Effects of Microsatellite Instability on the Clinical and Pathological Characteristics of Colon Cancer and the Diagnostic Accuracy of Preoperative Abdominal CT Scans
Abstract
1. Introduction
2. Materials and Methods
2.1. Study Design
2.2. Patient Selection
2.3. Data Collection
2.4. Statistics
3. Results
3.1. Patient Characteristics
3.2. Clinical and Pathological Characteristics
3.3. Inflammatory Markers
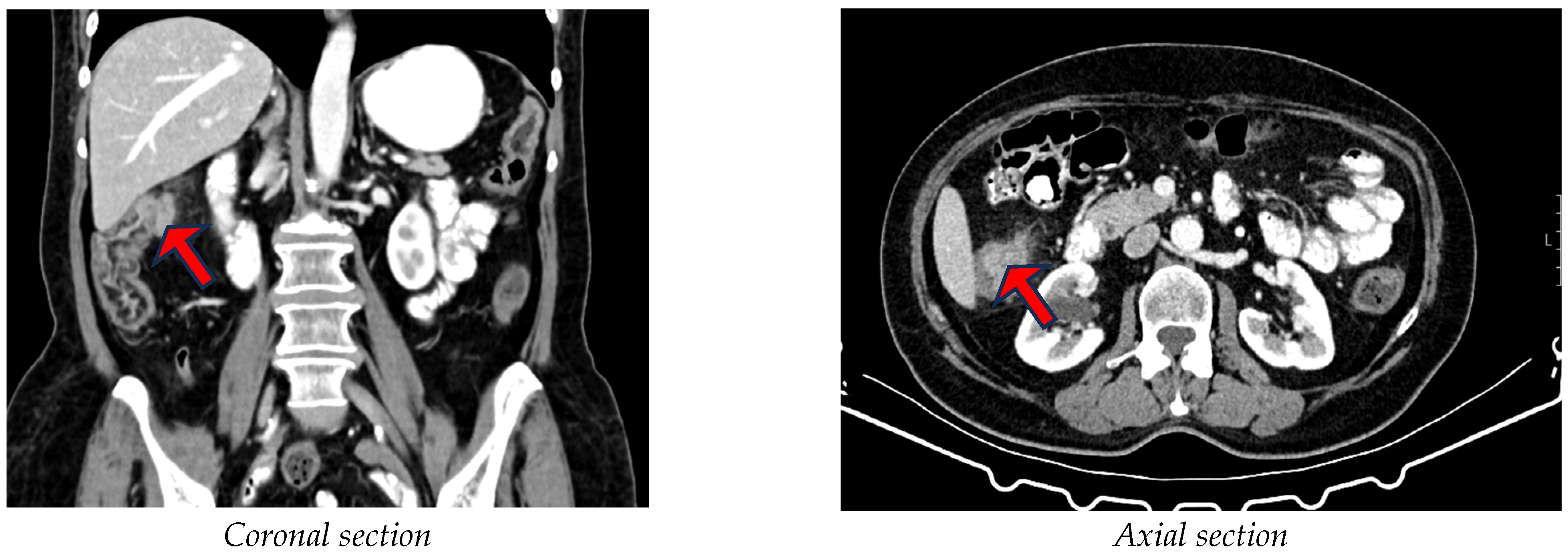
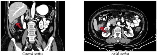
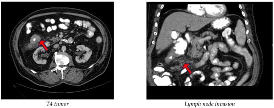
3.4. Radiological Parameters
4. Discussion
Author Contributions
Funding
Institutional Review Board Statement
Informed Consent Statement
Data Availability Statement
Conflicts of Interest
References
- World Health Organization. Fact Sheets Colorectal Cancer. Available online: https://www.who.int/news-room/fact-sheets/detail/colorectal-cancer (accessed on 21 November 2024).
