Cardiac Magnetic Resonance Imaging in Diagnostics and Cardiovascular Risk Assessment
Abstract
1. Introduction
2. Prognostic Value of Left Ventricular Hypertrophy Type
3. The Indexing Process of LVM in Cardiovascular Risk Stratification
4. Importance of Standard CMR Parameters in Cardiovascular Risk Assessment
4.1. Cardiac Function Parameters Assessed in CMR and Risk Prediction
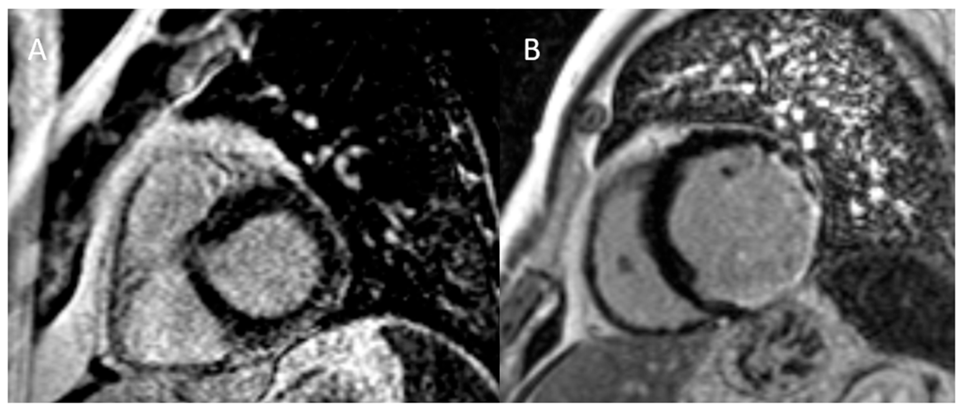
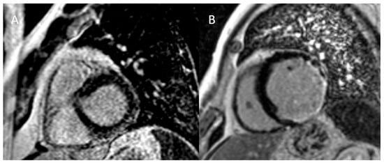
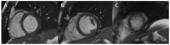
4.2. Parameters Allowing for Tissue Characterization in CMR and Risk Prediction
4.3. Role of CMR in Cardiovascular Procedures
5. Stress CMR and Cardiovascular Risk Prediction
6. Novel Techniques in CMR in Cardiovascular Risk Stratification
6.1. Diffusion Tensor Imaging
6.2. Strain Imaging
7. Limitations
8. Future Perspectives
9. Conclusions
Author Contributions
Funding
Institutional Review Board Statement
Informed Consent Statement
Data Availability Statement
Conflicts of Interest
References
- Leiner, T.; Bogaert, J.; Friedrich, M.G.; Mohiaddin, R.; Muthurangu, V.; Myerson, S.; Powell, A.J.; Raman, S.V.; Pennell, D.J. SCMR Position Paper (2020) on clinical indications for cardiovascular magnetic resonance. J. Cardiovasc. Magn. Reson. 2020, 22, 76. [Google Scholar] [CrossRef] [PubMed]
- Kramer, C.M.; Barkhausen, J.; Bucciarelli-Ducci, C.; Flamm, S.D.; Kim, R.J.; Nagel, E. Standardized cardiovascular magnetic resonance imaging (CMR) protocols: 2020 update. J. Cardiovasc. Magn. Reson. 2020, 22, 17. [Google Scholar] [CrossRef] [PubMed]
- Matusik, P.S.; Zhong, C.; Matusik, P.T.; Alomar, O.; Stein, P.K. Neuroimaging Studies of the Neural Correlates of Heart Rate Variability: A Systematic Review. J. Clin. Med. 2023, 12, 1016. [Google Scholar] [CrossRef] [PubMed]
- Di Marco, A.; Anguera, I.; Schmitt, M.; Klem, I.; Neilan, T.G.; White, J.A.; Sramko, M.; Masci, P.G.; Barison, A.; McKenna, P.; et al. Late Gadolinium Enhancement and the Risk for Ventricular Arrhythmias or Sudden Death in Dilated Cardiomyopathy: Systematic Review and Meta-Analysis. JACC Heart Fail. 2017, 5, 28–38. [Google Scholar] [CrossRef]
- Reinstadler, S.J.; Thiele, H.; Eitel, I. Risk stratification by cardiac magnetic resonance imaging after ST-elevation myocardial infarction. Curr. Opin. Cardiol. 2015, 30, 681–689. [Google Scholar] [CrossRef]
- Chung, C.T.; Bazoukis, G.; Radford, D.; Coakley-Youngs, E.; Rajan, R.; Matusik, P.T.; Liu, T.; Letsas, K.P.; Lee, S.; Tse, G. Predictive risk models for forecasting arrhythmic outcomes in Brugada syndrome: A focused review. J. Electrocardiol. 2022, 72, 28–34. [Google Scholar] [CrossRef]
- Assomull, R.G.; Prasad, S.K.; Lyne, J.; Smith, G.; Burman, E.D.; Khan, M.; Sheppard, M.N.; Poole-Wilson, P.A.; Pennell, D.J. Cardiovascular magnetic resonance, fibrosis, and prognosis in dilated cardiomyopathy. J. Am. Coll. Cardiol. 2006, 48, 1977–1985. [Google Scholar] [CrossRef]
- Gulati, A.; Jabbour, A.; Ismail, T.F.; Guha, K.; Khwaja, J.; Raza, S.; Morarji, K.; Brown, T.D.; Ismail, N.A.; Dweck, M.R.; et al. Association of fibrosis with mortality and sudden cardiac death in patients with nonischemic dilated cardiomyopathy. JAMA 2013, 309, 896–908. [Google Scholar] [CrossRef]
- Kwon, D.H.; Obuchowski, N.A.; Marwick, T.H.; Menon, V.; Griffin, B.; Flamm, S.D.; Hachamovitch, R. Jeopardized Myocardium Defined by Late Gadolinium Enhancement Magnetic Resonance Imaging Predicts Survival in Patients with Ischemic Cardiomyopathy: Impact of Revascularization. J. Am. Heart Assoc. 2018, 7, e009394. [Google Scholar] [CrossRef]
- Di Bella, G.; Siciliano, V.; Aquaro, G.D.; Molinaro, S.; Lombardi, M.; Carerj, S.; Landi, P.; Rovai, D.; Pingitore, A. Scar extent, left ventricular end-diastolic volume, and wall motion abnormalities identify high-risk patients with previous myocardial infarction: A multiparametric approach for prognostic stratification. Eur. Heart J. 2013, 34, 104–111. [Google Scholar] [CrossRef]
- Brown, P.F.; Miller, C.; Di Marco, A.; Schmitt, M. Towards cardiac MRI based risk stratification in idiopathic dilated cardiomyopathy. Heart 2018, 105, 270–275. [Google Scholar] [CrossRef] [PubMed]
- Shanbhag, S.M.; Greve, A.M.; Aspelund, T.; Schelbert, E.B.; Cao, J.J.; Danielsen, R.; Thornorgeirsson, G.; Sigurethsson, S.; Eiriksdottir, G.; Harris, T.B.; et al. Prevalence and prognosis of ischaemic and non-ischaemic myocardial fibrosis in older adults. Eur. Heart J. 2019, 40, 529–538. [Google Scholar] [CrossRef] [PubMed]
- Kwong, R.Y.; Chan, A.K.; Brown, K.A.; Chan, C.W.; Reynolds, H.G.; Tsang, S.; Davis, R.B. Impact of unrecognized myocardial scar detected by cardiac magnetic resonance imaging on event-free survival in patients presenting with signs or symptoms of coronary artery disease. Circulation 2006, 113, 2733–2743. [Google Scholar] [CrossRef] [PubMed]
- Chan, R.H.; Maron, B.J.; Olivotto, I.; Pencina, M.J.; Assenza, G.E.; Haas, T.; Lesser, J.R.; Gruner, C.; Crean, A.M.; Rakowski, H.; et al. Prognostic value of quantitative contrast-enhanced cardiovascular magnetic resonance for the evaluation of sudden death risk in patients with hypertrophic cardiomyopathy. Circulation 2014, 130, 484–495. [Google Scholar] [CrossRef]
- Levy, D.; Garrison, R.J.; Savage, D.D.; Kannel, W.B.; Castelli, W.P. Prognostic implications of echocardiographically determined left ventricular mass in the Framingham Heart Study. N. Engl. J. Med. 1990, 322, 1561–1566. [Google Scholar] [CrossRef]
- Bluemke, D.A.; Kronmal, R.A.; Lima, J.A.; Liu, K.; Olson, J.; Burke, G.L.; Folsom, A.R. The relationship of left ventricular mass and geometry to incident cardiovascular events: The MESA (Multi-Ethnic Study of Atherosclerosis) study. J. Am. Coll. Cardiol. 2008, 52, 2148–2155. [Google Scholar] [CrossRef]
