Isolated Sagittal Craniosynostosis: A Comprehensive Review
Abstract
1. Introduction
- Membranous neurocranium, which forms through the process of intramembranous ossification and creates the frontal bone, the squamous portion of the temporal bone, the intraparietal portion of the occipital bone, and the parietal bone;
- Cartilaginous neurocranium, which ossifies via endochondral ossification and gives rise to the ethmoid and sphenoid bones, as well as the petrous and mastoid portions of the temporal bone and the occipital bone.
2. Isolated Sagittal Craniosynostosis
- −
- Dolichocephaly occurs when the entire sagittal suture is ossified. It is characterised by an elongated and narrow head.
- −
- Leptocephaly occurs when the anterior third of the suture is ossified. It is characterised by a uniform and homogeneous narrowing of the cranial vault, affecting both the parietal and frontal bones.
- −
- Batrocephaly occurs when the middle and anterior third of the sagittal suture are ossified. It is characterised by pronounced occipital bossing.
- −
- Cynocephaly occurs when the middle third of the sagittal suture is ossified. It is characterised by a bony depression that occurs behind the coronal sutures.
- −
- Sphenocephaly is the most common form and occurs when the middle and posterior third of the sagittal suture are ossified. It is mainly characterised by a bossing of the bregma and of the frontal bone. In these cases, from a bird’s eye view, the width of the frontal bone is greater than the biparietal width.
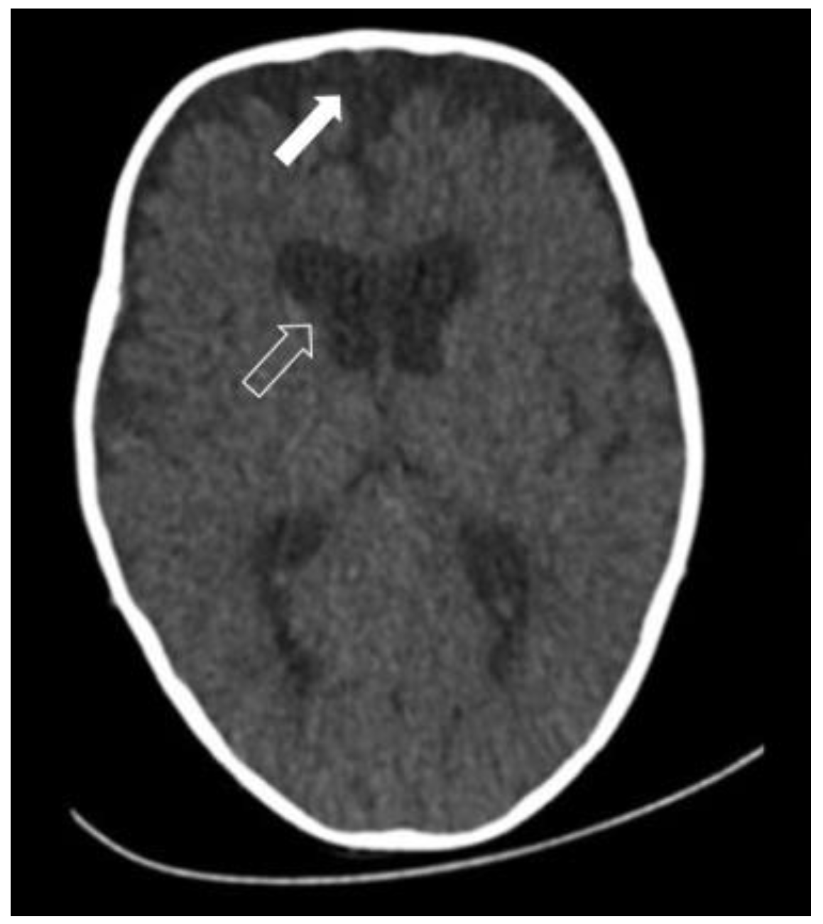
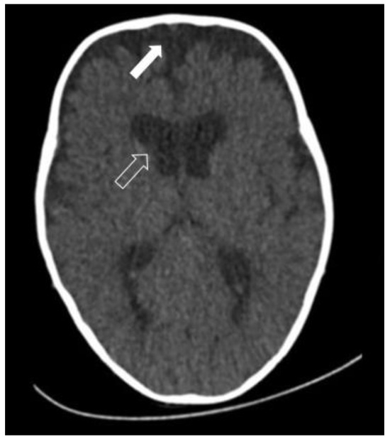
3. Radiology
- the above-mentioned passive accumulation of CSF in the subarachnoid spaces as a result of morphological enlargement in the frontal region; and
- CSF retention as a result of a disturbance in the process of CSF resorption [14].
