Imaging Considerations before and after Liver-Directed Locoregional Treatments for Metastatic Colorectal Cancer
Abstract
1. Introduction
2. Baseline Imaging Prior to Locoregional Treatment
3. Post-Treatment Imaging and Response Criteria
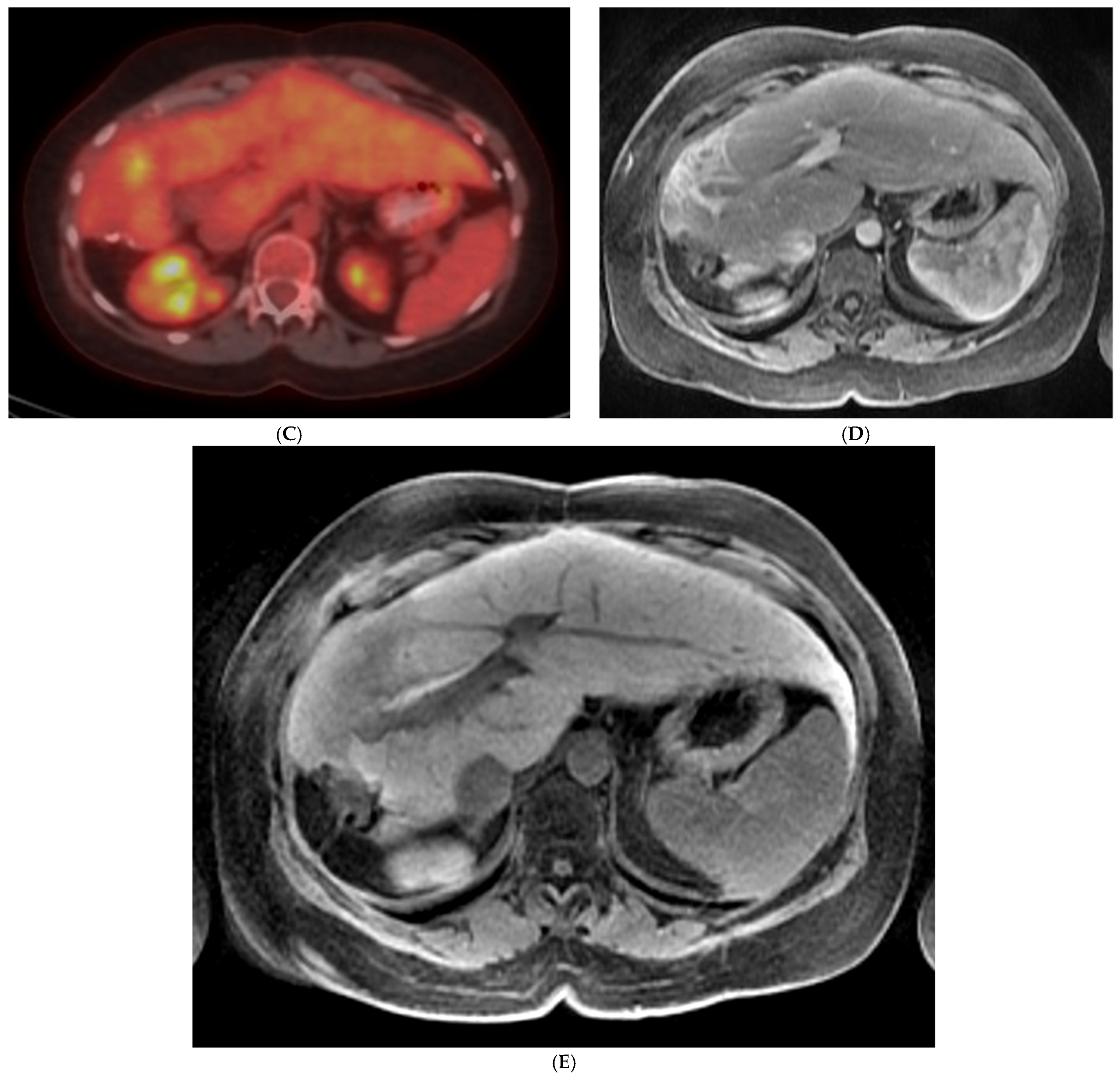
4. Image-Guided Percutaneous Ablation
5. Yttrium-90 Transarterial Radioembolization
6. Stereotactic Body Radiation Therapy (SBRT)
7. Conclusions
Author Contributions
Funding
Institutional Review Board Statement
Informed Consent Statement
Data Availability Statement
Conflicts of Interest
References
- Siegel, R.L.; Wagle, N.S.; Cercek, A.; Smith, R.A.; Jemal, A. Colorectal Cancer Statistics, 2023. CA Cancer J. Clin. 2023, 73, 233–254. [Google Scholar] [CrossRef]
- Bailey, C.E.; Hu, C.-Y.; You, Y.N.; Bednarski, B.K.; Rodriguez-Bigas, M.A.; Skibber, J.M.; Cantor, S.B.; Chang, G.J. Increasing Disparities in the Age-Related Incidences of Colon and Rectal Cancers in the United States, 1975–2010. JAMA Surg. 2015, 150, 17. [Google Scholar] [CrossRef] [PubMed]
- Hackl, C.; Neumann, P.; Gerken, M.; Loss, M.; Klinkhammer-Schalke, M.; Schlitt, H.J. Treatment of Colorectal Liver Metastases in Germany: A Ten-Year Population-Based Analysis of 5772 Cases of Primary Colorectal Adenocarcinoma. BMC Cancer 2014, 14, 810. [Google Scholar] [CrossRef] [PubMed]
- Helling, T.S.; Martin, M. Cause of Death from Liver Metastases in Colorectal Cancer. Ann. Surg. Oncol. 2014, 21, 501–506. [Google Scholar] [CrossRef]
- Meijerink, M.R.; Puijk, R.S.; van Tilborg, A.A.J.M.; Henningsen, K.H.; Fernandez, L.G.; Neyt, M.; Heymans, J.; Frankema, J.S.; de Jong, K.P.; Richel, D.J.; et al. Radiofrequency and Microwave Ablation Compared to Systemic Chemotherapy and to Partial Hepatectomy in the Treatment of Colorectal Liver Metastases: A Systematic Review and Meta-Analysis. Cardiovasc. Interv. Radiol. 2018, 41, 1189–1204. [Google Scholar] [CrossRef]
- Abdalla, E.K.; Vauthey, J.-N.; Ellis, L.M.; Ellis, V.; Pollock, R.; Broglio, K.R.; Hess, K.; Curley, S.A. Recurrence and Outcomes Following Hepatic Resection, Radiofrequency Ablation, and Combined Resection/Ablation for Colorectal Liver Metastases. Ann. Surg. 2004, 239, 818–827. [Google Scholar] [CrossRef] [PubMed]
- Shady, W.; Petre, E.N.; Gonen, M.; Erinjeri, J.P.; Brown, K.T.; Covey, A.M.; Alago, W.; Durack, J.C.; Maybody, M.; Brody, L.A.; et al. Percutaneous Radiofrequency Ablation of Colorectal Cancer Liver Metastases: Factors Affecting Outcomes—A 10-Year Experience at a Single Center. Radiology 2016, 278, 601–611. [Google Scholar] [CrossRef]
- National Comprehensive Cancer Network. Colon Cancer Version 1. 2024. Available online: https://www.Nccn.Org/Professionals/Physician_gls/Pdf/Colon.Pdf (accessed on 1 February 2024).
