Predictive Utility of Structured MRI Reporting for Rectal Cancer Outcomes
Abstract
1. Introduction
1.1. Structured Radiology Report
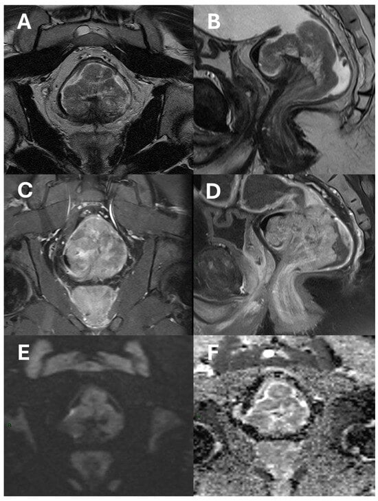
1.2. Rectal Cancer MRI Staging
2. Materials and Methods
Statistical Analysis
3. Results
3.1. Comparison Between Original Reports and Structured Report
3.2. MRI Parameters and Postoperative Outcomes
- -
- Complications: The most notable finding regarding postoperative complications was the multivariate coefficient for sphincter involvement, with a beta coefficient of 0.410, indicating a strong positive association with increased complications. This was supported by a substantial univariate correlation of 0.270. Despite not reaching traditional levels of statistical significance, the high coefficient underlines the potential risk associated with sphincter involvement in rectal cancer surgeries.
- -
- Local Recurrence: For local recurrence, the extramural vascular invasion stood out with a multivariate coefficient of 0.199, coupled with a univariate correlation of 0.127.
- -
- Postoperative Bleeding: Lymph node involvement was highly correlated with postoperative bleeding, as indicated by both multivariate (0.133) and univariate (0.293) correlation tests. This suggests that the presence of involved lymph nodes could be associated with more complex surgical interventions or inherently aggressive tumor biology, leading to increased risks of bleeding.
- -
- 30-Day Anastomotic Leak: Regarding the 30-day anastomotic leak, T staging presented the highest univariate correlation (0.261), with a notably high multivariate beta coefficient of 0.210, indicating its importance in predicting this severe complication.
4. Discussion
- -
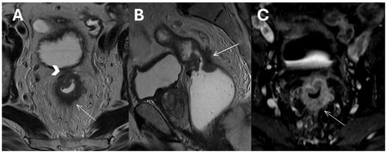
- Complexities of sphincter involvement: Our analysis revealed that sphincter involvement is strongly associated with heightened postoperative complications. This correlation, while not reaching traditional levels of statistical significance, suggests a complexity in surgical approaches when the sphincter is affected. It highlights the need for careful surgical planning and possibly more conservative approaches to preserve sphincter function and reduce complications. The significance of these findings emphasizes the importance of preoperative imaging reviews to better prepare for the challenges that may arise during and after surgery. There remains ambiguity regarding the management of low rectal cancers that affect the anal sphincter complex and the precise delineation, determining their classification as T4b [35]. The Society of Abdominal Radiology’s Colorectal and Anal Cancer Disease-Focused Panel recommends detailed description of anal involvement, specifying the location and length of sphincter muscle affected. This includes identifying involvement of the internal anal sphincter (IAS), intersphincteric space (ISS), or external anal sphincter (EAS) [36]. ESGAR aligns with this detailed approach, advising in detail the involvement of IAS, ISS, and EAS, along with specifying whether the tumor affects the proximal, middle, or lower third of the sphincter complex, and observing any pelvic floor involvement [10]. Providing comprehensive information about sphincter involvement plays a crucial role in the case-by-case decision-making process for patient management, aligning with multidisciplinary team recommendations.