- Verma, A.; Meris, A.; Skali, H.; Ghali, J.K.; Arnold, J.M.; Bourgoun, M.; Velazquez, E.J.; McMurray, J.J.; Kober, L.; Pfeffer, M.A.; et al. Prognostic implications of left ventricular mass and geometry following myocardial infarction: The VALIANT (VALsartan In Acute myocardial iNfarcTion) Echocardiographic Study. JACC Cardiovasc. Imaging 2008, 1, 582–591. [Google Scholar] [CrossRef]
- Matusik, P.S.; Bryll, A.; Pac, A.; Popiela, T.J.; Matusik, P.T. Clinical Data, Chest Radiograph and Electrocardiography in the Screening for Left Ventricular Hypertrophy: The CAR(2)E(2) Score. J. Clin. Med. 2022, 11, 3585. [Google Scholar] [CrossRef]
- Chinali, M.; Aurigemma, G.P. Refining patterns of left ventricular hypertrophy using cardiac MRI: “brother, can you spare a paradigm?”. Circ. Cardiovasc. Imaging 2010, 3, 129–131. [Google Scholar] [CrossRef]
- Khouri, M.G.; Peshock, R.M.; Ayers, C.R.; de Lemos, J.A.; Drazner, M.H. A 4-tiered classification of left ventricular hypertrophy based on left ventricular geometry: The Dallas heart study. Circ. Cardiovasc. Imaging 2010, 3, 164–171. [Google Scholar] [CrossRef]
- Bang, C.N.; Gerdts, E.; Aurigemma, G.P.; Boman, K.; de Simone, G.; Dahlof, B.; Kober, L.; Wachtell, K.; Devereux, R.B. Four-group classification of left ventricular hypertrophy based on ventricular concentricity and dilatation identifies a low-risk subset of eccentric hypertrophy in hypertensive patients. Circ. Cardiovasc. Imaging 2014, 7, 422–429. [Google Scholar] [CrossRef] [PubMed]
- Cuspidi, C.; Facchetti, R.; Bombelli, M.; Sala, C.; Tadic, M.; Grassi, G.; Mancia, G. Risk of mortality in relation to an updated classification of left ventricular geometric abnormalities in a general population: The Pamela study. J. Hypertens. 2015, 33, 2133–2140. [Google Scholar] [CrossRef] [PubMed]
- Klem, I.; Shah, D.J.; White, R.D.; Pennell, D.J.; van Rossum, A.C.; Regenfus, M.; Sechtem, U.; Schvartzman, P.R.; Hunold, P.; Croisille, P.; et al. Prognostic value of routine cardiac magnetic resonance assessment of left ventricular ejection fraction and myocardial damage: An international, multicenter study. Circ. Cardiovasc. Imaging 2011, 4, 610–619. [Google Scholar] [CrossRef] [PubMed]
- Kim, H.M.; Hwang, I.C.; Choi, H.M.; Yoon, Y.E.; Cho, G.Y. Prognostic implication of left ventricular hypertrophy regression after antihypertensive therapy in patients with hypertension. Front. Cardiovasc. Med. 2022, 9, 1082008. [Google Scholar] [CrossRef]
- McEvoy, J.W.; McCarthy, C.P.; Bruno, R.M.; Brouwers, S.; Canavan, M.D.; Ceconi, C.; Christodorescu, R.M.; Daskalopoulou, S.S.; Ferro, C.J.; Gerdts, E.; et al. 2024 ESC Guidelines for the management of elevated blood pressure and hypertension. Eur. Heart J. 2024, 45, 3912–4018. [Google Scholar] [CrossRef]
- Sayin, B.Y.; Oto, A. Left Ventricular Hypertrophy: Etiology-Based Therapeutic Options. Cardiol. Ther. 2022, 11, 203–230. [Google Scholar] [CrossRef]
- Arbelo, E.; Protonotarios, A.; Gimeno, J.R.; Arbustini, E.; Barriales-Villa, R.; Basso, C.; Bezzina, C.R.; Biagini, E.; Blom, N.A.; de Boer, R.A.; et al. 2023 ESC Guidelines for the management of cardiomyopathies. Eur. Heart J. 2023, 44, 3503–3626. [Google Scholar] [CrossRef]
- Stewart, M.H.; Lavie, C.J.; Shah, S.; Englert, J.; Gilliland, Y.; Qamruddin, S.; Dinshaw, H.; Cash, M.; Ventura, H.; Milani, R. Prognostic Implications of Left Ventricular Hypertrophy. Prog. Cardiovasc. Dis. 2018, 61, 446–455. [Google Scholar] [CrossRef]
- Matusik, P.T.; Heleniak, Z.; Papuga-Szela, E.; Plens, K.; Lelakowski, J.; Undas, A. Chronic Kidney Disease and Its Impact on a Prothrombotic State in Patients with Atrial Fibrillation. J. Clin. Med. 2020, 9, 2476. [Google Scholar] [CrossRef]
- Khalid, K.; Padda, J.; Ismail, D.; Abdullah, M.; Gupta, D.; Pradeep, R.; Hameed, W.; Cooper, A.C.; Jean-Charles, G. Correlation of Coronary Artery Disease and Left Ventricular Hypertrophy. Cureus 2021, 13, e17550. [Google Scholar] [CrossRef]
- Stein, E.J.; Fearon, W.F.; Elmariah, S.; Kim, J.B.; Kapadia, S.; Kumbhani, D.J.; Gillam, L.; Whisenant, B.; Quader, N.; Zajarias, A.; et al. Left Ventricular Hypertrophy and Biomarkers of Cardiac Damage and Stress in Aortic Stenosis. J. Am. Heart Assoc. 2022, 11, e023466. [Google Scholar] [CrossRef] [PubMed]
- Rawlins, J.; Bhan, A.; Sharma, S. Left ventricular hypertrophy in athletes. Eur. J. Echocardiogr. 2009, 10, 350–356. [Google Scholar] [CrossRef] [PubMed]
- Gerdts, E.; Cramariuc, D.; de Simone, G.; Wachtell, K.; Dahlof, B.; Devereux, R.B. Impact of left ventricular geometry on prognosis in hypertensive patients with left ventricular hypertrophy (the LIFE study). Eur. J. Echocardiogr. 2008, 9, 809–815. [Google Scholar] [CrossRef]
- Chirinos, J.A.; Segers, P.; De Buyzere, M.L.; Kronmal, R.A.; Raja, M.W.; De Bacquer, D.; Claessens, T.; Gillebert, T.C.; St John-Sutton, M.; Rietzschel, E.R. Left ventricular mass: Allometric scaling, normative values, effect of obesity, and prognostic performance. Hypertension 2010, 56, 91–98. [Google Scholar] [CrossRef]
- De Simone, G.; Devereux, R.B. Method errors or unexplained biological information? Hypertension 2010, 56, e177–e178. [Google Scholar] [CrossRef][Green Version]
- Chirinos, J.A.; Gillebert, T.C.; Segers, P.; De Buyzere, M.L.; Kronmal, R.; Raja, M.W.; De Bacquer, D.; St John-Sutton, M.; Rietzschel, E.R. Response to Method errors or unexplained biological information? Hypertension 2011, 57, e9–e10. [Google Scholar] [CrossRef]
- Armstrong, A.C.; Gidding, S.; Gjesdal, O.; Wu, C.; Bluemke, D.A.; Lima, J.A. LV mass assessed by echocardiography and CMR, cardiovascular outcomes, and medical practice. JACC Cardiovasc. Imaging 2012, 5, 837–848. [Google Scholar] [CrossRef]
- Petersen, S.E.; Aung, N.; Sanghvi, M.M.; Zemrak, F.; Fung, K.; Paiva, J.M.; Francis, J.M.; Khanji, M.Y.; Lukaschuk, E.; Lee, A.M.; et al. Reference ranges for cardiac structure and function using cardiovascular magnetic resonance (CMR) in Caucasians from the UK Biobank population cohort. J. Cardiovasc. Magn. Reson. 2017, 19, 18. [Google Scholar] [CrossRef]