4. Genetics
5. Intracranial Pressure in ISS
- aesthetic deformities and
- the risk of developing increased intracranial pressure.
6. Neurocognitive Development in ISS
7. The Treatment of ISS
- prevention or treatment of brain dysfunction when clinical signs of increased intracranial pressure are already present,
- the aesthetic correction of skull deformity.
- increasing the volume of the skull,
- redirecting the vectors of cranial growth,
- normalising the dynamics of the skull,
- correcting the aesthetic appearance.
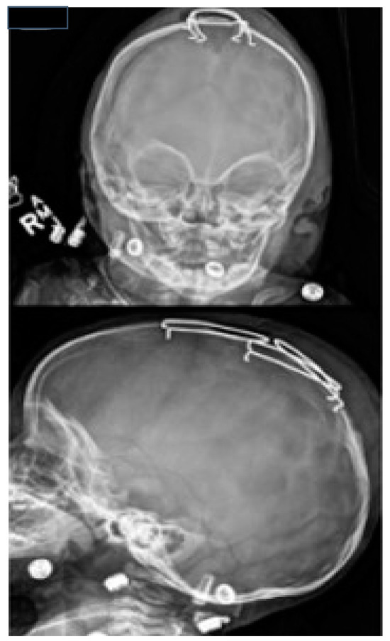
8. Surgical Techniques
- Blood loss during surgery: The amount of blood loss during endoscopic craniosynostosis surgery can vary depending on factors such as the complexity of the case, the patient’s medical condition, and the surgical technique employed. It is difficult to provide exact quantities as they can differ widely, especially between individual cases. Endoscopic craniosynostosis surgery is typically associated with minimal blood loss compared to traditional open procedures. In many cases, blood loss may be limited to a few millilitres to tens of millilitres.
- The need for blood transfusions: The need for blood transfusions during endoscopic craniosynostosis surgery varies depending on several factors, including the patient’s age, medical condition, the complexity of the surgery, and the amount of blood loss experienced during the procedure. Paediatric patients have lower blood volumes compared to adults. As a result, even a small amount of blood loss relative to body size can have a more significant impact and may necessitate a blood transfusion. Despite efforts to minimise blood loss, some degree of bleeding can occur during surgery. Patients with pre-existing anaemia or lower-than-normal haemoglobin levels may be at higher risk of requiring blood transfusions during surgery, particularly if significant intraoperative bleeding occurs. Endoscopy is, therefore, a suitable surgical technique for this group of patients.
- The duration of the operation: The duration of endoscopic craniosynostosis surgery can vary depending on several factors, including the complexity of the case, the specific techniques employed, the number of sutures involved, and the surgeon’s experience. Generally, endoscopic craniosynostosis surgery tends to be shorter in duration compared to traditional open cranial vault reconstruction. The duration of endoscopic surgery typically ranges from 1 to 4 h, depending on various factors, including the number of involved sutures, the experience of surgeons, and surgical technique, among others.
- The length of hospitalisation.
