Intravascular Ultrasound Findings in Acute and Chronic Deep Vein Thrombosis of the Lower Extremities
Abstract
1. Introduction
2. Current Guidelines for the Management of Acute and Chronic Deep Vein Thrombosis (DVT)
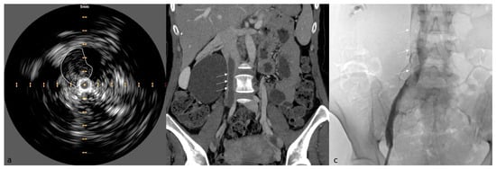
3. IVUS in Acute Lower Extremity DVT
4. IVUS in PTS
5. Advantages of IVUS over Traditional Imaging
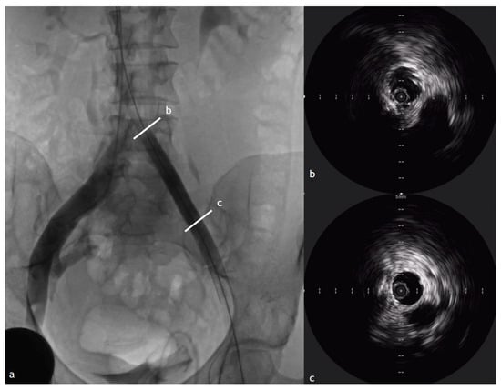
6. IVUS in Venous Stenting Procedure
7. Technical Advances and Emerging Applications
8. Discussion
Author Contributions
Funding
Institutional Review Board Statement
Informed Consent Statement
Conflicts of Interest
References
- Di Nisio, M.; van Es, N.; Büller, H.R. Deep vein thrombosis and pulmonary embolism. Lancet 2016, 388, 3060–3073. [Google Scholar] [CrossRef]
- Liang, W.; Moverley, J.A. Deep vein thrombosis. JAAPA 2022, 35, 61–62. [Google Scholar] [CrossRef] [PubMed]
- Arnoldussen, C.W.K.P. Imaging of Deep Venous Pathology. Cardiovasc. Interv. Radiol. 2024, 47, 1580–1594. [Google Scholar] [CrossRef] [PubMed]
- Woods, M.A.; Knavel Koepsel, E.M.; Swietlik, J.F.; Shin, D.S.; Chick, J.F.B.; Weaver, J.J.; Watts, M.M.; Laeseke, P.; Kleedehn, M.G.; Monroe, E.J. Intravascular US: Applications in Interventional Radiology. Radiographics 2022, 42, 1742–1757. [Google Scholar] [CrossRef]
- Williams, B.; Keefe, N.A. Utilization of Intravascular Ultrasound in the Management of Venous Disease. Tech. Vasc. Interv. Radiol. 2023, 26, 100898. [Google Scholar] [CrossRef]
- Kakkos, S.K.; Gohel, M.; Baekgaard, N.; Bauersachs, R.; Bellmunt-Montoya, S.; Black, S.A.; Ten Cate-Hoek, A.J.; Elalamy, I.; Enzmann, F.K.; Geroulakos, G.; et al. Editor’s Choice—European Society for Vascular Surgery (ESVS) 2021 Clinical Practice Guidelines on the Management of Venous Thrombosis. Eur. J. Vasc. Endovasc. Surg. 2021, 61, 9–82. [Google Scholar] [CrossRef] [PubMed]
- Vedantham, S.; Desai, K.R.; Weinberg, I.; Marston, W.; Winokur, R.; Patel, S.; Kolli, K.P.; Azene, E.; Nelson, K. Society of Interventional Radiology Position Statement on the Endovascular Management of Acute Iliofemoral Deep Vein Thrombosis. J. Vasc. Interv. Radiol. 2023, 34, 284–299.e7. [Google Scholar] [CrossRef]
- Linnemann, B.; Beyer-Westendorf, J.; Espinola-Klein, C.; Mühlberg, K.S.; Müller, O.J.; Klamroth, R. Management of Deep Vein Thrombosis: An Update Based on the Revised AWMF S2k Guideline. Hamostaseologie 2024, 44, 97–110. [Google Scholar] [CrossRef]
- Stevens, S.M.; Woller, S.C.; Kreuziger, L.B.; Bounameaux, H.; Doerschug, K.; Geersing, G.J.; Huisman, M.V.; Kearon, C.; King, C.S.; Knighton, A.J.; et al. Antithrombotic Therapy for VTE Disease: Second Update of the CHEST Guideline and Expert Panel Report. Chest 2021, 160, e545–e608. [Google Scholar] [CrossRef] [PubMed]
- Ortel, T.L.; Neumann, I.; Ageno, W.; Beyth, R.; Clark, N.P.; Cuker, A.; Hutten, B.A.; Jaff, M.R.; Manja, V.; Schulman, S.; et al. American Society of Hematology 2020 guidelines for management of venous thromboembolism: Treatment of deep vein thrombosis and pulmonary embolism. Blood Adv. 2020, 4, 4693–4738. [Google Scholar] [CrossRef]
