Infections as a Cause of Preterm Birth: Amniotic Fluid Sludge—An Ultrasound Marker for Intra-Amniotic Infections and a Risk Factor for Preterm Birth
Abstract
1. Introduction
2. Amniotic Fluid (AF) Sludge and Its Constitution
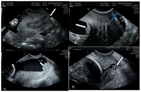
3. Imaging for AF Sludge
4. AF Sludge and Intra-Amniotic Infections
5. AF Sludge and an Ultrasound Marker for Spontaneous Preterm Labour?
6. Will Treatment Improve Outcomes?
7. Conclusions
Author Contributions
Funding
Conflicts of Interest
References
- Blencowe, H.; Cousens, S.; Chou, D.; Oestergaard, M.; Say, L.; Moller, A.-B.; Kinney, M.; Lawn, J.; on behalf of the Born Too Soon Preterm Birth Action Group. Born too soon: The global epidemiology of 15 million preterm births. Reprod. Health 2013, 10 (Suppl. S1), S2. [Google Scholar] [CrossRef]
- World Health Organization. Children: Improving Survival and Well-Being; World Health Organization: Geneva, Switzerland, 2020. Available online: https://www.who.int/news-room/fact-sheets/detail/children-reducing-mortality (accessed on 23 December 2024).
- Ahmed, B.; Abushama, M.; Konje, J.C. Prevention of spontaneous preterm delivery—An update on where we are today. J. Matern. Fetal Neonatal Med. 2023, 36, 2183756. [Google Scholar] [CrossRef]
- Chawanpaiboon, S.; Vogel, J.P.; Moller, A.-B.; Lumbiganon, P.; Petzold, M.; Hogan, D.; Landoulsi, S.; Jampathong, N.; Kongwattanakul, K.; Laopaiboon, M.; et al. Global, regional, and national estimates of levels of preterm birth in 2014: A systematic review and modelling analysis. Lancet Glob. Health 2019, 7, E37–E46. [Google Scholar] [CrossRef] [PubMed]
- Ohuma, E.O.; Moller, A.B.; Bradley, E.; Chakwera, S.; Hussain-Alkhateeb, L.; Lewin, A.; Okwaraji, Y.B.; Mahanani, W.R.; Johansson, E.W.; Lavin, T.; et al. National, regional, and global estimates of preterm birth in 2020, with trends from 2010: A systematic analysis. Lancet 2023, 402, 1261–1271, Erratum in Lancet 2024, 403, 618. [Google Scholar] [CrossRef] [PubMed]
- Muglia, L.J.; Katz, M. The enigma of spontaneous preterm birth. N. Engl. J. Med. 2010, 362, 529–535. [Google Scholar] [CrossRef] [PubMed]
- Cavoretto, P.I.; Candiani, M.; Farina, A. Spontaneous Preterm Birth Phenotyping Based on Cervical Length and Immune-Mediated Factors. JAMA Netw. Open 2024, 7, e244559. [Google Scholar] [CrossRef] [PubMed]
- Villar, J.; Cavoretto, P.I.; Barros, F.C.; Romero, R.; Papageorghiou, A.T.; Kennedy, S.H. Etiologically Based Functional Taxonomy of the Preterm Birth Syndrome. Clin. Perinatol. 2024, 51, 475–495. [Google Scholar] [CrossRef] [PubMed] [PubMed Central]
- Villar, J.; Restrepo-Méndez, M.C.; McGready, R.; Barros, F.C.; Victora, C.G.; Munim, S.; Papageorghiou, A.T.; Ochieng, R.; Craik, R.; Barsosio, H.C.; et al. Association Between Preterm-Birth Phenotypes and Differential Morbidity, Growth, and Neurodevelopment at Age 2 Years: Results From the INTERBIO-21st Newborn Study. JAMA Pediatr. 2021, 175, 483–493. [Google Scholar] [CrossRef] [PubMed] [PubMed Central]
- Frenquelli, R.; Ratcliff, M.; Villar de Onis, J.; Fernandes, M.; Barros, F.C.; Hirst, J.E.; Papageorghiou, A.T.; Kennedy, S.H.; Villar, J. Complex Perinatal Syndromes Affecting Early Human Growth and Development: Issues to Consider to Understand Their Aetiology and Postnatal Effects. Front. Neurosci. 2022, 16, 856886. [Google Scholar] [CrossRef]
- Romero, R.; Jung, E.; Chaiworapongsa, T.; Erez, O.; Gudicha, D.W.; Kim, Y.M.; Kim, J.S.; Kim, B.; Kusanovic, J.P.; Gotsch, F.; et al. Toward a new taxonomy of obstetrical disease: Improved performance of maternal blood biomarkers for the great obstetrical syndromes when classified according to placental pathology. Am. J. Obstet Gynecol. 2022, 227, 615.e1–615.e25. [Google Scholar] [CrossRef] [PubMed] [PubMed Central]
- Sovio, U.; Gaccioli, F.; Cook, E.; Charnock-Jones, D.S.; Smith, G.C.S. Association between adverse pregnancy outcome and placental biomarkers in the first trimester: A prospective cohort study. BJOG 2024, 131, 823–831. [Google Scholar] [CrossRef] [PubMed]
- Cavoretto, P.I.; Farina, A.; Salmeri, N.; Syngelaki, A.; Tan, M.Y.; Nicolaides, K.H. First trimester risk of preeclampsia and rate of spontaneous birth in patients without preeclampsia. Am. J. Obstet. Gynecol. 2024, 231, 452.e1–452.e7. [Google Scholar] [CrossRef] [PubMed]
- Villar, J.; Knight, H.E.; de Onis, M.; Bertino, E.; Gilli, G.; Papageorghiou, A.T.; Ismail, L.C.; Barros, F.C.; Bhutta, Z.A.; International Fetal and Newborn Growth Consortium (INTERGROWTH-21st). Conceptual issues related to the construction of prescriptive standards for the evaluation of postnatal growth of preterm infants. Arch. Dis. Child. 2010, 95, 1034–1038. [Google Scholar] [CrossRef] [PubMed]
- National Institute for Health and Care Excellence (NICE). Preterm Labour and Birth. NICE Guideline (NG25). 2015. Available online: www.nice.org.uk/guidance/ng25 (accessed on 6 August 2025).
