Dependence of Renal Uptake on Kidney Function in [68Ga]Ga-PSMA-11 PET/CT Imaging
Abstract
1. Introduction
2. Materials and Methods
2.1. Inclusion of Patients
2.2. Estimation of Kidney Function
2.3. PET/CT Acquisition
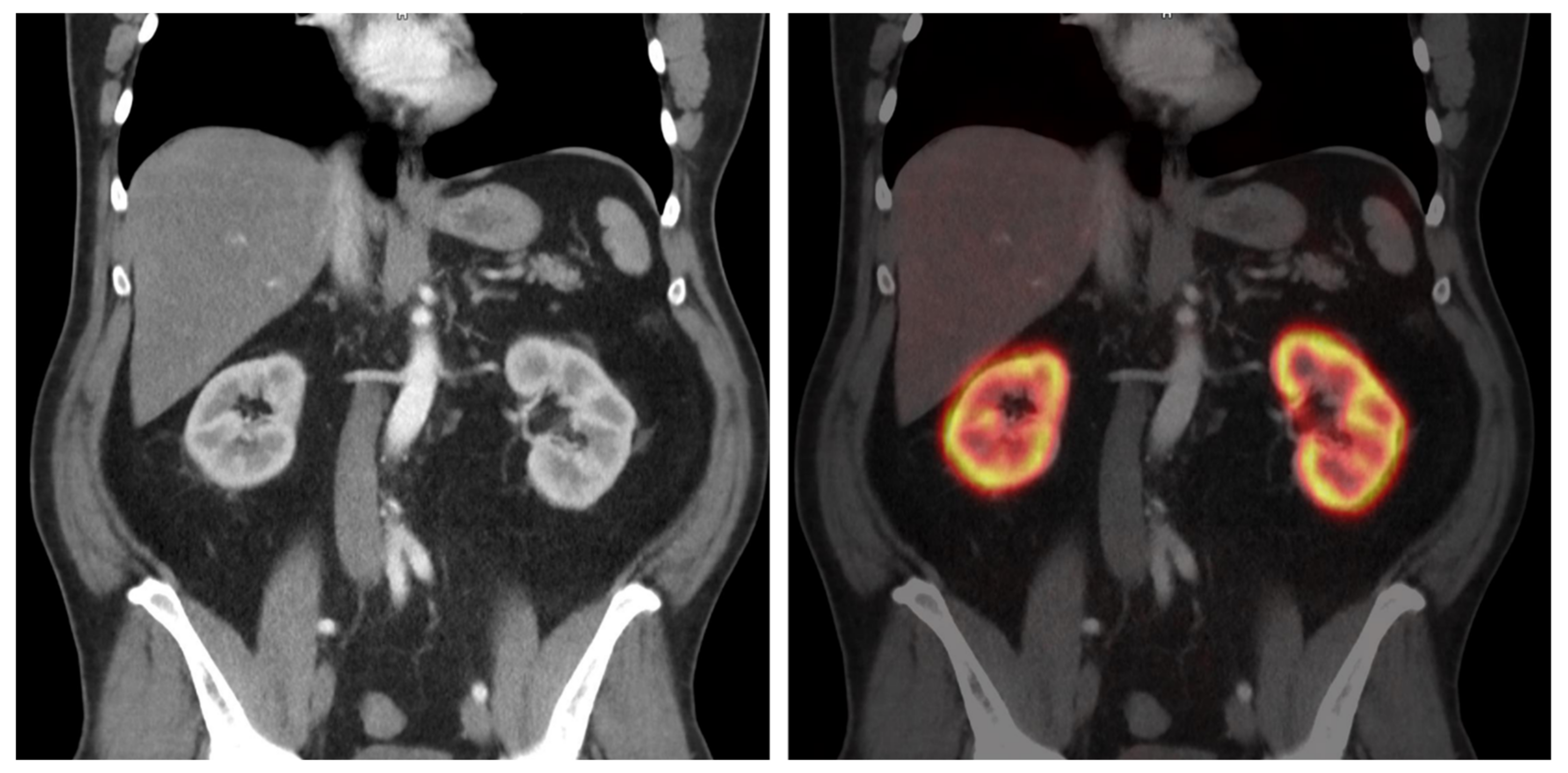
2.4. Molecular Imaging Parameters Collected
2.5. Morphologic Parameters Collected
2.6. Statistics
3. Results
3.1. Patient Characteristics
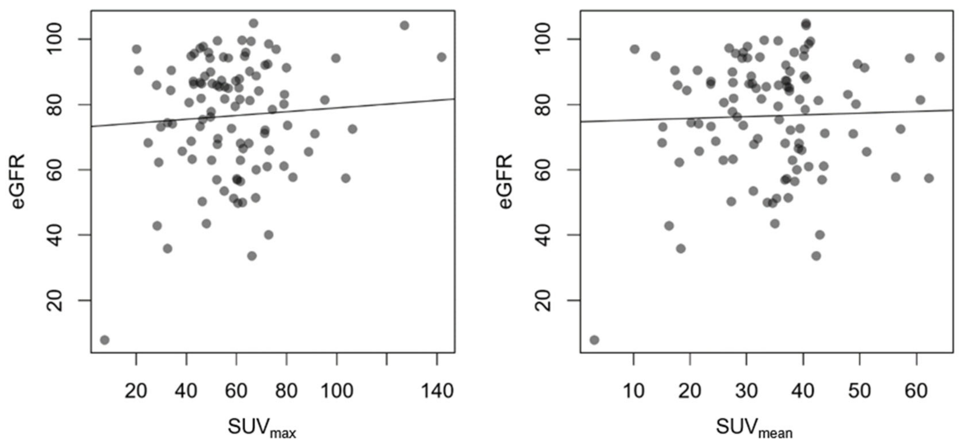
3.2. Quantitative Comparison
4. Discussion
4.1. Methods and Limitations
4.2. Results and Comparison to the Literature
5. Conclusions
Author Contributions
Funding
Institutional Review Board Statement
Informed Consent Statement
Data Availability Statement
Acknowledgments
Conflicts of Interest
References
- Farolfi, A.; Calderoni, L.; Mattana, F.; Mei, R.; Telo, S.; Fanti, S.; Castellucci, P. Current and Emerging Clinical Applications of PSMA PET Diagnostic Imaging for Prostate Cancer. J. Nucl. Med. 2021, 62, 596–604. [Google Scholar] [CrossRef] [PubMed]
- Eapen, R.S.; Nzenza, T.C.; Murphy, D.G.; Hofman, M.S.; Cooperberg, M.; Lawrentschuk, N. PSMA PET applications in the prostate cancer journey: From diagnosis to theranostics. World J. Urol. 2019, 37, 1255–1261. [Google Scholar] [CrossRef] [PubMed]
- Perera, M.; Papa, N.; Roberts, M.; Williams, M.; Udovicich, C.; Vela, I.; Christidis, D.; Bolton, D.; Hofman, M.S.; Lawrentschuk, N.; et al. Gallium-68 Prostate-specific Membrane Antigen Positron Emission Tomography in Advanced Prostate Cancer-Updated Diagnostic Utility, Sensitivity, Specificity, and Distribution of Prostate-specific Membrane Antigen-avid Lesions: A Systematic Review and Meta-analysis. Eur. Urol. 2020, 77, 403–417. [Google Scholar] [CrossRef] [PubMed]
- Perry, E.; Talwar, A.; Sharma, S.; O’Connor, D.; Wong, L.M.; Taubman, K.; Sutherland, T.R. Non-prostate cancer tumours: Incidence on 18F-DCFPyL PSMA PET/CT and uptake characteristics in 1445 patients. Eur. J. Nucl. Med. Mol. Imaging 2022, 49, 3277–3288. [Google Scholar] [CrossRef] [PubMed]
- Adnan, A.; Basu, S. PSMA Receptor-Based PET-CT: The Basics and Current Status in Clinical and Research Applications. Diagnostics 2023, 13, 158. [Google Scholar] [CrossRef] [PubMed]
