Diagnosis of Peritonsillar Abscess—A Prospective Study Comparing Clinical with CT Findings in 133 Consecutive Patients
Abstract
1. Introduction
1.1. Epidemiology, Clinical Presentation, and Treatment
1.2. Diagnosis
2. Materials and Methods
2.1. Study Design
2.2. Population
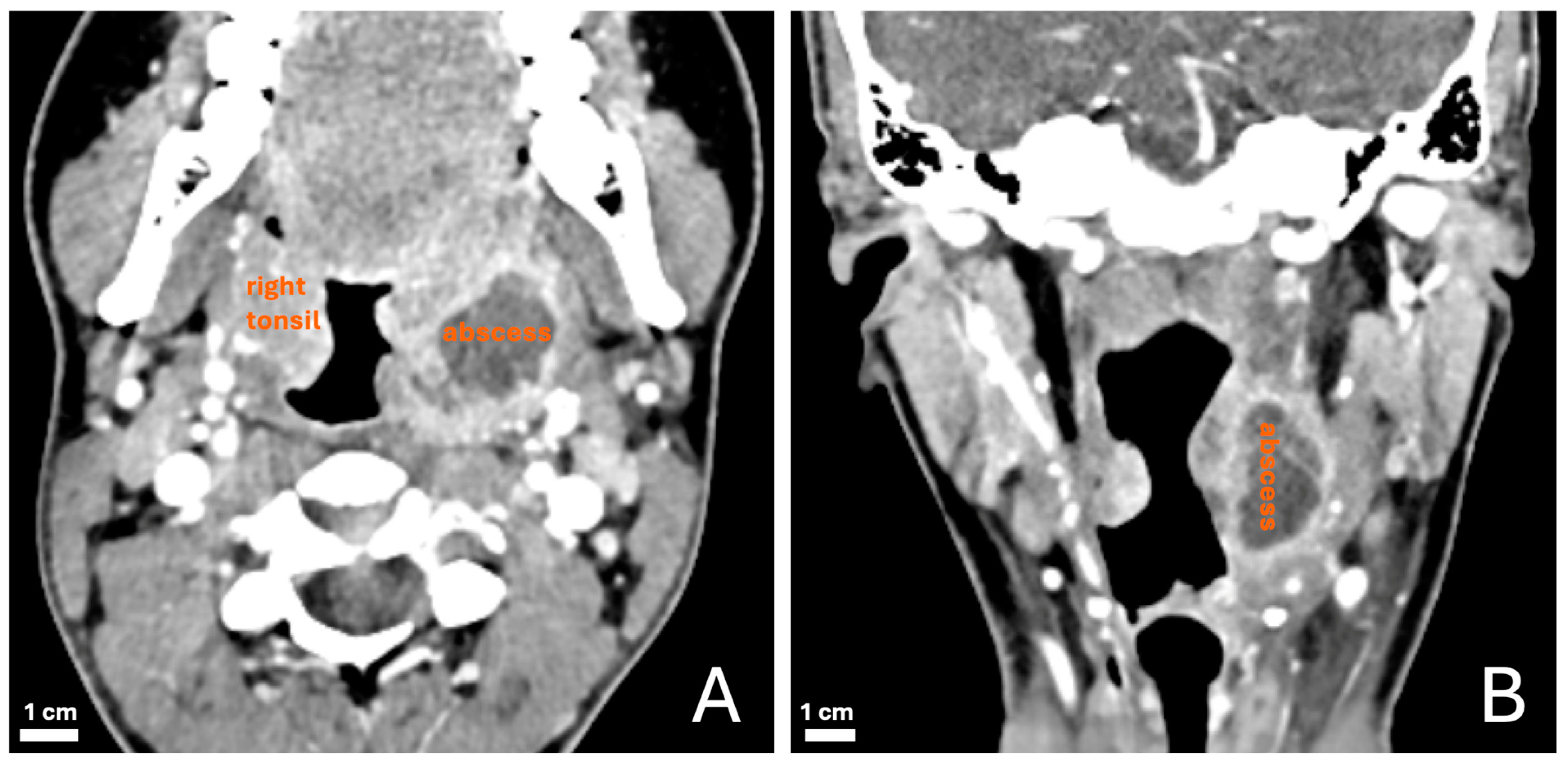
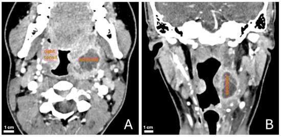
2.3. Study Protocol, Clinical Evaluation and CT Criteria, and Standard of Reference
2.4. Statistical Analysis
3. Results
4. Discussion
4.1. Diagnosis
4.2. Strengths and Limitations
5. Conclusions
Supplementary Materials
Author Contributions
Funding
Institutional Review Board Statement
Informed Consent Statement
Data Availability Statement
Acknowledgments
Conflicts of Interest
References
- Powell, J.; Wilson, J.A. An evidence-based review of peritonsillar abscess. Clin. Otolaryngol. 2012, 37, 136–145. [Google Scholar] [CrossRef]
- Klug, T.E.; Henriksen, J.J.; Fuursted, K.; Ovesen, T. Significant pathogens in peritonsillar abscesses. Eur. J. Clin. Microbiol. Infect. Dis. 2011, 30, 619–627. [Google Scholar] [CrossRef] [PubMed][Green Version]
- Ehlers Klug, T.; Rusan, M.; Fuursted, K.; Ovesen, T. Fusobacterium necrophorum: Most prevalent pathogen in peritonsillar abscess in Denmark. Clin. Infect. Dis. 2009, 49, 1467–1472. [Google Scholar] [CrossRef] [PubMed]
- Bella, Z.; Erdelyi, E.; Szalenko-Tokes, A.; Kiricsi, A.; Gaal, V.; Benedek, P.; Rovo, L.; Nagy, E. Peritonsillar abscess: An 8-year retrospective, culture based evaluation of 208 cases. J. Med. Microbiol. 2022, 71, 001576. [Google Scholar] [CrossRef]
- Vanhapiha, N.; Sanmark, E.; Blomgren, K.; Wiksten, J. Minor salivary gland infection as origin of peritonsillitis—Novel theory and preliminary results. Acta Otolaryngol. 2022, 142, 182–186. [Google Scholar] [CrossRef] [PubMed]
- Klug, T.E.; Rusan, M.; Fuursted, K.; Ovesen, T. Peritonsillar Abscess: Complication of Acute Tonsillitis or Weber’s Glands Infection? Otolaryngol. Head. Neck Surg. 2016, 155, 199–207. [Google Scholar] [CrossRef] [PubMed]
- Klug, T.E.; Rusan, M.; Clemmensen, K.K.; Fuursted, K.; Ovesen, T. Smoking promotes peritonsillar abscess. Eur. Arch. Otorhinolaryngol. 2013, 270, 3163–3167. [Google Scholar] [CrossRef] [PubMed]
- Sideris, G.; Malamas, V.; Tyrellis, G.; Maragkoudakis, P.; Delides, A.; Nikolopoulos, T. Ubi pus, ibi evacua: A review of 601 peritonsillar abscess adult cases. Ir. J. Med. Sci. 2022, 191, 1849–1853. [Google Scholar] [CrossRef]
- Vaikjarv, R.; Mandar, R.; Kasenomm, P. Peritonsillar abscess is frequently accompanied by sepsis symptoms. Eur. Arch. Otorhinolaryngol. 2019, 276, 1721–1725. [Google Scholar] [CrossRef]
