Association between White Matter T2 Hyper-Intense Signals in Fetal Brain Magnetic Resonance Imaging and Neurodevelopment of Fetuses with Cytomegalovirus Infection
Abstract
1. Introduction
2. Materials and Methods
2.1. Subject Demographics
2.2. MRI Scans
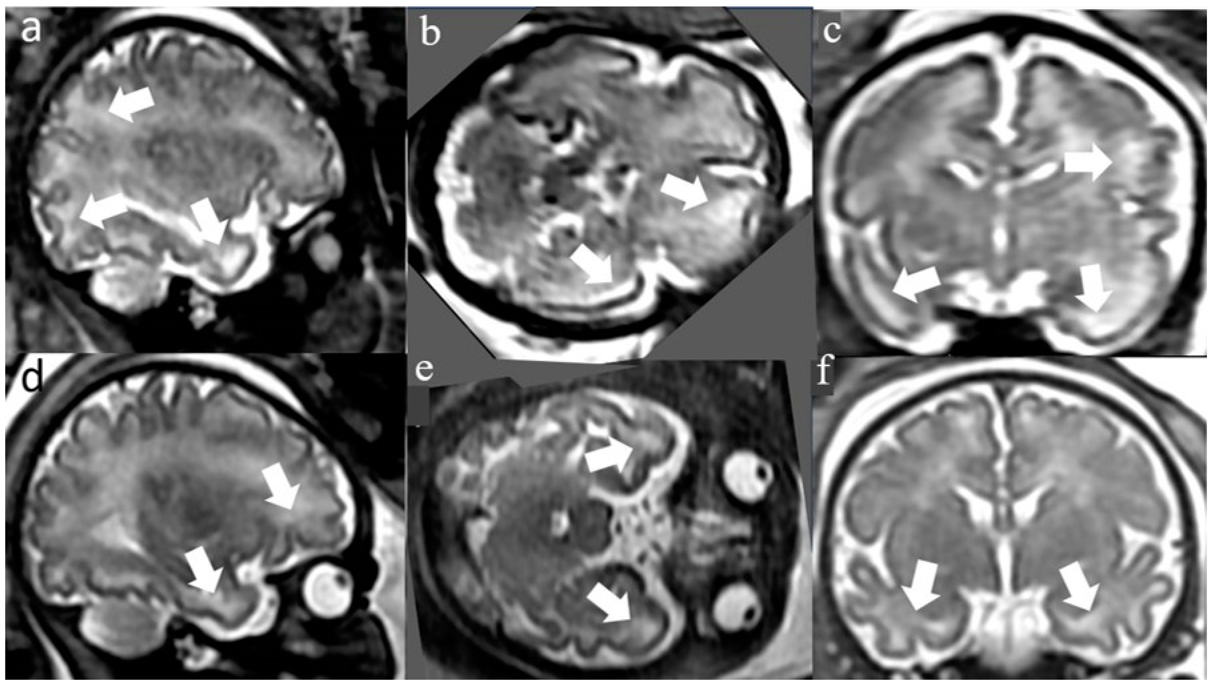
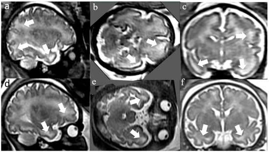
2.3. White Matter T2 Hyper-Intense Signal (WMHS)
2.4. Interobserver Validity of Measurements
2.5. Neurodevelopmental Assessment
2.6. Hearing Evaluation
2.7. Ethics Approval
3. Results
3.1. Maternal and Pregnancy Demographic, Clinical, and Imaging Characteristics
3.2. Postnatal Clinical and Imaging Characteristics
3.3. Long-Term Neurodevelopmental and Hearing Outcome
4. Discussion
5. Conclusions
Author Contributions
Funding
Institutional Review Board Statement
Informed Consent Statement
Data Availability Statement
Conflicts of Interest
References
- Maltezou, P.G.; Kourlaba, G.; Kourkouni, Ε.; Luck, S.; Blázquez-Gamero, D.; Ville, Y.; Lilleri, D.; Dimopoulou, D.; Karalexi, M.; Papaevangelou, V. Maternal type of CMV infection and sequelae in infants with congenital CMV: Systematic review and meta-analysis. J. Clin. Virol. 2020, 129, 104518. [Google Scholar] [CrossRef] [PubMed]
- Dollard, S.C.; Grosse, S.D.; Ross, D.S. New estimates of the prevalence of neurological and sensory sequelae and mortality associated with congenital cytomegalovirus infection. Rev. Med. Virol. 2007, 17, 355–363. [Google Scholar] [CrossRef] [PubMed]
- Boppana, S.B.; Ross, S.A.; Fowler, K.B. Congenital cytomegalovirus infection: Clinical outcome. Clin. Infect. Dis. 2013, 57 (Suppl. S4), S178–S181. [Google Scholar] [CrossRef] [PubMed]
- Kenneson, A.; Cannon, M.J. Review and meta-analysis of the epidemiology of congenital cytomegalovirus (CMV) infection. Rev. Med. Virol. 2007, 17, 253–276. [Google Scholar] [CrossRef]
- Rawlinson, W.D.; Boppana, S.B.; Fowler, K.B.; Kimberlin, D.W.; Lazzarotto, T.; Alain, S.; Daly, K.; Doutré, S.; Gibson, L.; Giles, M.L.; et al. Congenital cytomegalovirus infection in pregnancy and the neonate: Consensus recommendations for prevention, diagnosis, and therapy. Lancet Infect. Dis. 2017, 17, e177–e188. [Google Scholar] [CrossRef] [PubMed]
- Vande Walle, C.; Keymeulen, A.; Oostra, A.; Schiettecatte, E.; Dhooge, I.; Smets, K.; Herregods, N. Apparent diffusion coefficient values of the white matter in magnetic resonance imaging of the neonatal brain may help predict outcome in congenital cytomegalovirus infection. Pediatr. Radiol. 2024, 54, 337–346. [Google Scholar] [CrossRef] [PubMed]