9. Clinical Outcome of the Surgical Treatment
10. ISS Relapse and Secondary Craniosynostosis of a Different Suture
11. The Effect of Treatment on Neurocognitive Outcome
12. Conclusions
Author Contributions
Funding
Institutional Review Board Statement
Informed Consent Statement
Data Availability Statement
Conflicts of Interest
References
- Spazzapan, P.; Kočar, M.; Eberlinc, A.; Velnar, T. Kraniofacialne rekonstrukcije pri otrocih s kraniosinostozo. Slov. Pediatr. 2021, 28, 67–77. [Google Scholar] [CrossRef]
- Virchow, R. Uber den Cretinismus, namentlich in Franken, und uber pathologische Schadelformen. Verh. Phys. Med. Ges. Wurzbg. 1851, 2, 230. [Google Scholar]
- Kajdic, N.; Spazzapan, P.; Velnar, T. Craniosynostosis—Recognition, clinical characteristics, and treatment. Bosn. J. Basic. Med. Sci. 2018, 18, 110–116. [Google Scholar] [CrossRef]
- Cinalli, G.; Sainte-Rose, C.; Kollar, E.M.; Zerah, M.; Brunelle, F.; Chumas, P.; Arnaud, E.; Marchac, D.; Pierre-Kahn, A.; Renier, D. Hydrocephalus and craniosynostosis. J. Neurosurg. 1998, 88, 209–214. [Google Scholar] [CrossRef]
- Spazzapan, P.; Kocar, M.; Eberlinc, A.; Haber, B.; Velnar, T. Craniofacial reconstructions in children with craniosynostosis. J. Integr. Neurosci. 2022, 21, 106. [Google Scholar] [CrossRef] [PubMed]
- Arnaud, E.; Paternoster, G.; James, S.; Morisseau-Durand, M.P.; Couloigner, V.; Diner, P.; Tomat, C.; Viot-Blanc, V.; Fauroux, B.; Cormier-Daire, V.; et al. Stratégie craniofaciale pour les faciocraniosténoses [Craniofacial strategy for syndromic craniosynostosis]. Ann. Chir. Plast. Esthétique 2016, 61, 408–419. [Google Scholar] [CrossRef]
- Esparza, J.; Hinojosa, J.; García-Recuero, I.; Romance, A.; Pascual, B.; de Aragón, A.M. Surgical treatment of isolated and syndromic craniosynostosis. Results and complications in 283 consecutive cases. Neurocirugia 2008, 19, 509–529. [Google Scholar] [CrossRef]
- Ruiz-Correa, S.; Sze, R.W.; Starr, J.R.; Lin, H.T.; Speltz, M.L.; Cunningham, M.L.; Hing, A.V. New scaphocephaly severity indices of sagittal craniosynostosis: A comparative study with cranial index quantifications. Cleft Palate-Craniofacial J. 2006, 43, 211–221. [Google Scholar] [CrossRef] [PubMed]
- Magge, S.N.; Westerveld, M.; Pruzinsky, T.; Persing, J.A. Long-term neuropsychological effects of sagittal craniosynostosis on child development. J. Craniofacial Surg. 2002, 13, 99–104. [Google Scholar] [CrossRef]
- Di Rocco, F.; Zerah, M. Introduction au rapport sur les craniosténoses. Neurochirurgie 2019, 65, 195. [Google Scholar] [CrossRef] [PubMed]
- Di Rocco, F.; Gleizal, A.; Szathmari, A.; Beuriat, P.A.; Paulus, C.; Mottolese, C. Sagittal suture craniosynostosis or craniosynostoses? The heterogeneity of the most common premature fusion of the cranial sutures. Neurochirurgie 2019, 65, 232–238. [Google Scholar] [CrossRef]
- Calandrelli, R.; Pilato, F.; Massimi, L.; Panfili, M.; Colosimo, C. A systematic quantitative morpho-volumetric analysis in infants with sagittal craniosynostosis and relationship with the severity of scaphocephalic deformity. Radiol. Med. 2020, 125, 585–594. [Google Scholar] [CrossRef]
- Aldridge, K.; Kane, A.A.; Marsh, J.L.; Yan, P.; Govier, D.; Richtsmeier, J.T. Relationship of brain and skull in pre- and postoperative sagittal synostosis. J. Anat. 2005, 206, 373–385. [Google Scholar] [CrossRef]
