Construction and Evaluation of a Risk Prediction Model for Stress Urinary Incontinence in Late Pregnancy Based on Clinical Factors and Pelvic Floor Ultrasound Parameters
Abstract
1. Introduction
2. Materials and Methods
2.1. Study Population
2.2. Research and Examination Methods
2.2.1. Obstetric Ultrasound
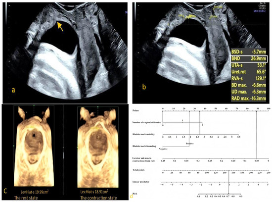
2.2.2. Transperineally Pelvic Floor Ultrasound
- Instrument: A GE Voluson E10 color Doppler ultrasound diagnostic system (GE Healthcare, Zipf, Austria) with an RAB4-8L volumetric probe, with a frequency range of 4–8 MHz, was used.
- Examination Method: After the patient emptied their bladder and bowels, they were positioned supine on the examination table with their legs flexed and mildly abducted in the lithotomy position. The specialized probe was wrapped and a large amount of disinfectant gel was applied to avoid air interference within the probe cover, ensuring good image quality. The probe was placed between the labia, and images of the pelvic floor in the mid-sagittal plane were obtained in three conditions—at rest, during maximal voluntary contraction, and during a Valsalva maneuver. The structures examined included the pubic symphysis, urethra, bladder, vagina, rectum, anal canal, and anorectal angle. Using the pubic symphysis as the central reference point, the sagittal plane images of the vagina, urethra, and anal canal were captured. Volume scanning was then performed, with appropriate adjustment of the selected region to collect two-dimensional and four-dimensional ultrasonographic images of the pelvic floor at rest, during maximal voluntary contraction, and during the Valsalva maneuver (Figure 2).

- Observation Indicators: (1) bladder neck vertical position, which is the vertical distance from the bladder neck to horizontal level of the posterior-inferior margin of the pubic symphysis; (2) bladder neck descent, which is the difference in the bladder neck position between the maximum Valsalva and resting states; (3) bladder–urethra posterior angle, which is the angle between the posterior wall of the bladder (trigonal region) and proximal urethra; (4) urethral rotation angle, which is the difference in the urethral inclination angle between the maximum Valsalva maneuver and resting states; (5) bladder neck funneling; (6) hiatal area (HA),the area enclosed by the pubic rami, pubic symphysis, and the medial border of the puborectal muscle; and (7) the levator ani muscle contraction strain rate, which is the difference in the hiatal area (HA) between the resting and contraction states, divided by the HA in the resting state.
2.2.3. Clinical Data Collection
2.3. Statistical Methods
3. Results
3.1. Consistency Analysis
3.2. Comparison of the Demographic Data Between the Training and Validation Sets
3.3. Univariate Analysis of Factors Affecting the Occurrence of SUI Based on the Training Set
3.4. Multivariate Logistic Regression Analysis of Factors Affecting the Occurrence of SUI Based on the Training Set
3.5. Consistency Test of Predictive Performance Between the Training and Validation Set Models
3.6. Consistency Test Between the Training and Validation Set Models
3.7. Clinical Utility Test of the Training and Validation Set Models
4. Discussion
5. Conclusions
Author Contributions
Funding
