Updates in Diagnosis and Endoscopic Management of Cholangiocarcinoma
Abstract
1. Introduction
2. Epidemiology
3. Risk Factors
4. Genetic Factors
5. Macroscopic and Microscopic Features of CCA
6. Diagnosis
6.1. Clinical Presentation
6.2. Laboratory Findings
6.3. Imaging of CCA
6.3.1. Ultrasound (US)
6.3.2. Abdominal Contrast-Enhanced Ultrasound (CEUS)
6.3.3. Computed Tomography (CT) Imaging
6.3.4. Magnetic Resonance Imaging (MRI)
6.3.5. Fluorodeoxyglucose Positron Emission Tomography (PET CT)
6.4. Endoscopic Diagnostic Methods
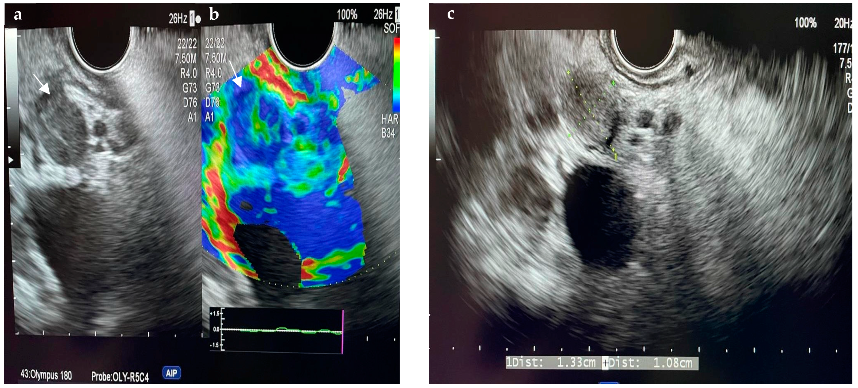
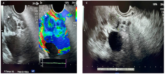
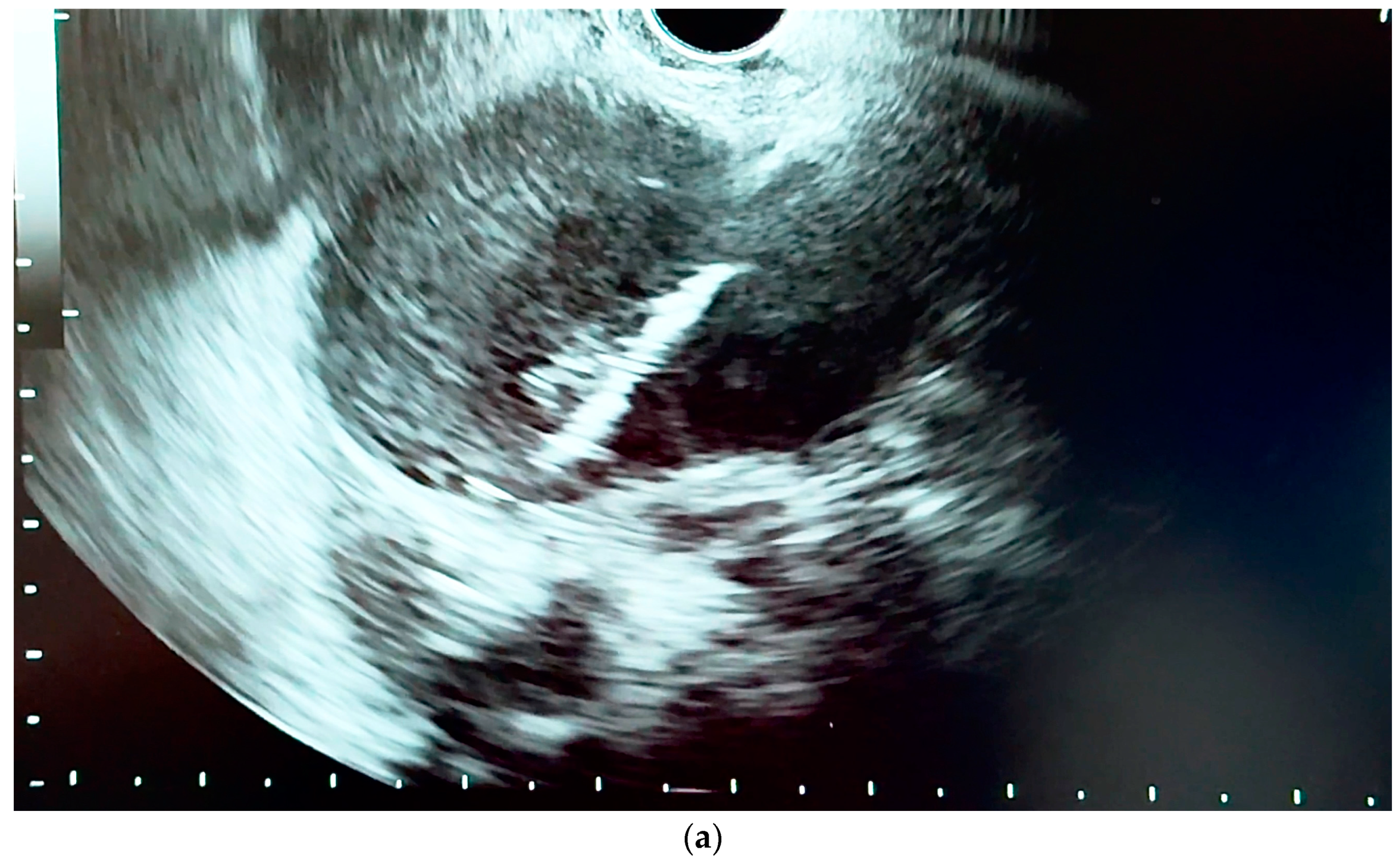
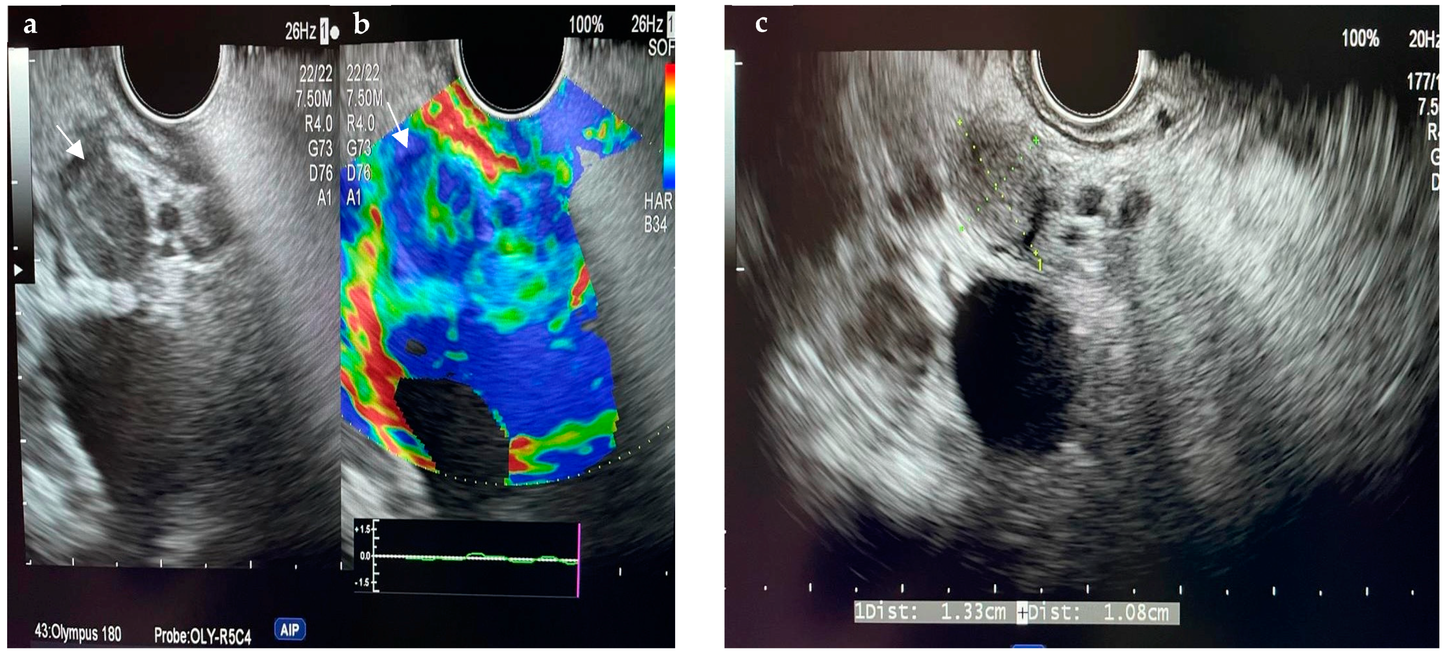
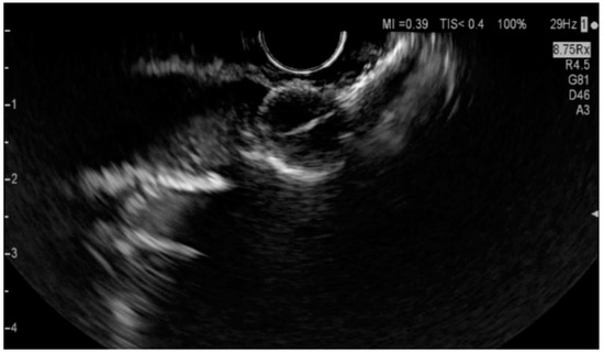
6.4.1. Endoscopic Ultrasound (EUS)
6.4.2. Endoscopic Retrograde Cholangiopancreatography (ERCP)
6.4.3. Confocal Laser Endomicroscopy
6.4.4. Intraductal Ultrasonography (IDUS)
7. Endoscopic Management
7.1. Endoscopic Guided Biliary Drainage
7.1.1. Endoscopic Biliary Stenting (EBS)
- -
- Type I: the tumor is limited to the common hepatic duct below the confluence of the two hepatic ducts;
- -
- Type II: it involves the confluence of the two hepatic ducts;
- -
- Type IIIa: type II + involves the origin of the right hepatic duct;
- -
- Type IIIb: type II + involves the origin of the left hepatic duct;
- -
- Type IV: involves the origin of both hepatic ducts (type IIIa+IIIb)/multifocal involvement;
- -
- Type V: the stricture is localized at the junction of the common bile duct and the cystic duct [74].
7.1.2. Endoscopic Nasobiliary Drainage (ENDB)
7.1.3. EUS-Guided Biliary Drainage (EUS-BD)
7.2. Photodynamic Therapy (PDT)
7.3. Radiofrequency Ablation (RFA)
8. Surgical Treatment
9. Chemotherapy and Immunotherapy
- -
- IDH-1 mutation: Ivosidenib;
- -
- FGFR2 fusions: Pemigatinib, Infigratinib, Futibatinib;
- -
- BRAF mutation: Dabrafenib, Trametinib;
- -
- microsatellite instability (MSI-H/dMMR): Pembrolizumab;
- -
- HER2/neu overexpressions: Trastuzumab-Pertuzumab [95].
