Specificities in the Structure of the Cartilage of Patients with Advanced Stages of Developmental Dysplasia of the Hip
Abstract
1. Introduction
2. Materials and Methods
2.1. Patients
2.2. Sample Acquisition and Processing
2.3. Histology and Immunohistochemistry
2.4. Micro-MRI Analysis of Cartilage
2.5. Statistical Analysis
3. Results
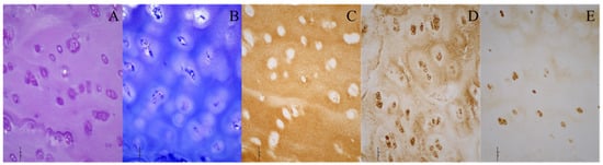
3.1. Microscopic Structure of the Osteochondral Unit
3.2. Assessment of the Progression of the Osteoarthritis of Cartilage
3.3. Immunohistochemical Analysis of Cartilage
3.4. Micro-MRI Analysis of Cartilage
4. Discussion
5. Conclusions
Author Contributions
Funding
Institutional Review Board Statement
Informed Consent Statement
Data Availability Statement
Conflicts of Interest
References
- Yang, S.; Zusman, N.; Lieberman, E.; Goldstein, R.Y. Developmental dysplasia of the hip. Pediatrics 2019, 143, e20181147. [Google Scholar] [CrossRef] [PubMed]
- Plečko, M.; Bohaček, I.; Duvančić, T.; Delimar, D. The neoacetabulum in developmental dysplasia of the hip is covered with hyaline cartilage. Med. Hypotheses 2020, 142, 109820. [Google Scholar] [CrossRef] [PubMed]
- Jawad, M.U.; Scully, S.P. In Brief: Crowe’s Classification: Arthroplasty in Developmental Dysplasia of the Hip. Clin. Orthop. Relat. Res. 2011, 469, 306–308. [Google Scholar] [CrossRef] [PubMed]
- Imabuchi, R.; Ohmiya, Y.; Joon Kwon, H.; Onodera, S.; Kitamura, N.; Kurokawa, T.; Ping Gong, J.; Yasuda, K. Gene expression profile of the cartilage tissue spontaneously regenerated in vivo by using a novel double-network gel: Comparisons with the normal articular cartilage. BMC Musculoskelet. Disord. 2011, 12, 213. [Google Scholar] [CrossRef] [PubMed]
- Vaca-González, J.J.; Guevara, J.M.; Moncayo, M.A.; Castro-Abril, H.; Hata, Y.; Garzón-Alvarado, D.A. Biophysical Stimuli: A Review of Electrical and Mechanical Stimulation in Hyaline Cartilage. Cartilage 2019, 10, 157. [Google Scholar] [CrossRef]
- Sophia Fox, A.J.; Bedi, A.; Rodeo, S.A. The basic science of articular cartilage: Structure, composition, and function. Sports Health 2009, 1, 461–468. [Google Scholar] [CrossRef] [PubMed]
- Mow, V.C.; Ateshian, G.A.; Spilker, R.L. Biomechanics of Diarthrodial Joints: A Review of Twenty Years of Progress. J. Biomech. Eng. 1993, 115, 460–467. [Google Scholar] [CrossRef] [PubMed]
- Jahr, H.; Matta, C.; Mobasheri, A. Physicochemical and Biomechanical Stimuli in Cell-Based Articular Cartilage Repair. Curr. Rheumatol. Rep. 2015, 17, 22. [Google Scholar] [CrossRef] [PubMed]
- Rim, Y.A.; Ju, J.H. The Role of Fibrosis in Osteoarthritis Progression. Life 2021, 11, 3. [Google Scholar] [CrossRef] [PubMed]
- Eames, B.F.; Schneider, R.A. The genesis of cartilage size and shape during development and evolution. Development 2008, 135, 3947. [Google Scholar] [CrossRef]
- Zhang, X.; Wu, S.; Naccarato, T.; Prakash-Damani, M.; Chou, Y.; Chu, C.Q.; Zhu, Y. Regeneration of hyaline-like cartilage in situ with SOX9 stimulation of bone marrow-derived mesenchymal stem cells. PLoS ONE 2017, 12, e0180138. [Google Scholar] [CrossRef] [PubMed]
