Next Article in Journal
Perceived Barriers to NGS-Based Molecular Profiling Among US Metastatic Breast Cancer Patients
Previous Article in Journal
Optical Imaging Technologies and Clinical Applications in Gastrointestinal Endoscopy
 
 
Font Type:
Arial Georgia Verdana
Font Size:
Aa Aa Aa
Line Spacing:
Column Width:
Background:
Article

Identifying Pathogenic Variants in Vietnamese Children with Functional Single Ventricle Based on Whole-Exome Sequencing

1
Department of Pediatrics, Hanoi Medical University, Hanoi 100000, Vietnam
2
Hanoi Heart Hospital, Hanoi 100000, Vietnam
3
Institute of Biology, Vietnam Academy of Science and Technology, Hanoi 100000, Vietnam
4
Faculty of Biology, Graduate University of Science and Technology, Vietnam Academy of Science and Technology, Hanoi 100000, Vietnam
5
National Research Center for Medicinal Plant Germplasm and Breeding, National Institute of Medicinal Materials, Hanoi 100000, Vietnam
*
Author to whom correspondence should be addressed.
These authors contributed equally to this work.
Diagnostics 2025, 15(20), 2627; https://doi.org/10.3390/diagnostics15202627
Submission received: 11 September 2025 / Revised: 7 October 2025 / Accepted: 9 October 2025 / Published: 17 October 2025
(This article belongs to the Section Pathology and Molecular Diagnostics)

Abstract

Background: Functional single ventricle (FSV) comprises a heterogeneous group of congenital heart diseases (CHDs) with severe and complex abnormalities. The multifactorial etiology of the disease poses challenges in identifying specific pathogenic factors and planning effective interventions and preventive treatments for patients. Methods: Whole-exome sequencing (WES) was performed to identify variants in relevant genes in 29 FSV patients from different families. Results: In total, 95 heterozygous variants across 48 CHD-associated genes were identified, including 85 missense, four small indel, one splicing, one stop gain, and four synonymous variants. Among them, 22 were novels, 11 conflicting, and four pathogenic variants. Each patient carried from two to six variants in different genes, including at least one variant in genes associated with serious heart defects such as AXIN1, BMP2, COL6A2, GATA4, GATA5, GDF1, MESP1, MYH6, NFATC1, NKX2-6, NOTCH1, PCSK9, TBX1, TBX18, and TBX20. In addition, the variants in the COL6A1, CREBBP, DOCK6, EOGT, EP300, LRP2, MYBPC3, MYH7, SEMA3C, and ZFPM2 genes are associated with characteristic phenotypes of FSV, such as atrial septal defect, ventricular septal defect, small left heart syndrome, transposition of the great arteries, and double outlet right ventricle occurring at high frequency in patients. The prediction results suggest that these are potentially pathogenic variants in patients and may explain the phenotype in patients. Conclusions: This is the first study to identify variants associated with functional single ventricle, a complex form of congenital heart disease. Our results contribute to a general understanding of the causes of the disease, thereby guiding treatment and prevention approaches for patients.

1. Introduction

The functional single ventricle (FSV) is commonly used to describe any congenital heart defect (CHD) with one functioning ventricle and is the most complex form of CHD. It is uniformly fatal without intervention [1]. FSV is a rare CHD accounting for 1–2% of all CHDs with an incidence of approximately 31 per 100,000 live births [2,3], and 1.6 per 10,000 children living with FSV after infancy [3]. FSV is characterized by abnormal development of the two ventricles: A ventricle is often underdeveloped due to abnormal formation of the ventricles or valves during the embryonic stage [4,5]. FSV is thought to be influenced by both genetic and environmental factors. However, a large proportion of FSV occurs in families with no history of CHD; therefore, it may be due to de novo genetic events, including chromosomal abnormalities, copy number variants, and missense variants [6]. These FSV patients require surgery to repair the defect and ensure basic cardiac function. However, the effectiveness of palliative surgical procedures varies significantly among patients due to differences in the genotype of these patients. Identifying the effects of variants can be useful in management, determining prognosis, and predicting complications; therefore, there is an increasing amount of research aimed at understanding how variations in variants relate to treatment and clinical outcomes in patients [7]. In most patients, the genetic cause of FSV is heterogeneous and polygenic, but like other forms of CHD, it remains poorly understood [6,8,9]. The heterozygous variants have been reported in the NKX2.5, GJA1, HAND1, TBX5, NOTCH1, and MYH6 genes in FSV patients [10,11,12]. Studies have shown that the genetic basis of FSV is associated with the overrepresentation of rare variants and de novo copy number variations [13,14,15,16,17]. The FSV phenotype is thought to result from the additive interaction of multiple genes, between genotype and environmental factors, or epigenetic factors. Therefore, evaluating genotype-phenotype correlations to explain the contribution of specific genetic factors to FSV pathogenesis is more difficult [6].
Previous studies have shown overlapping and regulated expression of several genes involved in FSV pathogenesis [18]. Genes encoding important cardiovascular transcription factors such as NKX2-5, GATA4, TBX20, HAND2, and MYOCD have been identified to be involved in the pathogenesis of CHD [19,20,21,22,23]. Variants in one of the genes of the RAS MAP kinase pathway, including SOS1, RAF1, RIT1, KRAS, SHOC2, NRAS, SOS2, BRAF, A2ML1, LZTR1, MYST4, RASA2, RRAS, SPRY1, and SYNGAP1, may explain an additional 30% of CHD cases [24]. Studies have demonstrated that novel rare variants can affect normal heart development, and common variants can influence important differences in treatment response and clinical outcomes, including survival, remodeling performance, and ventricular function in patients after surgery [25]. Variants associated with increased renin–angiotensin–aldosterone system activity were identified as associated with remodeling and impaired diastolic function after third-stage repair for FSV [26,27]. Lower complication-free survival rates have been reported to be associated with gene variants in adrenergic signaling pathways that increase catecholamine release or sensitivity in FSV patients [28]. Recently, whole-exome sequencing (WES) has greatly assisted in better understanding the genetic basis and improving clinical outcomes.
In this study, we conducted WES to investigate the cause and the correlation between genotype and phenotype in FSV patients to provide some references or suggestions for future genetic diagnosis.

2. Materials and Methods

2.1. Ethics Statement

The research received ethical approval from the Ethics Committee of the Institute of Genome Research (Approval No. 01-2022/NCHG-HDDD). Written informed consent was obtained from either the participants or their parents/guardians if the participants were minors (<18 years of age). Peripheral blood samples were obtained from the participants after the informed consent forms were signed.

2.2. Patients’ Information

Twenty-nine pediatric patients with single ventricle heart disease were recruited from Hanoi Heart Hospital, Vietnam, and used for the study. The patients with a single functional ventricle and/or with a biventricular phenotype but who are not amenable to surgical repair will be selected for the study. Patients with extracardiac malformations and/or known genetic syndromes will be excluded. The patients were aged 1 to 15 years (mean age 4.35 years), including 21 males and eight females. Based on characteristic clinical phenotype [29], the patients were divided into four groups: (1) Patients with tricuspid atresia (TA), atrial septal defects (ASD), ventricular septal defect (VSD), hypoplastic right ventricular, pulmonary valve stenosis (PVS), pulmonary stenosis (PS); transposition of the great arteries (TGA), patent ductus arteriosus (PDA), right ventricular outflow tract obstruction (RVOTO), and double outlet right ventricle (DORV); (2) Patients with mitral atresia, hypoplastic left ventricular, DORV, ASD, VSD, TGA, PDA, and atrioventricular discordance; (3) Patients with DORV, complete atrioventricular septal defect (CAVSD), PVS, mono-atrial heart, and mono-ventricular; and (4) Patients with hypoplastic left heart syndrome (HLHS), aortic valve stenosis (AS), aortic arch hypoplasia (AAH), bicuspid aortic valve (BAV), ASD, VSD, and PDA (Table 1). Patients underwent peripheral blood sampling for WES to identify the disease-associated variants.

2.3. Genetic Analysis

Genomic DNA was extracted using the Qiagen DNA blood mini kit (QIAGEN, Hilden, Germany) according to the manufacturer’s instructions. The DNA samples were measured in concentration on a Nanodrop machine (Thermo Scientific NanoDrop™ 2000, Waltham, MA, USA) and used to construct libraries with the SureSelectXT Reagent Kit (Agilent, Santa Clara, CA, USA). WES was performed using the SureSelect Human All Exon v7 kit (Agilent, CA, USA) on an Illumina sequencer (Illumina, San Diego, CA, USA). The Burrows-Wheeler Aligner (BWA version 0.7.17) was used to align the sequence data to the reference genome (hg19 version 02/2009). Picard (version 2.18.2) and GATK (version 4.0.5.1) tools were used for variant calling and filtering. Variants were annotated using the SnpEff (version 4.3) tool. A list of genes associated with CHD (including 654 genes, Supplementary Table S1) was used to filter pathogenic variants and rare variants with low frequency (MAF < 0.01) (in the SNP database versions 138 and 151). The novel variants were screened from ClinVar (https://www.ncbi.nlm.nih.gov/clinvar/, accessed on 1 September 2025), dbSNP (http://ncbi.nlm.nih.gov/snp/, accessed on 1 September 2025), 1000 Genome Project (http://browser.1000genomes.org, accessed on 1 September 2025), Exome Sequencing Project (https://evs.gs.washington.edu/EVS/, accessed on 1 September 2025), ExAC databases (https://exac.broadinstitute.org, accessed on 1 September 2025), and the in-house database (n = 300). The influence of variants was evaluated with the criteria of the American College of Medical Genetics and Genomics (ACMG) and the in silico prediction tools: CADD (https://cadd.bihealth.org/snv, accessed on 1 September 2025), Fathmm (http://fathmm.biocompute.org.uk/inherited.html, accessed on 1 September 2025), M-CAP (http://bejerano.stanford.edu/mcap/, accessed on 1 September 2025), Mutation Assessor (http://mutationassessor.org/r3/, accessed on 1 September 2025), Mutation Taster (https://www.mutationtaster.org/, accessed on 1 September 2025), PolyPhen2 (http://genetics.bwh.harvard.edu/pph2/, accessed on 1 September 2025), PROVEAN (http://provean.jcvi.org/genome_submit_2.php, accessed on 1 September 2025), SIFT (https://sift.bii.a-star.edu.sg/www/SIFT_seq_submit2.html, accessed on 1 September 2025), and SNP&GO (https://snps-and-go.biocomp.unibo.it/snps-and-go/, accessed on 1 September 2025).

