Next Article in Journal
Endoscopic Ultrasound-Guided Ablation of Premalignant Pancreatic Cysts and Pancreatic Cancer
Next Article in Special Issue
Machine Learning-Based Algorithms for Enhanced Prediction of Local Recurrence and Metastasis in Low Rectal Adenocarcinoma Using Imaging, Surgical, and Pathological Data
Previous Article in Journal
Use of Sensor Array Analysis to Detect Ovarian Cancer through Breath, Urine, and Blood: A Case-Control Study
Previous Article in Special Issue
Predictive Factors for Difficult Laparoscopic Cholecystectomies in Acute Cholecystitis
 
 
Due to scheduled maintenance work on our servers, there may be short service disruptions on this website between 11:00 and 12:00 CEST on March 28th.
Font Type:
Arial Georgia Verdana
Font Size:
Aa Aa Aa
Line Spacing:
Column Width:
Background:
Interesting Images

Giant Lipoma of the Bauhin’s Valve

by
Cosmina Fugărețu
1,2,* and
Catalin Misarca
1,2
1
2nd General Surgery Department, Brașov County Emergency Clinical Hospital, 500326 Brașov, Romania
2
Faculty of General Medicine Brașov, Transilvania University, 500019 Brașov, Romania
*
Author to whom correspondence should be addressed.
Diagnostics 2024, 14(5), 562; https://doi.org/10.3390/diagnostics14050562
Submission received: 22 February 2024 / Revised: 2 March 2024 / Accepted: 5 March 2024 / Published: 6 March 2024
(This article belongs to the Special Issue Abdominal Diseases: Diagnosis, Treatment and Management)

Abstract

Lipomas are benign tumors that can affect the digestive tract, everywhere from the hypopharynx to the rectum. Lipomas affecting the large intestine are the second most common benign tumor, after colon adenoma. We present the case of a 46-year-old patient who was initially hospitalized in the Gastroenterology Clinic with a diagnosis of gastrointestinal bleeding. The colonoscopy raised the suspicion of a malignant tumor of the transverse colon, but the computed tomography scan showed the existence of a lipoma that measured 16/11/12 cm that occupied the ascending and transverse colon, though the CT examination could not determinate the origin of the lipoma. After restoring the hydro-electrolytic and fluid balance of the patient, surgery was performed and a huge lipoma of the ileocecal valve was discovered. Extended right hemicolectomy was performed, with good subsequent postoperative recovery of the patient, who was discharged on the fifth day after the surgery. The peculiarity of this case is the huge size of the benign tumor. Lipomas with digestive system localization, although rare, must be considered in patients arriving at the Emergency Department with digestive hemorrhages, intussusception and even intestinal obstruction.

