Color Normalization in Breast Cancer Immunohistochemistry Images Based on Sparse Stain Separation and Self-Sparse Fuzzy Clustering
Abstract
1. Introduction
2. Materials and Methods
2.1. Database Description
2.2. Color Deconvolution (CD)
2.3. Contrast Stretching (CS)
2.4. Stain Separation (SS)
| Algorithm 1 Automatic Color Deconvolution Algorithm [3] |
Input: RGB Slide,
|
2.5. Fuzzy Clustering (FC)
| Algorithm 2 RSSFCA Algorithm [24] |
Input: c, , , T
|
2.6. Structure-Preserving Color Normalization (SPCN)
2.7. Quaternion Structural Similarity (QSSIM)
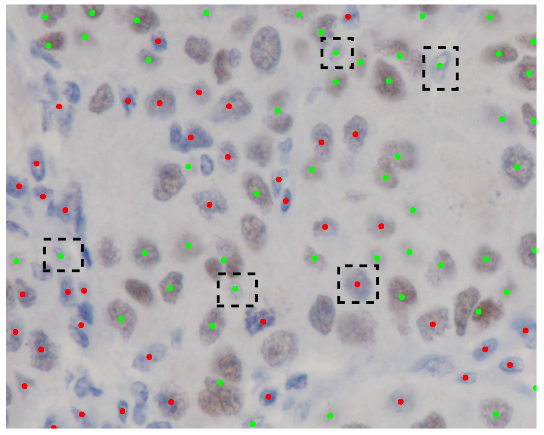
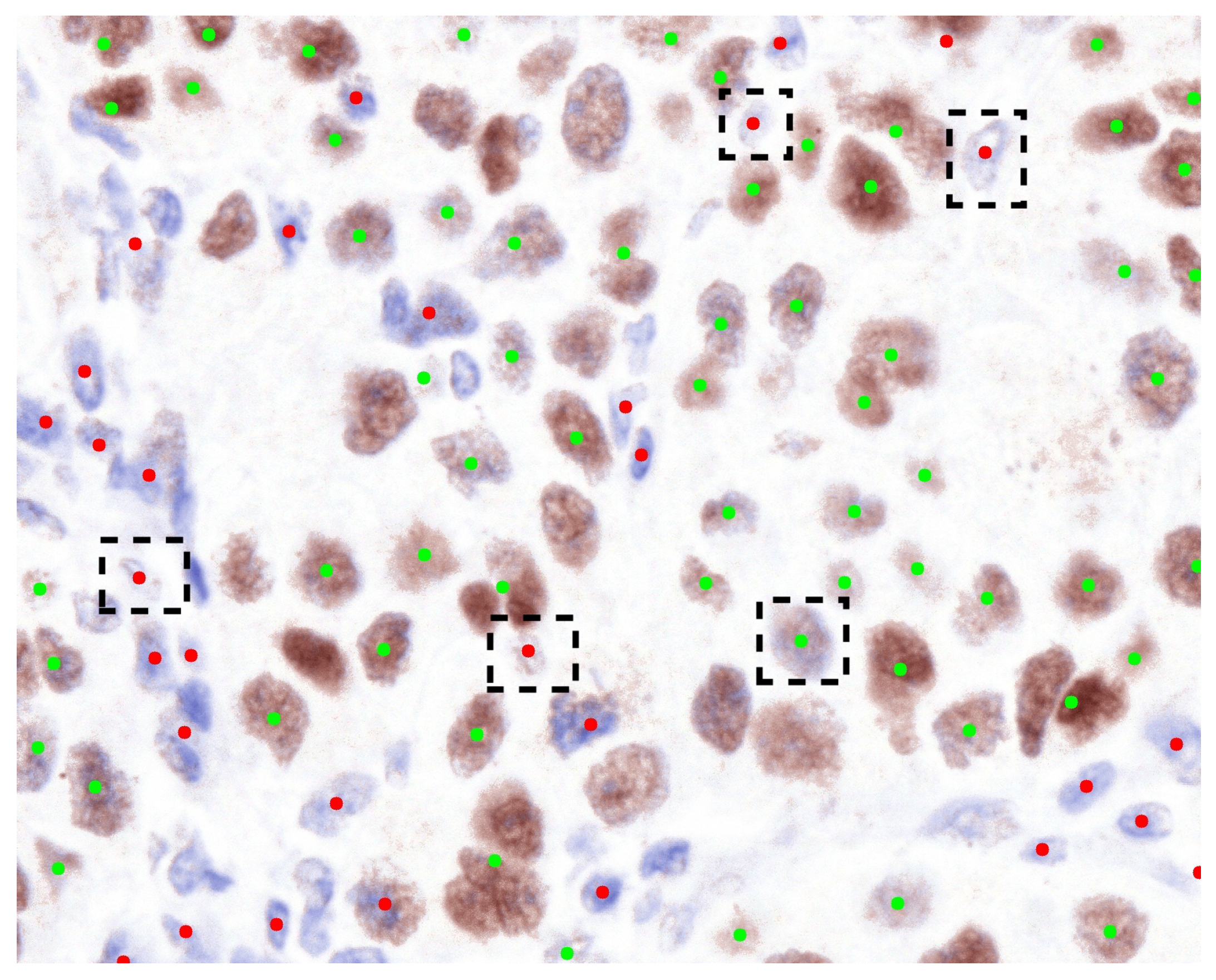
2.8. Classification of Nuclei in Breast Cancer IHC Based on Automatic Color Deconvolution (CNACD)
| Algorithm 3 CNACD Algorithm |
Input: RGB Pixels
|
2.9. The Proposed Normalization Method
2.10. Experiment Settings
3. Results
3.1. Evaluation of Structure Similarity
3.2. Classification Performances
3.3. Quantitative Comparison with 3D Histogram Visualization of Color Distribution
4. Discussion
5. Conclusions
Author Contributions
Funding
Institutional Review Board Statement
Informed Consent Statement
Data Availability Statement
Conflicts of Interest
Abbreviations
| IHC | Immunohistochemistry |
| ACD | Automatic Color Deconvolution |
| GIMP | GNU Image Manipulation Program |
| SVD | Singular Value Decomposition |
| CAP | College of American Pathologists |
| WHO | World Health Organization |
| H&E | Hematoxylin and Eosin |
| DCIS | Ductal Carcinoma In Situ |
| CD | Color Deconvolution |
| OD | Optical Density |
| CS | Contrast Stretching |