- Usami, K.; Nicolini, F.; Arnaud, E.; Di Rocco, F. Cerebrospinal fluid collections in sagittal suture synostosis. Childs Nerv. Syst. 2016, 32, 519–525. [Google Scholar] [CrossRef]
- Caldarelli, M.; Di Rocco, C.; Rossi, G.F. Lumbar subarachnoid infusion test in pediatric neurosurgery. Dev. Med. Child. Neurol. 1979, 21, 71–82. [Google Scholar] [CrossRef]
- Di Rocco, C.; Caldarelli, M.; Mangiola, A.; Milani, A. The lumbar infusion test in infants. Childs Nerv. Syst. 1988, 4, 16–21. [Google Scholar] [CrossRef] [PubMed]
- Heller, J.B.; Heller, M.M.; Knoll, B. Intracranial volume and cephalic index outcome. Plast. Reconstr. Surg. 2008, 121, 187–195. [Google Scholar] [CrossRef] [PubMed]
- Posnick, J.C.; Armstrong, D.; Bite, U. Metopic and sagittal synostosis: Intracranial volume measurements prior to and after cranio-orbital reshaping in childhood. Plast. Reconstr. Surg. 1995, 96, 299–309. [Google Scholar] [CrossRef] [PubMed]
- Posnick, J.C.; Lin, K.Y.; Chen, P.; Armstrong, D. Sagittal synostosis: Quantitative assessment of presenting deformity and surgical results based on CT scans. Plast. Reconstr. Surg. 1993, 92, 1015–1024. [Google Scholar] [CrossRef] [PubMed]
- Seeberger, R.; Hoffmann, J.; Freudlsperger, C.; Berger, M.; Bodem, J.; Horn, D.; Engel, M. Intracranial volume (ICV) in isolated sagittal craniosynostosis measured by 3D photocephalometry: A new perspective on a controversial issue. J. Cranio-Maxillofac. Surg. 2016, 44, 626–631. [Google Scholar] [CrossRef] [PubMed]
- Chauhan, B.K.; Hoover, J.M.; Scanga, H.; Medsinge, A.; Arnold, G.L.; Nischal, K.K. Isolated Sagittal Synostosis in a Boy with Craniofrontonasal Dysplasia and a Novel EFNB1 Mutation. Plast. Reconstr. Surg. Glob. Open 2015, 3, e427. [Google Scholar] [CrossRef] [PubMed]
- Rothenbuhler, A.; Fadel, N.; Debza, Y.; Bacchetta, J.; Diallo, M.T.; Adamsbaum, C.; Linglart, A.; Di Rocco, F. High Incidence of Cranial Synostosis and Chiari I Malformation in Children With X-Linked Hypophosphatemic Rickets (XLHR). J. Bone Miner. Res. 2019, 34, 490–496. [Google Scholar] [CrossRef] [PubMed]
- Lee, B.S.; Hwang, L.S.; Doumit, G.D.; Wooley, J.; Papay, F.A.; Luciano, M.G.; Recinos, V.M. Management options of non-syndromic sagittal craniosynostosis. J. Clin. Neurosci. 2017, 39, 28–34. [Google Scholar] [CrossRef]
- Arnaud, E.; Renier, D.; Marchac, D. Prognosis for mental function in scaphocephaly. J. Neurosurg. 1995, 83, 476–479. [Google Scholar] [CrossRef] [PubMed]
- Florisson, J.M.; van Veelen, M.L.; Bannink, N.; van Adrichem, L.N.; van der Meulen, J.J.; Bartels, M.C.; Mathijssen, I.M. Papilledema in isolated single-suture craniosynostosis: Prevalence and predictive factors. J. Craniofacial Surg. 2010, 21, 20–24. [Google Scholar] [CrossRef]
- Renier, D.; Sainte-Rose, C.; Marchac, D.; Hirsch, J.F. Intracranial pressure in craniostenosis. J. Neurosurg. 1982, 57, 370–377. [Google Scholar] [CrossRef]
- Speltz, M.L.; Collett, B.R.; Wallace, E.R.; Starr, J.R.; Cradock, M.M.; Buono, L.; Cunningham, M.; Kapp-Simon, K. Intellectual and academic functioning of school-age children with single-suture craniosynostosis. Pediatrics 2015, 135, e615–e623. [Google Scholar] [CrossRef]
- Massimi, L.; Caldarelli, M.; Tamburrini, G.; Paternoster, G.; Di Rocco, C. Isolated sagittal synostosis: Definition, classification and surgical indications. Childs Nerv. Syst. 2012, 28, 1311–1317. [Google Scholar] [CrossRef]