- Afshar-Oromieh, A.; Hetzheim, H.; Kratochwil, C.; Benesova, M.; Eder, M.; Neels, O.C.; Eisenhut, M.; Kubler, W.; Holland-Letz, T.; Giesel, F.L.; et al. The Theranostic PSMA Ligand PSMA-617 in the Diagnosis of Prostate Cancer by PET/CT: Biodistribution in Humans, Radiation Dosimetry, and First Evaluation of Tumor Lesions. J. Nucl. Med. 2015, 56, 1697–1705. [Google Scholar] [CrossRef] [PubMed]
- Prasad, V.; Steffen, I.G.; Diederichs, G.; Makowski, M.R.; Wust, P.; Brenner, W. Biodistribution of [68Ga]PSMA-HBED-CC in Patients with Prostate Cancer: Characterization of Uptake in Normal Organs and Tumour Lesions. Mol. Imaging Biol. 2016, 18, 428–436. [Google Scholar] [CrossRef]
- Demirci, E.; Sahin, O.E.; Ocak, M.; Akovali, B.; Nematyazar, J.; Kabasakal, L. Normal distribution pattern and physiological variants of 68Ga-PSMA-11 PET/CT imaging. Nucl. Med. Commun. 2016, 37, 1169–1179. [Google Scholar] [CrossRef]
- Gühne, F.; Radke, S.; Winkens, T.; Kühnel, C.; Greiser, J.; Seifert, P.; Drescher, R.; Freesmeyer, M. Differences in Distribution and Detection Rate of the [68Ga]Ga-PSMA Ligands PSMA-617, -I&T and -11-Inter-Individual Comparison in Patients with Biochemical Relapse of Prostate Cancer. Pharmaceuticals 2021, 15, 9. [Google Scholar] [CrossRef]
- Goodgold, H.M.; Fletcher, J.W.; Steinhardt, G.F. Quantitative technetium-99M dimercaptosuccinic acid renal scanning in children. Urology 1996, 47, 405–408. [Google Scholar] [CrossRef]
- Piepsz, A.; Colarinha, P.; Gordon, I.; Hahn, K.; Olivier, P.; Roca, I.; Sixt, R.; van Velzen, J.; Paediatric Committee of the European Association of Nuclear. Guidelines for 99mTc-DMSA scintigraphy in children. Eur. J. Nucl. Med. 2001, 28, BP37-41. [Google Scholar]
- Sarikaya, I.; Alqallaf, A.; Sarikaya, A. Renal Cortical 68Ga-PSMA-11 PET and 99mTc-DMSA Images. J. Nucl. Med. Technol. 2021, 49, 30–33. [Google Scholar] [CrossRef] [PubMed]
- Haddadin, Z.; Lee, V.; Conlin, C.; Zhang, L.; Carlston, K.; Morrell, G.; Kim, D.; Hoffman, J.M.; Morton, K. Comparison of Performance of Improved Serum Estimators of Glomerular Filtration Rate (GFR) to 99mTc-DTPA GFR Methods in Patients with Hepatic Cirrhosis. J. Nucl. Med. Technol. 2017, 45, 42–49. [Google Scholar] [CrossRef] [PubMed]
- Huang, Q.; Chen, Y.; Zhang, M.; Wang, S.; Zhang, W.; Cai, G.; Chen, X.; Sun, X. Comparative evaluation of technetium-99m-diethylenetriaminepentaacetic acid renal dynamic imaging versus the Modification of Diet in Renal Disease equation and the Chronic Kidney Disease Epidemiology Collaboration equation for the estimation of GFR. Int. Urol. Nephrol. 2018, 50, 733–743. [Google Scholar] [CrossRef] [PubMed]