- -
- Extramural vascular invasion as a harbinger of recurrence: The relationship between extramural vascular invasion (EMVI) and local recurrence brings to light the aggressive nature of such tumors. The presence of malignant cells in blood vessels beyond the muscularis propria near a colorectal tumor, indeed, is linked to more advanced tumors and it has been associated with a four-fold increased risk of distant metastases and a significant decrease in disease-free survival, dropping from 74% to 35% [37]. Thus, accurate histological reporting of EMVI is crucial and should be part of structured reporting.However, despite this strong association, there is still no consensus on how to tailor treatment strategies based on the positivity of this finding on MRI, and recommendations within the guidelines remain inconsistent [38,39]. EMVI is graded from 0 to 4, with grades 0–2 indicating better outcomes due to the absence of definitive vascular invasion, while grades 3–4 show vascular invasion and are linked to poorer outcomes. Furthermore, EMVI is also associated with higher TNM stage and mesorectal fascia involvement, though few studies have considered other MRI factors like tumor deposits or enlarged lateral lymph nodes, and, to the best of our knowledge, no study has investigated the variations in oncological outcomes between EMVI grades 3 and 4 [40]. The regression of EMVI following neoadjuvant treatment appears to have a positive impact on prognosis [41,42]. However, many studies evaluating EMVI regression are constrained by small sample sizes, which limits their statistical significance. Despite the prognostic significance of EMVI and the need to include it in structured reporting, further research is required to better inform treatment strategies.
- -
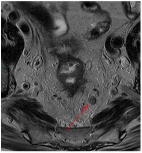
- Lymph node involvement and surgical risk: Notably, our study identifies lymph node involvement as a predictive factor for postoperative bleeding. Lymph node involvement is a crucial prognostic factor in rectal cancer, making preoperative neoadjuvant therapy recommended for these patients to help lower the risk of local recurrence [11,43]. Although MRI is the gold standard for staging, it is less accurate for N staging compared to T staging, with sensitivity and specificity ranging from 58 to 77% and 62 to 74%, respectively [44,45,46]. Other imaging methods, such as computed tomography, have demonstrated similar diagnostic accuracy [47]. Our data suggest that the presence of nodal disease, which indicates a more invasive tumor, may require more delicate and extensive surgical interventions, potentially increasing the risk of bleeding. This insight should encourage surgeons to consider preoperative strategies to minimize this risk, such as advanced surgical techniques or preoperative interventions (Figure 3).
- -
- The Critical Role of T Staging in Predicting Anastomotic Leakage: The correlation of higher T stages with the risk of anastomotic leakage (AL) within 30 days post-surgery highlights the importance of accurate T staging. AL is a serious complication in rectal cancer surgery, significantly affecting both short- and long-term outcomes, with rates varying widely from 0% to 36.3% based on anastomosis type and distance from the anal verge. Despite advancements in preoperative assessments and surgical techniques, AL remains a concern, carrying a mortality rate of 2–10% and a 10–100% likelihood of needing a permanent stoma [48,49,50]. AL is classified as “early” or “late” based on diagnosis within or after 30 days post-surgery [51]. AL can be influenced by patient factors (such as malnutrition, immunosuppression, radiation exposure, and obesity [52]), as well as by the type of anastomosis performed (a higher incidence has been observed after end-to-end anastomosis compared to the end-to-side technique [49]), and by tumor size, as highlighted in our study. In fact, a study conducted by Brisinda et al. found that the mean tumor size was larger in patients with AL (47.9 ± 16.1 mm) compared to those without AL (39.0 ± 21.1 mm, p = 0.001), correlating this finding with more advanced T stages [53]. These findings emphasize the need for meticulous preoperative planning and possibly adjusting surgical techniques to mitigate this risk.