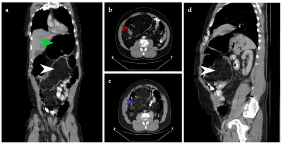
Figure 1. The CT examination with contrast substance reveals, in the coronal plane, voluminous lipoma with measurements of 16/11/12 cm projected in the lumen of the ascending and transverse colon without being able to establish the parietal affiliation. The tumor is indicated with a white arrow. The green arrow shows colonic dilation (a). A transverse section in arterial time reveals a voluminous lipoma, indicated with the red arrow (b). A cross section in venous time shows a lipomatous tumor, indicated with the blue arrow (c). In the sagittal plane, the same tumor is indicated with a white arrow (d). We present the case of a 46-year-old patient who arrives to the Brașov Emergency Department for rectal bleeding with fresh blood and blood clots which started about 12 h prior. The arterial blood pressure value was 100/50 mmHg, the heart rate was 100 bpm, and oxygen saturation (SpO2) = 96%. The patient had no medical family history. He was known to suffer from stage 2 hypertension, and he was a smoker and occasional alcohol user. All these symptoms appeared against a background of abdominal pain that debuted about 2 years ago, accompanied by intestinal transit disorders: constipation followed by diarrhea that relieves the pain. It was initially decided to hospitalize the patient at the Gastroenterology Clinic for investigations and specialized treatment. General clinical examination revealed pale and sweaty facies, and pale skin and mucous membranes. On examination, the abdomen was distended, mobile with respiratory movements, painful in the right iliac fossa, right flank and epigastrium and with no signs of peritoneal irritation. Rectal examination highlighted a normal-looking perianal region, normotonic anal sphincter, normal-sized prostate with preserved median groove and rectal ampulla that contained fresh blood and blood clots. The paraclinical examination detected Hemoglobin (Hb) 7.7 g/dL, Hematocrit (Ht) 21.6%, Serum iron test 34 ug/dL (normally 37–158 ug/dL). Colonoscopy was performed, and blood traces were detected in the colon and at 100 cm from the anal verge there was a large vegetative formation that occupied the entire lumen and could not be passed with the endoscope.
Figure 1. The CT examination with contrast substance reveals, in the coronal plane, voluminous lipoma with measurements of 16/11/12 cm projected in the lumen of the ascending and transverse colon without being able to establish the parietal affiliation. The tumor is indicated with a white arrow. The green arrow shows colonic dilation (a). A transverse section in arterial time reveals a voluminous lipoma, indicated with the red arrow (b). A cross section in venous time shows a lipomatous tumor, indicated with the blue arrow (c). In the sagittal plane, the same tumor is indicated with a white arrow (d). We present the case of a 46-year-old patient who arrives to the Brașov Emergency Department for rectal bleeding with fresh blood and blood clots which started about 12 h prior. The arterial blood pressure value was 100/50 mmHg, the heart rate was 100 bpm, and oxygen saturation (SpO2) = 96%. The patient had no medical family history. He was known to suffer from stage 2 hypertension, and he was a smoker and occasional alcohol user. All these symptoms appeared against a background of abdominal pain that debuted about 2 years ago, accompanied by intestinal transit disorders: constipation followed by diarrhea that relieves the pain. It was initially decided to hospitalize the patient at the Gastroenterology Clinic for investigations and specialized treatment. General clinical examination revealed pale and sweaty facies, and pale skin and mucous membranes. On examination, the abdomen was distended, mobile with respiratory movements, painful in the right iliac fossa, right flank and epigastrium and with no signs of peritoneal irritation. Rectal examination highlighted a normal-looking perianal region, normotonic anal sphincter, normal-sized prostate with preserved median groove and rectal ampulla that contained fresh blood and blood clots. The paraclinical examination detected Hemoglobin (Hb) 7.7 g/dL, Hematocrit (Ht) 21.6%, Serum iron test 34 ug/dL (normally 37–158 ug/dL). Colonoscopy was performed, and blood traces were detected in the colon and at 100 cm from the anal verge there was a large vegetative formation that occupied the entire lumen and could not be passed with the endoscope.
Diagnostics 14 00562 g001
Lipomas are benign tumors which develop from adipose tissue. The intestinal localization of lipomas is rare, being found in a percentage of 0.2–4.4% of all digestive tumors [1]. Intestinal lipomas were first described by Baurer in 1757 [2]. In terms of their origin, about 90% come from the submucosa and 10% from the subserosa [3]. Although theoretically they can be found anywhere along the digestive tract, from the hypopharynx to the rectum, these tumors are more frequent in the large intestine, rarer in the small intestine and very rare in the esophagus and stomach. The most common clinical manifestations are intussusception, followed by gastrointestinal bleeding when the lining mucosa is ulcerated and intestinal obstruction in the case of large lipomas [4,5,6]. The symptoms are not specific and often these are not taken into account when a patient arrives in the Emergency Department and when being subsequently diagnosed endoscopically or by medical imaging; they are also discovered during surgery.
The paraclinical diagnosis is most often made by performing a colonoscopy that reveals a pediculated tumor formation due to intestinal peristalsis that causes the extrusion of the lipoma in the digestive tract, but can also be sessile. “Pillow sign” occurs when a surface indentation is observed upon pushing the lipoma with closed biopsy forceps during colonoscopy. “Naked fat sign” is the evacuation of fat at the biopsy site [7]. In this case, the colonoscopy examination suggested an ulcerated transverse colon tumor that cannot be passed with the endoscope and the correct diagnosis was revealed by the abdominal CT examination that detected a well-defined tumor with fatty densities of 40–120 HU and allowed the exact establishment of tumor size. Mention should also be made of ‘The squeeze sign’, which is caused by changes in the shape and size of the tumor as a result of intestinal peristalsis and is evident on contrast enhanced fluoroscopy [8]. This examination was not performed in this case. Also, the MRI examination provides the most information for preoperative assessment of the benign or malignant character of lipomatic tumors. Thus, the authors have succeeded in the correct preoperative classification of lipomatic tumors in more than 70% of cases [9].