- Watts, D.H.; Krohn, M.A.; Hiler, S.L.; Eschenbach, D.A. The association of occult amniotic Fluid. infection with gestational age and neonatal outcome in women in preterm labor. Obstet. Gynecol. 1992, 79, 351–357. [Google Scholar] [CrossRef] [PubMed]
- Agrawal, V.; Hirsch, E. Intrauterine infection and preterm labor. Semin. Fetal Neonatal Med. 2012, 17, 12–19. [Google Scholar] [CrossRef] [PubMed] [PubMed Central]
- Romero, R.; Sirtori, M.; Oyarzun, E.; Avila, C.; Mazor, M.; Callahan, R.; Sabo, V.; Athanassiadis, A.P.; Hobbins, J.C. Infection and labor. V. Prevalence, microbiology, and clinical significance of intraamniotic infection in women with preterm labor and intact membranes. Am. J. Obstet. Gynecol. 1989, 161, 817–824. [Google Scholar] [CrossRef] [PubMed]
- Goldenberg, R.L.; Andrews, W.W. Intrauterine infection and why preterm prevention programs have failed. Am. J. Public Health 1996, 86, 781–783. [Google Scholar] [CrossRef]
- Kim, C.J.; Romero, R.; Chaemsaithong, P.; Chaiyasit, N.; Yoon, B.H.; Kim, Y.M. Acute chorioamnionitis and funisitis: Definition, pathologic features, and clinical significance. Am. J. Obstet. Gynecol. 2015, 213 (Suppl. 4), S29–S52. [Google Scholar] [CrossRef]
- Romero, R.; Salafia, C.M.; Athanassiadis, A.P.; Hanaoka, S.; Mazor, M.; Sepulveda, W.; Bracken, M.B. The relationship between acute inflammatory lesions of the preterm placenta and amniotic fluid microbiology. Am. J. Obstet. Gynecol. 1992, 166, 1382–1388. [Google Scholar] [CrossRef]
- Lee, S.M.; Park, K.H.; Jung, E.Y.; Jang, J.A.; Yoo, H.N. Frequency and clinical significance of short cervix in patients with preterm premature rupture of membranes. PLoS ONE 2017, 12, e0174657. [Google Scholar] [CrossRef]
- Kiefer, D.G.; Keeler, S.M.; Rust, O.A.; Wayock, C.P.; Vintzileos, A.M.; Hanna, N. Is midtrimester short cervix a sign of intraamniotic inflammation? Am. J. Obstet. Gynecol. 2009, 200, 374.e1–374.e5. [Google Scholar] [CrossRef]
- Cassell, G.H.; Davis, R.O.; Waites, K.B.; Brown, M.B.; Marriott, P.A.; Stagno, S.; Davis, J.K. Isolation of Mycoplasma hominis and Ureaplasma urealyticum from amniotic fluid at 16–20 weeks of gestation: Potential effect on outcome of pregnancy. Sex. Transm. Dis. 1983, 10 (Suppl. 4), 294–302. [Google Scholar] [PubMed]
- Daskalakis, G.; Psarris, A.; Koutras, A.; Fasoulakis, Z.; Prokopakis, I.; Varthaliti, A.; Karasmani, C.; Ntounis, T.; Domali, E.; Theodora, M.; et al. Maternal Infection and Preterm Birth: From Molecular Basis to Clinical Implications. Children 2023, 10, 907. [Google Scholar] [CrossRef]
- Romero, R.; Miranda, J.; Chaiworapongsa, T.; Chaemsaithong, P.; Gotsch, F.; Dong, Z.; Ahmed, A.I.; Yoon, B.H.; Hassan, S.S.; Kim, C.J.; et al. A novel molecular microbiologic technique for the rapid diagnosis of microbial invasion of the amniotic cavity and intra-amniotic infection in preterm labor with intact membranes. Am. J. Reprod. Immunol. 2014, 71, 330–358. [Google Scholar] [CrossRef] [PubMed]
- Espinoza, J.; Gonçalves, L.F.; Romero, R.; Nien, J.K.; Stites, S.; Kim, Y.M.; Hassan, S.; Gomez, R.; Yoon, B.H.; Chaiworapongsa, T.; et al. The prevalence and clinical significance of amniotic fluid ‘sludge’ in patients with preterm labor and intact membranes. Ultrasound Obstet. Gynecol. 2005, 25, 346–352. [Google Scholar] [CrossRef] [PubMed]
- Benacerraf, B.R.; Gatter, M.A.; Ginsburgh, F. Ultrasound diagnosis of meconium-stained amniotic fluid. Am. J. Obstet. Gynecol. 1984, 149, 570–572. [Google Scholar] [CrossRef] [PubMed]
- DeVore, G.R.; Platt, L.D. Ultrasound appearance of particulate matter in amniotic cavity: Vernix or meconium? J. Clin. Ultrasound 1986, 14, 229–230. [Google Scholar] [CrossRef] [PubMed]
- Sepulveda, W.H.; Quiroz, V.H. Sonographic detection of echogenic amniotic fluid and its clinical significance. J. Perinat. Med. 1989, 17, 333–335. [Google Scholar] [CrossRef] [PubMed]
- Sherer, D.M.; Abramowicz, J.S.; Smith, S.A.; Woods, J.R., Jr. Sonographically homogeneous echogenic amniotic fluid in detecting meconium-stained amniotic fluid. Obstet. Gynecol. 1991, 78, 819–822. [Google Scholar]
- Vohra, N.; Rochelson, B.; Smith-Levitin, M. Three-dimensional sonographic findings in congenital (harlequin) ichthyosis. J. Ultrasound Med. 2003, 22, 737–739. [Google Scholar] [CrossRef] [PubMed]
- Bujold, E.; Pasquier, J.C.; Simoneau, J.; Arpin, M.H.; Duperron, L.; Morency, A.M.; Audibert, F. Intra-amniotic sludge, short cervix, and risk of preterm delivery. J. Obstet. Gynaecol. Can. 2006, 28, 198–202. [Google Scholar] [CrossRef]