5. Conclusions
Author Contributions
Funding
Institutional Review Board Statement
Informed Consent Statement
Data Availability Statement
Conflicts of Interest
Abbreviations
| MRI | magnetic resonance imaging |
| ESGAR | European Society of Gastrointestinal and Abdominal Radiology |
| SAR | Society of Abdominal Radiology |
| RSNA | Radiological Society of North America |
| AJCC | American Joint Committee on Cancer |
| UICC | Union for International Cancer Control |
| EAM | external anal margin |
| EMVI | extramural vascular invasion |
| IAS | internal anal sphincter |
| ISS | intersphincteric space |
| EAS | external anal sphincter |
| AL | anastomotic leakage |
References
- Pesapane, F.; Tantrige, P.; Marco, P.D.; Carriero, S.; Zugni, F.; Nicosia, L.; Bozzini, A.C.; Rotili, A.; Latronico, A.; Abbate, F.; et al. Advancements in Standardizing Radiological Reports: A Comprehensive Review. Medicina 2023, 59, 1679. [Google Scholar] [CrossRef]
- Rocha, D.M.; Brasil, L.M.; Lamas, J.M.; Luz, G.V.S.; Bacelar, S.S. Evidence of the benefits, advantages and potentialities of the structured radiological report: An integrative review. Artif. Intell. Med. 2020, 102, 101770. [Google Scholar] [CrossRef]
- Park, S.B.; Kim, M.J.; Ko, Y.; Sim, J.Y.; Kim, H.J.; Lee, K.H.; LOCAT Group. Structured Reporting versus Free-Text Reporting for Appendiceal Computed Tomography in Adolescents and Young Adults: Preference Survey of 594 Referring Physicians, Surgeons, and Radiologists from 20 Hospitals. Korean J. Radiol. 2019, 20, 246–255. [Google Scholar] [CrossRef]
- Schwartz, L.H.; Panicek, D.M.; Berk, A.R.; Li, Y.; Hricak, H. Improving communication of diagnostic radiology findings through structured reporting. Radiology 2011, 260, 174–181. [Google Scholar] [CrossRef]
- Shivshankar, S.; Patil, P.S.; Deodhar, K.; Budukh, A.M. Epidemiology of colorectal cancer: A review with special emphasis on India. Indian. J. Gastroenterol. 2025, 44, 142–153. [Google Scholar] [CrossRef]
- Cancer Today. Available online: https://gco.iarc.who.int/today/ (accessed on 5 May 2025).
- Krilaviciute, A.; Becker, N.; Lakes, J.; Radtke, J.P.; Kuczyk, M.; Peters, I.; Harke, N.N.; Debus, J.; Koerber, S.A.; Herkommer, K.; et al. Digital Rectal Examination Is Not a Useful Screening Test for Prostate Cancer. Eur. Urol. Oncol. 2023, 6, 566–573. [Google Scholar] [CrossRef]
- Opara, C.O.; Khan, F.Y.; Kabiraj, G.; Kauser, H.; Palakeel, J.J.; Ali, M.; Chaduvula, P.; Chhabra, S.; Lamsal Lamichhane, S.; Ramesh, V.; et al. The Value of Magnetic Resonance Imaging and Endorectal Ultrasound for the Accurate Preoperative T-staging of Rectal Cancer. Cureus 2022, 14, e30499. [Google Scholar] [CrossRef]
- Gollub, M.J.; Arya, S.; Beets-Tan, R.G.; dePrisco, G.; Gonen, M.; Jhaveri, K.; Kassam, Z.; Kaur, H.; Kim, D.; Knezevic, A.; et al. Use of magnetic resonance imaging in rectal cancer patients: Society of Abdominal Radiology (SAR) rectal cancer disease-focused panel (DFP) recommendations 2017. Abdom. Radiol. 2018, 43, 2893–2902. [Google Scholar] [CrossRef]
- Beets-Tan, R.G.H.; Lambregts, D.M.J.; Maas, M.; Bipat, S.; Barbaro, B.; Curvo-Semedo, L.; Fenlon, H.M.; Gollub, M.J.; Gourtsoyianni, S.; Halligan, S.; et al. Magnetic resonance imaging for clinical management of rectal cancer: Updated recommendations from the 2016 European Society of Gastrointestinal and Abdominal Radiology (ESGAR) consensus meeting. Eur. Radiol. 2018, 28, 1465–1475. [Google Scholar] [CrossRef]
- Horvat, N.; Carlos Tavares Rocha, C.; Clemente Oliveira, B.; Petkovska, I.; Gollub, M.J. MRI of Rectal Cancer: Tumor Staging, Imaging Techniques, and Management. RadioGraphics 2019, 39, 367–387. [Google Scholar] [CrossRef]
