Prognostic Significance of RBM3 Expression in Epithelial Ovarian Cancer: A Tissue Microarray-Based Study
Abstract
1. Introduction
2. Materials and Methods
2.1. Patients
2.2. Construction of Tissue Microarrays
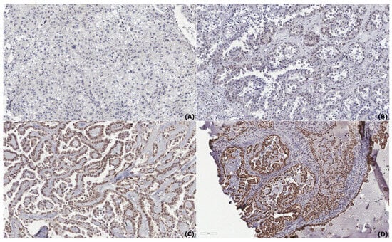
2.3. Immunohistochemical Assessment and Scoring
2.4. Statistical Analyses
3. Results
3.1. Patient Characteristics and Histological Features
3.2. RBM3 Expression and Clinicopathological Correlations
4. Discussion
5. Conclusions
Supplementary Materials
Author Contributions
Funding
Institutional Review Board Statement
Informed Consent Statement
Data Availability Statement
Conflicts of Interest
Abbreviations
| RBM3 | RNA-binding motif protein 3 |
| OC | ovarian cancer |
| DFS | disease-free survival |
| OS | overall survival |
| TMA | tissue microarray |
| IHC | immunohistochemistry |
| FIGO | International Federation of Gynecology and Obstetrics |
References
- Siegel, R.L.; Giaquinto, A.N.; Jemal, A. Cancer statistics, 2024. CA Cancer J. Clin. 2024, 74, 12–49. [Google Scholar] [CrossRef] [PubMed]
- Jung, K.W.; Kang, M.J.; Park, E.H.; Yun, E.H.; Kim, H.J.; Kim, J.E.; Kong, H.J.; Im, J.S.; Seo, H.G. Prediction of Cancer Incidence and Mortality in Korea, 2024. Cancer Res. Treat. 2024, 56, 372–379. [Google Scholar] [CrossRef]
- Andreou, M.; Kyprianidou, M.; Cortas, C.; Polycarpou, I.; Papamichael, D.; Kountourakis, P.; Giannakou, K. Prognostic Factors Influencing Survival in Ovarian Cancer Patients: A 10-Year Retrospective Study. Cancers 2023, 15, 5710. [Google Scholar] [CrossRef] [PubMed]
- Zhou, R.-B.; Lu, X.-L.; Zhang, C.-Y.; Yin, D.-C. RNA binding motif protein 3: A potential biomarker in cancer and therapeutic target in neuroprotection. Oncotarget 2017, 8, 22235–22250. [Google Scholar] [CrossRef] [PubMed]
- Kawczyk-Krupka, A.; Bugaj, A.M.; Latos, W.; Wawrzyniec, K.; Oleś, P.; Mertas, A.; Czuba, Z.; Król, W.; Sieroń-Stołtny, K.; Sieroń, A. ALA-mediated photodynamic effect on apoptosis induction and secretion of macrophage migration inhibitory factor (MIF) and of monocyte chemotactic protein (MCP-1) by colon cancer cells in normoxia and in hypoxia-like conditions in vitro. Photodiagnosis Photodyn. Ther. 2015, 12, 27–35. [Google Scholar] [CrossRef]
- Wong, J.J.; Au, A.Y.; Gao, D.; Pinello, N.; Kwok, C.T.; Thoeng, A.; Lau, K.A.; Gordon, J.E.; Schmitz, U.; Feng, Y.; et al. RBM3 regulates temperature sensitive miR-142-5p and miR-143 (thermomiRs), which target immune genes and control fever. Nucleic Acids Res. 2016, 44, 2888–2897. [Google Scholar] [CrossRef]
- Wellmann, S.; Bührer, C.; Moderegger, E.; Zelmer, A.; Kirschner, R.; Koehne, P.; Fujita, J.; Seeger, K. Oxygen-regulated expression of the RNA-binding proteins RBM3 and CIRP by a HIF-1-independent mechanism. J. Cell Sci. 2004, 117, 1785–1794. [Google Scholar] [CrossRef]
- Sutherland, L.C.; Rintala-Maki, N.D.; White, R.D.; Morin, C.D. RNA binding motif (RBM) proteins: A novel family of apoptosis modulators? J. Cell. Biochem. 2005, 94, 5–24. [Google Scholar] [CrossRef]