- Boas, F.E.; Bodei, L.; Sofocleous, C.T. Radioembolization of Colorectal Liver Metastases: Indications, Technique, and Outcomes. J. Nucl. Med. 2017, 58, 104S–111S. [Google Scholar] [CrossRef]
- Vasiniotis Kamarinos, N.; Gonen, M.; Sotirchos, V.; Kaye, E.; Petre, E.N.; Solomon, S.B.; Erinjeri, J.P.; Ziv, E.; Kirov, A.; Sofocleous, C.T. 3D Margin Assessment Predicts Local Tumor Progression after Ablation of Colorectal Cancer Liver Metastases. Int. J. Hyperth. 2022, 39, 880–887. [Google Scholar] [CrossRef]
- Navin, P.J.; Olson, M.C.; Mendiratta-Lala, M.; Hallemeier, C.L.; Torbenson, M.S.; Venkatesh, S.K. Imaging Features in the Liver after Stereotactic Body Radiation Therapy. RadioGraphics 2022, 42, 2131–2148. [Google Scholar] [CrossRef]
- Mauri, G.; Gennaro, N.; De Beni, S.; Ierace, T.; Goldberg, S.N.; Rodari, M.; Solbiati, L.A. Real-Time US-18FDG-PET/CT Image Fusion for Guidance of Thermal Ablation of 18FDG-PET-Positive Liver Metastases: The Added Value of Contrast Enhancement. Cardiovasc. Interv. Radiol. 2019, 42, 60–68. [Google Scholar] [CrossRef] [PubMed]
- Cornelis, F.; Storchios, V.; Violari, E.; Sofocleous, C.T.; Schoder, H.; Durack, J.C.; Siegelbaum, R.H.; Maybody, M.; Humm, J.; Solomon, S.B. 18F-FDG PET/CT Is an Immediate Imaging Biomarker of Treatment Success after Liver Metastasis Ablation. J. Nucl. Med. 2016, 57, 1052–1057. [Google Scholar] [CrossRef] [PubMed]
- Pawlik, T.M.; Olino, K.; Gleisner, A.L.; Torbenson, M.; Schulick, R.; Choti, M.A. Preoperative Chemotherapy for Colorectal Liver Metastases: Impact on Hepatic Histology and Postoperative Outcome. J. Gastrointest. Surg. 2007, 11, 860–868. [Google Scholar] [CrossRef] [PubMed]
- Tani, K.; Shindoh, J.; Akamatsu, N.; Arita, J.; Kaneko, J.; Sakamoto, Y.; Hasegawa, K.; Kokudo, N. Management of Disappearing Lesions after Chemotherapy for Colorectal Liver Metastases: Relation between Detectability and Residual Tumors. J. Surg. Oncol. 2018, 117, 191–197. [Google Scholar] [CrossRef] [PubMed]
- Schullian, P.; Johnston, E.W.; Putzer, D.; Laimer, G.; Waroschitz, G.; Braunwarth, E.; Amann, A.; Maglione, M.; Bale, R. Stereotactic Radiofrequency Ablation (SRFA) for Recurrent Colorectal Liver Metastases after Hepatic Resection. Eur. J. Surg. Oncol. 2021, 47, 866–873. [Google Scholar] [CrossRef] [PubMed]
- Sotirchos, V.S.; Petre, E.N.; Sofocleous, C.T. Percutaneous Image-guided Ablation for Hepatic Metastases. J. Med. Imaging Radiat. Oncol. 2023, 67, 832–841. [Google Scholar] [CrossRef] [PubMed]
- Floriani, I.; Torri, V.; Rulli, E.; Garavaglia, D.; Compagnoni, A.; Salvolini, L.; Giovagnoni, A. Performance of Imaging Modalities in Diagnosis of Liver Metastases from Colorectal Cancer: A Systematic Review and Meta-analysis. J. Magn. Reson. Imaging 2010, 31, 19–31. [Google Scholar] [CrossRef] [PubMed]
- Niekel, M.C.; Bipat, S.; Stoker, J. Diagnostic Imaging of Colorectal Liver Metastases with CT, MR Imaging, FDG PET, and/or FDG PET/CT: A Meta-Analysis of Prospective Studies Including Patients Who Have Not Previously Undergone Treatment. Radiology 2010, 257, 674–684. [Google Scholar] [CrossRef]
- Rojas Llimpe, F.L.; Di Fabio, F.; Ercolani, G.; Giampalma, E.; Cappelli, A.; Serra, C.; Castellucci, P.; D’Errico, A.; Golfieri, R.; Pinna, A.D.; et al. Imaging in Resectable Colorectal Liver Metastasis Patients with or without Preoperative Chemotherapy: Results of the PROMETEO-01 Study. Br. J. Cancer 2014, 111, 667–673. [Google Scholar] [CrossRef]
- Xu, L.-H. Imaging Diagnosis of Colorectal Liver Metastases. World J. Gastroenterol. 2011, 17, 4654. [Google Scholar] [CrossRef]
- Tsili, A.C.; Alexiou, G.; Naka, C.; Argyropoulou, M.I. Imaging of Colorectal Cancer Liver Metastases Using Contrast-Enhanced US, Multidetector CT, MRI, and FDG PET/CT: A Meta-Analysis. Acta Radiol. 2021, 62, 302–312. [Google Scholar] [CrossRef] [PubMed]
- Coenegrachts, K.; Delanote, J.; Ter Beek, L.; Haspeslagh, M.; Bipat, S.; Stoker, J.; Van Kerkhove, F.; Steyaert, L.; Rigauts, H.; Casselman, J.W. Improved Focal Liver Lesion Detection: Comparison of Single-Shot Diffusion-Weighted Echoplanar and Single-Shot T2 Weighted Turbo Spin Echo Techniques. Br. J. Radiol. 2007, 80, 524–531. [Google Scholar] [CrossRef] [PubMed]
- Ringe, K.I.; Husarik, D.B.; Sirlin, C.B.; Merkle, E.M. Gadoxetate Disodium–Enhanced MRI of the Liver: Part 1, Protocol Optimization and Lesion Appearance in the Noncirrhotic Liver. Am. J. Roentgenol. 2010, 195, 13–28. [Google Scholar] [CrossRef] [PubMed]