- Delimar, D.; Bičanić, G.; Korzinek, K. Femoral shortening during hip arthroplasty through a modified lateral approach. Clin. Orthop. Relat. Res. 2008, 466, 1954–1958. [Google Scholar] [CrossRef] [PubMed]
- Wasielewski, R.C.; Cooperstein, L.A.; Kruger, M.P.; Rubash, H.E. Acetabular anatomy and the transacetabular fixation of screws in total hip arthroplasty. J. Bone Jt. Surg. Ser. A 1990, 72, 501–508. [Google Scholar] [CrossRef]
- Ilizaliturri, V.M.; Byrd, J.W.T.; Sampson, T.G.; Guanche, C.A.; Philippon, M.J.; Kelly, B.T.; Dienst, M.; Mardones, R.; Shonnard, P.; Larson, C.M. A Geographic Zone Method to Describe Intra-articular Pathology in Hip Arthroscopy: Cadaveric Study and Preliminary Report. Arthrosc. J. Arthrosc. Relat. Surg. 2008, 24, 534–539. [Google Scholar] [CrossRef] [PubMed]
- Pritzker, K.P.H.; Gay, S.; Jimenez, S.A.; Ostergaard, K.; Pelletier, J.P.; Revell, K.; Salter, D.; Van den Berg, W.B. Osteoarthritis cartilage histopathology: Grading and staging. Osteoarthr. Cartil. 2006, 14, 13–29. [Google Scholar] [CrossRef] [PubMed]
- Pullig, O.; Weseloh, G.; Swoboda, B. Expression of type VI collagen in normal and osteoarthritic human cartilage. Osteoarthr. Cartil. 1999, 7, 191–202. [Google Scholar] [CrossRef] [PubMed]
- Frazer, A.; Bunning, R.A.D.; Thavarajah, M.; Seid, J.M.; Russell, R.G.G. Studies on type II collagen and aggrecan production in human articular chondrocytes in vitro and effects of transforming growth factor-beta and interleukin-1beta. Osteoarthr. Cartil. 1994, 2, 235–245. [Google Scholar] [CrossRef] [PubMed]
- de Rezende, M.U.; de Campos, G.C. Is osteoarthritis a mechanical or inflammatory disease? Rev. Bras. Ortop. 2013, 48, 471–474. [Google Scholar] [CrossRef][Green Version]
- van Gool, S.A.; Emons, J.A.M.; Leijten, J.C.H.; Decker, E.; Sticht, C.; van Houwelingen, J.C.; Goeman, J.J.; Kleijburg, C.; Scherjon, S.A.; Gretz, N.; et al. Fetal Mesenchymal Stromal Cells Differentiating towards Chondrocytes Acquire a Gene Expression Profile Resembling Human Growth Plate Cartilage. PLoS ONE 2012, 7, e44561. [Google Scholar] [CrossRef][Green Version]
- Steadman, J.R.; Rodkey, W.G.; Rodrigo, J.J. Microfracture: Surgical technique and rehabilitation to treat chondral defects. Clin. Orthop. Relat. Res. 2001, 391, S362–S369. [Google Scholar] [CrossRef]
- Ravalli, S.; Szychlinska, M.A.; Lauretta, G.; Musumeci, G. New Insights on Mechanical Stimulation of Mesenchymal Stem Cells for Cartilage Regeneration. Appl. Sci. 2020, 10, 2927. [Google Scholar] [CrossRef]
- Bohaček, I.; Plečko, M.; Duvančić, T.; Smoljanović, T.; Vukasović Barišić, A.; Delimar, D. Current knowledge on the genetic background of developmental dysplasia of the hip and the histomorphological status of the cartilage. Croat. Med. J. 2020, 61, 260–270. [Google Scholar] [CrossRef] [PubMed]
- Da Silva, M.A.; Yamada, N.; Clarke, N.M.P.; Roach, H.I. Cellular and epigenetic features of a young healthy and a young osteoarthritic cartilage compared with aged control and OA cartilage. J. Orthop. Res. 2009, 27, 593–601. [Google Scholar] [CrossRef] [PubMed]