Institutional Review Board Statement
Informed Consent Statement
Data Availability Statement
Acknowledgments
Conflicts of Interest
Abbreviations
| SUI | stress urinary incontinence |
| PFMT | pelvic floor muscle training |
| BMI | body mass index |
| AUC | area under the curve |
| HA | hiatal area |
| ROC | receiver operating characteristic |
| OR | odds ratio |
| CI | confidence interval |
References
- Moossdorff-Steinhauser, H.F.A.; Berghmans, B.C.M.; Spaanderman, M.E.A.; Bols, E.M.J. Prevalence, incidence and bothersomeness of urinary incontinence in pregnancy: A systematic review and meta-analysis. Int. Urogynecol. J. 2021, 32, 1633–1652. [Google Scholar] [CrossRef] [PubMed]
- Wang, L.; Zhang, M.; Sha, K.; Qiao, Y.; Dong, Q. Prediction models for postpartum stress urinary incontinence: A systematic review. Heliyon 2024, 10, e37988. [Google Scholar] [CrossRef] [PubMed]
- Wang, K.; Xu, X.; Jia, G.; Jiang, H. Risk Factors for Postpartum Stress Urinary Incontinence: A Systematic Review and Meta-analysis. Reprod. Sci. 2020, 27, 2129–2145. [Google Scholar] [CrossRef]
- Dolan, L.M.; Hosker, G.L.; Mallett, V.T.; Allen, R.E.; Smith, A.R. Stress incontinence and pelvic floor neurophysiology 15 years after the first delivery. BJOG 2003, 110, 1107–1114. [Google Scholar] [CrossRef]
- Brennen, R.; Frawley, H.C.; Martin, J.; Haines, T.P. Group-based pelvic floor muscle training for all women during pregnancy is more cost-effective than postnatal training for women with urinary incontinence: Cost-effectiveness analysis of a systematic review. J. Physiother. 2021, 67, 105–114. [Google Scholar] [CrossRef]
- Yang, X.; Zhang, A.; Sayer, L.; Bassett, S.; Woodward, S. The effectiveness of group-based pelvic floor muscle training in preventing and treating urinary incontinence for antenatal and postnatal women: A systematic review. Int. Urogynecol. J. 2022, 33, 1407–1420. [Google Scholar] [CrossRef]
- Zhang, D.; Bo, K.; Montejo, R.; Sanchez-Polan, M.; Silva-Jose, C.; Palacio, M.; Barakat, R. Influence of pelvic floor muscle training alone or as part of a general physical activity program during pregnancy on urinary incontinence, episiotomy and third- or fourth-degree perineal tear: Systematic review and meta-analysis of randomized clinical trials. Acta Obstet. Gynecol. Scand. 2024, 103, 1015–1027. [Google Scholar] [CrossRef]
- Stafne, S.N.; Dalbye, R.; Kristiansen, O.M.; Hjelle, Y.E.; Salvesen, K.A.; Morkved, S.; Johannessen, H.H. Antenatal pelvic floor muscle training and urinary incontinence: A randomized controlled 7-year follow-up study. Int. Urogynecol J. 2022, 33, 1557–1565. [Google Scholar] [CrossRef]
- Tesemma, M.G.; Sori, D.A.; Hajito, K.W. Prevalence of urinary incontinence and associated factors, its impact on quality of life among pregnant women attending antenatal care at Asella teaching and referral hospital. BMC Urol. 2024, 24, 178. [Google Scholar] [CrossRef]
- Jansson, M.H.; Franzen, K.; Tegerstedt, G.; Hiyoshi, A.; Nilsson, K. Stress and urgency urinary incontinence one year after a first birth-prevalence and risk factors. A prospective cohort study. Acta Obstet. Gynecol. Scand. 2021, 100, 2193–2201. [Google Scholar] [CrossRef]
- Ugwu, E.O.; Dim, C.C.; Eleje, G.U. Urinary and anal incontinence in pregnancy in a Nigerian population: A prospective longitudinal study. SAGE Open Med. 2023, 11, 20503121231206927. [Google Scholar] [CrossRef] [PubMed]