10. Conclusions
Author Contributions
Funding
Institutional Review Board Statement
Informed Consent Statement
Data Availability Statement
Conflicts of Interest
References
- Brindley, P.J.; Bachini, M.; Ilyas, S.I.; Khan, S.A.; Loukas, A.; Sirica, A.E.; Teh, B.T.; Wongkham, S.; Gores, G.J. Cholangiocarcinoma. Nat. Rev. Dis. Primers 2021, 7, 65. [Google Scholar] [CrossRef]
- Cardinale, V. Classifications and misclassification in cholangiocarcinoma. Liver Int. 2019, 39, 260–262. [Google Scholar] [CrossRef] [PubMed]
- Kendall, T.; Verheij, J.; Gaudio, E.; Evert, M.; Guido, M.; Goeppert, B.; Carpino, G. Anatomical, histomorphological and molecular classification of cholangiocarcinoma. Liver Int. 2019, 39 (Suppl. S1), 7–18. [Google Scholar] [CrossRef] [PubMed]
- Khan, S.A.; Tavolari, S.; Brandi, G. Cholangiocarcinoma: Epidemiology and risk factors. Liver Int. 2019, 39 (Suppl. S1), 19–31. [Google Scholar] [CrossRef] [PubMed]
- Rizvi, S.; Khan, S.A.; Hallemeier, C.L.; Kelley, R.K.; Gores, G.J. Cholangiocarcinoma—Evolving concepts and therapeutic strategies. Nat. Rev. Clin. Oncol. 2018, 15, 95–111. [Google Scholar] [CrossRef] [PubMed]
- Squadroni, M.; Tondulli, L.; Gatta, G.; Mosconi, S.; Beretta, G.; Labianca, R. Cholangiocarcinoma. Crit. Rev. Oncol. Hematol. 2017, 116, 11–31. [Google Scholar] [CrossRef] [PubMed]
- Petney, T.N.; Andrews, R.H.; Saijuntha, W.; Wenz-Mucke, A.; Sithithaworn, P. The zoonotic, fish-borne liver flukes Clonorchis sinensis, Opisthorchis felineus and Opisthorchis viverrini. Int. J. Parasitol. 2013, 43, 1031–1046. [Google Scholar] [CrossRef] [PubMed]
- Blechacz, B. Cholangiocarcinoma: Current Knowledge and New Developments. Gut Liver. 2017, 11, 13–26. [Google Scholar] [CrossRef] [PubMed]
- Pakharukova, M.Y.; Mordvinov, V.A. The liver fluke Opisthorchis felineus: Biology, epidemiology and carcinogenic potential. Trans. R. Soc. Trop. Med. Hyg. 2016, 110, 28–36. [Google Scholar] [CrossRef]
- Song, J.; Li, Y.; Bowlus, C.L.; Yang, G.; Leung, P.S.C.; Gershwin, M.E. Cholangiocarcinoma in Patients with Primary Sclerosing Cholangitis (PSC): A Comprehensive Review. Clin. Rev. Allergy Immunol. 2020, 58, 134–149. [Google Scholar] [CrossRef]
- Clements, O.; Eliahoo, J.; Kim, J.U.; Taylor-Robinson, S.D.; Khan, S.A. Risk factors for intrahepatic and extrahepatic cholangiocarcinoma: A systematic review and meta-analysis. J. Hepatol. 2020, 72, 95–103. [Google Scholar] [CrossRef]
- Nakamura, H.; Arai, Y.; Totoki, Y.; Shirota, T.; Elzawahry, A.; Kato, M.; Hama, N.; Hosoda, F.; Urushidate, T.; Ohashi, S.; et al. Genomic spectra of biliary tract cancer. Nat. Genet. 2015, 47, 1003–1010. [Google Scholar] [CrossRef] [PubMed]
- Neumann, O.; Burn, T.C.; Allgäuer, M.; Ball, M.; Kirchner, M.; Albrecht, T.; Volckmar, A.-L.; Beck, S.; Endris, V.; Goldschmid, H.; et al. Genomic architecture of FGFR2 fusions in cholangiocarcinoma and its implication for molecular testing. Br. J. Cancer 2022, 127, 1540–1549. [Google Scholar] [CrossRef] [PubMed]
- Jusakul, A.; Cutcutache, I.; Yong, C.H.; Lim, J.Q.; Huang, M.N.; Padmanabhan, N.; Nellore, V.; Kongpetch, S.; Ng, A.W.T.; Ng, L.M.; et al. Whole-Genome and Epigenomic Landscapes of Etiologically Distinct Subtypes of Cholangiocarcinoma. Cancer Discov. 2017, 7, 1116–1135. [Google Scholar] [CrossRef] [PubMed]
- Banales, J.M.; Cardinale, V.; Carpino, G.; Marzioni, M.; Andersen, J.B.; Invernizzi, P.; Lind, G.E.; Folseraas, T.; Forbes, S.J.; Fouassier, L.; et al. Expert consensus document: Cholangiocarcinoma: Current knowledge and future perspectives consensus statement from the European Network for the Study of Cholangiocarcinoma (ENS-CCA). Nat. Rev. Gastroenterol. Hepatol. 2016, 13, 261–280. [Google Scholar] [CrossRef] [PubMed]
- Vijgen, S.; Terris, B.; Rubbia-Brandt, L. Pathology of intrahepatic cholangiocarcinoma. Hepatobiliary Surg. Nutr. 2017, 6, 22–34. [Google Scholar] [CrossRef] [PubMed]
- Lendvai, G.; Szekerczés, T.; Illyés, I.; Dóra, R.; Kontsek, E.; Gógl, A.; Kiss, A.; Werling, K.; Kovalszky, I.; Schaff, Z.; et al. Cholangiocarcinoma: Classification, Histopathology and Molecular Carcinogenesis. Pathol. Oncol. Res. 2020, 26, 3–15. [Google Scholar] [CrossRef] [PubMed]
- Guedj, N. Pathology of Cholangiocarcinomas. Curr. Oncol. 2022, 30, 370–380. [Google Scholar] [CrossRef]
- Brunt, E.; Aishima, S.; Clavien, P.A.; Fowler, K.; Goodman, Z.; Gores, G.; Gouw, A.; Kagen, A.; Klimstra, D.; Komuta, M.; et al. cHCC-CCA: Consensus terminology for primary liver carcinomas with both hepatocytic and cholangiocytic differentation. Hepatology 2018, 68, 113–126. [Google Scholar] [CrossRef]