- Saarakkala, S.; Julkunen, P.; Kiviranta, P.; Mäkitalo, J.; Jurvelin, J.S.; Korhonen, R.K. Depth-wise progression of osteoarthritis in human articular cartilage: Investigation of composition, structure and biomechanics. Osteoarthr. Cartil. 2010, 18, 73–81. [Google Scholar] [CrossRef] [PubMed]
- Li, X.; Majumdar, S. Quantitative MRI of articular cartilage and its clinical applications. J. Magn. Reson. Imaging 2013, 38, 991–1008. [Google Scholar] [CrossRef] [PubMed]
- Mantripragada, V.P.; Gao, W.; Piuzzi, N.S.; Hoemann, C.D.; Muschler, G.F.; Midura, R.J. Comparative Assessment of Primary Osteoarthritis Progression Using Conventional Histopathology, Polarized Light Microscopy, and Immunohistochemistry. Cartilage 2020, 13, 1494S–1510S. [Google Scholar] [CrossRef] [PubMed]
- Aigner, T.; Reichenberger, E.; Bertling, W.; Kirsch, T.; Stöß, H.; von der Mark, K. Type X collagen expression in osteoarthritic and rheumatoid articular cartilage. Virchows. Arch. B Cell Pathol. Incl. Mol. Pathol. 1993, 63, 205–211. [Google Scholar] [CrossRef]
- Zhai, G. Clinical relevance of biochemical and metabolic changes in osteoarthritis. Adv. Clin. Chem. 2021, 101, 95–120. [Google Scholar] [PubMed]
- Donell, S. Subchondral bone remodelling in osteoarthritis. EFORT Open Rev. 2019, 4, 221–229. [Google Scholar] [CrossRef]
- Li, G.; Yin, J.; Gao, J.; Cheng, T.S.; Pavlos, N.J.; Zhang, C.; Zheng, M.H. Subchondral bone in osteoarthritis: Insight into risk factors and microstructural changes. Arthritis Res. Ther. 2013, 15, 223. [Google Scholar] [CrossRef]
- He, Y.; Manon-Jensen, T.; Arendt-Nielsen, L.; Petersen, K.K.; Christiansen, T.; Samuels, J.; Abramson, S.; Karsdal, M.A.; Attur, M.; Bay-Jensen, A.C. Potential diagnostic value of a type X collagen neo-epitope biomarker for knee osteoarthritis. Osteoarthr. Cartil. 2019, 27, 611–620. [Google Scholar] [CrossRef] [PubMed]
- Berenbaum, F. Osteoarthritis as an inflammatory disease (osteoarthritis is not osteoarthrosis!). Osteoarthr. Cartil. 2013, 21, 16–21. [Google Scholar] [CrossRef] [PubMed]
- Chow, Y.Y.; Chin, K.Y. The Role of Inflammation in the Pathogenesis of Osteoarthritis. Mediat. Inflamm. 2020, 2020, 8293921. [Google Scholar] [CrossRef] [PubMed]
- van den Bosch, M.H.J. Inflammation in osteoarthritis: Is it time to dampen the alarm(in) in this debilitating disease? Clin. Exp. Immunol. 2019, 195, 153–166. [Google Scholar] [CrossRef]
- Harris-Hayes, M.; Royer, N.K. The Relationship of Acetabular Dysplasia and Femoroacetabular Impingement to Hip Osteoarthritis: A Focused Review. PM&R 2011, 3, 1055. [Google Scholar] [CrossRef]






| Orientation | Longitudinal/Saggital |
|---|---|
| FOV | 15 × 12 × 5 mm |
| In-plane resolution | 120 × 120 μm |
| Number of slices | 13 |
| Slice thickness/gap | 300 μm/100 μm |
| Sequence type | RARE-VTR sequence with 6 T1 experiments |
| TR/TE | 350, 650, 1000, 1700, 2800, 4000 ms/6 ms |
| Echo spacing | 6 ms |
| RAREf factor | 2 |
| Navg | 10 |
| BW | 70,000 Hz |
| Scan time | 1 h 28 min |
| DDH A | DDH NA | OA A | Fx A | DDH NWB | DDH WB | OA F | Fx F | |
|---|---|---|---|---|---|---|---|---|