- Zhang, F.; Song, H.X.; He, Z.P.; Zheng, L.H.; Han, Y.R.; Wang, B.Y.; Liu, P. Analysis of computed tomography venography for the diagnosis and endovascular treatment of iliac venous compression syndrome with venous leg ulcers: A retrospective study. Sci. Rep. 2024, 14, 22314. [Google Scholar] [CrossRef]
- Kusiak, A.; Budzyński, J. Usefulness of non-contrast-enhanced magnetic resonance imaging prior to venous interventions. Postep. Kardiol. Interwencyjnej 2019, 15, 338–344. [Google Scholar] [CrossRef]
- Vedantham, S.; Weinberg, I.; Desai, K.R.; Winokur, R.; Kolli, K.P.; Patel, S.; Nelson, K.; Marston, W.; Azene, E. Society of Interventional Radiology Position Statement on the Management of Chronic Iliofemoral Venous Obstruction with Endovascular Placement of Metallic Stents. J. Vasc. Interv. Radiol. 2023, 34, 1643–1657.e6. [Google Scholar] [CrossRef]
- Schastlivtsev, I.V.; Lobastov, K.V.; Dubar, E.; Matveeva, A.V.; Kovalchuk, A.V.; Tsaplin, S.N.; Laberko, L.A. Oral rivaroxaban for the treatment of deep vein thrombosis in outpatients: A propensity score-matched comparison with a historical inpatient population. Int. Angiol. 2024, 43, 553–562. [Google Scholar] [CrossRef] [PubMed]
- Yamashita, Y.; Morimoto, T.; Kimura, T. Venous thromboembolism: Recent advancement and future perspective. J. Cardiol. 2022, 79, 79–89. [Google Scholar] [CrossRef]
- Bisharat, M.B.; Ichinose, E.J.; Veerina, K.K.; Khetarpaul, V.; Azene, E.M.; Plotnik, A.N.; Hnath, J.; Trestman, E.; Harlin, S.A.; Bhat, A.; et al. One-Year Clinical Outcomes Following Mechanical Thrombectomy for Deep Vein Thrombosis: A CLOUT Registry Analysis. J. Soc. Cardiovasc. Angiogr. Interv. 2024, 3 Pt A, 101307. [Google Scholar] [CrossRef]
- Jalaie, H.; Barbati, M.E.; Piao, L.; Doganci, S.; Kucher, N.; Dumantepe, M.; Hartung, O.; Lichtenberg, M.; Black, S.; O’Sullivan, G.; et al. International CVO Classification Study Group. Prognostic Value of a Classification System for Iliofemoral Stenting in Patients with Chronic Venous Obstruction. Eur. J. Vasc. Endovasc. Surg. 2024, 69, 315–322. [Google Scholar] [CrossRef] [PubMed]
- Secemsky, E.A.; Aronow, H.D.; Kwolek, C.J.; Meissner, M.; Muck, P.E.; Parikh, S.A.; Winokur, R.S.; George, J.C.; Salazar, G.; Murphy, E.H.; et al. Intravascular Ultrasound Use in Peripheral Arterial and Deep Venous Interventions: Multidisciplinary Expert Opinion From SCAI/AVF/AVLS/SIR/SVM/SVS. J. Soc. Cardiovasc. Angiogr. Interv. 2024, 3, 101205. [Google Scholar] [CrossRef]
- Vedantham, S.; Gloviczki, P.; Carman, T.L.; Zelman Lewis, S.; Schneider, P.A.; Sabri, S.S.; Kolluri, R. Delphi Consensus on Reporting Standards in Clinical Studies for Endovascular Treatment of Acute Iliofemoral Venous Thrombosis and Chronic Iliofemoral Venous Obstruction. Circ. Cardiovasc. Interv. 2023, 16, e012894. [Google Scholar] [CrossRef]
- O’Sullivan, G. Current Perspectives on Deep Venous Interventions: Challenges, Evidence, and Future Directions. Cardiovasc. Interv. Radiol. 2024, 47, 1569–1570. [Google Scholar] [CrossRef] [PubMed]
- Plotnik, A.N.; Haber, Z.; Kee, S. Current Evidence for Endovascular Therapies in the Management of Acute Deep Vein Thrombosis. Cardiovasc. Interv. Radiol. 2024, 47, 1571–1579. [Google Scholar] [CrossRef]