- Balitzer, D.; Joseph, N.M.; Ferrell, L.; Shafizadeh, N.; Jain, D.; Zhang, X.; Yeh, M.; di Tommaso, L.; Kakar, S. Immunohistochemical and molecular features of cholangiolocellular carcinoma are similar to well-differentiated intrahepatic cholangiocarcinoma. Mod. Pathol. 2019, 32, 1486–1494. [Google Scholar] [CrossRef]
- Rizvi, S.; Gores, G.J. Pathogenesis, diagnosis, and management of cholangiocarcinoma. Gastroenterology 2013, 145, 1215–1229. [Google Scholar] [CrossRef]
- Nakeeb, A.; Pitt, H.A.; Sohn, T.A.; Coleman, J.; Abrams, R.A.; Piantadosi, S.; Hruban, R.H.; Lillemoe, K.D.; Yeo, C.J.; Cameron, J.L. Cholangiocarcinoma. A spectrum of intrahepatic, perihilar, and distal tumors. Ann. Surg. 1996, 224, 463–473; discussion 473–475. [Google Scholar] [CrossRef]
- Blechacz, B.; Komuta, M.; Roskams, T.; Gores, G.J. Clinical diagnosis and staging of cholangiocarcinoma. Nat. Rev. Gastroenterol. Hepatol. 2011, 8, 512–522. [Google Scholar] [CrossRef] [PubMed]
- Rodrigues, P.M.; Vogel, A.; Arrese, M.; Balderramo, D.C.; Valle, J.W.; Banales, J.M. Next-Generation Biomarkers for Cholangiocarcinoma. Cancers 2021, 13, 3222. [Google Scholar] [CrossRef] [PubMed]
- Rahnemai-Azar, A.A.; Weisbrod, A.; Dillhoff, M.; Schmidt, C.; Pawlik, T.M. Intrahepatic cholangiocarcinoma: Molecular markers for diagnosis and prognosis. Surg. Oncol. 2017, 26, 125–137. [Google Scholar] [CrossRef] [PubMed]
- Macias, R.I.; Banales, J.; Sangro, B.; Muntané, J.; Avila, M.; Lozano, E.; Perugorria, M.J.; Padillo, F.J.; Bujanda, L.; Marin, J.J. The search for novel diagnostic and prognostic biomarkers in cholangiocarcinoma. Biochim. Biophys. Acta Mol. Basis Dis. 2018, 1864, 1468–1477. [Google Scholar] [CrossRef]
- Galassi, M.; Iavarone, M.; Rossi, S.; Bota, S.; Vavassori, S.; Rosa, L.; Leoni, S.; Venerandi, L.; Marinelli, S.; Sangiovanni, A.; et al. Patterns of appearance and risk of misdiagnosis of intrahepatic cholangiocarcinoma in cirrhosis at contrast enhanced ultrasound. Liver Int. 2013, 33, 771–779. [Google Scholar] [CrossRef] [PubMed]
- Wildner, D.; Bernatik, T.; Greis, C.; Seitz, K.; Neurath, M.F.; Strobel, D. CEUS in hepatocellular carcinoma and intrahepatic cholangiocellular carcinoma in 320 patients—Early or late washout matters: A subanalysis of the DEGUM multicenter trial. Ultraschall Med. 2015, 36, 132–139. [Google Scholar] [CrossRef] [PubMed]
- Chung, Y.; Kim, M.; Park, Y.; Choi, J.-Y.; Pyo, J.Y.; Kim, Y.C.; Cho, H.J.; Kim, K.A.; Choi, S.Y. Varying Appearances of Cholangiocarcinoma: Radiologic-Pathologic Correlation. Radiographics 2009, 29, 683–700. [Google Scholar] [CrossRef] [PubMed]
- Guo, L.H.; Xu, H.X. Contrast-Enhanced Ultrasound in the Diagnosis of Hepatocellular Carcinoma and Intrahepatic Cholangiocarcinoma: Controversy over the ASSLD Guideline. Biomed. Res. Int. 2015, 2015, 349172. [Google Scholar] [CrossRef]
- Forner, A.; Vidili, G.; Rengo, M.; Bujanda, L.; Ponz-Sarvisé, M.; Lamarca, A. Clinical presentation, diagnosis and staging of cholangiocarcinoma. Liver Int. 2019, 39 (Suppl. S1), 98–107. [Google Scholar] [CrossRef] [PubMed]
- Türkoğlu, M.A.; Yamamoto, Y.; Sugiura, T.; Okamura, Y.; Ito, T.; Ashida, R.; Uemura, S.; Miyata, T.; Kakuda, Y.; Nakanuma, Y.; et al. The favorable prognosis after operative resection of hypervascular intrahepatic cholangiocarcinoma: A clinicopathologic and immunohistochemical study. Surgery 2016, 160, 683–690. [Google Scholar] [CrossRef] [PubMed]
- Vilgrain, V. Staging cholangiocarcinoma by imaging studies. HPB 2008, 10, 106–109. [Google Scholar] [CrossRef]
- Cholangiocarcinoma. Reference Article. Available online: https://radiopaedia.org/articles/1114 (accessed on 12 August 2023). [CrossRef]
- Mar, W.A.; Shon, A.M.; Lu, Y.; Yu, J.H.; Berggruen, S.M.; Guzman, G.; Ray, C.E., Jr.; Miller, F. Imaging spectrum of cholangiocarcinoma: Role in diagnosis, staging, and posttreatment evaluation. Abdom. Radiol. 2016, 41, 553–567. [Google Scholar] [CrossRef]
- Vanderveen, K.A.; Hussain, H.K. Magnetic Resonance Imaging of cholangiocarcinoma. Cancer Imaging 2004, 4, 104–115. [Google Scholar] [CrossRef] [PubMed]
- Han, J.; Choi, B.; Kim, A.; An, S.K.; Lee, J.W.; Kim, T.K.; Kim, S.-W. Cholangiocarcinoma: Pictorial Essay of CT and Cholangiographic Findings. Radiographics 2002, 22, 173–187. [Google Scholar] [CrossRef]
- Choi, S.H.; Lee, S.S.; Kim, S.Y.; Park, S.H.; Park, S.H.; Kim, K.M.; Hong, S.-M.; Yu, E.; Lee, M.-G. Intrahepatic cholangiocarcinoma in patients with cirrhosis: Differentiation from hepatocellular carcinoma by using gadoxetic acid-enhanced MR imaging and dynamic CT. Radiology 2017, 282, 771–781. [Google Scholar] [CrossRef]