- Bellew, M.; Chumas, P. Long-term developmental follow-up in children with nonsyndromic craniosynostosis. J. Neurosurg. Pediatr. 2015, 16, 445–451. [Google Scholar] [CrossRef]
- Shipster, C.; Hearst, D.; Somerville, A.; Stackhouse, J.; Hayward, R.; Wade, A. Speech, language, and cognitive development in children with isolated sagittal synostosis. Dev. Med. Child. Neurol. 2003, 45, 34–43. [Google Scholar] [CrossRef]
- Da Costa, A.C.; Anderson, V.A.; Savarirayan, R.; Wrennall, J.A.; Chong, D.K.; Holmes, A.D.; Greensmith, A.L.; Meara, J.G. Neurodevelopmental functioning of infants with untreated single-suture craniosynostosis during early infancy. Childs Nerv. Syst. 2012, 28, 869–877. [Google Scholar] [CrossRef]
- Bellew, M.; Liddington, M.; Chumas, P.; Russell, J. Preoperative and postoperative developmental attainment in patients with sagittal synostosis: 5-year followup. J. Neurosurg. Pediatr. 2011, 7, 121–126. [Google Scholar] [CrossRef]
- Kljajić, M.; Maltese, G.; Tarnow, P.; Sand, P.; Kölby, L. The cognitive profile of children with nonsyndromic craniosynostosis. Plast. Reconstr. Surg. 2019, 143, 1037–1052. [Google Scholar] [CrossRef] [PubMed]
- Gewalli, F.; Guimarães-Ferreira, J.P.; Sahlin, P.; Emanuelsson, I.; Horneman, G.; Stephensen, H.; Lauritzen, C.G. Mental development after modified pi procedure: Dynamic cranioplasty for sagittal synostosis. Ann. Plast. Surg. 2001, 46, 415–420. [Google Scholar] [CrossRef] [PubMed]
- Hashim, P.W.; Patel, A.; Yang, J.F.; Travieso, R.; Terner, J.; Losee, J.E.; Pollack, I.; Jane, J., Sr.; Jane, J., Jr.; Kanev, P.; et al. The effects of whole-vault cranioplasty versus strip craniectomy on long-term neuropsychological outcomes in sagittal craniosynostosis. Plast. Reconstr. Surg. 2014, 134, 491–501. [Google Scholar] [CrossRef] [PubMed]
- Lannelongue, M. De la craniectomie dans la microcéphalie. Compt. Rend. Seances Acad. Sci. 1890, 110, 1382–1385. [Google Scholar]
- Lane, L.C. Pioneer craniectomy for relief of mental imbecility due to premature sutural closure and microcephalus. JAMA 1892, 18, 49–59. [Google Scholar] [CrossRef]
- Jacobi, A. Non nocere. Med. Rec. 1894, 45, 609. [Google Scholar]
- Faber, H.K.; Towne, E.B. Early craniectomy as a preventive measure in oxycephaly and allied conditions. With special reference to the prevention of blindness. Am. J. Med. Sci. 1927, 173, 701–711. [Google Scholar] [CrossRef]
- Hunter, A.G.W.; Rudo, N.L. Craniosynostosis I. Sagittal synostosis: Its genetics and associated clinical findings in 214 patients who lacked involvement of the coronal suture(s). Teratology 1976, 14, 185–193. [Google Scholar] [CrossRef] [PubMed]
- Albright, A.L.; Towbin, R.B.; Schultz, B.L. Long term outcome after sagittal synostosis operations. Pediatr. Neurosurg. 1996, 25, 78–82. [Google Scholar] [CrossRef]
- Greene, C.S., Jr.; Winston, K.R. Treatment of scaphocephaly with sagittal craniectomy and biparietal morcellation. Neurosurgery 1988, 23, 196–202. [Google Scholar] [CrossRef]
- Epstein, N.; Epstein, F.; Newman, G. Total vertex craniectomy for the treatment of scaphocephaly. Childs Brain 1982, 9, 309–316. [Google Scholar] [CrossRef]
- Jane, J.A.; Edgerton, M.T.; Futrell, J.W.; Park, T.S. Immediate correction of sagittal synostosis. J. Neurosurg. 1978, 49, 705–710. [Google Scholar] [CrossRef] [PubMed]