3. Results

3.1. Phenotype of the Patients in the Study

In this study, we collected and studied WES sequences on 29 pediatric patients with FSV, aged 1 to 15 years (mean age 4.35 years), including 21 males and eight females. Based on phenotypic characteristics, patients were divided into four groups (Table 1).
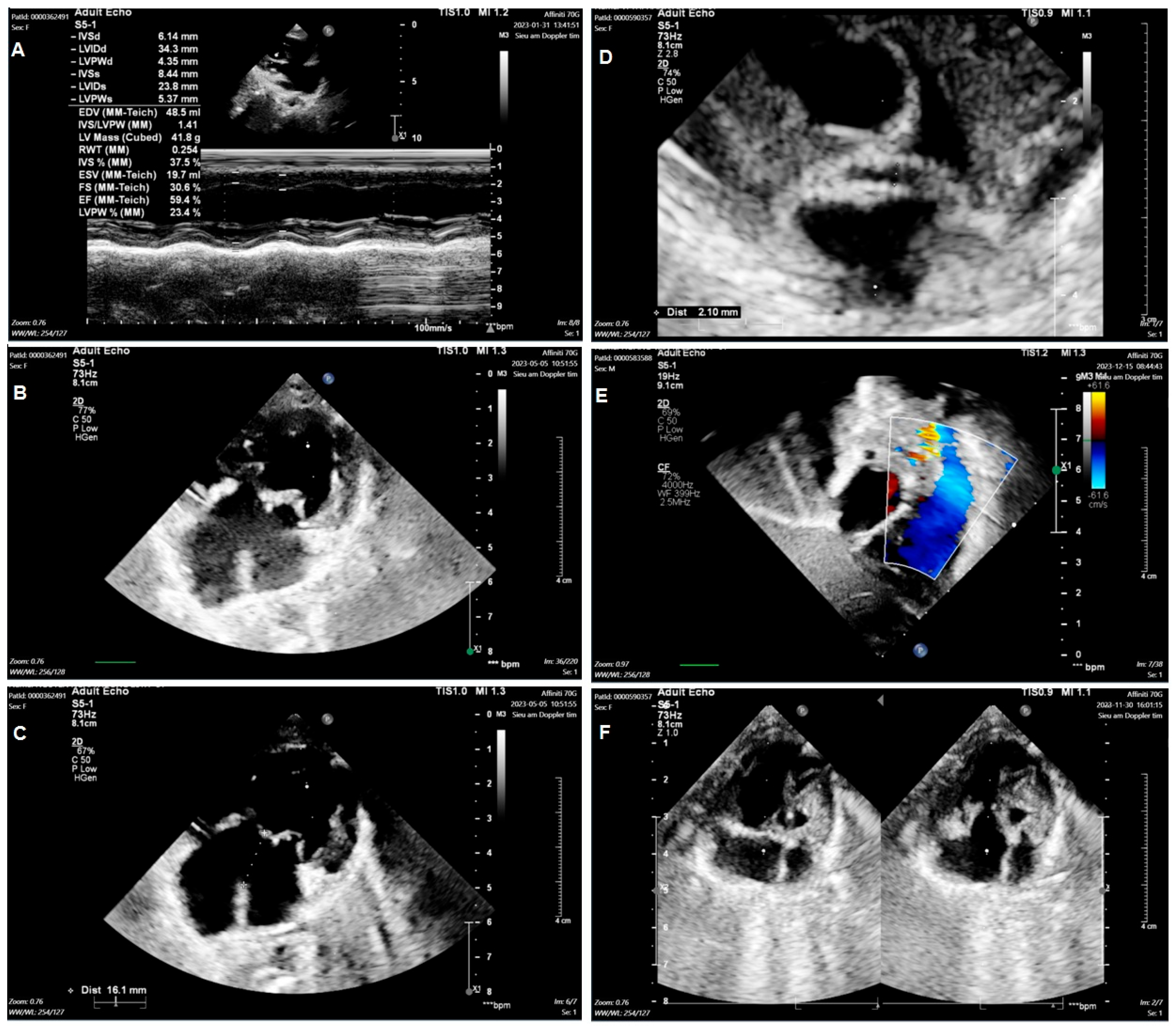
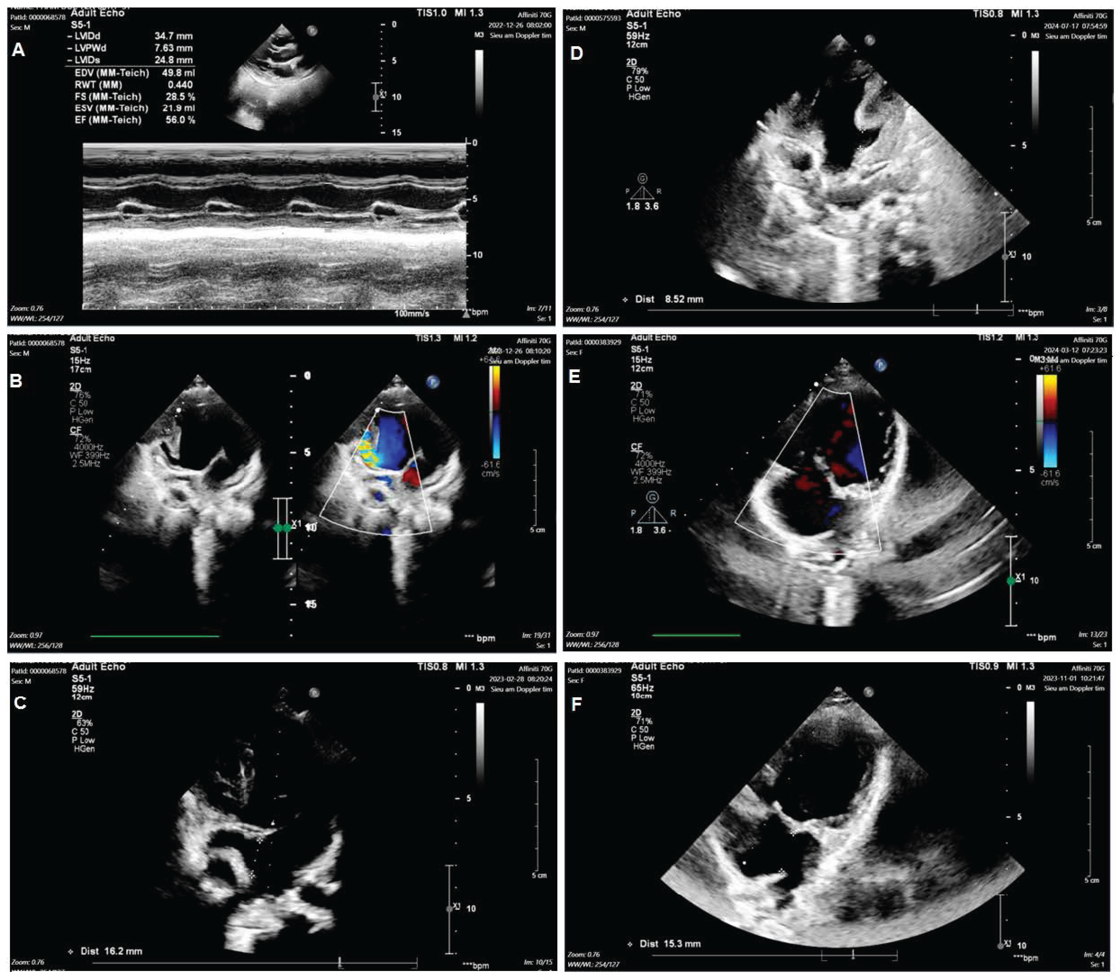
Group 1: Include nine TA patients with clinical features such as ASD, VSD, and PVS/PS (Figure 1A–C). The patients may have hypoplastic right ventricular, right ventricular outflow tract obstruction (RVOTO), DORV, TGA, and PDA. Group 2: Include three mitral valve atresia patients with clinical features such as hypoplastic left ventricular and DORV. The patients may have atrioventricular discordance, PDA, ASD, VSD, and TGA (Figure 1D–F). Group 3: Include twelve DORV patients with clinical features such as CAVSD and PVS/PS (Figure 2A–C). The patients may have a single atrium heart, a single ventricle heart, AAH, AS, ASD, VSD, TGA, and a total anomalous pulmonary venous connection (TAPVC). Group 4: Include five HLHS patients with clinical features such as AAH, AS, BAV, ASD, VSD, and PDA (Figure 2D–F).

3.2. Genotype of the Patients in the Study

Genetic analysis revealed that 95 potential pathogenic variants (Table 2) in 48 genes associated with CHD (Supplementary Table S2) were identified in the studied patients. Among them, 85 were missense variants, four were small InDel variants, one was a splice variant, one was a stop gain variant, and four were synonymous variants. Twenty-two novel variants, 11 conflicting variants, and three pathogenic variants (c.2107A>C, p.Met703Leu in the ZFPM2 gene; c.1322C>T, p.Thr441Met in the MYH7 gene; and c.928G>A, p.Gly310Ser in the TBX1 gene; according to ClinVar) were identified in these patients. According to the ACMG evaluation criteria, three variants were pathogenic (c.2107A>C, p.Met703Leu in the ZFPM2 gene; c.1322C>T, p.Thr441Met in the MYH7 gene; and c.156_157insCCGAGCCCCGT in the MESP1 gene), two variants were likely pathogenic (c.598C>T, p.Pro200Ser in the CBS gene and c.10840G>T, p.Glu3614* in the TTN gene), while the remaining variants were evaluated as VUS (Supplementary Table S3). The prediction results showed that all variants were assessed as likely pathogenic and could be causal or explain the phenotype in the patients (Supplementary Table S4). Each patient carried from two to six variants in different genes, one of which was associated with a specific phenotype in each group, such as AXIN1, BMP2, COL6A2, GATA4, GATA5, GDF1, MESP1, MYH6, NFATC1, NKX2-6, NOTCH1, PCSK9, TBX1, TBX18, and TBX20. Patients in Group 1, the tricuspid atresia group, carried variants in the BMP2, MYH6, NFATC1, NOTCH1, and ZFPM2 genes, which have been reported to be associated with tricuspid atresia. Patients in Group 2, the mitral atresia group, carried variants in genes related to mitral atresia, including EP300, NOTCH1, and TTN. Patients in Group 3, the DORV group, carried variants in genes related to DORV, including GATA4, GATA5, GDF1, NKX2-6, NOTCH1, SEMA3C, TBX1, TBX20, and ZFPM2. The analysis data showed that patients also carried variants in genes associated with AVSD (e.g., COL11A1, DNAH11, GATA4, LRP2, MYH6, NFATC1, NKX2-6, NOTCH1, SRCAP, TBX1, and ZFPM2), TGA (e.g., COL11A1, GDF1, LRP2, MYH6, and TBX1), or hypoplastic left heart (e.g., LRP2, MYBPC3, MYH6, and NOTCH1). Patients in Group 4, the HLHS group, carried variants in genes associated with HLHS, including KDR, MYBPC3, MYH6, and NOTCH1. Genes associated with ASD and VSD, such as MYBPC3 and NOTCH, were detected in patients.