- Manfredi, R.; Masselli, G.; Maresca, G.; Brizi, M.G.; Vecchioli, A.; Marano, P. MR imaging and MRCP of hilar cholangiocarcinoma. Abdom. Imaging 2003, 28, 319–325. [Google Scholar] [CrossRef]
- Low, R.N. MR imaging of the liver using gadolinium chelates. Magn. Reson. Imaging Clin. N. Am. 2001, 9, 717–743. [Google Scholar] [CrossRef]
- Murakami, T.; Nakamura, H.; Tsuda, K.; Ishida, T.; Tomoda, K.; Hori, S.; Monden, M.; Kanai, T.; Wakasa, K.; Sakurai, M.; et al. Contrast-enhanced MR imaging of intrahepatic cholangiocarcinoma: Pathologic correlation study. J. Magn. Reson. Imaging 1995, 5, 165–170. [Google Scholar] [CrossRef]
- Doherty, B.; Nambudiri, V.E.; Palmer, W.C. Update on the Diagnosis and Treatment of Cholangiocarcinoma. Curr. Gastroenterol. Rep. 2017, 19, 2. [Google Scholar] [CrossRef]
- Orzan, R.I.; Pojoga, C.; Agoston, R.; Seicean, R.; Seicean, A. Endoscopic Ultrasound in the Diagnosis of Extrahepatic Cholangiocarcinoma: What Do We Know in 2023? Diagnostics 2023, 13, 1023. [Google Scholar] [CrossRef] [PubMed]
- Tamada, K.; Ido, K.; Ueno, N.; Kimura, K.; Ichiyama, M.; Tomiyama, T. Preoperative staging of extrahepatic bile duct cancer with intraductal ultrasonography. Am. J. Gastroenterol. 1995, 90, 239–246. [Google Scholar] [PubMed]
- Gleeson, F.C.; Rajan, E.; Levy, M.J.; Clain, J.E.; Topazian, M.D.; Harewood, G.C.; Papachristou, G.I.; Takahashi, N.; Rosen, C.B.; Gores, G.J. EUS-guided FNA of regional lymph nodes in patients with unresectable hilar cholangiocarcinoma. Gastrointest. Endosc. 2008, 67, 438–443. [Google Scholar] [CrossRef] [PubMed]
- Otsuka, Y.; Kamata, K.; Hyodo, T.; Chikugo, T.; Hara, A.; Tanaka, H.; Yoshikawa, T.; Ishikawa, R.; Okamoto, A.; Yamazaki, T.; et al. Utility of contrast-enhanced harmonic endoscopic ultrasonography for T-staging of patients with extrahepatic bile duct cancer. Surg. Endosc. 2022, 36, 3254–3260. [Google Scholar] [CrossRef] [PubMed]
- Strongin, A.; Singh, H.; Eloubeidi, M.A.; Siddiqui, A.A. Role of endoscopic ultrasonography in the evaluation of extrahepatic cholangiocarcinoma. Endosc. Ultrasound 2013, 2, 71–76. [Google Scholar] [PubMed]
- Heimbach, J.K.; Sanchez, W.; Rosen, C.B.; Gores, G.J. Trans-peritoneal fine needle aspiration biopsy of hilar cholangiocarcinoma is associated with disease dissemination. HPB 2011, 13, 356–360. [Google Scholar] [CrossRef] [PubMed]
- Ieni, A.; Todaro, P.; Crino, S.F.; Barresi, V.; Tuccari, G. Endoscopic ultrasound-guided fine-needle aspiration cytology in pancreaticobiliary carcinomas: Diagnostic efficacy of cell-block immunocytochemistry. Hepatobiliary Pancreat. Dis. Int. 2015, 14, 305–312. [Google Scholar] [CrossRef] [PubMed]
- Ogawa, T.; Ito, K.; Koshita, S.; Kanno, Y.; Masu, K.; Kusunose, H.; Sakai, T.; Murabayashi, T.; Hasegawa, S.; Noda, Y. Usefulness of cholangioscopic-guided mapping biopsy using SpyGlass DS for preoperative evaluation of extrahepatic cholangiocarcinoma: A pilot study. Endosc. Int. Open 2018, 6, E199–E204. [Google Scholar] [CrossRef]
- Navaneethan, U.; Njei, B.; Lourdusamy, V.; Konjeti, R.; Vargo, J.J.; Parsi, M.A. Comparative effectiveness of biliary brush cytology and intraductal biopsy for detection of malignant biliary strictures: A systematic review and meta-analysis. Gastrointest. Endosc. 2015, 81, 168–176. [Google Scholar] [CrossRef]
- Barr Fritcher, E.G.; Kipp, B.R.; Halling, K.C.; Oberg, T.N.; Bryant, S.C.; Tarrell, R.F.; Gores, G.J.; Levy, M.J.; Clayton, A.C.; Sebo, T.J.; et al. A Multivariable model using advanced cytologic methods for the evaluation of indeterminate pancreatobiliary strictures. Gastroenterology 2009, 136, 2180–2186. [Google Scholar] [CrossRef]
- Nanda, A.; Brown, J.M.; Berger, S.H.; Lewis, M.M.; Fritcher, E.G.B.; Gores, G.J.; Keilin, S.A.; Woods, K.E.; Cai, Q.; Willingham, F.F. Triple modality testing by endoscopic retrograde cholangiopancreatography for the diagnosis of cholangiocarcinoma. Therap. Adv. Gastroenterol. 2015, 8, 56–65. [Google Scholar] [CrossRef]
- Pereira, P.; Santos, S.; Morais, R.; Gaspar, R.; Rodrigues-Pinto, E.; Vilas-Boas, F.; Macedo, G. Role of peroral cholangioscopy for diagnosis and staging of biliary tumors. Dig Dis. 2020, 38, 431–439. [Google Scholar] [CrossRef] [PubMed]
- Sethi, A.; Tyberg, A.; Slivka, A.; Adler, D.G.; Desai, A.P.; Sejpal, D.V.; Pleskow, D.K.; Bertani, H.; Gan, S.-I.; Shah, R.; et al. Digital Single-operator Cholangioscopy (DSOC) Improves Interobserver Agreement (IOA) and Accuracy for Evaluation of Indeterminate Biliary Strictures: The Monaco Classification. J. Clin. Gastroenterol. 2022, 56, e94–e97. [Google Scholar] [CrossRef] [PubMed]