- Moreno, C.C.; Mittal, P.K.; Sullivan, P.S.; Rutherford, R.; Staley, A.C.; Cardona, K.; Hawk, N.N.; Dixon, W.T.; Kitajima, H.D.; Kang, J.; et al. Colorectal cancer initial diagnosis: Screening colonoscopy, diagnostic colonoscopy, or emergent surgery, and tumor stage and size at initial presentation. Clin. Color. Cancer 2016, 15, 67–73. [Google Scholar] [CrossRef] [PubMed]
- Leijssen, L.G.J.; Dinaux, A.M.; Kunitake, H.; Bordeianou, L.G.; Berger, D.L. Detrimental impact of symptom-detected colorectal cancer. Surg. Endosc. 2020, 34, 569–579. [Google Scholar] [CrossRef] [PubMed]
- Vogel, J.D.; Felder, S.I.; Bhama, A.R.; Hawkins, A.T.; Langenfeld, S.J.; Shaffer, V.O.; Thorsen, A.J.; Weiser, M.R.; Chang, G.J.; Lightner, A.L.; et al. The American Society of Colon and Rectal Surgeons Clinical Practice Guidelines for the Management of Colon Cancer. Colon. Rectum 2022, 65, 148–177. [Google Scholar] [CrossRef]
- Wang, W.; Kandimalla, R.; Huang, H.; Zhu, L.; Li, Y.; Gao, F.; Goel, A.; Wang, X. Molecular subtyping of colorectal cancer: Recent progress, new challenges and emerging opportunities. Semin. Cancer Biol. 2019, 55, 37–52. [Google Scholar] [CrossRef] [PubMed]
- Ionov, Y.; Peinado, M.A.; Malkhosyan, S.; Shibata, D.; Perucho, M. Ubiquitous somatic mutations in simple repeated sequences reveal a new mechanism for colonic carcinogenesis. Nature 1993, 363, 558–561. [Google Scholar] [CrossRef] [PubMed]
- Cawkwell, L.; Quirke, P. A new class of colorectal cancer gene. Gut 1995, 36, 641–643. [Google Scholar] [CrossRef] [PubMed][Green Version]
- Thibodeau, S.N.; Bren, G.; Schaid, D. Microsatellite Instability in Cancer of the Proximal Colon. Science 1993, 260, 816–819. [Google Scholar] [CrossRef]
- Sun, C.Y.; Chiang, J.M.; Chen, T.C.; Hung, H.Y.; You, J.F. Different surgical outcome and follow-up status between dMMR and pMMR colorectal cancer patients who fulfilled with Amsterdam-II criteria. World J. Surg. Oncol. 2020, 18, 195. [Google Scholar] [CrossRef]
- Ribic, C.M.; Sargent, D.J.; Moore, M.J.; Thibodeau, S.N.; French, A.J.; Goldberg, R.M.; Hamilton, S.R.; Laurent-Puig, P.; Gryfe, R.; Shepherd, L.E.; et al. Tumor microsatellite-instability status as a predictor of benefit from fluorouracil-based adjuvant chemotherapy for colon cancer. N. Engl. J. Med. 2003, 349, 247–257. [Google Scholar] [CrossRef]
- Chen, S.; Du, W.; Cao, Y.; Kong, J.; Wang, X.; Wang, Y.; Lu, Y.; Li, X. Preoperative contrast-enhanced CT imaging and clinicopathological characteristics analysis of mismatch repair-deficient colorectal cancer. Cancer Imaging 2023, 23, 97. [Google Scholar] [CrossRef]
- Jass, J.R.; Walsh, M.D.; Barker, M.; Simms, L.A.; Young, J.; Leggett, B.A. Distinction between familial and sporadic forms of colorectal cancer showing DNA microsatellite instability. Eur. J. Cancer 2002, 38, 858–866. [Google Scholar] [CrossRef] [PubMed]
- Raut, C.P.; Pawlik, T.M.; Rodriguez-Bigas, M.A. Clinicopathologic features in colorectal cancer patients with microsatellite instability. Mutat. Res. 2004, 568, 275–282. [Google Scholar] [CrossRef] [PubMed]
- Ward, R.; Meagher, A.; Tomlinson, I.; O’Connor, T.; Norrie, M.; Wu, R.; Hawkins, N. Microsatellite instability and the clinicopathological features of sporadic colorectal cancer. Gut 2001, 48, 821–829. [Google Scholar] [CrossRef] [PubMed]