4. Discussion

In our study, most patients had no family history of CHD or extracardiac anomalies except three patients, P11, P14, and P22, who presented with the heterotaxy syndrome (situs inversus). All patients underwent Fontan surgery to reduce the impact of the defects and improve cardiac function. The patients had phenotypes similar to those described in previous studies [30,31]. FSV represents a spectrum of complex CHDs, often arising from inadequate development of the atrioventricular valves and ventricular chambers. The FSV phenotype can be classified according to the morphology of the dominant ventricle: right ventricle (RV), left ventricle (LV), or unknown, with prevalences of 50–57%, 42–43%, and 0–2%, respectively [32,33,34]. Tricuspid atresia (TA) phenotype (characterized by congenital hypoplasia or agenesis of the tricuspid valve) and mitral atresia phenotype (due to the absence or failure of the valve membrane) are phenotypes described in patients with a small hypoplastic left atrium and a large hypertrophic right atrium. PDA is seen in nearly 80% of patients with FSV [35,36], and PFO or ASD is commonly seen with PFO in two-thirds and ASD in one-third of patients. Patients with FSV typically have a single ventricle. However, in rare cases, patients have two ventricles with a small left ventricle connected to the right ventricle via a small VSD. A large, hypertrophic right ventricle with TGA is the common phenotype compared with the uncommon phenotype of mitral valve atresia with a normal aortic root, a complex form of CHD associated with multiple other defects [30,31].
In the DORV phenotype, the ventricles typically have left ventricular morphology with the outflow tract connecting to the cardiac chambers having right ventricular morphology. The atrioventricular valves may be normal, hypoplastic, stenotic, or atretic. The great arteries are often transposed, with the aorta arising from the hypoplastic right ventricle and the pulmonary artery arising from the LV. PS may be in two-thirds of patients with subvalvular stenosis or valvular pulmonary atresia [1,35]. Valvular and subvalvular stenosis or atresia are in 25–30% while coarctation of the aorta or aortic arch is in nearly 30% of FSV cases [29]. Aortic obstruction is only seen in cases with a normal pulmonary valve in contrast subaortic obstruction can occur in patients with TGA due to VSD stenosis [1,35]. Other lesions such as HLHS, TA, ASD, mitral atresia with normal aortic, and heterotaxy with a single functioning ventricle can be seen in this group.
HLHS is characterized by a very small left ventricle with underdeveloped aortic and mitral valves. The left ventricle is usually a slit-like cavity with thickened muscle, especially when mitral valve atresia is present. The aortic valve is atrophied with hypoplasia of the valve ring. HLHS is the most common (accounting for 25–40%) of all FSVs [3,33]. Other phenotypes such as pulmonary stenosis, pulmonary atresia, disruption of the aortic arch, severe coarctation of the aorta, and occasional hypoplastic aortic arch have also been reported [37,38]. Underdevelopment of the left ventricle, resulting in a single-chamber pumping heart phenotype, the right ventricle, causes this ventricle to work too hard, leading to heart failure that can lead to death or the need for heart transplantation in children with FSV [39]. Several studies have shown that FSV patients with right ventricle morphology have a higher risk of mortality, because the shape, fiber orientation, and metabolic adaptability of the right ventricle are not adapted to support long-term high-pressure systemic circulation [32,40,41].
Previous studies have shown that FSV disease has a relatively high degree of heritability, with a recurrence risk in siblings of 8% [42]. People with a family history of FSV are also at increased risk of developing cardiac defects; in fact, siblings of FSV patients have a 22% higher risk of developping any cardiovascular defect [43]. These data suggest that genetics plays a significant role in the development of FSV. However, Zaidi and Brueckner [6] reported that a large number of CHD cases, especially those with severe malformations, occurred in families with no history of other CHDs. This finding suggests that the cases may be due to de novo variations, including chromosomal abnormalities, small copy number variants, and single-point variants. Exome sequencing studies of participants and their unaffected parents have identified that 10% of CHD is due to de novo variants. If CHD is associated with extracardiac abnormalities, de novo variants could explain 20% of CHD cases [44]. In addition, the genetic information in tailoring care, risk stratification, establishing prognosis, and counseling families affected by CHD is expanding as knowledge of the role of genetics in CHD is gained. The genetic basis of a patient allows for preoperative identification of risk and improved postoperative care for individual patients, despite these patients being physiologically identical [6,25,45].
In Vietnam, patients diagnosed with FSV have undergone surgical correction or palliation for even the most complex FSV, and there has been a remarkable increase in survival for patients with FSV. Although there have been many advances in surgery in hospitals in big cities, medical care and monitoring remain problems when local medical conditions are limited compared to those in big cities in Vietnam. Respiratory complications and myocardial dysfunction are the two most important outcomes after congenital heart surgery that are influenced by genetic background. Therefore, preoperative risk identification enables improved surgical and postoperative care, more tailored to each patient. In addition, elucidating the genetic causes is also important in genetic counseling for patients and their families.
We performed WES to identify variants in genes associated with congenital heart disease that may be the cause of the disease in patients. Genetic analysis showed that the variants identified in these patients were all heterozygous and de novo variants. Each patient carried between two and six variants in different genes, including at least one variant in genes associated with severe heart defects: AXIN1, BMP2, COL6A2, GATA4, GATA5, GDF1, MESP1, MYH6, NFATC1, NKX2-6, NOTCH1, PCSK9, TBX1, TBX18, and TBX20 (Table 2). Recent studies have shown that human heart development is tightly controlled and regulated by complex signaling pathways. The key signaling pathways involved include the Nodal/Activin, BMP, WNT, FGF, Notch, Shh, and Vegf signaling pathways. These pathways interact with each other and form signaling networks to regulate and control various processes in the differentiation and development of cells and tissues. In addition, the regulation process has the participation of many related factors, including: Signalling proteins (GDF1, …), Signalling ligands (JAG1, …), Signalling receptors (NOTCH1, NOTCH2, …), Nuclear receptors (NR1D2, NR2F2, …), Transcription factors (CREBBP, NKX2.5, GATA4, GATA6, TBX1, TBX5, TBX20, FOXC1, FOXC2, FOXH1, EP300, NFACT1, ZFPM2, …), Extracellular matrix proteins (ACTC1, ELN, MYH6, MYH7, MYH11, …), … [46,47]. Therefore, variants in the encoding genes for these factors may be the cause leading to the development of an abnormal heart.
In addition, patients in each group carried genetic variants that were specific variants to each group (Figure 3 and Figure 4). Patients in Group 1, the tricuspid atresia group, carried variants in the BMP2, MYH6, NFATC1, NOTCH1, and ZFPM2 genes, which have been reported to be associated with tricuspid atresia [45,48,49,50,51]. Variants in genes associated with atrial septal defects and ventricular septal defects (e.g., DOCK6, EOGT, EP300, EVC, EVC2, and SEMA3C) [6,9] have also been identified in patients. Patients in Group 2, the mitral atresia group, carried variants in the genes including EP300, NOTCH1, and TTN (mitral atresia) [9,49,52], CREBBP, EP300, and NOTCH1 (hypoplastic left ventricle) [9,45,49]. Patients in Group 3 carried variants in the genes including GATA4, GATA5, GDF1, NKX2-6, NOTCH1, SEMA3C, TBX1, TBX20, and ZFPM2 implicated in DORV [7,45,49]. The analysis data also showed that the patients also carried variants in genes associated with AVSD (e.g., COL11A1, DNAH11, GATA4, LRP2, MYH6, NFATC1, NKX2-6, NOTCH1, SRCAP, TBX1, and ZFPM2) [7,45,53,54,55], TGA (e.g., COL11A1, GDF1, LRP2, MYH6, and TBX1) [45,50,53,56], or hypoplastic left heart (e.g., LRP2, MYBPC3, MYH6, MYH7, and NOTCH1) [45,57,58,59,60]. Patients in Group 4 carried variants in the genes implicated in HLHS including KDR, MYBPC3, MYH6, and NOTCH1 [45,58,59,61]. Genes associated with ASD and VSD (e.g., MYH7, NOTCH1, and SRCAP) [6,45,62], and BAV (e.g., CBS, MYBPC3, and TTN) [52,58,63] has been detected in patients. Our results showed that most patients had concordance between observed phenotype and determined genotype.
Figure 3. The genetic landscape of lesions in patients with FSV in this study.
Figure 3. The genetic landscape of lesions in patients with FSV in this study.
Diagnostics 15 02627 g003aDiagnostics 15 02627 g003b
Figure 4. A Venn diagram showing the overlap and unique genes of each group. The NOTCH1 and TTN genes overlap between four groups: Tricuspid atresia, Mitral atresia, DORV, and HLHS. The MYH6 and MYH7 genes overlap between three groups: Tricuspid atresia, DORV, and HLHS; and Mitral atresia, DORV, and HLHS, respectively. The EVC, EP300, DNAH11, MYBPC3, MYH11, NFATC1, SEMA3C, SHROOM3, SRCAP, and ZFPM2 genes overlap between two groups.
Figure 4. A Venn diagram showing the overlap and unique genes of each group. The NOTCH1 and TTN genes overlap between four groups: Tricuspid atresia, Mitral atresia, DORV, and HLHS. The MYH6 and MYH7 genes overlap between three groups: Tricuspid atresia, DORV, and HLHS; and Mitral atresia, DORV, and HLHS, respectively. The EVC, EP300, DNAH11, MYBPC3, MYH11, NFATC1, SEMA3C, SHROOM3, SRCAP, and ZFPM2 genes overlap between two groups.
Diagnostics 15 02627 g004
While many genes have been implicated in the pathogenesis of syndromic CHD, identifying genetic variants contributors to non-syndromic CHD is thought to be more difficult due to genetic heterogeneity, incomplete segregation, and potentially oligogenic or polygenic origin [45]. Studies have shown that novel pathogenic variants frequently arise in genes that were highly expressed in the developing heart and several biological pathways such as chromatin remodeling, cilia function, notch signaling, and sarcomere protein-encoding genes are associated with CHD [25]. The involvement of transcription factors in heart development including NKX family members, GATA, T-box, and regulatory factors such as NFATC1 and ZFPM2 form a network responsible for normal cardiac morphogenesis [45]. Transcription factors encoded by the GATA4 and GATA5 genes can regulate early cardiac development and play an important role in activating cardiac-specific genes. Variations in these genes lead to severe heart abnormalities in patients with different types of CHD. GATA4 and GATA5 variants have been identified in association with ASD, AVSD, BAV, DORV, PS, TOF, and VSD malformations [6,7,45,49], ASD, AVSD, BAV, DORV, TOF, and VSD [45,49,63], respectively. T-box family genes, including transcription factors important in heart development such as TBX1 and TBX20, have also been reported to be the cause of ASD, AVSD, DORV, LVOTO, TA, TOF, PTA, and VSD [6,7,45,53,64,65]. While variants in the genes encoding regulatory factors NFATC1 and ZFPM2 are responsible for AVSD, DORV, TA, and TOF in patients [45,55,66,67]. In addition, cell signaling and adhesion proteins, encoded by the NOTCH1 and GDF1 genes, are thought to play important roles in outflow tract formation and compaction of spongy tissues in cardiac structures [68]. Therefore, any variation in this signaling pathway can cause forms of CHD, in which there is abnormal development of the ventricles [45]. NOTCH1 variants have been identified in patients with severe forms of CHD including AS, ASD, AVSD, BAV, DORV, HLHS, LVOTO, PS, TOF, and VSD [49,55,68].
In addition to the genes regulating heart development mentioned above, genes encoding structural proteins such as MYH6, MYH7, and MYH11 have also been reported to be associated with CHDs [45]. MYH6 variants identified in association with the pathogenesis of ASD [7], AVSD [6], HLHS [59], LVOTO [69], TA, and TGA [50,64] defects in patients. Additionally, HLHS patients at risk of poor outcomes have been associated with MYH6 variants. Patients carrying MYH6 variants have abnormal myocardial physiology and reduced right ventricular ejection fraction [58,70]. The transplant-free survival was significantly lower in HLHS patients carrying deleterious variants on MYH6 compared with HLHS patients without the variant [70]. Recently, compound heterozygosity for rare damaging variants in MYH6 or MYBPC3, encoding myosin binding protein C3, was found to be a risk factor for myocardial dysfunction in patients with HLHS [58]. Pathogenic variants in the cardiomyopathy-associated genes, particularly MYH6, are associated with both the development of congenital heart defects and impaired myocardial function in these patients [70].

