging Biomarker of Urothelial Carcinoma. Int. J. Urol. 2014, 21, 1190–1200. [Google Scholar] [CrossRef]
- Abdel-Rahman, H.M.; El Fiki, I.M.; Desoky, E.A.E.; Elsayed, E.R.; Abd Samad, K.M. The Role of Diffusion-Weighted Magnetic Resonance Imaging in T Staging and Grading of Urinary Bladder Cancer. Egypt. J. Radiol. Nucl. Med. 2015, 46, 741–747. [Google Scholar] [CrossRef]
- Nicola, R.; Pecoraro, M.; Lucciola, S.; Reis, R.B.D.; Narumi, Y.; Panebianco, V.; Muglia, V.F. VI-RADS Score System—A Primer for Urologists. Int. Braz. J. Urol. 2022, 48, 609–622. [Google Scholar] [CrossRef]
- Panebianco, V.; Briganti, A.; Boellaard, T.N.; Catto, J.; Comperat, E.; Efstathiou, J.; van der Heijden, A.G.; Giannarini, G.; Girometti, R.; Mertens, L.; et al. Clinical Application of Bladder MRI and the Vesical Imaging-Reporting and Data System. Nat. Rev. Urol. 2024, 21, 243–251. [Google Scholar] [CrossRef]
- Sevcenco, S.; Haitel, A.; Ponhold, L.; Susani, M.; Fajkovic, H.; Shariat, S.F.; Hiess, M.; Spick, C.; Szarvas, T.; Baltzer, P.A.T. Quantitative Apparent Diffusion Coefficient Measurements Obtained by 3-Tesla MRI Are Correlated with Biomarkers of Bladder Cancer Proliferative Activity. PLoS ONE 2014, 9, e106866. [Google Scholar] [CrossRef]
- Kobayashi, S.; Koga, F.; Yoshida, S.; Masuda, H.; Ishii, C.; Tanaka, H.; Komai, Y.; Yokoyama, M.; Saito, K.; Fujii, Y.; et al. Diagnostic Performance of Diffusion-Weighted Magnetic Resonance Imaging in Bladder Cancer: Potential Utility of Apparent Diffusion Coefficient Values as a Biomarker to Predict Clinical Aggressiveness. Eur. Radiol. 2011, 21, 2178–2186. [Google Scholar] [CrossRef]
- Avcu, S.; Koseoglu, M.N.; Ceylan, K.; Dbulutand, M.; Unal, O. The Value of Diffusion-Weighted MRI in the Diagnosis of Malignant and Benign Urinary Bladder Lesions. Br. J. Radiol. 2011, 84, 875–882. [Google Scholar] [CrossRef]
- Khwaja, S.A.; Caglic, I.; Shaida, N.; Colquhoun, A.J.; Turner, W.; Barrett, T. Evaluation of Magnetic Resonance Imaging for Bladder Cancer Detection Following Transurethral Resection of Bladder Tumour (TURBT). Abdom. Radiol. 2024, 49, 2340–2348. [Google Scholar] [CrossRef]
- Lin, W.-C.; Chen, J.-H. Pitfalls and Limitations of Diffusion-Weighted Magnetic Resonance Imaging in the Diagnosis of Urinary Bladder Cancer. Transl. Oncol. 2015, 8, 217–230. [Google Scholar] [CrossRef]
- Skare, S.; Newbould, R.D.; Clayton, D.B.; Albers, G.W.; Nagle, S.; Bammer, R. Clinical Multishot DW-EPI through Parallel Imaging with Considerations of Susceptibility, Motion, and Noise. Magn. Reson. Med. 2007, 57, 881–890. [Google Scholar] [CrossRef]
- El Homsi, M.; Bates, D.D.B.; Mazaheri, Y.; Sosa, R.; Gangai, N.; Petkovska, I. Multiplexed Sensitivity-Encoding Diffusion-Weighted Imaging (MUSE) in Diffusion-Weighted Imaging for Rectal MRI: A Quantitative and Qualitative Analysis at Multiple b-Values. Abdom. Radiol. 2023, 48, 448–457. [Google Scholar] [CrossRef]
- Wang, X.; Wang, P.; Zhang, H.; Wang, X.; Shi, J.; Hu, S. Multiplexed Sensitivity-Encoding versus Single-Shot Echo-Planar Imaging: A Comparative Study for Diffusion-Weighted Imaging of the Thyroid Lesions. Jpn. J. Radiol. 2024, 42, 268–275. [Google Scholar] [CrossRef]
- Nakamoto, A.; Onishi, H.; Tsuboyama, T.; Fukui, H.; Ota, T.; Yano, K.; Kiso, K.; Honda, T.; Tarewaki, H.; Koyama, Y.; et al. High-Resolution Diffusion-Weighted Imaging of the Prostate Using Multiplexed Sensitivity-Encoding: Comparison with the Conventional and Reduced Field-of-View Techniques. Magn. Reson. Med. Sci. 2023, 24, 58–65. [Google Scholar] [CrossRef]