- Robleda, M.C.M.; Morales, M.J.; Servin, M.H.; Levy, J.G.D.l.M.; Solis, M.R.; del Monte, J.S.; Larraga, O.A.; Guerrero, A.H. Comparison of the Cholangioscopy Findings Using Monaco Classification with Pathology Report in Malignant Biliary Strictures: 780. Am. J. Gastroenterol. 2017, 112, S436–S437. [Google Scholar] [CrossRef]
- Moura, D.T.H.; de Moura, E.G.H.; Matuguma, S.E.; Dos Santos, M.E.; Moura, E.T.H.; Baracat, F.I.; Artifon, E.; Cheng, S.; Bernardo, W.M.; Chacon, D.; et al. EUS-FNA versus ERCP for tissue diagnosis of suspect malignant biliary strictures: A prospective comparative study. Endosc. Int. Open 2018, 6, E769–E777. [Google Scholar] [CrossRef] [PubMed]
- Mathew, P.; Kanni, P.; Gowda, M.; Devarapu, C.; Ansari, J.; Garg, A. A Comparative Study of Endoscopic Ultrasound Fine-Needle Aspiration (EUS-FNA) and Endoscopic Retrograde Cholangiopancreatography (ERCP)-Based Brush Cytology for Tissue Diagnosis in Malignant Biliary Obstruction. Cureus 2022, 14, e30291. [Google Scholar] [CrossRef]
- Sobhrakhshankhah, E.; Sohrabi, M.; Norouzi, H.R.; Zamani, F.; Ajdarkosh, H.; Nikkhah, M.; Khoonsari, M.R.; Faraji, A.H. Tissue Sampling through Endoscopic Ultrasound-Guided Fine Needle Aspiration versus Endoscopic Retrograde Cholangiopancreatographic Brushing Cytology Technique in Suspicious Malignant Biliary Stricture. Middle East J. Dig. Dis. 2021, 13, 294–301. [Google Scholar] [CrossRef]
- Onoyama, T.; Matsumoto, K.; Takeda, Y.; Kawata, S.; Kurumi, H.; Koda, H.; Yamashita, T.; Takata, T.; Isomoto, H. Endoscopic Ultrasonography-Guided Fine Needle Aspiration for Extrahepatic Cholangiocarcinoma: A Safe Tissue Sampling Modality. J. Clin. Med. 2019, 8, 417. [Google Scholar] [CrossRef]
- Kim, D.H.; Krishna, S.G.; Coronel, E.; Kröner, P.T.; Wolfsen, H.C.; Wallace, M.B.; Corral, J.E. Confocal Laser Endomicroscopy in the Diagnosis of Biliary and Pancreatic Disorders: A Systematic Analysis. Clin. Endosc. 2022, 55, 197–207. [Google Scholar] [CrossRef]
- Zhou, S.; Buxbaum, J. Advanced Imaging of the Biliary System and Pancreas. Dig. Dis. Sci. 2022, 67, 1599–1612. [Google Scholar] [CrossRef] [PubMed]
- Varadarajulu, S.; Eloubeidi, M.A. The role of endoscopic ultrasonography in the evaluation of pancreatico-biliary cancer. Surg. Clin. N. Am. 2010, 90, 251–263. [Google Scholar] [CrossRef]
- Chen, L.; Lu, Y.; Wu, J.-C.; Bie, L.; Xia, L.; Gong, B. Diagnostic Utility of Endoscopic Retrograde Cholangiography/Intraductal Ultrasound (ERC/IDUS) in Distinguishing Malignant from Benign Bile Duct Obstruction. Dig. Dis. Sci. 2016, 61, 610–617. [Google Scholar] [CrossRef]
- Tischendorf, J.J.W.; Meier, P.N.; Schneider, A.; Manns, M.P.; Krüger, M. Transpapillary intraductal ultrasound in the evaluation of dominant bile duct stenoses in patients with primary sclerosing cholangitis. Scand. J. Gastroenterol. 2007, 42, 1011–1017. [Google Scholar] [CrossRef]
- Menzel, J.; Poremba, C.; Dietl, K.H.; Domschke, W. Preoperative diagnosis of bile duct strictures—Comparison of intraductal ultrasonography with conventional endosonography. Scand. J. Gastroenterol. 2000, 35, 77–82. [Google Scholar]
- Drapek, L.C.; Kerlan, R.K., Jr.; Acquisto, S. Guidelines for biliary stents and drains. Chin. Clin. Oncol. 2020, 9, 9. [Google Scholar] [CrossRef] [PubMed]
- Miyazaki, M.; Yoshitomi, H.; Miyakawa, S.; Uesaka, K.; Unno, M.; Endo, I.; Ota, T.; Ohtsuka, M.; Kinoshita, H.; Shimada, K.; et al. Clinical practice guidelines for the management of biliary tract cancers 2015: The 2nd English edition. J. Hepatobiliary Pancreat. Sci. 2015, 22, 249–273, Erratum in J. Hepatobiliary Pancreat. Sci. 2015, 22, 510. [Google Scholar] [CrossRef] [PubMed]
- Kawakami, H.; Kuwatani, M.; Onodera, M.; Haba, S.; Eto, K.; Ehira, N.; Yamato, H.; Kudo, T.; Tanaka, E.; Hirano, S.; et al. Endoscopic nasobiliary drainage is the most suitable preoperative biliary drainage method in the management of patients with hilar cholangiocarcinoma. J. Gastroenterol. 2011, 46, 242–248. [Google Scholar] [CrossRef]
- Soehendra, N.; Reynders-Frederix, V. Palliative bile duct drainage—A new endoscopic method of introducing a trans- papillary drain. Endoscopy 1980, 12, 8–11. [Google Scholar] [CrossRef]
- Speer, A.; Christopher, R.; Russell, G.; Hatfield, A.; Macrae, K.; Cotton, P.; Mason, R.; Leung, J.; Houghton, J.; Lennon, C. Randomised trial of endoscopic versus percutaneous stent insertion in malignant obstructive jaundice. Lancet 1987, 2, 57–62. [Google Scholar] [CrossRef]