Small intestinal lipomas, less than 2 cm in diameter, may benefit from endoscopic submucosal excision; for the other cases, limited or extended colon resection surgery is preferable when a malignant neoplastic pathology cannot be excluded [3].
In this case, surgical treatment was the only therapeutic alternative given the giant size of the lipomatous tumor. The laparoscopic approach, although desirable, was not possible due to the impossibility of manipulating the right colon occupied by the large tumor and because of the colonic hemorrhage and worry about an isolated large bowel obstruction. After mechanical preparation of the colon with Fortrans and the administration of prophylactic antibiotic therapy with generation II cephalosporins and Metronidazole, surgery was performed. Extended right hemicolectomy was performed with the ligation at the origin of the ileocolic vessels, right colic and middle colic artery, and the restoration of intestinal continuity was achieved by a latero-lateral ileocolic anastomosis.
Figure 2. The intraoperative aspect shows a very dilated ascending and transverse colon, with a diameter of 12 cm, occupied by a giant tumor formation which does not invade the intestinal wall of the right colon. The tumor is indicated by the yellow arrow (A). The surgical resection specimen is sectioned and a polylobate, lipomatous voluminous tumor formation of 16/12 cm with apparent origin at the level of the ileo-cecal valve was discovered. The yellow arrow indicates the giant lipoma. The ileo-cecal valve is indicated by the green arrow. The ileum is indicated by the red arrow and the ascending colon is shown by the blue arrow (B). Usually, colon resections are limited in the case of lipomas because they are benign tumors. In this case, an extended right hemicolectomy was performed in order to be able to safely excise the entire tumor and due to the suspicion of liposarcoma. The postoperative evolution of the patient was favorable, with normal resumption of bowel activity on the 3rd postoperative day and his discharge on the 5th postoperative day.
Figure 2. The intraoperative aspect shows a very dilated ascending and transverse colon, with a diameter of 12 cm, occupied by a giant tumor formation which does not invade the intestinal wall of the right colon. The tumor is indicated by the yellow arrow (A). The surgical resection specimen is sectioned and a polylobate, lipomatous voluminous tumor formation of 16/12 cm with apparent origin at the level of the ileo-cecal valve was discovered. The yellow arrow indicates the giant lipoma. The ileo-cecal valve is indicated by the green arrow. The ileum is indicated by the red arrow and the ascending colon is shown by the blue arrow (B). Usually, colon resections are limited in the case of lipomas because they are benign tumors. In this case, an extended right hemicolectomy was performed in order to be able to safely excise the entire tumor and due to the suspicion of liposarcoma. The postoperative evolution of the patient was favorable, with normal resumption of bowel activity on the 3rd postoperative day and his discharge on the 5th postoperative day.
Diagnostics 14 00562 g002
Figure 3. Microscopic image of the lipomatous tumor formation. The red arrow indicates the colic mucosa, the blue arrow shows the muscle of the mucous membrane, and the yellow arrow points to the lipoma originating in the submucous colic. The tumor consists of fat cells without architectural modifications with a mitotic activity of 1.5 mitoses/HPF. The presence of mitotic activity greater than 4.5 mitoses/HPF has a sensitivity of 82.4% and a specificity of 100% for the diagnosis of liposarcoma [10]. The peculiarity of the case is represented by the relatively young age of the patient as well as by the giant size of the tumor. At 3 years post-surgery, the patient remains asymptomatic without any clinical evidence of recurrence. Lipomas are benign tumors rarely found in the colon, accounting for 4% of all benign intestinal tumors [1]. However, these should not be forgotten in patients with the above-mentioned symptoms as they can cause severe complications such as intussusception, intestinal obstruction or gastrointestinal bleeding. It is necessary to establish an appropriate therapeutic conduct and treat these tumors endoscopically or surgically depending on the size.
Figure 3. Microscopic image of the lipomatous tumor formation. The red arrow indicates the colic mucosa, the blue arrow shows the muscle of the mucous membrane, and the yellow arrow points to the lipoma originating in the submucous colic. The tumor consists of fat cells without architectural modifications with a mitotic activity of 1.5 mitoses/HPF. The presence of mitotic activity greater than 4.5 mitoses/HPF has a sensitivity of 82.4% and a specificity of 100% for the diagnosis of liposarcoma [10]. The peculiarity of the case is represented by the relatively young age of the patient as well as by the giant size of the tumor. At 3 years post-surgery, the patient remains asymptomatic without any clinical evidence of recurrence. Lipomas are benign tumors rarely found in the colon, accounting for 4% of all benign intestinal tumors [1]. However, these should not be forgotten in patients with the above-mentioned symptoms as they can cause severe complications such as intussusception, intestinal obstruction or gastrointestinal bleeding. It is necessary to establish an appropriate therapeutic conduct and treat these tumors endoscopically or surgically depending on the size.
Diagnostics 14 00562 g003