- Sarikaya, I.; Sarikaya, A. Current Status of Radionuclide Renal Cortical Imaging in Pyelonephritis. J. Nucl. Med. Technol. 2019, 47, 309–312. [Google Scholar] [CrossRef]
- Valind, K.; Minarik, D.; Garpered, S.; Persson, E.; Jogi, J.; Tragardh, E. [18F]PSMA-1007 PET is comparable to [99mTc]Tc-DMSA SPECT for renal cortical imaging. Eur. J. Hybrid. Imaging 2023, 7, 25. [Google Scholar] [CrossRef] [PubMed]
- Gühne, F.; Heinzig, A.; Seifert, P.; Drescher, R.; Freesmeyer, M. The Dependence of Renal 68Ga[Ga]-DOTATOC Uptake on Kidney Function and Its Relevance for Peptide Receptor Radionuclide Therapy with 177Lu[Lu]-DOTATOC. Diagnostics 2021, 11, 1216. [Google Scholar] [CrossRef] [PubMed]
- Kaewput, C.; Vinjamuri, S. Comparison of renal uptake of 68Ga-DOTANOC PET/CT and estimated glomerular filtration rate before and after peptide receptor radionuclide therapy in patients with metastatic neuroendocrine tumours. Nucl. Med. Commun. 2016, 37, 1325–1332. [Google Scholar] [CrossRef] [PubMed]
- Conen, P.; Pennetta, F.; Dendl, K.; Hertel, F.; Vogg, A.; Haberkorn, U.; Giesel, F.L.; Mottaghy, F.M. [68Ga]Ga-FAPI uptake correlates with the state of chronic kidney disease. Eur. J. Nucl. Med. Mol. Imaging 2022, 49, 3365–3372. [Google Scholar] [CrossRef]
- Schierz, J.H.; Sarikaya, I.; Albatineh, A.N.; Sarikaya, A. Assessing the Correlation Between 68Ga-PSMA-11 Renal PET Parameters and Renal Function Tests. J. Nucl. Med. Technol. 2022, 50, 43–48. [Google Scholar] [CrossRef]
- Valind, K.; Jogi, J.; Minarik, D.; Tragardh, E. [18F]PSMA-1007 renal uptake parameters: Reproducibility and relationship to estimated glomerular filtration rate. Clin. Physiol. Funct. Imaging 2023, 43, 128–135. [Google Scholar] [CrossRef]
- Hennrich, U.; Eder, M. [68Ga]Ga-PSMA-11: The First FDA-Approved 68Ga-Radiopharmaceutical for PET Imaging of Prostate Cancer. Pharmaceuticals 2021, 14, 713. [Google Scholar] [CrossRef] [PubMed]
- Inal, B.B.; Oguz, O.; Emre, T.; Usta, M.; Inal, H.; Altunoglu, E.; Topkaya, C. Evaluation of MDRD, Cockcroft-Gault, and CKD-EPI formulas in the estimated glomerular filtration rate. Clin. Lab. 2014, 60, 1685–1694. [Google Scholar] [CrossRef] [PubMed]