- Miranda, J.; Causa Andrieu, P.; Nincevic, J.; Gomes De Farias, L.D.P.; Khasawneh, H.; Arita, Y.; Stanietzky, N.; Fernandes, M.C.; De Castria, T.B.; Horvat, N. Advances in MRI-Based Assessment of Rectal Cancer Post-Neoadjuvant Therapy: A Comprehensive Review. JCM 2023, 13, 172. [Google Scholar] [CrossRef] [PubMed]
- Dieguez, A. Rectal cancer staging: Focus on the prognostic significance of the findings described by high-resolution magnetic resonance imaging. Cancer Imaging 2013, 13, 277–297. [Google Scholar] [CrossRef] [PubMed]
- Jia, X.-X.; Wang, Y.; Cheng, J.; Yao, X.; Yin, M.-J.; Zhou, J.; Ye, Y.-J. Low- Versus High-Risk Rectal Cancer Based on MRI Features: Outcomes in Patients Treated Without Neoadjuvant Chemoradiotherapy. AJR Am. J. Roentgenol. 2018, 211, 327–334. [Google Scholar] [CrossRef]
- Taylor, F.G.M.; Quirke, P.; Heald, R.J.; Moran, B.; Blomqvist, L.; Swift, I.; Sebag-Montefiore, D.J.; Tekkis, P.; Brown, G.; MERCURY study group. Preoperative high-resolution magnetic resonance imaging can identify good prognosis stage I, II, and III rectal cancer best managed by surgery alone: A prospective, multicenter, European study. Ann. Surg. 2011, 253, 711–719. [Google Scholar] [CrossRef]
- Awiwi, M.O.; Jing, J.M.; Salem, U.I.; Palmquist, S.M.; Stanietzky, N.; Kandemirli, V.B.; Gjoni, E.; Surabhi, V.R. Rectal Cancer MRI: An Update. Semin. Roentgenol. 2025, 60, 61–77. [Google Scholar] [CrossRef]
- Feeney, G.; Sehgal, R.; Sheehan, M.; Hogan, A.; Regan, M.; Joyce, M.; Kerin, M. Neoadjuvant radiotherapy for rectal cancer management. World J. Gastroenterol. 2019, 25, 4850–4869. [Google Scholar] [CrossRef]
- Granata, V.; Caruso, D.; Grassi, R.; Cappabianca, S.; Reginelli, A.; Rizzati, R.; Masselli, G.; Golfieri, R.; Rengo, M.; Regge, D.; et al. Structured Reporting of Rectal Cancer Staging and Restaging: A Consensus Proposal. Cancers 2021, 13, 2135. [Google Scholar] [CrossRef]
- Bosset, J.-F.; Collette, L.; Calais, G.; Mineur, L.; Maingon, P.; Radosevic-Jelic, L.; Daban, A.; Bardet, E.; Beny, A.; Ollier, J.-C.; et al. Chemotherapy with preoperative radiotherapy in rectal cancer. N. Engl. J. Med. 2006, 355, 1114–1123. [Google Scholar] [CrossRef]
- Peeters, K.C.M.J.; Marijnen, C.A.M.; Nagtegaal, I.D.; Kranenbarg, E.K.; Putter, H.; Wiggers, T.; Rutten, H.; Pahlman, L.; Glimelius, B.; Leer, J.W.; et al. The TME trial after a median follow-up of 6 years: Increased local control but no survival benefit in irradiated patients with resectable rectal carcinoma. Ann. Surg. 2007, 246, 693–701. [Google Scholar] [CrossRef]
- Rödel, C.; Liersch, T.; Becker, H.; Fietkau, R.; Hohenberger, W.; Hothorn, T.; Graeven, U.; Arnold, D.; Lang-Welzenbach, M.; Raab, H.-R.; et al. Preoperative chemoradiotherapy and postoperative chemotherapy with fluorouracil and oxaliplatin versus fluorouracil alone in locally advanced rectal cancer: Initial results of the German CAO/ARO/AIO-04 randomised phase 3 trial. Lancet Oncol. 2012, 13, 679–687. [Google Scholar] [CrossRef]
- Asoglu, O.; Bulut, A.; Aliyev, V.; Piozzi, G.N.; Guven, K.; Bakır, B.; Goksel, S. Chemoradiation and consolidation chemotherapy for rectal cancer provides a high rate of organ preservation with a very good long-term oncological outcome: A single-center cohort series. World J. Surg. Oncol. 2022, 20, 358. [Google Scholar] [CrossRef] [PubMed]
- Aliyev, V.; Piozzi, G.N.; Bulut, A.; Guven, K.; Bakir, B.; Saglam, S.; Goksel, S.; Asoglu, O. Robotic vs. laparoscopic intersphincteric resection for low rectal cancer: A case matched study reporting a median of 7-year long-term oncological and functional outcomes. Updates Surg. 2022, 74, 1851–1860. [Google Scholar] [CrossRef] [PubMed]
- Tumor Regression Grading After Preoperative Chemoradiotherapy for Locally Advanced Rectal Carcinoma Revisited: Updated Results of the CAO/ARO/AIO-94 Trial—Pubmed. Available online: https://pubmed.ncbi.nlm.nih.gov/24752056/ (accessed on 30 September 2024).
