Standard Visual and Ordinal Coronary Calcium Scoring on PET/CT: Agreement with Agatston Scoring and Prognostic Implications
Abstract
1. Introduction
2. Materials and Methods
2.1. Study Population
2.2. Data Acquisition
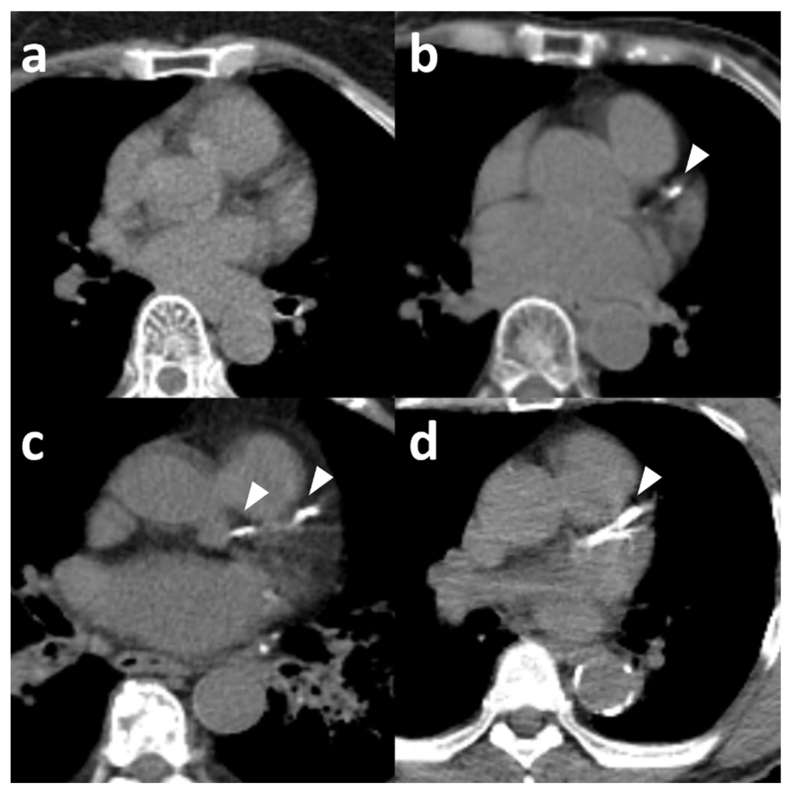
2.3. Coronary Artery Calcium Analysis
2.4. Statistical Analysis
3. Results
3.1. Patient Characteristics
3.2. Interobserver Agreement of Standard Visual and Ordinal Scales on PET/CT
3.3. Concordance with Agatston Score Categories from ECG-Gated Chest CT
3.4. Prognostic Value for MACE
4. Discussion
5. Conclusions
Supplementary Materials
Author Contributions
Funding
Institutional Review Board Statement
Informed Consent Statement
Data Availability Statement
Acknowledgments
Conflicts of Interest
Abbreviations
| CAC | coronary artery calcification |
| CT | computed tomography |
| CVD | cardiovascular disease |
| ECG | electrocardiogram |
| EMR | electronic medical record |
| FDG | fluorodeoxyglucose |
| ICD | International Classification of Diseases |
| IQR | interquartile range |
| MACE | major adverse cardiovascular events |
| MESA | Multi-Ethnic Study of Atherosclerosis |
| PET | positron emission tomography |
| SCCT | Society of Cardiovascular Computed Tomography |
| STR | Society of Thoracic Radiology |
References
- Florido, R.; Daya, N.R.; Ndumele, C.E.; Koton, S.; Russell, S.D.; Prizment, A.; Blumenthal, R.S.; Matsushita, K.; Mok, Y.; Felix, A.S.; et al. Cardiovascular Disease Risk Among Cancer Survivors: The Atherosclerosis Risk in Communities (ARIC) Study. J. Am. Coll. Cardiol. 2022, 80, 22–32. [Google Scholar] [CrossRef]
- Huang, B.Z.; Camp, M.S. Burden of preoperative cardiovascular disease risk factors on breast cancer surgery outcomes. J. Surg. Oncol. 2016, 114, 144–149. [Google Scholar] [CrossRef]
- Ramamoorthy, V.; Chan, K.; Appunni, S.; Zhang, Z.; Ahmed, M.A.; McGranaghan, P.; Saxena, A.; Rubens, M. Prevalence and trends of perioperative major adverse cardiovascular and cerebrovascular events during cancer surgeries. Sci. Rep. 2023, 13, 2410. [Google Scholar] [CrossRef] [PubMed]
- Yang, X.; Jiang, Y.; Xie, M.; Wang, X.; Fang, W.; Luo, Q.; Zhou, Q.; Yao, F.; Yu, H.; Shen, L.; et al. Nongated Computed Tomography Predicts Perioperative Cardiovascular Risk in Lung Cancer Surgery. Ann. Thorac. Surg. 2022, 114, 2050–2057. [Google Scholar] [CrossRef]
- Geiger, S.; Lange, V.; Suhl, P.; Heinemann, V.; Stemmler, H.J. Anticancer therapy induced cardiotoxicity: Review of the literature. Anticancer Drugs 2010, 21, 578–590. [Google Scholar] [CrossRef] [PubMed]
