Extracranial Extension of a Convexity Meningioma into the Temporal Fossa: A Rare Case Report and Literature Review
Abstract
1. Introduction
2. Literature Review
2.1. Definition
2.2. Epidemiology
2.3. Symptoms
2.4. Differentiation
2.5. Diagnostic Criteria
2.6. Treatment
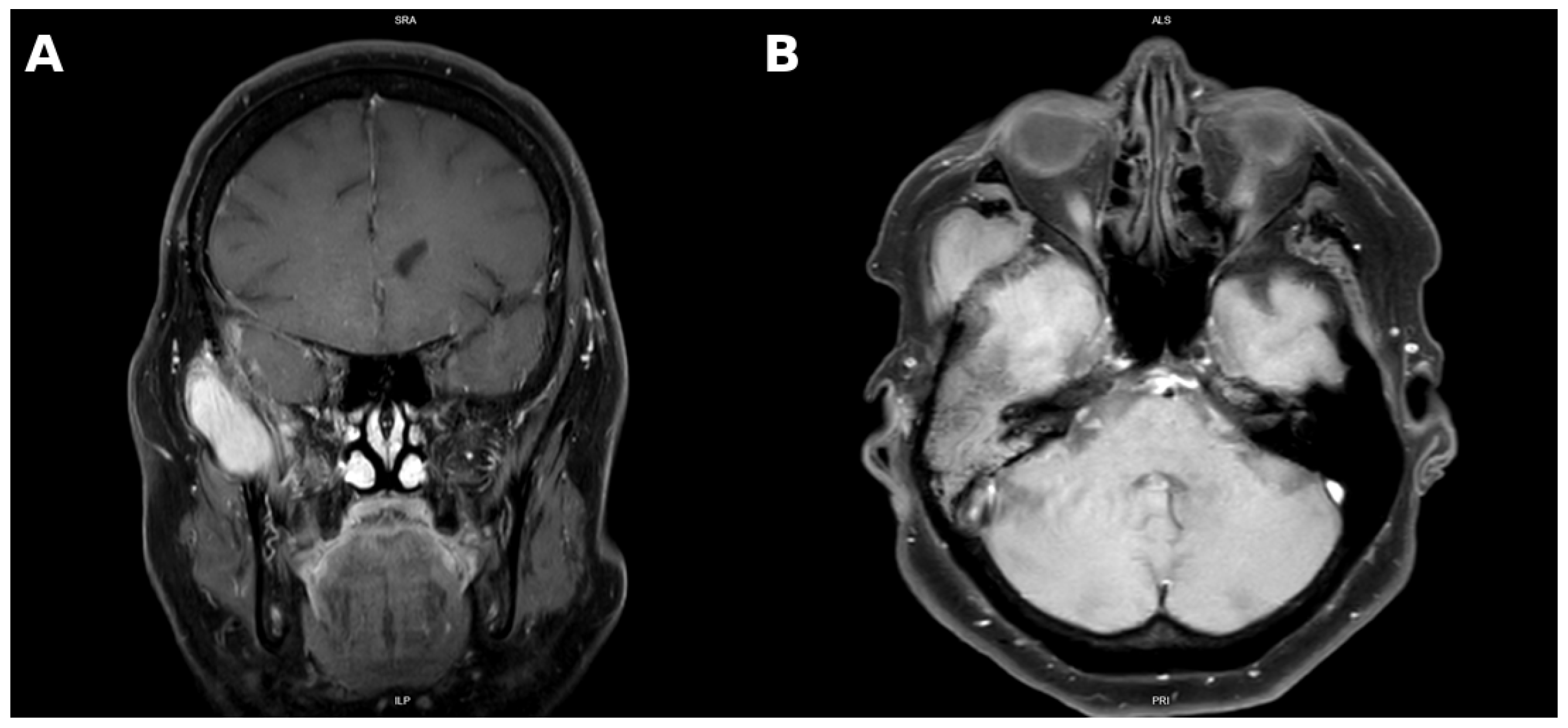
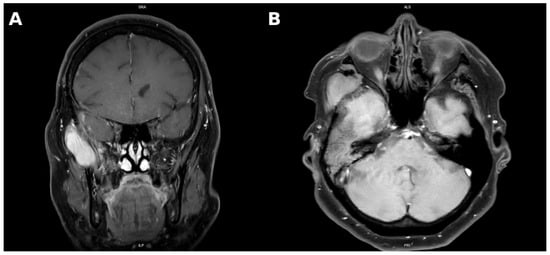
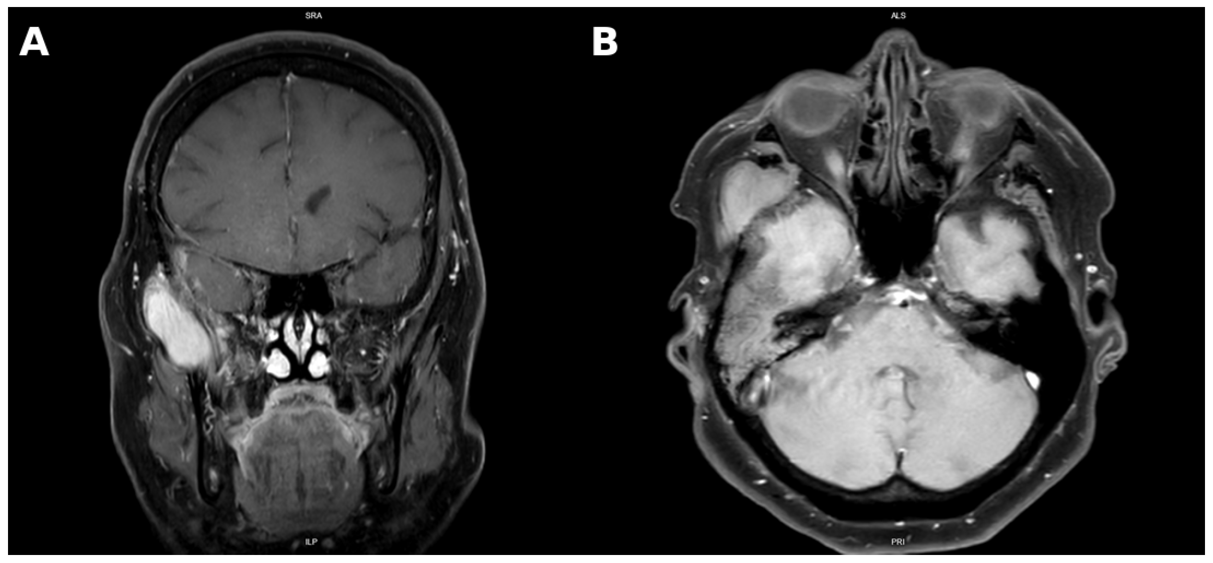
3. Case Presentation
4. Discussion
5. Conclusions
Author Contributions
Funding
Institutional Review Board Statement
Informed Consent Statement
Data Availability Statement
Acknowledgments
Conflicts of Interest
Abbreviations
| CNS | Central Nervous System |
| WHO | World Health Organization |
| CSF | Cerebrospinal Fluid |
| TMJ | Temporomandibular joint |
| MRI | Magnetic Resonance Imaging |
| CT | Computed Tomography |
| EMA | Epithelial Membrane Antigen |
| PR | Progesterone Receptor |
| SRS | Stereotactic Radiosurgery |
| RT | Radiotherapy |
| EOR | Extent of Resection |
| GTR | Gross Total Resection |
| STR | Subtotal Resection |
| MIB-1 | Mindbomb Homolog-1 (Ki-67 proliferation index) |
| V3 | Mandibular Division of the Trigeminal Nerve (Cranial Nerve V) |
| NSAIDs | Nonsteroidal Anti-Inflammatory Drugs |
| H&E | Hematoxylin and Eosin (staining) |
| Gy | Gray (unit of radiation dose) |
References
- Romano, A.; Maffia, F.; Iaquino, V.; Tarallo, G.; Abbate, V.; De Fazio, G.R.; Committeri, U.; Bonavolontà, P.; Califano, L.; Orabona, G.D. Extracranial Nasosinusal Meningioma: A Case Report of a Rare Entity. Indian J. Otolaryngol. Head Neck Surg. 2023, 75, 836–839. [Google Scholar] [CrossRef] [PubMed]
- Maggio, I.; Franceschi, E.; Tosoni, A.; Di Nunno, V.; Gatto, L.; Lodi, R.; Brandes, A.A. Meningioma: Not always a benign tumor. A review of advances in the treatment of meningiomas. CNS Oncol. 2021, 10, CNS72. [Google Scholar] [CrossRef]
- Mendoza, Y.M.; Buck, R.M.; Boldt, B.M. Extracranial meningioma as an incidental infratemporal fossa mass in a patient presenting with a history of traumatic brain injury. BMJ Case Rep. 2020, 13, e236298. [Google Scholar] [CrossRef]
- Jang, S.Y.; Kim, C.H.; Cheong, J.H.; Kim, J.M. Extracranial extension of intracranial atypical meningioma en plaque with osteoblastic change of the skull. J. Korean Neurosurg. Soc. 2014, 55, 205–207. [Google Scholar] [CrossRef]
- Tahir, M.; Shamim, M.; Chishti, K. Recurrent atypical meningioma seeding to surgical scar. Neurol. India 2009, 57, 222. [Google Scholar] [CrossRef]
