Optimization of Traction Magnetic Resonance Imaging to Improve Visibility of the Elbow Cartilage
Abstract
1. Introduction
2. Materials and Methods
2.1. Recruitment of Volunteers
2.2. Image Acquisition
2.3. Traction MRI
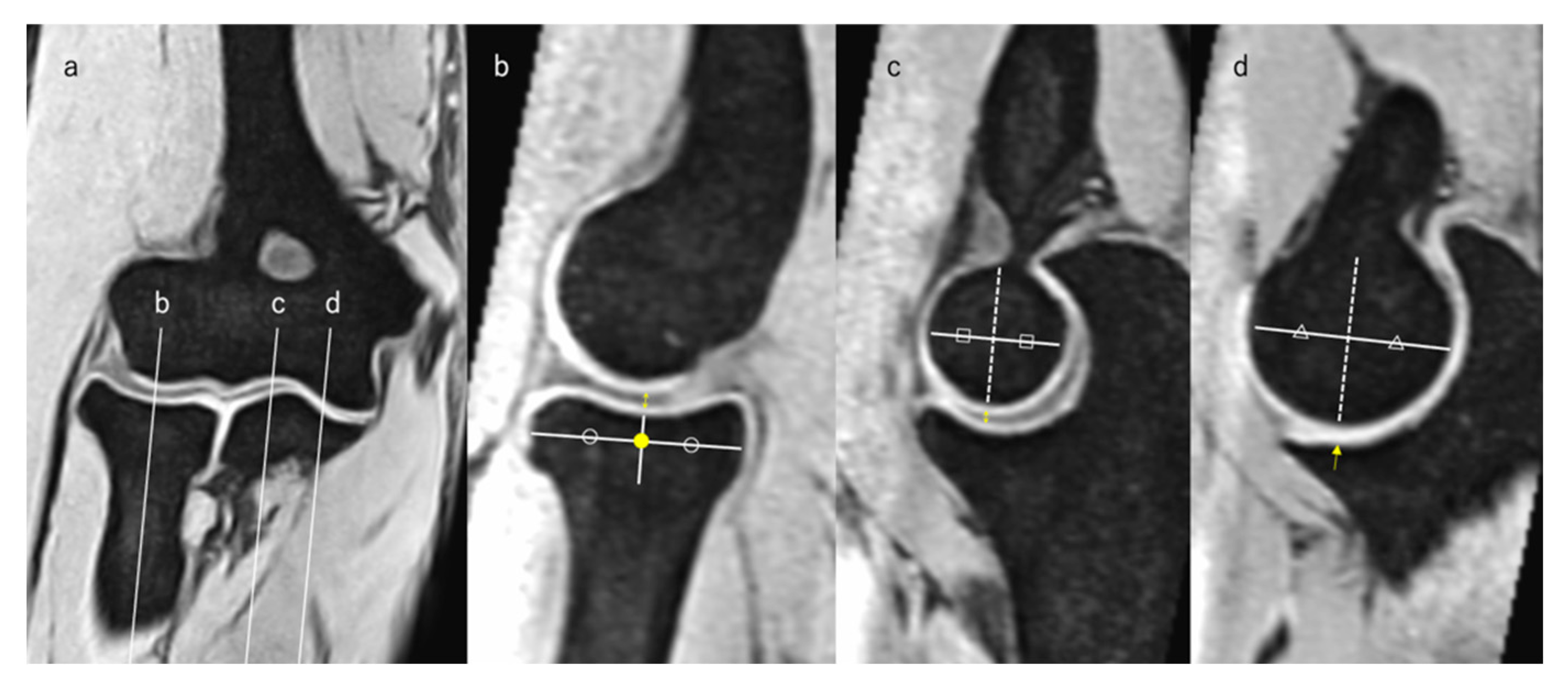
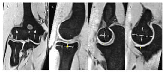
2.4. Image Analysis
2.5. Measurement of JSW
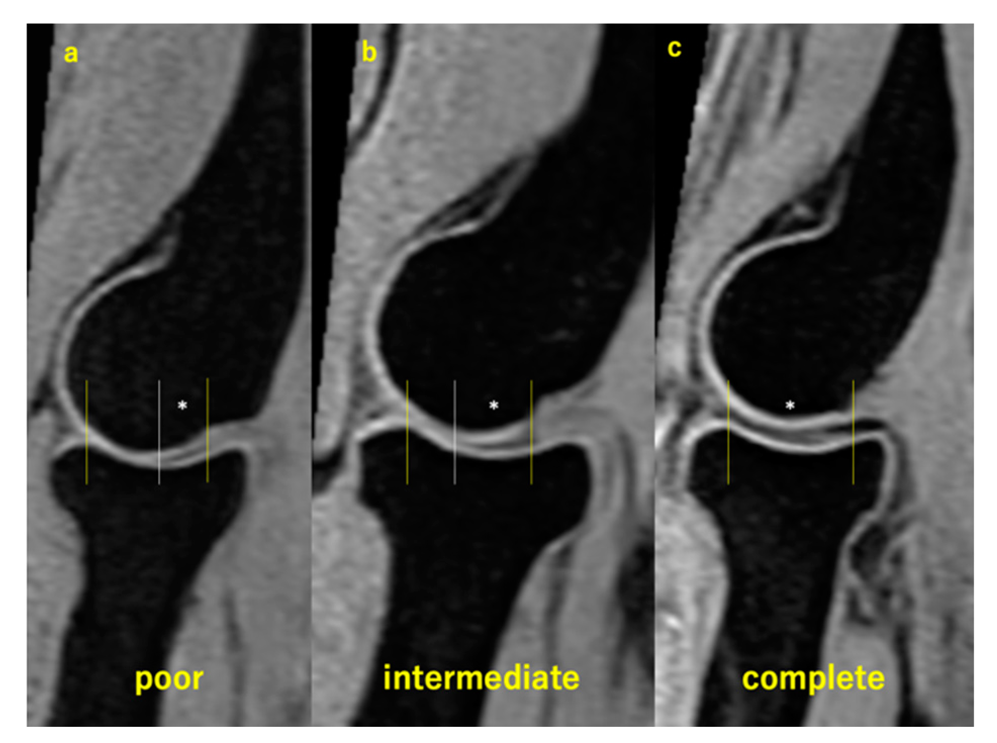
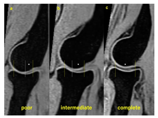
2.6. Assessment of HACOV
2.7. Evaluation of Pain and Discomfort
2.8. Statistical Analyses
3. Results
4. Discussion
5. Conclusions
Author Contributions
Funding
Institutional Review Board Statement
Informed Consent Statement
Data Availability Statement
Conflicts of Interest
References
- Van Bergen, C.J.; van den Ende, K.I.; Ten Brinke, B.; Eygendaal, D. Osteochondritis dissecans of the capitellum in adolescents. World J. Orthop. 2016, 7, 102–108. [Google Scholar] [CrossRef] [PubMed]
- Itsubo, T.; Murakami, N.; Uemura, K.; Nakamura, K.; Hayashi, M.; Uchiyama, S.; Kato, H. Magnetic resonance imaging staging to evaluate the stability of capitellar osteochondritis dissecans lesions. Am. J. Sports Med. 2014, 42, 1972–1977. [Google Scholar] [CrossRef] [PubMed]
- Iwasaki, N.; Kamishima, T.; Kato, H.; Funakoshi, T.; Minami, A. A retrospective evaluation of magnetic resonance imaging effectiveness on capitellar osteochondritis dissecans among overhead athletes. Am. J. Sports Med. 2012, 40, 624–630. [Google Scholar] [CrossRef] [PubMed]
- Takahara, M.; Mura, N.; Sasaki, J.; Harada, M.; Ogino, T. Classification, treatment, and outcome of osteochondritis dissecans of the humeral capitellum. J. Bone Jt. Surg. Am. 2007, 89, 1205–1214. [Google Scholar] [CrossRef]
- Bradley, J.P.; Petrie, R.S. Osteochondritis dissecans of the humeral capitellum. Diagnosis and treatment. Clin. Sports Med. 2001, 20, 565–590. [Google Scholar] [CrossRef]
- Osbahr, D.C.; Dines, J.S.; Rosenbaum, A.J.; Nguyen, J.T.; Altchek, D.W. Does posteromedial chondromalacia reduce rate of return to play after ulnar collateral ligament reconstruction? Clin. Orthop. Relat. Res. 2012, 470, 1558–1564. [Google Scholar] [CrossRef]