| STRESS | Spatio-Temporal Retinex-like Envelope with Stochastic Sampling |
| SS | Stain Separation |
| SPAMS | SPArse Modeling Software |
| FC | Fuzzy Clustering |
| RSSFCA | Robust Self-Sparse Fuzzy Clustering Algorithm |
| SPCN | Structure-Preserving Color Normalization |
| SNMF | Sparse Non-negative Matrix Factorization |
| QSSIM | Quaternion Structural SIMilarity |
| VQM | Visual Quality Matrix |
| QIP | Quaternion Image Processing |
| CNACD | Classification of Nuclei in Breast Cancer IHC based on Automatic Color Deconvolution |
| BLT | Beer–Lambert transformation |
| IBLT | Inverted Beer–Lambert transformation |
| TP | True Positive |
| TN | True Negative |
| FN | False Negative |
| FP | False Positive |
| QBRIX | Quantile-Based Retinex |
| RBFA | Retinex-Based Fast Algorithm |
References
- Daly, A.A.; Rolph, R.; Cutress, R.I.; Copson, E.R. A review of modifiable risk factors in young women for the prevention of breast cancer. Breast Cancer Targets Ther. 2021, 13, 241–257. [Google Scholar] [CrossRef] [PubMed]
- Wechsler, H. Digital image processing, 2nd ed. Proc. IEEE 2008, 69, 1174–1175. [Google Scholar] [CrossRef]
- Macenko, M.; Niethammer, M.; Marron, J.S.; Borland, D.; Woosley, J.T.; Guan, X.; Schmitt, C.; Thomas, N.E. A method for normalizing histology slides for quantitative analysis. In Proceedings of the 2009 IEEE International Symposium on Biomedical Imaging: From Nano to Macro, Boston, MA, USA, 28 June 2009–1 July 2009; pp. 1107–1110. [Google Scholar]
- College of American Pathologists, The Lab General Checklist. 2025. Available online: https://www.aab.org/images/CRBSymposium/Behnke%204.pdf (accessed on 15 August 2025).