- Pham, T.X.; Quiroz, L.H. Ultrasonographic Imaging of the Pelvic Floor. Obstet. Gynecol. Clin. N. Am. 2021, 48, 617–637. [Google Scholar] [CrossRef] [PubMed]
- Xu, Z.; He, H.; Yu, B.; Jin, H.; Zhao, Y.; Zhou, X.; Huang, H. Application of Transperineal Pelvic Floor Ultrasound in Changes of Pelvic Floor Structure and Function Between Pregnant and Non-Pregnant Women. Int. J. Womens Health 2022, 14, 1149–1159. [Google Scholar] [CrossRef] [PubMed]
- Tunn, R.; Albrich, S.; Beilecke, K.; Kociszewski, J.; Lindig-Knopke, C.; Reisenauer, C.; Schwertner-Tiepelmann, N.; Kuhn, A.; Viereck, V.; Bjelic Radisic, V.; et al. Interdisciplinary S2k Guideline: Sonography in Urogynecology: Short Version-AWMF Registry Number: 015/055. Geburtshilfe Frauenheilkd. 2014, 74, 1093–1098. [Google Scholar] [CrossRef]
- American Institute of Ultrasound in Medicine (AIUM), American College of Radiology (ACR), American Urogynecologic Society (AUGS); American Urological Association (AUA), Society of Radiologists in Ultrasound (SRU), International Urogynecological Association (IUGA). AIUM/IUGA Practice Parameter for the Performance of Urogynecological Ultrasound Examinations: Developed in Collaboration with the ACR, the AUGS, the AUA, and the SRU. J. Ultrasound Med. 2019, 38, 851–864. [Google Scholar] [CrossRef]
- Rao, S.J. Regression Modeling Strategies: With Applications to Linear Models, Logistic Regression, and Survival Analysis. J. Am. Stat. Assoc. 2005, 98, 257–258. [Google Scholar] [CrossRef]
- Abrams, P.; Cardozo, L.; Fall, M.; Griffiths, D.; Rosier, P.; Ulmsten, U.; Van Kerrebroeck, P.; Victor, A.; Wein, A.; Standardisation Sub-Committee of the International Continence, S. The standardisation of terminology in lower urinary tract function: Report from the standardisation sub-committee of the International Continence Society. Urology 2003, 61, 37–49. [Google Scholar] [CrossRef]
- Molinet Coll, C.; Martinez Franco, E.; Altimira Queral, L.; Cuadras, D.; Amat Tardiu, L.; Pares, D. Hormonal Influence in Stress Urinary Incontinence During Pregnancy and Postpartum. Reprod. Sci. 2022, 29, 2190–2199. [Google Scholar] [CrossRef]
- Liang, S.; Huang, S.; Andarini, E.; Wang, Y.; Li, Y.; Cai, W. Development and internal validation of a risk prediction model for stress urinary incontinence throughout pregnancy: A multicenter retrospective longitudinal study in Indonesia. Neurourol. Urodyn. 2024, 43, 354–363. [Google Scholar] [CrossRef]
- MacLennan, A.H.; Taylor, A.W.; Wilson, D.H.; Wilson, D. The prevalence of pelvic floor disorders and their relationship to gender, age, parity and mode of delivery. BJOG 2000, 107, 1460–1470. [Google Scholar] [CrossRef]
- Falkert, A.; Willmann, A.; Endress, E.; Meint, P.; Seelbach-Gobel, B. Three-dimensional ultrasound of pelvic floor: Is there a correlation with delivery mode and persisting pelvic floor disorders 18–24 months after first delivery? Ultrasound Obstet. Gynecol. 2013, 41, 204–209. [Google Scholar] [CrossRef] [PubMed]
- Grinbaum, M.L.; Bianchi-Ferraro, A.; Rodrigues, C.A.; Sartori, M.G.F.; Bella, Z. Impact of parity and delivery mode on pelvic floor function in young women: A 3D ultrasound evaluation. Int. Urogynecol J. 2023, 34, 1849–1858. [Google Scholar] [CrossRef] [PubMed]