- Benson, A.B.; Venook, A.P.; Adam, M.; Chang, G.; Chen, Y.J.; Ciombor, K.K.; Cohen, S.A.; Cooper, H.S.; Deming, D.; Garrido-Laguna, I.; et al. Colon Cancer, Version 3.2024, NCCN Clinical Practice Guidelines in Oncology. J. Natl. Compr. Cancer Netw. 2024, 22, e240029. [Google Scholar] [CrossRef] [PubMed]
- Ryu, H.S.; Kim, H.J.; Ji, W.B.; Kim, B.C.; Kim, J.H.; Moon, S.K.; Kang, S.I.; Kwak, H.D.; Kim, E.S.; Kim, C.H.; et al. Colon cancer: The 2023 Korean clinical practice guidelines for diagnosis and treatment. Ann. Coloproctol. 2024, 40, 89–113. [Google Scholar] [CrossRef]
- Argilés, G.; Tabernero, J.; Labianca, R.; Hochhauser, D.; Salazar, R.; Iveson, T.; Laurent-Puig, P.; Quirke, P.; Yoshino, T.; Taieb, J.; et al. Localised colon cancer: ESMO clinical practice guidelines for diagnosis, treatment and follow-up. Ann. Oncol. 2020, 31, 1291–1305. [Google Scholar] [CrossRef]
- Aliseda, D.; Arredondo, J.; Justicia, S.; Alvarellos, A.; Rodríguez, J.; Matos, I.; Rotellar, F.; Baixauli, J.; Pastor, C. Survival and safety after neoadjuvant chemotherapy or upfront surgery for locally advanced colon cancer: Meta-analysis. BR J. Surg. 2024, 111, znae021. [Google Scholar] [CrossRef] [PubMed]
- Laursen, M.; Dohrn, N.; Gögenur, I.; Klein, M.F. Neoadjuvant chemotherapy in patients undergoing colonic resection for locally advanced nonmetastatic colon cancer: A nationwide propensity score matched cohort study. Color. Dis. 2022, 24, 954–964. [Google Scholar] [CrossRef] [PubMed]
- Morton, D.; Seymour, M.; Magill, L.; Handley, K.; Glasbey, J.; Glimelius, B.; Palmer, B.; Seligmann, J.; Laurberg, S.; Murakami, K.; et al. FOxTROT Collaborative Group. Preoperative Chemotherapy for Operable Colon Cancer: Mature Results of an International Randomized Controlled Trial. J. Clin. Oncol. 2023, 41, 1541–1552. [Google Scholar] [CrossRef] [PubMed]
- Burton, S.; Brown, G.; Bees, N.; Norman, A.; Biedrzycki, O.; Arnaout, A.; Abulafi, A.M.; Swift, R.I. Accuracy of CT prediction of poor prognostic features in colonic cancer. Br. J. Radiol. 2008, 81, 10–19. [Google Scholar] [CrossRef]
- Silva, R.; Hamidi, M.; Omesiete, P.; Osman, F.; Charlton, C.; Banerjee, S.; Estrada, T.; Nfonsam, V. Does preoperative neoadjuvant chemotherapy impact short-term surgical outcomes in patients with locally advanced colon cancer? Int. J. Color. Dis. 2021, 36, 2127–2134. [Google Scholar] [CrossRef]
- Karahacioglu, D.; Taskin, O.C.; Esmer, R.; Armutlu, A.; Saka, B.; Ozata, I.H.; Rencuzogullari, A.; Bugra, D.; Balik, E.; Adsay, V.; et al. Performance of CT in the locoregional staging of colon cancer: Detailed radiology-pathology correlation with special emphasis on tumor deposits, extramural venous invasion and T staging. Abdom. Radiol. 2024, 49, 1792–1804. [Google Scholar] [CrossRef] [PubMed]
- Sikkenk, D.J.; Sijmons, J.M.L.; Burghgraef, T.A.; Asaggau, I.; Vos, A.; da Costa, D.W.; Somers, I.; Verheijen, P.M.; Dekker, J.T.; Nagengast, W.B.; et al. Nationwide practice in CT-based preoperative staging of colon cancer and concordance with definitive pathology. Eur. J. Surg. Oncol. 2023, 49, 106941. [Google Scholar] [CrossRef] [PubMed]