- Plotnik, A.N.; Haber, Z.; Kee, S. Early Thrombus Removal for Acute Lower Extremity Deep Vein Thrombosis: Update on Inclusion, Technical Aspects, and Postprocedural Management. Cardiovasc. Interv. Radiol. 2024, 47, 1595–1604. [Google Scholar] [CrossRef]
- Iida, O.; Takahara, M. What does Intravascular Ultrasound Illustrate? J. Atheroscler. Thromb. 2017, 24, 473–474. [Google Scholar] [CrossRef] [PubMed][Green Version]
- Melian, C.M.; Giannopoulos, S.; Volteas, P.; Virvilis, D. Intravascular Ultrasound in Treating Iliac Vein Compression with Endovascular Stenting: A Necessary Tool for Optimal Outcomes. Vasc. Endovasc. Surg. 2023, 57, 299–305. [Google Scholar] [CrossRef] [PubMed]
- Wang, X.; Yu, C.; Chen, G.; Hong, Y.; Zhou, B.; Ge, J.; Liu, T. Iliac vein stenting guided by intravascular ultrasound without iodinated contrast medium. Vasa 2021, 50, 68–73. [Google Scholar] [CrossRef]
- Joh, M.; Desai, K.R. Treatment of Nonthrombotic Iliac Vein Lesions. Semin. Interv. Radiol. 2021, 38, 155–159. [Google Scholar] [CrossRef] [PubMed]
- Li, X.; Ruff, C.; Rafailidis, V.; Grozinger, G.; Cokkinos, D.; Kirksey, L.; Levitin, A.; Gadani, S.; Partovi, S. Noninvasive and invasive imaging of lower-extremity acute and chronic venous thrombotic disease. Vasc. Med. 2023, 28, 592–603. [Google Scholar] [CrossRef] [PubMed]
- Metzger, P.B.; Rossi, F.H.; Fernandez, M.G.; de Carvalho, S.F.C.; Metzger, S.L.; Izukawa, N.M.; Kambara, A.M.; Thorpe, P. Association between the degree of iliac venous outflow obstruction by intravascular ultrasound and lower limb venous reflux. J. Vasc. Surg. Venous Lymphat. Disord. 2023, 11, 1004–1013.e1. [Google Scholar] [CrossRef] [PubMed]
- Thulasidasan, N. Acute and Chronic Ilio-Femoral Venous Reconstruction. Cardiovasc. Interv. Radiol. 2024, 47, 1605–1615. [Google Scholar] [CrossRef] [PubMed]
- Joyce, D.P.; Morris, R.I.; Black, S.A.; Desai, K.R.; O’Sullivan, G.J. Major Complications of Deep Venous Stenting. Cardiovasc. Interv. Radiol. 2024, 47, 1677–1684. [Google Scholar] [CrossRef]
- Kibrik, P.; Arustamyan, M.; Alsheekh, A.; Ostrozhynskyy, Y.; Rabinovich, V.; Marks, N.; Hingorani, A.; Ascher, E. Partial In-Stent Thrombosis After Iliac Vein Stenting in Non-Thrombotic Vein Lesions. Ann. Vasc. Surg. 2022, 78, 257–262. [Google Scholar] [CrossRef] [PubMed]
- Jayaraj, A.; Rossi, F.H.; Lurie, F.; Muck, P. Diagnosis of chronic iliac venous obstruction. J. Vasc. Surg. Venous Lymphat. Disord. 2024, 12, 101744. [Google Scholar] [CrossRef]
- Needleman, L.; Cronan, J.J.; Lilly, M.P.; Merli, G.J.; Adhikari, S.; Hertzberg, B.S.; DeJong, M.R.; Streiff, M.B.; Meissner, M.H. Ultrasound for Lower Extremity Deep Venous Thrombosis: Multidisciplinary Recommendations from the Society of Radiologists in Ultrasound Consensus Conference. Circulation 2018, 137, 1505–1515. [Google Scholar] [CrossRef] [PubMed]
- Saleem, T.; Raju, S. Comparison of intravascular ultrasound and multidimensional contrast imaging modalities for characterization of chronic occlusive iliofemoral venous disease: A systematic review. J. Vasc. Surg. Venous Lymphat. Disord. 2021, 9, 1545–1556.e2. [Google Scholar] [CrossRef] [PubMed]