- Patel, S.; Cheek, S.; Osman, H.; Jeyarajah, D.R. MRI with Gadoxetate Disodium for Colorectal Liver Metastasis: Is It the New “Imaging Modality of Choice”? J. Gastrointest. Surg. 2014, 18, 2130–2135. [Google Scholar] [CrossRef] [PubMed]
- Sobeh, T.; Inbar, Y.; Apter, S.; Soffer, S.; Anteby, R.; Kraus, M.; Konen, E.; Klang, E. Diffusion-Weighted MRI for Predicting and Assessing Treatment Response of Liver Metastases from CRC—A Systematic Review and Meta-Analysis. Eur. J. Radiol. 2023, 163, 110810. [Google Scholar] [CrossRef] [PubMed]
- Qiu, Q.-S.; Zhu, K.; Wang, J.-H.; Chen, X.-S.; Wang, W.-T.; Dong, S.-Y.; Sun, W.; Rao, S.-X. Diagnostic Performance of Contrast Enhanced CT Alone or in Combination with (Non-)Enhanced MRI for Colorectal Liver Metastasis. Acad. Radiol. 2023, 30, 1856–1865. [Google Scholar] [CrossRef] [PubMed]
- Vreugdenburg, T.D.; Ma, N.; Duncan, J.K.; Riitano, D.; Cameron, A.L.; Maddern, G.J. Comparative Diagnostic Accuracy of Hepatocyte-Specific Gadoxetic Acid (Gd-EOB-DTPA) Enhanced MR Imaging and Contrast Enhanced CT for the Detection of Liver Metastases: A Systematic Review and Meta-Analysis. Int. J. Color. Dis. 2016, 31, 1739–1749. [Google Scholar] [CrossRef] [PubMed]
- Görgec, B.; Hansen, I.S.; Kemmerich, G.; Syversveen, T.; Abu Hilal, M.; Belt, E.J.T.; Bosscha, K.; Burgmans, M.C.; Cappendijk, V.C.; D’Hondt, M.; et al. MRI in Addition to CT in Patients Scheduled for Local Therapy of Colorectal Liver Metastases (CAMINO): An International, Multicentre, Prospective, Diagnostic Accuracy Trial. Lancet Oncol. 2024, 25, 137–146. [Google Scholar] [CrossRef] [PubMed]
- Schnitzer, M.L.; Buchner, J.; Biechele, G.; Grawe, F.; Ingenerf, M.; von Münchhausen, N.; Kaiser, C.G.; Kunz, W.G.; Froelich, M.F.; Schmid-Tannwald, C.; et al. Economic Evaluation of 18F-FDG PET/CT, MRI and CE-CT in Selection of Colorectal Liver Metastases Eligible for Ablation—A Cost-Effectiveness Analysis. Eur. J. Radiol. 2023, 163, 110803. [Google Scholar] [CrossRef]
- Choi, S.H.; Kim, S.Y.; Park, S.H.; Kim, K.W.; Lee, J.Y.; Lee, S.S.; Lee, M. Diagnostic Performance of CT, Gadoxetate Disodium-enhanced MRI, and PET/CT for the Diagnosis of Colorectal Liver Metastasis: Systematic Review and Meta-analysis. J. Magn. Reson. Imaging 2018, 47, 1237–1250. [Google Scholar] [CrossRef]
- Maffione, A.M.; Lopci, E.; Bluemel, C.; Giammarile, F.; Herrmann, K.; Rubello, D. Diagnostic Accuracy and Impact on Management of 18F-FDG PET and PET/CT in Colorectal Liver Metastasis: A Meta-Analysis and Systematic Review. Eur. J. Nucl. Med. Mol. Imaging 2015, 42, 152–163. [Google Scholar] [CrossRef] [PubMed]
- Sahani, D.V.; Kalva, S.P.; Fischman, A.J.; Kadavigere, R.; Blake, M.; Hahn, P.F.; Saini, S. Detection of Liver Metastases from Adenocarcinoma of the Colon and Pancreas: Comparison of Mangafodipir Trisodium–Enhanced Liver MRI and Whole-Body FDG PET. Am. J. Roentgenol. 2005, 185, 239–246. [Google Scholar] [CrossRef] [PubMed]
- Ruers, T.J.M.; Langenhoff, B.S.; Neeleman, N.; Jager, G.J.; Strijk, S.; Wobbes, T.; Corstens, F.H.M.; Oyen, W.J.G. Value of Positron Emission Tomography with [F-18]Fluorodeoxyglucose in Patients with Colorectal Liver Metastases: A Prospective Study. J. Clin. Oncol. 2002, 20, 388–395. [Google Scholar] [CrossRef] [PubMed]
- Van Kessel, C.S.; Buckens, C.F.M.; van den Bosch, M.A.A.J.; van Leeuwen, M.S.; van Hillegersberg, R.; Verkooijen, H.M. Preoperative Imaging of Colorectal Liver Metastases after Neoadjuvant Chemotherapy: A Meta-Analysis. Ann. Surg. Oncol. 2012, 19, 2805–2813. [Google Scholar] [CrossRef] [PubMed]
- Eisenhauer, E.A.; Therasse, P.; Bogaerts, J.; Schwartz, L.H.; Sargent, D.; Ford, R.; Dancey, J.; Arbuck, S.; Gwyther, S.; Mooney, M.; et al. New Response Evaluation Criteria in Solid Tumours: Revised RECIST Guideline (Version 1.1). Eur. J. Cancer 2009, 45, 228–247. [Google Scholar] [CrossRef]
- Chung, W.-S.; Park, M.-S.; Shin, S.J.; Baek, S.-E.; Kim, Y.-E.; Choi, J.Y.; Kim, M.-J. Response Evaluation in Patients with Colorectal Liver Metastases: RECIST Version 1.1 Versus Modified CT Criteria. Am. J. Roentgenol. 2012, 199, 809–815. [Google Scholar] [CrossRef] [PubMed]