- Michels, W.M.; Grootendorst, D.C.; Verduijn, M.; Elliott, E.G.; Dekker, F.W.; Krediet, R.T. Performance of the Cockcroft-Gault, MDRD, and new CKD-EPI formulas in relation to GFR, age, and body size. Clin. J. Am. Soc. Nephrol. 2010, 5, 1003–1009. [Google Scholar] [CrossRef] [PubMed]
- Rahbar, K.; Afshar-Oromieh, A.; Bogemann, M.; Wagner, S.; Schafers, M.; Stegger, L.; Weckesser, M. 18F-PSMA-1007 PET/CT at 60 and 120 minutes in patients with prostate cancer: Biodistribution, tumour detection and activity kinetics. Eur. J. Nucl. Med. Mol. Imaging 2018, 45, 1329–1334. [Google Scholar] [CrossRef] [PubMed]
- Werner, R.A.; Bundschuh, R.A.; Bundschuh, L.; Lapa, C.; Yin, Y.; Javadi, M.S.; Buck, A.K.; Higuchi, T.; Pienta, K.J.; Pomper, M.G.; et al. Semiquantitative Parameters in PSMA-Targeted PET Imaging with [18F]DCFPyL: Impact of Tumor Burden on Normal Organ Uptake. Mol. Imaging Biol. 2020, 22, 190–197. [Google Scholar] [CrossRef] [PubMed]
- Levey, A.S.; Inker, L.A.; Coresh, J. GFR estimation: From physiology to public health. Am. J. Kidney Dis. 2014, 63, 820–834. [Google Scholar] [CrossRef] [PubMed]
- Baiocco, S.; Matteucci, F.; Mezzenga, E.; Caroli, P.; Di Iorio, V.; Cittanti, C.; Bevilacqua, A.; Paganelli, G.; Sarnelli, A. SUV(95th) as a Reliable Alternative to SUV(max) for Determining Renal Uptake in [68Ga] PSMA PET/CT. Mol. Imaging Biol. 2020, 22, 1070–1077. [Google Scholar] [CrossRef] [PubMed]
- Baccala, A.; Sercia, L.; Li, J.; Heston, W.; Zhou, M. Expression of prostate-specific membrane antigen in tumor-associated neovasculature of renal neoplasms. Urology 2007, 70, 385–390. [Google Scholar] [CrossRef]
- Dumas, F.; Gala, J.L.; Berteau, P.; Brasseur, F.; Eschwege, P.; Paradis, V.; Lacour, B.; Philippe, M.; Loric, S. Molecular expression of PSMA mRNA and protein in primary renal tumors. Int. J. Cancer 1999, 80, 799–803. [Google Scholar] [CrossRef]
- Bockenhauer, D.; Kleta, R. Tubulopathy meets Sherlock Holmes: Biochemical fingerprinting of disorders of altered kidney tubular salt handling. Pediatr. Nephrol. 2021, 36, 2553–2561. [Google Scholar] [CrossRef] [PubMed]
- Charles, C.; Ferris, A.H. Chronic Kidney Disease. Prim. Care 2020, 47, 585–595. [Google Scholar] [CrossRef]
- Coresh, J.; Selvin, E.; Stevens, L.A.; Manzi, J.; Kusek, J.W.; Eggers, P.; Van Lente, F.; Levey, A.S. Prevalence of chronic kidney disease in the United States. JAMA 2007, 298, 2038–2047. [Google Scholar] [CrossRef] [PubMed]