- Jeon, I.H.; Min, W.K.; Micic, I.D.; Cho, H.S.; Kim, P.T. Surgical treatment and clinical implication for posterolateral rotatory instability of the elbow: Osborne-Cotterill lesion of the elbow. J. Trauma 2011, 71, E45–E49. [Google Scholar] [CrossRef] [PubMed]
- Nalbantoglu, U.; Gereli, A.; Kocaoglu, B.; Aktas, S.; Turkmen, M. Capitellar cartilage injuries concomitant with radial head fractures. J. Hand Surg. Am. 2008, 33, 1602–1607. [Google Scholar] [CrossRef]
- So, H.; Cheng, I.; Tam, L.S. The role of imaging in predicting the development of rheumatoid arthritis. Rheumatol. Immunol. Res. 2021, 2, 27–33. [Google Scholar] [CrossRef]
- Sampath, S.C.; Sampath, S.C.; Bredella, M.A. Magnetic resonance imaging of the elbow: A structured approach. Sports Health 2013, 5, 34–49. [Google Scholar] [CrossRef]
- Palhais, N.S.; Guntern, D.; Kagel, A.; Wettstein, M.; Mouhsine, E.; Theumann, N. Direct magnetic resonance arthrography of the knee: Utility of axial traction. Eur. Radiol. 2009, 19, 2225–2231. [Google Scholar] [CrossRef]
- Lee, R.K.; Griffith, J.F.; Yuen, B.T.; Ng, A.W.; Yeung, D.K. Elbow MR arthrography with traction. Br. J. Radiol. 2016, 89, 20160378. [Google Scholar] [CrossRef] [PubMed]
- Kohyama, S.; Tanaka, T.; Shimasaki, K.; Kobayashi, S.; Ikumi, A.; Yanai, T.; Ochiai, N. Effect of elbow MRI with axial traction on articular cartilage visibility—A feasibility study. Skelet. Radiol. 2020, 49, 1555–1566. [Google Scholar] [CrossRef]
- Ikumi, A.; Kohyama, S.; Okuwaki, S.; Tatsumura, M.; Hara, Y.; Mammoto, T.; Ogawa, T.; Yoshii, Y.; Kawamura, H.; Yamazaki, M. Effects of magnetic resonance imaging with axial traction of the thumb carpometacarpal joint on articular cartilage visibility: A feasibility study. Cureus 2022, 14, e22421. [Google Scholar] [CrossRef]
- Kikuchi, N.; Kohyama, S.; Kanamori, A.; Taniguchi, Y.; Okuno, K.; Ikeda, K.; Yamazaki, M. Improving visualization of the articular cartilage of the knee with magnetic resonance imaging under axial traction: A comparative study of different traction weights. Skelet. Radiol. 2022, 51, 1483–1491. [Google Scholar] [CrossRef]