5. Limitations

Our study was conducted on patients, so a small number may not fully reflect the relationship between genotype and phenotype in patients. Furthermore, WES alone cannot detect all variants such as chromosomal deletions, duplications, or copy number variations, so it is necessary to combine with methods such as CGHs (Comparative Genomic Hybridization), MLPA (Multiplex Ligation-dependent Probe Amplification)… to identify variations in patients. Although limited, the initial results of our study suggest that genetic variants play a causal role in the disease in patients and emphasize the need for genetic testing and the establishment of a database of disease-associated genetic variants.

6. Conclusions

In this study, WES was performed to identify pathogenic variants in 29 patients with FSV from unrelated Vietnamese families. Eighty-five pathogenic variants in 48 genes, including genes associated with severe heart defect AXIN1, BMP2, COL6A2, GATA4, GATA5, GDF1, MESP1, MYH6, NFATC1, NKX2-6, NOTCH1, PCSK9, TBX1, TBX18, and TBX20, were identified. This is the first study to identify variants associated with functional single ventricle, a complex form of congenital heart disease. Our results provide information that contributes to the general understanding of the disease etiology for treatment orientation and to support genetic counseling for patients.

Supplementary Materials

The following supporting information can be downloaded at: https://www.mdpi.com/article/10.3390/diagnostics15202627/s1, Table S1: List of genes (including 654 genes) was used to screen for associated variants. Table S2: Genes identified in the patients. Table S3: Identified variants were evaluated according to ACMG criteria. Table S4: The influence of identified variants using in silico prediction software. References [71,72,73,74,75,76,77,78,79,80,81,82,83,84,85,86,87,88] are cited in the supplementary materials.

Author Contributions

Study concept and design: N.T.K.L., N.H.H.; data collection: L.T.T., V.Q.N., N.T.T.; analysis and interpretation of results: N.V.T., N.T.H.; draft manuscript preparation: L.T.T., N.T.K.L.; Writing—review & editing: N.T.K.L., D.T.H.V., V.Q.N., N.T.T., N.M.D., N.H.H. All authors have read and agreed to the published version of the manuscript.

Funding

This study was supported by the Vietnam Ministry of Science and Technology for Institute of Biology (the Project No. ĐTĐL-CN45/21).

Institutional Review Board Statement

The research received ethical approval by the Ethics Committee of the Institute of Genome Research (Approval No. 02-2021/NCHG-HDDD date 29 October 2021).

Informed Consent Statement

Informed consent for publication has been obtained from the patients.

Data Availability Statement

Data is contained within the article or Supplementary Materials.

Acknowledgments

This study was supported by the Vietnam Ministry of Science and Technology for Institute of Biology (the Project No. ĐTĐL-CN45/21).

Conflicts of Interest

The authors declare that they have no known competing financial interests or personal relationships that could have appeared to influence the work reported in this paper.

Abbreviations

AAH, Aortic arch hypoplasia; AS, Aortic sterosis; ASD, Atrial septal defect; AV, Atrio-ventricular; AVSDs, AV septal defects; BAV, Bicuspid aortic valve; CAVSD, Complete atrioventricular septal defect; CGH, Comparative genomic hybridization; CHD, Congenital heart disease; DORV, Double outlet right ventricle; FSV, Functional single ventricle; HLHS, Hypoplastic left heart syndrome; LV, Left ventricle; LVOTO, Left ventricular outflow tract obstruction; MLPA, Multiplex ligation-dependent probe amplification; PA, Pulmonary atresia; PDA, Patent ductus arteriosus; PFO, Patent foramen ovale; PS, Pulmonary stenosis; PVS, Pulmonary valve stenosis; RV, Right ventricle; RVOTO, Right ventricular outflow tract obstruction; Severe CHD, Severe congenital heart defects; TA, Tricuspid atresia; TAPVC, Total anomalous pulmonary venous connection; TGA, Transposition of the great arteries; TOF, Tetralogy of Fallot; VSD, Ventricular septal defect; WES, Whole-exome sequencing.