- Wang, Z.; Fan, Z.; Yang, L.; Liu, L.; Sheng, C.; Song, F.; Huang, Y.; Chen, K. Higher risk of cardiovascular mortality than cancer mortality among long-term cancer survivors. Front. Cardiovasc. Med. 2023, 10, 1014400. [Google Scholar] [CrossRef] [PubMed]
- Ko, S.M. Current Status of Cardiac CT for Nuclear Medicine Professionals: Coronary Artery Disease Evaluation. Nucl. Med. Mol. Imaging 2024, 58, 418–430. [Google Scholar] [CrossRef]
- Williams, M.C.; Moss, A.J.; Dweck, M.; Adamson, P.D.; Alam, S.; Hunter, A.; Shah, A.S.V.; Pawade, T.; Weir-McCall, J.R.; Roditi, G.; et al. Coronary Artery Plaque Characteristics Associated with Adverse Outcomes in the SCOT-HEART Study. J. Am. Coll. Cardiol. 2019, 73, 291–301. [Google Scholar] [CrossRef]
- Bild, D.E.; Detrano, R.; Peterson, D.; Guerci, A.; Liu, K.; Shahar, E.; Ouyang, P.; Jackson, S.; Saad, M.F. Ethnic differences in coronary calcification: The Multi-Ethnic Study of Atherosclerosis (MESA). Circulation 2005, 111, 1313–1320. [Google Scholar] [CrossRef]
- Detrano, R.; Guerci, A.D.; Carr, J.J.; Bild, D.E.; Burke, G.; Folsom, A.R.; Liu, K.; Shea, S.; Szklo, M.; Bluemke, D.A.; et al. Coronary calcium as a predictor of coronary events in four racial or ethnic groups. N. Engl. J. Med. 2008, 358, 1336–1345. [Google Scholar] [CrossRef]
- Golub, I.S.; Termeie, O.G.; Kristo, S.; Schroeder, L.P.; Lakshmanan, S.; Shafter, A.M.; Hussein, L.; Verghese, D.; Aldana-Bitar, J.; Manubolu, V.S.; et al. Major Global Coronary Artery Calcium Guidelines. JACC Cardiovasc. Imaging 2023, 16, 98–117. [Google Scholar] [CrossRef]
- Osborne-Grinter, M.; Ali, A.; Williams, M.C. Prevalence and clinical implications of coronary artery calcium scoring on non-gated thoracic computed tomography: A systematic review and meta-analysis. Eur. Radiol. 2023, 34, 4459–4474. [Google Scholar] [CrossRef] [PubMed]
- Hecht, H.S.; Blaha, M.J.; Kazerooni, E.A.; Cury, R.C.; Budoff, M.; Leipsic, J.; Shaw, L. CAC-DRS: Coronary Artery Calcium Data and Reporting System. An expert consensus document of the Society of Cardiovascular Computed Tomography (SCCT). J. Cardiovasc. Comput. Tomogr. 2018, 12, 185–191. [Google Scholar] [CrossRef] [PubMed]
- Hecht, H.S.; Cronin, P.; Blaha, M.J.; Budoff, M.J.; Kazerooni, E.A.; Narula, J.; Yankelevitz, D.; Abbara, S. 2016 SCCT/STR guidelines for coronary artery calcium scoring of noncontrast noncardiac chest CT scans: A report of the Society of Cardiovascular Computed Tomography and Society of Thoracic Radiology. J. Cardiovasc. Comput. Tomogr. 2017, 11, 74–84. [Google Scholar] [CrossRef]