- Sorensen, J.A.; Godballe, C.; Andersen, N.H.; Jorgensen, K. Peritonsillar abscess: Risk of disease in the remaining tonsil after unilateral tonsillectomy a chaud. J. Laryngol. Otol. 1991, 105, 442–444. [Google Scholar] [CrossRef]
- Powell, J.; Powell, E.L.; Conroy, K.; Hopkins, C.; Moor, J.W.; Wilson, J.A. Throat-related quality of life in peritonsillar abscess sufferers: Application of the adult tonsil outcome inventory. J. Laryngol. Otol. 2013, 127, 1190–1193. [Google Scholar] [CrossRef] [PubMed]
- Lehnerdt, G.; Senska, K.; Fischer, M.; Jahnke, K. [Smoking promotes the formation of peritonsillar abscesses]. Laryngorhinootologie 2005, 84, 676–679. [Google Scholar] [CrossRef] [PubMed]
- Herzon, F.S.; Harris, P. Mosher Award thesis. Peritonsillar abscess: Incidence, current management practices, and a proposal for treatment guidelines. Laryngoscope 1995, 105, 1–17. [Google Scholar] [CrossRef] [PubMed]
- Lemierre, A. ON CERTAIN SEPTICAEMIAS DUE TO ANAEROBIC ORGANISMS. Lancet 1936, 227, 701–703. [Google Scholar] [CrossRef]
- Matsuura, N. Peritonsillar abscess subsequently complicated by Ludwig’s angina. J. Gen. Fam. Med. 2021, 22, 298–299. [Google Scholar] [CrossRef]
- Amin, M.; Jama, G.M.; Ahmed, U.; Horsburgh, A.; Hassaan, A. Complicated peritonsillar abscess extending into the buccal space: An unusual clinical presentation. Br. J. Hosp. Med. 2022, 83, 1–3. [Google Scholar] [CrossRef]
- Becker, M.; Zbaren, P.; Hermans, R.; Becker, C.D.; Marchal, F.; Kurt, A.M.; Marre, S.; Rufenacht, D.A.; Terrier, F. Necrotizing fasciitis of the head and neck: Role of CT in diagnosis and management. Radiology 1997, 202, 471–476. [Google Scholar] [CrossRef]
- Grant, M.C.; Raggio, B.; Barton, B.; Guarisco, J.L. Establishing the Need for an Evidence-Based Treatment Algorithm for Peritonsillar Abscess in Children. Clin. Pediatr. 2018, 57, 1385–1390. [Google Scholar] [CrossRef]
- Scott, P.M.; Loftus, W.K.; Kew, J.; Ahuja, A.; Yue, V.; van Hasselt, C.A. Diagnosis of peritonsillar infections: A prospective study of ultrasound, computerized tomography and clinical diagnosis. J. Laryngol. Otol. 1999, 113, 229–232. [Google Scholar] [CrossRef] [PubMed]
- Seebach, J.D.; Morant, R.; Ruegg, R.; Seifert, B.; Fehr, J. The diagnostic value of the neutrophil left shift in predicting inflammatory and infectious disease. Am. J. Clin. Pathol. 1997, 107, 582–591. [Google Scholar] [CrossRef] [PubMed]
- Froehlich, M.H.; Huang, Z.; Reilly, B.K. Utilization of ultrasound for diagnostic evaluation and management of peritonsillar abscesses. Curr. Opin. Otolaryngol. Head. Neck Surg. 2017, 25, 163–168. [Google Scholar] [CrossRef]