- Minici, R.; Mercurio, M.; Iannò, B.; Galasso, O.; Gasparini, G.; Laganà, D. Advantages of the use of axial traction magnetic resonance imaging (MRI) of the shoulder in patients with suspected rota-tor cuff tears: An exploratory pilot study. Healthcare 2023, 11, 724. [Google Scholar] [CrossRef]
- Bartko, J.J. The intraclass correlation coefficient as a measure of reliability. Psychol. Rep. 1966, 19, 3–11. [Google Scholar] [CrossRef] [PubMed]
- Cohen, J. A coefficient of agreement for nominal scales. Educ. Psychol. Meas. 1960, 20, 37–46. [Google Scholar] [CrossRef]
- McHugh, M.L. Interrater reliability: The kappa statistic. Biochem. Med. 2012, 22, 276–282. [Google Scholar] [CrossRef]
- Halls, A.A.; Travill, A. Transmission of pressures across the elbow joint. Anat. Rec. 1964, 150, 243–247. [Google Scholar] [CrossRef]
- Chou, P.H.; Chou, Y.L.; Lin, C.J.; Su, F.C.; Lou, S.Z.; Lin, C.F.; Huang, G.F. Effect of elbow flexion on upper extremity impact forces during a fall. Clin. Biomech. 2001, 16, 888–894. [Google Scholar] [CrossRef] [PubMed]
- An, K.N.; Chao, E.Y.; Morrey, B.F.; Donkers, M.J. Intersegmental elbow joint load during pushup. Biomed. Sci. Instrum. 1992, 28, 69–74. [Google Scholar]
- Morrey, B.F.; An, K.N.; Stormont, T.J. Force transmission through the radial head. J. Bone Jt. Surg. Am. 1988, 70, 250–256. [Google Scholar] [CrossRef]
- Morrey, B.F.; Llusá-Pérez, M.; Ballesteros-Betancourt, J.R. Anatomy of the elbow joint. In Morrey’s the Elbow and Its Disorders, 5th ed.; Morrey, B.F., Sotelo, J.S., Morrey, M.E., Eds.; Elsevier: Amsterdam, The Netherlands, 2018; pp. 9–32. [Google Scholar]
- Bryce, C.D.; Armstrong, A.D. Anatomy and biomechanics of the elbow. Orthop. Clin. N. Am. 2008, 39, 141–154. [Google Scholar] [CrossRef] [PubMed]












| Volunteer | Sex | Age (Years) | Volunteer | Sex | Age (Years) |
|---|---|---|---|---|---|
| 1 | Female | 22 | 16 | Male | 23 |
| 2 | Female | 23 | 17 | Male | 23 |
| 3 | Female | 25 | 18 | Male | 26 |