- Lang, R.M.; Badano, L.P.; Mor-Avi, V.; Afilalo, J.; Armstrong, A.; Ernande, L.; Flachskampf, F.A.; Foster, E.; Goldstein, S.A.; Kuznetsova, T.; et al. Recommendations for cardiac chamber quantification by echocardiography in adults: An update from the American Society of Echocardiography and the European Association of Cardiovascular Imaging. Eur. Heart J. Cardiovasc. Imaging 2015, 16, 233–270. [Google Scholar] [CrossRef]
- Dewey, F.E.; Rosenthal, D.; Murphy, D.J., Jr.; Froelicher, V.F.; Ashley, E.A. Does size matter? Clinical applications of scaling cardiac size and function for body size. Circulation 2008, 117, 2279–2287. [Google Scholar] [CrossRef]
- Brumback, L.C.; Kronmal, R.; Heckbert, S.R.; Ni, H.; Hundley, W.G.; Lima, J.A.; Bluemke, D.A. Body size adjustments for left ventricular mass by cardiovascular magnetic resonance and their impact on left ventricular hypertrophy classification. Int. J. Cardiovasc. Imaging 2010, 26, 459–468. [Google Scholar] [CrossRef] [PubMed]
- Jain, A.; McClelland, R.L.; Polak, J.F.; Shea, S.; Burke, G.L.; Bild, D.E.; Watson, K.E.; Budoff, M.J.; Liu, K.; Post, W.S.; et al. Cardiovascular imaging for assessing cardiovascular risk in asymptomatic men versus women: The multi-ethnic study of atherosclerosis (MESA). Circ. Cardiovasc. Imaging 2011, 4, 8–15. [Google Scholar] [CrossRef] [PubMed]
- Gidding, S.S. Controversies in the assessment of left ventricular mass. Hypertension 2010, 56, 26–28. [Google Scholar] [CrossRef] [PubMed][Green Version]
- Matusik, P.S.; Bryll, A.; Matusik, P.T.; Pac, A.; Popiela, T.J. Electrocardiography and cardiac magnetic resonance imaging in the detection of left ventricular hypertrophy: The impact of indexing methods. Kardiol. Pol. 2020, 78, 889–898. [Google Scholar] [CrossRef]
- Vitale, G.; Galderisi, M.; Pivonello, R.; Spinelli, L.; Ciccarelli, A.; de Divitiis, O.; Lombardi, G.; Colao, A. Prevalence and determinants of left ventricular hypertrophy in acromegaly: Impact of different methods of indexing left ventricular mass. Clin. Endocrinol. 2004, 60, 343–349. [Google Scholar] [CrossRef]
- Chuang, M.L.; Gona, P.; Hautvast, G.L.; Salton, C.J.; Breeuwer, M.; O’Donnell, C.J.; Manning, W.J. CMR reference values for left ventricular volumes, mass, and ejection fraction using computer-aided analysis: The Framingham Heart Study. J. Magn. Reson. Imaging 2014, 39, 895–900. [Google Scholar] [CrossRef]
- Luu, J.M.; Gebhard, C.; Ramasundarahettige, C.; Desai, D.; Schulze, K.; Marcotte, F.; Awadalla, P.; Broet, P.; Dummer, T.; Hicks, J.; et al. Normal sex and age-specific parameters in a multi-ethnic population: A cardiovascular magnetic resonance study of the Canadian Alliance for Healthy Hearts and Minds cohort. J. Cardiovasc. Magn. Reson. 2022, 24, 2. [Google Scholar] [CrossRef]
- Natori, S.; Lai, S.; Finn, J.P.; Gomes, A.S.; Hundley, W.G.; Jerosch-Herold, M.; Pearson, G.; Sinha, S.; Arai, A.; Lima, J.A.; et al. Cardiovascular function in multi-ethnic study of atherosclerosis: Normal values by age, sex, and ethnicity. AJR Am. J. Roentgenol. 2006, 186, S357–S365. [Google Scholar] [CrossRef]
- Buckert, D.; Kelle, S.; Buss, S.; Korosoglou, G.; Gebker, R.; Birkemeyer, R.; Rottbauer, W.; Katus, H.; Pieske, B.; Bernhardt, P. Left ventricular ejection fraction and presence of myocardial necrosis assessed by cardiac magnetic resonance imaging correctly risk stratify patients with stable coronary artery disease: A multi-center all-comers trial. Clin. Res. Cardiol. 2017, 106, 219–229. [Google Scholar] [CrossRef]
- Casas, G.; Limeres, J.; Oristrell, G.; Gutierrez-Garcia, L.; Andreini, D.; Borregan, M.; Larranaga-Moreira, J.M.; Lopez-Sainz, A.; Codina-Sola, M.; Teixido-Tura, G.; et al. Clinical Risk Prediction in Patients With Left Ventricular Myocardial Noncompaction. J. Am. Coll. Cardiol. 2021, 78, 643–662. [Google Scholar] [CrossRef]
- Yi, L.; Zhu, T.; Qu, X.; Buayiximu, K.; Feng, S.; Zhu, Z.; Ni, J.; Du, R.; Zhu, J.; Wang, X.; et al. Predictive value of early left ventricular end-diastolic volume changes for late left ventricular remodeling after ST-elevation myocardial infarction. Cardiol. J. 2024, 31, 451–460. [Google Scholar] [CrossRef] [PubMed]
- Reindl, M.; Reinstadler, S.J.; Tiller, C.; Feistritzer, H.J.; Kofler, M.; Brix, A.; Mayr, A.; Klug, G.; Metzler, B. Prognosis-based definition of left ventricular remodeling after ST-elevation myocardial infarction. Eur. Radiol. 2019, 29, 2330–2339. [Google Scholar] [CrossRef] [PubMed]
- Das, A.; Plein, S.; Dall’Armellina, E. Role of CMR in Prognostic Stratification in Myocardial Infarction. Rev. Esp. Cardiol. (Engl. Ed.) 2019, 72, 115–119. [Google Scholar] [CrossRef] [PubMed]
- Hashimoto, G.; Enriquez-Sarano, M.; Stanberry, L.I.; Oh, F.; Wang, M.; Acosta, K.; Sato, H.; Lopes, B.B.C.; Fukui, M.; Garcia, S.; et al. Association of Left Ventricular Remodeling Assessment by Cardiac Magnetic Resonance With Outcomes in Patients With Chronic Aortic Regurgitation. JAMA Cardiol. 2022, 7, 924–933. [Google Scholar] [CrossRef]
- Grani, C.; Eichhorn, C.; Biere, L.; Kaneko, K.; Murthy, V.L.; Agarwal, V.; Aghayev, A.; Steigner, M.; Blankstein, R.; Jerosch-Herold, M.; et al. Comparison of myocardial fibrosis quantification methods by cardiovascular magnetic resonance imaging for risk stratification of patients with suspected myocarditis. J. Cardiovasc. Magn. Reson. 2019, 21, 14. [Google Scholar] [CrossRef]
- Laymouna, R.; El-Sharkawy, E.; El-Taha, S.; Elfiky, M. Prognostic value of myocardial scar in ischaemic and non-ischaemic cardiomyopathy using cardiac magnetic resonance imaging. Cardiovasc. J. Afr. 2023, 34, 132–139. [Google Scholar] [CrossRef]
- Parsai, C.; O’Hanlon, R.; Prasad, S.K.; Mohiaddin, R.H. Diagnostic and prognostic value of cardiovascular magnetic resonance in non-ischaemic cardiomyopathies. J. Cardiovasc. Magn. Reson. 2012, 14, 54. [Google Scholar] [CrossRef]