- Einstein, A.J.; Johnson, L.L.; Bokhari, S.; Son, J.; Thompson, R.C.; Bateman, T.M.; Hayes, S.W.; Berman, D.S. Agreement of visual estimation of coronary artery calcium from low-dose CT attenuation correction scans in hybrid PET/CT and SPECT/CT with standard Agatston score. J. Am. Coll. Cardiol. 2010, 56, 1914–1921. [Google Scholar] [CrossRef]
- Fresno, C.U.; Tijmes, F.S.; Thavendiranathan, P.; Akhtari, S.; Karur, G.R.; Torres, F.S.; Halankar, J.; Nguyen, E.T.; Hanneman, K. Visual Ordinal Scoring of Coronary Artery Calcium on Contrast-Enhanced and Noncontrast Chest CT: A Retrospective Study of Diagnostic Performance and Prognostic Utility. AJR Am. J. Roentgenol. 2022, 219, 569–578. [Google Scholar] [CrossRef]
- Chiles, C.; Duan, F.; Gladish, G.W.; Ravenel, J.G.; Baginski, S.G.; Snyder, B.S.; DeMello, S.; Desjardins, S.S.; Munden, R.F. Association of Coronary Artery Calcification and Mortality in the National Lung Screening Trial: A Comparison of Three Scoring Methods. Radiology 2015, 276, 82–90. [Google Scholar] [CrossRef]
- Shemesh, J.; Henschke, C.I.; Shaham, D.; Yip, R.; Farooqi, A.O.; Cham, M.D.; McCauley, D.I.; Chen, M.; Smith, J.P.; Libby, D.M.; et al. Ordinal scoring of coronary artery calcifications on low-dose CT scans of the chest is predictive of death from cardiovascular disease. Radiology 2010, 257, 541–548. [Google Scholar] [CrossRef] [PubMed]
- Choi, D.Y.; Hayes, D.; Maidman, S.D.; Dhaduk, N.; Jacobs, J.E.; Shmukler, A.; Berger, J.S.; Cuff, G.; Rehe, D.; Lee, M.; et al. Existing Nongated CT Coronary Calcium Predicts Operative Risk in Patients Undergoing Noncardiac Surgeries (ENCORES). Circulation 2023, 148, 1154–1164. [Google Scholar] [CrossRef]
- Son, H.J.; Lee, S.H. Incidental Coronary Artery Calcification Detected on Preoperative PET/CT: Implications for Postoperative Mortality. Nucl. Med. Mol. Imaging 2024, 58, 459–460. [Google Scholar] [CrossRef]
- Han, E.J.; Lim, C.H.; Oh, J.; Choi, J.Y.; The Korean Society of Nuclear Medicine Medical Affairs Committee. 18F-FDG PET/CT for Oncological Patients: Procedural Guideline by the Korean Society of Nuclear Medicine Version 2.0. Nucl. Med. Mol. Imaging 2025. [Google Scholar] [CrossRef]
- Budoff, M.J.; Nasir, K.; McClelland, R.L.; Detrano, R.; Wong, N.; Blumenthal, R.S.; Kondos, G.; Kronmal, R.A. Coronary calcium predicts events better with absolute calcium scores than age-sex-race/ethnicity percentiles: MESA (Multi-Ethnic Study of Atherosclerosis). J. Am. Coll. Cardiol. 2009, 53, 345–352. [Google Scholar] [CrossRef]