- Adanir, I.; Ozyuncu, O.; Gokmen Karasu, A.F.; Onderoglu, L.S. Amniotic fluid “sludge”; prevalence and clinical significance of it in asymptomatic patients at high risk for spontaneous preterm delivery. J. Matern. Fetal Neonatal Med. 2018, 31, 135–140. [Google Scholar] [CrossRef]
- Parulekar, S.G. Ultrasonographic demonstration of floating Ultrasonographic demonstration of floating particles in amniotic fluid. J. Ultrasound Med. 1983, 2, 107–110. [Google Scholar] [CrossRef] [PubMed]
- Kusanovic, J.P.; Espinoza, J.; Romero, R.; Gonçalves, L.F.; Nien, J.K.; Soto, E.; Khalek, N.; Camacho, N.; Hendler, I.; Mittal, P.; et al. Clinical significance of the presence of amniotic fluid ‘sludge’ in asymptomatic patients at high risk for spontaneous preterm delivery. Ultrasound Obstet. Gynecol. 2007, 30, 706–714. [Google Scholar] [CrossRef]
- Bearfield, C.; Davenport, E.S.; Sivapathasundaram, V.; Allaker, R.P. Possible association between amniotic fluid microorganism infection and microflora in the mouth. BJOG Int. J. Obstet. Gynaecol. 2002, 109, 527–533. [Google Scholar] [CrossRef] [PubMed]
- Gomez-Lopez, N.; Romero, R.; Xu, Y.; Miller, D.; Unkel, R.; Shaman, M.; Jacques, S.M.; Panaitescu, B.; Garcia-Flores, V.; Hassan, S.S. Neutrophil Extracellular Traps in the Amniotic Cavity of Women with Intra-Amniotic Infection: A New Mechanism of Host Defense. Reprod. Sci. 2017, 24, 1139–1153. [Google Scholar] [CrossRef] [PubMed]
- Gomez-Lopez, N.; Romero, R.; Garcia-Flores, V.; Xu, Y.; Leng, Y.; Alhousseini, A.; Hassan, S.S.; Panaitescu, B. Amniotic fluid neutrophils can phagocytize bacteria: A mechanism for microbial killing in the amniotic cavity. Am. J. Reprod. Immunol. 2017, 78, e12723. [Google Scholar] [CrossRef] [PubMed]
- Chen, G.Y.; Nunez, G. Sterile inflammation: Sensing and reacting to damage. Nat. Rev. Immunol. 2010, 10, 826–837. [Google Scholar] [CrossRef] [PubMed] [PubMed Central]
- Romero, R.; Miranda, J.; Chaiworapongsa, T.; Korzeniewski, S.J.; Chaemsaithong, P.; Gotsch, F.; Dong, Z.; Ahmed, A.I.; Yoon, B.H.; Hassan, S.S.; et al. Prevalence and clinical significance of sterile intra-amniotic inflammation in patients with preterm labor and intact membranes. Am. J. Reprod. Immunol. 2014, 72, 458–474. [Google Scholar] [CrossRef] [PubMed] [PubMed Central]
- Romero, R.; Miranda, J.; Chaemsaithong, P.; Chaiworapongsa, T.; Kusanovic, J.P.; Dong, Z.; Ahmed, A.I.; Shaman, M.; Lannaman, K.; Yoon, B.H.; et al. Sterile and microbial-associated intra-amniotic inflammation in preterm prelabor rupture of membranes. J. Matern. Fetal Neonatal Med. 2014, 28, 1394–1409. [Google Scholar] [CrossRef] [PubMed] [PubMed Central]
- Romero, R.; Miranda, J.; Chaiworapongsa, T.; Chaemsaithong, P.; Gotsch, F.; Dong, Z.; Ahmed, A.I.; Yoon, B.H.; Hassan, S.S.; Kim, C.J.; et al. Sterile intra-amniotic inflammation in asymptomatic patients with a sonographic short cervix: Prevalence and clinical significance. J. Matern. Fetal Neonatal Med. 2015, 28, 1343–1359. [Google Scholar] [CrossRef]
- Romero, R.; Schaudinn, C.; Kusanovic, J.P.; Gorur, A.; Gotsch, F.; Webster, P.; Nhan-Chang, C.L.; Erez, O.; Kim, C.J.; Espinoza, J.; et al. Detection of a microbial biofilm in intraamniotic infection. Am. J. Obstet. Gynecol. 2008, 198, 135.e1–135.e5. [Google Scholar] [CrossRef] [PubMed] [PubMed Central]
- Donlan, R.M.; Costerton, J.W. Biofilms: Survival mechanisms of clinically relevant microorganisms. Clin. Microbiol. Rev. 2002, 15, 167–193. [Google Scholar] [CrossRef]
- Costerton, W.; Veeh, R.; Shirtliff, M.; Pasmore, M.; Post, C.; Ehrlich, G. The application of biofilm science to the study and control of chronic bacterial infections. J. Clin. Investig. 2003, 112, 1466–1477. [Google Scholar] [CrossRef] [PubMed Central]
- Donlan, R.M. Role of biofilms in antimicrobial resistance. ASAIO J. 2000, 46, S47–S52. [Google Scholar] [CrossRef] [PubMed]
- Jensen, E.T.; Kharazmi, A.; Lam, K.; Costerton, J.W.; Hoiby, N. Human polymorphonuclear leukocyte response to Pseudomonas aeruginosa grown in biofilms. Infect. Immun. 1990, 58, 2383–2385. [Google Scholar] [CrossRef] [PubMed] [PubMed Central]
- Jensen, E.T.; Kharazmi, A.; Hoiby, N.; Costerton, J.W. Some bacterial parameters influencing the neutrophil oxidative burst response to Pseudomonas aeruginosa biofilms. APMIS 1992, 100, 727–733. [Google Scholar] [CrossRef] [PubMed]