- Lord, A.C.; D’Souza, N.; Shaw, A.; Rokan, Z.; Moran, B.; Abulafi, M.; Rasheed, S.; Chandramohan, A.; Corr, A.; Chau, I.; et al. MRI-Diagnosed Tumor Deposits and EMVI Status Have Superior Prognostic Accuracy to Current Clinical TNM Staging in Rectal Cancer. Ann. Surg. 2022, 276, 334–344. [Google Scholar] [CrossRef] [PubMed]
- Wibe, A.; Rendedal, P.R.; Svensson, E.; Norstein, J.; Eide, T.J.; Myrvold, H.E.; Søreide, O. Prognostic significance of the circumferential resection margin following total mesorectal excision for rectal cancer. BJS Br. J. Surg. 2002, 89, 327–334. [Google Scholar] [CrossRef]
- Pratik, T.; Guo, W.; Yang, C.; Bimal, R.; Zeng, M. Clinical Feasibility Assessment of T3 Sub-Stage in Rectal Cancer Using MRI. IJ Radiol. 2018, 15, e16801. [Google Scholar] [CrossRef]
- Fernandes, M.C.; Gollub, M.J.; Brown, G. The importance of MRI for rectal cancer evaluation. Surg. Oncol. 2022, 43, 101739. [Google Scholar] [CrossRef]
- Kassam, Z.; Lang, R.; Arya, S.; Bates, D.D.B.; Chang, K.J.; Fraum, T.J.; Friedman, K.A.; Golia Pernicka, J.S.; Gollub, M.J.; Harisinghani, M.; et al. Update to the structured MRI report for primary staging of rectal cancer: Perspective from the SAR Disease Focused Panel on Rectal and Anal Cancer. Abdom. Radiol. 2022, 47, 3364–3374. [Google Scholar] [CrossRef]
- Nougaret, S.; Rousset, P.; Gormly, K.; Lucidarme, O.; Brunelle, S.; Milot, L.; Salut, C.; Pilleul, F.; Arrivé, L.; Hordonneau, C.; et al. Structured and shared MRI staging lexicon and report of rectal cancer: A consensus proposal by the French Radiology Group (GRERCAR) and Surgical Group (GRECCAR) for rectal cancer. Diagn. Interv. Imaging 2022, 103, 127–141. [Google Scholar] [CrossRef]
- Al-Sukhni, E.; Messenger, D.E.; Charles Victor, J.; McLeod, R.S.; Kennedy, E.D. Do MRI reports contain adequate preoperative staging information for end users to make appropriate treatment decisions for rectal cancer? Ann. Surg. Oncol. 2013, 20, 1148–1155. [Google Scholar] [CrossRef]
- Taylor, F.; Mangat, N.; Swift, I.R.; Brown, G. Proforma-based reporting in rectal cancer. Cancer Imaging 2010, 10, S142–S150. [Google Scholar] [CrossRef]
- Alvfeldt, G.; Aspelin, P.; Blomqvist, L.; Sellberg, N. Radiology reporting in rectal cancer using magnetic resonance imaging: Comparison of reporting completeness between different reporting styles and structure. Acta Radiol. Open 2024, 13, 20584601241258675. [Google Scholar] [CrossRef] [PubMed] [PubMed Central]
- el Khababi, N.; Beets-Tan, R.G.H.; Curvo-Semedo, L.; Tissier, R.; Nederend, J.; Lahaye, M.J.; Maas, M.; Beets, G.L.; Lambregts, D.M.J. Pearls and pitfalls of structured staging and reporting of rectal cancer on MRI: An international multireader study. Br. J. Radiol. 2023, 96, 20230091. [Google Scholar] [CrossRef] [PubMed]