- WHO. WHO Classification of Tumours: Breast Tumours; WHO Classification of Tumours; International Agency for Research on Cancer (IARC): Lyon, France, 2019; Volume 2. [Google Scholar]
- Vahadane, A.; Peng, T.; Sethi, A.; Albarqouni, S.; Wang, L.; Baust, M.; Steiger, K.; Schlitter, A.M.; Esposito, I.; Navab, N. Structure-Preserving Color Normalization and Sparse Stain Separation for Histological Images. IEEE Trans. Med Imaging 2016, 35, 1962–1971. [Google Scholar] [CrossRef] [PubMed]
- Shaban, M.T.; Baur, C.; Navab, N.; Albarqouni, S. Staingan: Stain style transfer for digital histological images. In Proceedings of the International Symposium on Biomedical Imaging, Venice, Italy, 8–11 April 2019; pp. 953–956. [Google Scholar] [CrossRef]
- Maji, P.; Mahapatra, S. Circular Clustering in Fuzzy Approximation Spaces for Color Normalization of Histological Images. IEEE Trans. Med Imaging 2020, 39, 1735–1745. [Google Scholar] [CrossRef] [PubMed]
- Hidalgo-Gavira, N.; Mateos, J.; Vega, M.; Molina, R.; Katsaggelos, A.K. Variational Bayesian Blind Color Deconvolution of Histopathological Images. IEEE Trans. Image Process. 2020, 29, 2026–2036. [Google Scholar] [CrossRef]
- Pérez-Bueno, F.; Vega, M.; Naranjo, V.; Molina, R.; Katsaggelos, A.K. Fully automatic blind color deconvolution of histological images using super gaussians. In Proceedings of the European Signal Processing Conference, Amsterdam, The Netherlands, 18–21 January 2021; pp. 1254–1258. [Google Scholar] [CrossRef]
- Ruifrok, A.C.; Johnston, D.A. Quantification of histochemical staining by color deconvolution. Anal. Quant. Cytol. Histol. 2001, 23, 291–299. [Google Scholar]
- Tuominen, V.J.; Ruotoistenmäki, S.; Viitanen, A.; Jumppanen, M.; Isola, J. ImmunoRatio: A publicly available web application for quantitative image analysis of estrogen receptor (ER), progesterone receptor (PR), and Ki-67. Breast Cancer Res. 2010, 12, R56. [Google Scholar] [CrossRef]
- Ko, C.C.; Tsai, C.Y.; Lin, C.H.; Liao, K.S. A computer-aided diagnosis system of breast intraductal lesion using histopathological images. In Proceedings of the 29th International Conference on Image and Vision Computing New Zealand, Hamilton, New Zealand, 19–21 November 2014; pp. 212–217. [Google Scholar] [CrossRef]
- Liu, Y.; Li, X.; Zheng, A.; Zhu, X.; Liu, S.; Hu, M.; Luo, Q.; Liao, H.; Liu, M.; He, Y.; et al. Predict Ki-67 Positive Cells in H&E-Stained Images Using Deep Learning Independently From IHC-Stained Images. Front. Mol. Biosci. 2020, 7, 183. [Google Scholar] [CrossRef]
- Saha, M.; Chakraborty, C.; Arun, I.; Ahmed, R.; Chatterjee, S. An Advanced Deep Learning Approach for Ki-67 Stained Hotspot Detection and Proliferation Rate Scoring for Prognostic Evaluation of Breast Cancer. Sci. Rep. 2017, 7, 3213. [Google Scholar] [CrossRef]
- Salvi, M.; Caputo, A.; Balmativola, D.; Scotto, M.; Pennisi, O.; Michielli, N.; Mogetta, A.; Molinari, F.; Fraggetta, F. Impact of Stain Normalization on Pathologist Assessment of Prostate Cancer: A Comparative Study. Cancers 2023, 15, 1503. [Google Scholar] [CrossRef]
- Jahne, B. Practical Handbook on Image Processing for Scientific and Technical Applications; CRC Press: Boca Raton, FL, USA, 2004. [Google Scholar]