- Marchac, D.; Renier, D. Craniofacial Surgery for Craniosynostosis; Little Brown: Boston, MA, USA, 1982; pp. 87–92. [Google Scholar]
- Amm, C.A.; Denny, A.D. Correction of sagittal synostosis using foreshortening and lateral expansion of the cranium activated by gravity: Surgical technique and postoperative evolution. Plast. Reconstr. Surg. 2005, 116, 723–735. [Google Scholar] [CrossRef] [PubMed]
- Berry-Candelario, J.; Ridgway, E.D.; Grondin, R.T.; Rogers, G.F.; Proctor, M.R. Endoscope-assisted strip craniectomy and postoperative helmet therapy for treatment of craniosynostosis. Neurosurg. Focus 2011, 31, E5. [Google Scholar] [CrossRef] [PubMed]
- Boop, F.A.; Chadduck, W.M.; Shewmake, K.; Teo, C. Outcome analysis of 85 patients undergoing the pi procedure for correction of sagittal synostosis. J. Neurosurg. 1996, 85, 50–55. [Google Scholar] [CrossRef] [PubMed]
- Renier, D.; Lajeunie, E.; Arnaud, E.; Marchac, D. Management of craniosynostoses. Childs Nerv. Syst. 2000, 16, 645–658. [Google Scholar] [CrossRef]
- Tullous, M.W.; Henry, M.N.; Wang, P.T.H.; Vollmer, D.G.; Auber, A.E.; Mancuso, P.A. Multiple-revolution spiral osteotomy for cranial reconstruction. J. Neurosurg. 2001, 94, 671–678. [Google Scholar] [CrossRef] [PubMed]
- Van Veelen, M.L.; Mathijssen, I.M. Spring-assisted correction of sagittal suture synostosis. Childs Nerv. Syst. 2012, 28, 1347–1351. [Google Scholar] [CrossRef] [PubMed]
- David, L.R.; Plikaitis, C.M.; Couture, D. Outcome analysis of our first 75 spring-assisted surgeries for scaphocephaly. J. Craniofacial Surg. 2010, 21, 3–9. [Google Scholar] [CrossRef]
- Kolar, J.C.; Salter, E.M.; Weinberg, S.M. Preoperative craniofacial dysmorphology in isolated sagittal synostosis: A comprehensive anthropometric evaluation. J. Craniofacial Surg. 2010, 21, 1404–1410. [Google Scholar] [CrossRef]
- Di Rocco, F.; Knoll, B.I.; Arnaud, E.; Blanot, S.; Meyer, P.; Cuttarree, H.; Sainte-Rose, C.; Marchac, D. Scaphocephaly correction with retrocoronal and prelambdoid craniotomies (Renier’s “H” technique). Childs Nerv. Syst. 2012, 28, 1327–1332. [Google Scholar] [CrossRef]
- Jimenez, D.F.; Barone, C.M.; Rogers, J.N. Endoscopic Wide Vertex Craniectomy in Controversies in Pediatric Neurosurgery; Jallo, G.I., Kothbauer, K.F., Pradilla, G., Eds.; Thieme: New York, NY, USA, 2010. [Google Scholar]
- Jugović, D.; Spazzapan, P. Endoskopsko zdravljenje skafocefalije: Prikaz primera in nove operacijske tehnike. Zdr. Vestn. 2015, 84, 642–648. [Google Scholar] [CrossRef]
- Di Rocco, F.; Ben Gbulie, U.; Meyer, P.; Arnaud, E. Current techniques and protocols in the surgical management of scaphocephaly in young infants. J. Craniofacial Surg. 2014, 25, 39–41. [Google Scholar] [CrossRef]
- Jane, J.A.; Francel, P.C. The Evolution of Treatment for Sagittal Synostosis: A Personal Record in Craniofacial Anomalies: Growth and Development from a Surgical Perspective; Goodrich, J.T., Hall, C.D., Eds.; Thieme: New York, NY, USA, 1995. [Google Scholar]
- Kiehna, E.N.; Jane, J.A. Early Strip Craniectomy in Controversies in Pediatric Neurosurgery; Jallo, G.I., Kothbauer, K.F., Pradilla, G., Eds.; Thieme: New York, NY, USA, 2010. [Google Scholar]