- Lee, M.H.; Kim, D.H. Low Rectal Cancers at Initial Staging MRI. RadioGraphics 2023, 43, e230080. [Google Scholar] [CrossRef] [PubMed]
- Kassam, Z.; Lang, R.; Bates, D.D.B.; Chang, K.J.; Fraum, T.J.; Friedman, K.A.; Golia Pernicka, J.S.; Gollub, M.J.; Harisinghani, M.; Khatri, G.; et al. SAR user guide to the rectal MR synoptic report (primary staging). Abdom. Radiol. 2023, 48, 186–199. [Google Scholar] [CrossRef]
- Smith, N.J.; Barbachano, Y.; Norman, A.R.; Swift, R.I.; Abulafi, A.M.; Brown, G. Prognostic significance of magnetic resonance imaging-detected extramural vascular invasion in rectal cancer. Br. J. Surg. 2008, 95, 229–236. [Google Scholar] [CrossRef]
- Glynne-Jones, R.; Wyrwicz, L.; Tiret, E.; Brown, G.; Rödel, C.; Cervantes, A.; Arnold, D. ESMO Guidelines Committee Rectal cancer: ESMO Clinical Practice Guidelines for diagnosis, treatment and follow-up. Ann. Oncol. 2017, 28, iv22–iv40. [Google Scholar] [CrossRef]
- Wo, J.Y.; Anker, C.J.; Ashman, J.B.; Bhadkamkar, N.A.; Bradfield, L.; Chang, D.T.; Dorth, J.; Garcia-Aguilar, J.; Goff, D.; Jacqmin, D.; et al. Radiation Therapy for Rectal Cancer: Executive Summary of an ASTRO Clinical Practice Guideline. Pract. Radiat. Oncol. 2021, 11, 13–25. [Google Scholar] [CrossRef]
- van Geffen, E.G.M.; Nederend, J.; Sluckin, T.C.; Hazen, S.-M.J.A.; Horsthuis, K.; Beets-Tan, R.G.H.; Marijnen, C.A.M.; Tanis, P.J.; Kusters, M.; Aalbers, A.G.J.; et al. Prognostic significance of MRI-detected extramural venous invasion according to grade and response to neo-adjuvant treatment in locally advanced rectal cancer A national cohort study after radiologic training and reassessment. Eur. J. Surg. Oncol. 2024, 50, 108307. [Google Scholar] [CrossRef]
- Schaap, D.P.; Voogt, E.L.K.; Burger, J.W.A.; Cnossen, J.S.; Creemers, G.-J.M.; van Lijnschoten, I.; Nieuwenhuijzen, G.A.P.; Rutten, H.J.T.; Daniels-Gooszen, A.W.; Nederend, J.; et al. Prognostic Implications of MRI-Detected EMVI and Tumor Deposits and Their Response to Neoadjuvant Therapy in cT3 and cT4 Rectal Cancer. Int. J. Radiat. Oncol. Biol. Phys. 2021, 111, 816–825. [Google Scholar] [CrossRef]
- Chand, M.; Swift, R.I.; Tekkis, P.P.; Chau, I.; Brown, G. Extramural venous invasion is a potential imaging predictive biomarker of neoadjuvant treatment in rectal cancer. Br. J. Cancer 2014, 110, 19–25. [Google Scholar] [CrossRef]
- Distribution of Mesorectal Lymph Nodes in Rectal Cancer: In Vivo MR Imaging Compared with Histopathological Examination. Initial Observations—PubMed. Available online: https://pubmed.ncbi.nlm.nih.gov/15868124/ (accessed on 30 September 2024).