| OARSI grade | 4.3 ± 2.09 | 5.2 ± 1.98 | 4.2 ± 1.56 | 2.0 ± 0.68 | 2.6 ± 1.70 | 5.0 ± 1.70 | 3.2 ± 1.84 | 1.2 ± 0.36 |
| Anatomical Region | Collagen Type II | Collagen Type VI | Aggrecan |
|---|---|---|---|
| DDH A | 8.36 ± 5.25 | 8.90 ± 3.46 | 4.81 ± 3.96 |
| DDH NA | 5.21 ± 4.52 | 7.41 ± 4.41 | 3.87 ± 3.35 |
| OA A | 8.19 ± 3.56 | 6.59 ± 4.01 | 3.73 ± 3.15 |
| Fx A | 11.03 ± 3.91 | 4.33 ± 1.95 | 9.61 ± 5.16 |
| DDH NWB | 7.71 ± 3.74 | 7.84 ± 4.41 | 5.54 ± 5.06 |
| DDH WB | 6.00 ± 4.66 | 8.04 ± 5.00 | 3.15 ± 2.61 |
| OA F | 8.75 ± 4.16 | 5.42 ± 2.78 | 2.92 ± 1.99 |
| Fx F | 11.51 ± 3.99 | 3.04 ± 1.23 | 4.94 ± 2.64 |
| Anatomical Region | T1preGd/ms | T1postGd/ms | ΔR/ms−1 |
|---|---|---|---|
| DDH A | 1823.87 ± 204.12 | 615.64 ± 89.16 | 1.10 × 10−3 ± 2.67 × 10−4 |
| DDH NA | 1706.73 ± 322.61 | 583.04 ± 140.60 | 1.26 × 10−3 ± 6.56 × 10−4 |
| OA A | 1634.37 ± 157.78 | 641.65 ± 142.76 | 1.17 × 10−3 ± 1.04 × 10−3 |
| Fx A | 1464.61 ± 72.55 | 718.35 ± 25.69 | 7.01 × 10−4 ± 5.41 × 10−5 |
| DDH NWB | 1651.39 ± 217.34 | 643.33 ± 96.87 | 9.76 × 10−4 ± 2.75 × 10−4 |
| DDH WB | 1625.76 ± 265.37 | 596.01 ± 162.16 | 1.29 × 10−3 ± 1.02 × 10−3 |
| OA F | 1625.85 ± 260.06 | 686.59 ± 91.36 | 8.58 × 10−4 ± 2.68 × 10−4 |
| Fx F | 1432.54 ± 79.19 | 754.88 ± 72.95 | 6.37 × 10−4 ± 1.16 × 10−4 |
Disclaimer/Publisher’s Note: The statements, opinions and data contained in all publications are solely those of the individual author(s) and contributor(s) and not of MDPI and/or the editor(s). MDPI and/or the editor(s) disclaim responsibility for any injury to people or property resulting from any ideas, methods, instructions or products referred to in the content. |
© 2024 by the authors. Licensee MDPI, Basel, Switzerland. This article is an open access article distributed under the terms and conditions of the Creative Commons Attribution (CC BY) license (https://creativecommons.org/licenses/by/4.0/).
Share and Cite
Duvančić, T.; Vukasović Barišić, A.; Čizmić, A.; Plečko, M.; Bohaček, I.; Delimar, D. Specificities in the Structure of the Cartilage of Patients with Advanced Stages of Developmental Dysplasia of the Hip. Diagnostics 2024, 14, 779. https://doi.org/10.3390/diagnostics14070779
Duvančić T, Vukasović Barišić A, Čizmić A, Plečko M, Bohaček I, Delimar D. Specificities in the Structure of the Cartilage of Patients with Advanced Stages of Developmental Dysplasia of the Hip. Diagnostics. 2024; 14(7):779. https://doi.org/10.3390/diagnostics14070779
Chicago/Turabian StyleDuvančić, Tea, Andreja Vukasović Barišić, Ana Čizmić, Mihovil Plečko, Ivan Bohaček, and Domagoj Delimar. 2024. "Specificities in the Structure of the Cartilage of Patients with Advanced Stages of Developmental Dysplasia of the Hip" Diagnostics 14, no. 7: 779. https://doi.org/10.3390/diagnostics14070779
APA StyleDuvančić, T., Vukasović Barišić, A., Čizmić, A., Plečko, M., Bohaček, I., & Delimar, D. (2024). Specificities in the Structure of the Cartilage of Patients with Advanced Stages of Developmental Dysplasia of the Hip. Diagnostics, 14(7), 779. https://doi.org/10.3390/diagnostics14070779