- Toh, M.R.; Damodharan, K.; Lim, H.H.M.N.; Tang, T.Y. Computed tomography venography versus intravascular ultrasound in the diagnosis of iliofemoral vein stenosis. Vasa 2021, 50, 38–44. [Google Scholar] [CrossRef]
- Gagne, P.J.; Tahara, R.W.; Fastabend, C.P.; Dzieciuchowicz, L.; Marston, W.; Vedantham, S.; Ting, W.; Iafrati, M.D. Venography versus intravascular ultrasound for diagnosing and treating iliofemoral vein obstruction. J. Vasc. Surg. Venous Lymphat. Disord. 2017, 5, 678–687. [Google Scholar] [CrossRef] [PubMed]
- Tran, L.M.; Go, C.; Zaghloul, M.; Malak, O.A.; Hager, E.; Eslami, M.H.; Chaer, R.A.; Avgerinos, E.D. Intravascular ultrasound evaluation during iliofemoral venous stenting is associated with improved midterm patency outcomes. J. Vasc. Surg. Venous Lymphat. Disord. 2022, 10, 1294–1303. [Google Scholar] [CrossRef] [PubMed]
- Müller, M.; Wolf, F.; Loewe, C.; Beitzke, D.; Zehetmayer, S.; Gschwandtner, M.E.; Willfort-Ehringer, A.; Koppensteiner, R.; Schlager, O. Preprocedural imaging modalities in patients undergoing iliocaval venous recanalization and stent placement. Vasc. Med. 2023, 28, 315–323. [Google Scholar] [CrossRef] [PubMed]
- Raju, S.; Walker, W.; Noel, C.; Kuykendall, R.; Jayaraj, A. The two-segment caliber method of diagnosing iliac vein stenosis on routine computed tomography with contrast enhancement. J. Vasc. Surg. Venous Lymphat. Disord. 2020, 8, 970–977. [Google Scholar] [CrossRef] [PubMed]
- Rossi, F.H.; Kambara, A.M.; Rodrigues, T.O.; Rossi, C.B.O.; Izukawa, N.M.; Pinto, I.M.F.; Thorpe, P.E. Comparison of computed tomography venography and intravascular ultrasound in screening and classification of iliac vein obstruction in patients with chronic venous disease. J. Vasc. Surg. Venous Lymphat. Disord. 2020, 8, 413–422. [Google Scholar] [CrossRef] [PubMed]
- Saleem, T.; Lucas, M.; Raju, S. Comparison of intravascular ultrasound and magnetic resonance venography in the diagnosis of chronic iliac venous disease. J. Vasc. Surg. Venous Lymphat. Disord. 2022, 10, 1066–1071.e2. [Google Scholar] [CrossRef] [PubMed]
- How, G.Y.; Quek, L.H.H.; Huang, I.K.H.; Lo, Z.J.; Yong, E.; Tan, G.W.L.; Pua, U. Intravascular ultrasound correlation of unenhanced magnetic resonance venography in the context of pelvic deep venous disease. J. Vasc. Surg. Venous Lymphat. Disord. 2022, 10, 1087–1094. [Google Scholar] [CrossRef]
- Gagne, P.J.; Gasparis, A.; Black, S.; Thorpe, P.; Passman, M.; Vedantham, S.; Marston, W.; Iafrati, M. Analysis of threshold stenosis by multiplanar venogram and intravascular ultrasound examination for predicting clinical improvement after iliofemoral vein stenting in the VIDIO trial. J. Vasc. Surg. Venous Lymphat. Disord. 2018, 6, 48–56.e1. [Google Scholar] [CrossRef] [PubMed]
- Raju, S.; Buck, W.J.; Crim, W.; Jayaraj, A. Optimal sizing of iliac vein stents. Phlebology 2018, 33, 451–457. [Google Scholar] [CrossRef] [PubMed]
- Barbati, M.E.; Avgerinos, E.D.; Baccellieri, D.; Doganci, S.; Lichtenberg, M.; Jalaie, H. Interventional treatment for post-thrombotic chronic venous obstruction: Progress and challenges. J. Vasc. Surg. Venous Lymphat. Disord. 2024, 12, 101910. [Google Scholar] [CrossRef]