- Zhuang, Z.; Zhang, Y.; Wei, M.; Yang, X.; Wang, Z. Magnetic Resonance Imaging Evaluation of the Accuracy of Various Lymph Node Staging Criteria in Rectal Cancer: A Systematic Review and Meta-Analysis. Front. Oncol. 2021, 11, 709070. [Google Scholar] [CrossRef] [PubMed]
- Park, J.S.; Jang, Y.-J.; Choi, G.-S.; Park, S.Y.; Kim, H.J.; Kang, H.; Cho, S.H. Accuracy of preoperative MRI in predicting pathology stage in rectal cancers: Node-for-node matched histopathology validation of MRI features. Dis. Colon Rectum 2014, 57, 32–38. [Google Scholar] [CrossRef] [PubMed]
- Al-Sukhni, E.; Milot, L.; Fruitman, M.; Beyene, J.; Victor, J.C.; Schmocker, S.; Brown, G.; McLeod, R.; Kennedy, E. Diagnostic accuracy of MRI for assessment of T category, lymph node metastases, and circumferential resection margin involvement in patients with rectal cancer: A systematic review and meta-analysis. Ann. Surg. Oncol. 2012, 19, 2212–2223. [Google Scholar] [CrossRef]
- Li, X.-T.; Sun, Y.-S.; Tang, L.; Cao, K.; Zhang, X.-Y. Evaluating local lymph node metastasis with magnetic resonance imaging, endoluminal ultrasound and computed tomography in rectal cancer: A meta-analysis. Color. Dis. 2015, 17, O129–O135. [Google Scholar] [CrossRef]
- Arezzo, A.; Migliore, M.; Chiaro, P.; Arolfo, S.; Filippini, C.; Di Cuonzo, D.; Cirocchi, R.; Morino, M. REAL Score Collaborators The REAL (REctal Anastomotic Leak) score for prediction of anastomotic leak after rectal cancer surgery. Tech. Coloproctol. 2019, 23, 649–663. [Google Scholar] [CrossRef]
- Brisinda, G.; Vanella, S.; Cadeddu, F.; Civello, I.M.; Brandara, F.; Nigro, C.; Mazzeo, P.; Marniga, G.; Maria, G. End-to-end versus end-to-side stapled anastomoses after anterior resection for rectal cancer. J. Surg. Oncol. 2009, 99, 75–79. [Google Scholar] [CrossRef]
- Daams, F.; Luyer, M.; Lange, J.F. Colorectal anastomotic leakage: Aspects of prevention, detection and treatment. World J. Gastroenterol. 2013, 19, 2293–2297. [Google Scholar] [CrossRef]
- Yang, S.Y.; Han, Y.D.; Cho, M.S.; Hur, H.; Min, B.S.; Lee, K.Y.; Kim, N.K. Late anastomotic leakage after anal sphincter saving surgery for rectal cancer: Is it different from early anastomotic leakage? Int. J. Colorectal Dis. 2020, 35, 1321–1330. [Google Scholar] [CrossRef]
- Sparreboom, C.L.; van Groningen, J.T.; Lingsma, H.F.; Wouters, M.W.J.M.; Menon, A.G.; Kleinrensink, G.-J.; Jeekel, J.; Lange, J.F.; Dutch ColoRectal Audit Group. Different Risk Factors for Early and Late Colorectal Anastomotic Leakage in a Nationwide Audit. Dis. Colon Rectum 2018, 61, 1258–1266. [Google Scholar] [CrossRef]
- Brisinda, G.; Chiarello, M.M.; Pepe, G.; Cariati, M.; Fico, V.; Mirco, P.; Bianchi, V. Anastomotic leakage in rectal cancer surgery: Retrospective analysis of risk factors. World J. Clin. Cases 2022, 10, 13321–13336. [Google Scholar] [CrossRef]



| Cranio-caudal extension | 0 = <3 cm 1 = >3 cm |
| Morphology | 0 = Vegetating; 1 = Semi-annular; 2 = Circumferential |
| Tumor location | 1 = Low rectum; 2 = Mid rectum; 3 = Upper rectum |
| DWI signal restriction | 0 = Absent; 1 = Present |
| Post-contrast enhancement | 0 = Absent; 1 = Present |
| T staging | T1; T2; T3; T4 |
| Mesorectal fascia involvement | 0 = Absent; 1 = Present |
| Lymph node involvement | 0 = Absent; 1 = Present |
| Extramural vascular invasion (EMVI) | 0 = Absent; 1 = Present |