- Han, S.; Lee, W.H. Primary Extracranial Meningioma Mimicking Musculoskeletal Malignancy: A Case Report. Nerve 2022, 8, 98–102. [Google Scholar] [CrossRef]
- Han, J.J.; Lee, D.Y.; Kong, S.; Chang, K.; Yoon, Y.J.; Kim, H.; Lee, H.; Park, M.; Koo, J.; Kim, Y.H. Clinicoradiologic Characteristics of Temporal Bone Meningioma: Multicenter Retrospective Analysis. Laryngoscope 2021, 131, 173–178. [Google Scholar] [CrossRef]
- Singh, J.; Patel, U.; Backous, D. Primary external auditory canal meningioma: Case report and review of the literature. Am. J. Otolaryngol. 2022, 43, 103215. [Google Scholar] [CrossRef]
- Toader, C.; Covache-Busuioc, R.-A.; Bratu, B.-G.; Dumitrascu, D.-I.; Serban, M.; Ciurea, A.V. Extracranial Meningioma En Plaque With Skull Invasion. Cureus 2023, 15, e50490. [Google Scholar] [CrossRef]
- Burato, A.; Maruccio, G.; Presutti, L.; Fernandez, I.J.; Molteni, G.; Molinari, G. En plaque meningioma of the temporal bone: A systematic review on the imaging and management of a rare tumor. Cancer Treat. Res. Commun. 2024, 42, 100854. [Google Scholar] [CrossRef] [PubMed]
- Ricciardiello, F.; Fattore, L.; Liguori, M.E.; Oliva, F.; Luce, A.; Abate, T.; Caraglia, M.; Pianese, A.; Raucci, A.F. Temporal bone meningioma involving the middle ear: A case report. Oncol. Lett. 2015, 10, 2249–2252. [Google Scholar] [CrossRef] [PubMed]
- Mao, J.; Wei, K.; Yang, S.; Hu, L.; Wang, C. Parapharyngeal meningioma extending through foramen ovale: A case report. Front. Oncol. 2023, 13, 1236066. [Google Scholar] [CrossRef]
- Abouammo, M.D.; Alsavaf, M.B.; Biswas, C.; Narayanan, M.S.; Mansur, G.; Gehrke, R.D.; Abdelaziz, M.F.; Saafan, M.E.; Elsherif, H.S.; Wu, K.C.; et al. Meningioma En Plaque Associated with Cerebrospinal Fluid Rhinorrhea: A Systematic Review of the Literature with Case Presentation. World Neurosurg. 2025, 194, 123371. [Google Scholar] [CrossRef]
- Park, C.W.; Jin, B.J.; Jeong, S.W.; Min, H.J.; Shin, J.H.; Lee, S.H. CSF Otorrhea Resulting from Osteoradionecrosis of the Temporal Bone in a Patient with Recurrent Meningioma. Clin. Exp. Otorhinolaryngol. 2009, 2, 97–99. [Google Scholar] [CrossRef]
- Sönmez, S.; Orhan, K.S.; Dai, C. Temporal Bone Tumors. In Neurotology Updates; Kalcioglu, M.T., Bayar Muluk, N., Jenkins, H.A., Eds.; Springer Nature: Cham, Switzerland, 2024; pp. 817–839. [Google Scholar] [CrossRef]
- Kaur, A.; Ali, R.; Omar, E.; Hashim, H. An Infratemporal Meningioma: A Diagnostic Dilemma. J. Radiol. Case Rep. 2021, 15, 1–10. [Google Scholar] [CrossRef]