Author Contributions

Conceptualization, C.F. and C.M.; methodology, C.F. and C.M.; software, C.F.; validation, C.F. and C.M.; formal analysis, C.F.; investigation, C.F. and C.M.; resources, C.F. and C.M.; data curation, C.F. and C.M.; writing—original draft preparation, C.F.; writing—review and editing, C.F.; visualization, C.M.; supervision, C.M.; project administration, C.F.; funding acquisition, C.F. All authors have read and agreed to the published version of the manuscript.

Funding

This research received no external funding.

Institutional Review Board Statement

Ethical review and approval were waived for this study due to it being a retrospective case report, which did not impact the management of the patient.

Informed Consent Statement

Written informed consent has been obtained from the patient to publish this paper.

Data Availability Statement

The data presented in this study are available on request from the corresponding author.

Conflicts of Interest

The authors declare no conflicts of interest.

References

  1. Vecchio, R.; Ferrara, M.; Mosca, F.; Ignoto, A.; Latteri, F. Lipomas of the large bowel. Eur. J. Surg. Acta Chir. 1996, 162, 915–919. [Google Scholar]
  2. Zhang, H.; Cong, J.C.; Chen, C.S.; Qiao, L.; Liu, E.Q. Submucous colon lipoma: A case report and review of the literature. World J. Gastroenterol. 2005, 11, 3167–3169. [Google Scholar] [CrossRef] [PubMed]
  3. Cirino, E.; Calì, V.; Basile, G.; Muscari, C.; Caragliano, P.; Petino, A. Invaginazione intestinale da lipoma del colon [Intestinal invagination caused by colonic lipoma]. Minerva Chir. 1996, 51, 717–723. [Google Scholar] [PubMed]
  4. Suleiman, J.; Suleman, M.; Mremi, A.; Sadiq, A.; Mohamedali, A.; Machaku, D.; Lodhia, J. Colon Lipoma Causing Colo-Colic Intussusception in an Adult: A Case Report from Tanzania. Case Rep. Surg. 2024, 2024, 7777258. [Google Scholar] [CrossRef] [PubMed]
  5. Álvarez-Bautista, F.E.; Moctezuma-Velázquez, P.; Cisneros-Correa, J.C.; Aguilar-Frasco, J.L.; Vélez-Valle, A.; Vergara-Fernández, O.; Salgado-Nesme, N. Colonic lipomas an uncommon cause of intussusception in adult patients: Report of three cases and literature review. [Lipomas de colon una causa poco común de intususcepción en pacientes adultos: Reporte de tres casos y revisión de la literature]. Cir. Cir. 2021, 89, 9–12. [Google Scholar] [PubMed]
  6. Reijnen, H.A.; Joosten, H.J.; de Boer, H.H. Diagnosis and treatment of adult intussusception. Am. J. Surg. 1989, 158, 25–28. [Google Scholar] [CrossRef] [PubMed]
  7. Zimmer, V. Naked Fat Sign Is a Characteristic of Colonic Lipoma. Clin. Gastroenterol. Hepatol. Off. Clin. Pract. J. Am. Gastroenterol. Assoc. 2019, 17, A29. [Google Scholar] [CrossRef] [PubMed]
  8. Marra, B. Occlusione intestinale da lipoma del colon. A proposito di due casi [Intestinal occlusion due to a colonic lipoma. Apropos 2 cases]. Minerva Chir. 1993, 48, 1035–1039. [Google Scholar] [PubMed]
  9. Ballhause, T.M.; Korthaus, A.; Jahnke, M.; Frosch, K.H.; Yamamura, J.; Dust, T.; Schlickewei, C.W.; Priemel, M.H. Lipomatous Tumors: A Comparison of MRI-Reported Diagnosis with Histological Diagnosis. Diagnostics 2022, 12, 1281. [Google Scholar] [CrossRef] [PubMed]
  10. Deacu, M.; Bosoteanu, M.; Enciu, M.; Cozaru, G.C.; Cojocaru, O.; Baltatescu, G.I.; Nicolau, A.A.; Orasanu, C.I.; Caraban, B.M.; Voda, R.I. The Predictive Role of the Histopathological Scoring System in Adipose Tumors-Lipoma, Atypical Lipomatous Tumor, and Liposarcoma. Diagnostics 2023, 13, 3606. [Google Scholar] [CrossRef]
Disclaimer/Publisher’s Note: The statements, opinions and data contained in all publications are solely those of the individual author(s) and contributor(s) and not of MDPI and/or the editor(s). MDPI and/or the editor(s) disclaim responsibility for any injury to people or property resulting from any ideas, methods, instructions or products referred to in the content.

Share and Cite

MDPI and ACS Style

Fugărețu, C.; Misarca, C. Giant Lipoma of the Bauhin’s Valve. Diagnostics 2024, 14, 562. https://doi.org/10.3390/diagnostics14050562

AMA Style

Fugărețu C, Misarca C. Giant Lipoma of the Bauhin’s Valve. Diagnostics. 2024; 14(5):562. https://doi.org/10.3390/diagnostics14050562

Chicago/Turabian Style

Fugărețu, Cosmina, and Catalin Misarca. 2024. "Giant Lipoma of the Bauhin’s Valve" Diagnostics 14, no. 5: 562. https://doi.org/10.3390/diagnostics14050562

APA Style

Fugărețu, C., & Misarca, C. (2024). Giant Lipoma of the Bauhin’s Valve. Diagnostics, 14(5), 562. https://doi.org/10.3390/diagnostics14050562

Note that from the first issue of 2016, this journal uses article numbers instead of page numbers. See further details here.

Article Metrics

Back to TopTop