- Lebel, R.M. Performance Characterization of a Novel Deep Learning-Based MR Image Reconstruction Pipeline. arXiv 2020, arXiv:2008.06559. [Google Scholar]
- Zerunian, M.; Pucciarelli, F.; Caruso, D.; Santis, D.D.; Polici, M.; Masci, B.; Nacci, I.; Gaudio, A.D.; Argento, G.; Redler, A.; et al. Fast High-Quality MRI Protocol of the Lumbar Spine with Deep Learning-Based Algorithm: An Image Quality and Scanning Time Comparison with Standard Protocol. Skelet. Radiol. 2023, 53, 151. [Google Scholar] [CrossRef]
- Zerunian, M.; Pucciarelli, F.; Caruso, D.; Polici, M.; Masci, B.; Guido, G.; De Santis, D.; Polverari, D.; Principessa, D.; Benvenga, A.; et al. Artificial Intelligence Based Image Quality Enhancement in Liver MRI: A Quantitative and Qualitative Evaluation. Radiol. Med. 2022, 127, 1098–1105. [Google Scholar] [CrossRef]
- Kim, J.H.; Yoon, J.H.; Kim, S.W.; Park, J.; Bae, S.H.; Lee, J.M. Application of a Deep Learning Algorithm for Three-Dimensional T1-Weighted Gradient-Echo Imaging of Gadoxetic Acid-Enhanced MRI in Patients at a High Risk of Hepatocellular Carcinoma. Abdom. Radiol. 2023, 49, 738–747. [Google Scholar] [CrossRef] [PubMed]
- Sun, S.; Tan, E.T.; Mintz, D.N.; Sahr, M.; Endo, Y.; Nguyen, J.; Lebel, R.M.; Carrino, J.A.; Sneag, D.B. Evaluation of Deep Learning Reconstructed High-Resolution 3D Lumbar Spine MRI. Eur. Radiol. 2022, 32, 6167–6177. [Google Scholar] [CrossRef]
- Hahn, S.; Yi, J.; Lee, H.-J.; Lee, Y.; Lim, Y.-J.; Bang, J.-Y.; Kim, H.; Lee, J. Image Quality and Diagnostic Performance of Accelerated Shoulder MRI with Deep Learning–Based Reconstruction. Am. J. Roentgenol. 2022, 218, 506–516. [Google Scholar] [CrossRef]
- Zhang, X.; Wang, Y.; Xu, X.; Zhang, J.; Sun, Y.; Hu, M.; Wang, S.; Li, Y.; Chen, Y.; Zhao, X. Bladder MRI with Deep Learning-Based Reconstruction: A Prospective Evaluation of Muscle Invasiveness Using VI-RADS. Abdom. Radiol. 2024, 49, 1615–1625. [Google Scholar] [CrossRef]
- Lee, D.H.; Park, J.E.; Nam, Y.K.; Lee, J.; Kim, S.; Kim, Y.-H.; Kim, H.S. Deep Learning-Based Thin-Section MRI Reconstruction Improves Tumour Detection and Delineation in Pre- and Post-Treatment Pituitary Adenoma. Sci. Rep. 2021, 11, 21302. [Google Scholar] [CrossRef]
- Afat, S.; Herrmann, J.; Almansour, H.; Benkert, T.; Weiland, E.; Hölldobler, T.; Nikolaou, K.; Gassenmaier, S. Acquisition Time Reduction of Diffusion-Weighted Liver Imaging Using Deep Learning Image Reconstruction. Diagn. Interv. Imaging 2023, 104, 178–184. [Google Scholar] [CrossRef]
- Li, J.; Xia, Y.; Sun, G.; Xu, M.; Lin, X.; Jiang, S.; Dai, J.; Liu, S.; Fan, L. Deep Learning-Based Image Reconstruction Algorithm for Lung Diffusion Weighted Imaging: Improved Image Quality and Diagnostic Performance. Chin. J. Acad. Radiol. 2024, 7, 348–357. [Google Scholar] [CrossRef]
- Sauer, S.T.; Christner, S.A.; Lois, A.-M.; Woznicki, P.; Curtaz, C.; Kunz, A.S.; Weiland, E.; Benkert, T.; Bley, T.A.; Baeßler, B.; et al. Deep Learning K-Space-to-Image Reconstruction Facilitates High Spatial Resolution and Scan Time Reduction in Diffusion-Weighted Imaging Breast MRI. J. Magn. Reson. Imaging 2024, 60, 1190–1200. [Google Scholar] [CrossRef]
- Cárdenas-Blanco, A.; Tejos, C.; Irarrazaval, P.; Cameron, I. Noise in Magnitude Magnetic Resonance Images. Concepts Magn. Reson. Part A 2008, 32A, 409–416. [Google Scholar] [CrossRef]



| Characteristic | Value |
|---|---|
| Age, mean (range), years | 67.2 (40–87) |
| Sex (male/female) | 50/7 |
| Histologic diagnosis | |
| Benign lesions | |
| Leiomyoma | 1 |
| Paraganglioma | 2 |