- Choi, H.; Charnsangavej, C.; Faria, S.C.; Macapinlac, H.A.; Burgess, M.A.; Patel, S.R.; Chen, L.L.; Podoloff, D.A.; Benjamin, R.S. Correlation of Computed Tomography and Positron Emission Tomography in Patients with Metastatic Gastrointestinal Stromal Tumor Treated at a Single Institution With Imatinib Mesylate: Proposal of New Computed Tomography Response Criteria. J. Clin. Oncol. 2007, 25, 1753–1759. [Google Scholar] [CrossRef]
- Janne d’Othée, B.; Sofocleous, C.T.; Hanna, N.; Lewandowski, R.J.; Soulen, M.C.; Vauthey, J.-N.; Cohen, S.J.; Venook, A.P.; Johnson, M.S.; Kennedy, A.S.; et al. Development of a Research Agenda for the Management of Metastatic Colorectal Cancer: Proceedings from a Multidisciplinary Research Consensus Panel. J. Vasc. Interv. Radiol. 2012, 23, 153–163. [Google Scholar] [CrossRef]
- Szyszko, T.; AL-Nahhas, A.; Canelo, R.; Habib, N.; Jiao, L.; Wasan, H.; Pagou, M.; Tait, P. Assessment of Response to Treatment of Unresectable Liver Tumours with 90Y Microspheres: Value of FDG PET versus Computed Tomography. Nucl. Med. Commun. 2007, 28, 15–20. [Google Scholar] [CrossRef]
- Lastoria, S.; Piccirillo, M.C.; Caracò, C.; Nasti, G.; Aloj, L.; Arrichiello, C.; de Lutio di Castelguidone, E.; Tatangelo, F.; Ottaiano, A.; Iaffaioli, R.V.; et al. Early PET/CT Scan Is More Effective Than RECIST in Predicting Outcome of Patients with Liver Metastases from Colorectal Cancer Treated with Preoperative Chemotherapy Plus Bevacizumab. J. Nucl. Med. 2013, 54, 2062–2069. [Google Scholar] [CrossRef][Green Version]
- Bijlstra, O.D.; Boreel, M.M.E.; van Mossel, S.; Burgmans, M.C.; Kapiteijn, E.H.W.; Oprea-Lager, D.E.; Rietbergen, D.D.D.; van Velden, F.H.P.; Vahrmeijer, A.L.; Swijnenburg, R.-J.; et al. The Value of 18F-FDG-PET-CT Imaging in Treatment Evaluation of Colorectal Liver Metastases: A Systematic Review. Diagnostics 2022, 12, 715. [Google Scholar] [CrossRef] [PubMed]
- Young, H.; Baum, R.; Cremerius, U.; Herholz, K.; Hoekstra, O.; Lammertsma, A.A.; Pruim, J.; Price, P. Measurement of Clinical and Subclinical Tumour Response Using [18F]-Fluorodeoxyglucose and Positron Emission Tomography: Review and 1999 EORTC Recommendations. Eur. J. Cancer 1999, 35, 1773–1782. [Google Scholar] [CrossRef]
- Wahl, R.L.; Jacene, H.; Kasamon, Y.; Lodge, M.A. From RECIST to PERCIST: Evolving Considerations for PET Response Criteria in Solid Tumors. J. Nucl. Med. 2009, 50, 122S–150S. [Google Scholar] [CrossRef]
- Filippiadis, D.K.; Velonakis, G.; Kelekis, A.; Sofocleous, C.T. The Role of Percutaneous Ablation in the Management of Colorectal Cancer Liver Metastatic Disease. Diagnostics 2021, 11, 308. [Google Scholar] [CrossRef] [PubMed]
- Tsitskari, M. The Role of Interventional Oncology in the Treatment of Colorectal Cancer Liver Metastases. Ann. Gastroenterol. 2019, 32, 1–9. [Google Scholar] [CrossRef]
- Hong, K.; Georgiades, C. Radiofrequency Ablation: Mechanism of Action and Devices. J. Vasc. Interv. Radiol. 2010, 21, S179–S186. [Google Scholar] [CrossRef]
- Gravante, G.; Ong, S.L.; Metcalfe, M.S.; Strickland, A.; Dennison, A.R.; Lloyd, D.M. Hepatic Microwave Ablation: A Review of the Histological Changes Following Thermal Damage. Liver Int. 2008, 28, 911–921. [Google Scholar] [CrossRef] [PubMed]
- Poulou, L.S. Percutaneous Microwave Ablation vs. Radiofrequency Ablation in the Treatment of Hepatocellular Carcinoma. World J. Hepatol. 2015, 7, 1054. [Google Scholar] [CrossRef]
- Wolf, F.; Dupuy, D.E. Microwave Ablation: Mechanism of Action and Devices. In Percutaneous Tumor Ablation: Strategies and Techniques; Hong, K., Georgiades, C.S., Eds.; Thieme: Stuttgart, Germany, 2011; pp. 27–43. [Google Scholar]
- Georgiades, C.S.; Marx, J.K. Cryoablation: Mechanism of Action and Devices. In Percutaneous Tumor Ablation: Strategies and Techniques; Hong, K., Georgiades, C.S., Eds.; Thieme: Stuttgart, Germany, 2011; pp. 15–26. [Google Scholar]
- Khanmohammadi, S.; Behnoush, A.H.; Akhlaghpoor, S. Survival Outcomes and Quality of Life after Percutaneous Cryoablation for Liver Metastasis: A Systematic Review and Meta-Analysis. PLoS ONE 2023, 18, e0289975. [Google Scholar] [CrossRef]
- Di Martino, M.; Rompianesi, G.; Mora-Guzmán, I.; Martín-Pérez, E.; Montalti, R.; Troisi, R.I. Systematic Review and Meta-Analysis of Local Ablative Therapies for Resectable Colorectal Liver Metastases. Eur. J. Surg. Oncol. 2020, 46, 772–781. [Google Scholar] [CrossRef]