- Kang, S.H.; Cho, J.; Jeong, H.; Kwon, S.Y. High RNA-binding Motif Protein 3 Expression Is Associated with Improved Clinical Outcomes in Invasive Breast Cancer. J. Breast Cancer 2018, 21, 288–296. [Google Scholar] [CrossRef] [PubMed]
- Boman, K.; Segersten, U.; Ahlgren, G.; Eberhard, J.; Uhlén, M.; Jirström, K.; Malmström, P.-U. Decreased expression of RNA-binding motif protein 3 correlates with tumour progression and poor prognosis in urothelial bladder cancer. BMC Urol. 2013, 13, 17. [Google Scholar] [CrossRef]
- Jonsson, L.; Hedner, C.; Gaber, A.; Korkocic, D.; Nodin, B.; Uhlén, M.; Eberhard, J.; Jirström, K. High expression of RNA-binding motif protein 3 in esophageal and gastric adenocarcinoma correlates with intestinal metaplasia-associated tumours and independently predicts a reduced risk of recurrence and death. Biomark. Res. 2014, 2, 11. [Google Scholar] [CrossRef] [PubMed]
- Ehlén, Å.; Brennan, D.J.; Nodin, B.; O’Connor, D.P.; Eberhard, J.; Alvarado-Kristensson, M.; Jeffrey, I.B.; Manjer, J.; Brändstedt, J.; Uhlén, M.; et al. Expression of the RNA-binding protein RBM3 is associated with a favourable prognosis and cisplatin sensitivity in epithelial ovarian cancer. J. Transl. Med. 2010, 8, 78. [Google Scholar] [CrossRef]
- Jonsson, L.; Gaber, A.; Ulmert, D.; Uhlén, M.; Bjartell, A.; Jirström, K. High RBM3 expression in prostate cancer independently predicts a reduced risk of biochemical recurrence and disease progression. Diagn. Pathol. 2011, 6, 91. [Google Scholar] [CrossRef] [PubMed]
- Jonsson, L.; Bergman, J.; Nodin, B.; Manjer, J.; Pontén, F.; Uhlén, M.; Jirström, K. Low RBM3 protein expression correlates with tumour progression and poor prognosis in malignant melanoma: An analysis of 215 cases from the Malmö Diet and Cancer Study. J. Transl. Med. 2011, 9, 114. [Google Scholar] [CrossRef]
- Yang, H.J.; Ju, F.; Guo, X.X.; Ma, S.P.; Wang, L.; Cheng, B.F.; Zhuang, R.J.; Zhang, B.B.; Shi, X.; Feng, Z.W.; et al. RNA-binding protein RBM3 prevents NO-induced apoptosis in human neuroblastoma cells by modulating p38 signaling and miR-143. Sci. Rep. 2017, 7, 41738. [Google Scholar] [CrossRef] [PubMed]
- Ehlén, Å.; Nodin, B.; Rexhepaj, E.; Brändstedt, J.; Uhlén, M.; Alvarado-Kristensson, M.; Pontén, F.; Brennan, D.J.; Jirström, K. RBM3-regulated genes promote DNA integrity and affect clinical outcome in epithelial ovarian cancer. Transl. Oncol. 2011, 4, 212–221. [Google Scholar] [CrossRef]
- Wellmann, S.; Truss, M.; Bruder, E.; Tornillo, L.; Zelmer, A.; Seeger, K.; Bührer, C. The RNA-binding protein RBM3 is required for cell proliferation and protects against serum deprivation-induced cell death. Pediatr. Res. 2010, 67, 35–41. [Google Scholar] [CrossRef]
- Huang, Y.; Sun, W.; Zhu, D.; Liu, L.; Feng, J.; Yi, Q. RBM3 Inhibits the Cell Cycle of Cutaneous Squamous Cell Carcinoma through the PI3K/AKT Signaling Pathway. Curr. Mol. Pharmacol. 2024, 17, e18761429323760. [Google Scholar] [CrossRef]