- Mitchell, J.D.; Fergestrom, N.; Gage, B.F.; Paisley, R.; Moon, P.; Novak, E.; Cheezum, M.; Shaw, L.J.; Villines, T.C. Impact of Statins on Cardiovascular Outcomes Following Coronary Artery Calcium Scoring. J. Am. Coll. Cardiol. 2018, 72, 3233–3242. [Google Scholar] [CrossRef]
- Pieszko, K.; Shanbhag, A.; Killekar, A.; Miller, R.J.H.; Lemley, M.; Otaki, Y.; Singh, A.; Kwiecinski, J.; Gransar, H.; Van Kriekinge, S.D.; et al. Deep Learning of Coronary Calcium Scores From PET/CT Attenuation Maps Accurately Predicts Adverse Cardiovascular Events. JACC Cardiovasc. Imaging 2023, 16, 675–687. [Google Scholar] [CrossRef]
- Mais, H.E.; Kay, R.; Almubarak, H.; Rowe, J.M.; Chow, A.L.S.; Ruddy, T.; Beanlands, R.S.; Crean, A.M.; Chow, B.J.W.; Leung, E.C.Y.; et al. Prognostic importance of coincidental coronary artery calcification on FDG-PET/CT oncology studies. Int. J. Cardiovasc. Imaging 2021, 37, 1479–1488. [Google Scholar] [CrossRef]
- Jo, K.H.; Kang, W.J. Recent Progress in Myocardial Perfusion Imaging Techniques. Nucl. Med. Mol. Imaging 2024, 58, 400–405. [Google Scholar] [CrossRef] [PubMed]
- Nayfeh, M., Jr.; Al-Mallah, M.H. Reassessing the Role of Ischemia Imaging: Insights from the ISCHEMIA Trial. Nucl. Med. Mol. Imaging 2024, 58, 392–399. [Google Scholar] [CrossRef] [PubMed]
- Savo, M.T.; De Amicis, M.; Cozac, D.A.; Cordoni, G.; Corradin, S.; Cozza, E.; Amato, F.; Lassandro, E.; Da Pozzo, S.; Tansella, D.; et al. Comparative Prognostic Value of Coronary Calcium Score and Perivascular Fat Attenuation Index in Coronary Artery Disease. J. Clin. Med. 2024, 13, 5205. [Google Scholar] [CrossRef] [PubMed]



| Characteristics | n = 106 |
|---|---|
| Age, year, median [IQR] | 66 [60–75] |
| Sex | |
| Male, n (%) | 67 (63.2%) |
| Female, n (%) | 39 (36.8%) |
| Risk factor | |
| Hypertension, n (%) | 53 (50.0%) |
| Diabetes mellitus, n (%) | 34 (32.1%) |
| Smoking history, n (%) | 30 (28.3%) |
| Dyslipidemia, n (%) | 23 (21.7%) |
| Medication | |
| Statin, n (%) | 47 (44.3%) |
| ACEi/ARB, n (%) | 39 (36.8%) |
| Calcium channel blocker, n (%) | 30 (28.3%) |
| Antiplatelet agent, n (%) | 22 (20.8%) |
| β-blocker, n (%) | 11 (10.4%) |
| Purpose of PET/CT scans | |
| Cancer staging, n (%) | 87 (82.1%) |
| Cancer recurrence evaluation, n (%) | 11 (10.4%) |
| Healthcare, n (%) | 4 (3.8%) |
| Cancer response evaluation, n (%) | 3 (2.8%) |
| Infection, n (%) | 1 (0.9%) |
| Underlying malignancy | |
| Colorectal cancer, n (%) | 18 (17.0%) |
| Lung cancer, n (%) | 16 (15.1%) |
| Stomach cancer, n (%) | 12 (11.3%) |
| Head and neck cancer, n (%) | 12 (11.3%) |