- Mori, K.; Sakamoto, T.; Nakai, K. The Surgical Management of Scaphocephaly in Craniofacial Anomalies: Growth and Development from a Surgical Perspective; Goodrich, J.T., Hall, C.D., Eds.; Thieme: New York, NY, USA, 1995. [Google Scholar]
- Di Rocco, C. How to decrease the impact of surgical scar in the correction of sagittal synostosis. Childs Nerv. Syst. 2003, 19, 42–45. [Google Scholar] [CrossRef]
- Arko, L., 4th; Swanson, J.W.; Fierst, T.M.; Henn, R.E.; Chang, D.; Storm, P.B.; Bartlett, S.P.; Taylor, J.A.; Heuer, G.G. Spring-mediated sagittal craniosynostosis treatment at the Children’s Hospital of Philadelphia: Technical notes and literature review. Neurosurg. Focus 2015, 38, E7. [Google Scholar] [CrossRef] [PubMed]
- Lauritzen, C.G.; Davis, C.; Ivarsson, A.; Sanger, C.; Hewitt, T.D. The evolving role of springs in craniofacial surgery: The first 100 clinical cases. Plast. Reconstr. Surg. 2008, 121, 545–554. [Google Scholar] [CrossRef] [PubMed]
- Fearon, J.A.; McLaughlin, E.B.; Kolar, J.C. Sagittal craniosynostosis: Surgical outcomes and long-term growth. Plast. Reconstr. Surg. 2006, 117, 532–541. [Google Scholar] [CrossRef] [PubMed]
- Goobie, S.M.; Meier, P.M.; Pereira, L.M.; McGowan, F.X.; Prescilla, R.P.; Scharp, L.A. Efficacy of tranexamic acid in pediatric craniosynostosis surgery: A double-blind, placebo-controlled trial. Anesthesiology 2011, 114, 862–871. [Google Scholar] [CrossRef] [PubMed]
- Jimenez, D.F.; Barone, C.M. Endoscopic craniectomy for early surgical correction of sagittal craniosynostosis. J. Neurosurg. 1998, 88, 77–81. [Google Scholar] [CrossRef]
- Jimenez, D.F.; Barone, C.M. Endoscopic technique for sagittal synostosis. Childs Nerv. Syst. 2012, 28, 1333–1339. [Google Scholar] [CrossRef]
- Shah, M.N.; Kane, A.A.; Petersen, J.D.; Woo, A.S.; Naidoo, S.D.; Smyth, M.D. Endoscopically assisted versus open repair of sagittal craniosynostosis: The St. Louis Children’s Hospital experience. J. Neurosurg. Pediatr. 2011, 8, 165–170. [Google Scholar] [CrossRef] [PubMed]
- Thomas, G.P.L.; Johnson, D.; Byren, J.C.; Judge, A.D.; Jayamohan, J.; Magdum, S.A. The incidence of raised intracranial pressure in nonsyndromic sagittal craniosynostosis following primary surgery. J. Neurosurg. Pediatr. 2015, 15, 350–360. [Google Scholar] [CrossRef] [PubMed]
- Thompson, D.R.; Zurakowski, D.; Haberkern, C.M.; Stricker, P.A.; Meier, P.M.; Bannister, C.; Benzon, H.; Binstock, W.; Bosenberg, A.; Brzenski, A.; et al. Endoscopic Versus Open Repair for Craniosynostosis in Infants Using Propensity Score Matching to Compare Outcomes: A Multicenter Study from the Pediatric Craniofacial Collaborative Group. Anesth. Analg. 2018, 126, 968–975. [Google Scholar] [CrossRef] [PubMed]
- Hinojosa, J.; Esparza, J.; Muñoz, M.J. Endoscopic-assisted osteotomies for the treatment of craniosynostosis. Childs Nerv. Syst. 2007, 23, 1421–1430. [Google Scholar] [CrossRef] [PubMed]
- Murad, G.J.; Clayman, M.; Seagle, M.B.; White, S.; Perkins, L.A.; Pincus, D.W. Endoscopic-assisted repair of craniosynostosis. Neurosurg. Focus 2005, 19, E6. [Google Scholar] [CrossRef] [PubMed]
- Isaac, K.V.; Meara, J.G.; Proctor, M.R. Analysis of clinical outcomes for treatment of sagittal craniosynostosis: A comparison of endoscopic suturectomy and cranial vault remodeling. J. Neurosurg. Pediatr. 2018, 22, 467–474. [Google Scholar] [CrossRef] [PubMed]