- Matusik, P.S.; Bryll, A.; Matusik, P.T.; Popiela, T.J. Ischemic and non-ischemic patterns of late gadolinium enhancement in heart failure with reduced ejection fraction. Cardiol. J. 2021, 28, 67–76. [Google Scholar] [CrossRef]
- Grela-Wojewoda, A.; Niemiec, J.; Sas-Korczynska, B.; Zemelka, T.; Puskulluoglu, M.; Wysocki, W.M.; Wojewoda, T.; Pacholczak-Madej, R.; Adamczyk, A.; Mucha-Malecka, A.; et al. Adjuvant combined therapy with trastuzumab in patients with HER2- positive breast cancer and cardiac alterations: Implications for optimal cardio-oncology care. Pol. Arch. Intern. Med. 2022, 132, 16204. [Google Scholar] [CrossRef]
- Freitas, P.; Ferreira, A.M.; Arteaga-Fernandez, E.; de Oliveira Antunes, M.; Mesquita, J.; Abecasis, J.; Marques, H.; Saraiva, C.; Matos, D.N.; Rodrigues, R.; et al. The amount of late gadolinium enhancement outperforms current guideline-recommended criteria in the identification of patients with hypertrophic cardiomyopathy at risk of sudden cardiac death. J. Cardiovasc. Magn. Reson. 2019, 21, 50. [Google Scholar] [CrossRef]
- Green, J.J.; Berger, J.S.; Kramer, C.M.; Salerno, M. Prognostic value of late gadolinium enhancement in clinical outcomes for hypertrophic cardiomyopathy. JACC Cardiovasc. Imaging 2012, 5, 370–377. [Google Scholar] [CrossRef] [PubMed]
- Briasoulis, A.; Mallikethi-Reddy, S.; Palla, M.; Alesh, I.; Afonso, L. Myocardial fibrosis on cardiac magnetic resonance and cardiac outcomes in hypertrophic cardiomyopathy: A meta-analysis. Heart 2015, 101, 1406–1411. [Google Scholar] [CrossRef] [PubMed]
- Reindl, M.; Eitel, I.; Reinstadler, S.J. Role of Cardiac Magnetic Resonance to Improve Risk Prediction Following Acute ST-Elevation Myocardial Infarction. J. Clin. Med. 2020, 9, 1041. [Google Scholar] [CrossRef] [PubMed]
- Yan, A.T.; Shayne, A.J.; Brown, K.A.; Gupta, S.N.; Chan, C.W.; Luu, T.M.; Di Carli, M.F.; Reynolds, H.G.; Stevenson, W.G.; Kwong, R.Y. Characterization of the peri-infarct zone by contrast-enhanced cardiac magnetic resonance imaging is a powerful predictor of post-myocardial infarction mortality. Circulation 2006, 114, 32–39. [Google Scholar] [CrossRef] [PubMed]
- Ota, S.; Orii, M.; Nishiguchi, T.; Yokoyama, M.; Matsushita, R.; Takemoto, K.; Tanimoto, T.; Hirata, K.; Hozumi, T.; Akasaka, T. Implications of multiple late gadolinium enhancement lesions on the frequency of left ventricular reverse remodeling and prognosis in patients with non-ischemic cardiomyopathy. J. Cardiovasc. Magn. Reson. 2021, 23, 32. [Google Scholar] [CrossRef]
- Ommen, S.R.; Mital, S.; Burke, M.A.; Day, S.M.; Deswal, A.; Elliott, P.; Evanovich, L.L.; Hung, J.; Joglar, J.A.; Kantor, P.; et al. 2020 AHA/ACC Guideline for the Diagnosis and Treatment of Patients With Hypertrophic Cardiomyopathy: A Report of the American College of Cardiology/American Heart Association Joint Committee on Clinical Practice Guidelines. J. Am. Coll. Cardiol. 2020, 76, e159–e240. [Google Scholar] [CrossRef]
- Weng, Z.; Yao, J.; Chan, R.H.; He, J.; Yang, X.; Zhou, Y.; He, Y. Prognostic Value of LGE-CMR in HCM: A Meta-Analysis. JACC Cardiovasc. Imaging 2016, 9, 1392–1402. [Google Scholar] [CrossRef]
- Matusik, P.; Dubiel, M.; Wizner, B.; Fedyk-Lukasik, M.; Zdrojewski, T.; Opolski, G.; Dubiel, J.; Grodzicki, T. Age-related gap in the management of heart failure patients. The National Project of Prevention and Treatment of Cardiovascular Diseases—POLKARD. Cardiol. J. 2012, 19, 146–152. [Google Scholar] [CrossRef]
- Canton, L.; Suma, N.; Amicone, S.; Impellizzeri, A.; Bodega, F.; Marinelli, V.; Ciarlantini, M.; Casuso, M.; Bavuso, L.; Bela, R.; et al. Clinical impact of multimodality assessment of myocardial viability. Echocardiography 2024, 41, e15854. [Google Scholar] [CrossRef]
- Ghobrial, M.; Bawamia, B.; Cartlidge, T.; Spyridopoulos, I.; Kunadian, V.; Zaman, A.; Egred, M.; McDiarmid, A.; Williams, M.; Farag, M.; et al. Microvascular Obstruction in Acute Myocardial Infarction, a Potential Therapeutic Target. J. Clin. Med. 2023, 12, 5934. [Google Scholar] [CrossRef]
- Josa-Laorden, C.; Rubio-Gracia, J.; Sanchez-Marteles, M.; Torcal, P.; Garces-Horna, V.; Sola-Martinez, A.; Inigo, P.; Gimenez-Lopez, I.; Perez-Calvo, J.I. Elevated urinary kidney injury molecule 1 at discharge strongly predicts early mortality following an episode of acute decompensated heart failure. Pol. Arch. Intern. Med. 2022, 132, 16284. [Google Scholar] [CrossRef] [PubMed]
- Pavon, A.G.; Martinez Fernandez, R.; Arangalage, D.; Bergamaschi, L.; Maurizi, N.; Colombier, S.; Rotman, S.; Nowacka, A.; Bouchardy, J.; Schwitter, J.; et al. Prevalence of Pericardial Late Gadolinium Enhancement in Patients After Cardiac Surgery: Clinical and Histological Correlations. Circ. Cardiovasc. Imaging 2023, 16, e015606. [Google Scholar] [CrossRef] [PubMed]
- Kim, P.K.; Hong, Y.J.; Im, D.J.; Suh, Y.J.; Park, C.H.; Kim, J.Y.; Chang, S.; Lee, H.J.; Hur, J.; Kim, Y.J.; et al. Myocardial T1 and T2 Mapping: Techniques and Clinical Applications. Korean J. Radiol. 2017, 18, 113–131. [Google Scholar] [CrossRef]
- Van der Bijl, P.; Podlesnikar, T.; Bax, J.J.; Delgado, V. Sudden Cardiac Death Risk Prediction: The Role of Cardiac Magnetic Resonance Imaging. Rev. Esp. Cardiol. (Engl. Ed.) 2018, 71, 961–970. [Google Scholar] [CrossRef]
- Bordonaro, V.; Bivort, D.; Dresselaers, T.; De Langhe, E.; Bogaert, J.; Symons, R. Myocardial T1 mapping and extracellular volume quantification as novel biomarkers in risk stratification of patients with systemic sclerosis. Clin. Radiol. 2021, 76, 162.e161–162.e168. [Google Scholar] [CrossRef]
- Banypersad, S.M.; Fontana, M.; Maestrini, V.; Sado, D.M.; Captur, G.; Petrie, A.; Piechnik, S.K.; Whelan, C.J.; Herrey, A.S.; Gillmore, J.D.; et al. T1 mapping and survival in systemic light-chain amyloidosis. Eur. Heart J. 2015, 36, 244–251. [Google Scholar] [CrossRef]