- Mouelhi, A.; Sayadi, M.; Fnaiech, F. A novel morphological segmentation method for evaluating estrogen receptors’ status in breast tissue images. In Proceedings of the 2014 1st International Conference on Advanced Technologies for Signal and Image Processing, ATSIP 2014, Sousse, Tunisia, 17–19 March 2014; pp. 177–182. [Google Scholar] [CrossRef]
- Kolås, Ø.; Farup, I.; Rizzi, A. Spatio-Temporal Retinex-inspired Envelope with Stochastic Sampling: A framework for spatial color algorithms. J. Imaging Sci. Technol. 2011, 55, 40503-1–40503-10. [Google Scholar] [CrossRef]
- Rabinovich, A.; Agarwal, S.; Laris, C.A.; Price, J.H.; Belongie, S. Unsupervised color decomposition of histologically stained tissue samples. In Advances in Neural Information Processing Systems; MIT Press: Cambridge, MA, USA, 2004. [Google Scholar]
- Wu, T.T.; Lange, K. Coordinate descent algorithms for lasso penalized regression. Ann. Appl. Stat. 2008, 2, 224–244. [Google Scholar] [CrossRef]
- Aharon, M.; Elad, M.; Bruckstein, A. K-SVD: An algorithm for designing overcomplete dictionaries for sparse representation. IEEE Trans. Signal Process. 2006, 54, 4311–4322. [Google Scholar] [CrossRef]
- Mairal, J.; Bach, F.; Ponce, J.; Sapiro, G. Online learning for matrix factorization and sparse coding. J. Mach. Learn. Res. 2010, 11, 19–60. [Google Scholar]
- Jia, X.; Lei, T.; Du, X.; Liu, S.; Meng, H.; Nandi, A.K. Robust Self-Sparse Fuzzy Clustering for Image Segmentation. IEEE Access 2020, 8, 146182–146195. [Google Scholar] [CrossRef]
- Kolaman, A.; Yadid-Pecht, O. Quaternion structural similarity: A new quality index for color images. IEEE Trans. Image Process. 2012, 21, 1526–1536. [Google Scholar] [CrossRef]
- Reinhard, E.; Ashikhmin, M.; Gooch, B.; Shirley, P. Color transfer between images. IEEE Comput. Graph. Appl. 2001, 21, 34–41. [Google Scholar] [CrossRef]
- Barthel, K.U. 3D-Data Representation with ImageJ. In Proceedings of the First ImageJ User and Developer Conference, Luxemburg, 18–19 May 2006. [Google Scholar]
- Schneider, C.A.; Rasband, W.S.; Eliceiri, K.W. NIH Image to ImageJ: 25 years of image analysis. Nat. Methods 2012, 9, 671–675. [Google Scholar] [CrossRef] [PubMed]
- Sangwine, S.J. Fourier transforms of colour images using quaternion or hypercomplex, numbers. Electron. Lett. 1996, 32, 1979–1980. [Google Scholar] [CrossRef]
- Gianini, G.; Manenti, A.; Rizzi, A. Qbrix: A quantile-based approach to retinex. J. Opt. Soc. Am. A 2014, 31, 2663–2673. [Google Scholar] [CrossRef] [PubMed]
- Liu, S.; Long, W.; He, L.; Li, Y.; Ding, W. Retinex-based fast algorithm for low-light image enhancement. Entropy 2021, 23, 746. [Google Scholar] [CrossRef] [PubMed]
- Collins, L.C.; Botero, M.L.; Schnitt, S.J. Bimodal frequency distribution of estrogen receptor immunohistochemical staining results in breast cancer: An analysis of 825 cases. Am. J. Clin. Pathol. 2005, 123, 16–20. [Google Scholar] [CrossRef] [PubMed]
- Ilić, I.R.; Stojanović, N.M.; Radulović, N.S.; Živković, V.V.; Randjelović, P.J.; Petrović, A.S.; Božić, M.; Ilić, R.S. The Quantitative ER Immunohistochemical Analysis in Breast Cancer: Detecting the 3 + 0, 4 + 0, and 5 + 0 Allred Score Cases. Medicina 2019, 55, 461. [Google Scholar] [CrossRef] [PubMed]