- Avgerinos, E.D.; Black, S.; van Rijn, M.J.; Jalaie, H. The role and principles of stenting in acute iliofemoral venous thrombosis. J. Vasc. Surg. Venous Lymphat. Disord. 2024, 12, 101868. [Google Scholar] [CrossRef] [PubMed]
- Turner, B.R.; Gwozdz, A.M.; Davies, A.H.; Black, S.A. Randomized controlled trials of interventions for acute iliofemoral deep venous thrombosis. J. Cardiovasc. Surg. 2024, 65, 42–48. [Google Scholar] [CrossRef] [PubMed]
- Fan, Z.; Lu, J.; Cheng, H.; Ye, X.; Deng, X.; Zhao, P.; Liu, J.; Liu, M. Insights from Computational Fluid Dynamics and In Vitro Studies for Stent Protrusion in Iliac Vein: How Far Shall We Go? Cardiovasc. Eng. Technol. 2024, 16, 79–90. [Google Scholar] [CrossRef]
- Lu, J.; Fan, Z.; Ye, X.; Deng, X.; Feng, H.; Liu, M. Impact of lower limb movements on iliac vein stenting in iliac vein compression syndrome patients: Insights from computational modeling. Acta Bioeng. Biomech. 2024, 26, 23–35. [Google Scholar] [CrossRef]
- Li, C.; Feng, H.; Wang, X.; Wang, Y. The influencing mechanism of iliac vein stent implantation for hemodynamics at the bifurcation. Comput. Methods Biomech. Biomed. Eng. 2023, 26, 1452–1461. [Google Scholar] [CrossRef] [PubMed]
- Bajaj, R.; Huang, X.; Kilic, Y.; Ramasamy, A.; Jain, A.; Ozkor, M.; Tufaro, V.; Safi, H.; Erdogan, E.; Serruys, P.W.; et al. Advanced deep learning methodology for accurate, real-time segmentation of high-resolution intravascular ultrasound images. Int. J. Cardiol. 2021, 339, 185–191. [Google Scholar] [CrossRef]






| Guideline | Anticoagulation | Endovascular Treatment | Role of IVUS |
|---|---|---|---|
| ESVS (2021) | DOACS preferred, long-term therapy based on risk factors | Recommends CDT for iliofemoral DVT, venous stenting in chronic venous disease | Recognized IVUS for anatomical assessment but not mandatory (Suggested) |
| ACCP (2021) | DOACs preferred for most cases; 3-month treatment phase for all patients, extended therapy for unprovoked VTE or persistent risk factors | Recommends endovascular treatment in selected cases of severe iliofemoral obstruction | IVUS suggested for procedural planning and stent optimization (Suggested) |
| SIR (2022) | DOACs or LMWH, individualized duration | Strong recommendation for CDT, MT, and stenting in iliofemoral DVT | Strong emphasis on IVUS for procedural optimization (Recommended) |
| AWMF (2024) | DOACs preferred; anticoagulation 3–6 months for most cases | Endovascular therapy for high-risk cases, conservative for others | IVUS suggested for evaluating venous flow and obstruction (Suggested) |
| Feature | Acute DVT | PTS |
|---|---|---|
| Thrombus appearance | Hypoechoic, soft edges | Hyperechoic, firm, defined |
| Vein wall | Non-thickened, distended | Thickened, scarred |
| Collaterals | Minimal or absent | Extensive |
| Valvular Function | Frequently compromised | Compromised |
| Luminal Obstruction | Complete or partial | Partial, with narrowing |
| Imaging Modality | Sensitivity | Specificity | Advantages | Disadvantages |
|---|---|---|---|---|
| IVUS | 92–98% | 95–99% | Real-time imaging, high-resolution vein wall visualization, procedural guidance, no radiation | Invasive, costly, requires specialized training |