- Wang, H.; Wang, R.; Fang, J. A spliceosome-associated gene signature aids in predicting prognosis and tumor microenvironment of hepatocellular carcinoma. Aging 2023, 15, 4906–4925. [Google Scholar] [CrossRef]
- Siesing, C.; Sorbye, H.; Dragomir, A.; Pfeiffer, P.; Qvortrup, C.; Pontén, F.; Jirström, K.; Glimelius, B.; Eberhard, J. High RBM3 expression is associated with an improved survival and oxaliplatin response in patients with metastatic colorectal cancer. PLoS ONE 2017, 12, e0182512. [Google Scholar] [CrossRef]
- Olofsson, S.-E.; Nodin, B.; Gaber, A.; Eberhard, J.; Uhlén, M.; Jirström, K.; Jerkeman, M. Low RBM3 Protein Expression Correlates with Clinical Stage, Prognostic Classification and Increased Risk of Treatment Failure in Testicular Non-Seminomatous Germ Cell Cancer. PLoS ONE 2015, 10, e0121300. [Google Scholar] [CrossRef] [PubMed]
- Hammond, M.E.; Hayes, D.F.; Dowsett, M.; Allred, D.C.; Hagerty, K.L.; Badve, S.; Fitzgibbons, P.L.; Francis, G.; Goldstein, N.S.; Hayes, M.; et al. American Society of Clinical Oncology/College Of American Pathologists guideline recommendations for immunohistochemical testing of estrogen and progesterone receptors in breast cancer. J. Clin. Oncol. 2010, 28, 2784–2795. [Google Scholar] [CrossRef] [PubMed]
- Uhlén, M.; Fagerberg, L.; Hallström, B.M.; Lindskog, C.; Oksvold, P.; Mardinoglu, A.; Sivertsson, Å.; Kampf, C.; Sjöstedt, E.; Asplund, A.; et al. Tissue-based map of the human proteome. Science 2015, 347, 1260419. [Google Scholar] [CrossRef] [PubMed]




| Characteristic | Number (%) |
|---|---|
| Age (year) | 53 years (11–79) |
| Histologic subtype | |
| Serous carcinoma | 105 (57.4) |
| Mucinous carcinoma | 17 (9.3) |
| Endometrioid carcinoma | 29 (15.8) |
| Clear cell carcinoma | 32 (17.5) |
| FIGO stage | |
| 1 | 61 (33.3) |
| 2 | 17 (9.3) |
| 3 | 102 (55.8) |
| 4 | 3 (1.6) |
| Distant metastasis | |
| Absent | 78 (42.6) |
| Present | 105 (57.4) |
| Recurrence | |
| Absent | 123 (67.2) |
| Present | 60 (32.8) |
| Expire | |
| No | 122 (66.7) |
| Yes | 61 (33.3) |
| Characteristic | RBM3 Expression | p-Value | |
|---|---|---|---|
| Low Expression No. (%) | High Expression No. (%) | ||
| Age (year) | 54.62 (25–75) | 51.56 (20–78) | 0.104 |
| Histologic subtype | <0.001 | ||
| Serous carcinoma | 69 (65.7) | 36 (34.3) | |
| Mucinous carcinoma | 2 (11.8) | 15 (88.2) | |
| Endometrioid carcinoma | 9 (31.0) | 20 (69.0) | |
| Clear cell carcinoma | 9 (28.1) | 23 (71.9) | |
| FIGO stage | 0.003 | ||
| 1 | 21 (34.4) | 40 (65.6) | |
| 2 | 7 (41.2) | 10 (58.8) | |
| 3 | 59 (57.8) | 43 (42.2) | |
| 4 | 2 (66.7) | 1 (33.3) | |
| Distant metastasis | 0.002 | ||
| Absent | 27 (34.6) | 51 (65.4) | |
| Present | 62 (59.0) | 43 (41.0) | |
| Recurrence | 0.637 | ||
| Absent | 58 (47.2) | 65 (52.8) | |
| Present | 31 (51.7) | 29 (48.3) | |
| Expire | 0.117 | ||