| Inverted urothelial papilloma | 1 |
| Papilloma | 1 |
| Cystitis cystica et glandularis | 1 |
| Inflammatory myofibroblastic tumor | 1 |
| Malignant lesions | |
| Urothelial carcinoma | 49 |
| No histopathology result | 1 |
| Category | MUSE-DWI | DL MUSE-DWI | ||
|---|---|---|---|---|
| Kappa | 95% CI | Kappa | 95% CI | |
| Sharpness | 0.64 | 0.45–0.82 | 0.62 | 0.44–0.79 |
| Distortion | 0.86 | 0.72–0.99 | 0.82 | 0.67–0.97 |
| Artifacts | 0.64 | 0.32–0.96 | 0.61 | 0.3–0.93 |
| Lesion conspicuity | 0.75 | 0.59–0.91 | 0.73 | 0.55–0.91 |
| Index | Reviewer 1 | Reviewer 2 | ||||
|---|---|---|---|---|---|---|
| MUSE-DWI | DL MUSE-DWI | p Value | MUSE-DWI | DL MUSE-DWI | p Value | |
| Sharpness | 0.54 | 0.61 | <0.001 | 0.68 | 0.71 | <0.001 |
| Distortion | 0.5 | 0.5 | 1 | 0.49 | 0.49 | 0.317 |
| Artifacts | 0.3 | 0.48 | 0.317 | 0.35 | 0.33 | 0.317 |
| Lesion conspicuity | 0.6 | 0.65 | <0.001 | 0.64 | 0.61 | <0.001 |
| Index | Reviewer 1 | Reviewer 2 | ||||
|---|---|---|---|---|---|---|
| MUSE-DWI | DL MUSE-DWI | p Value | MUSE-DWI | DL MUSE-DWI | p Value | |
| SNR | <0.001 | <0.001 | ||||
| CNR | 2.13 | 0.001 | <0.001 | |||
| SIR | <0.001 | <0.001 | ||||
| ADC value | 361 | <0.001 | 0.002 | |||
| Category | MUSE-DWI | DL MUSE-DWI | ||
|---|---|---|---|---|
| ICC (95% CI) | p Value | ICC (95% CI) | p Value | |
| SNR | 0.15 (−0.12–0.39) | 0.137 | 0.1 (−0.16–0.35) | 0.228 |
| CNR | 0.32 (0.07–0.54) | 0.007 | 0.27 (0.02–0.5) | 0.019 |
| SIR | 0.87 (0.78–0.92) | <0.001 | 0.86 (0.77–0.91) | <0.001 |
| ADC value | 0.85 (0.75–0.91) | <0.001 | 0.85 (0.75–0.91) | <0.001 |
Disclaimer/Publisher’s Note: The statements, opinions and data contained in all publications are solely those of the individual author(s) and contributor(s) and not of MDPI and/or the editor(s). MDPI and/or the editor(s) disclaim responsibility for any injury to people or property resulting from any ideas, methods, instructions or products referred to in the content. |
© 2025 by the authors. Licensee MDPI, Basel, Switzerland. This article is an open access article distributed under the terms and conditions of the Creative Commons Attribution (CC BY) license (https://creativecommons.org/licenses/by/4.0/).
Share and Cite
Cha, S.H.; Han, Y.E.; Han, N.Y.; Kim, M.J.; Park, B.J.; Sim, K.C.; Sung, D.J.; Yoo, S.; Lan, P.; Guidon, A. Assessing Image Quality in Multiplexed Sensitivity-Encoding Diffusion-Weighted Imaging with Deep Learning-Based Reconstruction in Bladder MRI. Diagnostics 2025, 15, 595. https://doi.org/10.3390/diagnostics15050595
Cha SH, Han YE, Han NY, Kim MJ, Park BJ, Sim KC, Sung DJ, Yoo S, Lan P, Guidon A. Assessing Image Quality in Multiplexed Sensitivity-Encoding Diffusion-Weighted Imaging with Deep Learning-Based Reconstruction in Bladder MRI. Diagnostics. 2025; 15(5):595. https://doi.org/10.3390/diagnostics15050595
Chicago/Turabian StyleCha, Seung Ha, Yeo Eun Han, Na Yeon Han, Min Ju Kim, Beom Jin Park, Ki Choon Sim, Deuk Jae Sung, Seulki Yoo, Patricia Lan, and Arnaud Guidon. 2025. "Assessing Image Quality in Multiplexed Sensitivity-Encoding Diffusion-Weighted Imaging with Deep Learning-Based Reconstruction in Bladder MRI" Diagnostics 15, no. 5: 595. https://doi.org/10.3390/diagnostics15050595
APA StyleCha, S. H., Han, Y. E., Han, N. Y., Kim, M. J., Park, B. J., Sim, K. C., Sung, D. J., Yoo, S., Lan, P., & Guidon, A. (2025). Assessing Image Quality in Multiplexed Sensitivity-Encoding Diffusion-Weighted Imaging with Deep Learning-Based Reconstruction in Bladder MRI. Diagnostics, 15(5), 595. https://doi.org/10.3390/diagnostics15050595