- Xiao, T.; Chen, Y.; Gan, Y.; Xu, J.; Huang, W.; Zhang, X. Can Stress Urinary Incontinence Be Predicted by Ultrasound? AJR Am. J. Roentgenol. 2019, 213, 1163–1169. [Google Scholar] [CrossRef] [PubMed]
- Cattani, L.; Van Schoubroeck, D.; Samesova, A.; Packet, B.; Housmans, S.; Deprest, J. Pelvic Floor Ultrasound Findings and Symptoms of Pelvic Floor Dysfunction During Pregnancy. Int. Urogynecol J. 2024, 35, 2423–2430. [Google Scholar] [CrossRef]
- Thyer, I.; Shek, C.; Dietz, H.P. New imaging method for assessing pelvic floor biomechanics. Ultrasound Obstet. Gynecol. 2008, 31, 201–205. [Google Scholar] [CrossRef]
- Chen, L.; Luo, D.; Yu, X.; Jin, M.; Cai, W. Predicting stress urinary incontinence during pregnancy: Combination of pelvic floor ultrasound parameters and clinical factors. Acta Obstet. Gynecol. Scand. 2018, 97, 966–975. [Google Scholar] [CrossRef]
- Collins, G.S.; de Groot, J.A.; Dutton, S.; Omar, O.; Shanyinde, M.; Tajar, A.; Voysey, M.; Wharton, R.; Yu, L.M.; Moons, K.G.; et al. External validation of multivariable prediction models: A systematic review of methodological conduct and reporting. BMC Med. Res. Methodol. 2014, 14, 40. [Google Scholar] [CrossRef]
- Yang, C.; Kors, J.A.; Ioannou, S.; John, L.H.; Markus, A.F.; Rekkas, A.; de Ridder, M.A.J.; Seinen, T.M.; Williams, R.D.; Rijnbeek, P.R. Trends in the conduct and reporting of clinical prediction model development and validation: A systematic review. J. Am. Med. Inform. Assoc. 2022, 29, 983–989. [Google Scholar] [CrossRef]






| Parameters | Intra-Operator | Inter-Operator | ||
|---|---|---|---|---|
| ICC/Kappa | 95% CI | ICC/Kappa | 95% CI | |
| Bladder neck mobility | 0.8947 | 0.7855~0.9498 | 0.8070 | 0.6250~0.9058 |
| Rotation angle | 0.9876 | 0.9734~0.9943 | 0.9740 | 0.9447~0.9879 |
| Bladder–urethra posterior angle | 0.9122 | 0.8195~0.9584 | 0.8910 | 0.7784~0.9480 |
| Bladder neck funneling | 0.8871 | 0.67118~1.0000 | 0.7879 | 0.50684~1.0000 |
| Bladder lowest point | 0.9911 | 0.9809~0.9959 | 0.9590 | 0.9135~0.9808 |
| Levator ani muscle contraction strain rate | 0.9815 | 0.9605~0.9914 | 0.8939 | 0.7841~0.9495 |
| Indicator | Total Number of Cases (n = 521) | Training Set (n = 364) | Validation Set (n = 157) | χ2/t/z Value | p Value |
|---|---|---|---|---|---|
| Age (years) | 29.00 (26.00, 31.00) | 28.50 (25.25, 31.00) | 29.00 (26.00, 31.00) | −1.051 b | 0.293 |
| BMI (kg/m2) | 26.83 (24.17, 29.85) | 26.78 (24.25, 30.00) | 26.94 (23.90, 29.67) | −0.185 b | 0.854 |
| Gestational age (weeks) | 31.00 (29.00, 34.00) | 31.00 (29.00, 34.00) | 31.00 (30.00, 34.00) | −1.108 b | 0.929 |
| Smoking history, n (%) | 0.679 c | 0.410 | |||
| NO | 503 (96.5) | 353 (97.0) | 150 (95.5) | ||
| YES | 18 (3.5) | 11 (3.0) | 7 (4.5) | ||
| History of chronic cough, n (%) | 0.644 c | 0.422 | |||
| NO | 494 (94.8) | 347 (95.3) | 147 (93.6) | ||
| YES | 27 (5.2) | 17 (4.7) | 10 (6.4) | ||
| Family history of pelvic floor disorders, n (%) | 0.388 c | 0.534 | |||
| NO | 468 (89.8) | 325 (89.3) | 143 (91.1) | ||
| YES | 53 (10.2) | 39 (10.7) | 14 (8.9) | ||
| History of medication use, n (%) | 0.011 c | 0.916 | |||
| NO | 497 (95.4) | 347(95.3) | 150 (95.5) | ||
| YES | 24 (4.6) | 17(4.7) | 7 (4.5) | ||