- Olsen, A.S.F.; Gundestrup, A.K.; Kleif, J.; Thanon, T.; Bertelsen, C.A. Accuracy of preoperative staging with multidetector computed tomography in colon cancer. Color. Dis. 2021, 23, 680–688. [Google Scholar] [CrossRef] [PubMed]
- Greenson, J.K.; Bonner, J.D.; Ben-Yzhak, O.; Cohen, H.I.; Miselevich, I.; Resnick, M.B.; Trougouboff, P.; Tomsho, L.D.; Kim, E.; Low, M.; et al. Phenotype of microsatellite unstable colorectal carcinomas: Well-differentiated and focally muci- nous tumors and the absence of dirty necrosis correlate with microsatellite instability. Am. J. Surg. Pathol. 2003, 27, 563–570. [Google Scholar] [CrossRef]
- Erbs, E.; Rafaelsen, S.R.; Lindebjerg, J.; Jensen, L.H.; Hansen, T.F. The impact of mismatch repair status to the preoperative staging of colon cancer: Implications for clinical management. Color. Cancer 2020, 9, 20. [Google Scholar] [CrossRef]
- Pedersen, M.R.V.; Rafaelsen, S.R.; Lindebjerg, J.; Hansen, T.F.; Rahr, H.B. The Impact of Patient Characteristics and Tumor Biology on the Accuracy of Preoperative Staging of Colon Cancer in Denmark. A Nationwide Cohort Study. Cancers 2021, 13, 4384. [Google Scholar] [CrossRef] [PubMed]
- Platt, J.R.; Ansett, J.; Seligmann, J.F.; West, N.P.; Tolan, D.J.M. The impact of mismatch repair status and systemic inflammatory markers on radiological staging in colon cancer. Br. J. Radiol. 2023, 96, 20230098. [Google Scholar] [CrossRef]
- Hong, E.K.; Chalabi, M.; Landolfi, F.; Castagnoli, F.; Park, S.J.; Sikorska, K.; Aalbers, A.; Berg, J.; Leerdam, M.; Lee, J.M.; et al. Colon cancer CT staging according to mismatch repair status: Comparison and suggestion of imaging features for high-risk colon cancer. Eur. J. Cancer 2022, 174, 165–175. [Google Scholar] [CrossRef] [PubMed]
- Kim, H.; Jen, J.; Vogelstein, B.; Hamilton, S.R. Clinical and pathological characteristics of sporadic colorectal carcinomas with DNA replication errors in microsatellite sequences. Am. J. Pathol. 1994, 145, 148–156. [Google Scholar]
- Gryfe, R.; Kim, H.; Hsieh, E.T.; Aronson, M.D.; Holowaty, E.J.; Bull, S.B.; Redston, M.; Gallinger, S. Tumor microsatellite instability and clinical outcome in young patients with colorectal cancer. N. Engl. J. Med. 2000, 342, 69–77. [Google Scholar] [CrossRef]
- Smith, N.J.; Bees, N.; Barbachano, Y.; Norman, A.R.; Swift, R.I.; Brown, G. Preoperative computed tomography staging of nonmetastatic colon cancer predicts outcome: Implications for clinical trials. Br. J. Cancer 2007, 96, 1030–1036. [Google Scholar] [CrossRef] [PubMed]
- Guimarães, R.B.; Pacheco, E.O.; Ueda, S.N.; Tiferes, D.A.; Mazzucato, F.L.; Talans, A.; Torres, U.S.; D’Ippolito, G. Evaluation of colon cancer prognostic factors by CT and MRI: An up-to-date review. Abdom. Radiol. 2024, 49, 4003–4015. [Google Scholar] [CrossRef] [PubMed]
- Hernández, Y.G.D.A.; Cano-Valderrama, Ó.; Cerdán-Santacruz, C.; Pereira Pérez, F.; Cao, I.A.; Fernández, S.N.; Sarrado, E.A.; Reina, R.O.; Lindenbaum, P.D.; Ameneiro, M.T.; et al. Collaborative Group for the Study of Metachronous Peritoneal Metastases of pT Colon Cancer. Diagnostic Accuracy of Abdominal CT for Locally Advanced Colon Tumors: Can We Really Entrust Certain Decisions to the Reliability of CT? J. Clin. Med. 2023, 12, 6764. [Google Scholar] [CrossRef]