- Korver, A.M.H.; Smith, R.J.H.; Camp, G.V.; Schleiss, M.R.; Bitner-Glindzicz, M.A.K.; Lustig, L.R.; Usami, S.; Boudewyns, A.N. Congenital hearing loss. Nat. Rev. Dis. Primers 2017, 3, 16094. [Google Scholar] [CrossRef] [PubMed]
- Cannon, M.J. Congenital cytomegalovirus (CMV) epidemiology and awareness. J. Clin. Virol. 2009, 46, S6–S10. [Google Scholar] [CrossRef] [PubMed]
- Goderis, J.; Leenheer, E.D.; Smets, K.; Hoecke, H.V.; Keymeulen, A.; Dhooge, I. Hearing loss and congenital CMV infection: A systematic review. Pediatrics 2014, 134, 972–982. [Google Scholar] [CrossRef]
- Lopez, A.S.; Lanzieri, T.M.; Claussen, A.H.; Vinson, S.S.; Turcich, M.R.; Iovino, I.R.; Voigt, R.G.; Caviness, A.C.; Miller, J.A.; Williamson, W.D.; et al. Intelligence and Academic Achievement With Asymptomatic Congenital Cytomegalovirus Infection. Pediatrics 2017, 140, e20171517. [Google Scholar] [CrossRef]
- Kimberlin, D.W.; Jester, P.M.; Sánchez, P.J.; Ahmed, A.; Arav-Boger, R.; Michaels, M.G.; Ashouri, N.; Englund, J.A.; Estrada, B.; Jacobs, R.F.; et al. Valganciclovir for symptomatic congenital cytomegalovirus disease. N. Engl. J. Med. 2015, 372, 933–943. [Google Scholar] [CrossRef] [PubMed]
- Vries, L.S.D.; Gunardi, H.; Barth, P.G.; Bok, L.A.; Verboon-Maciolek, M.A.; Groenendaal, F. The spectrum of cranial ultrasound and magnetic resonance imaging abnormalities in congenital cytomegalovirus infection. Neuropediatrics 2004, 35, 113–119. [Google Scholar] [CrossRef]
- Katorza, E.; Strauss, G.; Cohen, R.; Berkenstadt, M.; Hoffmann, C.; Achiron, R.; Barzilay, E.; Bar-Yosef, O. Apparent Diffusion Coefficient Levels and Neurodevelopmental Outcome in Fetuses with Brain MR Imaging White Matter Hyperintense Signal. AJNR Am. J. Neuroradiol. 2018, 39, 1926–1931. [Google Scholar] [CrossRef]
- Guimiot, F.; Garel, C.; Fallet-Bianco, C.; Menez, F.; Khung-Savatovsky, S.; Oury, J.-F.; Sebag, G.; Delezoide, A.-L. Contribution of diffusion-weighted imaging in the evaluation of diffuse white matter ischemic lesions in fetuses: Correlations with fetopathologic findings. AJNR Am. J. Neuroradiol. 2008, 29, 110–115. [Google Scholar] [CrossRef] [PubMed]
- Yaniv, G.; Katorza, E.; Bercovitz, R.; Bergman, D.; Greenberg, G.; Biegon, A.; Hoffmann, C. Region-specific changes in brain diffusivity in fetal isolated mild ventriculomegaly. Eur. Radiol. 2016, 26, 840–848. [Google Scholar] [CrossRef] [PubMed]