| Number of pregnancies | 2.00 (1.00, 2.00) | 2.00 (1.00, 2.00) | 2.00 (1.00, 2.00) | −0.740 b | 0.459 |
| Number of vaginal deliveries | (0, 1) | 0 (0, 1) | 0 (0, 0) | −1.232 b | 0.218 |
| Number of cesarean sections | 0 (0, 0) | 0 (0, 0) | 0 (0, 0) | −0.946 b | 0.344 |
| Number of miscarriages | 0 (0, 1) | 0 (0, 1) | 0 (0, 1) | −0.711 b | 0.477 |
| Number of late induced abortion | 0 (0, 0) | 0 (0, 0) | 0 (0, 0) | −0.939 b | 0.348 |
| Biparietal diameter (cm) | 8.00 (7.54, 8.63) | 8.00 (7.50, 8.50) | 8.20 (7.69, 8.85) | −0.291 b | 0.949 |
| Head circumference (cm2) | 28.90 (27.61, 30.75) | 28.80 (27.53, 30.50) | 29.61 (27.71, 31.05) | −1.927 b | 0.494 |
| Fetal weight (kg) | 2.00 (1.58, 2.56) | 2.00 (1.55, 2.45) | 2.18 (1.72, 2.76) | −0.291 b | 0.946 |
| Bladder neck mobility (cm) | 1.97 (1.33, 2.52) | 1.98 (1.31, 2.57) | 1.92 (1.41, 2.41) | −0.554 b | 0.580 |
| Rotation angle (°) | 35.10 (25.20, 50.60) | 36.15 (25.30, 51.70) | 33.00 (24.50, 47.32) | −1.409 b | 0.159 |
| Bladder–urethra posterior angle (°) | 139.64 ± 22.07 | 140.39 ± 21.59 | 137.89 ± 23.12 | 1.185 a | 0.237 |
| Bladder lowest point (cm) | 0.74 (0.25, 1.31) | 0.72 (0.23, 1.23) | 0.85 (0.27, 1.45) | −0.958 b | 0.338 |
| Levator ani muscle contraction strain rate | 0.12 (0.06, 0.18) | 0.12 (0.06, 0.18) | 0.11 (0.05, 0.17) | −1.331 b | 0.183 |
| Bladder neck funneling, n (%) | 3.442 c | 0.064 | |||
| NO | 371 (71.2) | 268 (73.6) | 103 (65.6) | ||
| YES | 150 (28.8) | 96 (26.4) | 54 (34.4) | ||
| Incidence of urinary incontinence, n (%) | 0.330 c | 0.565 | |||
| NO | 349 (67.0) | 241 (66.2) | 108 (68.8) | ||
| YES | 172 (33.0) | 123 (33.8) | 49 (31.2) |
| Indicator | No Stress Urinary Incontinence (n = 241) | Stress Urinary Incontinence (n = 123) | χ2/t/z Value | p Value |
|---|---|---|---|---|
| Age (years) | 28.00 (25.00, 31.00) | 29.00 (26.00, 32.00) | −2.481 b | 0.013 |
| BMI (kg/m2) | 26.68 (24.45, 29.95) | 26.81 (23.34, 30.04) | −0.757 b | 0.449 |
| Gestational age (weeks) | 31.00 (29.00, 34.00) | 31.00 (30.00, 34.00) | 0.079 b | 0.937 |
| Smoking history, n (%) | # | 1 | ||
| NO | 234 (97.1) | 119 (96.7) | ||
| YES | 7 (2.9) | 4 (3.3) | ||
| History of chronic cough, n (%) | 0.153 c | 0.696 | ||
| NO | 229 (95.0) | 118 (95.9) | ||
| YES | 12 (5.0) | 5 (4.1) | ||
| Family history of pelvic floor disorders, n (%) | 0.285 c | 0.610 | ||
| NO | 216 (89.6) | 109 (88.6) | ||
| YES | 25 (10.4) | 14 (11.4) | ||
| History of medication use, n (%) | 0.435 c | 0.510 | ||
| NO | 231 (95.9) | 116 (94.3) | ||
| YES | 10 (4.1) | 7 (5.7) | ||
| Number of pregnancies | 2.00 (1.00, 2.00) | 2.00 (1.00, 3.00) | −3.254 b | 0.001 |
| Number of vaginal deliveries | (0,0) | 0 (0,1) | −5.756 b | <0.001 |
| Number of cesarean sections | 0 (0,0) | 0 (0,0) | −0.333 b | 0.739 |
| Number of miscarriages | 0 (0,1) | 0 (0,1) | −0.951 b | 0.341 |
| Number of late induced abortions | 0 (0,0) | 0 (0,0) | −0.291 b | 0.771 |
| Biparietal diameter (cm) | 7.90 (7.50, 8.50) | 8.00 (7.50, 8.50) | 0.144 b | 0.885 |
| Head circumference (cm2) | 28.40 (27.50, 30.69) | 28.90 (27.60, 30.30) | −0.22 b | 0.826 |
| Fetal weight (kg) | 1.91 (1.55, 2.45) | 2.00 (1.55, 2.45) | 0.146 b | 0.884 |
| Bladder neck mobility (cm) | 1.77 (0.88, 2.27) | 2.50 (1.89, 2.99) | −6.935 b | <0.001 |
| Rotation angle (°) | 36.00 (25.70, 50.55) | 38.50 (25.00, 54.72) | −0.895 b | 0.371 |
