Comparative Assessment of Uterocervical Angle Using Transvaginal, Transabdominal, and Transperineal Ultrasonography Between 16 and 24 Weeks of Gestation
Abstract
1. Introduction
Objectives
2. Materials and Methods
2.1. Study Design
2.2. Participants
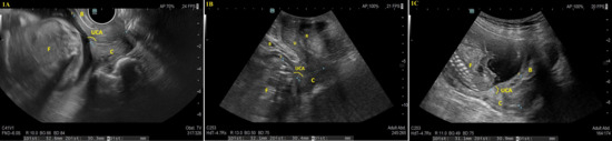
2.3. Variables
2.4. Data Sources/Measurement
2.5. Statistical Methods
3. Results
3.1. Descriptive Data
3.2. Outcome Data
4. Discussion
4.1. Principal Findings
4.2. Interpretation
4.3. Strengths and Limitations
5. Conclusions
Author Contributions
Funding
Institutional Review Board Statement
Informed Consent Statement
Data Availability Statement
Conflicts of Interest
Abbreviations
| AUC | Area under the curve |
| BMI | Body mass index |
| CL | Cervical length |
| ICC | Intraclass correlation coefficient |
| ISUOG | International Society of Ultrasound in Obstetrics and Gynecology |
| TAUS | Transabdominal ultrasound |
| TPUS | Transperineal ultrasound |
| TVUS | Transvaginal ultrasound |
| UCA | Uterocervical angle |
References
- WHO. ICD-11 for Mortality and Morbidity Statistics; World Health Organization: Geneva, Switzerland, 2020. [Google Scholar]
- Dagklis, T.; Akolekar, R.; Villalain, C.; Tsakiridis, I.; Kesrouani, A.; Tekay, A.; Plasencia, W.; Wellmann, S.; Kusuda, S.; Jekova, N. Management of preterm labor: Clinical practice guideline and recommendation by the WAPM-World Association of Perinatal Medicine and the PMF-Perinatal Medicine Foundation. Eur. J. Obstet. Gynecol. Reprod. Biol. 2023, 291, 196–205. [Google Scholar] [CrossRef]
- Ely, D.M.; Driscoll, A.K. Infant mortality in the United States, 2019: Data from the period linked birth/infant death file. Natl. Vital Stat. Rep. 2021, 70, 1–18. [Google Scholar] [PubMed]
- Ancel, P.-Y.; Goffinet, F.; Kuhn, P.; Langer, B.; Matis, J.; Hernandorena, X.; Chabanier, P.; Joly-Pedespan, L.; Lecomte, B.; Vendittelli, F. Survival and morbidity of preterm children born at 22 through 34 weeks’ gestation in France in 2011: Results of the EPIPAGE-2 cohort study. JAMA Pediatr. 2015, 169, 230–238. [Google Scholar] [CrossRef]
- Villar, J.; Cavoretto, P.I.; Barros, F.C.; Romero, R.; Papageorghiou, A.T.; Kennedy, S.H. Etiologically Based Functional Taxonomy of the Preterm Birth Syndrome. Clin. Perinatol. 2024, 51, 475–495. [Google Scholar] [CrossRef]
- Medley, N.; Poljak, B.; Mammarella, S.; Alfirevic, Z. Clinical guidelines for prevention and management of preterm birth: A systematic review. BJOG Int. J. Obstet. Gynaecol. 2018, 125, 1361–1369. [Google Scholar] [CrossRef]
- Final report of the Medical Research Council/Royal College of Obstetricians and Gynaecologists multicentre randomised trial of cervical cerclage. MRC/RCOG Working Party on Cervical Cerclage. Br. J. Obstet. Gynaecol. 1993, 100, 516–523.