- Dumonceau, J.M.; Tringali, A.; Papanikolaou, I.S.; Blero, D.; Mangiavillano, B.; Schmidt, A.; Vanbiervliet, G.; Costamagna, G.; Devière, J.; García-Cano, J.; et al. Endoscopic biliary stenting: Indications, choice of stents, and results: European Society of Gastrointestinal Endoscopy (ESGE) Clinical Guideline—Updated October 2017. Endoscopy 2018, 50, 910–930. [Google Scholar] [CrossRef] [PubMed]
- Vozzo, C.F.; Sanaka, M.R. Endoscopic Management of Pancreaticobiliary Disease. Surg. Clin. N. Am. 2020, 100, 1151–1168. [Google Scholar] [CrossRef]
- Bismuth-Corlette Classification. Reference Article. Available online: https://radiopaedia.org/articles/6896 (accessed on 12 October 2023). [CrossRef]
- Kawashima, H.; Ohno, E.; Ishikawa, T.; Mizutani, Y.; Iida, T.; Yamamura, T.; Kakushima, N.; Furukawa, K.; Nakamura, M. Endoscopic management of perihilar cholangiocarcinoma. Dig. Endosc. 2022, 34, 1147–1156. [Google Scholar] [CrossRef]
- Naitoh, I.; Ohara, H.; Nakazawa, T.; Ando, T.; Hayashi, K.; Okumura, F.; Okayama, Y.; Sano, H.; Kitajima, Y.; Hirai, M.; et al. Unilateral versus bilateral endoscopic metal stenting for malignant hilar biliary obstruction. J. Gastroenterol. Hepatol. 2009, 24, 552–557. [Google Scholar] [CrossRef] [PubMed]
- Lee, T.H.; Moon, J.H.; Choi, J.H.; Lee, S.H.; Lee, Y.N.; Paik, W.H.; Jang, D.K.; Cho, B.W.; Yang, J.K.; Hwangbo, Y.; et al. Prospective comparison of endoscopic bilateral stent-in-stent versus stent-by-stent deployment for inoperable advanced malignant hilar biliary stricture. Gastrointest. Endosc. 2019, 90, 222–230. [Google Scholar] [CrossRef] [PubMed]
- Shah, J.; Rana, S.S. Newer Stents for Unresectable Malignant Distal Biliary Obstruction: Striving for Perfection! J. Digest. Endosc. 2021, 12, 59–62. [Google Scholar] [CrossRef]
- Zhang, G.; Li, Y.; Ren, Y.; Fu, N.T.; Chen, H.B.; Yang, J.W.; Xiao, W.-D. Outcomes of preoperative endoscopic nasobiliary drainage and endoscopic retrograde biliary drainage for malignant distal biliary obstruction prior to pancreaticoduodenectomy. World J. Gastroenterol. 2017, 23, 5386–5394. [Google Scholar] [CrossRef]
- Maeda, T.; Ebata, T.; Yokoyama, Y.; Mizuno, T.; Yamaguchi, J.; Onoe, S.; Watanabe, N.; Kawashima, H.; Nagino, M. Preoperative course of patients undergoing endoscopic nasobiliary drainage during the management of resectable perihilar cholangiocarcinoma. J. Hepatobiliary Pancreat. Sci. 2019, 26, 341–347. [Google Scholar] [CrossRef]
- Choi, S.J.; Lee, J.M.; Choi, H.S.; Kim, E.S.; Keum, B.; Seo, Y.S.; Jeen, Y.T.; Lee, H.S.; Chun, H.J.; Um, S.H.; et al. A novel technique for repositioning a nasobiliary catheter from the mouth to nostril in endoscopic retrograde cholangiopancreatography. BMC Gastroenterol. 2019, 19, 222. [Google Scholar] [CrossRef]
- Kawashima, H.; Itoh, A.; Ohno, E.; Itoh, Y.; Ebata, T.; Nagino, M.; Goto, H.; Hirooka, Y. Preoperative endoscopic nasobiliary drainage in 164 consecutive patients with suspected perihilar cholangiocarcinoma: A retrospective study of efficacy and risk factors related to complications. Ann. Surg. 2013, 257, 121–127. [Google Scholar] [CrossRef]
- Paduano, D.; Facciorusso, A.; De Marco, A.; Ofosu, A.; Auriemma, F.; Calabrese, F.; Tarantino, I.; Franchellucci, G.; Lisotti, A.; Fusaroli, P.; et al. Endoscopic Ultrasound Guided Biliary Drainage in Malignant Distal Biliary Obstruction. Cancers 2023, 15, 490. [Google Scholar] [CrossRef] [PubMed]
- Di Mitri, R.; Amata, M.; Mocciaro, F.; Conte, E.; Bonaccorso, A.; Scrivo, B.; Scimeca, D. EUS-guided biliary drainage with LAMS for distal malignant biliary obstruction when ERCP fails: Single-center retrospective study and maldeployment management. Surg. Endosc. 2022, 36, 4553–4569. [Google Scholar] [CrossRef]
- Teoh, A.Y.; Binmoeller, K.F.; Lau, J.Y. Single-step EUS-guided puncture and delivery of a lumen-apposing stent for gallbladder drainage using a novel cautery-tipped stent delivery system. Gastrointest. Endosc. 2014, 80, 1171. [Google Scholar] [CrossRef]
- Rinninella, E.; Kunda, R.; Dollhopf, M.; Sanchez-Yague, A.; Will, U.; Tarantino, I.; Gornals Soler, J.; Ullrich, S.; Meining, A.; Esteban, J.M.; et al. EUS-guided drainage of pancreatic fluid collections using a novel lumen-apposing metal stent on an electrocautery-enhanced delivery system: A large retrospective study (with video). Gastrointest. Endosc. 2015, 82, 1039–1046. [Google Scholar] [CrossRef]
- Paik, W.H.; Park, D.H. Outcomes and limitations: EUS-guided hepaticogastrostomy. Endosc. Ultrasound 2019, 8 (Suppl. S1), S44–S49. [Google Scholar] [PubMed]
- Napoléon, B.; Schoch, A.; Lisotti, A.; Walter, T.; Fumex, F.; Leblanc, S.; Artru, P.; Desramé, J.; Brighi, N.; Marsot, J.; et al. Efficacy of EUS-guided hepaticogastrostomy in prolonging survival of patients with perihilar cholangiocarcinoma. Endosc. Ultrasound 2022, 11, 487–494. [Google Scholar] [CrossRef] [PubMed]