| Bladder–urethra posterior angle (°) | 137.16 ± 20.77 | 146.72 ± 21.85 | −4.081 a | <0.001 |
| Bladder lowest point (cm) | 0.80 (0.36,1.31) | 0.57 (−0.21, 1.51) | −2.810 b | 0.005 |
| Levator ani muscle contraction strain rate | 0.15 (0.09,0.21) | 0.08 (0.04, 0.14) | −6.443 b | <0.001 |
| Bladder neck funneling, n (%) | 38.146 c | <0.001 | ||
| NO | 202 (83.8) | 66 (53.7) | ||
| YES | 39 (16.2) | 57 (46.3) |
| Indicator | β | SE | Wald χ2 | p Value | OR | 95% CI | |
|---|---|---|---|---|---|---|---|
| Lower | Upper | ||||||
| Number of vaginal deliveries | 0.841 | 0.206 | 16.627 | <0.001 | 2.320 | 1.548 | 3.476 |
| Bladder neck mobility | 0.637 | 0.161 | 15.578 | <0.001 | 1.891 | 1.378 | 2.595 |
| Bladder neck funneling | 0.854 | 0.296 | 8.305 | 0.004 | 2.349 | 1.314 | 4.199 |
| Levator ani muscle contraction strain rate | −10.128 | 1.949 | 27.002 | <0.001 | <0.001 | <0.001 | 0.002 |
| Constant | −1.326 | 0.400 | 11.006 | 0.001 | 0.266 | ||
| Indicator | Cutoff Value | AUC (95% CI) | Specificity | Sensitivity | Youden Index | Positive Predictive Value | Negative Predictive Value |
|---|---|---|---|---|---|---|---|
| Training set | 0.372 | 0.817 (0.770–0.863) | 0.768 | 0.732 | 0.500 | 0.616 | 0.849 |
| Validation set | 0.320 | 0.761 (0.677–0.845) | 0.769 | 0.673 | 0.442 | 0.569 | 0.838 |
Disclaimer/Publisher’s Note: The statements, opinions and data contained in all publications are solely those of the individual author(s) and contributor(s) and not of MDPI and/or the editor(s). MDPI and/or the editor(s) disclaim responsibility for any injury to people or property resulting from any ideas, methods, instructions or products referred to in the content. |
© 2025 by the authors. Licensee MDPI, Basel, Switzerland. This article is an open access article distributed under the terms and conditions of the Creative Commons Attribution (CC BY) license (https://creativecommons.org/licenses/by/4.0/).
Share and Cite
Liu, S.; Huang, A.; Huang, Y.; Hu, L.; Cai, L.; He, S.; Lyu, G.; Lian, X. Construction and Evaluation of a Risk Prediction Model for Stress Urinary Incontinence in Late Pregnancy Based on Clinical Factors and Pelvic Floor Ultrasound Parameters. Diagnostics 2025, 15, 1630. https://doi.org/10.3390/diagnostics15131630
Liu S, Huang A, Huang Y, Hu L, Cai L, He S, Lyu G, Lian X. Construction and Evaluation of a Risk Prediction Model for Stress Urinary Incontinence in Late Pregnancy Based on Clinical Factors and Pelvic Floor Ultrasound Parameters. Diagnostics. 2025; 15(13):1630. https://doi.org/10.3390/diagnostics15131630
Chicago/Turabian StyleLiu, Shunlan, Aizhi Huang, Yubing Huang, Linlin Hu, Lihong Cai, Shaozheng He, Guorong Lyu, and Xihua Lian. 2025. "Construction and Evaluation of a Risk Prediction Model for Stress Urinary Incontinence in Late Pregnancy Based on Clinical Factors and Pelvic Floor Ultrasound Parameters" Diagnostics 15, no. 13: 1630. https://doi.org/10.3390/diagnostics15131630
APA StyleLiu, S., Huang, A., Huang, Y., Hu, L., Cai, L., He, S., Lyu, G., & Lian, X. (2025). Construction and Evaluation of a Risk Prediction Model for Stress Urinary Incontinence in Late Pregnancy Based on Clinical Factors and Pelvic Floor Ultrasound Parameters. Diagnostics, 15(13), 1630. https://doi.org/10.3390/diagnostics15131630