- Vita, T.; Grani, C.; Abbasi, S.A.; Neilan, T.G.; Rowin, E.; Kaneko, K.; Coelho-Filho, O.; Watanabe, E.; Mongeon, F.P.; Farhad, H.; et al. Comparing CMR Mapping Methods and Myocardial Patterns Toward Heart Failure Outcomes in Nonischemic Dilated Cardiomyopathy. JACC Cardiovasc. Imaging 2019, 12, 1659–1669. [Google Scholar] [CrossRef]
- Wong, T.C.; Piehler, K.; Meier, C.G.; Testa, S.M.; Klock, A.M.; Aneizi, A.A.; Shakesprere, J.; Kellman, P.; Shroff, S.G.; Schwartzman, D.S.; et al. Association between extracellular matrix expansion quantified by cardiovascular magnetic resonance and short-term mortality. Circulation 2012, 126, 1206–1216. [Google Scholar] [CrossRef]
- Lonborg, J.; Engstrom, T. Cardiovascular Magnetic Resonance for Risk Stratification in Patients With ST-Segment-Elevation Myocardial Infarction: A Novel Tool to Tailor Therapy or Emperor’s New Clothes? Circ. Cardiovasc. Imaging 2017, 10, e007108. [Google Scholar] [CrossRef]
- Kramer, C.M. Role of Cardiac MR Imaging in Cardiomyopathies. J. Nucl. Med. 2015, 56 (Suppl. S4), 39S–45S. [Google Scholar] [CrossRef]
- Kramer, C.M.; Chandrashekhar, Y. Multiparametric CMR in Cardiomyopathies: Beyond Diagnosis and Toward Prognosis. JACC Cardiovasc. Imaging 2019, 12 Pt 2, 1712–1714. [Google Scholar] [CrossRef] [PubMed]
- Schumm, J.; Greulich, S.; Wagner, A.; Grun, S.; Ong, P.; Bentz, K.; Klingel, K.; Kandolf, R.; Bruder, O.; Schneider, S.; et al. Cardiovascular magnetic resonance risk stratification in patients with clinically suspected myocarditis. J. Cardiovasc. Magn. Reson. 2014, 16, 14. [Google Scholar] [CrossRef] [PubMed]
- Liang, K.; Nakou, E.; Del Buono, M.G.; Montone, R.A.; D’Amario, D.; Bucciarelli-Ducci, C. The Role of Cardiac Magnetic Resonance in Myocardial Infarction and Non-obstructive Coronary Arteries. Front. Cardiovasc. Med. 2021, 8, 821067. [Google Scholar] [CrossRef] [PubMed]
- Mileva, N.; Paolisso, P.; Gallinoro, E.; Fabbricatore, D.; Munhoz, D.; Bergamaschi, L.; Belmonte, M.; Panayotov, P.; Pizzi, C.; Barbato, E.; et al. Diagnostic and Prognostic Role of Cardiac Magnetic Resonance in MINOCA: Systematic Review and Meta-Analysis. JACC Cardiovasc. Imaging 2023, 16, 376–389. [Google Scholar] [CrossRef]
- Bergamaschi, L.; Landi, A.; Maurizi, N.; Pizzi, C.; Leo, L.A.; Arangalage, D.; Iglesias, J.F.; Eeckhout, E.; Schwitter, J.; Valgimigli, M.; et al. Acute Response of the Noninfarcted Myocardium and Surrounding Tissue Assessed by T2 Mapping After STEMI. JACC Cardiovasc. Imaging 2024, 17, 610–621. [Google Scholar] [CrossRef]
- Carrick, D.; Haig, C.; Rauhalammi, S.; Ahmed, N.; Mordi, I.; McEntegart, M.; Petrie, M.C.; Eteiba, H.; Hood, S.; Watkins, S.; et al. Prognostic significance of infarct core pathology revealed by quantitative non-contrast in comparison with contrast cardiac magnetic resonance imaging in reperfused ST-elevation myocardial infarction survivors. Eur. Heart J. 2016, 37, 1044–1059. [Google Scholar] [CrossRef]
- Bergamaschi, L.; Maurizi, N.; Arangalage, D.; Pizzi, C.; Valgimigli, M.; Leo, L.A.; Iglesias, J.F.; Eeckhout, E.; Schwitter, J.; Masci, P.G.; et al. Increased hepatic T1 values are correlated with right ventricular involvement and congestion after ST-segment elevation myocardial infarction. Eur. Heart J.-Cardiovasc. Imaging 2023, 24 (Suppl. S1), jead119-109. [Google Scholar] [CrossRef]
- Alexandre, J.; Saloux, E.; Dugue, A.E.; Lebon, A.; Lemaitre, A.; Roule, V.; Labombarda, F.; Provost, N.; Gomes, S.; Scanu, P.; et al. Scar extent evaluated by late gadolinium enhancement CMR: A powerful predictor of long term appropriate ICD therapy in patients with coronary artery disease. J. Cardiovasc. Magn. Reson. 2013, 15, 12. [Google Scholar] [CrossRef]
- Scott, P.A.; Morgan, J.M.; Carroll, N.; Murday, D.C.; Roberts, P.R.; Peebles, C.R.; Harden, S.P.; Curzen, N.P. The extent of left ventricular scar quantified by late gadolinium enhancement MRI is associated with spontaneous ventricular arrhythmias in patients with coronary artery disease and implantable cardioverter-defibrillators. Circ. Arrhythm. Electrophysiol. 2011, 4, 324–330. [Google Scholar] [CrossRef]
- Demirel, F.; Adiyaman, A.; Timmer, J.R.; Dambrink, J.H.; Kok, M.; Boeve, W.J.; Elvan, A. Myocardial scar characteristics based on cardiac magnetic resonance imaging is associated with ventricular tachyarrhythmia in patients with ischemic cardiomyopathy. Int. J. Cardiol. 2014, 177, 392–399. [Google Scholar] [CrossRef]
- Boye, P.; Abdel-Aty, H.; Zacharzowsky, U.; Bohl, S.; Schwenke, C.; van der Geest, R.J.; Dietz, R.; Schirdewan, A.; Schulz-Menger, J. Prediction of life-threatening arrhythmic events in patients with chronic myocardial infarction by contrast-enhanced CMR. JACC Cardiovasc. Imaging 2011, 4, 871–879. [Google Scholar] [CrossRef] [PubMed]
- Klem, I.; Weinsaft, J.W.; Bahnson, T.D.; Hegland, D.; Kim, H.W.; Hayes, B.; Parker, M.A.; Judd, R.M.; Kim, R.J. Assessment of myocardial scarring improves risk stratification in patients evaluated for cardiac defibrillator implantation. J. Am. Coll. Cardiol. 2012, 60, 408–420. [Google Scholar] [CrossRef] [PubMed]
- Gutman, S.J.; Costello, B.T.; Papapostolou, S.; Voskoboinik, A.; Iles, L.; Ja, J.; Hare, J.L.; Ellims, A.; Kistler, P.M.; Marwick, T.H.; et al. Reduction in mortality from implantable cardioverter-defibrillators in non-ischaemic cardiomyopathy patients is dependent on the presence of left ventricular scar. Eur. Heart J. 2019, 40, 542–550. [Google Scholar] [CrossRef] [PubMed]
- Bleeker, G.B.; Kaandorp, T.A.; Lamb, H.J.; Boersma, E.; Steendijk, P.; de Roos, A.; van der Wall, E.E.; Schalij, M.J.; Bax, J.J. Effect of posterolateral scar tissue on clinical and echocardiographic improvement after cardiac resynchronization therapy. Circulation 2006, 113, 969–976. [Google Scholar] [CrossRef]