- Jagielski, M.; Zieliński, M.; Piątkowski, J.; Jackowski, M. Outcomes and limitations of endoscopic ultrasound-guided hepaticogastrostomy in malignant biliary obstruction. BMC Gastroenterol. 2021, 21, 202. [Google Scholar] [CrossRef]
- Park, D.H. Endoscopic ultrasound-guided biliary drainage of hilar biliary obstruction. J. Hepatobiliary Pancreat. Sci. 2015, 22, 664–668. [Google Scholar] [CrossRef]
- Han, S.Y.; Kim, S.O.; So, H.; Shin, E.; Kim, D.U.; Park, D.H. EUS-guided biliary drainage versus ERCP for first-line palliation of malignant distal biliary obstruction: A systematic review and meta-analysis. Sci. Rep. 2019, 9, 16551. [Google Scholar] [CrossRef]
- Rebhun, J.; Shin, C.M.; Siddiqui, U.D.; Villa, E. Endoscopic biliary treatment of unresectable cholangiocarcinoma: A meta-analysis of survival outcomes and systematic review. World J. Gastrointest. Endosc. 2023, 15, 177–190. [Google Scholar] [CrossRef]
- Moole, H.; Tathireddy, H.; Dharmapuri, S.; Moole, V.; Boddireddy, R.; Yedama, P.; Dharmapuri, S.; Uppu, A.; Bondalapati, N.; Duvvuri, A. Success of photodynamic therapy in palliating patients with nonresectable cholangiocarcinoma: A systematic review and meta-analysis. World J. Gastroenterol. 2017, 23, 1278–1288. [Google Scholar] [CrossRef] [PubMed]
- Inoue, T.; Yoneda, M. Updated evidence on the clinical impact of endoscopic radiofrequency ablation in the treatment of malignant biliary obstruction. Dig. Endosc. 2022, 34, 345–358. [Google Scholar] [CrossRef] [PubMed]
- Vogel, A.; Bridgewater, J.; Edeline, J.; Kelley, R.K.; Klümpen, H.J.; Malka, D.; Primrose, J.N.; Rimassa, L.; Stenzinger, A.; Valle, J.W.; et al. Biliary tract cancer: ESMO Clinical Practice Guideline for diagnosis, treatment and follow-up. Ann Oncol. 2023, 34, 127–140. [Google Scholar] [CrossRef] [PubMed]










| Authors, Country (Year) | Method | Sensitivity, % | Specificity, % | PPV, % | NPV, % | Accuracy, % |
|---|---|---|---|---|---|---|
| Moura DTH., et al. Brazil (2018) [57] | ERCP tissue sampling (n = 61 patients) | 60.4% | 100% | 100% | 9.5% | 62% |
| EUS-FNA (n = 61 patients) | 93.8% | 100% | 100% | 40% | 94% | |
| Praveen M., et al. India (2022) [58] | ERCP brush cytology (n = 77 patients) | 65.63% | 100% | 100% | 37.14% | 71.43% |
| EUS-FNA (n = 77 patients) | 90.63% | 100% | 100% | 68.42% | 92.21% | |
| Sobhrakhshankhah E., et al., Iran (2021) [59] | ERCP brush cytology (n = 60 patients) | 50.9% | 100% | 100% | 15.6% | 55% |
| EUS-FNA (n = 60 patients) | 78.2% | 100% | 100% | 29.4% | 80% | |
| Onoyama T., et al. Japan (2019) [60] | ERCP tissue sampling (n = 54 patients) | 76.0% | 100% | 100% | 82.9% | 88.9% |
| EUS-FNA (n = 19 patients) | 81.8% | 87.5% | 90% | 77.8% | 84.2% |
Disclaimer/Publisher’s Note: The statements, opinions and data contained in all publications are solely those of the individual author(s) and contributor(s) and not of MDPI and/or the editor(s). MDPI and/or the editor(s) disclaim responsibility for any injury to people or property resulting from any ideas, methods, instructions or products referred to in the content. |
© 2024 by the authors. Licensee MDPI, Basel, Switzerland. This article is an open access article distributed under the terms and conditions of the Creative Commons Attribution (CC BY) license (https://creativecommons.org/licenses/by/4.0/).
Share and Cite
Caragut, R.-L.; Ilie, M.; Cabel, T.; Günșahin, D.; Panaitescu, A.; Pavel, C.; Plotogea, O.M.; Rînja, E.M.; Constantinescu, G.; Sandru, V. Updates in Diagnosis and Endoscopic Management of Cholangiocarcinoma. Diagnostics 2024, 14, 490. https://doi.org/10.3390/diagnostics14050490
Caragut R-L, Ilie M, Cabel T, Günșahin D, Panaitescu A, Pavel C, Plotogea OM, Rînja EM, Constantinescu G, Sandru V. Updates in Diagnosis and Endoscopic Management of Cholangiocarcinoma. Diagnostics. 2024; 14(5):490. https://doi.org/10.3390/diagnostics14050490
Chicago/Turabian StyleCaragut, Roxana-Luiza, Madalina Ilie, Teodor Cabel, Deniz Günșahin, Afrodita Panaitescu, Christopher Pavel, Oana Mihaela Plotogea, Ecaterina Mihaela Rînja, Gabriel Constantinescu, and Vasile Sandru. 2024. "Updates in Diagnosis and Endoscopic Management of Cholangiocarcinoma" Diagnostics 14, no. 5: 490. https://doi.org/10.3390/diagnostics14050490
APA StyleCaragut, R.-L., Ilie, M., Cabel, T., Günșahin, D., Panaitescu, A., Pavel, C., Plotogea, O. M., Rînja, E. M., Constantinescu, G., & Sandru, V. (2024). Updates in Diagnosis and Endoscopic Management of Cholangiocarcinoma. Diagnostics, 14(5), 490. https://doi.org/10.3390/diagnostics14050490