- Fernandez, L.M.; Parlade, A.J.; Wasser, E.J.; Dasilva, G.; Azevedo, R.; Ortega, D.; Perez, R.O.; Habr-Gama, A.; Berho, M.; Wexner, S.D. How Reliable Is CT Scan in Staging Right Colon Cancer? Dis. Colon Rectum 2019, 62, 960–964. [Google Scholar] [CrossRef]
- Wetterholm, E.; Rosén, R.; Rahman, M.; Rönnow, C.F. CT is unreliable in locoregional staging of early colon cancer. Scand. J. Surg. 2023, 112, 33–40. [Google Scholar] [CrossRef] [PubMed]
- Kim, Y.T.; Min, J.H.; Choi, K.H.; Kim, H. Colon cancer microsatellite instability influences computed tomography assessment of regional lymph node morphology and diagnostic performance. Eur. J. Radiol. 2022, 154, 110396. [Google Scholar] [CrossRef] [PubMed]
- Young, J.; Simms, L.A.; Biden, K.G.; Wynter, C.; Whitehall, V.; Karamatic, R.; George, J.; Goldblatt, J.; Walpole, I.; Robin, S.A.; et al. Features of colorectal cancers with high-level microsatellite instability occurring in familial and sporadic settings. Am. J. Pathol. 2001, 159, 2107–2116. [Google Scholar] [CrossRef] [PubMed]
- Chung, Y.C.; Chang, Y.F. Serum C-reactive protein correlates with survival in colorectal cancer patients but is not an independent prognostic indicator. Eur. J. Gastroenterol. Hepatol. 2003, 15, 369–373. [Google Scholar] [CrossRef]
- Pathak, S.; Nunes, Q.M.; Daniels, J.R.; Smart, N.J. Is C-reactive protein useful in prognostication for colorectal cancer? A systematic review. Color. Dis. 2014, 16, 769–776. [Google Scholar] [CrossRef]


| pMMR | dMMR | p-Value | |
|---|---|---|---|
| Age * | 68 (58–75) | 62 (51.75–72.25) | 0.114 |
| Gender (woman) | 40 (38.1%) | 13 (50%) | 0.275 |
| BMI, kg/m2 * | 25 (24–29) | 26 (24–31) | 0.481 |
| Side of the tumor | |||
| Right | 56 (53.3%) | 20 (79.9%) | 0.023 |
| Grade of the tumor | |||
| Good | 14 (13.3%) | 0 | 0.01 |
| Mediate | 86 (81.99%) | 21 (80.7%) | |
| Poor | 5 (4.8%) | 5 (19.3%) | |
| Mucinous component | |||
| Present | 16 (15.2%) | 12 (46.2%) | 0.001 |
| Pathological depth of invasion | |||
| T1 | 4 (3.8%) | 1 (3.8%) | 0.993 |
| T2 | 10 (9.5%) | 2 (7.7%) | |
| T3 | 72 (68.6%) | 18 (69.2%) | |
| T4 | 19 (18.1) | 5 (19.2%) | |
| Pathological lymph node invasion | |||
| N0 | 65 (61.9%) | 14 (53.8%) | 0.726 |
| N1 | 25 (23.8%) | 7 (26.9%) | |
| N2 | 15 (14.3%) | 5 (19.2%) | |
| Inflammatory markers | |||
| CRP, mg/L * | 5.8 (3.45–13.10) | 23.98 (3.65–32.0) | 0.018 |
| Platelet, 103/mm3 * | 307 (245–382.5) | 387 (261.5–500.0) | 0.022 |
| Neutrophil, 103/mm3 * | 4.6 (3.06–5.70) | 5.62 (4.06–6.72) | 0.022 |
| pN0 | pN1 | pN2 | p-Value | |
| CRP, mg/L | 18.48 ∓ 16.95 | 24.47 ∓ 21.27 | 36.68 ∓ 46.64 | 0.337 a |
| Platelet, 103/mm3 | 387.71 ∓ 118.37 | 366 ∓ 141.18 | 374 ∓ 174.64 | 0.939 b |
| Neutrophil, 103/mm3 | 5.19 ∓ 1.34 | 6.66 ∓ 2.24 | 5.38 ∓ 1.44 | 0.169 c |
| pT1,2 * | pT3 | pT4 | p-Value | |
| CRP, mg/L | 4.90 ∓ 5.35 | 19.62 ∓ 16.81 | 51.12 ∓ 40.86 | 0.015 d |
| Platelet, 103/mm3 | 364.0 ∓ 285.67 | 362 ∓ 129.50 | 449.20 ∓ 85.26 | 0.429 e |
| Neutrophil, 103/mm3 | 5.86 ∓ 4.22 | 5.32 ∓ 1.35 | 6.84 ∓ 1.80 | 0.211 f |
| pMMR | dMMR | p-Value | |