| Breast cancer, n (%) | 8 (7.5%) |
| Cervical cancer, n (%) | 5 (4.7%) |
| Thyroid cancer, n (%) | 5 (4.7%) |
| Cholangiocarcinoma, n (%) | 4 (3.8%) |
| Endometrial cancer, n (%) | 3 (2.8%) |
| Pancreatic cancer, n (%) | 3 (2.8%) |
| Prostate cancer, n (%) | 2 (1.9%) |
| Other, n (%) | 6 (5.7%) |
| None, n (%) | 12 (11.3%) |
| Stage of malignancy | |
| Limited stage, n (%) | 48 (45.3%) |
| Advanced stage, n (%) | 46 (43.4%) |
| None, n (%) | 12 (11.3%) |
| Interval between PET/CT and ECG-gated CT, median [IQR] | 12 [4–28] |
| CAC score on ECG-gated chest CT, median [IQR] | 47 [0–388] |
| None (score, 0), n (%) | 29 (27.4%) |
| Mild (score, 1–100), n (%) | 30 (28.3%) |
| Moderate (score, 101–400), n (%) | 21 (19.8%) |
| Severe (score, >400), n (%) | 26 (24.5%) |
| Major adverse cardiovascular events | |
| Coronary angiogram followed by revascularization, n (%) | 9 (8.5%) |
| Stroke, n (%) | 2 (1.9%) |
| Myocardial infarction, n (%) | 1 (0.9%) |
| Acute coronary syndrome, n (%) | 1 (0.9%) |
| Complete atrioventricular block, n (%) | 1 (0.9%) |
| None, n (%) | 92 (86.8%) |
| PET/CT (n = 106) | CT 1 (n = 77) | CT 2 (n = 18) | CT 3 (n = 11) | |
|---|---|---|---|---|
| Model | Gemini TF 16 | SOMATOM Definition Flash | SOMATOM Drive | Revolution Apex |
| Manufacturer | Philips Healthcare | Siemens Healthineers | Siemens Healthineers | GE Healthcare |
| Tube voltage | 120 kVp | 120 kVp | 100 kVp * | 120 kVp |
| Tube current | 50 mAs | 60 mAs | 120 mAs | 80 mAs |
| Mode | Helical | Step and shoot | Step and shoot | Axial volume |
| Pitch | 0.625 | N/A | N/A | N/A |
| Slice thickness | 4 mm | 3 mm | 3 mm | 2.5 mm |
| Interval | 4 mm | 1.5 mm | 1.5 mm | 2.5 mm |
| Collimation | 8 × 3.0 mm | 64 × 0.6 mm | 64 × 0.6 mm | 256 × 0.625 mm |
| ECG gating | No | Yes | Yes | Yes |
| Breathing | free | hold | hold | hold |
| Radiologists (n = 3) | Nuclear Medicine Physicians (n = 3) | All Physicians (n = 6) | |
|---|---|---|---|
| Standard visual scale | 0.823 [0.773–0.873] | 0.681 [0.606–0.756] | 0.761 [0.710–0.811] |
| Ordinal scale | 0.816 [0.761–0.870] | 0.781 [0.720–0.843] | 0.779 [0.728–0.829] |
| Scale on PET/CT | Agatston Score Categories on ECG-Gated Chest CT | k [95% CI] | |||
|---|---|---|---|---|---|
| None (0) | Mild (1–100) | Moderate (101–400) | Severe (>400) | ||
| Agatston score categories on PET/CT | 0.464 [0.348–0.580] | ||||
| None (0) | 29 (27.4%) | 22 (20.8%) | 6 (5.7%) | 0 (0.0%) | |
| Mild (1–100) | 0 (0.0%) | 8 (7.5%) | 13 (12.3%) | 7 (6.6%) | |
| Moderate (101–400) | 0 (0.0%) | 0 (0.0%) | 2 (1.9%) | 11 (10.4%) | |