- Romero, R.; Conde-Agudelo, A.; Da Fonseca, E.; O’Brien, J.M.; Cetingoz, E.; Creasy, G.W.; Hassan, S.S.; Nicolaides, K.H. Vaginal progesterone for preventing preterm birth and adverse perinatal outcomes in singleton gestations with a short cervix: A meta-analysis of individual patient data. Am. J. Obstet. Gynecol. 2018, 218, 161–180. [Google Scholar] [CrossRef] [PubMed]
- Committee on Practice Bulletins—Obstetrics, The American College of Obstetricians and Gynecologists. Gynecologists, Practice bulletin no. 130: Prediction and prevention of preterm birth. Obstet. Gynecol. 2012, 120, 964–973. [Google Scholar] [CrossRef]
- Society for Maternal-Fetal Medicine (SMFM); McIntosh, J.; Feltovich, H.; Berghella, V.; Manuck, T. The role of routine cervical length screening in selected high-and low-risk women for preterm birth prevention. Am. J. Obstet. Gynecol. 2016, 215, B2–B7. [Google Scholar] [CrossRef] [PubMed]
- Dziadosz, M.; Bennett, T.-A.; Dolin, C.; Honart, A.W.; Pham, A.; Lee, S.S.; Pivo, S.; Roman, A.S. Uterocervical angle: A novel ultrasound screening tool to predict spontaneous preterm birth. Am. J. Obstet. Gynecol. 2016, 215, 376.e1–376.e7. [Google Scholar] [CrossRef]
- Goldstein, M.J.; Bailer, J.M.; Gonzalez-Brown, V.M. Uterocervical angle in predicting spontaneous preterm birth: A systematic review and meta-analysis. AJOG Glob. Rep. 2023, 3, 100240. [Google Scholar] [CrossRef] [PubMed]
- Güner, G.; Barut, A.; Okcu, N.T. Transperineal sonographic assessment of the angle of progression before the onset of labour: How well does it predict the mode of delivery in late-term pregnancy. J. Perinat. Med. 2024, 52, 955–959. [Google Scholar] [CrossRef]
- Mlodawski, J.; Mlodawska, M.; Plusajska, J.; Detka, K.; Bialek, K.; Swiercz, G. Repeatability and Reproducibility of Potential Ultrasonographic Bishop Score Parameters. J. Clin. Med. 2023, 12, 4492. [Google Scholar] [CrossRef]
- Nicolau, E.G.; Reis, L.O. Ultrasonographic assessment of the uterocervical angle in the second trimester of pregnancy as a predictor of spontaneous preterm birth. Clin. Radiol. 2025, 84, 106853. [Google Scholar] [CrossRef]
- Nguyen, T.T.H.; Vu, T.V.; Nguyen, H.V.Q. Uterocervical angle and cervical length measurements for spontaneous preterm birth prediction in low-risk singleton pregnant women: A prospective cohort study. Arch. Gynecol. Obstet. 2024, 310, 1611–1619. [Google Scholar] [CrossRef]
- Nguyen, T.H.T.; Vu, V.T.; Nguyen, V.Q.H. Distribution of uterocervical angles of pregnant women at 16(+0) to 23(+6) weeks gestation with low risk for preterm birth: First vietnamese cohort of women with singleton pregnancies. BMC Pregnancy Childbirth 2023, 23, 301. [Google Scholar] [CrossRef]
- Movahedi, M.; Goharian, M.; Rasti, S.; Zarean, E.; Tarrahi, M.J.; Shahshahan, Z. The uterocervical angle-cervical length ratio: A promising predictor of preterm birth? Int. J. Gynecol. Obstet. 2024, 165, 1122–1129. [Google Scholar] [CrossRef]
- Dagdeviren, E.; Aslan Çetin, B.; Aydogan Mathyk, B.; Koroglu, N.; Topcu, E.G.; Yuksel, M.A. Can uterocervical angles successfully predict induction of labor in nulliparous women? Eur. J. Obstet. Gynecol. Reprod. Biol. 2018, 228, 87–91. [Google Scholar] [CrossRef]