- Sievert, M.; Miksch, M.; Mantsopoulos, K.; Goncalves, M.; Rupp, R.; Mueller, S.K.; Traxdorf, M.; Iro, H.; Koch, M. The value of transcutaneous ultrasound in the diagnosis of tonsillar abscess: A retrospective analysis. Auris Nasus Larynx 2021, 48, 1120–1125. [Google Scholar] [CrossRef] [PubMed]
- Salihoglu, M.; Eroglu, M.; Yildirim, A.O.; Cakmak, A.; Hardal, U.; Kara, K. Transoral ultrasonography in the diagnosis and treatment of peritonsillar abscess. Clin. Imaging 2013, 37, 465–467. [Google Scholar] [CrossRef]
- Mansour, C.; De Bonnecaze, G.; Mouchon, E.; Gallini, A.; Vergez, S.; Serrano, E. Comparison of needle aspiration versus incision and drainage under local anaesthesia for the initial treatment of peritonsillar abscess. Eur. Arch. Otorhinolaryngol. 2019, 276, 2595–2601. [Google Scholar] [CrossRef] [PubMed]
- Hosokawa, S.; Mineta, H. Tortuous internal carotid artery presenting as a pharyngeal mass. J. Laryngol. Otol. 2010, 124, 1033–1036. [Google Scholar] [CrossRef]
- Lukins, D.E.; Pilati, S.; Escott, E.J. The Moving Carotid Artery: A Retrospective Review of the Retropharyngeal Carotid Artery and the Incidence of Positional Changes on Serial Studies. AJNR Am. J. Neuroradiol. 2016, 37, 336–341. [Google Scholar] [CrossRef]
- Eliason, M.J.; Wang, A.S.; Lim, J.; Beegle, R.D.; Seidman, M.D. Are Computed Tomography Scans Necessary for the Diagnosis of Peritonsillar Abscess? Cureus 2023, 15, e34820. [Google Scholar] [CrossRef] [PubMed]
- Nesemeier, R.; Jones, S.; Jacob, K.; Cash, E.; Goldman, J. Trends in Emergency Department Computed Tomography Usage for Diagnosis of Peritonsillar Abscess. Ear Nose Throat J. 2023, 102, NP35–NP39. [Google Scholar] [CrossRef]
- Conrad, R.; Krokenberger, M.; Hufen, V.; Harder, T. [Pseudoaneurysm of the internal carotid artery following a peritonsillar abscess]. Aktuelle Radiol. 1994, 4, 109–111. [Google Scholar]
- Ding, W.J.; Zhao, C.; Lang, J.Q.; Ma, X.Y.; Li, L. [Pseudoaneurysm of internal carotid artery secondary to paracentesis of peritonsillar abscess: A case report]. Zhonghua Er Bi Yan Hou Tou Jing Wai Ke Za Zhi 2022, 57, 62–64. [Google Scholar] [CrossRef]
- Brzost, J.; Cyran, A.M.; Waniewska, M.; Szczepanski, M.J. Internal Carotid Artery Aneurysm Mimicking Peritonsillar Abscess. Case Rep. Otolaryngol. 2015, 2015, 389298. [Google Scholar] [CrossRef]
- Al Hakim, E.; Vachin, F.; Carsuzaa, F. Odynodysphagia and Oropharyngeal Mass. JAMA Otolaryngol. Head. Neck Surg. 2024, 150, 827–828. [Google Scholar] [CrossRef]
- Radiat Prot, 180. Diagnostic Reference Levels in Thirty-Six European Countries. Part 2/2; European Commission: Brussels, Belgium, 2014; pp. 1–73.