- Nakamori, S.; Ngo, L.H.; Rodriguez, J.; Neisius, U.; Manning, W.J.; Nezafat, R. T1 Mapping Tissue Heterogeneity Provides Improved Risk Stratification for ICDs Without Needing Gadolinium in Patients With Dilated Cardiomyopathy. JACC Cardiovasc. Imaging 2020, 13, 1917–1930. [Google Scholar] [CrossRef]
- Chen, Z.; Sohal, M.; Voigt, T.; Sammut, E.; Tobon-Gomez, C.; Child, N.; Jackson, T.; Shetty, A.; Bostock, J.; Cooklin, M.; et al. Myocardial tissue characterization by cardiac magnetic resonance imaging using T1 mapping predicts ventricular arrhythmia in ischemic and non-ischemic cardiomyopathy patients with implantable cardioverter-defibrillators. Heart Rhythm. 2015, 12, 792–801. [Google Scholar] [CrossRef]
- Heitner, J.F.; Kim, R.J.; Kim, H.W.; Klem, I.; Shah, D.J.; Debs, D.; Farzaneh-Far, A.; Polsani, V.; Kim, J.; Weinsaft, J.; et al. Prognostic Value of Vasodilator Stress Cardiac Magnetic Resonance Imaging: A Multicenter Study With 48000 Patient-Years of Follow-up. JAMA Cardiol 2019, 4, 256–264. [Google Scholar] [CrossRef]
- Kwong, R.Y.; Ge, Y.; Steel, K.; Bingham, S.; Abdullah, S.; Fujikura, K.; Wang, W.; Pandya, A.; Chen, Y.Y.; Mikolich, J.R.; et al. Cardiac Magnetic Resonance Stress Perfusion Imaging for Evaluation of Patients With Chest Pain. J. Am. Coll. Cardiol. 2019, 74, 1741–1755. [Google Scholar] [CrossRef]
- Pezel, T.; Unterseeh, T.; Garot, P.; Hovasse, T.; Kinnel, M.; Champagne, S.; Toupin, S.; Sanguineti, F.; Garot, J. Prognostic value of vasodilator stress perfusion cardiovascular magnetic resonance after inconclusive stress testing. J. Cardiovasc. Magn. Reson. 2021, 23, 89. [Google Scholar] [CrossRef]
- Pezel, T.; Unterseeh, T.; Garot, P.; Hovasse, T.; Sanguineti, F.; Toupin, S.; Morisset, S.; Champagne, S.; Garot, J. Long-Term Prognostic Value of Stress Cardiovascular Magnetic Resonance-Related Coronary Revascularization to Predict Death: A Large Registry With >200,000 Patient-Years of Follow-Up. Circ. Cardiovasc. Imaging 2021, 14, e012789. [Google Scholar] [CrossRef]
- Dall’Armellina, E.; Ennis, D.B.; Axel, L.; Croisille, P.; Ferreira, P.F.; Gotschy, A.; Lohr, D.; Moulin, K.; Nguyen, C.; Nielles-Vallespin, S.; et al. Cardiac diffusion-weighted and tensor imaging: A Society for Cardiovascular Magnetic Resonance (SCMR) special interest group consensus statement. J. Cardiovasc. Magn. Reson. 2024, 27, 101109. [Google Scholar] [CrossRef] [PubMed]
- Khalique, Z.; Ferreira, P.F.; Scott, A.D.; Nielles-Vallespin, S.; Firmin, D.N.; Pennell, D.J. Diffusion Tensor Cardiovascular Magnetic Resonance Imaging: A Clinical Perspective. JACC Cardiovasc. Imaging 2020, 13, 1235–1255. [Google Scholar] [CrossRef] [PubMed]
- Rajiah, P.S.; Kalisz, K.; Broncano, J.; Goerne, H.; Collins, J.D.; Francois, C.J.; Ibrahim, E.S.; Agarwal, P.P. Myocardial Strain Evaluation with Cardiovascular MRI: Physics, Principles, and Clinical Applications. Radiographics 2022, 42, 968–990. [Google Scholar] [CrossRef] [PubMed]
- Amzulescu, M.S.; De Craene, M.; Langet, H.; Pasquet, A.; Vancraeynest, D.; Pouleur, A.C.; Vanoverschelde, J.L.; Gerber, B.L. Myocardial strain imaging: Review of general principles, validation, and sources of discrepancies. Eur. Heart J. Cardiovasc. Imaging 2019, 20, 605–619. [Google Scholar] [CrossRef]
- Wong, D.T.; Weightman, M.J.; Baumert, M.; Tayeb, H.; Richardson, J.D.; Puri, R.; Bertaso, A.G.; Roberts-Thomson, K.C.; Sanders, P.; Worthley, M.I.; et al. Electro-mechanical characteristics of myocardial infarction border zones and ventricular arrhythmic risk: Novel insights from grid-tagged cardiac magnetic resonance imaging. Eur. Radiol. 2012, 22, 1651–1658. [Google Scholar] [CrossRef]
- Schuleri, K.H.; Centola, M.; Evers, K.S.; Zviman, A.; Evers, R.; Lima, J.A.; Lardo, A.C. Cardiovascular magnetic resonance characterization of peri-infarct zone remodeling following myocardial infarction. J. Cardiovasc. Magn. Reson. 2012, 14, 24. [Google Scholar] [CrossRef]
- Buss, S.J.; Breuninger, K.; Lehrke, S.; Voss, A.; Galuschky, C.; Lossnitzer, D.; Andre, F.; Ehlermann, P.; Franke, J.; Taeger, T.; et al. Assessment of myocardial deformation with cardiac magnetic resonance strain imaging improves risk stratification in patients with dilated cardiomyopathy. Eur. Heart J. Cardiovasc. Imaging 2015, 16, 307–315. [Google Scholar] [CrossRef]
- Mordi, I.; Bezerra, H.; Carrick, D.; Tzemos, N. The Combined Incremental Prognostic Value of LVEF, Late Gadolinium Enhancement, and Global Circumferential Strain Assessed by CMR. JACC Cardiovasc. Imaging 2015, 8, 540–549. [Google Scholar] [CrossRef]
- Ghadimi, M.; Sapra, A. Magnetic Resonance Imaging Contraindications. In StatPearls; StatPearls Publishing: Treasure Island, FL, USA, 2024. [Google Scholar]
- Carrabba, N.; Amico, M.A.; Guaricci, A.I.; Carella, M.C.; Maestrini, V.; Monosilio, S.; Pedrotti, P.; Ricci, F.; Monti, L.; Figliozzi, S.; et al. CMR Mapping: The 4th-Era Revolution in Cardiac Imaging. J. Clin. Med. 2024, 13, 337. [Google Scholar] [CrossRef]
- Xu, J.; Yang, W.; Zhao, S.; Lu, M. State-of-the-art myocardial strain by CMR feature tracking: Clinical applications and future perspectives. Eur. Radiol. 2022, 32, 5424–5435. [Google Scholar] [CrossRef]
- Chowdhary, A.; Garg, P.; Das, A.; Nazir, M.S.; Plein, S. Cardiovascular magnetic resonance imaging: Emerging techniques and applications. Heart 2021, 107, 697–704. [Google Scholar] [CrossRef]
- Aromiwura, A.A.; Cavalcante, J.L.; Kwong, R.Y.; Ghazipour, A.; Amini, A.; Bax, J.; Raman, S.; Pontone, G.; Kalra, D.K. The role of artificial intelligence in cardiovascular magnetic resonance imaging. Prog. Cardiovasc. Dis. 2024, 86, 13–25. [Google Scholar] [CrossRef]






| Clinical Condition | Significance in Diagnostics | Prognostic Implications |
|---|---|---|
| Hypertension | Helpful in diagnostics; often correlates with chronically elevated blood pressure | Indicates increased risk for heart failure development; importance of left ventricular geometric pattern |
| Aortic stenosis | LVH reflects pressure overload | Poor prognosis if untreated severe aortic stenosis; surgery may improve outcomes |