- Castro, M.R.H.; Magill, S.T.; Morshed, R.A.; Young, J.S.; Braunstein, S.E.; McDermott, M.W.; Chang, E.F. Facial pain and sensory outcomes following resection of tumors compressing the trigeminal nerve. J. Neurosurg. 2022, 136, 1119–1127. [Google Scholar] [CrossRef]
- Fujimoto, Y.; Kato, A.; Taniguchi, M.; Maruno, M.; Yoshimine, T. Meningioma Arising from the Trigeminal Nerve: A Case Report and Literature Review. J. Neurooncol. 2004, 68, 185–187. [Google Scholar] [CrossRef]
- Koumoura, F.; Contoes, N. Meningioma manifested as temporomandibular joint disorder: A case report. Int. Dent. J. 2000, 50, 109–111. [Google Scholar] [CrossRef] [PubMed]
- Wierzbowska, J.; Zegadło, A.; Patyk, M.; Rękas, M. Spheno-Orbital Meningioma and Vision Impairment—Case Report and Review of the Literature. J. Clin. Med. 2022, 12, 74. [Google Scholar] [CrossRef] [PubMed]
- Saito, M.; Nishimura, S.; Okuyama, S.; Kubota, K.; Matsuyama, J.; Takemura, A.; Matsushima, T.; Sakuma, H.; Watanabe, K. Extensive extracranial growth of spheno-orbital meningioma: Illustrative case. J. Neurosurg. Case Lessons 2023, 5. [Google Scholar] [CrossRef]
- Guzowski, J.; Paparella, M.M.; Rao, K.N.; Hoshino, T. Meningiomas of the temporal bone. Laryngoscope 1976, 86, 1141–1146. [Google Scholar] [CrossRef]
- Nowosielski, M.; Galldiks, N.; Iglseder, S.; Kickingereder, P.; von Deimling, A.; Bendszus, M.; Wick, W.; Sahm, F. Diagnostic challenges in meningioma. Neuro-Oncol. 2017, 19, 1588–1598. [Google Scholar] [CrossRef]
- Rodríguez-García, A.M.; Esteban-Rodríguez, I.; Jiménez-Heffernan, J.A.; Bárcena, C.; López-Muñoz, S.; López-Ferrer, P. Cytologic features of meningioma: An analysis of common and uncommon subtypes and diagnostic difficulties during intraoperative procedures. Cytopathology 2024, 35, 581–589. [Google Scholar] [CrossRef]
- Backer-Grøndahl, T.; Moen, B.H.; Torp, S.H. The histopathological spectrum of human meningiomas. Int. J. Clin. Exp. Pathol. 2012, 5, 231–242. [Google Scholar]
- Kubota, T.; Hirano, A.; Sato, K.; Yamamoto, S. Fine structure of psammoma bodies at the outer aspect of blood vessels in meningioma. Acta Neuropathol. 1985, 66, 163–166. [Google Scholar] [CrossRef]
- Goldbrunner, R.; Stavrinou, P.; Jenkinson, M.D.; Sahm, F.; Mawrin, C.; Weber, D.C.; Preusser, M.; Minniti, G.; Lund-Johansen, M.; Lefranc, F.; et al. EANO guideline on the diagnosis and management of meningiomas. Neuro-Oncol. 2021, 23, 1821–1834. [Google Scholar] [CrossRef]
- Watts, J.; Box, G.; Galvin, A.; Brotchie, P.; Trost, N.; Sutherland, T. Magnetic resonance imaging of meningiomas: A pictorial review. Insights Imaging 2014, 5, 113–122. [Google Scholar] [CrossRef] [PubMed]