- Van de Wiele, C.; Sathekge, M.; de Spiegeleer, B.; De Jonghe, P.J.; Debruyne, P.R.; Borms, M.; Beels, L.; Maes, A. PSMA expression on neovasculature of solid tumors. Histol. Histopathol. 2020, 35, 919–927. [Google Scholar] [CrossRef] [PubMed]
- Pfob, C.H.; Ziegler, S.; Graner, F.P.; Kohner, M.; Schachoff, S.; Blechert, B.; Wester, H.J.; Scheidhauer, K.; Schwaiger, M.; Maurer, T.; et al. Biodistribution and radiation dosimetry of 68Ga-PSMA HBED CC-a PSMA specific probe for PET imaging of prostate cancer. Eur. J. Nucl. Med. Mol. Imaging 2016, 43, 1962–1970. [Google Scholar] [CrossRef] [PubMed]
- Dietlein, F.; Kobe, C.; Hohberg, M.; Zlatopolskiy, B.D.; Krapf, P.; Endepols, H.; Tager, P.; Hammes, J.; Heidenreich, A.; Persigehl, T.; et al. Intraindividual Comparison of 18F-PSMA-1007 with Renally Excreted PSMA Ligands for PSMA PET Imaging in Patients with Relapsed Prostate Cancer. J. Nucl. Med. 2020, 61, 729–734. [Google Scholar] [CrossRef] [PubMed]
- Rassek, P.; Schafers, M.; Rahbar, K.; Backhaus, P. [18F]-PSMA-1007-PET for evaluation of kidney function. Nuklearmedizin 2023, 62, 244–251. [Google Scholar] [CrossRef] [PubMed]
- Dang, J.; Yao, Y.; Li, Y.; Tan, X.; Ye, Z.; Zhao, Y.; Qing, S.; Kou, Y.; Jiang, X.; Lu, H.; et al. An exploratory study of unexplained concentration of 18F-PSMA-1007 in the bladder for prostate cancer PET/CT imaging. Front. Med. 2023, 10, 1238333. [Google Scholar] [CrossRef] [PubMed]
- Kuo, H.T.; Pan, J.; Zhang, Z.; Lau, J.; Merkens, H.; Zhang, C.; Colpo, N.; Lin, K.S.; Benard, F. Effects of Linker Modification on Tumor-to-Kidney Contrast of 68Ga-Labeled PSMA-Targeted Imaging Probes. Mol. Pharm. 2018, 15, 3502–3511. [Google Scholar] [CrossRef]
- Matteucci, F.; Mezzenga, E.; Caroli, P.; Di Iorio, V.; Sarnelli, A.; Celli, M.; Fantini, L.; Moretti, A.; Galassi, R.; De Giorgi, U.; et al. Reduction of 68Ga-PSMA renal uptake with mannitol infusion: Preliminary results. Eur. J. Nucl. Med. Mol. Imaging 2017, 44, 2189–2194. [Google Scholar] [CrossRef]
- Gühne, F.; Seifert, P.; Theis, B.; Steinert, M.; Freesmeyer, M.; Drescher, R. PSMA-PET/CT in Patients with Recurrent Clear Cell Renal Cell Carcinoma: Histopathological Correlations of Imaging Findings. Diagnostics 2021, 11, 1142. [Google Scholar] [CrossRef] [PubMed]