- Eser, A.; Ozkaya, E. Uterocervical angle: An ultrasound screening tool to predict satisfactory response to labor induction. J. Matern.-Fetal Neonatal Med. 2020, 33, 1295–1301. [Google Scholar] [CrossRef] [PubMed]
- Friedman, A.M.; Srinivas, S.K.; Parry, S.; Elovitz, M.A.; Wang, E.; Schwartz, N. Can transabdominal ultrasound be used as a screening test for short cervical length? Am. J. Obstet. Gynecol. 2013, 208, 190.e1–190.e7. [Google Scholar] [CrossRef] [PubMed]
- Peng, C.-R.; Chen, C.-P.; Wang, K.-G.; Wang, L.-K.; Chen, C.-Y.; Chen, Y.-Y. The reliability of transabdominal cervical length measurement in a low-risk obstetric population: Comparison with transvaginal measurement. Taiwan. J. Obstet. Gynecol. 2015, 54, 167–171. [Google Scholar] [CrossRef] [PubMed]
- Stone, P.R.; Chan, E.H.; McCowan, L.M.; Taylor, R.S.; Mitchell, J.M.; Consortium, S. Transabdominal scanning of the cervix at the 20-week morphology scan: Comparison with transvaginal cervical measurements in a healthy nulliparous population. Aust. N. Z. J. Obstet. Gynaecol. 2010, 50, 523–527. [Google Scholar] [CrossRef]
- Lim, K.; Butt, K.; Crane, J.M.; Morin, L.; Bly, S.; Cargill, Y.; Davies, G.; Denis, N.; Ouellet, A.; Salem, S. Ultrasonographic cervical length assessment in predicting preterm birth in singleton pregnancies. J. Obstet. Gynaecol. Can. 2011, 33, 486–499. [Google Scholar] [CrossRef]
- Tercan, C.; Dagdeviren, E.; Yeniocak, A.S.; Can, S. The role of uterine anteversion and flexion angles in predicting pain severity during diagnostic hysteroscopy: A prospective cohort study. Ginekol. Pol. 2025, 96, 524–531. [Google Scholar] [CrossRef]
- Seracchioli, R.; Raimondo, D.; Del Forno, S.; Leonardi, D.; De Meis, L.; Martelli, V.; Arena, A.; Paradisi, R.; Mabrouk, M. Transvaginal and transperineal ultrasound follow-up after laparoscopic correction of uterine retrodisplacement in women with posterior deep infiltrating endometriosis. Aust. N. Z. J. Obstet. Gynaecol. 2019, 59, 288–293. [Google Scholar] [CrossRef]
- Songserm, V.; Komwilaisak, R.; Saksiriwuttho, P.; Kongwattanakul, K. Transperineal versus transvaginal sonographic measurements of cervical length in pregnant women between 16 and 24 weeks of gestation. J. Clin. Ultrasound JCU 2019, 47, 389–393. [Google Scholar] [CrossRef]
- Ozdemir, I.; Demirci, F.; Yucel, O. Transperineal versus transvaginal ultrasonographic evaluation of the cervix at each trimester in normal pregnant women. Aust. N. Z. J. Obstet. Gynaecol. 2005, 45, 191–194. [Google Scholar] [CrossRef]
- Wongkanha, L.; Sudjai, D.; Puttanavijarn, L. Correlation of transabdominal and transvaginal sonography for the assessment of uterocervical angle at 16–24 weeks’ gestation. J. Obstet. Gynaecol. 2020, 40, 654–658. [Google Scholar] [CrossRef]
- Kagan, K.; Sonek, J. How to measure cervical length. Ultrasound Obstet. Gynecol. 2015, 45, 358–362. [Google Scholar] [CrossRef] [PubMed]
- Coutinho, C.M.; Sotiriadis, A.; Odibo, A.; Khalil, A.; D’Antonio, F.; Feltovich, H.; Salomon, L.J.; Sheehan, P.; Napolitano, R.; Berghella, V.; et al. ISUOG Practice Guidelines: Role of ultrasound in the prediction of spontaneous preterm birth. Ultrasound Obstet. Gynecol. 2022, 60, 435–456. [Google Scholar] [CrossRef] [PubMed]
- Retzke, J.; Sonek, J.; Lehmann, J.; Yazdi, B.; Kagan, K. Comparison of three methods of cervical measurement in the first trimester: Single-line, two-line, and tracing. Prenat. Diagn. 2013, 33, 262–268. [Google Scholar] [CrossRef] [PubMed]