- Krishnan, V.; Mittal, M.K.; Sinha, M.; Thukral, B.B. Imaging spectrum of meningiomas: A review of uncommon imaging appearances and their histopathological and prognostic significance. Pol. J. Radiol. 2019, 84, e630–e653. [Google Scholar] [CrossRef] [PubMed]
- Telugu, R.B.; Chowhan, A.K.; Rukmangadha, N.; Patnayak, R.; Phaneendra, B.V.; Prasad, B.C.M.; Reddy, M.K. Histopathological and Immunohistochemical Evaluation of Meningiomas with Reference to Proliferative Markers p53 and Ki-67. J. Clin. Diagn. Res. 2016, 10, EC15–EC19. [Google Scholar] [CrossRef] [PubMed]
- Ghanghoria, A. Diagnostic and Prognostic evaluation of meningioma by IHC markers—A study of 100 cases. J. Med. Sci. Clin. Res. 2019, 7, 382–390. [Google Scholar] [CrossRef]
- Nassiri, F.; Liu, J.; Patil, V.; Mamatjan, Y.; Wang, J.Z.; Hugh-White, R.; Macklin, A.M.; Khan, S.; Singh, O.; Karimi, S.; et al. A clinically applicable integrative molecular classification of meningiomas. Nature 2021, 597, 119–125. [Google Scholar] [CrossRef]
- Ganz, J.C. Meningiomas. In Progress in Brain Research; Elsevier: Amsterdam, The Netherlands, 2022; pp. 163–190. [Google Scholar] [CrossRef]
- Zhao, L.; Zhao, W.; Hou, Y.; Wen, C.; Wang, J.; Wu, P.; Guo, Z. An Overview of Managements in Meningiomas. Front. Oncol. 2020, 10, 1523. [Google Scholar] [CrossRef]
- Kim, C.M.; Jeon, Y.R.; Kim, Y.J.; Chung, S. Primary extracranial meningioma presenting as a forehead mass. Arch. Craniofac. Surg. 2018, 19, 55–59. [Google Scholar] [CrossRef]
- Dincer, A.; Morales-Valero, S.F.; Robert, S.M.; Tabor, J.K.; O’Brien, J.; Yalcin, K.; Fulbright, R.K.; Erson-Omay, Z.; Dunn, I.F.; Moliterno, J. Surgical strategies for intracranial meningioma in the molecular era. J. Neurooncol. 2023, 162, 253–265. [Google Scholar] [CrossRef]
- Yarabarla, V.; Mylarapu, A.; Han, T.J.; McGovern, S.L.; Raza, S.M.; Beckham, T.H. Intracranial meningiomas: An update of the 2021 World Health Organization classifications and review of management with a focus on radiation therapy. Front. Oncol. 2023, 13, 1137849. [Google Scholar] [CrossRef]
- Ogasawara, C.; Philbrick, B.D.; Adamson, D.C. Meningioma: A Review of Epidemiology, Pathology, Diagnosis, Treatment, and Future Directions. Biomedicines 2021, 9, 319. [Google Scholar] [CrossRef]
- Ng, H.K.; Tse, C.C.; Lo, S.T. Meningiomas and arachnoid cells: An immunohistochemical study of epithelial markers. Pathology 1987, 19, 253–257. [Google Scholar] [CrossRef]