| No | 54 (44.3) | 68 (55.7) | |
| Yes | 35 (57.4) | 26 (42.6) | |
| Characteristic | DFS | p-Value | OS | p-Value | ||
|---|---|---|---|---|---|---|
| HR | 95% CI | HR | 95% CI | |||
| Age | 1.023 | 1.005–1.041 | 0.011 | 1.041 | 1.018–1.065 | <0.001 |
| Histologic subtype | ||||||
| (Non-serous vs. serous) | 3.648 | 2.163–6.155 | <0.001 | 2.641 | 1.478–4.720 | 0.001 |
| FIGO stage | ||||||
| (Stage 1,2 vs. Stage 3,4) | 10.627 | 5.580–20.240 | <0.001 | 13.066 | 5.572–30.636 | <0.001 |
| Metastasis | ||||||
| (Absent vs. present) | 7.454 | 4.093–13.573 | <0.001 | 6.972 | 3.411–14.254 | <0.001 |
| RBM3 expression | ||||||
| (High vs. Low) | 0.547 | 0.352–0.849 | 0.007 | 0.558 | 0.333–0.937 | 0.027 |
| Characteristic | DFS | p-Value | OS | p-Value | ||
|---|---|---|---|---|---|---|
| HR | 95% CI | HR | 95% CI | |||
| Age | 1.002 | 0.983–1.022 | 0.053 | 1.03 | 1.004–1.056 | 0.021 |
| Histologic subtype | ||||||
| (Non-serous vs. serous) | 1.201 | 0.602–2.398 | 0.604 | 0.783 | 0.383–1.598 | 0.501 |
| FIGO stage | ||||||
| (Stage 1,2 vs. Stage 3,4) | 10.627 | 5.580–20.240 | <0.001 | 14.346 | 4.316–47.684 | <0.001 |
| Metastasis | ||||||
| (Absent vs. present) | 1.113 | 0.371–3.335 | 0.849 | 0.813 | 0.276–2.398 | 0.708 |
| RBM3 expression | ||||||
| (High vs. Low) | 0.894 | 0.562–1.422 | 0.635 | 0.777 | 0.444–1.360 | 0.377 |
Disclaimer/Publisher’s Note: The statements, opinions and data contained in all publications are solely those of the individual author(s) and contributor(s) and not of MDPI and/or the editor(s). MDPI and/or the editor(s) disclaim responsibility for any injury to people or property resulting from any ideas, methods, instructions or products referred to in the content. |
© 2025 by the authors. Licensee MDPI, Basel, Switzerland. This article is an open access article distributed under the terms and conditions of the Creative Commons Attribution (CC BY) license (https://creativecommons.org/licenses/by/4.0/).
Share and Cite
Shin, H.C.; Lee, H.W.; Shin, S.-J.; Kwon, S.Y. Prognostic Significance of RBM3 Expression in Epithelial Ovarian Cancer: A Tissue Microarray-Based Study. Diagnostics 2025, 15, 1426. https://doi.org/10.3390/diagnostics15111426
Shin HC, Lee HW, Shin S-J, Kwon SY. Prognostic Significance of RBM3 Expression in Epithelial Ovarian Cancer: A Tissue Microarray-Based Study. Diagnostics. 2025; 15(11):1426. https://doi.org/10.3390/diagnostics15111426
Chicago/Turabian StyleShin, Hyeong Chan, Hye Won Lee, So-Jin Shin, and Sun Young Kwon. 2025. "Prognostic Significance of RBM3 Expression in Epithelial Ovarian Cancer: A Tissue Microarray-Based Study" Diagnostics 15, no. 11: 1426. https://doi.org/10.3390/diagnostics15111426
APA StyleShin, H. C., Lee, H. W., Shin, S.-J., & Kwon, S. Y. (2025). Prognostic Significance of RBM3 Expression in Epithelial Ovarian Cancer: A Tissue Microarray-Based Study. Diagnostics, 15(11), 1426. https://doi.org/10.3390/diagnostics15111426