References

  1. Rao, P.S. Diagnosis and management of cyanotic congenital heart disease: Part II. Indian J. Pediatr. 2009, 76, 297–308. [Google Scholar] [CrossRef]
  2. Menon, S.C.; Erickson, L.K.; McFadden, M.; Miller, D.V. Effect of ventriculotomy on right-ventricular remodeling in hypoplastic left heart syndrome: A histopathological and echocardiography correlation study. Pediatr. Cardiol. 2013, 34, 354–363. [Google Scholar] [CrossRef]
  3. Coats, L.; O’Connor, S.; Wren, C.; O’Sullivan, J. The single-ventricle patient population: A current and future concern a population-based study in the North of England. Heart 2014, 100, 1348–1353. [Google Scholar] [CrossRef]
  4. Kempny, A.; Dimopoulos, K.; Gatzoulis, M.A. Single-ventricle physiology in the UK: An ongoing challenge of growing numbers and of growing complexity of congenital heart disease. Heart 2014, 100, 1315e6. [Google Scholar]
  5. Ebadi, A.; Spicer, D.E.; Backer, C.L.; Fricker, F.J.; Anderson, R.H. Double-outlet right ventricle revisited. J. Thorac. Cardiovasc. Surg. 2017, 154, 598–604. [Google Scholar]
  6. Zaidi, S.; Brueckner, M. Genetics and genomics of congenital heart disease. Circ. Res. 2017, 120, 923–940. [Google Scholar] [CrossRef] [PubMed]
  7. Saliba, A.; Figueiredo, A.C.V.; Baroneza, J.E.; Afiune, J.Y.; Pic-Taylor, A.; de Oliveira, S.F.; Mazzeu, J.F. Genetic and genomics in congenital heart disease: A clinical review. J. Pediatr. 2020, 96, 279–288. [Google Scholar] [CrossRef]
  8. MacRae, C.A. Mendelian forms of structural cardiovascular disease. Curr. Cardiol. Rep. 2013, 15, 399. [Google Scholar] [CrossRef]
  9. Pierpont, M.E.; Brueckner, M.; Chung, W.K.; Garg, V.; Lacro, R.V.; McGuire, A.L.; Mital, S.; Priest, J.R.; Pu, W.T.; Roberts, A.; et al. American Heart Association Council on Cardiovascular Disease in the Young; Council on Cardiovascular and Stroke Nursing; Council on Genomic and Precision Medicine. Genetic basis for congenital heart disease: Revisited: A scientific statement from the American Heart Association. Circulation 2018, 138, e653–e711. [Google Scholar]
  10. Zhu, Y.; Gramolini, A.O.; Walsh, M.A.; Zhou, Y.Q.; Slorach, C.; Friedberg, M.K.; Takeuchi, J.K.; Sun, H.; Henkelman, R.M.; Backx, P.H.; et al. Tbx5-dependent pathway regulating diastolic function in congenital heart disease. Proc. Natl. Acad. Sci. USA 2008, 105, 5519–5524. [Google Scholar] [CrossRef]
  11. Nakanishi, T.; Markwald, R.R.; Baldwin, H.S.; Keller, B.B.; Srivastava, D.; Yamagishi, H. (Eds.) Etiology and Morphogenesis of Congenital Heart Disease: From Gene Function and Cellular Interaction to Morphology; Springer: Tokyo, Japan, 2016. [Google Scholar] [CrossRef]
  12. Durbin, M.D.; Cadar, A.G.; Williams, C.H.; Guo, Y.; Bichell, D.P.; Su, Y.R.; Hong, C.C. Hypoplastic left heart syndrome sequencing reveals a novel NOTCH1 mutation in a family with single ventricle defects. Pediatr. Cardiol. 2017, 38, 1232–1240. [Google Scholar] [CrossRef] [PubMed]
  13. Hinton, R.B.; Martin, L.J.; Rame-Gowda, S.; Tabangin, M.E.; Cripe, L.H.; Benson, D.W. Hypoplastic left heart syndrome links to chromosomes 10q and 6q and is genetically related to bicuspid aortic valve. J. Am. Coll. Cardiol. 2009, 53, 1065–1071. [Google Scholar] [CrossRef] [PubMed]
  14. Hitz, M.P.; Lemieux-Perreault, L.P.; Marshall, C.; Feroz-Zada, Y.; Davies, R.; Yang, S.W.; Lionel, A.C.; D’Amours, G.; Lemyre, E.; Cullum, R.; et al. Rare copy number variants contribute to congenital left-sided heart disease. PLoS Genet. 2012, 9, e1002903. [Google Scholar] [CrossRef] [PubMed]
  15. Iascone, M.; Ciccone, R.; Galletti, L.; Marchetti, D.; Seddio, F.; Lincesso, A.R.; Pezzoli, L.; Vetro, A.; Barachetti, D.; Boni, L.; et al. Identification of de novo mutations and rare variants in hypoplastic left heart syndrome. Clin. Genet. 2012, 81, 542–554. [Google Scholar] [CrossRef]
  16. Warburton, D.; Ronemus, M.; Kline, J.; Jobanputra, V.; Williams, I.; Anyane-Yeboa, K.; Chung, W.; Yu, L.; Wong, N.; Awad, D.; et al. The contribution of de novo and rare inherited copy number changes to congenital heart disease in an unselected sample of children with conotruncal defects or hypoplastic left heart disease. Hum. Genet. 2014, 133, 11–27. [Google Scholar] [CrossRef]
  17. Glidewell, S.C.; Miyamoto, S.D.; Grossfeld, P.D.; Clouthier, D.E.; Coldren, C.D.; Stearman, R.S.; Geraci, M.W. Transcriptional impact of rare and private copy number variants in hypoplastic left heart syndrome. Clin. Transl. Sci. 2015, 8, 682–689. [Google Scholar] [CrossRef]
  18. Sucharov, C.C.; Dockstader, K.; Nunley, K.; McKinsey, T.A.; Bristow, M. Adrenergic receptor stimulation and activation of protein kinase. A protect against 1-adrenergic-mediated phosphorylation of protein kinase D and histone deacetylase 5. J. Card. Fail. 2011, 17, 592–600. [Google Scholar] [CrossRef]
  19. Qu, X.K.; Qiu, X.B.; Yuan, F.; Wang, J.; Zhao, C.M.; Liu, X.Y.; Zhang, X.L.; Li, R.G.; Xu, Y.J.; Hou, X.M.; et al. A novel NKX2.5 loss-of-function mutation associated with congenital bicuspid aortic valve. Am. J. Cardiol. 2014, 114, 1891–1895. [Google Scholar] [CrossRef]
  20. Xiang, R.; Fan, L.L.; Huang, H.; Cao, B.B.; Li, X.P.; Peng, D.Q.; Xia, K. A novel mutation of GATA4 (K319E) is responsible for familial atrial septal defect and pulmonary valve stenosis. Gene 2014, 534, 320–323. [Google Scholar] [CrossRef]
  21. Pan, Y.; Geng, R.; Zhou, N.; Zheng, G.F.; Zhao, H.; Wang, J.; Zhao, C.M.; Qiu, X.B.; Yang, Y.Q.; Liu, X.Y. TBX20 loss-of-function mutation contributes to double outlet right ventricle. Int. J. Mol. Med. 2015, 35, 1058–1066. [Google Scholar] [CrossRef]
  22. Zheng, J.; Li, F.; Liu, J.; Xu, Z.; Zhang, H.; Fu, Q.; Wang, J.; Sun, K. Investigation of somatic NKX2-5 mutations in Chinese children with congenital heart disease. Int. J. Med. Sci. 2015, 12, 538–543. [Google Scholar] [CrossRef] [PubMed]
  23. Werner, P.; Latney, B.; Deardorff, M.A.; Goldmuntz, E. MESP1 mutations in patients with congenital heart defects. Hum. Mutat. 2016, 37, 308–314. [Google Scholar] [CrossRef] [PubMed]
  24. Limongelli, G.; Pacileo, G.; Marino, B.; Digilio, M.C.; Sarkozy, A.; Elliott, P.; Versacci, P.; Calabro, P.; De Zorzi, A.; Di Salvo, G.; et al. Prevalence and clinical significance of cardiovascular abnormalities in patients with the LEOPARD syndrome. Am. J. Cardiol. 2007, 100, 736–741. [Google Scholar] [CrossRef] [PubMed]
  25. Russell, M.W.; Chung, W.K.; Kaltman, J.R.; Miller, T.A. Advances in the understanding of the genetic determinants of congenital heart disease and their impact on clinical outcomes. J. Am. Heart. Assoc. 2018, 7, e006906. [Google Scholar] [CrossRef]
  26. Mital, S.; Chung, W.K.; Colan, S.D.; Sleeper, L.A.; Manlhiot, C.; Arrington, C.B.; Cnota, J.F.; Graham, E.M.; Mitchell, M.E.; Goldmuntz, E.; et al. Renin-angiotensin-aldosterone genotype influences ventricular remodeling in infants with single ventricle. Circulation 2011, 123, 2353–2362. [Google Scholar] [CrossRef]
  27. Burchill, L.J.; Redington, A.N.; Silversides, C.K.; Ross, H.J.; Jimenez-Juan, L.; Mital, S.; Oechslin, E.N.; Dragulescu, A.; Slorach, C.; Mertens, L.; et al. Reninangiotensin-aldosterone system genotype and serum BNP in a contemporary cohort of adults late after Fontan palliation. Int. J. Cardiol. 2015, 197, 209–215. [Google Scholar] [CrossRef]
  28. Ramroop, R.; Manase, G.; Lu, D.; Manase, D.; Chen, S.; Kim, R.; Lee, T.; Mahle, W.T.; McHugh, K.; Mitchell, M.; et al. Adrenergic receptor genotypes influence postoperative outcomes in infants in the single-ventricle reconstruction trial. J. Thorac. Cardiovasc. Surg. 2017, 154, 1703–1710. [Google Scholar] [CrossRef]
  29. Rao, P.S. Single ventricle—A comprehensive review. Children 2021, 8, 441. [Google Scholar] [CrossRef]
  30. Rao, P.S. Moller, J.H., Hoffman, J.I.E., Eds.; Tricuspid atresia. In Pediatric Cardiovascular Medicine, 2nd ed.; Wiley-Blackwell/A John Wiley & Sons Ltd.: Hoboken, NJ, USA, 2012; pp. 487–508. [Google Scholar]
  31. Rao, P.S. Vijayalakshmi, I.B., Rao, P.S., Chugh, R., Eds.; Tricuspid atresia. In A Comprehensive Approach to Management of Congenital Heart Diseases; Jaypee Publications: New Delhi, India, 2013; pp. 397–413. [Google Scholar]
  32. d’Udekem, Y.; Xu, M.Y.; Galati, J.C.; Lu, S.; Iyengar, A.J.; Konstantinov, I.E.; Wheaton, G.R.; Ramsay, J.M.; Grigg, L.E.; Millar, J.; et al. Predictors of survival after single-ventricle palliation: The impact of right ventricular dominance. J. Am. Coll. Cardiol. 2012, 59, 1178–1185. [Google Scholar] [CrossRef]
  33. Alsoufi, B.; Gillespie, S.; Kim, D.; Shashidharan, S.; Kanter, K.; Maher, K.; Kogon, B. Impact of dominant ventricle morphology on palliation outcomes of single ventricle anomalies. Ann. Thorac. Surg. 2016, 102, 593–601. [Google Scholar] [CrossRef]
  34. Ma, J.; Chen, J.; Tan, T.; Liu, X.; Liufu, R.; Qiu, H.; Zhang, S.; Wen, S.; Zhuang, J.; Yuan, H. Complications and management of functional single ventricle patients with Fontan circulation: From surgeon’s point of view. Front. Cardiovasc. Med. 2022, 9, 917059. [Google Scholar] [CrossRef]
  35. Balaguru, D.; Rao, P.S. Vijayalakshmi, I.B., Rao, P.S., Chugh, R., Eds.; Mitral atresia (With normal aortic root). In A Comprehensive Approach to Management of Congenital Heart Diseases; Jaypee Publications: New Delhi, India, 2013; pp. 458–467. [Google Scholar]
  36. Rao, P.S. Rao, P.S., Vidyasagar, D., Eds.; Other cyanotic heart defects in the neonate. In Perinatal Cardiology: A Multidisciplinary Approach; Cardiotext Publishing: Minneapolis, MN, USA, 2015. [Google Scholar]
  37. Atz, A.M.; Zak, V.; Mahony, L.; Uzark, K.; D’agincourt, N.; Goldberg, D.J.; Williams, R.V.; Breitbart, R.E.; Colan, S.D.; Burns, K.M.; et al. Longitudinal outcomes of patients with single ventricle after the Fontan procedure. J. Am. Coll. Cardiol. 2017, 69, 2735–2744. [Google Scholar] [CrossRef]
  38. Hinton, R.B., Jr.; Martin, L.J.; Tabangin, M.E.; Mazwi, M.L.; Cripe, L.H.; Benson, D.W. Hypoplastic left heart syndrome is heritable. J. Am. Coll. Cardiol. 2007, 50, 1590–1595. [Google Scholar] [CrossRef]
  39. Newburger, J.W.; Sleeper, L.A.; Frommelt, P.C.; Pearson, G.D.; Mahle, W.T.; Chen, S.; Dunbar-Masterson, C.; Mital, S.; Williams, I.A.; Ghanayem, N.S.; et al. Pediatric heart network I. Transplantation-free survival and interventions at 3 years in the single ventricle reconstruction trial. Circulation 2014, 129, 2013–2020. [Google Scholar] [CrossRef]