- Liu, J.K.; Gottfried, O.N.; Couldwell, W.T. Surgical management of posterior petrous meningiomas. Neurosurg. Focus. 2003, 14, 1–7. [Google Scholar] [CrossRef]


| Lesion | Typical Imaging Features | Key Differentiator |
|---|---|---|
| Meningioma | Iso- to hypointense on T1; strong homogeneous enhancement; dural tail; hyperostosis | Extra-axial origin, uniform enhancement |
| Osteoma | Dense, well-circumscribed bony mass on CT; no soft-tissue component | Purely osseous lesion |
| Schwannoma | Heterogeneous enhancement; cystic areas; nerve canal widening | No dural attachment |
| Metastasis | Irregular margins; bone destruction; heterogeneous signal | Discontinuous with dura |
| Glomus tumor | Intense “salt-and-pepper” enhancement | Flow voids, vascular nature |
Disclaimer/Publisher’s Note: The statements, opinions and data contained in all publications are solely those of the individual author(s) and contributor(s) and not of MDPI and/or the editor(s). MDPI and/or the editor(s) disclaim responsibility for any injury to people or property resulting from any ideas, methods, instructions or products referred to in the content. |
© 2025 by the authors. Licensee MDPI, Basel, Switzerland. This article is an open access article distributed under the terms and conditions of the Creative Commons Attribution (CC BY) license (https://creativecommons.org/licenses/by/4.0/).
Share and Cite
Stonkutė, I.; Afanasjevas, D.; Janovskienė, A.; Žukauskas, M.; Pranys, D.; Gervickas, A. Extracranial Extension of a Convexity Meningioma into the Temporal Fossa: A Rare Case Report and Literature Review. Diagnostics 2025, 15, 2810. https://doi.org/10.3390/diagnostics15212810
Stonkutė I, Afanasjevas D, Janovskienė A, Žukauskas M, Pranys D, Gervickas A. Extracranial Extension of a Convexity Meningioma into the Temporal Fossa: A Rare Case Report and Literature Review. Diagnostics. 2025; 15(21):2810. https://doi.org/10.3390/diagnostics15212810
Chicago/Turabian StyleStonkutė, Inesa, Dominykas Afanasjevas, Audra Janovskienė, Mindaugas Žukauskas, Darius Pranys, and Albinas Gervickas. 2025. "Extracranial Extension of a Convexity Meningioma into the Temporal Fossa: A Rare Case Report and Literature Review" Diagnostics 15, no. 21: 2810. https://doi.org/10.3390/diagnostics15212810
APA StyleStonkutė, I., Afanasjevas, D., Janovskienė, A., Žukauskas, M., Pranys, D., & Gervickas, A. (2025). Extracranial Extension of a Convexity Meningioma into the Temporal Fossa: A Rare Case Report and Literature Review. Diagnostics, 15(21), 2810. https://doi.org/10.3390/diagnostics15212810