| Hypertrophic cardiomyopathy | Severe or concentric LVH as well as other CMR features may suggest specific etiologies to be considered; genetic testing may be of value especially in borderline cases; treatment depends on the specific disease | Prognosis varies; risk of sudden cardiac death may depend on severity and extent of LVH |
| Ischemic heart disease | May develop LVH due to chronic pressure overload, LVH increases myocardial oxygen demand | Associated with higher mortality rates |
| Athlete’s heart | LVH due to intensive, chronic physical activity | Usually benign; requires differentiation from pathological causes of LVH |
| Compared Feature | Ratiometric Scaling Method | Allometric Scaling Method |
|---|---|---|
| Relationship | Linear | Exponential |
| Scaling equation | LVMi = LVM/body size variable | LVMi = LVM/(body size variable)scaling exponent |
| Examples of used variables and scaling exponents | LVM/BSA LVM/height | LVM/height1.7 LVM/height2.7 observed/predicted LVM (100 × LVM/[a × height0.54 × weight0.61] where a = 6.82 (F) or 8.25 (M) |
| Disadvantages | Scaling a three-dimensional variable (LVM) to a two-dimensional variable (BSA) or one-dimensional variable (height) via simple division is agreeable with the geometric relationship between the two variables. | Complex calculations in everyday clinical practice. Some of them did not fully account for the associations of these measures with body size. |
| Advantages | Simple calculations in everyday clinical practice. | Demonstrates good correlation between body size and cardiovascular variables that accommodate various relative geometries (eliminates the effects of body size on cardiovascular structure and function). |
| Study | Group Characteristics | CMR Methodology | Methods of LVM Indexation | Definition of LVH, Mean Values of LVM, or Percentile Distribution | Studied Relationship Between LVM or LVMi and CVE HR (95% CI) |
|---|---|---|---|---|---|
| Luu et al., 2020 [47] | N = 3206 participants free of cardiovascular disease | SSFP sequences | LVM/BSA | Mean ± SD: 61 ± 10 g (M); 48 ± 8 g (F) Normal range: 42–80 g (M); 33–62 g (F) Additionally, they derived LVM reference values indexed to BSA for females and males age 35 to 75 years, stratified by 10-year age categories. | - |
| Petersen et al., 2017 [38] | N = 800 participants from United Kingdom Biobank (normal healthy Caucasian participants) | SSFP sequences | LVM/BSA | LVH if LVM/BSA > 72 g/m2 (M) or >55 g/m2 (F) | - |
| Chuang et al., 2014 [46] | N = 685 participants from Framingham Heart Study (healthy reference group without cardiovascular disease, hypertension, or LV wall motion abnormality) | SSFP sequences | LVM/BSA | P95: 64/44 g/m2 (M/F) | - |
| LVM/height | P95: 74/49 g/m (M/F) | ||||
| LVM/height2.7 | P95: 29/22 g/m2.7 (M/F) | ||||
| Jain et al., 2011 [42] | N= 4965 participants from MESA study (multiethnic cohort free of clinically recognized CVD at enrollment) | GRE sequences | Observed/predicted LVM | - | CHD diagnosis: 1.1 (1.0–1.3) ‡ Stroke: 1.3 (1.1–1.7) ‡ and 1.3 (1.1–1.7) § HF diagnosis: 1.8 (1.6–2.1) ‡ and 1.8 (1.6–2.1) § All CVD events: 1.4 (1.2–1.5) ‡ and 1.3 (1.2–1.5) § |
| Chirinos et al., 2010 [34] | N = 523 participants from MESA study (multiethnic cohort free of clinically recognized CVD at enrollment) | GRE sequences | LVM/height1.7 LVM/height2.7 LVM/BSA | Normalized LVM percentile values in Asklepios and MESA reference samples | Cox models assessing the performance of LVM indexed for height1.7, height2.7, and BSA predicting CVE (defined as myocardial infarction, resuscitated cardiac arrest, coronary heart disease death, stroke, or stroke death, angina, other atherosclerotic death, or other cardiovascular disease death) and all-cause-death in MESA reference sample |
| Brumbarck et al., 2010 [41] | N = 822 participants from MESA study (multiethnic cohort free of clinically recognized CVD at enrollment) | GRE sequences | ppLVmassH | 1.33 (1.29, 1.37) | CVE (combined nonfatal and fatal coronary heart disease and stroke): 2.1 (1.4–3.1) † |
| ppLVmassHW | 1.31 (1.28, 1.36) | CVE (combined nonfatal and fatal coronary heart disease and stroke): 2.4 (1.5–4.0) † | |||
| LVM/BSA | 106.2 (103.8, 110.9) g/m2 (M) and 84.6 (82.2, 88.3) g/m2 (F) | CVE (combined nonfatal and fatal coronary heart disease and stroke): 2.2 (1.4–3.4) † | |||
| LVM/height2 | 65.7 (62.3, 68.0) g/m2 (M) and 53.0 (51.1, 55.3) g/m2 (F) | CVE (combined nonfatal and fatal coronary heart disease and stroke): 2.0 (1.4–3.0) † | |||
| LVM/height2.7 | 45.1 (42.7, 47.0) g/m2.7 (M) and 38.0 (36.5, 39.5) g/m2.7 (F) | CVE (combined nonfatal and fatal coronary heart disease and stroke): 2.1 (1.4–3.2) † | |||
| Bluemke et al., 2008 [16] | N = 4968 participants from MESA study (multiethnic cohort free of clinically recognized CVD at enrollment) | GRE sequences | LVM/LV volume in quartiles (4th quartile) | - | CHD diagnosis: 5.3 (2.9–10.0) and 2.3 (1.2–4.4) * Stroke: 23.0 (3.1–170.5) and 11.1 (1.4–84.8) * |
| Observed/predicted LVM (≥95th percentile) | - | HF diagnosis: 13.0 (6.1–27.7) and 8.6 (3.7–19.9) * | |||
| Natori et al., 2006 [48] | N = 800 participants from MESA study (multiethnic cohort free of clinically recognized CVD at enrollment) | GRE sequences | LVM/BSA | 85.1 ± 15.2 g/m2 (M) and 66.9 ± 10.9 g/m2 (F); | - |
| LVM/BMI | 6.32 ± 1.21 g/kg/m2 (M) and 4.39 ± 0.82 g/kg/m2 (F); | ||||
| LVM/height | 0.94 ± 0.19 g/cm (M) and 0.71 ± 0.14 g/cm (F); | ||||
| LVM/weight | 2.11 ± 0.38 g/kg (M) and 1.72 ± 0.30 g/kg (F). |
| Study | Characteristics of Patients | Study Design | Evaluated Parameters | Assessed Cardiovascular Events | Associations of Evaluated Parameters with Cardiovascular Events |
|---|---|---|---|---|---|