- Dietz, H.P. Ultrasound imaging of the pelvic floor. Part I: Two-dimensional aspects. Ultrasound Obstet. Gynecol. 2004, 23, 80–92. [Google Scholar] [CrossRef] [PubMed]



| Demographic Data | n: 136 |
|---|---|
| Maternal age a (year) | 28.32 ± 5.31 |
| BMI b (kg/m2) | 26.33 (18–40) |
| Gestational age b (days) | 140.5 (112–168) |
| Parity b | 1 (0–6) |
| Previous cesarean section c n | 45 (33.09) |
| Primigravidas c n | 41 (30.15) |
| Turkish ethnicity c n | 126 (92.65) |
| ANOVA (Repeated Measures) Test (n: 136) | Bonferroni Post Hoc Test | |||
|---|---|---|---|---|
| Mean ± SD | p Value | Pairwise Comparison | p Value | |
| TVUS UCA (°) | 100 ± 24.02 | <0.001 | TVUS-TPUS UCA (°) | 0.012 |
| TPUS UCA (°) | 105.04 ± 25.70 | TVUS-TAUS UCA (°) | <0.001 | |
| TAUS UCA (°) | 91.99 ± 26.22 | TPUS-TAUS UCA (°) | <0.001 | |
| Friedman Test (n: 136) | Bonferroni-Corrected Wilcoxon Test | |||
|---|---|---|---|---|
| Median (min-max) | p Value | Pairwise Comparison | p Value | |
| TVUS CL (mm) | 35 (20.6–55) | <0.001 | TVUS-TPUS CL (mm) | <0.001 |
| TPUS CL (mm) | 34 (18.5–44) | TVUS-TAUS CL (mm) | <0.001 | |
| TAUS CL (mm) | 33 (20–50) | TPUS-TAUS CL (mm) | 0.620 | |
Disclaimer/Publisher’s Note: The statements, opinions and data contained in all publications are solely those of the individual author(s) and contributor(s) and not of MDPI and/or the editor(s). MDPI and/or the editor(s) disclaim responsibility for any injury to people or property resulting from any ideas, methods, instructions or products referred to in the content. |
© 2025 by the authors. Licensee MDPI, Basel, Switzerland. This article is an open access article distributed under the terms and conditions of the Creative Commons Attribution (CC BY) license (https://creativecommons.org/licenses/by/4.0/).
Share and Cite
Dagdeviren, E.; Tercan, C.; Yeniocak, A.S.; Cigdem, B.; Ataseven, E.; Varlik, A.; Kilic, M.F.; Kaya, Y. Comparative Assessment of Uterocervical Angle Using Transvaginal, Transabdominal, and Transperineal Ultrasonography Between 16 and 24 Weeks of Gestation. Diagnostics 2025, 15, 2146. https://doi.org/10.3390/diagnostics15172146
Dagdeviren E, Tercan C, Yeniocak AS, Cigdem B, Ataseven E, Varlik A, Kilic MF, Kaya Y. Comparative Assessment of Uterocervical Angle Using Transvaginal, Transabdominal, and Transperineal Ultrasonography Between 16 and 24 Weeks of Gestation. Diagnostics. 2025; 15(17):2146. https://doi.org/10.3390/diagnostics15172146
Chicago/Turabian StyleDagdeviren, Emrah, Can Tercan, Ali Selcuk Yeniocak, Busra Cigdem, Elif Ataseven, Akin Varlik, Mehmet Fatih Kilic, and Yucel Kaya. 2025. "Comparative Assessment of Uterocervical Angle Using Transvaginal, Transabdominal, and Transperineal Ultrasonography Between 16 and 24 Weeks of Gestation" Diagnostics 15, no. 17: 2146. https://doi.org/10.3390/diagnostics15172146
APA StyleDagdeviren, E., Tercan, C., Yeniocak, A. S., Cigdem, B., Ataseven, E., Varlik, A., Kilic, M. F., & Kaya, Y. (2025). Comparative Assessment of Uterocervical Angle Using Transvaginal, Transabdominal, and Transperineal Ultrasonography Between 16 and 24 Weeks of Gestation. Diagnostics, 15(17), 2146. https://doi.org/10.3390/diagnostics15172146