- Wu, T.; Li, S.; Gong, X.; Li, J.; Li, X.; Zhai, Y.; Huang, J.; Li, X.; Li, L.; Yang, J.; et al. Longitudinal cervical length measurements and spontaneous preterm birth in singleton and twin pregnancies. JAMA Netw Open. 2024, 7, e244592. [Google Scholar] [CrossRef] [PubMed]
- Kim, C.J.; Romero RChaemsaithong, P.; Kim, J.S. Chronic inflammation of the placenta.: Definition classification, pathogenesis and clinical significance. Am. J. Obstet. Gynecol. 2015, 213, S53–S69. [Google Scholar] [CrossRef]
- Hatanaka, A.R.; Mattar, R.; Kawanami, T.E.; França, M.S.; Rolo, L.C.; Nomura, R.M.; Araujo Júnior, E.; Nardozza, L.M.; Moron, A.F. Amniotic fluid “sludge” is an independent risk factor for preterm delivery. J. Matern. Fetal Neonatal Med. 2016, 29, 120–125. [Google Scholar] [CrossRef] [PubMed]
- Romero, R.; Kusanovic, J.P.; Espinoza, J.; Gotsch, F.; Nhan-Chang, C.L.; Erez, O.; Kim, C.J.; Khalek, N.; Mittal, P.; Goncalves, L.F.; et al. What is amniotic fluid sludge? Ultrasound Obstet. Gynecol. 2007, 30, 793–798. [Google Scholar] [CrossRef] [PubMed] [PubMed Central]
- Yoneda, N.; Yoneda, S.; Niimi, H.; Ito, M.; Fukuta, K.; Ueno, T.; Ito, M.; Shiozaki, A.; Kigawa, M.; Kitajima, I.; et al. Sludge reflects intra-amniotic inflammation with or without microorganisms. Am. J. Reprod. Immunol. 2018, 79, e12807. [Google Scholar] [CrossRef]
- Kusanovic, J.P.; Jung, E.; Romero, R.; Green, P.M.; Nhan-Chang, C.-L.; Vaisbuch, E.; Erez, O.; Kim, C.J.; Gonçalves, L.F.; Espinoza, J.; et al. Characterization of amniotic fluid sludge in preterm and term gestations. J. Matern. Fetal Neonatal Med. 2022, 35, 9770–9779. [Google Scholar] [CrossRef] [PubMed]
- Gill, N.; Romero, R.; Pacora, P.; Tarca, A.L.; Benshalom-Tirosh, N.; Pacora, P.; Kabiri, D.; Tirosh, D.; Jung, E.J.; Yeo, L.; et al. 467: Patients with Short Cervix and Amniotic Fluid Sludge Delivering ≤32 Weeks Have Stereotypic Inflammatory Signature. Am. J. Obstet. Gynecol. 2019, 220, S312. [Google Scholar] [CrossRef]
- Paules, C.; Moreno, E.; Gonzales, A.; Fabre, E.; González de Agüero, R.; Oros, D. Amniotic fluid sludge as a marker of intra-amniotic infection and histological chorioamnionitis in cervical insufficiency: A report of four cases and literature review. J. Matern. Fetal Neonatal Med. 2016, 29, 2681–2684. [Google Scholar] [CrossRef] [PubMed]
- Ventura, W.; Nazario, C.; Ingar, J.; Huertas, E.; Limay, O.; Castillo, W. Risk of impending preterm delivery associated with the presence of amniotic fluid sludge in women in preterm labor with intact membranes. Fetal Diagn. Ther. 2011, 30, 116–121. [Google Scholar] [CrossRef]
- Himaya, E.; Rhalmi, N.; Girard, M.; Tétu, A.; Desgagné, J.; Abdous, B.; Gekas, J.; Giguère, Y.; Bujold, E. Midtrimester intra-amniotic sludge and the risk of spontaneous preterm birth. Am. J. Perinatol. 2011, 28, 815–820. [Google Scholar] [CrossRef]
- Pedregosa, J.P.; Ruiz, C.M.; Medina, T.B.; Rascin, A.G.; del Gallo, J.; de la Fuente, J.L.; Alonso, M.J.T. Amniotic sludge and short cervix as inflammation and intraamniotic infection markers. Obstet. Gynecol. Int. J. 2017, 7, 215–218. [Google Scholar] [CrossRef][Green Version]
- Buyuk, G.N.; Oskovi-Kaplan, Z.A.; Kahyaoglu, S.; Engin-Ustun, Y. Echogenic particles in the amniotic fluid of term low-risk pregnant women: Does it have a clinical significance? J. Obstet. Gynaecol. 2021, 41, 1048–1052. [Google Scholar] [CrossRef]
- Kaluarachchi, A.; Jayawardena, G.R.M.U.G.P.; Ranaweera, A.K.P.; Rishard, M.R.M. Hyperechoic amniotic fluid in a term pregnancy. J. Fam. Med. Prim. Care 2018, 7, 635–637. [Google Scholar] [CrossRef]
- Zimmer, E.Z.; Bronshtein, M. Ultrasonic features of intraamniotic ‘unidentified debris’ at 14–16 weeks’ gestation. Ultrasound Obstet. Gynecol. 1996, 7, 178–181. [Google Scholar] [CrossRef] [PubMed]
- Tsunoda, Y.; Fukami, T.; Yoneyama, K.; Kawabata, I.; Takeshita, T. The presence of amniotic fluid sludge in pregnant women with a short cervix: An independent risk of preterm delivery. J. Matern. Fetal Neonatal Med. 2020, 33, 920–923. [Google Scholar] [CrossRef] [PubMed]
- Yasuda, S.; Tanaka, M.; Kyozuka, H.; Suzuki, S.; Yamaguchi, A.; Nomura, Y.; Fujimori, K. Association of amniotic fluid sludge with preterm labor and histologic chorioamnionitis in pregnant Japanese women with intact membranes: A retrospective study. J. Obstet. Gynaecol. Res. 2020, 46, 87–92. [Google Scholar] [CrossRef] [PubMed]