  40. Alsoufi, B.; Manlhiot, C.; Awan, A.; Alfadley, F.; Al-Ahmadi, M.; Al-Wadei, A.; McCrindle, B.W.; Al-Halees, J. Current outcomes of the Glenn bidirectional cavopulmonary connection for single ventricle palliation. Eur. J. Cardiothorac. Surg. 2012, 42, 42–49. [Google Scholar] [CrossRef]
  41. Backer, C.L. The functionally univentricular heart: Which is better-right or left ventricle? J. Am. Coll. Cardiol. 2012, 59, 1186–1187. [Google Scholar] [CrossRef]
  42. Heaton, J.; Heller, D. Single ventricle. [Updated 2021]. In StatPearls [Internet]; StatPearls Publishing: Treasure Island, FL, USA, 2021. Available online: https://www.ncbi.nlm.nih.gov/books/NBK557789/ (accessed on 1 September 2025).
  43. Loffredo, C.A.; Chokkalingam, A.; Sill, A.M.; Boughman, J.A.; Clark, E.B.; Scheel, J.; Brenner, J.I. Prevalence of congenital cardiovascular malformations among relatives of infants with hypoplastic left heart, coarctation of the aorta, and d-transposition of the great arteries. Am. J. Med. Genet. A 2004, 124A, 225–230. [Google Scholar] [CrossRef]
  44. Homsy, J.; Zaidi, S.; Shen, Y.; Ware, J.S.; Samocha, K.E.; Karczewski, K.J.; DePalma, S.R.; McKean, D.; Wakimoto, H.; Gorham, J.; et al. De novo mutations in congenital heart disease with neurodevelopmental and other congenital anomalies. Science 2015, 350, 1262–1266. [Google Scholar] [CrossRef]
  45. Yasuhara, J.; Garg, V. Genetics of congenital heart disease: A narrative review of recent advances and clinical implications. Transl. Pediatr. 2021, 10, 2366–2386. [Google Scholar] [CrossRef]
  46. Williams, K.; Carson, J.; Lo, C. Genetics of congenital heart disease. Biomolecules 2019, 9, 879. [Google Scholar] [CrossRef]
  47. Chhatwal, K.; Smith, J.J.; Bola, H.; Zahid, A.; Venkatakrishnan, A.; Brand, T. Uncovering the genetic basis of congenital heart disease: Recent advancements and implications for clinical management. CJC Pediatr. Congenit. Heart Dis. 2023, 2, 464–480. [Google Scholar] [CrossRef]
  48. Kobylinska, J.; Dworzanski, W.; Cendrowska-Pinkosz, M.; Dworzańska, A.; Hermanowicz-Dryka, T.; Kiszka, L.; Starosławska, E.; Burdan, F. Morphological and molecular bases of cardiac development. Postep. Hig. Med. Dosw. 2013, 67, 950–957. [Google Scholar] [CrossRef]
  49. Morán-Barroso, V.F.; Cervantes, A.; García-Cavazos, R.J.; Queipo, G.; Briones-Garduño, J.C.; Coronel-Cruz, F.; Durán-Ruíz, E.R.; Firó-Reyes, V.; López-Noria, O.F.; Ochoa-Pérez, V.; et al. Genetic aspects in the medical approach of congenital heart defects. Rev. Med. Hosp. Gen. Mex. 2020, 83, 75–87. [Google Scholar] [CrossRef]
  50. Anfinson, M.; Fitts, R.H.; Lough, J.W.; James, J.M.; Simpson, P.M.; Handler, S.S.; Mitchell, M.E.; Tomita-Mitchell, A. Significance of α-Myosin heavy chain (MYH6) variants in hypoplastic left heart syndrome and related cardiovascular diseases. J. Cardiovasc. Dev. Dis. 2022, 9, 144. [Google Scholar] [CrossRef]
  51. Sleiman, A.K.; Sadder, L.; Nemer, G. Human genetics of tricuspid atresia and univentricular heart. Adv. Exp. Med. Biol. 2024, 1441, 875–884. [Google Scholar]
  52. Chen, S.; Jin, Q.; Hou, S.; Li, M.; Zhang, Y.; Guan, L.; Pan, W.; Ge, J.; Zhou, D. Identification of recurrent variants implicated in disease in bicuspid aortic valve patients through whole-exome sequencing. Hum. Genom. 2022, 16, 36. [Google Scholar] [CrossRef]
  53. Xu, J.; Wu, Q.; Wang, L.; Han, J.; Pei, Y.; Zhi, W.; Liu, Y.; Yin, C.; Jiang, Y. Next-generation sequencing identified genetic variations in families with fetal non-syndromic atrioventricular septal defects. Int. J. Clin. Exp. Pathol. 2018, 11, 3732–3743. [Google Scholar] [PubMed]
  54. Burnicka-Turek, O.; Steimle, J.D.; Huang, W.; Felker, L.; Kamp, A.; Kweon, J.; Peterson, M.; Reeves, R.H.; Maslen, C.L.; Gruber, P.J.; et al. Cilia gene mutations cause atrioventricular septal defects by multiple mechanisms. Hum. Mol. Genet. 2016, 25, 3011–3028. [Google Scholar] [CrossRef]
  55. Priest, J.R.; Osoegawa, K.; Mohammed, N.; Nanda, V.; Kundu, R.; Schultz, K.; Lammer, E.J.; Girirajan, S.; Scheetz, T.; Waggott, D.; et al. De novo and rare variants at multiple loci support the oligogenic origins of atrioventricular septal heart defects. PLoS Genet. 2016, 12, e1005963. [Google Scholar] [CrossRef]
  56. Liu, L.; Wang, H.D.; Cui, C.Y.; Qin, Y.Y.; Fan, T.B.; Peng, B.T.; Zhang, L.Z.; Wang, C.Z. Whole exome sequencing identifies novel mutation in eight Chinese children with isolated tetralogy of Fallot. Oncotarget 2017, 8, 106976–106988. [Google Scholar] [CrossRef]
  57. Datta, S.; Cao, W.; Skillman, M.; Wu, M. Hypoplastic left heart syndrome: Signaling & molecular perspectives, and the road ahead. Int. J. Mol. Sci. 2023, 24, 15249. [Google Scholar] [CrossRef]
  58. Theis, J.L.; Hu, J.J.; Sundsbak, R.S.; Evans, J.M.; Bamlet, W.R.; Qureshi, M.Y.; O’Leary, P.W.; Olson, T.M. Genetic association between hypoplastic left heart syndrome and cardiomyopathies. Circ. Genom. Precis. Med. 2021, 14, e003126. [Google Scholar] [CrossRef]
  59. Helle, E.; Pihkala, J.; Turunen, R.; Ruotsalainen, H.; Tuupanen, S.; Koskenvuo, J.; Ojala, T. Rare variants in genes associated with cardiomyopathy are not common in hypoplastic left heart syndrome patients with myocardial dysfunction. Front. Pediatr. 2020, 8, 596840. [Google Scholar] [CrossRef]
  60. Polyakova, E.; van Gils, J.M.J.; Stöger, L.; Kiès, P.; Egorova, A.D.; Koopmann, T.T.; van Dijk, T.; DeRuiter, M.C.; Barge-Schaapveld, D.Q.C.M.; Jongbloed, M.R.M. New genetic variant in the MYH7 gene associated with hypoplastic right heart syndrome and hypertrophic cardiomyopathy in the same family. Circ. Genom. Precis. Med. 2023, 16, e004184. [Google Scholar] [CrossRef]
  61. Nappi, F. In-depth genomic analysis: The new challenge in congenital heart disease. Int. J. Mol. Sci. 2024, 25, 1734. [Google Scholar] [CrossRef]
  62. Rakhmanov, Y.; Maltese, P.E.; Zulian, A.; Beccari, T.; Dundar, M.; Bertelli, M. Genetic testing for atrial septal defect. EuroBiotech J. 2018, 2, 45–47. [Google Scholar] [CrossRef]
  63. Zhao, J.Y.; Yang, X.Y.; Shi, K.H.; Sun, S.N.; Hou, J.; Ye, Z.Z.; Wang, J.; Duan, W.Y.; Qiao, B.; Chen, Y.J.; et al. A functional variant in the cystathionine β-synthase gene promoter significantly reduces congenital heart disease susceptibility in a Han Chinese population. Cell Res. 2013, 23, 242–253. [Google Scholar] [CrossRef]
  64. Wu, Y.; Jin, X.; Zhang, Y.; Zheng, J.; Yang, R. Genetic and epigenetic mechanisms in the development of congenital heart diseases. World J. Ped. Surg. 2021, 4, e000196. [Google Scholar] [CrossRef]
  65. Zweier, C.; Sticht, H.; Aydin-Yaylagül, I.; Campbell, C.E.; Rauch, A. Human TBX1 missense mutations cause gain of function resulting in the same phenotype as 22q11.2 deletions. Am. J. Hum. Genet. 2007, 80, 510–517. [Google Scholar] [CrossRef]
  66. Ye, J.; Niu, J.Y.; Peng, Y.; Huang, J.; Wang, H.; Fu, Q.; Li, F.; Xu, R.; Chen, S.; Xu, Y.; et al. Analysis of pathogenic variants in 605 Chinese children with non-syndromic cardiac conotruncal defects based on targeted sequencing. Genomics 2023, 115, 110676. [Google Scholar] [CrossRef]
  67. Li, B.; Li, T.; Pu, T.; Liu, C.; Chen, S.; Sun, K.; Xu, R. Genetic and functional analyses detect one pathological NFATC1 mutation in a Chinese tricuspid atresia family. Mol. Genet. Genom. Med. 2021, 9, e1771. [Google Scholar] [CrossRef]
  68. D’Amato, G.; Luxan, G.; de la Pompa, J.L. Notch signalling in ventricular chamber development and cardiomyopathy. FEBS J. 2016, 283, 4223–4237. [Google Scholar] [CrossRef]
  69. Jin, S.C.; Homsy, J.; Zaidi, S.; Lu, Q.; Morton, S.; DePalma, S.R.; Zeng, X.; Qi, H.; Chang, J.; Sierant, M.C.; et al. Contribution of rare inherited and de novo variants in 2,871 congenital heart disease probands. Nat. Genet. 2017, 49, 1593–1601. [Google Scholar] [CrossRef]
  70. Tomita-Mitchell, A.; Stamm, K.D.; Mahnke, D.K.; Kim, M.S.; Hidestrand, P.M.; Liang, H.L.; Goetsch, M.A.; Hidestrand, M.; Simpson, P.; Pelech, A.N.; et al. Impact of MYH6 variants in hypoplastic left heart syndrome. Physiol. Genom. 2016, 48, 912–921. [Google Scholar] [CrossRef]
  71. Giusti, B.; Sticchi, E.; De Cario, R.; Magi, A.; Nistri, S.; Pepe, G. Genetic bases of bicuspid aortic valve: The contribution of traditional and high-throughput sequencing approaches on research and diagnosis. Front. Physiol. 2017, 8, 612. [Google Scholar]
  72. Sticchi, E.; De Cario, R.; Magi, A.; Giglio, S.; Provenzano, A.; Nistri, S.; Pepe, G.; Giusti, B. Bicuspid aortic valve: Role of multiple gene variants in influencing the clinical phenotype. BioMed Res. Int. 2018, 8386123. [Google Scholar]
  73. Liu, X.; Chen, W.; Li, W.; Priest, J.R.; Fu, Y.; Pang, K.; Ma, B.; Han, B.; Liu, X.; Hu, S.; et al. Exome-based case-control analysis highlights the pathogenic role of ciliary genes in transposition of the great arteries. Circ. Res. 2020, 126, 811–821. [Google Scholar]
  74. Li, Y.; Yagi, H.; Onuoha, E.O.; Damerla, R.R.; Francis, R.; Furutani, Y.; Tariq, M.; King, S.M.; Hendricks, G.; Cui, C.; et al. DNAH6 and its interactions with PCD genes in Heterotaxy and primary ciliary dyskinesia. PLoS Genet. 2016, 12. [Google Scholar]
  75. Faivre, L.; Collod-Beroud, G.; Loeys, B.L.; Child, A.; Binquet, C.; Gautier, E.; Callewaert, B.; Arbustini, E.; Mayer, K.; Arslan-Kirchner, M.; et al. Effect of mutation type and location on clinical outcome in 1,013 probands with Marfan syndrome or related phenotypes and FBN1 mutations: An international study. Am. J. Hum. Genet. 2007, 81, 454–466. [Google Scholar]
  76. Zhang, J.; Wu, Q.; Wang, L.; Li, X.; Ma, Y.; Yao, L. Association of GDF1 rs4808863 with fetal congenital heart defects: A case–control study. BMJ Open 2015, 5, e009352. [Google Scholar]
  77. Odelin, G.; Faucherre, A.; Marchese, D.; Pinard, A.; Jaouadi, H.; Le Scouarnec, S.; Consortium, F.G.R.; Chiarelli, R.; Achouri, Y.; Faure, M.; et al. Variations in the poly-histidine repeat motif of HOXA1 contribute to bicuspid aortic valve in mouse and zebrafish. Nat. Commun. 2023, 14, 1543. [Google Scholar]