- Muselaers, S.; Erdem, S.; Bertolo, R.; Ingels, A.; Kara, O.; Pavan, N.; Roussel, E.; Pecoraro, A.; Marchioni, M.; Carbonara, U.; et al. PSMA PET/CT in Renal Cell Carcinoma: An Overview of Current Literature. J. Clin. Med. 2022, 11, 1829. [Google Scholar] [CrossRef] [PubMed]
- Rosar, F.; Pauly, P.; Ries, M.; Schaefer-Schuler, A.; Maus, S.; Schreckenberger, M.; Khreish, F.; Ezziddin, S. Determination of split renal function by PSMA imaging: Comparison of 68Ga-PSMA-11 PET with 99mTc-MAG3 scintigraphy. Am. J. Nucl. Med. Mol. Imaging 2020, 10, 249–256. [Google Scholar] [PubMed]






| Participants | 103 males | |
| Age | 68.6 ± 7.8 years | |
| eGFR | 76.3 ± 17.9 mL/min/1.73 m2 | >90 mL/min/1.73 m2: n = 26 60–90 mL/min/1.73 m2: n = 59 <60 mL/min/1.73 m2: n = 18 |
| Time between eGFR and PET | 11.2 ± 8.2 days | |
| Uptake time of [68Ga]Ga-PSMA-11 | 78.7 ± 16.5 min |
Disclaimer/Publisher’s Note: The statements, opinions and data contained in all publications are solely those of the individual author(s) and contributor(s) and not of MDPI and/or the editor(s). MDPI and/or the editor(s) disclaim responsibility for any injury to people or property resulting from any ideas, methods, instructions or products referred to in the content. |
© 2024 by the authors. Licensee MDPI, Basel, Switzerland. This article is an open access article distributed under the terms and conditions of the Creative Commons Attribution (CC BY) license (https://creativecommons.org/licenses/by/4.0/).
Share and Cite
Gühne, F.; Schilder, T.; Seifert, P.; Kühnel, C.; Freesmeyer, M. Dependence of Renal Uptake on Kidney Function in [68Ga]Ga-PSMA-11 PET/CT Imaging. Diagnostics 2024, 14, 696. https://doi.org/10.3390/diagnostics14070696
Gühne F, Schilder T, Seifert P, Kühnel C, Freesmeyer M. Dependence of Renal Uptake on Kidney Function in [68Ga]Ga-PSMA-11 PET/CT Imaging. Diagnostics. 2024; 14(7):696. https://doi.org/10.3390/diagnostics14070696
Chicago/Turabian StyleGühne, Falk, Till Schilder, Philipp Seifert, Christian Kühnel, and Martin Freesmeyer. 2024. "Dependence of Renal Uptake on Kidney Function in [68Ga]Ga-PSMA-11 PET/CT Imaging" Diagnostics 14, no. 7: 696. https://doi.org/10.3390/diagnostics14070696
APA StyleGühne, F., Schilder, T., Seifert, P., Kühnel, C., & Freesmeyer, M. (2024). Dependence of Renal Uptake on Kidney Function in [68Ga]Ga-PSMA-11 PET/CT Imaging. Diagnostics, 14(7), 696. https://doi.org/10.3390/diagnostics14070696