- Pahlavan, F.; Niknejad, F.; Irani, S.; Niknejadi, M. Does Amniotic Fluid Sludge Result in Preterm Labor in Pregnancies after Assisted Reproduction Technology? A Nested Case—Control Study. J. Matern. Fetal Neonatal Med. 2022, 35, 7153–7157. [Google Scholar] [CrossRef] [PubMed]
- Cuff, R.D.; Carter, E.; Taam, R.; Bruner, E.; Patwardhan, S.; Newman, R.B.; Chang, E.Y.; Sullivan, S.A. Effect of Antibiotic Treatment of Amniotic Fluid Sludge. Am. J. Obstet. Gynecol. MFM 2020, 2, 100073. [Google Scholar] [CrossRef] [PubMed]
- Hatanaka, A.R.; Franca, M.S.; Hamamoto, T.E.N.K.; Rolo, L.C.; Mattar, R.; Moron, A.F. Antibiotic treatment for patients with amniotic fluid “sludge” to prevent spontaneous preterm birth: A historically controlled observational study. Acta Obstet. Gynecol. Scand. 2019, 98, 1157–1163. [Google Scholar] [CrossRef] [PubMed]
- Pustotina, O. Effects of antibiotic therapy in women with the amniotic fluid “sludge” at 15–24 weeks of gestation on pregnancy outcomes. J. Matern. Fetal Neonatal Med. 2020, 33, 3016–3027. [Google Scholar] [CrossRef]
- Jin, W.H.; Ha Kim, Y.; Kim, J.W.; Kim, T.Y.; Kim, A.; Yang, Y. Antibiotic treatment of amniotic fluid “sludge” in patients during the second or third trimester with uterine contraction. Int. J. Gynaecol. Obstet. 2021, 153, 119–124. [Google Scholar] [CrossRef] [PubMed]
- Giles, M.L.; Krishnaswamy, S.; Metlapalli, M.; Roman, A.; Jin, W.; Li, W.; Mol, B.W.; Sheehan, P.; Said, J. Azithromycin treatment for short cervix with or without amniotic fluid sludge: A matched cohort study. Aust. N. Z. J. Obstet. Gynaecol. 2023, 63, 384–390. [Google Scholar] [CrossRef]
- Fuchs, F.; Boucoiran, I.; Picard, A.; Dube, J.; Wavrant, S.; Bujold, E.; Audibert, F. Impact of amniotic fluid “sludge” on the risk of preterm delivery. J. Matern. Fetal Neonatal Med. 2015, 28, 1176–1180. [Google Scholar] [CrossRef]
- Yeo, L.; Romero, R.; Chaiworapongsa, T.; Para, R.; Johnson, J.; Kmak, D.; Jung, E.; Yoon, B.H.; Hsu, C.D. Resolution of acute cervical insufficiency after antibiotics in a case with amniotic fluid sludge. J. Matern. Fetal Neonatal Med. 2022, 35, 5416–5426. [Google Scholar] [CrossRef] [PubMed]
- Sapantzoglou, I.; Pergialiotis, V.; Prokopakis, I.; Douligeris, A.; Stavros, S.; Panagopoulos, P.; Theodora, M.; Antsaklis, P.; Daskalakis, G. Antibiotic therapy in patients with amniotic fluid sludge and risk of preterm birth: A meta-analysis. Arch. Gynecol. Obstet. 2024, 309, 347–361. [Google Scholar] [CrossRef]
- Pannain, G.D.; Pereira, A.M.G.; Rocha, M.L.T.L.F.D.; Lopes, R.G.C. Amniotic Sludge and Prematurity: Systematic Review and Meta-analysis. Rev. Bras. Ginecol. Obstet. 2023, 45, e489–e498. [Google Scholar] [CrossRef]
- Luca, S.T.; Săsăran, V.; Muntean, M.; Mărginean, C. A Review of the Literature: Amniotic Fluid “Sludge”-Clinical Significance and Perinatal Outcomes. J. Clin. Med. 2024, 13, 5306. [Google Scholar] [CrossRef] [PubMed]
- Karampitsakos, T.; Mavrogianni, D.; Machaiotis, N.; Potiris, A.; Pangagopoulos, P.; Stavros, S.; Antsaklis, P.; Drakakis, P. The impact of amniotic fluid interleukin-6, interleukin -8 and metalloproteinase -9 on preterm labor: A narrative reveiw. Biomedicines 2025, 13, 118. [Google Scholar] [CrossRef] [PubMed] [PubMed Central]

| Study Details (Authors and Year) | Type of Study | Population Studied and Gestation at Study | Method of Investigation | Principal Findings | Organisms Isolated from Culture/PCR |
|---|---|---|---|---|---|
| Espinoza et al., 2005 [27] | Retrospective | 84 women in preterm labour at 20–35 weeks and 298 in term labour | Amniocentesis of the preterm group (n = 84) for culture. 19 had sludge and 65 did not. Histological examination of the amniochorion and placenta. | Histological chorioamnionitis in those with and without sludge. 77.8% (14/18) vs. 19% (11/58); p < 0.001 and positive AF culture 33.3% (6/18) vs. 2.5% (1/40); p = 0.003. | Ureplasma urealyticum, Fusobacterium nucleatum, Candida albicans, Peptostreptococcus spp., Gardnerella vaginalis |
| Kusanovic et al., 2007 [36] | Retrospective case control | 281 asymptomatic women at 13–29 weeks with a short cervix | 66 had sludge and 215 did not. Amniocentesis performed on 51 (23 with sludge and 28 without) for AF culture and WBC in AF of >50 cells/mm3. Histology of membranes and cord. | MIAC rates of 21.7% (5/23) in AF sludge vs. 0% (0/28) in non-sludge group and 27.3% (6/23) vs. 3.6% (1/28) for intra-amniotic inflammation. | Urealasma urealyticum, Staphylococcus aureus, and Fusobacterium nucleatum |