| 4 | Female | 28 | 19 | Male | 26 |
| 5 | Female | 29 | 20 | Male | 28 |
| 6 | Female | 30 | 21 | Male | 32 |
| 7 | Female | 32 | 22 | Male | 33 |
| 8 | Female | 33 | 23 | Male | 34 |
| 9 | Female | 33 | 24 | Male | 38 |
| 10 | Female | 34 | 25 | Male | 38 |
| 11 | Female | 43 | 26 | Male | 41 |
| 12 | Female | 43 | 27 | Male | 43 |
| 13 | Female | 45 | 28 | Male | 45 |
| 14 | Female | 46 | 29 | Male | 46 |
| 15 | Female | 48 | 30 | Male | 49 |
Disclaimer/Publisher’s Note: The statements, opinions and data contained in all publications are solely those of the individual author(s) and contributor(s) and not of MDPI and/or the editor(s). MDPI and/or the editor(s) disclaim responsibility for any injury to people or property resulting from any ideas, methods, instructions or products referred to in the content. |
© 2024 by the authors. Licensee MDPI, Basel, Switzerland. This article is an open access article distributed under the terms and conditions of the Creative Commons Attribution (CC BY) license (https://creativecommons.org/licenses/by/4.0/).
Share and Cite
Kohyama, S.; Ikeda, K.; Okamoto, Y.; Ochiai, N.; Yoshii, Y. Optimization of Traction Magnetic Resonance Imaging to Improve Visibility of the Elbow Cartilage. Diagnostics 2024, 14, 630. https://doi.org/10.3390/diagnostics14060630
Kohyama S, Ikeda K, Okamoto Y, Ochiai N, Yoshii Y. Optimization of Traction Magnetic Resonance Imaging to Improve Visibility of the Elbow Cartilage. Diagnostics. 2024; 14(6):630. https://doi.org/10.3390/diagnostics14060630
Chicago/Turabian StyleKohyama, Sho, Kazuhiro Ikeda, Yoshikazu Okamoto, Naoyuki Ochiai, and Yuichi Yoshii. 2024. "Optimization of Traction Magnetic Resonance Imaging to Improve Visibility of the Elbow Cartilage" Diagnostics 14, no. 6: 630. https://doi.org/10.3390/diagnostics14060630
APA StyleKohyama, S., Ikeda, K., Okamoto, Y., Ochiai, N., & Yoshii, Y. (2024). Optimization of Traction Magnetic Resonance Imaging to Improve Visibility of the Elbow Cartilage. Diagnostics, 14(6), 630. https://doi.org/10.3390/diagnostics14060630