- Teissier, N.; Fallet-Bianco, C.; Delezoide, A.-L.; Laquerrière, A.; Marcorelles, P.; Khung-Savatovsky, S.; Nardelli, J.; Cipriani, S.; Csaba, Z.; Picone, O.; et al. Cytomegalovirus-induced brain malformations in fetuses. J. Neuropathol. Exp. Neurol. 2014, 73, 143–158. [Google Scholar] [CrossRef] [PubMed]
- Farkas, N.; Hoffmann, C.; Ben-Sira, L.; Lev, D.; Schweiger, A.; Kidron, D.; Lerman-Sagie, T.; Malinger, G. Does normal fetal brain ultrasound predict normal neurodevelopmental outcome in congenital cytomegalovirus infection? Prenat. Diagn. 2011, 31, 360–366. [Google Scholar] [CrossRef]
- Benoist, G.; Salomon, L.J.; Mohlo, M.; Suarez, B.; Jacquemard, F.; Ville, Y. Cytomegalovirus-related fetal brain lesions: Comparison between targeted ultrasound examination and magnetic resonance imaging. Ultrasound Obstet. Gynecol. Off. J. Int. Soc. Ultrasound Obstet. Gynecol. 2008, 32, 900–905. [Google Scholar] [CrossRef]
- Lipitz, S.; Hoffmann, C.; Feldman, B.; Tepperberg-Dikawa, M.; Schiff, E.; Weisz, B. Value of prenatal ultrasound and magnetic resonance imaging in assessment of congenital primary cytomegalovirus infection. Ultrasound Obstet. Gynecol. Off. J. Int. Soc. Ultrasound Obstet. Gynecol. 2010, 36, 709–717. [Google Scholar] [CrossRef] [PubMed]
- Birnbaum, R.; Ben-Sira, L.; Lerman-Sagie, T.; Malinger, G. The use of fetal neurosonography and brain MRI in cases of cytomegalovirus infection during pregnancy: A retrospective analysis with outcome correlation. Prenat. Diagn. 2017, 37, 1335–1342. [Google Scholar] [CrossRef]
- Gat, I.; Hoffmann, C.; Shashar, D.; Yosef, O.B.; Konen, E.; Achiron, R.; Brandt, B.; Katorza, E. Fetal Brain MRI: Novel Classification and Contribution to Sonography. Ultraschall Der Med. 2016, 37, 176–184. [Google Scholar] [CrossRef] [PubMed]
- Cannie, M.M.; Devlieger, R.; Leyder, M.; Claus, F.; Leus, A.; Catte, L.D.; Cossey, V.; Foulon, I.; der Valk, E.V.; Foulon, W.; et al. Congenital cytomegalovirus infection: Contribution and best timing of prenatal MR imaging. Eur. Radiol. 2016, 26, 3760–3769. [Google Scholar] [CrossRef] [PubMed]
- Stagno, S.; Pass, R.F.; Cloud, G.; Britt, W.J.; Henderson, R.E.; Walton, P.D.; Veren, D.A.; Page, F.; Alford, C.A. Primary cytomegalovirus infection in pregnancy. Incidence, transmission to fetus, and clinical outcome. JAMA 1986, 256, 1904–1908. [Google Scholar] [CrossRef] [PubMed]
- Ahlfors, K.; Forsgren, M.; Ivarsson, S.A.; Harris, S.; Svanberg, L. Congenital cytomegalovirus infection: On the relation between type and time of maternal infection and infant’s symptoms. Scand. J. Infect. Dis. 1983, 15, 129–138. [Google Scholar] [CrossRef] [PubMed]