| Himaya et al., 2011 [59] | Prospective | 310 women undergoing karyotyping by amniocentesis at 14–24 weeks | Quantification of amniotic fluid concentration of MMP-8 (MMP-8), glucose, and lactate from 310 women (94 with free-floating particles, 19 with dense amniotic sludge, and 200 with no particles/no sludge). CL normal in all cases except 1 with a CL of <15 mm. | No significant differences in MMP-8, lactate, and glucose in the groups. No differences in markers of MIAC in all groups. Woman with CL < 15 mm had higher MMP-8, and lower glucose. 2 women who delivered <32 weeks had higher mean lactate. | Staphylococcus warneri in one case |
| Ventura et al., 2011 [58] | Retrospective case control | 58 women in preterm labour at 22–34 weeks | Two groups—16 with sludge and 42 without. Histological examination. Histological chorioamnionitis was based on the presence of inflammatory cells in the chorionic plate and/or chorioamniotic membranes. | No difference in histological chorioamnionitis between those with and without sludge (18.8% vs. 14.3; p = 0.067). | Organisms not characterised |
| Paules et al., 2016 [57] | Case report at 21–24 weeks | 4 cases of cervical weakness and bulging membranes with amniotic fluid sludge | Amniocentesis in 3/4 cases (one of the cases refused amniocentesis). | All had histological chorioamnionitis and 2 had funisitis. | Fusobacterium nucleatum (in 2/3 cases) |
| Pedregosa et al., 2017 [60] | Retrospective and prospective | Asymptomatic/symptomatic women with a short CL <25 mm at 16–32 weeks | Amniocentesis in 15 cases—12 with sludge. PCR, culture, Gram staining, and WBC and glucose levels. Microbiological study of placenta, membranes, and umbilical cord. | From 15 amnios, 8 had MIAC and 6 had sterile inflammation (without any isolated organism) and 1 was negative. 10 positive cultures of placenta, membranes, and cord. | Genital mycoplasma (Ureaplasma urealyticium, Mycomplasma hominis—most common organisms) |
| Yoneda et al., 2018 [54] | Retrospective | 105 women in preterm labour at 20–29 weeks | Amniocentesis from 105 women in preterm labour (19 with sludge and 86 without) for culture, PCR (positive AF cultures—examined using a nucleotide sequence-based analysis of bacterial genome DNA or 16 S rRNA metagenomics), and IL-8 and placental histology of placenta. | Women with vs. without sludge PCR—no difference; 31.6% (6/19) vs. 38.4% (33/86); p > 0.05. Funisitis 31.6% (6/10) vs. 23.2% (20/86); p = 0.447. Histological chorioamnionitis 52.6% (10/19) vs. 23.3; p = 0.01. IL-8-15.2 ng/mL vs. 5.8 ng/mL; p = 0.005. | Streptococcus parvum, Streptococcus agalactiae, Ureaplasma parvum, Flavobacterium succinicans, Ureaplasma urealyticum |
| Gill et al., 2019 [56] | Cohort | 62 asymptomatic women with a short cervix (≤25 mm) at 16–22 weeks | Amniocentesis for concentrations of 33 proteins and histological examination of chorioamnion. Cohort was divided into those who delivered ≤ 32 weeks (n = 35) and those who delivered >32 weeks (n = 27) and variables were compared (>1.5-fold change in protein concentration considered significant). | Intra-amniotic inflammatory rate higher in <32 week group (31.4% vs. 3.7%; p = 0.008); acute histological chorioamnionitis greater (75% vs. 32%; p = 0.002); higher mean concentration of 8/13 proteins—with IL-8 showing the highest difference (4.1-fold). | No organisms investigated |
| Authors and Year of Study | Type of Study | Population Studied and Gestation of Study | Cervical Assessment | Outcome in Terms of Rates/Risk of Preterm Birth |
|---|---|---|---|---|
| Espinoza et al., 2005 [27] | Retrospective | Women recruited at 20–35 weeks who went into preterm labour (n = 84) and delivered at term; controls (n = 298). Sludge present in 19 of the preterm cohort (i.e., 19/84). | CL ≤ 25 mm in all those with sludge (n = 19) and 49/65 in those without. | Risk of PTB significantly greater in those with sludge at 48 h and 7 days of delivery from diagnosis, and at 32 and 35 weeks: by 48 h—42.9% vs. 4.4%; by 7 days—71.4% vs. 15.6%; <2 weeks—75.0 vs. 25.8%; <35 weeks—92.9% vs. 37.8%. |
| Bujold et al., 2006 [33] | Retrospective | 89 women at risk of preterm birth recruited for cervical length measurement at 18–32 weeks’ gestation—14 with sludge and 75 without. | CL significantly shorter in those with sludge—34.0 ± 10 mm in those with no sludge vs. 23 ± 11 mm and 16 ± 14 mm in those with light and dense sludge. | Spontaneous PTB in <34 weeks—8/14 (57.1%) vs. 5/75 (6.7%) in those with and without sludge. |