- Xu, Z.; Hall, T.L.; Vlaisavljevich, E.; Lee, F.T. Histotripsy: The First Noninvasive, Non-Ionizing, Non-Thermal Ablation Technique Based on Ultrasound. Int. J. Hyperth. 2021, 38, 561–575. [Google Scholar] [CrossRef] [PubMed]
- Elsayed, M.; Solomon, S.B. Interventional Oncology: 2043 and Beyond. Radiology 2023, 308, e230139. [Google Scholar] [CrossRef] [PubMed]
- Campana, L.G.; Daud, A.; Lancellotti, F.; Arroyo, J.P.; Davalos, R.V.; Di Prata, C.; Gehl, J. Pulsed Electric Fields in Oncology: A Snapshot of Current Clinical Practices and Research Directions from the 4th World Congress of Electroporation. Cancers 2023, 15, 3340. [Google Scholar] [CrossRef] [PubMed]
- Calandri, M.; Yamashita, S.; Gazzera, C.; Fonio, P.; Veltri, A.; Bustreo, S.; Sheth, R.A.; Yevich, S.M.; Vauthey, J.-N.; Odisio, B.C. Ablation of Colorectal Liver Metastasis: Interaction of Ablation Margins and RAS Mutation Profiling on Local Tumour Progression-Free Survival. Eur. Radiol. 2018, 28, 2727–2734. [Google Scholar] [CrossRef]
- Han, K.; Kim, J.H.; Yang, S.G.; Park, S.H.; Choi, H.-K.; Chun, S.-Y.; Kim, P.N.; Park, J.; Lee, M. A Single-Center Retrospective Analysis of Periprocedural Variables Affecting Local Tumor Progression after Radiofrequency Ablation of Colorectal Cancer Liver Metastases. Radiology 2021, 298, 212–218. [Google Scholar] [CrossRef] [PubMed]
- Kurilova, I.; Bendet, A.; Petre, E.N.; Boas, F.E.; Kaye, E.; Gonen, M.; Covey, A.; Brody, L.A.; Brown, K.T.; Kemeny, N.E.; et al. Factors Associated with Local Tumor Control and Complications after Thermal Ablation of Colorectal Cancer Liver Metastases: A 15-Year Retrospective Cohort Study. Clin. Colorectal Cancer 2021, 20, e82–e95. [Google Scholar] [CrossRef] [PubMed]
- Shady, W.; Petre, E.N.; Vakiani, E.; Ziv, E.; Gonen, M.; Brown, K.T.; Kemeny, N.E.; Solomon, S.B.; Solit, D.B.; Sofocleous, C.T. Kras Mutation Is a Marker of Worse Oncologic Outcomes after Percutaneous Radiofrequency Ablation of Colorectal Liver Metastases. Oncotarget 2017, 8, 66117–66127. [Google Scholar] [CrossRef] [PubMed]
- Ahmed, M.; Solbiati, L.; Brace, C.L.; Breen, D.J.; Callstrom, M.R.; Charboneau, J.W.; Chen, M.-H.; Choi, B.I.; de Baère, T.; Dodd, G.D.; et al. Image-Guided Tumor Ablation: Standardization of Terminology and Reporting Criteria—A 10-Year Update. J. Vasc. Interv. Radiol. 2014, 25, 1691–1705.e4. [Google Scholar] [CrossRef]
- Chlorogiannis, D.-D.; Sotirchos, V.S.; Georgiades, C.; Filippiadis, D.; Arellano, R.S.; Gonen, M.; Makris, G.C.; Garg, T.; Sofocleous, C.T. The Importance of Optimal Thermal Ablation Margins in Colorectal Liver Metastases: A Systematic Review and Meta-Analysis of 21 Studies. Cancers 2023, 15, 5806. [Google Scholar] [CrossRef]
- Tirumani, S.H.; Kim, K.W.; Nishino, M.; Howard, S.A.; Krajewski, K.M.; Jagannathan, J.P.; Cleary, J.M.; Ramaiya, N.H.; Shinagare, A.B. Update on the Role of Imaging in Management of Metastatic Colorectal Cancer. RadioGraphics 2014, 34, 1908–1928. [Google Scholar] [CrossRef]
- Kim, Y.; Rhim, H.; Lim, H.K.; Choi, D.; Lee, M.W.; Park, M.J. Coagulation Necrosis Induced by Radiofrequency Ablation in the Liver: Histopathologic and Radiologic Review of Usual to Extremely Rare Changes. RadioGraphics 2011, 31, 377–390. [Google Scholar] [CrossRef] [PubMed]
- Goldberg, S.N.; Grassi, C.J.; Cardella, J.F.; Charboneau, J.W.; Dodd, G.D.; Dupuy, D.E.; Gervais, D.A.; Gillams, A.R.; Kane, R.A.; Lee, F.T.; et al. Image-Guided Tumor Ablation: Standardization of Terminology and Reporting Criteria. J. Vasc. Interv. Radiol. 2009, 20, S377–S390. [Google Scholar] [CrossRef]
- Forner, A.; Ayuso, C.; Varela, M.; Rimola, J.; Hessheimer, A.J.; de Lope, C.R.; Reig, M.; Bianchi, L.; Llovet, J.M.; Bruix, J. Evaluation of Tumor Response after Locoregional Therapies in Hepatocellular Carcinoma. Cancer 2009, 115, 616–623. [Google Scholar] [CrossRef] [PubMed]
- Brace, C.L.; Diaz, T.A.; Hinshaw, J.L.; Lee, F.T. Tissue Contraction Caused by Radiofrequency and Microwave Ablation: A Laboratory Study in Liver and Lung. J. Vasc. Interv. Radiol. 2010, 21, 1280–1286. [Google Scholar] [CrossRef] [PubMed]
- Lin, Y.-M.; Paolucci, I.; Albuquerque Marques Silva, J.; O’Connor, C.S.; Hong, J.; Shah, K.Y.; Abdelsalam, M.E.; Habibollahi, P.; Jones, K.A.; Brock, K.K.; et al. Ablative Margin Quantification Using Deformable versus Rigid Image Registration in Colorectal Liver Metastasis Thermal Ablation: A Retrospective Single-Center Study. Eur. Radiol. 2024; online ahead of print. [Google Scholar] [CrossRef]