- Liesnard, C.; Donner, C.; Brancart, F.; Gosselin, F.; Delforge, M.L.; Rodesch, F. Prenatal diagnosis of congenital cytomegalovirus infection: Prospective study of 237 pregnancies at risk. Obstet. Gynecol. 2000, 95, 881–888. [Google Scholar] [CrossRef]
- Heibel, M.; Heber, R.; Bechinger, D.; Kornhuber, H.H. Early diagnosis of perinatal cerebral lesions in apparently normal full-term newborns by ultrasound of the brain. Neuroradiology 1993, 35, 85–91. [Google Scholar] [CrossRef] [PubMed]
- Malinger, G.; Lev, D.; Sira, L.B.; Kidron, D.; Tamarkin, M.; Lerman-Sagie, T. Congenital periventricular pseudocysts: Prenatal sonographic appearance and clinical implications. Ultrasound Obstet. Gynecol. Off. J. Int. Soc. Ultrasound Obstet. Gynecol. 2002, 20, 447–451. [Google Scholar] [CrossRef]
- Cevey-Macherel, M.; Forcada Guex, M.; Bickle Graz, M.; Truttmann, A.C. Neurodevelopment outcome of newborns with cerebral subependymal pseudocysts at 18 and 46 months: A prospective study. Arch. Dis. Child. 2013, 98, 497–502. [Google Scholar] [CrossRef] [PubMed]
- Cooper, S.; Bar-Yosef, O.; Berkenstadt, M.; Hoffmann, C.; Achiron, R.; Katorza, E. Prenatal Evaluation, Imaging Features, and Neurodevelopmental Outcome of Prenatally Diagnosed Periventricular Pseudocysts. AJNR Am. J. Neuroradiol. 2016, 37, 2382–2388. [Google Scholar] [CrossRef]
- Makhoul, I.R.; Zmora, O.; Tamir, A.; Shahar, E.; Sujov, P. Congenital subependymal pseudocysts: Own data and meta-analysis of the literature. Isr. Med. Assoc. J. IMAJ 2001, 3, 178–183. [Google Scholar]
- Faqi, A.S.; Klug, A.; Merker, H.J.; Chahoud, I. Ganciclovir induces reproductive hazards in male rats after short-term exposure. Hum. Exp. Toxicol. 1997, 16, 505–511. [Google Scholar] [CrossRef] [PubMed]

| Characteristic | Normal MRI | WMHS | p-Value |
|---|---|---|---|
| Maternal age, years, mean (SD) | 32.5 (4.1) | 30.9 (4.7) | 0.191 |
| Gestational age at MRI, median (IQR) | 34 (32–35) | 33 (33–34) | 0.593 |
| Pregnancy number, median (IQR) | 2 (2–3) | 2 (2–3) | 0.670 |
| Labor number, median (IQR) | 1 (1–2) | 1 (1–1.75) | 0.652 |
| Abnormal outcome in previous labors, n (%) | 0 (0) | 3 (15) | 0.052 |
| Abnormal maternal medical background, n (%) | 2 (6.1) | 1 (4.8) | >0.999 |
| Spontaneous conception, n (%) | 28 (82.4) | 21 (100) | 0.072 |
| Gender (female), n (%) | 13 (35.1) | 11 (52.4) | 0.200 |
| Abnormal nuchal translucency scan, n (%) | 1 (3.1) | 1 (5.3) | >0.999 |