- Steuwe, A.; Thomas, C.; Kraus, B.; Bethge, O.T.; Aissa, J.; Klosterkemper, Y.; Antoch, G.; Boos, J. Development of size-specific institutional diagnostic reference levels for computed tomography protocols in neck imaging. J. Radiol. Prot. 2020, 40, 68–82. [Google Scholar] [CrossRef]
- Paulo, G.; Damilakis, J.; Tsapaki, V.; Schegerer, A.A.; Repussard, J.; Jaschke, W.; Frija, G.; European Society of Radiology. Diagnostic Reference Levels based on clinical indications in computed tomography: A literature review. Insights Imaging 2020, 11, 96. [Google Scholar] [CrossRef]
- Simel, D.L.; Samsa, G.P.; Matchar, D.B. Likelihood ratios with confidence: Sample size estimation for diagnostic test studies. J. Clin. Epidemiol. 1991, 44, 763–770. [Google Scholar] [CrossRef] [PubMed]
- Stock, C.; Hielscher, T.; Discacciati, A. DTComPair: Comparison of Binary Diagnostic Tests in a Paired Study Design. R Package, Version 1.2.2. 2023. Available online: https://CRAN.R-project.org/package=DTComPair (accessed on 11 March 2024).
- Fay, M. Two-sided Exact Tests and Matching Confidence Intervals for Discrete Data. R J. 2010, 2, 53–58. [Google Scholar] [CrossRef]
- Moskowitz, C.S.; Pepe, M.S. Comparing the predictive values of diagnostic tests: Sample size and analysis for paired study designs. Clin. Trials 2006, 3, 272–279. [Google Scholar] [CrossRef] [PubMed]
- DeLong, E.R.; DeLong, D.M.; Clarke-Pearson, D.L. Comparing the areas under two or more correlated receiver operating characteristic curves: A nonparametric approach. Biometrics 1988, 44, 837–845. [Google Scholar] [CrossRef] [PubMed]
- Carratola, M.C.; Frisenda, G.; Gastanaduy, M.; Guarisco, J.L. Association of Computed Tomography With Treatment and Timing of Care in Adult Patients With Peritonsillar Abscess. Ochsner J. 2019, 19, 309–313. [Google Scholar] [CrossRef] [PubMed]
- UKHSA-RCE-1: Doses from Computed Tomography (CT) Exams in the UK; UK Health Security Agency: London, UK, 2019.