- Collmann, H.; Solomon, B.D.; Schweitzer, T.; Kress, W.; Muenke, M. Nonsyndromic craniosynostoses in Craniosynostoses: Molecular genetics, principles of diagnosis and treatment. In Monographs in Human Genetics; Muenke, M., Kress, W., Collmann, H., Solomon, B.D., Eds.; Karger: Basel, Switzerland, 2011; Volume 19, pp. 165–176. [Google Scholar]
- Panchal, J.; Marsh, J.L.; Park, T.S.; Kaufman, B.; Pilgram, T.; Huang, S.H. Sagittal craniosynostosis outcome assessment for two methods and timings of intervention. Plast. Reconstr. Surg. 1999, 103, 1574–1584. [Google Scholar] [CrossRef]
- Van Veelen, M.L.; Eelkman Rooda, O.H.; de Jong, T.; Dammers, R.; van Adrichem, L.N.; Mathijssen, I.M. Results of early surgery for sagittal suture synostosis:long-term follow-up and the occurrence of raised intracranial pressure. Childs Nerv. Syst. 2013, 29, 997–1005. [Google Scholar] [CrossRef]
- Arnaud, E.; Capon-Degardin, N.; Michienzi, J.; Di Rocco, F.; Renier, D. Scaphocephaly part II: Secondary coronal synostosis after scaphocephalic surgical correction. J. Craniofacial Surg. 2009, 20 (Suppl. S2), 1843–1850. [Google Scholar] [CrossRef] [PubMed]
- Seruya, M.; Tan, S.Y.; Wray, A.C.; Penington, A.J.; Greensmith, A.L.; Holmes, A.D. Total cranial vault remodeling for isolated sagittal synostosis: Part I. Postoperative cranial suture patency. Plast. Reconstr. Surg. 2013, 132, 602–610. [Google Scholar] [CrossRef] [PubMed]
- Yarbrough, C.K.; Smyth, M.D.; Holekamp, T.F.; Ranalli, N.J.; Huang, A.H.; Patel, K.B. Delayed synostoses of uninvolved sutures after surgical treatment of nonsyndromic craniosynostosis. J. Craniofacial Surg. 2014, 25, 119–123. [Google Scholar] [CrossRef] [PubMed]
- Gault, D.T.; Renier, D.; Marchac, D.; Jones, B.M. Intracranial pressure and intracranial volume in children with craniosynostosis. Plast. Reconstr. Surg. 1992, 90, 377–381. [Google Scholar] [CrossRef] [PubMed]
- Virtanen, R.; Korhonen, T.; Fagerholm, J.; Viljanto, J. Neurocognitive sequelae of scaphocephaly. Pediatrics 1999, 103, 791–795. [Google Scholar] [CrossRef]









Disclaimer/Publisher’s Note: The statements, opinions and data contained in all publications are solely those of the individual author(s) and contributor(s) and not of MDPI and/or the editor(s). MDPI and/or the editor(s) disclaim responsibility for any injury to people or property resulting from any ideas, methods, instructions or products referred to in the content. |
© 2024 by the authors. Licensee MDPI, Basel, Switzerland. This article is an open access article distributed under the terms and conditions of the Creative Commons Attribution (CC BY) license (https://creativecommons.org/licenses/by/4.0/).
Share and Cite
Spazzapan, P.; Velnar, T. Isolated Sagittal Craniosynostosis: A Comprehensive Review. Diagnostics 2024, 14, 435. https://doi.org/10.3390/diagnostics14040435
Spazzapan P, Velnar T. Isolated Sagittal Craniosynostosis: A Comprehensive Review. Diagnostics. 2024; 14(4):435. https://doi.org/10.3390/diagnostics14040435
Chicago/Turabian StyleSpazzapan, Peter, and Tomaz Velnar. 2024. "Isolated Sagittal Craniosynostosis: A Comprehensive Review" Diagnostics 14, no. 4: 435. https://doi.org/10.3390/diagnostics14040435
APA StyleSpazzapan, P., & Velnar, T. (2024). Isolated Sagittal Craniosynostosis: A Comprehensive Review. Diagnostics, 14(4), 435. https://doi.org/10.3390/diagnostics14040435