| Abnormal 1st trimester biochemical test, n (%) | 1 (3.7) | 0 (0.0) | >0.999 |
| Abnormal 2nd trimester biochemical test, n (%) | 1 (3.8) | 0 (0.0) | >0.999 |
| Abnormal early anatomical scan, n (%) | 0 (0) | 0 (0) | >0.999 |
| Abnormal late anatomical scan, n (%) | 3 (8.1) | 1 (4.7) | >0.999 |
| Infection week, median (IQR) | 17 (11–23) | 8 (6.5–19.5) | 0.015 |
| Clinical and Radiological Findings | Normal MRI (N = 37) | WMHS (N = 21) | p-Value |
|---|---|---|---|
| Duration of pregnancy (weeks), median (IQR) | 39 (37.6–39.9) | 39.3 (38.4–39.9) | 0.633 |
| Birth weight, (gr) median (IQR) | 3114 (2878–3410) | 3052 (2845–3420) | 0.974 |
| Birth weight (percentile), median (IQR) | 52 (32–73) | 41 (29.5–73.5) | 0.840 |
| Head circumference (cm), median (IQR) | 34 (33–35) | 34 (33–35) | 0.647 |
| Head circumference (percentile), median (IQR) | 51 (12–79) | 54 (29–80) | 0.510 |
| Head circumference < 10%, n (%) | 1 (11%) | 5(14.3%) | >0.999 |
| SEPC in head ultrasound. n (%) | 1 (3%) | 4 (21%) | 0.043 |
| LSV in head ultrasound, n (%) | 4 (11%) | 4 (21%) | 0.426 |
| Any abnormal finding in head US, n (%) | 5 (14%) | 6 (29%) | 0.296 |
| Abnormal acoustic emissions, n (%) | 1 (3%) | 1 (5%) | >0.999 |
| Abnormal auditory brain response (after birth), n (%) | 2 (5%) | 1 (4.8%) | >0.999 |
| Valganciclovir treatment, n (%) | 4 (11%) | 14 (67%) | <0.001 |
| Clinical and Radiological Findings | Normal MRI (N = 37) | WMHS (N = 21) | p-Value |
|---|---|---|---|
| Age at VABS, (years), median (IQR) | 2.3 (1.5–3.5) | 3.8 (2.5–4.5) | 0.049 |
| VABS motor skills, median (IQR) | 100.5 (77.5–105.3) | 106 (97–116.3) | 0.032 |
| VABS daily living skills, median (IQR) | 109 (99.25–115.3) | 105 (97.5–116.8) | 0.641 |
| VABS socialization skills, median (IQR) | 106 (100.3–114) | 107 (97.3–116) | 0.501 |
| VABS communication skills, median (IQR) | 103 (100.8–107.3) | 102 (94.3–108.8) | 0.469 |
| VABS adaptive score composite, median (IQR) | 102.5 (94–111.3) | 106 (98.3–110) | 0.233 |
| Hearing impairment; n (%) | 2 (11.1) | 3 (16.7) | >0.999 |
| Multivariate Regression | Motor Standard Score | Social Standard Score | Daily Skills Standard Score | Communication Standard Score | General Standard Score | |||||
|---|---|---|---|---|---|---|---|---|---|---|
| Slope * (CI) | p-Value | Slope * (CI) | p-Value | Slope * (CI) | p-Value | Slope * (CI) | p-Value | Slope * (CI) | p-Value | |
| Constant | 103 | 99 | 105 | 105 | 103 | |||||