- Lin, Y.-M.; Paolucci, I.; Albuquerque Marques Silva, J.; O’Connor, C.S.; Fellman, B.M.; Jones, A.K.; Kuban, J.D.; Huang, S.Y.; Metwalli, Z.A.; Brock, K.K.; et al. Intraprocedural Versus Initial Follow-up Minimal Ablative Margin Assessment after Colorectal Liver Metastasis Thermal Ablation. Invest. Radiol. 2023, 54, 314–319. [Google Scholar] [CrossRef] [PubMed]
- Zirakchian Zadeh, M.; Sotirchos, V.S.; Kirov, A.; Lafontaine, D.; Gönen, M.; Yeh, R.; Kunin, H.; Petre, E.N.; Kitsel, Y.; Elsayed, M.; et al. Three-Dimensional Margin as a Predictor of Local Tumor Progression after Microwave Ablation: Intraprocedural versus 4–8-Week Postablation Assessment. J. Vasc. Interv. Radiol. 2024, 35, 523–532.E1. [Google Scholar] [CrossRef] [PubMed]
- Cornelis, F.H.; Petre, E.N.; Vakiani, E.; Klimstra, D.; Durack, J.C.; Gonen, M.; Osborne, J.; Solomon, S.B.; Sofocleous, C.T. Immediate Postablation 18F-FDG Injection and Corresponding SUV Are Surrogate Biomarkers of Local Tumor Progression after Thermal Ablation of Colorectal Carcinoma Liver Metastases. J. Nucl. Med. 2018, 59, 1360–1365. [Google Scholar] [CrossRef]
- Zirakchian Zadeh, M.; Yeh, R.; Kunin, H.S.; Kirov, A.S.; Petre, E.N.; Gönen, M.; Silk, M.; Cornelis, F.H.; Soares, K.C.; Ziv, E.; et al. Real-Time Split-Dose PET/CT-Guided Ablation Improves Colorectal Liver Metastasis Detection and Ablation Zone Margin Assessments without the Need for Repeated Contrast Injection. Cancers 2022, 14, 6253. [Google Scholar] [CrossRef]
- Shyn, P.B.; Cubre, A.J.; Catalano, P.J.; Lee, L.K.; Hyun, H.; Tuncali, K.; Seol, J.G.; Levesque, V.M.; Gerbaudo, V.H.; Kapur, T.; et al. F-18 FDG Perfusion PET: Intraprocedural Assessment of the Liver Tumor Ablation Margin. Abdom. Radiol. 2021, 46, 3437–3447. [Google Scholar] [CrossRef]
- Sahin, D.A.; Agcaoglu, O.; Chretien, C.; Siperstein, A.; Berber, E. The Utility of PET/CT in the Management of Patients with Colorectal Liver Metastases Undergoing Laparascopic Radiofrequency Thermal Ablation. Ann. Surg. Oncol. 2012, 19, 850–855. [Google Scholar] [CrossRef]
- Samim, M.; Molenaar, I.Q.; Seesing, M.F.J.; van Rossum, P.S.N.; van den Bosch, M.A.A.J.; Ruers, T.J.M.; Borel Rinkes, I.H.M.; van Hillegersberg, R.; Lam, M.G.E.H.; Verkooijen, H.M. The Diagnostic Performance of 18F-FDG PET/CT, CT and MRI in the Treatment Evaluation of Ablation Therapy for Colorectal Liver Metastases: A Systematic Review and Meta-Analysis. Surg. Oncol. 2017, 26, 37–45. [Google Scholar] [CrossRef]
- Kuehl, H.; Antoch, G.; Stergar, H.; Veit-Haibach, P.; Rosenbaum-Krumme, S.; Vogt, F.; Frilling, A.; Barkhausen, J.; Bockisch, A. Comparison of FDG-PET, PET/CT and MRI for Follow-up of Colorectal Liver Metastases Treated with Radiofrequency Ablation: Initial Results. Eur. J. Radiol. 2008, 67, 362–371. [Google Scholar] [CrossRef] [PubMed]
- Lewandowski, R.; Salem, R. Yttrium-90 Radioembolization of Hepatocellular Carcinoma and Metastatic Disease to the Liver. Semin. Interv. Radiol. 2006, 23, 064–072. [Google Scholar] [CrossRef]
- Vente, M.A.D.; Wondergem, M.; van der Tweel, I.; van den Bosch, M.A.A.J.; Zonnenberg, B.A.; Lam, M.G.E.H.; van het Schip, A.D.; Nijsen, J.F.W. Yttrium-90 Microsphere Radioembolization for the Treatment of Liver Malignancies: A Structured Meta-Analysis. Eur. Radiol. 2009, 19, 951–959. [Google Scholar] [CrossRef]
- Wasan, H.S.; Gibbs, P.; Sharma, N.K.; Taieb, J.; Heinemann, V.; Ricke, J.; Peeters, M.; Findlay, M.; Weaver, A.; Mills, J.; et al. First-Line Selective Internal Radiotherapy plus Chemotherapy versus Chemotherapy Alone in Patients with Liver Metastases from Colorectal Cancer (FOXFIRE, SIRFLOX, and FOXFIRE-Global): A Combined Analysis of Three Multicentre, Randomised, Phase 3 Trials. Lancet Oncol. 2017, 18, 1159–1171. [Google Scholar] [CrossRef] [PubMed]
- Mulcahy, M.F.; Mahvash, A.; Pracht, M.; Montazeri, A.H.; Bandula, S.; Martin, R.C.G.; Herrmann, K.; Brown, E.; Zuckerman, D.; Wilson, G.; et al. Radioembolization With Chemotherapy for Colorectal Liver Metastases: A Randomized, Open-Label, International, Multicenter, Phase III Trial. J. Clin. Oncol. 2021, 39, 3897–3907. [Google Scholar] [CrossRef] [PubMed]