  78. Wang, J.; Luo, J.; Chen, Q.; Wang, X.; He, J.; Zhang, W.; Yin, Z.; Zheng, F.; Pan, H.; Li, T.; et al. Identification of LBX2 as a novel causal gene of atrial septal defect. Int. J. Cardiol. 2018, 265, 188–194. [Google Scholar]
  79. Zaidi, S.; Choi, M.; Wakimoto, H.; Ma, L.; Jiang, J.; Overton, J.D.; Romano-Adesman, A.; Bjornson, R.D.; Breitbart, R.E.; Brown, K.K.; et al. De novo mutations in histone-modifying genes in congenital heart disease. Nature 2013, 498, 220–223. [Google Scholar]
  80. Zhang, M.; Li, F.X.; Liu, X.Y.; Huang, R.T.; Xue, S.; Yang, X.X.; Li, Y.J.; Liu, H.; Shi, H.Y.; Pan, X.; et al. MESP1 loss-of-function mutation contributes to double outlet right ventricle. Mol. Med. Rep. 2017, 16, 2747–2754. [Google Scholar]
  81. Chahal, G.; Tyagi, S.; Ramialison, M. Navigating the non-coding genome in heart development and congenital heart disease. Differentiation 2019, 107, 11–23. [Google Scholar]
  82. Zhao, X.; Hou, C.; Xiao, T.; Xie, L.; Li, Y.; Jia, J.; Zheng, J.; Zhang, Y.; Xu, M. An interesting Mybpc3 heterozygous mutation associated with bicuspid aortic valve. Transl. Pediatr. 2020, 9, 610–618. [Google Scholar]
  83. Auxerre-Plantié, E.; Nielsen, T.; Grunert, M.; Olejniczak, O.; Perrot, A.; Özcelik, C.; Harries, D.; Matinmehr, F.; Remedios, C.D.; Mühlfeld, C.; et al. Identification of MYOM2 as a candidate gene in hypertrophic cardiomyopathy and Tetralogy of Fallot, and its functional evaluation in the Drosophila heart. Dis. Model. Mech. 2020, 13, dmm045377. [Google Scholar]
  84. D’Alessandro, L.C.A.; Al Turki, S.; Manickaraj, A.K.; Manase, D.; Mulder, B.J.M.; Bergin, L.; Rosenberg, H.C.; Mondal, T.; Gordon, E.; Lougheed, J.; et al. Exome sequencing identifies rare variants in multiple genes in atrioventricular septal defect. Genet. Med. 2016, 18, 189–198. [Google Scholar]
  85. Zhang, Z.; Xu, K.; Ji, L.; Zhang, H.; Yin, J.; Zhou, M.; Wang, C.; Yang, S. A novel loss-of-function mutation in NRAP is associated with left ventricular non-compaction cardiomyopathy. Front. Cardiovasc. Med. 2023, 10, 1097957. [Google Scholar]
  86. Puteri, M.U.; Azmi, N.U.; Kato, M.; Saputri, F.C. PCSK9 promotes cardiovascular diseases: Recent evidence about its association with platelet activation-induced myocardial infarction. Life 2022, 12. [Google Scholar]
  87. Tariq, M.; Belmont, J.W.; Lalani, S.; Smolarek, T.; Ware, S.M. SHROOM3 is a novel candidate for heterotaxy identified by whole exome sequencing. Genome Biol. 2011, 12, R91. [Google Scholar]
  88. Ma, L.; Li, J.; Liu, Y.; Pang, S.; Huang, W.; Yan, B. Novel and functional variants within the TBX18 gene promoter in ventricular septal defects. Mol. Cell. Biochem. 2013, 382, 121–126. [Google Scholar]
Figure 1. Echocardiogram in the patient with tricuspid valve atresia and in the patient with mitral valve atresia. Including the image of Tricuspid valve atresia (A); Ventricular septal defect (B); Atrial septal defect (C); Mitral valve atresia (D); Ventricular septal defect (E); Atrial septal defect (F) in patient.
Figure 1. Echocardiogram in the patient with tricuspid valve atresia and in the patient with mitral valve atresia. Including the image of Tricuspid valve atresia (A); Ventricular septal defect (B); Atrial septal defect (C); Mitral valve atresia (D); Ventricular septal defect (E); Atrial septal defect (F) in patient.
Diagnostics 15 02627 g001
Figure 2. Echocardiogram in the patient with double outlet right ventricle and in the patient with hypoplastic left heart. Including the image of assessment of Ventricular function (A); Double outlet right ventricle (B); Atrioventricular septal defects (C); Hypoplastic left heart (D); Pulmonary stenosis (E); Aortic stenosis (F).
Figure 2. Echocardiogram in the patient with double outlet right ventricle and in the patient with hypoplastic left heart. Including the image of assessment of Ventricular function (A); Double outlet right ventricle (B); Atrioventricular septal defects (C); Hypoplastic left heart (D); Pulmonary stenosis (E); Aortic stenosis (F).
Diagnostics 15 02627 g002
Table 1. Phenotypic characteristics of patients.
Table 1. Phenotypic characteristics of patients.
Group 1. Tricuspid atresia, atrial septal defects, ventricular septal defect
IDSex/Age (y)Hypoplastic Right VentricularPulmonary Valve Stenosis/Pulmonary StenosisRVOTODORVTransposition of the Great ArteriesPatent Ductus Arteriosus
P1F/1              x  xx
P2M/6 xxxx 
P3M/15xxx   
P4M/8xx   x
P5F/6x   x 
P6M/7 x  x 
P7M/7 x x  
P8M/1xx   x
P9M/6xx   x
Group 2. Mitral valve atresia, hypoplastic left ventricular, DORV
IDSex/Age (y)VSDASDTransposition of the Great ArteriesAtrioventricular DiscordancePatent Ductus Arteriosus
P10M/1x xxx
P11F/6 x   
P12M/1  xxx
Group 3. Double outlet right ventricle, CAVSD, pulmonary valve stenosis
IDSex/Age (y)Single AtriumSingle VentricleTransposition of the Great ArteriesASD/VSDAortic Valve Stenosis/Aortic Arch Hypoplasia
P13F/1 x xx
P14M/8  x  
P15M/3TAPVC xxx
P16M/5   xx
P17F/1x xx 
P18F/5x x  
P19M/1 xxx/x 
P20M/1TAPVC x  
P21F/5 xxVSD 
P22M/15xx  x
P23M/5  x  
P24M/4 xxxx
Group 4. Hypoplastic left heart syndrome
IDSex/Age (y)Aortic Valve StenosisAortic Arch HypoplasiaBAVASDVSDPatent Ductus Arteriosus
P25M/1x xx  
P26M/1xxxxxx
P27M/1 x xxx
P28M/1xx xxx
P29F/1 x  xx
ASD, Atrial septal defects; BAV, Bicuspid aortic valve; CAVSD, Complete atrioventricular septal defect; DORV, Double outlet right ventricle; RVOTO, Right ventricular outflow tract obstruction; TAPVC, Total anomalous pulmonary venous connection; VSD, Ventricular septal defect. F, Female; M, Male; y, years.x, means affected patients.
Table 2. Variants identified in patients.
Table 2. Variants identified in patients.
Group 1. Tricuspid atresia, atrial septal defects, ventricular septal defect
ID/GeneHGVS.cHGVS.pID/GeneHGVS.cHGVS.p
P1  P5  
BMP2c.482T>C
rs34183594
p.Leu161SerZFPM2c.2107A>C
rs121908603
p.Met703Leu
EOGTc.620+27C>T
rs181373917
 MESP1c.156_157insCCGAGCCCCGT
novel
p.Ala53fs
P2  PCSK9c.1026A>G
rs509504
p.Gln342Gln
TTNc.103772G>A
novel
p.Arg34591GlnP6  
 c.9749T>G
rs55634230
p.Val3250GlyNOTCH3c.4762A>C
novel
p.Asn1588His
EVCc.1727G>A
rs1383180
p.Arg576GlnEP300c.6998C>T
rs750944383
p.Pro2333Leu
NOTCH1c.2864G>A
rs557049479
p.Arg955HisCOL6A1c.2662C>T
rs368307185
p.Arg888Trp
MESP1c.359T>C
rs565846523
p.Leu120ProBMP2c.393A>T
rs140417301
p.Arg131Ser
SEMA3Cc.1009G>A
rs1527482
p.Val337MetP7  
P3               MYH6c.5410C>A
rs144571463
p.Gln1804Lys
EOGTc.1399A>T
novel
p.Thr467SerFBN1c.1676C>T
rs141551765
p.Ala559Val
DOCK6c.6014G>A
novel
p.Arg2005HisCOL6A2c.185C>T
novel
p.Pro62Leu
COL6A2c.3004T>C
rs527236952
p.Tyr1002HisP8  
MYH11c.5110G>A
rs538145374
p.Ala1704ThrDNAH11c.4306C>T
rs183489539
p.Arg1436Trp
EVC2c.2739G>C
rs180747811
p.Lys913AsnMYH6c.5410C>A
rs144571463
p.Gln1804Lys
NFATC1c.524G>C
rs538981258
p.Ser175ThrP9  
P4  TTNc.34216C>A
rs532102837
p.Pro11406Thr
MYH6c.5410C>A
rs144571463
p.Gln1804LysSHROOM3c.2905C>T
rs3733245
p.Arg969Trp
SEMA3Cc.1009G>A
rs1527482
p.Val337Met c.740A>G
rs760622199
p.Asp247Gly
Group 2. Mitral valve atresia, hypoplastic left ventricular, double outlet right ventricle
ID/GeneHGVS.cHGVS.pID/GeneHGVS.cHGVS.p
P10P12
PCDHB4c.599A>G
novel
p.Asp200GlyTTNc.73568C>A
rs753557799
p.Pro24523Gln
NOTCH1c.1699A>G
rs369067940
p.Ile567ValCREBBPc.4490A>C
novel
p.Lys1497Thr
P11 c.4485G>Cp.Lys1495Asn
TTNc.77836G>A
novel
p.Ala25946Thr novel 
EP300c.2971G>C
novel
p.Asp991His   
MYH7c.1322C>T
rs121913653
p.Thr441Met   
Group 3. Double outlet right ventricle, complete atrioventricular septal defect, pulmonary valve stenosis
ID/GeneHGVS.cHGVS.pID/GeneHGVS.cHGVS.p
LRP2c.233G>C
rs546882372
p.Gly78AlaTTNc.97733A>T
novel
p.Asn32578Ile
NRAPc.724C>T
rs776357401
p.Pro242SerDNAH11c.4306C>T
rs183489539
p.Arg1436Trp
AXIN1c.1265G>A
rs1187305370
p.Gly422AspNOTCH1c.7645C>T
rs200893930
p.Arg2549Cys
AXIN2c.1878T>A
rs767756290
p.Ser626ArgP20  
P14  MESP2c.306C>A
rs77473319
p.His102Gln
FOXC1c.1347_1348insAGC
novel
p.Gly449_Gly450insSerGATA4c.790G>A
rs201520087
p.Ala264Thr
ZFPM2c.2095C>T
novel
p.His699TyrDNAH6c.4218T>G
rs1398626964
p.Phe1406Leu
P15COL11A1c.2227C>A
novel
p.Pro743Thr
TTNc.92336G>C
novel
p.Arg30779ThrP21
 c.46847C>T
rs368057764
p.Thr15616MetSHROOM3c.440T>A
rs3821979
p.Leu147His
NFATC1c.2251T>G
rs754093
p.Cys751GlyDNAH6c.4615C>G
rs571512486
p.Gln1539Glu
NRAPc.4696C>T
rs1885434
p.Arg1566CysP22
SEMA3Cc.1009G>A
rs1527482
p.Val337MetTBX18c.244_255dupACGTCTGGGCCGp.Pro85_Ala86insThrSerGlyPro
P16HOXA1c.215_223delATCGCCACC
rs544314279
p.His72_His74del
EVCc.1727G>A
rs1383180
p.Arg576GlnTTNc.105876G>A
rs372521529
p.Leu35292Leu
GDF1c.985C>T
novel
p.Pro329SerCOL3A1c.3061C>A
rs139619440
p.Leu1021Ile
MYBPC3c.2504G>T
rs527305885
p.Arg835LeuLRP2c.6130G>A
rs142266106
p.Ala2044Thr
P17  P23  
TBX1c.928G>A
rs41298838
p.Gly310SerNKX2-6c.368G>A
rs568127693
p.Arg123His
MYH7c.1322C>T
rs121913653
p.Thr441MetMYH11c.5550G>A
rs146024732
p.Ser1850Ser
P18  NRAPc.4439A>G
rs368150420
p.Tyr1480Cys
TBX20c.785C>T
novel
p.Thr262MetNIPBLc.7489G>T
rs759115050
p.Val2497Phe
SRCAPc.6397G>A
novel
p.Val2133IleSHROOM3c.2888C>T
rs367782393
p.Ser963Leu
MYH6c.5410C>A
rs144571463
p.Gln1804LysP24  
LBX2c.548C>G
rs199798817
p.Pro183ArgGATA5c.374A>T
novel
p.Gln125Leu
MYOM2c.656C>T
rs34823600
p.Ala219ValNIPBLc.3049A>C
rs146714879
p.Ile1017Leu
   SHROOM3c.2905C>T
rs3733245
p.Arg969Trp
Group 4. Hypoplastic left heart syndrome
ID/GeneHGVS.cHGVS.pID/GeneHGVS.cHGVS.p
P25  P28  
TTNc.78855T>C
rs139953862
p.Asp26285AspMYBPC3c.1286C>T
rs370412052
p.Ala429Val
NOTCH1c.4864C>T
rs747447584
p.Arg1622CysTTNc.75137A>C
rs759445513
p.Lys25046Thr
P26  MYH6c.1262T>C
novel
p.Val421Ala
MYH6c.5410C>A
rs144571463
p.Gln1804LysP29  
CBSc.598C>T
novel
p.Pro200SerTTNc.10840G>T
rs540059730
p.Glu3614*
P27  MYH6c.428G>Ap.Arg143Gln
TTNc.105642C>A
rs560557634
p.Phe35214Leu rs200377640 
MYH7c.2183C>T
rs121913644
p.Ala728Val   
SRCAPc.278A>G
rs555507140
p.His93Arg   
KDRc.2524C>T
rs41469552
p.Arg842Cys   
Blue genes indicate that they play a major role.
Disclaimer/Publisher’s Note: The statements, opinions and data contained in all publications are solely those of the individual author(s) and contributor(s) and not of MDPI and/or the editor(s). MDPI and/or the editor(s) disclaim responsibility for any injury to people or property resulting from any ideas, methods, instructions or products referred to in the content.