- Ahmad Fauzi, M.F.; Wan Ahmad, W.S.H.M.; Jamaluddin, M.F.; Lee, J.T.H.; Khor, S.Y.; Looi, L.M.; Abas, F.S.; Aldahoul, N. Allred Scoring of ER-IHC Stained Whole-Slide Images for Hormone Receptor Status in Breast Carcinoma. Diagnostics 2022, 12, 3093. [Google Scholar] [CrossRef]






| QSSIM | |||||
|---|---|---|---|---|---|
| Color Normalization Method | Test 1 | Test 2 | Test 3 | Test 4 | Test 5 |
| Color transfer between image [26] | 0.8057 | 0.8563 | 0.9521 | 0.9913 | 0.9815 |
| Histogram specification [2] | 0.8132 | 0.8761 | 0.9508 | 0.9827 | 0.9918 |
| Macenko [3] | 0.8059 | 0.8837 | 0.9227 | 0.9232 | 0.9841 |
| SPCN [6] | 0.8096 | 0.8761 | 0.9157 | 0.9121 | 0.9808 |
| STRESS [19] | 0.8870 | 0.9405 | 0.9374 | 0.9916 | 0.9909 |
| Our method | 0.7568 | 0.8166 | 0.9400 | 0.9214 | 0.9823 |
| Classification Accuracy | |||||
|---|---|---|---|---|---|
| Color Normalization Method | Test 1 | Test 2 | Test 3 | Test 4 | Test 5 |
| Original image | 82.56 | 82.98 | 96.10 | 79.01 | 73.43 |
| Color transfer between image [26] | 88.37 | 82.98 | 96.10 | 80.25 | 73.43 |
| Histogram specification [2] | 80.23 | 75.53 | 96.10 | 79.01 | 73.43 |
| Macenko [3] | 76.74 | 79.79 | 97.40 | 80.25 | 73.43 |
| SPCN approach [6] | 74.42 | 79.79 | 96.10 | 80.25 | 73.43 |
| STRESS [19] | 88.37 | 79.79 | 96.10 | 80.25 | 75 |
| Our method | 90.70 | 76.70 | 96.10 | 80.25 | 73.43 |
Disclaimer/Publisher’s Note: The statements, opinions and data contained in all publications are solely those of the individual author(s) and contributor(s) and not of MDPI and/or the editor(s). MDPI and/or the editor(s) disclaim responsibility for any injury to people or property resulting from any ideas, methods, instructions or products referred to in the content. |
© 2025 by the authors. Licensee MDPI, Basel, Switzerland. This article is an open access article distributed under the terms and conditions of the Creative Commons Attribution (CC BY) license (https://creativecommons.org/licenses/by/4.0/).
Share and Cite
Traisuwan, A.; Limsiroratana, S.; Phukpattaranont, P.; Sutthimat, P.; Tandayya, P. Color Normalization in Breast Cancer Immunohistochemistry Images Based on Sparse Stain Separation and Self-Sparse Fuzzy Clustering. Diagnostics 2025, 15, 2316. https://doi.org/10.3390/diagnostics15182316
Traisuwan A, Limsiroratana S, Phukpattaranont P, Sutthimat P, Tandayya P. Color Normalization in Breast Cancer Immunohistochemistry Images Based on Sparse Stain Separation and Self-Sparse Fuzzy Clustering. Diagnostics. 2025; 15(18):2316. https://doi.org/10.3390/diagnostics15182316
Chicago/Turabian StyleTraisuwan, Attasuntorn, Somchai Limsiroratana, Pornchai Phukpattaranont, Phiraphat Sutthimat, and Pichaya Tandayya. 2025. "Color Normalization in Breast Cancer Immunohistochemistry Images Based on Sparse Stain Separation and Self-Sparse Fuzzy Clustering" Diagnostics 15, no. 18: 2316. https://doi.org/10.3390/diagnostics15182316
APA StyleTraisuwan, A., Limsiroratana, S., Phukpattaranont, P., Sutthimat, P., & Tandayya, P. (2025). Color Normalization in Breast Cancer Immunohistochemistry Images Based on Sparse Stain Separation and Self-Sparse Fuzzy Clustering. Diagnostics, 15(18), 2316. https://doi.org/10.3390/diagnostics15182316