- Kao, Y.H.; Tan, E.H.; Ng, C.E.; Goh, S.W. Yttrium-90 Time-of-Flight PET/CT Is Superior to Bremsstrahlung SPECT/CT for Postradioembolization Imaging of Microsphere Biodistribution. Clin. Nucl. Med. 2011, 36, e186–e187. [Google Scholar] [CrossRef] [PubMed]
- Singh, P.; Anil, G. Yttrium-90 Radioembolization of Liver Tumors: What Do the Images Tell Us? Cancer Imaging 2013, 13, 645–657. [Google Scholar] [CrossRef]
- Wong, C.; Salem, R.; Raman, S.; Gates, V.L.; Dworkin, H.J. Evaluating 90Y-Glass Microsphere Treatment Response of Unresectable Colorectal Liver Metastases by [18F]FDG PET: A Comparison with CT or MRI. Eur. J. Nucl. Med. Mol. Imaging 2002, 29, 815–820. [Google Scholar] [CrossRef]
- Atassi, B.; Bangash, A.K.; Bahrani, A.; Pizzi, G.; Lewandowski, R.J.; Ryu, R.K.; Sato, K.T.; Gates, V.L.; Mulcahy, M.F.; Kulik, L.; et al. Multimodality Imaging Following 90Y Radioembolization: A Comprehensive Review and Pictorial Essay. RadioGraphics 2008, 28, 81–99. [Google Scholar] [CrossRef]
- Miller, F.H.; Lopes Vendrami, C.; Gabr, A.; Horowitz, J.M.; Kelahan, L.C.; Riaz, A.; Salem, R.; Lewandowski, R.J. Evolution of Radioembolization in Treatment of Hepatocellular Carcinoma: A Pictorial Review. RadioGraphics 2021, 41, 1802–1818. [Google Scholar] [CrossRef] [PubMed]
- Shady, W.; Kishore, S.; Gavane, S.; Do, R.K.; Osborne, J.R.; Ulaner, G.A.; Gonen, M.; Ziv, E.; Boas, F.E.; Sofocleous, C.T. Metabolic Tumor Volume and Total Lesion Glycolysis on FDG-PET/CT Can Predict Overall Survival after 90Y Radioembolization of Colorectal Liver Metastases: A Comparison with SUVmax, SUVpeak, and RECIST 1.0. Eur. J. Radiol. 2016, 85, 1224–1231. [Google Scholar] [CrossRef] [PubMed]
- Sabet, A.; Meyer, C.; Aouf, A.; Sabet, A.; Ghamari, S.; Pieper, C.C.; Mayer, K.; Biersack, H.-J.; Ezziddin, S. Early Post-Treatment FDG PET Predicts Survival after 90Y Microsphere Radioembolization in Liver-Dominant Metastatic Colorectal Cancer. Eur. J. Nucl. Med. Mol. Imaging 2015, 42, 370–376. [Google Scholar] [CrossRef] [PubMed]
- Shady, W.; Sotirchos, V.S.; Do, R.K.; Pandit-Taskar, N.; Carrasquillo, J.A.; Gonen, M.; Sofocleous, C.T. Surrogate Imaging Biomarkers of Response of Colorectal Liver Metastases after Salvage Radioembolization Using 90Y-Loaded Resin Microspheres. Am. J. Roentgenol. 2016, 207, 661–670. [Google Scholar] [CrossRef]
- Potters, L.; Kavanagh, B.; Galvin, J.M.; Hevezi, J.M.; Janjan, N.A.; Larson, D.A.; Mehta, M.P.; Ryu, S.; Steinberg, M.; Timmerman, R.; et al. American Society for Therapeutic Radiology and Oncology (ASTRO) and American College of Radiology (ACR) Practice Guideline for the Performance of Stereotactic Body Radiation Therapy. Int. J. Radiat. Oncol. Biol. Phys. 2010, 76, 326–332. [Google Scholar] [CrossRef]
- Scorsetti, M.; Comito, T.; Clerici, E.; Franzese, C.; Tozzi, A.; Iftode, C.; Di Brina, L.; Navarria, P.; Mancosu, P.; Reggiori, G.; et al. Phase II Trial on SBRT for Unresectable Liver Metastases: Long-Term Outcome and Prognostic Factors of Survival after 5 Years of Follow-Up. Radiat. Oncol. 2018, 13, 234. [Google Scholar] [CrossRef]
- Olsen, C.C.; Welsh, J.; Kavanagh, B.D.; Franklin, W.; McCarter, M.; Cardenes, H.R.; Gaspar, L.E.; Schefter, T.E. Microscopic and Macroscopic Tumor and Parenchymal Effects of Liver Stereotactic Body Radiotherapy. Int. J. Radiat. Oncol. Biol. Phys. 2009, 73, 1414–1424. [Google Scholar] [CrossRef]
- Park, M.J.; Kim, S.Y.; Yoon, S.M.; Kim, J.H.; Park, S.H.; Lee, S.S.; Lee, Y.; Lee, M.-G. Stereotactic Body Radiotherapy-Induced Arterial Hypervascularity of Non-Tumorous Hepatic Parenchyma in Patients with Hepatocellular Carcinoma: Potential Pitfalls in Tumor Response Evaluation on Multiphase Computed Tomography. PLoS ONE 2014, 9, e90327. [Google Scholar] [CrossRef] [PubMed]
- Brook, O.R.; Thornton, E.; Mendiratta-Lala, M.; Mahadevan, A.; Raptopoulos, V.; Brook, A.; Najarian, R.; Sheiman, R.; Siewert, B. CT Imaging Findings after Stereotactic Radiotherapy for Liver Tumors. Gastroenterol. Res. Pract. 2015, 2015, 126245. [Google Scholar] [CrossRef]
- Mendiratta-Lala, M.; Masch, W.; Owen, D.; Aslam, A.; Maurino, C.; Devasia, T.; Schipper, M.J.; Parikh, N.D.; Cuneo, K.; Lawrence, T.S.; et al. Natural History of Hepatocellular Carcinoma after Stereotactic Body Radiation Therapy. Abdom. Radiol. 2020, 45, 3698–3708. [Google Scholar] [CrossRef]
