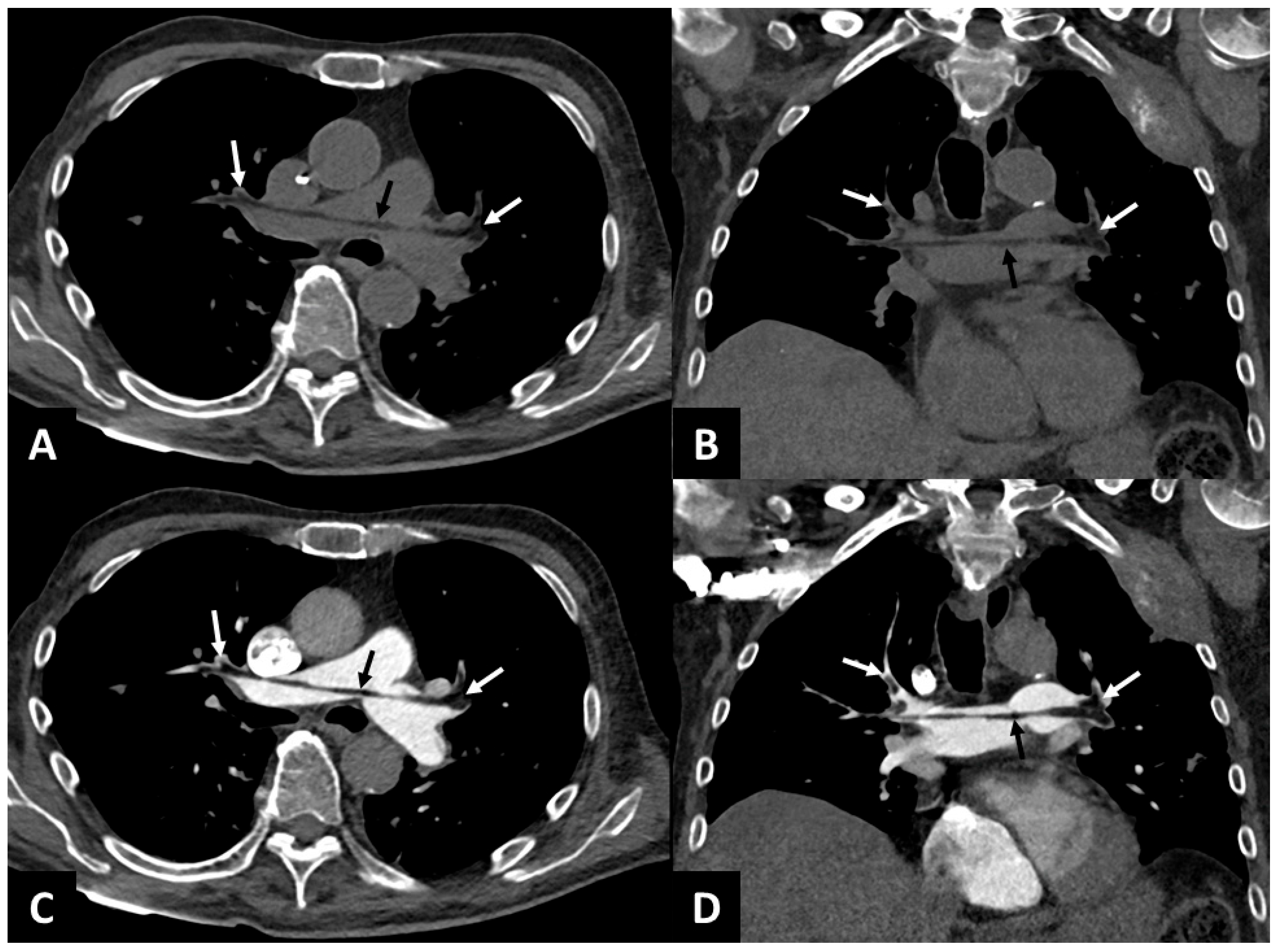
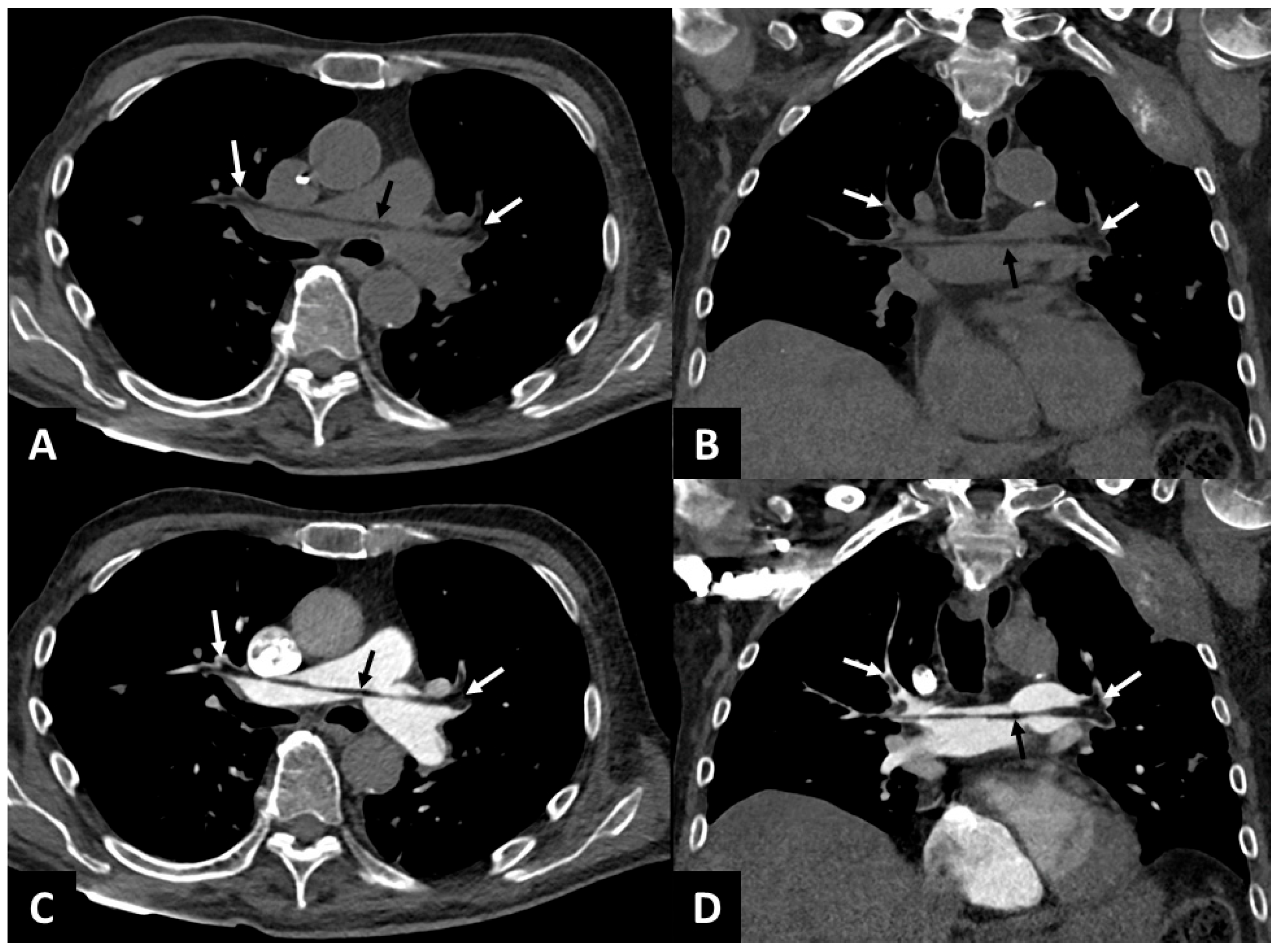
Proximal Pulmonary Fat Embolism on Non-Contrast Chest CT
Abstract

Author Contributions
Funding
Institutional Review Board Statement
Informed Consent Statement
Data Availability Statement
Conflicts of Interest
Abbreviations
| CT | Computed Tomography |
| CTPA | Computed Tomography Pulmonary Angiogram |
| FES | Fat Embolism Syndrome |
References
- Akhtar, S. Fat Embolism. Anesthesiol. Clin. 2009, 27, 533–550. [Google Scholar] [CrossRef] [PubMed]
- Gurd, A.R. Fat embolism: An aid to diagnosis. J. Bone Jt. Surg. Br. 1970, 52, 732–737. [Google Scholar] [CrossRef]
- Kosova, E.; Bergmark, B.; Piazza, G. Fat Embolism Syndrome. Circulation 2015, 131, 317–320. [Google Scholar] [CrossRef] [PubMed]
- Newbigin, K.; Souza, C.A.; Torres, C.; Marchiori, E.; Gupta, A.; Inacio, J.; Armstrong, M.; Peña, E. Fat Embolism Syndrome: State-of-the-Art Review Focused on Pulmonary Imaging Findings. Respir. Med. 2016, 113, 93–100. [Google Scholar] [CrossRef] [PubMed]