| Severe (>400) | 0 (0.0%) | 0 (0.0%) | 0 (0.0%) | 8 (7.5%) | |
| Standard visual scale on PET/CT | 0.849 [0.709–0.989] | ||||
| None | 29 (27.4%) | 12 (11.3%) | 1 (0.9%) | 0 (0.0%) | |
| Mild | 0 (0.0%) | 17 (16.0%) | 4 (3.8%) | 0 (0.0%) | |
| Moderate | 0 (0.0%) | 1 (0.9%) | 15 (14.2%) | 1 (0.9%) | |
| Severe | 0 (0.0%) | 0 (0.0%) | 1 (0.9%) | 25 (23.6%) | |
| Ordinal scale on PET/CT | 0.750 [0.616–0.885] | ||||
| None | 28 (26.4%) | 8 (7.5%) | 1 (0.9%) | 0 (0.0%) | |
| Mild | 1 (0.9%) | 22 (20.8%) | 12 (11.3%) | 1 (0.9%) | |
| Moderate | 0 (0.0%) | 0 (0.0%) | 7 (6.6%) | 7 (6.6%) | |
| Severe | 0 (0.0%) | 0 (0.0%) | 1 (0.9%) | 18 (17.0%) | |
Disclaimer/Publisher’s Note: The statements, opinions and data contained in all publications are solely those of the individual author(s) and contributor(s) and not of MDPI and/or the editor(s). MDPI and/or the editor(s) disclaim responsibility for any injury to people or property resulting from any ideas, methods, instructions or products referred to in the content. |
© 2025 by the authors. Licensee MDPI, Basel, Switzerland. This article is an open access article distributed under the terms and conditions of the Creative Commons Attribution (CC BY) license (https://creativecommons.org/licenses/by/4.0/).
Share and Cite
Pak, S.; Son, H.J.; Kim, D.; Moon, J.W.; Kim, Y.N.; Woo, J.Y.; Kang, M.-K.; Won, D.-O.; Lee, S.H. Standard Visual and Ordinal Coronary Calcium Scoring on PET/CT: Agreement with Agatston Scoring and Prognostic Implications. Diagnostics 2025, 15, 2969. https://doi.org/10.3390/diagnostics15232969
Pak S, Son HJ, Kim D, Moon JW, Kim YN, Woo JY, Kang M-K, Won D-O, Lee SH. Standard Visual and Ordinal Coronary Calcium Scoring on PET/CT: Agreement with Agatston Scoring and Prognostic Implications. Diagnostics. 2025; 15(23):2969. https://doi.org/10.3390/diagnostics15232969
Chicago/Turabian StylePak, Sehyun, Hye Joo Son, Dongwoo Kim, Jung Won Moon, Yoo Na Kim, Ji Young Woo, Min-Kyung Kang, Dong-Ok Won, and Suk Hyun Lee. 2025. "Standard Visual and Ordinal Coronary Calcium Scoring on PET/CT: Agreement with Agatston Scoring and Prognostic Implications" Diagnostics 15, no. 23: 2969. https://doi.org/10.3390/diagnostics15232969
APA StylePak, S., Son, H. J., Kim, D., Moon, J. W., Kim, Y. N., Woo, J. Y., Kang, M.-K., Won, D.-O., & Lee, S. H. (2025). Standard Visual and Ordinal Coronary Calcium Scoring on PET/CT: Agreement with Agatston Scoring and Prognostic Implications. Diagnostics, 15(23), 2969. https://doi.org/10.3390/diagnostics15232969