- Eccles, C.L.; Haider, E.A.; Haider, M.A.; Fung, S.; Lockwood, G.; Dawson, L.A. Change in Diffusion Weighted MRI during Liver Cancer Radiotherapy: Preliminary Observations. Acta Oncol. 2009, 48, 1034–1043. [Google Scholar] [CrossRef] [PubMed]
- Stinauer, M.A.; Diot, Q.; Westerly, D.C.; Schefter, T.E.; Kavanagh, B.D. Fluorodeoxyglucose Positron Emission Tomography Response and Normal Tissue Regeneration after Stereotactic Body Radiotherapy to Liver Metastases. Int. J. Radiat. Oncol. Biol. Phys. 2012, 83, e613–e618. [Google Scholar] [CrossRef] [PubMed]






| Criteria | Imaging Modality | Key Features | Tumor Response Categories |
|---|---|---|---|
| RECIST 1.1 [36] | CT/MRI | Changes in tumor size | Complete Response, Partial Response, Stable Disease, Progressive Disease |
| Choi Criteria [38] | CT/MRI | Changes in tumor size and attenuation | Complete Response, Partial Response, Stable Disease, Progressive Disease |
| EORTC-PET Criteria [43] | PET | Changes in tumor FDG uptake | Complete Metabolic Response, Partial Metabolic Response, Stable Metabolic Disease, Progressive Metabolic Disease |
| PERCIST [44] | PET | Changes in tumor FDG uptake | Complete Metabolic Response, Partial Metabolic Response, Stable Metabolic Disease, Progressive Metabolic Disease |
| Tumor Response | RECIST 1.1 [36] | Choi Criteria [38] | EORTC-PET Criteria [43] | PERCIST [44] |
|---|---|---|---|---|
| Complete Response | Disappearance of all target lesions | Disappearance of all enhancing target lesions | Complete resolution of 18F-FDG uptake in all lesions | Complete resolution of 18F-FDG uptake in all lesions |
| Partial Response | ≥30% decrease in sum of longest diameter of target lesion | ≥15% decrease in tumor attenuation (HU) or ≥10% decrease in tumor size | Decrease in SUVmax of >25% | ≥30% decrease in the SUVmax of target lesions |
| Stable Disease | Neither sufficient features to qualify as a partial response nor progressive disease | Neither sufficient features to qualify as a partial response nor progressive disease | Neither sufficient features to qualify as a partial response nor progressive disease | Neither sufficient features to qualify as a partial response nor progressive disease |
| Progressive Disease | ≥20% increase in the sum of the longest diameters of target lesions or appearance of new lesions | ≥10% increase in tumor size or a decrease in tumor density < 10%, or appearance of new lesions | ≥25% increase in SUVmax or appearance of new FDG-avid lesions | ≥30% increase in the SULpeak of target lesions or appearance of new FDG-avid lesions |
Disclaimer/Publisher’s Note: The statements, opinions and data contained in all publications are solely those of the individual author(s) and contributor(s) and not of MDPI and/or the editor(s). MDPI and/or the editor(s) disclaim responsibility for any injury to people or property resulting from any ideas, methods, instructions or products referred to in the content. |
© 2024 by the authors. Licensee MDPI, Basel, Switzerland. This article is an open access article distributed under the terms and conditions of the Creative Commons Attribution (CC BY) license (https://creativecommons.org/licenses/by/4.0/).
Share and Cite
Chlorogiannis, D.-D.; Moussa, A.M.; Zhao, K.; Alexander, E.S.; Sofocleous, C.T.; Sotirchos, V.S. Imaging Considerations before and after Liver-Directed Locoregional Treatments for Metastatic Colorectal Cancer. Diagnostics 2024, 14, 772. https://doi.org/10.3390/diagnostics14070772
Chlorogiannis D-D, Moussa AM, Zhao K, Alexander ES, Sofocleous CT, Sotirchos VS. Imaging Considerations before and after Liver-Directed Locoregional Treatments for Metastatic Colorectal Cancer. Diagnostics. 2024; 14(7):772. https://doi.org/10.3390/diagnostics14070772
Chicago/Turabian StyleChlorogiannis, David-Dimitris, Amgad M. Moussa, Ken Zhao, Erica S. Alexander, Constantinos T. Sofocleous, and Vlasios S. Sotirchos. 2024. "Imaging Considerations before and after Liver-Directed Locoregional Treatments for Metastatic Colorectal Cancer" Diagnostics 14, no. 7: 772. https://doi.org/10.3390/diagnostics14070772
APA StyleChlorogiannis, D.-D., Moussa, A. M., Zhao, K., Alexander, E. S., Sofocleous, C. T., & Sotirchos, V. S. (2024). Imaging Considerations before and after Liver-Directed Locoregional Treatments for Metastatic Colorectal Cancer. Diagnostics, 14(7), 772. https://doi.org/10.3390/diagnostics14070772