- Brun, A.-L.; Ghaye, B. Embolies pulmonaires non cruoriques. Rev. Des. Mal. Respir. 2025, 42, 343–348. [Google Scholar] [CrossRef] [PubMed]
- Murphy, R.; Murray, R.A.; O’hEireamhoin, S.; Murray, J.G. CT Pulmonary Arteriogram Diagnosis of Macroscopic Fat Embolism to the Lung. Radiol. Case Rep. 2024, 19, 2062–2066. [Google Scholar] [CrossRef] [PubMed]
- Unal, E.; Balci, S.; Atceken, Z.; Akpinar, E.; Ariyurek, O.M. Nonthrombotic Pulmonary Artery Embolism: Imaging Findings and Review of the Literature. Am. J. Roentgenol. 2017, 208, 505–516. [Google Scholar] [CrossRef] [PubMed]
- Tang, C.X.; Zhou, C.S.; Zhao, Y.E.; Schoepf, U.J.; Mangold, S.; Ball, B.D.; Han, Z.H.; Qi, L.; Zhang, L.J.; Lu, G.M. Detection of Pulmonary Fat Embolism with Dual-Energy CT: An Experimental Study in Rabbits. Eur. Radiol. 2017, 27, 1377–1385. [Google Scholar] [CrossRef] [PubMed]
Disclaimer/Publisher’s Note: The statements, opinions and data contained in all publications are solely those of the individual author(s) and contributor(s) and not of MDPI and/or the editor(s). MDPI and/or the editor(s) disclaim responsibility for any injury to people or property resulting from any ideas, methods, instructions or products referred to in the content. |
© 2025 by the authors. Licensee MDPI, Basel, Switzerland. This article is an open access article distributed under the terms and conditions of the Creative Commons Attribution (CC BY) license (https://creativecommons.org/licenses/by/4.0/).
Share and Cite
L’Huillier, R.; Braillon, A. Proximal Pulmonary Fat Embolism on Non-Contrast Chest CT. Diagnostics 2025, 15, 2468. https://doi.org/10.3390/diagnostics15192468
L’Huillier R, Braillon A. Proximal Pulmonary Fat Embolism on Non-Contrast Chest CT. Diagnostics. 2025; 15(19):2468. https://doi.org/10.3390/diagnostics15192468
Chicago/Turabian StyleL’Huillier, Romain, and Alexandra Braillon. 2025. "Proximal Pulmonary Fat Embolism on Non-Contrast Chest CT" Diagnostics 15, no. 19: 2468. https://doi.org/10.3390/diagnostics15192468
APA StyleL’Huillier, R., & Braillon, A. (2025). Proximal Pulmonary Fat Embolism on Non-Contrast Chest CT. Diagnostics, 15(19), 2468. https://doi.org/10.3390/diagnostics15192468