| Doppler US | 80–95% | 85–98% | Non-invasive, widely available, inexpensive | Limited in deep veins, poor in obese patients or with post-thrombotic changes |
| Venography | 90–96% | 87–95% | Gold standard for venous imaging, good for acute thrombosis | Invasive, uses contrast agents, radiation exposure, limited vein wall assessment |
| CT Venography | 85–97% | 90–96% | Excellent anatomical visualization, fast, useful for iliac and pelvic veins | Radiation exposure, contrast nephrotoxicity, limited assessment of intraluminal thrombus |
| MR Venography | 85–95% | 90–98% | No radiation, good for non-contrast evaluation, useful for central vein | Expensive, motion artifacts, less availability, longer scan time |
| Procedure | IVUS Advantages | Alternative Without IVUS | Risk Without IVUS |
|---|---|---|---|
| Catheter-directed Thrombolysis (CDT) | Identifies thrombus burden and response to therapy | Venography | Inaccurate thrombus localization, higher drug dosage required |
| Mechanical Thrombectomy | Differentiates between soft and organized thrombi | Venography | Risk of incomplete thrombus removal |
| Venous Stenting | Measures precise vein diameter, confirms stent expansion | Venography + Doppler US | Undersized stents, risk of malpositioning |
| Post-procedural assessment | Confirms stent integrity and venous flow | Venography | Delayed restenosis or stent migration detection |
Disclaimer/Publisher’s Note: The statements, opinions and data contained in all publications are solely those of the individual author(s) and contributor(s) and not of MDPI and/or the editor(s). MDPI and/or the editor(s) disclaim responsibility for any injury to people or property resulting from any ideas, methods, instructions or products referred to in the content. |
© 2025 by the authors. Licensee MDPI, Basel, Switzerland. This article is an open access article distributed under the terms and conditions of the Creative Commons Attribution (CC BY) license (https://creativecommons.org/licenses/by/4.0/).
Share and Cite
Corvino, F.; Giurazza, F.; Galia, M.; Corvino, A.; Minici, R.; Basile, A.; Ierardi, A.M.; Marra, P.; Niola, R. Intravascular Ultrasound Findings in Acute and Chronic Deep Vein Thrombosis of the Lower Extremities. Diagnostics 2025, 15, 577. https://doi.org/10.3390/diagnostics15050577
Corvino F, Giurazza F, Galia M, Corvino A, Minici R, Basile A, Ierardi AM, Marra P, Niola R. Intravascular Ultrasound Findings in Acute and Chronic Deep Vein Thrombosis of the Lower Extremities. Diagnostics. 2025; 15(5):577. https://doi.org/10.3390/diagnostics15050577
Chicago/Turabian StyleCorvino, Fabio, Francesco Giurazza, Massimo Galia, Antonio Corvino, Roberto Minici, Antonio Basile, Anna Maria Ierardi, Paolo Marra, and Raffaella Niola. 2025. "Intravascular Ultrasound Findings in Acute and Chronic Deep Vein Thrombosis of the Lower Extremities" Diagnostics 15, no. 5: 577. https://doi.org/10.3390/diagnostics15050577
APA StyleCorvino, F., Giurazza, F., Galia, M., Corvino, A., Minici, R., Basile, A., Ierardi, A. M., Marra, P., & Niola, R. (2025). Intravascular Ultrasound Findings in Acute and Chronic Deep Vein Thrombosis of the Lower Extremities. Diagnostics, 15(5), 577. https://doi.org/10.3390/diagnostics15050577