| Weng et al. (2016) [67] | N = 2993 with HCM | Meta-analysis | Any presence and extent of LGE | SCD, all-cause mortality, cardiovascular mortality, HF death | Any presence of LGE: SCD (OR: 3.41; 95% CI: 1.97–5.94; p < 0.001) All-cause mortality (OR: 1.80; 95% CI: 1.21 to 2.69; p = 0.004) Cardiovascular mortality (OR: 2.93; 95% CI: 1.53 to 5.61; p = 0.001), HF death (OR: 2.21; 95% CI: 0.84 to 5.80; p = 0.107). Extent of LGE: SCD (HR: 1.56/10%; 95% CI: 1.33–1.82; p < 0.0001) HF death (HR: 1.61/10% LGE; 95% CI: 1.21–2.13; p = 0.001) All-cause mortality (HR: 1.29/10% LGE; 95% CI: 1.09–1.51; p = 0.002) Cardiovascular mortality (HR: 1.57/10% LGE; 95% CI: 1.30–1.89; p < 0.001). |
| Briasoulis et al. (2015) [62] | N = 3067 with HCM | Meta-analysis | Any presence of LGE | SCD | SCD (OR: 2.52; 95% CI: 1.44–4.4; p = 0.001) |
| Green et al. (2012) [61] | N = 1063 with HCM | Meta-analysis | Any presence of LGE | Cardiac death, HF death, all-cause mortality | Cardiac death (pooled OR: 2.92; 95% CI: 1.01–8.42; p = 0.047), HF death (pooled OR: 5.68; 95% CI: 1.04–31.07; p = 0.045), All-cause mortality (pooled OR: 4.46; 95% CI: 1.53–13.01; p = 0.006) |
| Mordi et al. (2015) [88] | N = 539 consecutive patients referred for clinically indicated CMR who underwent a CMR protocol that included cine imaging, tagging, and LGE | Prospective cohort | LVEF, presence of LGE (5SD), and reduced GCS | Prevalence of MACE (a composite of all-cause mortality, HF-related hospitalization, and aborted SCD) | LVEF (%): (HR: 0.96; 95% CI: 0.94–0.99; p = 0.005), Presence of LGE (5SD): (HR: 2.07; 95% CI: 1.03–4.14; p = 0.04), Reduced GCS (%): (HR: 1.11; 95% CI: 1.02–1.21; p = 0.04). |
| Pezel et al., 2021 [89] | N = 31,762 consecutive patients referred for stress CMR | Prospective cohort | Inducible ischemia and any presence of LGE | Mortality |
Inducible ischemia: (HR, 1.61; 99.5% CI: 1.41–1.84; p < 001), Any presence of LGE: (HR: 1.62; 99.5% CI: 1.41–1.86; p < 0.001). |
| Banypersad et al., 2015 [76] | N = 100 consecutive patients with systemic amyloid light-chain amyloidosis | Retrospective cohort | T1 values > 1044 ms ECV values > 45% | Mortality | ECV > 45% (HR: 3.84; 95% CI: 1.53–9.61; p = 0.004) Pre-contrast T1 of >1044 ms (HR: 5.39; 95% CI: 1.24–23.4; p = 0.02) |
| Vita et al., 2019 [77] | N = 240 patients with nonischemic dilated cardiomyopathy | Retrospective cohort | LVEF, any LGE presence, mean ECV | Death from any cause or HF decompensation requiring hospitalization. | LVEF (%) (HR: 0.94; 95% CI: 0.92–0.97; p < 0.001) Any LGE presence (HR: 2.26; 95% CI: 1.16–4.40; p = 0.016), Mean ECV (%) (HR: 1.11; 95% CI: 1.07–1.15; p < 0.0001). |
| Mileva et al., 2023 [84] | N = 770 patients with suspected MINOCA | Meta-analysis | CMR diagnosis | MACE (cardiovascular death, nonfatal MI, and HF hospitalization) occurrence | CMR diagnosis of MINOCA (pooled OR: 2.40; 95% CI: 1.60–3.59). Diagnoses of myocarditis and takotsubo syndrome were not significantly associated with increased risk of combined clinical outcomes). |
| Schumm et al., 2014 [82] | N = 405 patients with suspected myocarditis | Prospective cohort | The presence of LGE, LVEF and LVEDV | Primary endpoint (cardiac mortality and MACE, including cardiac death, SCD, aborted SCD, and appropriate ICD discharge) Secondary endpoint (composite of primary endpoint and hospitalization for HF). | Primary endpoint LVEF (per % increase): HR: 0.939; p = 0.01. LVEDV (per mL increase): HR: 0.999; p = 0.87. LGE: HR: 3.98; p = 0.11. Endpoint 2 LVEF (per % increase): HR: 0.965; p = 0.03. LGE: HR: 2.919; p = 0.02. LVEDV (per mL increase): HR: 1.002; p = 0.33. |
| Bergamaschi et al., 2024 [85] | N = 171 consecutive patients with STEMI | Prospective cohort | T2 values | Primary endpoint (MACE, defined as cardiovascular death, MI, unplanned coronary revascularization or rehospitalization for HF). | Higher non-infarcted myocardium T2 values independently predicted MACE (HR: 2.824; 95% CI: 1.254–6.361; p = 0.012). |
| Carrick et al., 2016 [86] | N = 300 reperfused STEMI patients (n = 160 patients with a native T1 infarct core) | Prospective cohort | Native T1 values within the hypo-intense infarct core | All-cause death or first hospitalization for HF post-discharge. | For a 10 ms increase in native T1: HR: 0.730; 95% CI: 0.617–0.863; p < 0.001) including after adjustment for LVEF, infarct core T2, and myocardial haemorrhage. |
Disclaimer/Publisher’s Note: The statements, opinions and data contained in all publications are solely those of the individual author(s) and contributor(s) and not of MDPI and/or the editor(s). MDPI and/or the editor(s) disclaim responsibility for any injury to people or property resulting from any ideas, methods, instructions or products referred to in the content. |
© 2025 by the authors. Licensee MDPI, Basel, Switzerland. This article is an open access article distributed under the terms and conditions of the Creative Commons Attribution (CC BY) license (https://creativecommons.org/licenses/by/4.0/).
Share and Cite
Matusik, P.S.; Mikrut, K.; Bryll, A.; Popiela, T.J.; Matusik, P.T. Cardiac Magnetic Resonance Imaging in Diagnostics and Cardiovascular Risk Assessment. Diagnostics 2025, 15, 178. https://doi.org/10.3390/diagnostics15020178
Matusik PS, Mikrut K, Bryll A, Popiela TJ, Matusik PT. Cardiac Magnetic Resonance Imaging in Diagnostics and Cardiovascular Risk Assessment. Diagnostics. 2025; 15(2):178. https://doi.org/10.3390/diagnostics15020178
Chicago/Turabian StyleMatusik, Patrycja S., Katarzyna Mikrut, Amira Bryll, Tadeusz J. Popiela, and Paweł T. Matusik. 2025. "Cardiac Magnetic Resonance Imaging in Diagnostics and Cardiovascular Risk Assessment" Diagnostics 15, no. 2: 178. https://doi.org/10.3390/diagnostics15020178
APA StyleMatusik, P. S., Mikrut, K., Bryll, A., Popiela, T. J., & Matusik, P. T. (2025). Cardiac Magnetic Resonance Imaging in Diagnostics and Cardiovascular Risk Assessment. Diagnostics, 15(2), 178. https://doi.org/10.3390/diagnostics15020178