| Infection week (week) | 4.8 (−1.7–4.1) | 0.26 | −2.6 (−4.6–4.1) | 0.91 | −1.0 (−7.8–5.8) | 0.76 | 2.7 (−3.7–9.2) | 0.39 | 1.8 (−1.7–7.5) | 0.51 |
| WMHS+/ Valganciclovir− | −22.2 (−34.7–−11.3) | 0.001 | 2.1 (−2.0–8.1) | 0.49 | −3.6 (−13.0–5.7) | 0.44 | −0.8 (−9.7–8.1) | 0.85 | −7.6 (−15.3–0.1) | 0.051 |
| WMHS−/ Valganciclovir+ | −4.2 (−19.0–10.5) | 0.56 | 3.7 (−5.1–10.2) | 0.51 | −9.1 (−20.1–2.7) | 0.13 | −9.8 (−21.0–1.4) | 0.08 | −6.5 (−16.2–3.2) | 0.18 |
| WMHS+/ Valganciclovir+ | 0.4 (−9.5–10.5) | 0.93 | 2.5 (0.5–10.8) | 0.03 | −3.8 (−4.1–11.5) | 0.34 | 2.9 (−4.6–10.5) | 0.45 | 3.9 (−2.6–10.5) | 0.24 |
Disclaimer/Publisher’s Note: The statements, opinions and data contained in all publications are solely those of the individual author(s) and contributor(s) and not of MDPI and/or the editor(s). MDPI and/or the editor(s) disclaim responsibility for any injury to people or property resulting from any ideas, methods, instructions or products referred to in the content. |
© 2024 by the authors. Licensee MDPI, Basel, Switzerland. This article is an open access article distributed under the terms and conditions of the Creative Commons Attribution (CC BY) license (https://creativecommons.org/licenses/by/4.0/).
Share and Cite
Barkai, G.; Katorza, E.; Lassman, S.; Levinberg, I.; Hoffmann, C.; Bar-Yosef, O. Association between White Matter T2 Hyper-Intense Signals in Fetal Brain Magnetic Resonance Imaging and Neurodevelopment of Fetuses with Cytomegalovirus Infection. Diagnostics 2024, 14, 797. https://doi.org/10.3390/diagnostics14080797
Barkai G, Katorza E, Lassman S, Levinberg I, Hoffmann C, Bar-Yosef O. Association between White Matter T2 Hyper-Intense Signals in Fetal Brain Magnetic Resonance Imaging and Neurodevelopment of Fetuses with Cytomegalovirus Infection. Diagnostics. 2024; 14(8):797. https://doi.org/10.3390/diagnostics14080797
Chicago/Turabian StyleBarkai, Galia, Eldad Katorza, Simon Lassman, Itachi Levinberg, Chen Hoffmann, and Omer Bar-Yosef. 2024. "Association between White Matter T2 Hyper-Intense Signals in Fetal Brain Magnetic Resonance Imaging and Neurodevelopment of Fetuses with Cytomegalovirus Infection" Diagnostics 14, no. 8: 797. https://doi.org/10.3390/diagnostics14080797
APA StyleBarkai, G., Katorza, E., Lassman, S., Levinberg, I., Hoffmann, C., & Bar-Yosef, O. (2024). Association between White Matter T2 Hyper-Intense Signals in Fetal Brain Magnetic Resonance Imaging and Neurodevelopment of Fetuses with Cytomegalovirus Infection. Diagnostics, 14(8), 797. https://doi.org/10.3390/diagnostics14080797