| Kusanovic et al., 2007 [36] | Retrospective case control | 281 patients between 13 and 29 weeks. Sludge n = 66, controls n = 216. | Cervical length measured and grouped into <5 mm, <15 mm, <25 mm, and >30 mm. | Sludge present in 69% (20/29), 49% (33/68), 35% (49/142), and 12% (12/99), respectively, for CL < 5 mm, <15 mm, <25 mm, and >30 mm. Spontaneous PTB—no sludge vs. sludge—<28 weeks, 9.4%vs 54.3%; <32 weeks, 14.6% vs. 60%; and <35 weeks,19.8% vs. 42.3%. Odds of SPTB if combined sludge and CL < 25 mm—14.8 for delivery <28 weeks and 9.9 for delivery <35 weeks. |
| Ventura et al., 2011 [58] | Retrospective cohort | 58 women with threatened preterm labour at 22–34 weeks—16 with amniotic fluid sludge and 42 without. | Of the 16 with AFS, 75% had CL ≤25 mm and 37.5% had CL ≤ 15 mm. | SPTB greater in those with AFS. 25% vs. 2.4% within 48 h. 37.5% vs. 11.9% within 7 days. 75% vs. 23.9% within 14 days. USS to delivery interval 21.7 ± 30.1 vs. 49.4 ± 137.8 days. |
| Hatanaka et al., 2016 [52] | Prospective cohort | 195 women at 16–26 weeks, 49 with sludge and 146 without. | CL < 25 mm—38.8% (19/49) (sludge) vs. 17.5% (23/146). | Gestational age at delivery in sludge vs. no sludge groups—35.8 ± 5.4 weeks vs. 37.8 ± 3.6 weeks. SPTB rates differed at up to <35 weeks (at <28 weeks—12.2% vs. 3.4%; at <32 weeks—17.1% vs. 5.1%; and at <35 weeks—26.8% vs. 8.5%). |
| Adanir et al., 2018 [34] | Prospective | 92 women at high risk of preterm delivery between 20 and 34 weeks’ gestation—18 with sludge and 74 without. | CL ≤ 25 mm in 8/18 (sludge) vs. 9/74 (no sludge). | SPTB rate of 66.7% (12/18) in those with sludge vs. 27% (20/74) in those without sludge. |
| Tsunoda et al., 2020 [64] | Retrospective cohort | 110 patients at 14–30 weeks—TVS measurement of CL and sludge. 29 with sludge and 81 without. | 29 delivered <34 weeks and 51 < 37 weeks. 16/29 and 21/51 had sludge. CL < 20 mm—24/29 vs. 33/51 and <15 mm—17/29 vs. 21/51. | Risk of SPTB increased with the presence of AFS. Odds ratio for delivery <35 weeks—6.44 and <37 weeks—4.46. |
| Yasuda et al., 2020 [65] | Retrospective | 54 women presenting in preterm labour at 22–36+6 weeks. Cervical length measured and sludge identified. | Sludge present in 11 cases. | AFS cohort delivered at 28.3 ± 4.5 weeks vs. 31.7 ± 4.3 weeks. |
| Pahlavan et al., 2022 [66] | Nested case control | 110 women who underwent ART in the form of IVF-ET—63 with sludge and 67 without. | CL < 30 mm in control group—10.4% and 28.6% in the study groups. | SPTB prevalence of 23.6% in case and 10.4% in control. |
| Cuff et al., 2020 [67] | Retrospective cohort | 147 women—54 with sludge and 93 without. | Women with sludge more likely to have a short CL (19 mm vs. 14 mm). | Women with AFS + short CL, more likely to have a mid-trimester loss and delivery <24 weeks (RR 3.4; 95%CI 3.4–12–20.3). |
| Authors and Year of Study | Type of Study | No of Cases Studied Included | Antibiotic Regimen and Duration | Outcome (in Terms of Risk of Preterm Birth) |
|---|---|---|---|---|
| Fuchs et al., 2015 [72] | Retrospective case control | 77 asymptomatic women at 15–32 weeks—63 Rx and 14 untreated. Cervical length measured. | Azithromycin 500 mg on day 1 and then 250 mg IV and oral for 4 days. | Overall SPTB rates—57% (36/63) vs. 29% (4/14); p = 0.05 in the treated and untreated groups; PTB < 28 weeks—11.1% vs. 28.6; p = 0.1; PTB < 32 weeks—17.5% vs. 42.9%; p = 0.07; PTB < 34 weeks—19.1% vs. 57.1%; p = 0.006. Conclusion: Use of azithromycin reduced the risk of PTB < 34 weeks. |
| Hatanaka et al., 2019 [68] | Observational historical controlled | Cohort of 86 asymptomatic diagnosed with AFS at 16–26 weeks (divided into high and low risk) and 22 controls with AFS. Cervical length measured. | Two groups. High risk (CL < 25 mm/other risk factors) IV clindamycin + cefazolin for 5 days and then oral for 5 days. Low risk (CL > 25 mm). Clindamycin (oral) + cephalexin for 7 days—low-risk group. | Risk of SPTB < 34 weeks in high-risk group—13.2% vs. 38.5% (p = 0.047) in treated vs. untreated groups. No difference in SPTB rate at all gestations in both groups together (i.e., combined high and low risk = treated vs. untreated). Conclusion: In high-risk group, antibiotics reduce risk of SPTB < 34 weeks. |