| Feature | Number of Reports | Percentage (%) |
|---|---|---|
| Location (Low, Mid, High) | 66 | 98.51% |
| Cranio-Caudal Extension | 63 | 94.03% |
| Morphological Characteristics | 63 | 94.03% |
| Sphincter Involvement | 3 | 4.48% |
| T Staging | 12 | 18% |
| Mesorectal Fascia Involvement | 22 | 32.84% |
| Lymph Node Involvement | 67 | 100% |
| Relationship with Peritoneal Reflection | 7 | 10.45% |
| Complications | Local Recurrence/REC | Postoperative Bleeding | 30-Day Anastomotic Leak | |||||
|---|---|---|---|---|---|---|---|---|
| MRI Findings | MC | UC | MC | UC | MC | UC | MC | UC |
| CC extension | 0.096 | 0.150 | 0.011 | 0.035 | 0.153 | 0.244 | −0.179 | −0.054 |
| Morphology | −0.140 | −0.051 | −0.067 | 0.031 | −0.036 | 0.178 | 0.027 | 0.101 |
| Location | 0.037 | −0.147 | 0.021 | 0.048 | −0.064 | −0.124 | −0.033 | −0.007 |
| DWI | −0.098 | 0.020 | −0.096 | −0.086 | −0.027 | 0.014 | −0.018 | 0.053 |
| CE—T1w | 0.132 | 0.112 | 0.082 | 0.087 | 0.116 | 0.087 | 0.095 | 0.126 |
| T staging | 0.065 | 0.041 | 0.047 | 0.072 | −0.054 | 0.001 | 0.210 | 0.261 |
| Sphincter involvement | 0.410 | 0.270 | −0.148 | −0.087 | −0.206 | −0.087 | 0.288 | −0.126 |
| Mesorectal fascia involvement | 0.018 | 0.172 | −0.144 | −0.035 | −0.033 | 0.070 | −0.169 | −0.027 |
| LN involvement | 0.065 | 0.122 | 0.078 | 0.142 | 0.133 | 0.293 | −0.084 | 0.004 |
| Extramural vascular invasion | 0.089 | 0.095 | 0.199 | 0.127 | 0.036 | 0.127 | 0.270 | 0.084 |
Disclaimer/Publisher’s Note: The statements, opinions and data contained in all publications are solely those of the individual author(s) and contributor(s) and not of MDPI and/or the editor(s). MDPI and/or the editor(s) disclaim responsibility for any injury to people or property resulting from any ideas, methods, instructions or products referred to in the content. |
© 2025 by the authors. Licensee MDPI, Basel, Switzerland. This article is an open access article distributed under the terms and conditions of the Creative Commons Attribution (CC BY) license (https://creativecommons.org/licenses/by/4.0/).
Share and Cite
Faiella, E.; Carannante, F.; Vaccarino, F.; Capolupo, G.T.; Miacci, V.; Perillo, G.; Vergantino, E.; Zobel, B.B.; Caricato, M.; Santucci, D. Predictive Utility of Structured MRI Reporting for Rectal Cancer Outcomes. Diagnostics 2025, 15, 1472. https://doi.org/10.3390/diagnostics15121472
Faiella E, Carannante F, Vaccarino F, Capolupo GT, Miacci V, Perillo G, Vergantino E, Zobel BB, Caricato M, Santucci D. Predictive Utility of Structured MRI Reporting for Rectal Cancer Outcomes. Diagnostics. 2025; 15(12):1472. https://doi.org/10.3390/diagnostics15121472
Chicago/Turabian StyleFaiella, Eliodoro, Filippo Carannante, Federica Vaccarino, Gabriella Teresa Capolupo, Valentina Miacci, Gloria Perillo, Elva Vergantino, Bruno Beomonte Zobel, Marco Caricato, and Domiziana Santucci. 2025. "Predictive Utility of Structured MRI Reporting for Rectal Cancer Outcomes" Diagnostics 15, no. 12: 1472. https://doi.org/10.3390/diagnostics15121472
APA StyleFaiella, E., Carannante, F., Vaccarino, F., Capolupo, G. T., Miacci, V., Perillo, G., Vergantino, E., Zobel, B. B., Caricato, M., & Santucci, D. (2025). Predictive Utility of Structured MRI Reporting for Rectal Cancer Outcomes. Diagnostics, 15(12), 1472. https://doi.org/10.3390/diagnostics15121472