- Bos, D.; Yu, S.; Luong, J.; Chu, P.; Wang, Y.; Einstein, A.J.; Starkey, J.; Delman, B.N.; Duong, P.T.; Das, M.; et al. Diagnostic reference levels and median doses for common clinical indications of CT: Findings from an international registry. Eur. Radiol. 2022, 32, 1971–1982. [Google Scholar] [CrossRef] [PubMed]




| Total number of included patients | 133 |
| Mean age—yr (range) | 33 (18–78) |
| Male—No. (%) | 77 (58) |
| CT—No. of patients (%) | 133 (100) |
| Radiological collection | 116 (87) |
| Unilateral | 115 (86) |
| Complicated * | 6 (5) |
| No radiological collection | 17 (13) |
| Peritonsillar abscess (pus)—No. (%) | 117 (88) |
| Right | 52 (44) |
| Left | 66 (56) |
| Posterior location | 33 (28) |
| Other location | 84 (72) |
| No clinical sign | 2 (2) |
| 1 clinical sign only | 28 (24) |
| ≥2 clinical signs | 87 (74) |
| True Positive * | True Negative * | False Positive * | False Negative * | OR (95%CI) ** | p-Value *** | |
|---|---|---|---|---|---|---|
| CT | 112 | 12 | 4 | 5 | 67.2 (15.87 to 284.57) | <0.0001 |
| Trismus | 23 | 15 | 1 | 94 | 3.67 (0.46 to 29.23) | 0.3026 |
| Edema | 86 | 5 | 11 | 31 | 1.26 (0.41 to 3.92) | 0.7655 |
| Pharynx immobility | 77 | 9 | 7 | 40 | 2.48 (0.86 to 7.14) | 0.1021 |
| Uvula deviation | 69 | 11 | 5 | 48 | 3.16 (1.03 to 9.69) | 0.0581 |
| Hot potato voice | 47 | 11 | 5 | 70 | 1.48 (0.48 to 4.53) | 0.5915 |
| Overall clinical impression | 114 | 2 | 14 | 3 | 5.43 (0.83 to 35.34) | 0.1096 |
| Sensitivity | Specificity | |||||
|---|---|---|---|---|---|---|
| n/N | Sen (95%CI) | p-Value * | n/N | Spe (95%CI) | p-Value * | |
| CT | 112/117 | 95.7 (90.3 to 98.6) | 12/16 | 75.0 (47.6 to 92.7) | ||
| Trismus | 23/117 | 19.7 (12.9 to 28.0) | <0.0001 | 15/16 | 93.8 (69.8 to 99.8) | 0.3750 |
| Edema | 86/117 | 73.5 (64.5 to 81.2) | <0.0001 | 5/16 | 31.2 (11.0 to 58.7) | 0.0391 |
| Pharynx immobility | 77/117 | 65.8 (56.5 to 74.3) | <0.0001 | 9/16 | 56.2 (29.9 to 80.2) | 0.3750 |
| Uvula deviation | 69/117 | 59.0 (49.5 to 68.0) | <0.0001 | 11/16 | 68.8 (41.3 to 89.0) | >0.99 |
| Hot potato voice | 47/117 | 40.2 (31.2 to 49.6) | <0.0001 | 11/16 | 68.8 (41.3 to 89.0) | >0.99 |
| Overall clinical impression | 114/117 | 97.4 (92.7 to 99.5) | 0.7266 | 2/16 | 12.5 (1.6 to 38.3) | 0.0020 |
Disclaimer/Publisher’s Note: The statements, opinions and data contained in all publications are solely those of the individual author(s) and contributor(s) and not of MDPI and/or the editor(s). MDPI and/or the editor(s) disclaim responsibility for any injury to people or property resulting from any ideas, methods, instructions or products referred to in the content. |
© 2025 by the authors. Licensee MDPI, Basel, Switzerland. This article is an open access article distributed under the terms and conditions of the Creative Commons Attribution (CC BY) license (https://creativecommons.org/licenses/by/4.0/).
Share and Cite
Voruz, F.; Revol, R.; Combescure, C.; Monnier, Y.; Becker, M.; Dulguerov, N. Diagnosis of Peritonsillar Abscess—A Prospective Study Comparing Clinical with CT Findings in 133 Consecutive Patients. Diagnostics 2025, 15, 228. https://doi.org/10.3390/diagnostics15020228
Voruz F, Revol R, Combescure C, Monnier Y, Becker M, Dulguerov N. Diagnosis of Peritonsillar Abscess—A Prospective Study Comparing Clinical with CT Findings in 133 Consecutive Patients. Diagnostics. 2025; 15(2):228. https://doi.org/10.3390/diagnostics15020228
Chicago/Turabian StyleVoruz, François, Rebecca Revol, Christophe Combescure, Yan Monnier, Minerva Becker, and Nicolas Dulguerov. 2025. "Diagnosis of Peritonsillar Abscess—A Prospective Study Comparing Clinical with CT Findings in 133 Consecutive Patients" Diagnostics 15, no. 2: 228. https://doi.org/10.3390/diagnostics15020228
APA StyleVoruz, F., Revol, R., Combescure, C., Monnier, Y., Becker, M., & Dulguerov, N. (2025). Diagnosis of Peritonsillar Abscess—A Prospective Study Comparing Clinical with CT Findings in 133 Consecutive Patients. Diagnostics, 15(2), 228. https://doi.org/10.3390/diagnostics15020228