Share and Cite

MDPI and ACS Style

Tu, L.T.; Lien, N.T.K.; Tung, N.V.; Van, D.T.H.; Nga, V.Q.; Tho, N.T.; Hien, N.T.; Duc, N.M.; Hoang, N.H. Identifying Pathogenic Variants in Vietnamese Children with Functional Single Ventricle Based on Whole-Exome Sequencing. Diagnostics 2025, 15, 2627. https://doi.org/10.3390/diagnostics15202627

AMA Style

Tu LT, Lien NTK, Tung NV, Van DTH, Nga VQ, Tho NT, Hien NT, Duc NM, Hoang NH. Identifying Pathogenic Variants in Vietnamese Children with Functional Single Ventricle Based on Whole-Exome Sequencing. Diagnostics. 2025; 15(20):2627. https://doi.org/10.3390/diagnostics15202627

Chicago/Turabian Style

Tu, Le Trong, Nguyen Thi Kim Lien, Nguyen Van Tung, Dang Thi Hai Van, Vu Quynh Nga, Nguyen Tat Tho, Nguyen Thanh Hien, Nguyen Minh Duc, and Nguyen Huy Hoang. 2025. "Identifying Pathogenic Variants in Vietnamese Children with Functional Single Ventricle Based on Whole-Exome Sequencing" Diagnostics 15, no. 20: 2627. https://doi.org/10.3390/diagnostics15202627

APA Style

Tu, L. T., Lien, N. T. K., Tung, N. V., Van, D. T. H., Nga, V. Q., Tho, N. T., Hien, N. T., Duc, N. M., & Hoang, N. H. (2025). Identifying Pathogenic Variants in Vietnamese Children with Functional Single Ventricle Based on Whole-Exome Sequencing. Diagnostics, 15(20), 2627. https://doi.org/10.3390/diagnostics15202627

Note that from the first issue of 2016, this journal uses article numbers instead of page numbers. See further details here.

Article Metrics

Back to TopTop