|---|---|---|---|
| n = 105 | n = 26 | ||
| Accuracy of T | |||
| Correct | 61 (58.1%) | 10 (38.5%) | 0.194 |
| Overstaged | 34 (32.4%) | 12 (46.2%) | |
| Understaged | 10 (9.5%) | 4 (15.3%) | |
| Accuracy of N | |||
| Correct | 47 (44.8%) | 13 (50%) | 0.56 |
| Overstaged | 54 (51.4%) | 11 (42.3%) | |
| Understaged | 4 (3.8%) | 2 (7.7%) |
| Odds Ratio | 95% CI | p-Value | ||
|---|---|---|---|---|
| Lower | Upper | |||
| Accuracy of T | ||||
| dMMR | 0.577 | 0.199 | 1.669 | 0.31 |
| Gender | 1.174 | 0.512 | 2.694 | 0.705 |
| Age | 0.979 | 0.948 | 1.012 | 0.207 |
| BMI | 0.97 | 0.875 | 1.075 | 0.563 |
| Mucinous c | 0.871 | 0.314 | 2.416 | 0.791 |
| Tumor side | 1.536 | 0.654 | 3.608 | 0.324 |
| CRP | 0.988 | 0.962 | 1.014 | 0.348 |
| Platelet | 1.002 | 0.998 | 1.006 | 0.312 |
| Neutrophil | 1.204 | 0.876 | 1.653 | 0.251 |
| Accuracy of N | ||||
| dMMR | 0.154 | 0.023 | 1.033 | 0.054 |
| Gender | 0.823 | 0.214 | 3.168 | 0.777 |
| Age | 1.032 | 0.977 | 1.091 | 0.259 |
| BMI | 1.024 | 0.865 | 1.213 | 0.784 |
| Mucinous c | 1.5 | 0.295 | 7.639 | 0.625 |
| Tumor side | 0.744 | 0.186 | 2.981 | 0.676 |
| CRP | 0.962 | 0.897 | 1.032 | 0.282 |
| Platelet | 0.996 | 0.988 | 1.004 | 0.359 |
| Neutrophil | 0.989 | 0.556 | 1.701 | 0.971 |
Disclaimer/Publisher’s Note: The statements, opinions and data contained in all publications are solely those of the individual author(s) and contributor(s) and not of MDPI and/or the editor(s). MDPI and/or the editor(s) disclaim responsibility for any injury to people or property resulting from any ideas, methods, instructions or products referred to in the content. |
© 2025 by the authors. Licensee MDPI, Basel, Switzerland. This article is an open access article distributed under the terms and conditions of the Creative Commons Attribution (CC BY) license (https://creativecommons.org/licenses/by/4.0/).
Share and Cite
Yavuz, R.; Aras, O.; Çiyiltepe, H.; Dinçer, O.İ.; Alparslan, A.Ş.; Çakır, T. Effects of Microsatellite Instability on the Clinical and Pathological Characteristics of Colon Cancer and the Diagnostic Accuracy of Preoperative Abdominal CT Scans. Diagnostics 2025, 15, 190. https://doi.org/10.3390/diagnostics15020190
Yavuz R, Aras O, Çiyiltepe H, Dinçer Oİ, Alparslan AŞ, Çakır T. Effects of Microsatellite Instability on the Clinical and Pathological Characteristics of Colon Cancer and the Diagnostic Accuracy of Preoperative Abdominal CT Scans. Diagnostics. 2025; 15(2):190. https://doi.org/10.3390/diagnostics15020190
Chicago/Turabian StyleYavuz, Rıdvan, Orhan Aras, Hüseyin Çiyiltepe, Onur İlkay Dinçer, Ahmet Şükrü Alparslan, and Tebessüm Çakır. 2025. "Effects of Microsatellite Instability on the Clinical and Pathological Characteristics of Colon Cancer and the Diagnostic Accuracy of Preoperative Abdominal CT Scans" Diagnostics 15, no. 2: 190. https://doi.org/10.3390/diagnostics15020190
APA StyleYavuz, R., Aras, O., Çiyiltepe, H., Dinçer, O. İ., Alparslan, A. Ş., & Çakır, T. (2025). Effects of Microsatellite Instability on the Clinical and Pathological Characteristics of Colon Cancer and the Diagnostic Accuracy of Preoperative Abdominal CT Scans. Diagnostics, 15(2), 190. https://doi.org/10.3390/diagnostics15020190