| Cuff et al., 2020 [67] | Retrospective cohort | 97 asymptomatic women with AFS diagnosed at 15–25 weeks—51 treated and 46 untreated. CL measured in both groups. | Mixed treatment. 46 Rx with oral azithromycin × 5 days; 5 Rx with oral moxifloxacin × 5 days. | Overall SPTB rate < 37 weeks—49.5% and 22.7% < 28 weeks. CL measurements same in treated and untreated groups. SPTB < 37 weeks—53% vs. 45.7% in treated vs. untreated (p = 0.47). SPTB < 228 weeks—21.6% vs. 19.6% (p = 0.81). Conclusion: Treatment made no difference in outcome. |
| Pustotina, 2020 [69] | Prospective | 29 asymptomatic women with AFS diagnosed at 14–24 weeks divided into three groups: 14 with CL < 25 mm and symptomatic; 7 with Cl >25 mm and asymptomatic; 8 with CL > 25 mm. | All 29 received vaginal clindamycin suppositories and 16—IV cefoperazone/sulbactam; 8—oral amoxicillin/clavulanate. IV butoconazole to 18. Progesterone and indomethacin given to all those with CL < 25 mm. | Intravenous antibiotics prevented SPTB in all women with CL > 25 mm and asymptotic women with CL < 25 mm and in 70% of those with symptoms and CL < 25 mm. Conclusion: Intravenous antibiotics delayed delivery or prevented SPTB. |
| Jin et al., 2021 [70] | Retrospective cohort | 58 women at 15–32 weeks; symptomatic women with intact membranes and AFS. | IV ceftriaxone 1 g daily, clarithromycin 500 mg, BD orally, and metronidazole 500 mg tds—all for 4 weeks. | AFS disappeared in 30/58 (51.7%). USS to delivery interval—67.7 + −35.7 days vs. 28.4 + −35.7 in those without AFS and with persisting AFS after treatment. SPTB <28, <32, and <34 weeks was greater in the persistent group. Conclusion: Antibiotics may cause AFS to disappear in women presenting in PTL and this is associated with improved outcomes. |
| Giles et al., 2023 [71] | Retrospective cohort | 374 asymptomatic high-risk women at 13–24 weeks and CL ≤ 15 mm—129 Rx and 245 not Rx. Cervical cerclage performed on >60% of cases and vaginal progesterone given to most. | Azithromycin—IV or oral or both for 7 days. | SPTB rates—51.2% vs. 50.6% in the azithromycin and untreated groups. No difference in SPTB <28, <34 weeks and PPROM. Conclusion: The data do not support the routine use of azithromycin in women with a short cervix and AFS. |
| Yeo et al., 2022 [73] | Case report | Symptomatic woman presenting at 20+6 weeks and sludge—treatment started at 22 weeks. | Short cervix, amniocentesis (sterile inflammation), 11 days’ treatment with IV ceftriaxone (1 gm daily), IV metronidazole 500 mg 8 hourly, and oral clarithromycin 500 mg 12 hourly. | Short cervix progressively became normal and sludge disappeared. Elective delivery at 36+2 weeks. |
Disclaimer/Publisher’s Note: The statements, opinions and data contained in all publications are solely those of the individual author(s) and contributor(s) and not of MDPI and/or the editor(s). MDPI and/or the editor(s) disclaim responsibility for any injury to people or property resulting from any ideas, methods, instructions or products referred to in the content. |
© 2025 by the authors. Licensee MDPI, Basel, Switzerland. This article is an open access article distributed under the terms and conditions of the Creative Commons Attribution (CC BY) license (https://creativecommons.org/licenses/by/4.0/).
Share and Cite
Al Baloushi, M.; Ahmed, B.; Konje, J.C. Infections as a Cause of Preterm Birth: Amniotic Fluid Sludge—An Ultrasound Marker for Intra-Amniotic Infections and a Risk Factor for Preterm Birth. Diagnostics 2025, 15, 2080. https://doi.org/10.3390/diagnostics15162080
Al Baloushi M, Ahmed B, Konje JC. Infections as a Cause of Preterm Birth: Amniotic Fluid Sludge—An Ultrasound Marker for Intra-Amniotic Infections and a Risk Factor for Preterm Birth. Diagnostics. 2025; 15(16):2080. https://doi.org/10.3390/diagnostics15162080
Chicago/Turabian StyleAl Baloushi, Mariam, Badreldeen Ahmed, and Justin C. Konje. 2025. "Infections as a Cause of Preterm Birth: Amniotic Fluid Sludge—An Ultrasound Marker for Intra-Amniotic Infections and a Risk Factor for Preterm Birth" Diagnostics 15, no. 16: 2080. https://doi.org/10.3390/diagnostics15162080
APA StyleAl Baloushi, M., Ahmed, B., & Konje, J. C. (2025). Infections as a Cause of Preterm Birth: Amniotic Fluid Sludge—An Ultrasound Marker for Intra-Amniotic Infections and a Risk Factor for Preterm Birth. Diagnostics, 15(16), 2080. https://doi.org/10.3390/diagnostics15162080

